
In generale, non esiste una nosologia come la carie nascosta nei libri di consultazione medica e nelle enciclopedie. Sebbene i dentisti stessi e i loro pazienti utilizzino attivamente questo termine.
Il punto qui è che la carie nascosta è il nome comune per qualsiasi carie che non può essere trovata sui denti senza speciali metodi diagnostici. Questa è la sua principale differenza rispetto alla carie in altre manifestazioni: i denti sembrano assolutamente sani, ma il processo patologico in essi può essere sviluppato in modo tale che il trattamento della malattia richiede non solo la rimozione di parte della dentina, ma anche la depulpazione ("rimozione del nervo").
La foto sotto mostra la carie nascosta nel dente estratto (situato sulla superficie di contatto, cioè nel punto di contatto con il dente adiacente). L'area interessata ha raggiunto la camera pulpare:

In molti casi, la carie latente accompagna l'ordinario e il plurale e solo in casi eccezionali si sviluppa indipendentemente da altri denti sani. Tali casi sono diagnosticati più raramente e spesso portano a danni ai denti molto profondi.
Danno al dente in caso di carie nascoste
In generale, i danni ai denti sotto forma di una cavità con carie nascoste differiscono poco da quelli per i casi distinguibili ad occhio nudo. La natura e l'estensione di tale danno sono determinate dall'età del processo cariato e dalla sua localizzazione sul dente. Pertanto, la carie nascosta può avere le seguenti localizzazioni:
- Sulle pareti prossimale (contigua) e distale (posteriore) del dente. Qui, le sue manifestazioni sullo smalto sono molto difficili da notare con uno specchio o una sonda.
- Sotto otturazioni o corone posizionate in modo errato. Se i batteri della cavità orale possono entrare nello spazio tra i tessuti dentali e il materiale di riempimento, è probabile che il processo cariato inizi a svilupparsi qui.
- Nelle aree del dente situate sotto la gomma (le particelle di cibo spesso si accumulano qui e non vengono pulite con uno spazzolino da denti).
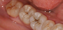
- Nelle fessure, fossa naturale dei "denti posteriori". Se il danno allo smalto è piccolo, non è sempre possibile notarlo con uno specchio e una sonda, e quindi anche con la presenza effettiva di manifestazioni esterne, tali carie possono essere classificate come nascoste.
Nella foto - tipico carie delle fessure con manifestazioni esterne minime:

Il danno a un dente con carie nascosta è simile a quello con una forma della malattia visivamente diagnosticata. Tuttavia, la specificità del processo porta al fatto che la carie latente si trova di solito solo nelle fasi intermedie e tardive dello sviluppo, quando copre una parte significativa del tessuto dentinale e peripolare. Di conseguenza, quando viene aperto un dente interessato, vengono rilevate ampie cavità danneggiate.
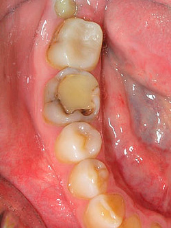
Le foto seguenti mostrano un esempio di carie nascoste in un dente sotto un ripieno:


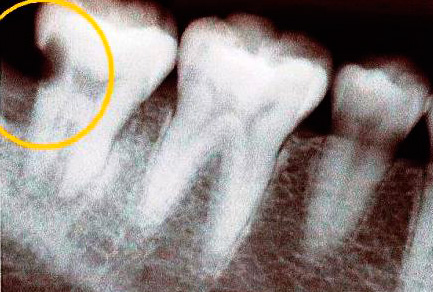
E in questa immagine c'è un roentgenogram di un dente con carie nascosta in una fase piuttosto avanzata di sviluppo. Si può vedere che l'area interessata dalla carie si è avvicinata al canale con il nervo:

Dalla pratica del dentista
Un tipico caso clinico: in un paziente, tra due denti affetti da carie, ce n'è uno, apparentemente sano, senza danni visibili. La logica suggerisce che se sono colpiti due denti, è probabile che siano interessati dalla carie e che si trovino tra di loro. Assegno una radiografia al paziente per verificare l'integrità dei tessuti interni. Sulla radiografia si vede una carie ben sviluppata vicino alla parete posteriore del dente. La sconfitta non aveva ancora raggiunto la polpa, ma penetrò in profondità nella dentina. In questa situazione, è stato sufficiente pulire l'area danneggiata e sigillare.
Manifestazioni cliniche
La carie nascosta praticamente non si manifesta. Poiché non vi è alcun danno visibile allo smalto dei denti con esso, o sono piccoli, fino a quando la polpa non è coinvolta nel processo patologico, il paziente di solito non avverte disagio quando liquidi caldi o freddi salgono sul dente, lo mastica normalmente.
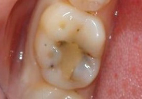
In rari casi, l'area interessata si espande verso le aree adiacenti di smalto e con uno sguardo più attento al dente si notano macchie scure. La foto sotto mostra un esempio di tale carie nascosta sotto un vecchio sigillo:

Quando la patologia si diffonde nelle aree innervate del dente, il paziente inizia a provare dolore quando viene esposto a denti freddi o caldi, nonché a cibi acidi, dolci o salati. Le prime settimane o mesi, questo dolore non è molto forte e non si verifica sempre. A poco a poco, si intensifica e raggiunge una fase in cui il paziente è costretto ad andare in clinica. In tali situazioni, la depulpazione ("rimozione dei nervi") è quasi inevitabile.
Qual è il pericolo di carie nascoste?
Il principale pericolo della carie latente è lo sviluppo poco appariscente del processo patologico a tali stadi che richiedono o depulpazione o estrazione dei denti in generale.

Inoltre, con lo sviluppo della carie sulle superfici prossimali, è possibile "passare" al dente adiacente, e talvolta con lo sviluppo della malattia in esso in una forma nascosta.
nota
Ciò richiede un chiarimento: per qualche motivo, molte persone sono sicure che la carie possa essere "trasmessa" e infettare un dente adiacente, ma non è così, la carie è un processo locale e non "contagioso". È importante capire che, nel senso letterale della parola, non ci sarà una transizione verso un altro dente. Forse c'è qualcos'altro: se la carie latente si sviluppa su un dente con la formazione di una cavità, l'autopulizia del gap lascia molto a desiderare. Un costante accumulo di detriti alimentari di carboidrati provoca un aggravamento del processo nel primo dente e l'inizio di una nuova distruzione nel vicino.

In rari casi, sia senza dolore, sia con la riluttanza del paziente a consultare un medico, l'area cariata può coprire la maggior parte dello spazio riempito di dentina. Questa situazione è irta del fatto che il dente, in effetti, si trasforma in un guscio vuoto, che può sbriciolarsi anche con un piccolo carico.
La foto sotto mostra la carie nascosta con un'ampia area della lesione (radiografia), una parte significativa della corona dentale è coperta da patologia:

Diagnosi della malattia
I moderni metodi diagnostici consentono di rivelare la carie latente in qualsiasi sua localizzazione e in qualsiasi fase di sviluppo. Ma per arrivare a utilizzare questi metodi, il dentista deve avere sospetti di un processo cariato, anche se indiretto. Spesso in assenza di lamentele da parte del paziente e quando si esamina la cavità orale, la carie latente rimane inosservata e si sviluppa in modo sicuro fino a quando non appare il dolore nel dente interessato.
In molti casi, la patologia latente si sviluppa in parallelo con lesioni cariose, che sono chiaramente visibili su altri denti. In questo caso, un dentista esperto valuta correttamente la situazione cariogena generale nella cavità orale, comprende che con lesioni frequenti e multiple di altri denti, la probabilità di sviluppare carie nascoste è molto alta e prescrive la diagnosi utilizzando metodi speciali. Questi includono, ad esempio:
- Una radiografia in cui le aree con carie nascoste sembrano più scure dei vicini sani.
- Transillumination e diagnostica luminescente. Entrambi questi metodi rivelano nascosti danni ai denti cariati in qualsiasi momento.
- Diagnostica laser.


È quasi impossibile rilevare autonomamente la carie nascosta. Prima dello sviluppo della pulpite, non verrà rilevato quando si tocca il dente e lo si tratta con acqua fredda o calda.
Pertanto per presto diagnosi di carie nascosta le visite preventive regolari dal dentista sono molto importanti.
Come viene trattata la carie latente?
Il trattamento della carie latente nella maggior parte dei casi consiste nella rimozione delle cavità interessate e nell'ulteriore riempimento del dente. Inoltre, se la patologia si sviluppa nella zona cervicale o sotto la gengiva, il dentista deve regolare i tessuti molli che circondano il dente.
Le immagini seguenti mostrano esempi di preparazione di cavità:



In alcuni casi, la carie latente viene rilevata nella fase di macchia o danno superficiale allo smalto senza penetrazione nella dentina. In questi casi, per un trattamento efficace, è possibile fare a meno di un'autopsia. Il medico può rafforzare lo smalto con preparati di calcio e fluoruro per ripristinarlo (rimineralizzazione).
Nei casi in cui si trova un processo cariato latente sotto un riempimento allentato, le aree danneggiate vengono eliminate e al loro posto viene installato un nuovo riempimento.
Tale trattamento è generalmente indolore e solo occasionalmente può causare formicolio. Se si verifica dolore acuto nel paziente durante lo stripping della dentina, questo indica il coinvolgimento della polpa nel processo e richiede la rimozione del nervo con un ulteriore riempimento dei canali.




Nella maggior parte dei casi, il trattamento chirurgico della carie latente viene eseguito utilizzando l'anestesia (anestesia locale), anche se la "perforazione" non è richiesta in profondità. Di solito questa domanda è coerente con il paziente prima del trattamento e la decisione viene presa reciprocamente.
In rari casi, con un danno su larga scala al dente, è necessaria l'escissione di tutti i tessuti danneggiati dalla carie, fino al livello delle gengive, con la successiva installazione di una corona, o anche l'estrazione del dente e l'impianto dell'impianto. Di norma, con visite regolari dal medico ed esami costanti, è possibile evitare la malattia in tali fasi trascurate e preservare i denti che sono stati riempiti, ma nativi.
La prevenzione della carie nascosta non differisce da quella delle sue altre forme: è necessario osservare l'igiene orale, rimuovere i detriti di cibo intrappolati tra i denti, limitare l'uso di caramelle tra i pasti e usare preparati di calcio e fluoro quando prescritti da un medico. E, soprattutto, sottoporsi regolarmente a esami dal dentista. La carie nascosta è un buon esempio del fatto che una visita dal medico è necessaria anche senza dolore ai denti e altri segni evidenti dello sviluppo del processo patologico.
Cause di carie e metodi efficaci di protezione contro di essa
E così, infatti, la preparazione della cavità e l'installazione del riempimento avviene dal vivo

Grazie per l'articolo, un argomento completamente divulgato. Da paziente, stavo cercando un modo per chiarire la carie secondaria e latente. Questa è una radiografia. Grazie)) Buona fortuna!
Il mio medico non ha notato carie nascoste durante un esame di routine. Dopo 6 mesi, il dente iniziò a sgretolarsi, e si è scoperto che la carie era già tale da dover mettere una corona ... Ecco come ho perso il dente. E a proposito, il medico è molto professionale e costoso, da una clinica privata.
Ma il medico mi ha detto che non c'erano carie nascoste sulla radiografia + il nervo era stato rimosso in quel dente e ha detto che poteva far male alle gengive.Ma è passata più di una settimana e il piccolo dente fa ancora male dal basso e in mezzo. Cosa fare in questo caso?
Benvenuti! La situazione è difficile per la ricerca remota della causa del dolore. Può essere qualsiasi cosa: dall'errore di un medico nella diagnosi alla banale disattenzione. Immagino uno dei motivi:
1. Canali dentali mal trattati;
2. Carie nascoste su un dente "vivente" adiacente;
3. Un punto di contatto formato in modo errato (lo spazio tra i denti), a causa del quale la gomma viene ferita.
Puoi inviare la tua foto del dente alla posta del sito: cercherò e commenterò. Con l'aiuto delle immagini, la quantità di informazioni su un caso clinico è spesso significativamente aumentata. Comunque sia, la tua situazione richiede una più attenta considerazione per escludere la parodontite in un dente già trattato nei canali, così come la possibile pulpite (o carie) in uno dei vicini.
Ciao, un dente con i nervi fa male e si abbassa alla mascella. C'è stato un riempimento, 5 anni fa c'era la carie, curata, dopo una settimana il dente faceva male, il dottore ha detto che tutto passerà - il dolore è andato via. Ma col passare del tempo, ha iniziato a ammalarsi di nuovo, è andata dal medico - ha inviato una radiografia, ha detto che tutto andava bene e non poteva disturbare, ma ha sostituito il sigillo (secondo me, c'era carie sotto). Ma il dente fa ancora male, e ora il dolore si è intensificato. Cosa potrebbe essere? Grazie per la risposta
Ciao Tatyana! I sintomi da te descritti indicano una possibile infiammazione della polpa del dente (pulpite). E nonostante il fatto che sulla radiografia, come ti ha detto il medico, "tutto vada bene", devi capire le cause del problema, senza aspettarti che tutto scompaia da solo. Il dolore costante nel dente indica la possibile presenza di infiammazione, che, se non viene fatto nulla, può portare alla perdita dei denti. Ti consiglio di contattare un dentista-terapista esperto per chiarire la situazione (senza esame, via Internet nel tuo caso non c'è modo di capire le vere cause del dolore).
L'ho avuto. È uno stipite quando si sigilla e si puliscono i canali. L'infiammazione alla fine della radice non viene trattata, il dente viene rimosso.
Queste scuole sono trattate endodonticamente per la maggior parte. Si consiglia di consultare altri specialisti prima della rimozione. Forse nel tuo caso c'erano buone possibilità di salvare un dente. Mi dispiace
Ciao Circa 2 anni fa ho curato un dente. Sealed. Ora è apparso un punto oscuro attorno al sigillo. Cosa significa questo? Che si sono lavati male un dente prima del riempimento, non hanno rimosso completamente la carie? Devi andare di nuovo dal dottore? Quindi non voglio ((
Ciao Cirillo. Tuttavia, è necessario consultare un medico - apparentemente, c'era una violazione dell'adattamento marginale del sigillo al dente. Le ragioni possono essere molto diverse, non è affatto necessario che il medico "si lavi male il dente". Un periodo di 2 anni è sufficiente per causare tale problema. È importante sostituire rapidamente il sigillo, poiché altrimenti la situazione peggiorerà e può portare a complicazioni (per esempio per la pulpite).