
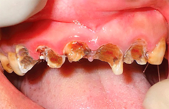
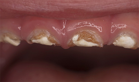
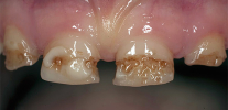
La forma scompensata di carie è, infatti, una carie in forte sviluppo, un processo patologico molto attivo nei tessuti duri del dente e che porta alla loro rapida distruzione. spesso cavità cariate con questa forma di malattia sono molteplici e sono presenti in molti denti contemporaneamente.

In odontoiatria, ci sono diverse classificazioni della carie. Quando si classifica la gravità del processo, si distinguono le seguenti forme di malattia:
- compensato;
- subcompensated;
- scompensata.
La carie scompensata (acuta, in fiore) è la forma più pericolosa, poiché si sviluppa molto più velocemente rispetto alle forme compensate e subcompensate. La carie acuta può portare alla perdita dei denti in poche settimane. In questo caso, lo smalto e la dentina vengono distrutti molto rapidamente e il passaggio dallo stadio iniziale al profondo avviene molte volte più rapidamente rispetto al decorso cronico della malattia.

nota
Il nome stesso "forma scompensata" significa che lo sviluppo del processo carioso non è compensato in alcun modo dalla risposta del corpo. È in assenza di ostacoli che il processo procede in modo particolarmente rapido e con conseguenze molto gravi.
Le ragioni dello sviluppo della patologia in forma scompensata sono le proprietà battericide ridotte della saliva, la mancanza di igiene orale, una dieta sfavorevole e fattori ereditari, uno stile di vita malsano. A volte la carie acuta si sviluppa a causa dell'immunità indebolita.
Diagnosi della carie scompensata
La carie acuta è più pericolosa quando il dente non viene trattato. Ma a differenza di altre forme, è facilmente rilevabile. I principali sintomi che segnalano un problema serio sono i seguenti:
- molteplici manifestazioni esterne evidenti di carie sulla superficie dello smalto dei denti;
- dolore acuto prolungato nei denti;
- forte reazione a irritanti freddi, chimici, meccanici.

Se avverti tali sensazioni nella cavità orale, dovresti consultare immediatamente un dentista.
È importante:
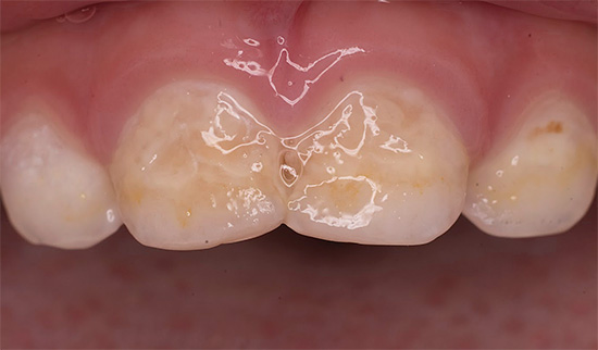
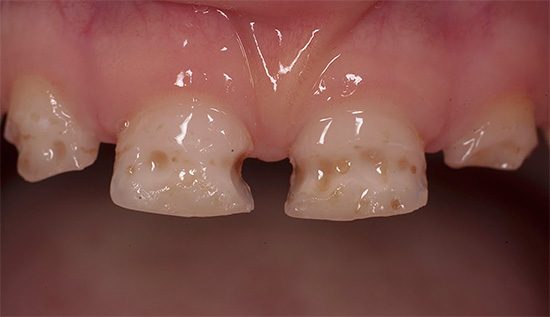
Se la lesione cariata della superficie è molto piccola, ma i sintomi descritti sono presenti, non è necessario posticipare la visita dal medico. Sotto un piccolo ingresso potrebbe esserci una grande cavità cariata. Un ulteriore indizio sarà la perdita della brillantezza dello smalto, la sua tonalità grigiastra o gessosa.
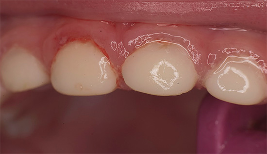
Il dentista diagnostica facilmente la forma di carie scompensata con i seguenti segni:
- forma cariata a base larga;
- entrata stretta;
- una grande quantità di dentina ammorbidita;
- acuti dolori nel processo di suono.
Una sonda e uno specchio dentale sono generalmente sufficienti per la diagnosi. Ma se la cavità cariata in un dente separato viene nascosta alla vista, viene eseguita una radiografia o viene utilizzata la transilluminazione (il metodo "lampeggiante" aree cariate nascoste flusso luminoso luminoso delle lampade). Inoltre, con una forma scompensata, viene spesso utilizzata la fissurotomia (questo è un metodo per la ricerca diagnostica della carie nascosta utilizzando l'escissione profilattica di fossa “scurita” e cavità di smalto sui denti da masticare).

Chi è a rischio
La forma scompensata di carie si sviluppa più velocemente, più bassa è la resistenza del corpo. Pertanto, la forma acuta è più spesso osservata nelle persone con immunità indebolita.
Esistono diversi gruppi di pazienti che sono maggiormente a rischio di questa patologia:
- bambini con denti da latte;
- persone che hanno recentemente avuto una malattia infettiva;
- persone con disturbi metabolici;
- anziani con immunità indebolita.

Per evitare lo sviluppo della carie acuta, si consiglia di sottoporsi a una riabilitazione pianificata della cavità orale 1-3 volte l'anno.
Pericolo di forma scompensata
La carie acuta è pericolosa per molte ragioni. Una forma trascurata della malattia porta spesso ai seguenti problemi:
- lo sviluppo di pulpite e periodontite;
- sviluppo della parodontite;
- spaccatura del dente;
- perdita dei denti


Inoltre, la forma scompensata è un segnale di un malfunzionamento dell'intero organismo. Carie non trattata spesso una conseguenza di una diminuzione della produzione di saliva e di una diminuzione delle sue proprietà battericide, che influenza le condizioni generali della cavità orale nel suo insieme. Nelle donne in gravidanza, ciò può influire sulle condizioni fisiche generali della donna incinta e sulla salute del feto.
Tipi di malattia
La carie acuta ha due forme:
- acuto moderato;
- profondo.
La differenza tra forme acute acute e profonde è la dimensione della cavità cariata. Con carie acute moderate, non è necessario rimuovere il nervo e il dente può essere trattato e ripristinato. Con la carie acuta acuta, di solito è richiesta la depulpazione e, con grave carie, è necessario rimuoverlo.
Poiché nella forma acuta della patologia, la distruzione dei tessuti dei denti avviene molto rapidamente e i bambini sono più sensibili alla malattia, in odontoiatria pediatrica il loro gruppo è il seguente:
- Modulo compensato (gruppo I);
- Subcompensato (II gruppo);
- Scompensato (gruppo III).
Gruppi creati per l'implementazione del follow-up.

Il dentista per bambini Vinogradova T. F. ha identificato diversi gruppi di dispensari:
- denti sani;
- forma compensata;
- forma sottocompensata;
- forma scompensata.
I bambini con un modulo compensato vengono esaminati una volta all'anno, con un subcompensato - 2 volte, con un compensato - 3 volte. La bonifica riduce il rischio di complicanze durante lo sviluppo della carie, il numero di otturazioni e di denti estratti diminuisce. Inoltre, la necessità di cure è quasi dimezzata, il numero di esami annuali programmati è ridotto.
Il monitoraggio dei gruppi di rischio consente di tenere traccia di una serie di criteri:
- decadimento generale;
- anamnesi della vita;
- stato di salute;
- la gravità della malattia.
Bonifica pianificata e tempestiva diagnosi di carie negli adulti e nei bambini, offrono un'opportunità non solo per curarla nelle fasi iniziali, ma anche per prevenire lo sviluppo della carie in fiore.
Come è il trattamento della carie in fiore
Il trattamento di una forma di carie scompensata può essere condizionatamente suddiviso in tre fasi:
- rimozione di tutti i tessuti dentali colpiti dalla carie;
- rimozione del nervo (se necessario);
- restauro del dente.



Poiché la carie in fiore è molto dolorosa, tutte le fasi del trattamento vengono eseguite in anestesia locale o in anestesia generale (meno spesso). Cioè, per il paziente, le procedure sono indolori. Gli anestetici moderni sono assolutamente sicuri, ipoallergenici, quindi questo trattamento è disponibile anche per le donne in gravidanza.
La rimozione del tessuto interessato viene eseguita principalmente con un trapano. Ma questa non è l'unica opportunità. Esistono metodi più moderni: lavaggio con sabbiatura dentale, evaporazione con laser dentale. Sfortunatamente, questi metodi moderni non hanno ancora una buona base di prove per la loro efficacia nel trattamento di gravi lesioni cariose e non hanno ricevuto un'ampia distribuzione nel nostro paese.
Nella fase successiva del trattamento (se necessario), il nervo dentale viene rimosso utilizzando attrezzature speciali. Quindi i canali dentali vengono puliti e riempiti.

Il restauro è l'ultimo stadio del trattamento. Con l'aiuto di materiali di riempimento, il dentista ripristina la forma originale del dente.
Il trattamento della carie acuta è un processo complesso e lungo. Molto spesso, si svolge in due visite.Durante il primo, i tessuti interessati vengono rimossi e viene eseguito il trattamento farmacologico. Durante la seconda visita, viene eseguito il restauro del dente.
Prevenzione di una forma scompensata della malattia
Per prevenire lo sviluppo della carie acuta per tutti. Anche con una predisposizione ereditaria, si verificano problemi dentali quando non si seguono l'igiene orale e una cattiva alimentazione.

La prevenzione della forma scompensata della malattia è abbastanza semplice. Per la sua attuazione è necessario:
- lavarsi i denti al mattino e alla sera;
- usare dentifricio al fluoro;
- spazi interdentali filo interdentale;
- Non mangiare cibi troppo freddi e brucianti, bevande;
- limitare la quantità di cibo morbido e dolce, poiché dopo la sua assunzione, si forma una placca sui denti, che contribuisce alla demineralizzazione dello smalto;
- Visita dal dentista 1-3 volte l'anno.
La riorganizzazione pianificata della cavità orale consente di rilevare la carie nelle fasi iniziali e di prevenirne il passaggio alla forma acuta. Le visite regolari dal medico ti consentono di rilevare in tempo i punti deboli nella cura dei denti e delle gengive, apportare modifiche e fermare le loro malattie. Pertanto, una visita alla clinica dentale per verificare le condizioni dei denti dovrebbe essere la regola per tutti coloro che si preoccupano della propria salute.
Video utile: cosa è importante sapere sul trattamento della carie e delle sue complicanze
Ed ecco il trattamento effettivo di un dente con un trapano e l'installazione di un sigillo
Come lavarsi correttamente i denti con uno spazzolino da denti
