
La carie è un processo patologico complesso, di regola, che progredisce lentamente nella distruzione dei tessuti duri dei denti a causa del complesso effetto dei cosiddetti fattori cariogeni su di essi.
Quando per la prima volta nell'impero romano il chirurgo Archigen "forò" un dente per un paziente e eseguì con successo il trattamento della carie, la sua esperienza fu gradualmente dimenticata e rimase solo in documenti storici. Ci sono voluti più di un secolo per ricordare di nuovo il trattamento della carie.

Nel Medioevo, le persone erano molto interessate alle cause della carie e del dolore ai denti. Tuttavia, il fatto che la carie sia una malattia è diventato noto molto più tardi.
A proposito, nel I secolo d.C. il medico romano Scribonio cercò di suggerire che la carie dentaria fosse associata a "succhi cattivi" che entrano in bocca con il cibo. Da allora sono apparse diverse decine di teorie su cosa sia la carie e quali siano le cause del suo verificarsi e del suo sviluppo, alcune delle quali sono sopravvissute fino ad oggi.
Natura batterica della carie
La teoria chimico-parassitaria di Miller sullo sviluppo della carie dentale è nata già nel 1884 ed è ancora considerata la migliore interpretazione della moderna comprensione delle cause di questo processo patologico. Con correzioni minori, oggi viene utilizzato attivamente.

Grazie a questo lavoro, l'umanità ha appreso che la causa principale della carie sono i prodotti vitali dei microrganismi, che vengono rilasciati quando fermentano i carboidrati nella cavità orale, in particolare sulla superficie dello smalto dei denti. In altre parole, lo zucchero dal cibo è un terreno fertile per i batteri (ad esempio, per lo Streptococcus mutans anaerobico), che si trovano in grandi quantità nella placca.
L'isolamento degli acidi organici, che sono prodotti della fermentazione dei carboidrati, determina il motivo principale della dissoluzione dello smalto dei denti con la lisciviazione di composti di fluoro, calcio e fosforo, che a sua volta porta a una graduale distruzione della struttura cristallina.


È interessante
Anche allora, Miller ha riconosciuto l'esistenza di alcuni fattori, come la quantità e la composizione della saliva, la natura e la dieta, la composizione dell'acqua potabile, nonché l'influenza dell'ereditarietà e delle condizioni di maturazione dello smalto, da cui dipendeva direttamente la possibilità di carie.
È stato scoperto che di solito solo pochi minuti dopo aver mangiato carboidrati è sufficiente affinché il pH nella cavità orale scenda da 6 a circa 4. E più basso è il pH (in altre parole, maggiore è l'acidità del mezzo), maggiore è il tasso di distruzione dello smalto, più velocemente progredisce carie.

Tra gli acidi formati nella placca, è stato trovato acido lattico, oltre a formico, propionico, butirrico e, in misura minore, alcuni altri. È interessante notare che il principale carboidrato necessario ai batteri nella nostra cavità orale per formare questi acidi è il saccarosio. Durante la fermentazione di fruttosio e glucosio si formano acidi cariogenici significativamente meno intensi.
Ma lo xilitolo o il sorbitolo, ad esempio, sono praticamente innocui dal punto di vista dei fattori che provocano la carie: il sistema enzimatico dei microrganismi a placche non è in grado di convertire queste sostanze in acidi a una velocità significativa.

Oggi, grazie a numerosi studi aggiuntivi, possiamo sostenere che la carie dentaria è un processo patologico locale che si verifica solo dopo la dentizione ed è associato alla demineralizzazione focale dello smalto, seguita dall'ammorbidimento dei tessuti duri, che porta alla formazione di una cavità.
Da questo seguono alcuni punti importanti:
- La carie dentaria è una patologia che richiede un trattamento tempestivo, in modo che la distruzione non porti a una cavità cariata.
- La carie è precisamente un processo patologico locale, cioè un dente non può "infettare" l'altro.
- La carie non si verifica mai prima della dentizione. Ciò significa che la malattia si sviluppa sulla superficie del dente in mezzo all'azione di fattori cariogeni.

L'eziologia della carie continua a essere studiata (in particolare, i problemi relativi all'influenza dell'ereditarietà, vari fattori ambientali dannosi, ecc.).
Malattia della società moderna
La carie sui denti appariva nei tempi antichi, ma c'è motivo di credere che questo problema non fosse diffuso e che il trattamento fosse ridotto a una banale estrazione dei denti. Tuttavia, già nel Medioevo, la carie è diventata un problema per la maggior parte delle persone. Gli scienziati lo attribuiscono a un cambiamento nella dieta umana, nonché nelle condizioni ambientali e quotidiane.
A partire dal XVIII secolo circa, l'incidenza della carie inizia inesorabilmente a crescere e oggi la sua prevalenza in diverse regioni del pianeta raggiunge il 100%. Inoltre, l'incidenza della carie nell'Europa occidentale è relativamente bassa, mentre in Africa e in Asia queste cifre raggiungono l'80-97%.

Tali statistiche sono spiegate da tutta una serie di fattori complementari:
- La natura della dieta (in particolare, eccesso o carenza di carboidrati);
- Il contenuto di fluoruro, così come altri micro e macro elementi nell'acqua potabile;
- Condizioni sociali e climatogeografiche (livello di cure dentistiche per la popolazione, consumo di acqua potabile contenente fluoruri, ecc.).
Secondo studi di diversi autori, si osservano lesioni cariate in circa l'80-90% dei bambini con denti da latte e, al momento del conseguimento del diploma di scuola, circa l'80% dei bambini ha carie, già con denti permanenti.

Per quanto riguarda gli adulti: nei paesi sviluppati, circa il 95% di essi ha almeno un riempimento nel dente.
Classificazione della carie
Per un uso pratico, il più conveniente è forse la classificazione della carie in base alla profondità del processo. In questo caso, la carie è divisa in due grandi gruppi: semplice e complicato, l'ultimo dei quali comprende vari tipi di pulpite e periodontite.
Per quanto riguarda la carie realmente semplice, è classificata nei seguenti tipi:
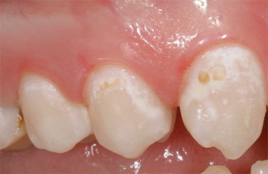
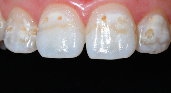
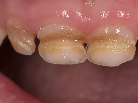
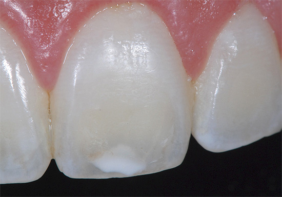
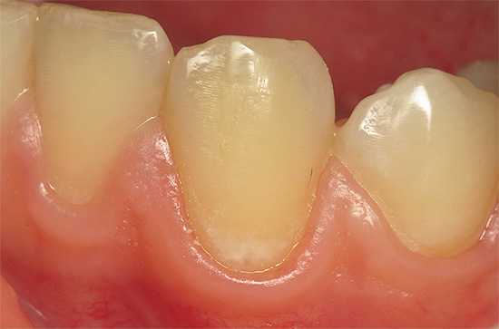
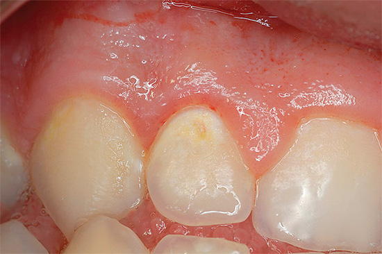
- Carie nella fase spot (lo smalto è localmente demineralizzato, a causa del quale il suo colore cambia e anche la sua durezza e levigatezza possono diminuire; il dolore in questa fase, di regola, è assente. diagnosi di carie nella fase spot, è importante differenziarlo con lesioni non cariose dei denti, ad esempio con ipoplasia e fluorosi).

- Carie superficiale (una macchia bianca o calcarea diventa ruvida in questa fase, può iniziare a pigmentare. Una caratteristica del quadro clinico della carie superficiale è la comparsa di dolore acido, dolce, freddo. In questa fase, è tutt'altro che sempre possibile fare a meno del riempimento).

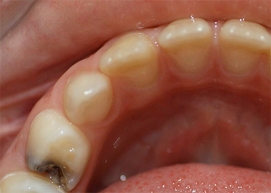
- Carie medie (l'area di distruzione penetra più in profondità nel tessuto dentale con danni alla dentina, il dolore da fattori irritanti diventa più pronunciato e intenso).

- Carie profonde (la lesione raggiunge la dentina peripolare. Se il trattamento non è iniziato in questa fase, la camera pulpare sarà interessata ed è molto probabile che richieda depulpazione - rimozione del "nervo dentale". Con la carie profonda, il dolore può essere molto forte e prolungato).

Esistono altri tipi di classificazione della carie (in base alla gravità del processo, in base alla localizzazione sui denti, in base alla durata del corso, secondo l'OMS, ecc.)
Cos'è la carie pericolosa
Attualmente, acuto e carie cronica denti.In un corso cronico, la carie può essere nello stesso stadio di sviluppo per molto tempo.
Ad esempio, una macchia bianca cariata che appare sulla superficie di un dente può gradualmente diventare pigmentata a causa di coloranti alimentari, ma per lungo tempo non porta alla distruzione degli strati superiori di smalto. Nella forma cronica, il passaggio alla carie superficiale può avvenire solo molti anni dopo l'inizio del processo di demineralizzazione.

Cosa non si può dire carie acutaquando, nel giro di poche settimane o mesi, un difetto superficiale si sviluppa prima da una macchia pigmentata o bianca, e quindi la cavità si sviluppa come carie media o profonda. Senza trattamento, un processo così rapido di solito porta a complicazioni della carie: pulpite e parodontite.

Nel trattamento della pulpite, viene eseguita la cosiddetta depulpazione - rimozione del nervo dentale. Nella maggior parte dei casi, un dente morto servirà meno di un dente vivo.
La rimozione dei denti a causa della parodontite è l'opzione peggiore per un morso: in assenza di uno o più denti, gli altri spesso iniziano a spostarsi gradualmente rispetto alla loro posizione normale originale. Ecco perché il trattamento tempestivo è così importante già nelle fasi iniziali dello sviluppo della patologia (punti della carie), quando è possibile rinunciare ai metodi conservativi di terapia.
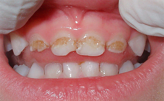
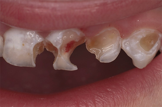
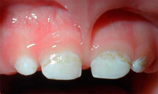
Spesso sorgono grandi difficoltà con lesioni multiple della cosiddetta carie "a flacone" di denti decidui nei bambini di età compresa tra 2 e 3-4 anni.

nota
Di norma, la carie in bottiglia si verifica nei bambini con ridotta immunità, varie patologie concomitanti, tuttavia, i casi del suo sviluppo in bambini sani non sono rari a causa della struttura del tessuto inferiore dello smalto e di altri fattori che causano la carie. Questi includono, principalmente, un'alimentazione scorretta e la mancanza di una corretta igiene orale dopo di essa. I residui di cibo dopo l'alimentazione (specialmente di notte) con salivazione debole e (o) insufficiente componente minerale della saliva consentono ai microrganismi formati sui denti della placca di portare rapidamente alla carie.
Le seguenti foto mostrano alcuni esempi di carie di bottiglie:


Tutto inizia con le solite zone di demineralizzazione focale o un punto nella regione cervicale, e quindi l'inizio della distruzione può trasformarsi in una grave forma di carie cervicale - carie circolare, fino a spezzare parte o tutta la corona dentale. Allo stesso tempo, i denti potrebbero non essere malati a lungo a causa delle loro capacità protettive di formare la dentina sostitutiva, che evita l'apertura accidentale della polpa ("nervo").
Se non si inizia il trattamento in tempo, le conseguenze della carie in bottiglia possono essere molto gravi. Nessuno sa con certezza in quale giorno inizierà il dolore dovuto alla carie, ma è nel momento più inopportuno che il bambino rifiuterà di mangiare normalmente e persino di dormire.
Gli antidolorifici scelti in modo errato possono danneggiare la salute generale del bambino e fermare il dolore per un po 'non è un risultato positivo, ma un benessere immaginario. Dopo qualche tempo, possono verificarsi seri processi infiammatori sulle radici dei denti da latte (spesso manifestati dal "flusso" sulle gengive), portando alla necessità di estrarre i denti.

La rimozione multipla dei denti da latte comporta una violazione del morso del latte. Infezione cariata, infiammazione, estrazione prematura dei denti decidui - tutto ciò influenza direttamente o indirettamente il normale sviluppo e la dentizione dei denti permanenti. Al fine di prevenire conseguenze così terribili, è necessario trattare tempestivamente la carie anche sui denti da latte, senza giustificare l'inazione dal fatto che presto cadranno.

Non sottovalutare l'effetto dei denti malati sulla qualità della nutrizione umana. Con carie profonde, mangiare e masticare normalmente possono essere significativamente complicati e per un lungo periodo di tempo questo di solito ha un effetto negativo generale sul corpo.
Inoltre, i denti cariati nella zona del sorriso spesso portano a complessi psicologici, specialmente nei bambini. Paura di sorridere in modo ampio, copertura costante durante la bocca che ride con la mano - tutto ciò può essere attribuito a una sorta di pericoli psicologici associati alla presenza di carie.
Carie dentale
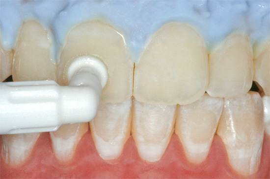
La carie nello stadio di una macchia bianca è la più favorevole per il trattamento conservativo in odontoiatria senza l'uso di un trapano. Per questo, possono essere utilizzati vari farmaci e tecnologie.

Le opzioni di trattamento più diffuse per il focus della demineralizzazione dello smalto sono rimineralizzanti farmaci e agenti per la fluorizzazione profonda:
- Gluftored;
- Remodent;
- Liquido sigillante a smalto;
- Belagel Ca / P, Belagel F, ecc.

L'azione di questi farmaci si basa sul fatto che la demineralizzazione dello smalto è reversibile durante la carie iniziale. Inoltre, è in corso il processo di ripristino in condizioni normali in una persona sana: tutti i componenti minerali necessari per questo sono già contenuti nella saliva (per questo motivo, la saliva è anche chiamata "smalto liquido").
La concentrazione di componenti minerali nelle preparazioni rimineralizzanti è centinaia di volte superiore a quella della saliva, pertanto, in un breve periodo di tempo, sono in grado di saturare lo smalto dei denti con tutti i componenti necessari in quantità sufficienti per intensi processi di recupero. Tuttavia, tale restauro non è sempre possibile: il criterio di reversibilità della distruzione dello smalto da parte della carie è la conservazione della matrice proteica, che determina la disposizione ordinata delle particelle minerali nei tessuti dei denti. Se le fibre di collagene della matrice vengono distrutte, i metodi di trattamento conservativi non saranno sufficienti e sarà richiesta l'installazione di un sigillo.

I suddetti farmaci sono destinati esclusivamente all'uso professionale, ma possono essere combinati con il trattamento della carie a casa: dentifrici e gel rimineralizzanti:
- Crema rimineralizzante per denti GC Tooth Mousse;
- Gel rimineralizzante O.C.S. Minerali medici;
- Dentifricio al fluoro attivo Fluorodent;
- Un altro dentifricio al fluoro è New Fluoride Pearl;
- Colgate Maximum;
- Lacalut Fluor;
- Pepsodent
E altri
Tra le moderne tecnologie per il trattamento della carie in fase spot, la tecnica ICON non invasiva sta guadagnando popolarità: il trattamento della carie senza trapano, che prevede l'infiltrazione di resine polimeriche del farmaco nella zona di smalto demineralizzato preparato e trasformato in anticipo.

Il trattamento della carie superficiale, media e profonda il più delle volte non fa a meno dell'uso di un trapano e prevede diverse fasi:
- Anestesia (anestesia generale o locale secondo le indicazioni);
- Rimozione della placca (pietra) dalla superficie dei denti;
- Isolamento del campo chirurgico con diga di gomma o tamponi di cotone convenzionali;
- Preparazione mediante punte di turbina o punte per un micromotore con raffreddamento obbligatorio aria-acqua;
- Espansione della cavità con la rimozione di dentina ammorbidita e pigmentata (in alcuni casi) e smalto difettoso;
- La formazione di una cavità per un materiale preselezionato per un sigillo;
- Impostazione del sigillo secondo le istruzioni per esso;
- Finitura.
Di seguito sono elencati alcuni materiali moderni dall'arsenale di un dentista professionista:
- compositi;
- Cementi vetroionomerici;
- compomeri;
- Ormoker (ceramica organicamente modificata).
Mezzi di prevenzione: separiamo la verità dalla pubblicità
La maggior parte degli spot pubblicitari ti fanno credere che l'uso di dentifrici contenenti alte concentrazioni di fluoro porterà a uno smaltimento affidabile della carie. Lo stesso vale per i condizionatori al fluoro.

Si vuole sempre credere in un miracolo, soprattutto quando gli specialisti dentali consigliano sugli schermi spiegando la loro esperienza nell'uso di questi prodotti per l'igiene.In effetti, il semplice uso di pasta di fluoruro o brillantante sarà estremamente insufficiente, poiché l'implementazione dei compiti di prevenzione del verificarsi e dello sviluppo della carie richiede una serie di misure sequenziali:
- Limitare l'assunzione di carboidrati (qualsiasi pasticceria);
- Obbligatorio mangiare cibi solidi, come frutta e verdura;
- Igiene orale obbligatoria dopo ogni pasto (almeno risciacquare la bocca dopo aver mangiato);
- Esecuzione della corretta tecnica di spazzolatura - tutte le superfici disponibili.
È interessante
In numerosi paesi industrializzati, i bambini di età inferiore a 1 anno hanno già carie carie. Entro la fine di 2 anni di vita, il numero di bambini con carie è circa raddoppiato. A 5 anni, la carie viene diagnosticata in circa il 75% dei bambini.
La carie dentaria predomina nei denti da latte e la proporzione di carie approssimative (a contatto) aumenta con l'età. Ciò è dovuto in gran parte alla cultura della nutrizione e alla predominanza di un'alta elaborazione culinaria dei cibi nei paesi sviluppati.
E anche se la pubblicità tace su molte cose, è tutt'altro che mentire: il dentifricio contenente fluoro sarà particolarmente utile se usato in combinazione con un collutorio contenente fluoro, nonché quando si usa il filo interdentale per pulire gli spazi interdentali.

Va tenuto presente che la composizione, la quantità e le proprietà battericide della saliva in ogni persona sono individuali. Non tutti sono fortunati con alti tassi di rimineralizzazione del liquido orale, ma ci sono quelli che hanno tutto in ordine con questo. Ciò significa che ci sono molte persone che, sebbene consumino regolarmente dolci, potrebbero non lavarsi o non seguire la tecnica di lavarsi i denti, ma non hanno problemi con la carie.
Tuttavia, in ogni caso, non dovresti fare affidamento esclusivamente sulle capacità del tuo corpo, senza fare alcuno sforzo per mantenere la salute dei tuoi denti. La profilassi della carie regolare non richiede troppi sforzi per trascurarla, quindi prenditi cura dei tuoi denti dalla giovinezza e sii sano!
Cos'è la carie e come proteggerla
Quando i dentifrici al fluoro possono essere dannosi
Come mantenere i denti sani fino alla vecchiaia: consigli pratici



