Un sito sulle malattie dentali e il loro trattamento

impianto

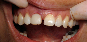
Esiste un impianto dentale non chirurgico senza incisione gengivale?
Esiste un impianto dentale non chirurgico senza incisione gengivale?

Attualmente, i metodi minimamente invasivi degli impianti dentali stanno guadagnando popolarità. Inoltre, le singole cliniche sono andate oltre e stanno già promuovendo attivamente l'impianto non chirurgico dei denti, che presumibilmente viene eseguito senza tagli gengivali e persino quasi senza sangue. Ma come è possibile? Come può un impianto, che è essenzialmente una vite in titanio, essere inserito nell'osso mascellare, coperto di tessuto gengivale morbido, senza intervento chirurgico? Parleremo di come non confondere i trucchi pubblicitari con lo stato reale delle cose ...

Gli impianti dentali sono dannosi o è un mito: recensioni e controindicazioni per l'installazione
Gli impianti dentali sono dannosi o è un mito: recensioni e controindicazioni per l'installazione

Alcune persone credono erroneamente che gli impianti dentali siano dannosi per la salute e che non tutti i fortunati attecchiscano bene. E quante storie dell'orrore su questo argomento su Internet non possono essere contate: dicono che gli impianti del seno mascellare a volte forano a causa di un errore medico e una vite di titanio può uscire nella cavità nasale, l'orbita dell'occhio a volte viene danneggiata e si sviluppano terribili infiammazioni con la cancrena della mascella. Ma com'è la situazione reale: il posizionamento dell'impianto può davvero danneggiare la salute del paziente? Scopriamolo ...

L'impianto dentale è possibile con parodontite e malattia parodontale?
L'impianto dentale è possibile con parodontite e malattia parodontale?

Nel corso degli anni, si riteneva che le possibilità di esito positivo dell'impianto dentale in pazienti con parodontite e malattia parodontale fossero generalmente ridotte: la perdita di tessuto osseo e la presenza di focolai di infezione nei denti vicini creavano alti rischi di rigetto della struttura impiantabile. Tuttavia, i successi dell'odontoiatria moderna hanno apportato le proprie correzioni e oggi la domanda principale è solo in quali situazioni cliniche queste o altre tecnologie e sistemi di impianto possono essere utilizzati per massimizzare il successo del trattamento e minimizzare i rischi di complicanze ...

Complicanze e problemi a volte insorti dopo gli impianti dentali
Complicanze e problemi a volte insorti dopo gli impianti dentali

La procedura di impianto dentale, come ogni tipo di intervento chirurgico, è associata ad un certo rischio di sviluppare spiacevoli complicazioni. Tuttavia, le informazioni su Internet su queste complicazioni sono spesso così distorte ed esagerate che le persone impressionabili possono semplicemente scoraggiare qualsiasi desiderio di eseguire protesi sugli impianti: alcuni scrivono di terrificanti rifiuti, sanguinamento, suppurazione, terribile gonfiore del viso, ecc. Vediamo come in realtà tutto ciò può accadere, quali risultati negativi sono possibili e, soprattutto, come proteggerti il ​​più possibile da loro ...

Sintomi di rigetto dell'impianto dentale: con quali segni è possibile riconoscere un problema?
Sintomi di rigetto dell'impianto dentale: con quali segni è possibile riconoscere un problema?

Nonostante i significativi successi dell'odontoiatria, l'impianto di impianti dentali non procede sempre senza intoppi e, in rari casi, il corpo può rifiutare il materiale artificiale. Il processo di rigetto può iniziare già nei primi giorni dopo l'inserimento dell'impianto e può essere avviato da determinati fattori anche 10 anni dopo l'operazione. Diamo un'occhiata a quali cause possono portare a pericolose infiammazioni (perimplantite), quali sintomi è di solito accompagnato e cosa si può fare per garantire che l'attecchimento passi il più rapidamente possibile e senza complicazioni ...

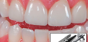
Informazioni sull'impianto basale: considera tutti i pro e i contro di questa tecnologia
Informazioni sull'impianto basale: considera tutti i pro e i contro di questa tecnologia

I principi dell'impianto basale sono stati inventati molto tempo fa: negli anni '60 del secolo scorso e migliorati e adattati solo negli anni '90. In Russia ne hanno parlato solo all'inizio del XXI secolo e l'installazione attiva di impianti è avvenuta nel periodo 2010-2013.La metodologia dell'autore del dottore in scienze svizzero Stefan Ide ha causato lo scontento di molti pazienti che erano nelle sue mani e ha causato molte controversie sugli impianti basali - alcuni dentisti hanno sostenuto questo sistema, ma c'erano molti esperti contro di esso. Letteralmente negli ultimi anni, l'impianto basale è stato attivamente promosso in Russia, ma non da Stefan Ide, ma dai suoi studenti: dentisti russi nel campo dell'impianto. Mentre questa tecnica è posizionata come l'ultima, esclusiva e relativamente economica, consente letteralmente 3-5 giorni per dare a una persona l'opportunità di masticare e sorridere. Tuttavia, ci sono ancora controversie tra i dentisti di tutto il mondo sull'efficacia dell'impianto basale e sulle prospettive per la sua ulteriore adozione diffusa nella pratica ...

 

 

su

© Copyright 2025 stomatology.expertexpro.com/it/ | chinatownteam2016@gmail.com

Politica sulla privacy | Accordo con l'utente

feedback

Mappa del sito

chirurgia

carie

mal di denti