Un sito sulle malattie dentali e il loro trattamento

pulpite

Perché un dente fa male dopo il trattamento con la pulite e fa male a morderlo?
Perché un dente fa male dopo il trattamento con la pulite e fa male a morderlo?

Spesso, dopo aver trattato la pulpite, il paziente, con sua sorpresa, scopre che il dente per qualche motivo continua a ferire: potrebbe esserci dolore quando si preme sul dente, mordicchiandolo o può gemere da solo senza alcuna influenza esterna. Sembrerebbe che non ci sia già nulla da ferire, perché il nervo dentale è stato rimosso! Perché allora il dente continua a far male, quanto durerà e, cosa più importante, cosa fare in una situazione del genere? Scopriamolo ...

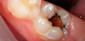
Sul trattamento della pulpite dei denti a tre canali e sui prezzi per questa procedura
Sul trattamento della pulpite dei denti a tre canali e sui prezzi per questa procedura

La pulite di un dente a tre canali non è solo un fenomeno spiacevole, ma è anche molto sensibile per il portafoglio di una persona con un reddito medio. Diamo un'occhiata più da vicino al motivo per cui il trattamento di tre canali è più difficile e più costoso di uno o due, e qual è l'attuale politica dei prezzi per il trattamento della pulpite in vari istituti dentali ...

Classificazione della pulpite dal punto di vista di un dentista praticante
Classificazione della pulpite dal punto di vista di un dentista praticante

Il dentista ha bisogno della classificazione della pulpite? Da un lato, la prima sistematizzazione della pulpite è apparsa circa 90 anni fa al fine di aiutare un medico a determinare la diagnosi sulla base dei metodi e degli strumenti che all'epoca erano cattivi a portata di mano. Con il moderno livello di equipaggiamento delle stanze, probabilmente non ha senso dividere la pulpite in tipi e sottospecie, ma è abbastanza semplice distinguerla dalla carie e dalla parodontite usando strumenti. Bene, ogni dentista decide da solo se la classificazione della pulpite utilizzata nel lavoro ha un significato pratico per lui o, al contrario, complica solo la sua vita. Parleremo di queste classificazioni di pulpite ulteriormente ...

Come rimuovere un nervo da un dente e quali problemi possono sorgere
Come rimuovere un nervo da un dente e quali problemi possono sorgere

La rimozione di un nervo da un dente è una procedura molto importante, che, purtroppo, non sempre va bene per il paziente. Una preparazione impropria per il lavoro con il "nervo" e gli errori medici possono portare a conseguenze terribili, dal terribile dolore durante e dopo l'estrazione della polpa, al sanguinamento dal dente e uno strumento rotto e dimenticato nel canale. Perché è generalmente necessario rimuovere il nervo dal dente, come ciò accade e quali problemi possono aspettarti lungo il percorso - ne parleremo più in dettaglio in modo più dettagliato ...

Sintomi caratteristici di pulpite purulenta acuta e metodi del suo trattamento
Sintomi caratteristici di pulpite purulenta acuta e metodi del suo trattamento

Le persone che hanno dovuto provare i sintomi della pulpite purulenta su se stesse, di solito non dimenticano mai i sentimenti vissuti. E questo è dovuto al fatto che a causa della reazione infiammatoria all'interno del dente e della compressione del fascio neurovascolare con essudato purulento, si verifica un forte dolore che spesso si irradia a varie parti del viso, mascella superiore o inferiore, nella testa. È la mancanza di una chiara localizzazione del dolore che crea un grave problema nel determinare il dente di pulpite dal dentista in fase di diagnosi. Da qui la massa di casi ridicoli quando i denti sani vengono perforati o rimossi per errore. Parliamo di tutti questi punti, nonché di ciò che il paziente dovrebbe e non dovrebbe fare in tale situazione.

Polpite gangrenosa cronica e moderni metodi di trattamento
Polpite gangrenosa cronica e moderni metodi di trattamento

La polpite gangrenosa cronica è associata al verificarsi di necrosi della polpa irreversibile all'interno dei canali radicolari del dente e può essere curata solo rimuovendo il tessuto in decomposizione del fascio neurovascolare. La trasformazione del tessuto "vivente" in pus è una tendenza molto spiacevole, poiché esiste un grosso rischio che tutto questo contenuto vada verso l'apice della radice e fuoriesca nei tessuti circostanti il ​​dente, dove formerà un passaggio fistoloso attraverso il quale il pus si riverserà nella cavità orale o "flusso" sulla gomma.Pertanto, la pulpite cancrenosa è considerata una forma borderline, quando rimane solo un passo prima della parodontite e dell'infiammazione purulenta diffusa ...

Caratteristiche della pulpite fibrosa cronica, sua diagnosi e trattamento
Caratteristiche della pulpite fibrosa cronica, sua diagnosi e trattamento

La pulpite fibrosa cronica non provoca dolore acuto e insopportabile, creando l'effetto di un benessere immaginario. Di norma, in un breve periodo di tempo, le degenerazioni strutturali del "nervo" all'interno del dente terminano con la cancrena (necrosi) di tutta o parte della polpa con la formazione di pus e la sua uscita verso le gengive. Se dici che questo è un fenomeno indesiderabile - non dice nulla, quindi tale suppurazione è irta di complicazioni molto pericolose. Ecco perché è così importante "catturare" un dente nello stadio della pulpite fibrosa in tempo per avere il tempo di fare tutto il necessario per preservarlo ...

Trattamento della pulpite dei denti decidui nei bambini
Trattamento della pulpite dei denti decidui nei bambini

I genitori incoscienti dei bambini sono ancora sicuri che non abbia senso trattare i denti del latte cariati, poiché cadranno comunque. Quando nel momento più inopportuno, ad esempio, in vacanza, il bambino inizia improvvisamente a lamentarsi di mal di denti acuto, allora madri e padri devono scegliere: o nutrire il bambino con pillole ("chimica") per alleviare il dolore, o consultare un dentista pediatrico per cure di emergenza. Dovresti sapere che la pulpite nei denti da latte si sviluppa rapidamente, portando spesso alla suppurazione delle gengive in un solo giorno. In Russia, vengono annualmente registrati decessi per complicanze della pulpite nei bambini: ascessi, flemmoni, sepsi. Diamo un'occhiata a come viene trattata la pulpite dei denti da latte nelle moderne cliniche dentali, oltre a quali complicazioni ed errori medici sono possibili e come questo può minacciare un bambino.

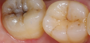
Metodi moderni di trattamento della pulpite
Metodi moderni di trattamento della pulpite

Nella maggior parte dei casi, un forte dolore pulsante nel dente indica lo sviluppo della pulpite. In una situazione del genere, in nessun caso puoi sperare che gli antidolorifici aiuteranno a risolvere completamente il problema e il dolore scomparirà gradualmente. Un urgente bisogno di curare un dente, senza portare a complicazioni della pulpite, alcune delle quali possono persino minacciare la vita di una persona. L'odontoiatria moderna consente un trattamento strumentale e hardware di alta qualità della pulpite secondo nuovi metodi e quasi senza dolore (soprattutto se confrontato con i tempi sovietici). Qual è il vantaggio dei moderni metodi di trattamento, in cosa consistono e quali sono i principi di determinazione del prezzo per il trattamento della pulpite - questo sarà discusso più avanti.

Pulpite cronica: sintomi, metodi di trattamento e possibili complicanze
Pulpite cronica: sintomi, metodi di trattamento e possibili complicanze

Alcuni credono seriamente che se un mal di denti acuto è passato, significa che il dente stesso si è "curato" da solo. In realtà, si verificano gravi cambiamenti strutturali all'interno del dente che non sono visibili all'occhio. Spesso il risultato è lo sviluppo della pulpite cronica, che è una malattia molto insidiosa. Che cosa sia la pulpite cronica, quali sintomi si manifesta, come viene trattata e come prevenirne le complicazioni verranno discusse ulteriormente.

 

 

"Pulpito" - quanto in questa parola ...

Pochi di noi non hanno sperimentato tutti gli "incantesimi" del mal di denti. Tuttavia, il mal di denti può essere diverso e, stranamente, molte persone a volte cercano di non prestarci attenzione, sperando che il dente possa ferirsi e persino andare via da solo. Bene, questo approccio è un percorso diretto dalla carie profonda alla pulpite, quando il dolore si sta già spostando, per così dire, a un livello completamente nuovo.

In termini semplici, la pulpite è un'infiammazione del "nervo" dentale (polpa), che fino ad allora era protetta in modo affidabile dalle pareti del dente, ma a causa di un graduale aumento della profondità della cavità, l'infezione è penetrata nella camera pulpare. Il nervo infiammato si gonfia, aumentando di volume e in aggiunta a ciò, può essere spremuto dall'essudato purulento.Insieme, tutto ciò porta spesso a un forte dolore, quando una persona letteralmente non riesce a trovare un posto, ed è costretto a iscriversi a un dentista per cure di emergenza.

Quindi, se improvvisamente un dente relativamente piccolo e inquietante ha iniziato improvvisamente a "compiacerti" con dolore acuto e di lunga durata, allora è il momento di ricordarti - non puoi liberarti degli antidolorifici da solo, poiché è necessario un trattamento urgente. Il trattamento della pulpite è quasi sempre associato alla necessità di rimuovere la polpa dal dente, quindi sarebbe molto meglio curare la carie in una volta piuttosto che ottenere un dente morto senza un "nervo" dopo il trattamento.

Tuttavia, anche la pulpite è diversa. Immagina, ad esempio, una situazione in cui un dente fa molto male, ma che non è chiaro, dal momento che l'intero lato della dentatura può ferire e talvolta fa anche male alla mascella opposta. In tali casi, il dentista può facilmente curarti un dente relativamente sano rimuovendo il nervo da esso, e quindi scoprire che "ha perso". E questo accade, soprattutto nelle cliniche economiche.

Informazioni su tutte queste e molte altre interessanti sfumature pratiche associate alla pulpite e al suo trattamento sono disponibili in questa sezione del sito. Inoltre, vengono descritti in dettaglio i sintomi caratteristici di diversi tipi di pulpite, nonché ciò che ci si può aspettare nell'ufficio del dentista durante il trattamento.

Speriamo che lo studio di queste informazioni ti aiuti a comprendere meglio l'essenza dei problemi associati alla pulpite e, se necessario, ad affrontare il suo trattamento con la massima consapevolezza e piena comprensione di ciò che ti aspetta esattamente.

su

© Copyright 2025 stomatology.expertexpro.com/it/ | chinatownteam2016@gmail.com

Politica sulla privacy | Accordo con l'utente

feedback

Mappa del sito

chirurgia

carie

mal di denti