
Il processo di necrotizzazione del tessuto polmonare (il cosiddetto "nervo" dentale) nella polpite cancrena cronica è preceduto da uno stadio della sua infiammazione, che è il risultato di una reazione all'azione di alcune sostanze irritanti. Molto spesso, si tratta di batteri e tossine prodotte da loro, che entrano nella polpa attraverso una cavità profonda in presenza di perforazione del fondo e comunicazione con la camera della polpa, o attraverso un sistema di tubi dentinali che passano nello strato dentinale. A volte un'infezione può entrare nella camera pulpare attraverso una tasca parodontale (da sotto le gengive) o entrare nel flusso sanguigno per malattie infettive, ma un tale percorso di infezione retrograda senza carie è estremamente raro.
La polpite gangrenosa cronica è il risultato di acuta diffusa o (meno comunemente) pulite fibrosa cronica. Nella fase acuta dell'infiammazione, vengono attivate le forze immunitarie del corpo e i leucociti escono per combattere l'infezione nella polpa, a seguito della quale c'è edema (aumento delle dimensioni) e formazione di liquidi: prima, sierosa e poi purulenta.
La foto sotto mostra la polpa infiammata rimossa dal dente ancor prima che subisse una fusione purulenta:

L'essudato purulento non è altro che il risultato della morte di massa di leucociti e batteri. L'accumulo di essudato inibisce il metabolismo della polpa e inizia a morire gradualmente.
Quindi, sullo sfondo della pulpite acuta diffusa, il "nervo" si disintegra, il che determina con precisione gli attacchi di dolore più gravi, che spesso passano lungo i rami del nervo nell'orecchio, nel tempio, nell'occhio o nella parte posteriore della testa. Non appena si verifica la morte della parte coronale della polpa e l'apertura del fondo della cavità cariata con il rilascio di essudato purulento, si verifica un notevole sollievo: la transizione forma acuta in polmonite cancrenosa.

La pulpite fibrosa cronica passa nella cancrena polmonare solo attraverso la fase di esacerbazione, quando nuovi focolai di forma di ascesso nei tessuti del "nervo" a causa di disturbi nel deflusso dell'essudato (ad esempio, quando il fondo della cavità cariata è intasato dal cibo), che prima o poi si trasformano in pulite gangrena cronica.
Caratteristiche della pulpite gangrenosa
L'ingresso di microflora putrefattiva nella camera della polpa influenza catastroficamente l'ulteriore destino della polpa. Più i microbi attivi e le loro tossine, più veloce è il decadimento (necrosi) del "nervo" e la morte della parte coronale della polpa con una graduale transizione verso la radice. Il nome della malattia indica direttamente la cancrena dei tessuti molli, che determina la storia caratteristica della malattia nella polpite gangrenosa cronica.

Quindi, prevalgono spesso le lamentele del respiro putrefattivo, i dolori doloranti del caldo, che persistono a lungo anche dopo l'eliminazione dell'irritante. C'è una sensazione di "scoppio" all'interno del dente, che corrisponde all'edema del "nervo" e ad un lento deflusso di essudato dalla cavità del dente.
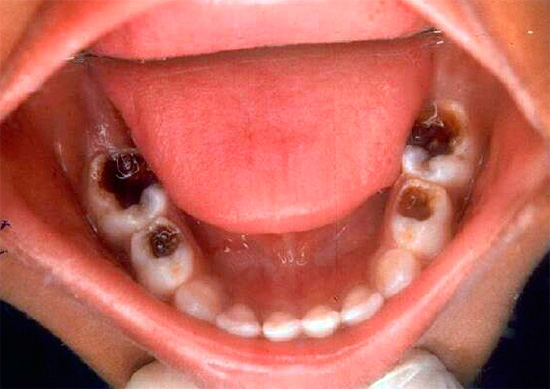
Se il messaggio cavità cariata con una camera pulpare, dove si trova il "nervo" collassante, buono e non ostacolato, quindi con la polipite cancrenosa non possono esserci sintomi di dolore. In tali casi, il paziente indica solo un cambiamento nel colore del dente - l'aspetto di una tinta grigiastra.
Foto di un dente con polmonite gangrenosa cronica: un'ombra grigia malsana è chiaramente visibile:

Oltre a tenere conto dei sintomi caratteristici della pulpite gangrenosa cronica, il dentista esamina anche i dati dei metodi di ricerca oggettivi per effettuare una diagnosi finale. Per questo, viene eseguito un esame visivo della cavità, palpazione delle gengive vicino al dente, suono e percussione.Come metodi aggiuntivi, è possibile utilizzare la termometria, l'EDI e la radiografia.
Quando si esamina un dente, la sua tinta grigia colpisce di solito in presenza di una cavità cariata che si estende in profondità nella bocca dei canali radicolari. Quando si sondano, si nota la presenza di una grande quantità di dentina ammorbidita cariata e la penetrazione profonda dall'estremità acuta della sonda nella bocca dei canali radicolari è spesso dolorosa, sebbene a volte si verifichi dolore quando viene uccisa una parte della polpa radicolare.

Nella polpite gangrenosa cronica, la percussione (picchiettando sul dente) è spesso indolore, ma con la cancrena della maggior parte della polpa e uno scarso deflusso dell'essudato purulento, possono esserci lievi dolori. La palpazione delle gengive nella proiezione dell'apice delle radici del dente malato non provoca dolore, poiché non vi è alcuna uscita di pus attraverso le cime delle radici verso le gengive.
Per la termometria, il dentista utilizza una punta riscaldata dello strumento, poiché è impossibile diagnosticare con acqua calda a causa del rischio di ustioni della mucosa. Tipicamente, la punta della sonda dentale viene riscaldata sopra la fiamma del bruciatore e portata delicatamente a contatto con la corona del dente per alcuni secondi.
In presenza di polmonite gangrenosa cronica, in questo caso si verifica un lento aumento del dolore, che non scompare a lungo - questo indica la presenza di essudato purulento sullo sfondo del decadimento del tessuto polmonare. Quasi non risponde a un dente freddo, poiché la maggior parte del "nervo" è già morto.

Nel quadro della diagnostica differenziale, può essere utilizzato anche l'EDI: l'elettroodontodiagnosi, che consente di determinare la differenza nell'eccitabilità dei tessuti della polpa nei suoi vari stati. L'eccitabilità è controllata da un dispositivo speciale con cui una corrente elettrica debole passa attraverso il dente.
La polpa sana reagisce con una corrente di 2-6 μA, ma non più di 20 μA. La cancrena polmonare riduce l'eccitabilità nervosa a 60-90 μA, a seconda della percentuale di morte cellulare nella parte coronale della polpa e nei canali.

Il medico riceve ulteriori informazioni in caso di polmonite cranica cronica durante la radiografia del dente. L'apparato moderno - un visiografo consente non solo di ottenere un'immagine contrastante e chiara di tutte le strutture dentali e dei tessuti circostanti, ma anche di scrivere questi dati su un disco del computer.
Una profonda cavità cariata, che comunica bene con la camera pulpare, è solitamente visibile in una fotografia o in un monitor di un computer in un dente malato. A volte, con polmonite cancrenica cronica, si registrano cambiamenti nei tessuti che circondano il dente, ad esempio l'espansione del gap parodontale o una leggera distruzione del tessuto osseo attorno all'apice della radice del dente.
Metodi di trattamento della pulite cancrenosa
Il principale metodo di trattamento della pulpite cancrenosa è la cosiddetta estirpazione vitale o, in termini semplici, la completa rimozione (estrazione) dell'intera polpa dal sistema canalare. Poiché questa forma di pulpite è irreversibile, il metodo biologico di trattamento (conservativo) non è adatto, poiché non è rimasto nulla da mantenere in uno stato vitale.
Per dettagli interessanti sulla rimozione del nervo "dentale", vedere un articolo separato:Come rimuovere un nervo da un dente e quali problemi possono sorgere.
Foto dei residui di polpa rimossi dal canale radicolare del dente:

Per gli stessi motivi, è impossibile eseguire l'amputazione vitale preservando solo la polpa della radice, poiché è quasi sempre già coinvolta nei processi di necrosi.
Dall'esperienza del dentista
È possibile utilizzare il metodo di rimozione della polpa con la formulazione preliminare di una pasta devitalizzante contenente arsenico e senza di essa, ma con grande cura.Poiché spesso non è possibile determinare con precisione la profondità della morte di un "nervo", la chiusura spensierata di un dente deliberatamente quasi morto con una pasta forte con una benda spesso porta a complicazioni sotto forma di forte dolore.
E questo è abbastanza logico quando si tratta della fase di essudazione sullo sfondo di un processo putrefattivo. Se ci sono prove appropriate o il desiderio di stabilire una pasta devitalizzante nella prima visita, dovresti assicurarti più volte che coprirà la parte radice, ma il "nervo" vivente. È importante tenere a mente i criteri per il tempo trascorso sul dente, poiché i produttori di farmaci calcolano il tempo medio, dato che quasi tutta la polpa è viva, e nel caso della polpite gangrenosa cronica, è necessario un approccio individuale tenendo conto della quantità di tessuto molle non influenzata dalla necrosi all'interno del dente.

Il trattamento della pulpite gangrenosa cronica prevede diverse fasi principali:
- Anestesia. Se un'iniezione con un anestetico viene eseguita a livello (in proiezione) delle radici del dente malato, l'anestesia viene chiamata infiltrazione e se l'intero tronco nervoso viene "congelato", allora è conduttore.
- Isolamento dei denti con un cassettone prima della preparazione o dell'uso di rulli di cotone sterili prefabbricati o pre-ritorti durante il riempimento e il riempimento del canale.
- Dissezione della cavità cariata e rimozione meccanica della dentina "sporca" infetta e pigmentata con trattamento farmacologico con antisettici (clorexidina, perossido di idrogeno).
- Divulgazione della bocca del canale.
- Il passaggio dei canali radicolari con file (speciali "aghi" intra-canale con bordi taglienti), seguiti dall'espansione e dalla formazione di una forma conica del diametro desiderato. Durante la procedura, dai canali viene effettuata la lisciviazione obbligatoria di polpa residua, pus, segatura sporca dalle pareti, ecc. L'odontoiatria moderna ha diversi metodi di "lavaggio" dei canali, ma la lavanda a getto con soluzione di ipoclorito di sodio si è diffusa con la polpite cancrenosa e altri tipi.
- Impostazione di speciali paste antinfiammatorie, antibatteriche e antisettiche (solo se indicato) per diversi giorni prima del riempimento finale dei canali.
- Determinazione della lunghezza del canale radicolare mediante dispositivi speciali (localizzatori d'apice) o usando i raggi X usando file o pin di guttaperca.
- Essiccazione dei canali e riempimento con paste indurenti o combinazione con materiali duri primari (spille di guttaperca).
- Controllo di qualità dei canali di riempimento mediante visiografo o radiografia a "film" di contatto.
- Il restauro della funzione e dell'estetica del dente con l'aiuto di moderni materiali di riempimento (compositi) viene quasi sempre eseguito alla visita successiva, poiché il materiale nei canali dovrebbe indurire completamente entro pochi giorni.




Farmaci per il trattamento di canali con polmonite cancrenosa
Nonostante il fatto che nella polpite gangrenosa cronica, il trattamento prolungato dei canali con file e la pulizia medica approfondita con soluzioni di ipoclorito con e senza attivazione di dispositivi ad ultrasuoni con un laser vengano utilizzati, un numero di dentisti ritiene che per prevenire la persistenza di un'infezione residua vicino all'apice radicale e ridurre il rischio di recidiva del processo di infezione , è necessario mettere un farmaco antibatterico antinfiammatorio e potente per diversi giorni prima del riempimento finale del canale la droga.
Dalla pratica del dentista
Per il riempimento temporaneo di canali infetti con pulpite cancrena al fine di aumentare la sterilità, viene utilizzato il farmaco "Gangraena-Merz". Questo è un materiale a base di idrossido di calcio, che crea un alto livello di pH (fino a 12), in cui la maggior parte dei microbi muore negli angoli più remoti dei canali.Tuttavia, non dovresti fare affidamento solo sulle proprietà positive uniche dei preparati a base di idrossido di calcio, poiché è importante un approccio integrato per preservare il dente: una pulizia accurata dei canali e la loro irrigazione (irrigazione) con soluzioni disinfettanti, e solo allora - applicazione per diversi giorni (fino a una settimana) " Gangraena-Merz "o suoi analoghi.

A un ricevimento di bilancio in un ospedale o in una clinica, i dentisti non possono sempre elaborare completamente i canali con polmonite cancrenosa in una visita, perché il trattamento viene allungato per 2-3 visite quando uno o due antisettici vengono utilizzati a turno. Ad oggi, la preferenza per la forma cranica cranica di pulpite non è data alle paste per il trattamento intracanale di pulpite e periodontite, ma ai liquidi.
Questa è una specie di opzione economica che ti consente di utilizzare battericidi a prezzi accessibili il più a lungo possibile. I mezzi più efficaci e convenienti includono Krezofen.
È interessante
Kresofen è un preparato battericida a base di desametasone, paraclorofenolo, timolo e canfora per un efficace trattamento antisettico dei canali. Dopo aver rimosso da loro i prodotti della carie e il lavaggio nel solito modo, nonché dopo l'essiccazione, una goccia di Kresofen viene posizionata in ciascun canale. È in grado di penetrare facilmente in aree percorribili difficili in breve tempo, creando sterilità in esse.
Per migliorare e consolidare i risultati, Krezofen può essere lasciato in cotone per alcuni giorni sotto una medicazione temporanea ermetica, che crea la massima sterilità e garantisce la prevenzione di possibili complicanze dovute a infezione residua. Alla prossima visita, devi solo asciugare i canali da Krezofen e sigillarli in modo conveniente.

Trattamento della pulpite gangrenosa nei bambini
I dentisti per bambini sono dell'opinione che con necrosi della polpa nei denti da latte tutto dovrebbe essere fatto “in modo adulto”: rimuovere la polpa in decomposizione, pulire i canali e sciacquarli dall'infezione, quindi completare una o più visite. Tuttavia, i bambini apportano sempre le proprie regolazioni non solo dal loro comportamento, ma anche dalle peculiarità della struttura dei denti primari, dalla probabilità di un apice non formato e non chiuso della radice del dente o di una radice parzialmente assorbita durante un cambio fisiologico del dente.
Di conseguenza, il dentista pediatrico sceglie un metodo di trattamento della polmonite cranica cranica in base alle caratteristiche individuali del bambino, alle caratteristiche del latte o del dente permanente, nonché al livello delle attrezzature della clinica e delle sue capacità professionali.

Poiché non è possibile scegliere un metodo di trattamento biologico e un'amputazione vitale a causa della vasta necrosi del tessuto polmonare, sia il metodo di estirpazione vitale (devitale) con estrazione completa della polpa o il metodo a lungo usato di amputazione devitale con mummificazione della polpa radicale dopo che è stato scelto per i denti da latte uccidendo.
Più spesso, vengono utilizzati farmaci a base di pasta di resorcinolo-formalina. A seconda della composizione e del produttore specifici, possono essere più o meno tossici, ma, in linea di principio, contengono gli stessi componenti di base per la mummificazione di un "nervo" morto e la conservazione del dente fino a quando non viene modificato. Al momento, la Russia utilizza la pasta mummificante svizzera (pasta mummificante), Foredent (Repubblica Ceca), Resodent (Russia), Endoform (Polonia) e i loro analoghi.
È interessante
Intorno al 1912, il medico tedesco Julius Albrecht propose il metodo del resorcinolo-formalina, il cui dibattito non si è ancora placato finora. Il "padre" di uno dei metodi più popolari ed economici di trattamento del canale radicolare ha lavorato come dentista fino alla fine della sua vita, senza diventare né professore né assistente assistente.Si sa poco della sua biografia, non esiste una data esatta di nascita e morte. Si ritiene che, molto probabilmente, lo scienziato sia stato ucciso da fame e malattie.
Dalla creazione del metodo, si è discusso sulla validità e l'efficacia della sua applicazione, ci sono stati oppositori e sostenitori tra professori e scienziati giovani e vecchi in tutto il mondo. Per facilità d'uso ed economicità, gli è stato assegnato l'onore di un uso diffuso per tutti i gruppi di denti, ma nessuno ha pensato alle sue proprietà negative. La colorazione dei denti nei toni del rosa fino a poco tempo fa, poche persone erano imbarazzate e la prospettiva estrazione del dente dopo 5-10 anni o più, non ha fermato nessuno: né i medici né i pazienti.
Foto di un dente guarito dalla pulpite con pasta di resorcinolo-formalina:

Costo del trattamento
La pulpite gangrenosa cronica viene di solito trattata in 2-3 visite. Nelle cliniche, i prezzi si basano sul livello dell'istituzione, sulle attrezzature professionali, sulle qualifiche dei medici, sul numero del personale, sul metodo di trattamento, sul materiale utilizzato, sul numero di visite e su altri fattori. Il listino prezzi di solito indica ogni procedura eseguita durante il trattamento.
Il principio del prezzo per il trattamento della pulpite può essere tracciato secondo il seguente schema standard, in cui viene effettuato il pagamento per le seguenti fasi:
- anestesia (alcune ditte più ogni iniezione di anestetico);
- passaggio e lavaggio di ciascun canale separatamente (se ce ne sono 4 nel dente, il prezzo per queste manipolazioni aumenta di 4 volte);
- riempire ogni canale con un materiale specifico (le grandi aziende offrono una scelta di riempimento “semplice” di guttaperca fredda con paste e riempimento tridimensionale di guttaperca calda del sistema “Termafil”, che è molto più costoso);
- l'uso di ultrasuoni o un laser per attivare antisettici nel trattamento dei canali (alcune aziende includono questa sezione nel pagamento per il passaggio e il lavaggio dei canali);
- Il riempimento con cui viene completato il trattamento (tra i compositi fotopolimerizzabili ci sono materiali economici e di classe business, che sono prescritti nel listino prezzi).

Se la clinica dentale addebita ogni visita, ciascuna di queste sezioni appare selettivamente nella ricevuta per il pagamento dei servizi. Naturalmente, se è necessario pagare, ad esempio, 2-3 mila rubli per un riempimento fotopolimerizzabile con anestesia, il resto delle procedure può comportare una quantità ordinata, poiché il lavaggio standard di un canale costa in media 1000 rubli (per un 4 canali - già 4 mila risultati).
Per ulteriori "opzioni", l'azienda imposta il prezzo in modo arbitrario - da qualche parte di più, da qualche parte di meno.
Non è difficile calcolarlo per una visita, in cui tutti i quattro canali del molare (superiore o inferiore) con pulpite cancrenosa saranno passati e sigillati, il costo del trattamento sarà di circa 7-8 mila rubli e il sigillo finale sarà di altri 2-3 mila, se prendi costo medio del trattamento. In altre parole, più piccoli sono i canali del dente, più economico sarà il trattamento della pulite.
Vedi le sfumature per un esempio. trattamento della pulpite di un dente a tre canali.

In molte cliniche private, i dentisti sono direttamente interessati a prolungare il trattamento della pulpite per diverse visite al fine di aumentare i costi. Inoltre, il livello delle moderne istituzioni dentali consente di creare condizioni così sterili nel sistema canalare e di chiudere il dente così strettamente dall'ambiente esterno fino alla visita successiva che è ovvia l'inutilità di lavare nuovamente i canali per il medico, ma il paziente non ne è nemmeno consapevole.
Ciò che la clinica è in grado di fare in una visita può estendersi a diverse procedure costose, poiché la polpite gangrenosa cronica è spesso posizionata per il paziente, poiché è iniziata la parodontite - infiammazione alla radice, che deve essere trattata in diverse visite, utilizzando tecnologie complesse ed è necessariamente costosa.
Al contrario delle ditte commerciali, i dentisti di proprietà statale, al contrario, sottovalutano l'importanza del lavaggio dei canali e raramente usano la loro sabbiatura, limitandosi al lavaggio manuale di routine con antisettici sui turni di cotone. Come sempre, la parte più difficile è trovare una via di mezzo ...
Sii in salute!
Video interessante: un esempio del trattamento della pulpite purulenta di un molare (dente da masticare)
In dettaglio sul meccanismo di sviluppo della pulpite e le caratteristiche del suo trattamento

Non sono d'accordo sul fatto che il medico sia interessato a prolungare il trattamento a causa di benefici materiali, perché è completamente non redditizio! Perché non è importante quanto un paziente pagherà in generale, ma quanto viene pagato per una visita.
Forse non hai letto attentamente l'ultimo blocco: dice che "molte cliniche private", ma non tutte. Spesso, le recensioni vengono ricevute da pazienti che, per ogni visita, finiscono anche con la pulpite. In genere taccerò sulla parodontite: questo è un terreno fertile per la promozione di ogni nuova visita. Abbiamo un paese enorme, e dove e come viene fatto, tu stesso puoi scoprire se dai un'occhiata più da vicino alle caratteristiche dell'odontoiatria privata in diverse regioni.