
Si possono distinguere due tipi di processo carioso: carie acuta e cronica. Inoltre, secondo un certo numero di ricercatori, questa divisione della carie per i tempi di formazione e sviluppo è solo di interesse scientifico - per studiare i processi che si verificano nei tessuti di un dente cariato per un determinato periodo di tempo. Saremo interessati a questo argomento dal punto di vista della diagnosi tempestiva della lesione cariata, del trattamento e della prevenzione.
In generale, la carie cronica è una caratteristica delle condizioni generali dei denti del paziente. Può essere descritto come l'aspetto costante di nuove lesioni, il loro sviluppo lento e poco appariscente. Solo nelle fasi avanzate del processo carioso (con carie moderate o profonde) compaiono sintomi caratteristici che fanno andare una persona dal medico.

Senza una lotta completa, compresa un'adeguata cura dentale, correzione della dieta e del modo di mangiare, nonché senza eliminare altri possibili fattori cariogenici, la carie cronica è incurabile - apparirà costantemente sui denti fino a quando le cause del suo verificarsi non saranno eliminate.
La carie cronica è molto più comune che acuta. In generale, quasi ogni carie che non ha segni di una malattia generalizzata è cronica con un particolare tasso di sviluppo. Molti pazienti non prendono nemmeno sul serio questa malattia, considerando il danno ai denti semplicemente come un malinteso casuale o come una cosa ovvia.

Dall'esperienza del dentista:
Va notato che il decorso acuto e cronico della carie è un processo che si trasforma reciprocamente. In altre parole, sono così instabili che con cambiamenti nel corpo per una serie di ragioni carie acuta può rallentare, acquisendo un decorso cronico, fino a una sospensione temporanea. E viceversa, quando il corpo è esposto a fattori avversi, sia esterni che interni (disturbi metabolici, malattie fisiche, stress, ipotermia, disordini alimentari grossolani, ecc.), La carie cronica può diventare rapidamente acuta.
Ecco perché in pratica è praticamente impossibile stabilire con precisione il tempo specifico di sviluppo della carie o distinguere un corso dall'altro in base alle lamentele del paziente e ai segni esterni del processo carioso. Spesso la carie acuta non ha sintomi nella cavità orale, poiché la parte danneggiata del dente si trova in un luogo inaccessibile a fattori irritanti esterni. Cioè, il dente decade rapidamente, ma non si osserva alcun dolore, il che provoca inoltre difficoltà nel determinare l'attività del processo cariato.
La carie cronica può essere osservata anche nei denti primari. Questa è una delle malattie più comuni nei bambini, poiché può essere difficile per i genitori tenere traccia delle condizioni dei loro denti in tenera età. A volte il dentista deve affrontare i problemi del decorso acuto della carie, quando in pochi mesi la carie del bambino nella fase spot si trasforma in profonde violazioni del tessuto dentale. In questo caso, è necessario interrompere immediatamente il suo sviluppo conducendo un trattamento complesso di tutti i fuochi.


Vi sono prove che la carie cronica nei bambini può essere determinata già su denti permanenti eruttati. Il principio del suo sviluppo è lo stesso del morso di latte.
Il quadro clinico e i sintomi della malattia
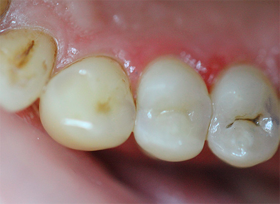
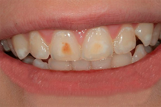
Un aspetto tipico dei denti con carie cronica è mostrato nella foto qui sotto:

Non ci sono lesioni estese dei denti e in alcuni punti le aree scure sono di dimensioni molto ridotte e spesso non attirano l'attenzione del paziente. Di solito il dolore è assente.
In alcuni casi, anche la carie profonda, che ha un decorso cronico, passa con sintomi minori, per non parlare delle fasi iniziali del processo carioso, quando la malattia può essere trattata senza riempimento. Ciò è in parte dovuto alla formazione della dentina sostitutiva, una reazione adattativa di un dente vivente all'apparizione di un fuoco irritante infettivo, quando si formano tessuti secondari che proteggono il nervo da agenti esterni e irritanti.


La carie quasi mai cronica non porta a una notevole distruzione dello smalto, che è molto caratteristica della carie acuta.
richiamo
“Vado dal dentista per tutta la vita, come ricordo. Non c'è nulla di particolarmente terribile, solo costantemente in un dente o in un altro, compaiono buchi, devono essere riempiti. Due denti non hanno nemmeno i nervi. Solo ora, dopo 30 anni, mi sono imbattuto in un buon dentista che ha spiegato tutto bene. Ho una carie cronica, che si sviluppa solo abbastanza lentamente. I denti stessi sono forti, ma li lavo in modo errato e irregolare, quindi si sviluppa anche la carie.
In generale, ho iniziato a risolvere questo problema. Ha guarito completamente tutti i suoi denti (poco più di 20.000 mi è costato tutto), ha acquistato una normale pasta di ROX, un condizionatore speciale prescritto dal medico. Per il terzo mese ho usato tutto questo, lavandomi i denti dopo ogni pasto e non ho fatto spuntini. Vedremo se questo dà un risultato ".
Ilya, Mosca
Nelle diverse fasi dello sviluppo, il quadro della carie cronica ha le sue caratteristiche:
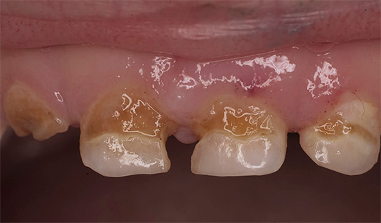
- La carie cronica nella fase spot quasi non si manifesta. Un dente può rispondere a cibi freddi o aria, ma questo non è percepito dal paziente come una patologia. L'area dello smalto demineralizzato appare come una macchia opaca biancastra sul dente.
- La carie superficiale cronica porta alla formazione di una cavità nello smalto dei denti, ma senza danni alla dentina. Tale cavità non ha bordi sporgenti, è ampia, ben aperta, lo smalto stesso di solito si scurisce a causa della pigmentazione, ma mantiene una durezza relativamente elevata.
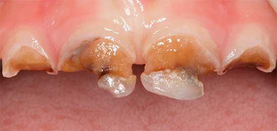
- La carie media cronica è caratterizzata da un'ampia cavità che colpisce la dentina. In questo corso, la cavità non ha ammorbidito la dentina, ma solo pigmentata dentina cariata. Il fondo è denso con lievi sporgenze e rugosità, che indica un processo lento nella fase di compensazione a causa della sostituzione della dentina.
- La carie cronica profonda differisce dalla media solo per la profondità della cavità. Inoltre non ha bordi a smalto sporgenti, generalmente ben lucidati.

In tutte le fasi dello sviluppo della carie, toccare l'area interessata non provoca dolore. La percussione provoca dolore di passaggio rapido solo in caso di complicazioni sotto forma di pulpite o parodontite.
Dalla pratica del dentista
Con tutti i tipi di carie, le percussioni non causano dolore. Il dolore con leggero colpetto sul dente è associato solo alle complicanze della carie e questo è il principale segno diagnostico che riguarda il funzionario diagnosi differenziale della carie secondo i protocolli.
In pratica, a volte con cavità profonde situate sulle superfici di contatto, il paziente può avere una sorta di "collettore di alimenti". Il cibo si blocca qui e provoca lesioni alle gengive. Se il paziente arriva con un'abbondanza di cibo bloccato e infiammazione della papilla gengivale, allora quando si tocca il dente (percussione) ci sarà sensibilità. Ma devi capire che può solo ferire le gengive, non un dente. La carie qui è solo una causa indiretta di dolore durante le percussioni. Di solito in questi casi usano metodi aggiuntivi di diagnosi differenziale. Ma questa è una rara situazione clinica, ufficialmente, con qualsiasi carie, la percussione è indolore.
Cause della carie cronica
In generale, la carie cronica si verifica per gli stessi motivi tipici della carie in generale, a causa dell'attività dei batteri che trasformano i residui di carboidrati nella bocca in acidi organici. Questi acidi influenzano regolarmente lo smalto dei denti e in un modo o nell'altro portano alla sua distruzione. Quindi la dentina che giace sotto lo smalto viene distrutta.

Nella maggior parte dei casi, la ragione dell'aumento dell'attività dei batteri cariogeni e del contributo allo sviluppo della carie cronica è l'insufficienza delle cure dentistiche. Il decorso lento della malattia indica che lo smalto dei denti di una persona sana è abbastanza resistente all'azione di fattori cariogeni e la saliva sopprime con successo l'attività dei batteri e ripristina la struttura dello smalto (la saliva contiene tutti gli elementi chimici necessari per questo). La natura ha già fatto tutto il possibile per proteggere i denti e lo sviluppo della malattia di solito si verifica solo per colpa del paziente.
Il decadimento cronico dei denti decidui si sviluppa per gli stessi motivi (un esempio è la cosiddetta carie di bottiglia). Spesso, la procrastinazione dei genitori nell'abituare il bambino all'igiene orale porta alla comparsa di focolai della malattia, che potrebbero essere evitati se si osservassero le regole elementari: regolare spazzolatura e risciacquo della bocca dopo aver mangiato.

Inoltre, la carie cronica nei bambini spesso non viene percepita dai genitori come una malattia in generale. Le lesioni cariate separate sono attribuite al fascino dei bambini con i dolci e molti genitori non prestano attenzione alla prevenzione e al trattamento, perché credono che se i denti del bambino cadono ancora, non vale la pena torturare il bambino dal dentista e spendere soldi per le cure. Di conseguenza, le misure necessarie non vengono prese in tempo e, di conseguenza, le singole lesioni diventano croniche.
Diagnosi della carie cronica
La diagnosi di carie cronica avviene di solito con un semplice esame visivo dell'aspetto delle aree cariate. A volte il medico conclude che il paziente ha carie croniche, a regolari esami del paziente, quando può valutare la frequenza della comparsa di nuovi focolai di danni ai denti e il tasso di sviluppo della malattia.

I raggi X, la transilluminazione e la diagnostica luminescente possono essere utilizzati per diagnosticare carie croniche moderate e profonde, ma di solito il loro uso non si verifica a causa dello stato visivo dei fuochi della lesione.
nota
La diagnostica luminescente viene utilizzata per riconoscere la carie iniziale. Può anche essere usato come diagnosi di complicanze della carie, come elemento di diagnostica differenziale. La transilluminazione non sarà necessaria quando la cavità è visibile all'occhio. Una radiografia sarà buona per identificare cavità nascoste centrali e profonde.
Specifiche del trattamento
Il trattamento della carie cronica praticamente non differisce da quello della carie acuta. Nella maggior parte dei casi, si limita alla rimozione di focolai identificati di carie senza l'uso di metodi di trattamento a lungo termine.
La carie superficiale e iniziale sono trattate con il metodo della terapia remineralizzante con l'uso di preparati di calcio e fluoro (cioè senza l'uso di un trapano). Tuttavia, in alcuni casi, è necessaria la macinazione delle lesioni con successiva mineralizzazione o persino la preparazione del dente con successivo riempimento.

Con carie medie e profonde, la dentina necrotica e lo smalto pigmentato vengono rimossi. Se la cavità pulita risultante è relativamente piccola, viene disinfettata e quindi riempita con materiale di riempimento. Con una grande cavità o la distruzione di una o più pareti del dente, vengono posizionate le linguette o, in alcuni casi, le corone.
In generale, con carie profonde, le corone vengono installate raramente.Schede - più spesso, poiché erano originariamente concepite in termini di ripetizione del sollievo dell'anatomia del dente e miglioramento delle funzioni rispetto alle toppe convenzionali. Spesso le linguette vengono posizionate e messe su denti (vivi) vitali. Con il moderno sviluppo dell'odontoiatria terapeutica estetica, otturazioni e linguette sono più importanti delle corone sui denti vitali.

richiamo
"Mi sembra di avere una carie cronica. Appare costantemente in diversi denti, ogni sei mesi deve andare regolarmente dal medico. Ma finora non c'è stato nulla di particolarmente terribile, per tutto il tempo sono stati messi solo i sigilli. "Mai prima d'ora i nervi sono stati rimossi e le corone non sono state fissate, anche se il medico dice che potrebbe presto esserci una ragione, perché sotto le otturazioni più vecchie, la carie potrebbe benissimo svilupparsi."
Oksana, Kiev
La scelta del trattamento dipende non solo dallo stadio di sviluppo della malattia, ma anche dall'età del paziente, dalla posizione della cavità, dai requisiti di estetica del materiale di riempimento. Ad esempio, la pratica ha dimostrato che i bambini che sanno cosa sono le otturazioni colorate e competono tra loro nella loro luminosità, tollerano con molta pazienza e pazienza le manipolazioni con i denti per ottenere un riempimento così luminoso.


nota
Con il trattamento adeguato della carie semplice, non c'è mai una situazione in cui è necessario rimuovere un dente. Con la grave mancanza di professionalità del medico, quando le sue azioni dirette (creando un buco nella parte inferiore del dente, un'eccessiva preparazione sotto la gengiva) o errori nella diagnosi e nel trattamento, seguiti dal trasferimento della carie alla pulpite, possono portare alla necessità di rimuovere il dente. Un buon dottore può sempre salvare un dente cariato senza pulpite e parodontite.
Teoricamente, nella carie cronica, il medico non ha bisogno di utilizzare materiali di riempimento che rilasciano fluoro nella cavità del dente per lungo tempo e si impegnano anche in una profonda fluorurazione e un monitoraggio costante dei denti del paziente. A causa del basso tasso di sviluppo del processo, la rimozione delle sezioni cariate fornisce protezione contro la carie per un periodo sufficientemente lungo e il fluoro e lo smalto di calcio del paziente sono già ricevuti in quantità sufficienti. Tuttavia, data la capacità della carie di passare rapidamente da una forma cronica a una acuta, i medici a volte preferiscono giocare in modo sicuro e mettere tamponi isolanti o otturazioni da cementi vetroionomerici che rilasciano fluoruri nei tessuti circostanti. Non sarà peggio da questo, ma il beneficio potrebbe essere.
Prevenzione della carie cronica
La prevenzione della carie cronica ha lo scopo di eliminare le cause del suo sviluppo: la rimozione della placca sui denti e sulle placche dentali. Per fare questo, devi:
- Lavarsi i denti almeno due volte al giorno con paste per la rimozione della placca, preferibilmente con un grado medio di abrasione. Adatto per questa pasta per carie Elmex, R.O.C.S. Estate caraibica e qualche altro dentifricio per la prevenzione della carie.

- Limitare la quantità di dolci nella dieta, mangiare regolarmente frutta e verdura grossolane.

- Lavati i denti dopo aver mangiato con il filo interdentale; usa una gomma da masticare senza zucchero.

- Sottoporsi regolarmente a esami dal dentista, cura in tempo i focolai emergenti della carie.

A volte un medico può prescrivere l'uso di gel rimineralizzanti e sciacqui per bocca. Non puoi trascurare questi consigli.
Nei bambini, la carie cronica è prevenuta con gli stessi metodi. Nei bambini fino a 2 anni, le regole di prevenzione includono anche la correzione della dieta e l'abolizione delle poppate notturne e dei pasti prima di coricarsi dopo aver lavato i denti.
È molto importante insegnare ai bambini a lavarsi i denti in tempo: i pazienti più piccoli hanno carie croniche meno frequenti e di solito la malattia è acuta con un danno rapido e su larga scala ai denti.
E, soprattutto, i denti da latte nei bambini devono essere trattati con diligenza come quelli permanenti.Una serie completa di denti da latte sani è la principale garanzia della normale formazione delle mascelle nel bambino e le abilità innestate nella cura dei denti garantiscono la protezione del bambino dalla carie cronica in età adulta.
Ricorda: la salute dentale inizia fin dall'infanzia e l'attenzione dei genitori su di essa darà molto di più del trattamento più professionale e di alta qualità.
Video interessante: perché si verifica la carie e come proteggersi da essa
E qui, infatti, è il trattamento della carie profonda con un trapano



