
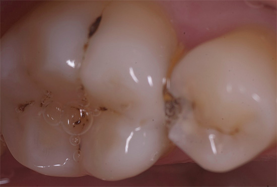
Oggi, quasi ogni persona in una certa fase della sua vita incontra almeno una volta il problema della carie, che è spesso accompagnata da mal di denti più o meno pronunciati (e alcuni anni soffrono di tali dolori periodici, annegandoli con le pillole). Tuttavia, poche persone sanno che se non si fa nulla, nell'ultima fase della distruzione con carie profonde, oltre a una varietà di sensazioni di dolore (dal dolce, caldo, freddo, dal cibo solido), compaiono gravi rischi di sviluppo pulpite e parodontite. Tali complicazioni della carie profonda spesso causano dolore di tale forza che tutti coloro che le hanno vissute almeno una volta lo ricordano per tutta la vita.
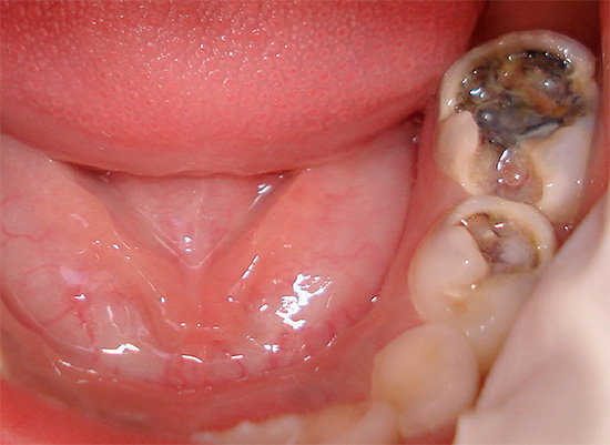
La foto sotto mostra un esempio di carie profonde, in cui la camera pulpare del dente è già molto probabilmente interessata:


Con quali sintomi puoi capire che la carie profonda si è già formata nel dente, come distinguerla da altri tipi di lesioni e complicazioni cariose, perché con la carie profonda c'è un respiro putrido e cosa devi sapere sul trattamento in questa situazione - questi e molti altri interessanti parleremo ulteriormente delle sfumature.
È interessante
Le persone hanno familiarità con la carie profonda fin dall'antichità, come dimostra il deplorevole stato delle ossa e dei denti della mascella, che si trovano spesso durante gli scavi. Nel Medioevo, si credeva che la malattia fosse generata da "dentifrici", che dovevano essere rimossi con un ferro caldo - come sapete, tali procedure non davano un effetto terapeutico speciale. Tentativi di curare la carie profonda furono fatti molto prima (qualche migliaio di anni fa - nell'antica Roma), ma alcuni successi furono raggiunti solo dopo la comparsa del primo trapano Morrison primitivo a metà del XIX secolo.
Le principali forme di carie profonde
A seconda del decorso della malattia, si distinguono le forme acute e croniche di carie profonda.
Carie acuta profonda caratterizzato da dolore a breve termine da una varietà di sostanze irritanti. Spesso la cavità ha un ingresso profondo e stretto con una base larga. Se potessi raschiare le pareti di una tale cavità con qualcosa di solido (e i dentisti lo fanno regolarmente ai ricevimenti), noteresti che la dentina infetta e pigmentata ammorbidita si separa sempre abbondantemente dalle pareti della cavità.

nota
Poiché i detriti alimentari possono accumularsi a lungo nelle cavità profonde e marcire lì, questo è spesso accompagnato dalla comparsa di un odore sgradevole dalla bocca di una persona, anche se sembra lavarsi i denti diligentemente due volte al giorno.
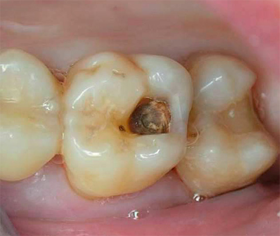
La seguente foto mostra un esempio di una cavità così profonda e cariata:

Carie croniche profonde, a differenza di acuta, ha un decorso lento, quindi spesso non può manifestarsi in alcun sintomo a causa della deposizione di dentina sostitutiva sul fondo della cavità cariata, che impedisce la sua irritazione da cibo o bevande. Il fondo è spesso denso e anche leggermente lucido. Altrimenti, la carie cronica è chiamata "sospesa".

È interessante
I ricercatori coinvolti nella cariesologia credono che anche una forma acuta di carie profonda possa verificarsi senza sintomi caratteristici. Anche in presenza di una cavità profonda con dentina ammorbidita, può essere coperta da un "guscio" di smalto e può rimanere in un luogo inaccessibile alle sostanze irritanti esterne per lungo tempo, ad esempio, su una delle pareti di contatto del dente vicino alle gengive (cioè nello spazio interdentale).Solo dopo che gran parte dello smalto è stato rotto o rotto sopra la cavità cariata è possibile una classica manifestazione di carie profonde acute con una caratteristica clinica di questo.
Segni di carie profonde che difficilmente "lasceranno chiunque indifferente"
Poiché la carie profonda è l'ultimo stadio della distruzione cariata, ha solo una caratteristica clinica (lo stesso vale per i metodi diagnostici e terapeutici). Nella vita reale, può essere abbastanza difficile determinare lo stadio di distruzione dei tessuti dei denti duri: la carie media e profonda spesso hanno poche differenze.
Si possono distinguere i seguenti sintomi caratteristici della carie profonda:
- Dolore durante l'assunzione di freddo e caldo (cioè da fattori di temperatura);
- Dolore da cibi zuccherati, cibi acidi o salati (fattore chimico);
- Dolore quando il cibo duro entra nella carie cavità del dente (fattore meccanico).

Una tale clinica di carie profonde è tipica nella maggior parte dei casi. Quando il dolce o il freddo si fanno male, si verifica un dolore acuto, che dura solo finché l'irritante agisce.
Sfortunatamente, il dolore a breve termine per molte persone è una grande opportunità per non andare in studio e aspettare un po 'di più. E aspettano davvero, per mesi - fino all'insorgenza del dolore acuto caratteristico di pulpite o parodontite, quando senza pillole forti per il mal di denti su una vita piena non può più essere preso in considerazione.
Foto di un dente con una profonda cavità cariata, che ha portato allo sviluppo della pulpite:

richiamo
Circa un anno fa, ho sentito che il mio molare inferiore a sinistra ha iniziato a decadere e ha iniziato a reagire fortemente al freddo. Non ero particolarmente malato, quindi non sono andato dal dentista, ma dopo un paio di mesi il dente ha iniziato a reagire letteralmente a tutto: dolci, tè caldo, latte dal frigorifero e persino frutta e masticare carne. Sulla base di questi sintomi, mi è stata diagnosticata la carie profonda ed è stato fortunato che il trattamento sia costato una visita. Ma il medico mi ha avvertito che dopo il trattamento è necessario assicurarsi che il dolore non riappaia nel dente. Grazie a Dio, ma ormai da un anno non si è preoccupato.
Elizabeth, Pyatigorsk
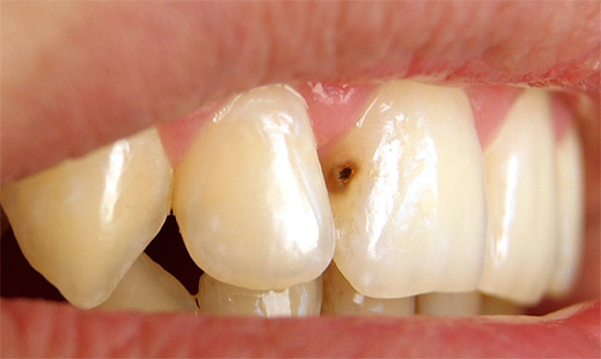
Foto di carie profonde sul dente anteriore:

Autodiagnosi per la diagnosi corretta
Se vuoi assicurarti che il dolore al dente sia associato a carie profonde e non a qualcos'altro, puoi provare a condurre una diagnosi differenziale indipendente. Prima di tutto, devi assicurarti che questa non sia polmonite: con la carie, il nervo dentale è ancora intatto e con la polipite, i batteri si sono già fatti strada nella camera pulpare e stanno lentamente distruggendo i tessuti molli qui. Di conseguenza, nel primo caso, il trattamento minaccerà solo con l'installazione di un sigillo e nel secondo, sarà necessario rimuovere il "nervo", pulire i canali, riempirli, ecc., Cioè la procedura sarà molto più complicata (e costosa).
- Nella pulpite acuta, i dolori sono acuti e spontanei (specialmente di notte), cioè sorgono da soli, in contrasto con la carie profonda, in cui il dolore si verifica solo da sostanze irritanti esterne.
- Con la carie profonda, il dolore delle sostanze irritanti passa rapidamente e, con la polpite, il dente fa male per molto tempo.
- a pulite cronica la cavità cariata può comunicare con la camera pulpare, quindi, quando il cibo viene ingerito, si verificano spesso forti dolori che non durano a lungo.

Il consiglio del dentista
Certo, solo un medico dovrebbe fare una diagnosi accurata. Tuttavia, da quando abbiamo iniziato l'autodiagnosi ... Esiste un altro modo per diagnosticare la carie profonda: è possibile chiudere temporaneamente la cavità cariata profonda con un batuffolo di cotone (se possibile). Se il dolore scompare durante il giorno o diventa insignificante - con un alto grado di probabilità hai carie profonde.Con complicanze della carie (pulpite o periodontite), il dolore dopo aver chiuso la cavità da irritanti esterni con un batuffolo di cotone rimane allo stesso livello o addirittura si intensifica.
Metodi diagnostici moderni
All'appuntamento del dentista, la diagnosi corretta può essere fatta con una precisione del 100% usando vari metodi di diagnosi differenziale della carie profonda.
Diagnosi visiva È forse la forma più comune di diagnosi e di solito viene eseguita utilizzando uno specchio dentale e una sonda. In questo caso, si stima la profondità della cavità, la sua forma e la durezza della dentina sul fondo e sulle pareti.

Generalmente, con carie profonde, il suono è doloroso in tutto il fondo. La camera pulpare (il punto in cui si trova il "nervo" del dente) non è aperta. Nella forma acuta di pulpite, il suono è spesso doloroso in un solo punto e, nelle forme croniche, la polpa può persino essere aperta e il "nervo" durante il suono può sanguinare dolorosamente.
La foto mostra gli strumenti utilizzati per la diagnosi visiva della carie profonda:


Elettroodontodiagnosi (EDI) o, altrimenti, elettroodontometria. Questo metodo è un modo molto informativo per determinare lo stato dei tessuti molli all'interno del dente usando deboli correnti elettriche.
Il medico valuta la forza attuale a cui il dente reagisce durante l'esecuzione della tecnica. Con la carie profonda, durante l'EDI, il dente inizia già a rispondere a una corrente da 2 a 6 μA, meno spesso - 10 μA.
Nelle forme acute di pulpite, il dente reagisce solo con una forza attuale superiore a 15-20 μA e in forme croniche - oltre 50-60 μA. Un dente con parodontite è sensibile a una corrente di 100 μA e oltre. Dispositivi di elettroodontometria: ad esempio EOM-1, OD-2M, OSM-50, ecc.
La foto sotto mostra il dispositivo per EDI:

Dalle osservazioni del dentista
Quando si esegue EDI di carie profonde, il valore dell'eccitabilità nervosa è spesso determinato dalla forza attuale di 15-20 μA. In generale, questa è una forma di transizione quando possono iniziare fenomeni infiammatori latenti nella camera pulpare, oppure potrebbero non esserlo. In tali casi, il medico conduce secondo il protocollo per il trattamento della carie tutte le misure relative alla pulizia della cavità cariata dai tessuti necrotici e non posiziona un sigillo permanente, limitato a una medicazione temporanea senza farmaci per un massimo di 1-2 settimane.
Il paziente viene avvisato che se un dente chiuso con un riempimento temporaneo farà male il giorno successivo, dovresti immediatamente venire a curare la pulpite. Se il dente non reagisce a nulla durante il periodo di ispezione, la visita successiva sarà permanentemente riempita con una diagnosi di carie profonde.
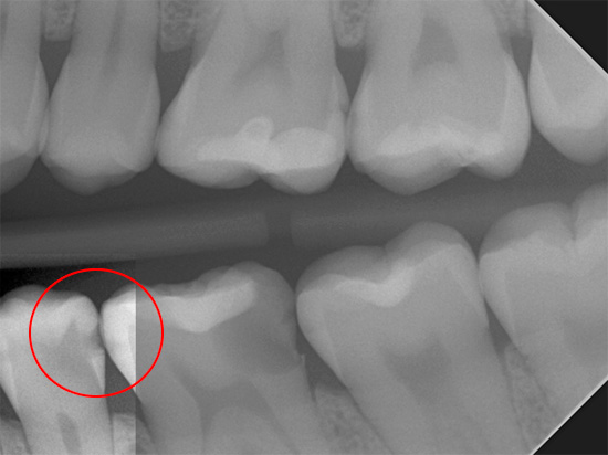
Radiografia: consente di trovare cavità carie profonde nascoste. La più popolare al momento è la cosiddetta radiografia di contatto, quando viene scattata una foto di mira, che copre 1-3 denti. Tali dati possono essere ottenuti su dispositivi moderni: i visiografi. Per informazione, un dente (denti) problematico viene spesso ingrandito nelle immagini, il che consente di valutare la profondità della cavità cariata.
Le fotografie seguenti mostrano un'immagine radiografica di denti con una profonda cavità cariata nascosta:

I raggi X passano facilmente ammorbiditi con il tessuto della carie e nell'immagine viene visualizzata una macchia scura di una certa area in proporzione alla dimensione della cavità. Il messaggio di un tale "punto" in un quadro con una camera pulpare indica quasi sempre un'infiammazione del "nervo" e lo sviluppo di una complicazione della carie profonda: la pulpite.
Tecniche per il trattamento della carie profonda e dei materiali utilizzati per questo
Il trattamento della carie profonda ha le sue caratteristiche. L'eccezionale vicinanza della dentina nella parte inferiore della cavità alla camera pulpare del dente richiede al dentista di aderire alle seguenti regole:
- Anestesia obbligatoria (anestesia) del dente.È impossibile eseguire un trattamento senza "iniezione", poiché la profondità della cavità e la vicinanza della polpa causano una diversa natura del dolore quando si tratta un dente con un trapano, a volte molto forte.

- Raffreddamento aria-acqua obbligatorio durante il trattamento di una cavità con un trapano. In questo caso, è necessario utilizzare una punta di turbina a 4 canali con migliori qualità di approvvigionamento idrico. Le moderne versioni modificate delle punte hanno numerosi canali per l'erogazione di acqua a getto al dente e persino la possibilità di raffreddamento laterale del dente. Migliore è il raffreddamento del dente durante la lavorazione, minore è il rischio che si surriscaldi accidentalmente e in futuro sorgeranno complicazioni sotto un sigillo permanente.

- Trattamento dentale con speciali cuscinetti per incollare per alleviare possibili infiammazioni, ripristinare lo strato di tessuto (nuova dentina sana) sul "nervo", effetto battericida e prevenire le complicanze della carie sotto forma di pulpite. Molto spesso, nel trattamento della carie profonda, vengono utilizzati cuscinetti medici a base di idrossido di calcio (Calcina, Calmecina, Calcipulpe, Dycal, ecc.). A volte vengono utilizzate guarnizioni a base di eugenolo (cemento zinco-eugenolo, Cavitec, Eugespad, ecc.). Meno comunemente usate sono le formulazioni combinate.

Le fasi principali del trattamento della cavità cariata con carie profonde sono:
- aprendo la cavità e rimuovendo i bordi sporgenti dello smalto
- pulizia manuale o automatica di tessuti ammorbiditi e infetti
- formazione di cavità per il materiale che verrà utilizzato per il riempimento permanente
- trattamento farmacologico della cavità formata con soluzioni deboli di antisettici (ad esempio, clorexidina al 2%)
- riempimento con materiale preselezionato.
La fotografia sotto mostra un esempio di una cavità già formata durante il trattamento della carie profonda:


Opinione del dentista
Attualmente, ci sono due diverse posizioni riguardo all'uso dei cuscinetti medici per il trattamento della carie profonda (i cuscinetti sono necessari per proteggere la camera pulpare del dente dagli effetti tossici dei materiali di riempimento). Molti dentisti sono dell'opinione che il trattamento medico possa e debba essere posto per prevenire complicazioni. Un'altra scuola dentale, a differenza della prima, sostiene di non utilizzare i cuscinetti medici, ma di limitarsi a materiali isolanti (ad esempio a base di cementi vetroionomerici) e di mettere immediatamente materiali di riempimento moderni in una sola visita.
La maggior parte dei dentisti non nega il fatto che non è vietato mettere una guarnizione medica per la carie profonda sotto un riempimento temporaneo per il periodo di trattamento richiesto (da diversi giorni a 2-3 settimane) fino a quando il suo effetto terapeutico ha un ruolo positivo. E alla seconda visita, il dentista può tranquillamente mettere un sigillo permanente.
Materiali moderni usati come otturazioni per carie profonde:
- compositi
- cementi vetroionomerici (limitati)
- compomeri
- ormocer (ceramiche organicamente modificate)
e alcuni altri.
La maggior parte dei materiali moderni suggerisce l'uso di cementi vetroionomerici (SIC) come guarnizioni isolanti, poiché rilasciano fluoruri nei tessuti dentali per lungo tempo, fornendo un ulteriore effetto anti-carie.

Il più profondo - il più costoso?
Attualmente, la politica dei prezzi della maggior parte delle cliniche dentali è in gran parte determinata dalla profondità della lesione cariosa, poiché la carie profonda consuma materiale più costoso rispetto, ad esempio, in media. E alcune ditte per determinare il costo del trattamento sono guidate solo dalla posizione della profonda cavità cariata secondo le classi nere (1, 2, 3, 4 e 5).
Molto spesso, l'enfasi è sulla profondità e sull'area della lesione, quindi dovrai pagare di più per l'ultimo stadio del processo carioso che per i primi tre.Questo è il motivo per cui il trattamento della carie non dovrebbe iniziare nella fase in cui minaccia già di svilupparsi in pulpite, ma quando vengono rilevati i primi segni della malattia (punto, rugosità, minimo dolore).
Stai ancora aspettando che la pillola allevi di nuovo il mal di denti? Nel frattempo, i batteri si stanno avvicinando sempre di più alla camera pulpare del dente, e tuttavia distruggeranno tutto lì se ci arrivano. Quindi non esitare e corri alla clinica dentale!
Ma cosa ti aspetta nel trattamento della carie profonda ...
Metodi di trattamento per la carie profonda


