
Come suggerisce il nome, la caratteristica della carie delle fessure è che colpisce le cosiddette fessure - le strutture anatomiche naturali del dente, che sembrano scanalature e scanalature sulla superficie masticatoria. Secondo le statistiche, questo tipo di carie è il più comune.
Più suscettibile alla carie delle fessure bambini con denti da lattecosì come gli adulti con ragadi molto profonde o chiuse. Tali cavità, anche con una pulizia molto accurata, non possono essere completamente eliminate dalla placca e dai detriti alimentari.

Non è sempre possibile diagnosticare facilmente una patologia, quindi una speciale apparecchio per la diagnosi della carie Fissure. A casa, il leggero oscuramento delle scanalature sulla superficie masticatoria viene spesso lasciato incustodito. Di conseguenza, andare dal dentista troppo tardi può comportare la necessità di depulpazione e persino la perdita dei denti. Pertanto, tutti i blackout nell'area della fessura devono essere trattati con molta attenzione.
Sintomi e aspetto dei denti affetti da carie da fessure
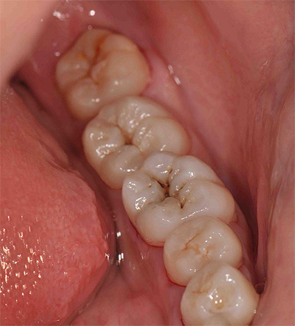
La foto sotto mostra un esempio di carie da fessure. Nei punti più profondi delle fessure, sono chiaramente visibili le aree scure dello smalto, sotto le quali si trovano le principali aree di danno dentale:


La carie della fessura può svilupparsi in breve tempo dopo la dentizione e la probabilità della patologia dipende da diversi fattori, tra cui:
- grande profondità e forma specifica di fessure;
- bassa resistenza dello smalto dei denti;
- la presenza costante nella cavità orale di carboidrati facilmente digeribili e batteri cariogeni.
La carie delle fessure colpisce principalmente le aree più deboli sulla superficie masticatoria dei denti posteriori. Molto spesso, la patologia si sviluppa nei bambini sui primi molari permanenti (sul sesto dente).
nota
Lo sviluppo della carie delle fessure nei primi molari permanenti è dovuto al fatto che questi denti eruttano in un bambino già di 6 anni. La loro dentizione spesso rimane inosservata dai genitori e talvolta viene erroneamente considerata come l'aspetto del latte (denti temporanei), che cadrà comunque.
Molto spesso, il sesto dente inferiore erutta inizialmente e i denti superiori solo dopo un po ', quindi l'autopulizia non si verifica durante la masticazione, poiché non ci sono aree di contatto. Un bambino non può garantire da solo la corretta igiene di tali siti posteriori così distanti, di conseguenza, sorge una sorta di "rifiuto biologico". Le fessure costantemente contaminate da residui di carboidrati iniziano a scurirsi, perché sotto l'azione degli acidi organici, zone di demineralizzazione (un contenuto ridotto di minerali nel reticolo cristallino dello smalto) sorgono sotto gli strati superficiali dello smalto.
La seguente foto mostra chiaramente che la carie delle fessure è localizzata principalmente nella parte centrale della superficie masticatoria del dente. Se la malattia non è iniziata, la radice e il collo non sono interessati:

Il quadro clinico della nosologia consiste precisamente nella colorazione e nell'ulteriore distruzione dello smalto nell'area della fessura.
A seconda della profondità della cavità, la carie delle fessure può essere accompagnata dai seguenti sintomi:
- Dolore a breve termine da irritanti chimici (dolce, salato, acido) e temperatura (freddo, caldo) con carie superficiale, media e profonda.
- Dolore a breve termine da stimoli meccanici (se ingerito nella cavità del cibo) principalmente con danni profondi alle fessure.
- È importante che con la carie i dolori scompaiano rapidamente, subito dopo l'eliminazione dell'irritante.
Nelle prime fasi, la carie delle fessure si sviluppa spesso in modo asintomatico (fasi iniziali e superficiali), il che porta a un trattamento tardivo del paziente: quando le fessure vengono combinate in una cavità piena e cariata con tessuti infetti ammorbiditi e compaiono sintomi vividi.

Nella fase terminale, la lesione raggiunge la polpa. In questo caso, i dolori acquisiscono un carattere completamente diverso: anche dopo l'eliminazione dell'irritante, durano a lungo, compaiono dolori spontanei (senza motivo apparente), notte, irradiamento o tiro (cedendo in qualsiasi zona della regione maxillo-facciale), dolore lungo, palpitante, lacrimante, intollerabile e t. d.

Tutte queste sono complicazioni della carie, chiamate pulpite o parodontite, a seconda dello stadio di danno al "nervo" nei canali del dente. In questa fase, il paziente è costretto a consultare un medico per le cure di emergenza e il trattamento viene eseguito secondo la diagnosi. È caratterizzato da manipolazioni tecnicamente più complesse rispetto al trattamento della carie e passa più spesso attraverso diverse fasi importanti prima del riempimento stesso. In termini di tempo e componente finanziario, questa è un'impresa costosa.
Prima viene diagnosticata la carie delle fessure, più veloce, economico e facile sarà il trattamento.
Diagnosi della malattia: mezzi, dispositivi e metodi
La diagnosi della carie delle ragadi in molti casi è abbastanza semplice, poiché le lesioni dello smalto sono chiaramente visibili ad occhio nudo. Ma a volte, specialmente nelle fessure profonde, risultano completamente invisibili e la sonda dentale non si ferma nemmeno in esse con questa diagnosi strumentale.

nota
Le fessure stesse hanno un'ombra più scura rispetto al resto della superficie dello smalto dei denti. Ciò è dovuto al fatto che sono pieni di placca, placche dentali che non possono essere completamente rimosse con uno spazzolino da denti e che si trovano semplicemente in nicchie all'ombra dei tubercoli del dente. Tutto ciò spesso nasconde la carie delle fessure e rende difficile il rilevamento.
In generale, la diagnosi della malattia viene eseguita nei seguenti modi:
- ispezione visiva;
- Raggi X;
- uso di marcatori di carie;
- diagnostica laser;
- fissurotomiya.
Ogni metodo ha i suoi vantaggi e svantaggi, che si manifestano nella diagnosi della carie di diversi stadi.
Ispezione visiva
La tecnica più semplice per rilevare la carie delle fessure è un'ispezione visiva.

Una sonda dentale e uno specchio vengono utilizzati per esaminare la cavità orale. Ma se le fessure vengono chiuse o il diametro della lesione è inferiore al diametro della punta della sonda, è impossibile stabilire la presenza della malattia in questo modo.
radiografia
I raggi X ti consentono di rilevare carie nascosta fessura, anche se non ci sono sintomi. L'immagine mostra bene i siti della lesione e le loro dimensioni, tuttavia, il medico non lo prescriverà senza sospetto, e spesso prima della comparsa del dolore nel dente, la radiografia non è prescritta.
Inoltre, usando i raggi X, le fessure della carie non possono essere rilevate nelle fasi iniziali, prima del danno tissutale sotto la superficie dello smalto.

Diagnostica laser
La diagnosi, in cui la carie viene "evidenziata" da un raggio laser, è un metodo quasi al 100% per rilevare la carie da fessure (metodo della fluorescenza laser). Utilizzando questo metodo, la carie può essere diagnosticata in quasi tutte le fasi del suo sviluppo.

Sebbene il prezzo dell'apparato per la diagnosi della carie della fessura sia piuttosto elevato, è in tutti i buoni studi dentistici. Ciò è dovuto al fatto che la diagnostica laser rivela carie anche nelle fasi iniziali. E con fessure del tipo "capsula", questa opzione è ottimale.
Fissurotomiya
Quando vengono rilevate lesioni delle ragadi, ma la loro dimensione non è nota, viene utilizzato un metodo aggiuntivo per determinare il grado e la profondità delle zone cariate: la fissurotomia.Per questa procedura è stata sviluppata una serie di frese, con l'aiuto della quale viene effettuato un intervento minimamente invasivo nella struttura del dente.

Con l'aiuto del boro carburo, la fessura scurita si apre di circa 0,6-1,1 mm. Secondo il quadro che si apre, il dentista decide quale trattamento della carie delle fessure sarà più efficace.
Caratteristiche del trattamento della carie delle fessure
Il trattamento della carie delle fessure viene effettuato in più fasi:
- rimozione delle aree interessate;
- installazione di una guarnizione o di una linguetta di restauro.
La rimozione delle aree interessate viene eseguita mediante un trapano. Utilizzando materiali di riempimento moderni, le cavità trattate vengono riempite.
Se c'è una complicazione della carie (pulpite), il "nervo" viene rimosso. Quindi i canali vengono sigillati e, a seconda della situazione clinica (dimensioni della cavità, area, posizione del dente, carico su di esso, interazioni nel morso, ecc.), Viene posizionato un sigillo o viene eseguita una serie di misure, che possono includere opzioni come:
- sigillo + corona;
- installazione da parte di un dentista-terapista di un perno (ancora, fibra di vetro, titanio, ecc.) + sigillo (oppure posizionando la corona in cima);
- scheda di recupero;
- Linguetta moncone + corona.
La scelta dipende dalla professionalità del medico, dalle sue tattiche riguardo alla situazione clinica nella cavità orale, poiché il dente non è considerato come un singolo organo con le sue funzioni intrinseche, ma nel sistema di interazione con altri denti e tessuti circostanti.

Un'alternativa al noto riempimento è la linguetta del restauro: una micro protesi realizzata in base alla forma del dente del paziente. È creato in un laboratorio odontotecnico da materiali polimerici, leghe mediche, a volte da argento, oro o platino. Per creare una scheda, viene fatta un'impressione preliminare del dente. La sua fissazione viene eseguita utilizzando cemento medico.

Quando viene diagnosticata la carie delle fessure, il trattamento con un inserto protesico è più promettente di un riempimento, poiché la sua durata è più lunga. Se è fatto di polimeri, sembra più esteticamente e esternamente simile a un dente sano.
Come prevenire lo sviluppo della carie sulle fessure?
Prevenzione della carie, compresa la fessura, è il modo migliore per mantenere i denti sani.
Si distinguono le seguenti aree di prevenzione:
- aderenza all'igiene orale;
- fluorizzazione dei denti;
- sigillatura tempestiva delle fessure;
- controlli dentali regolari.
Lo spazzolino accurato consente di mantenere un normale livello di pH nella cavità orale, rimuove la placca e i batteri, i cui prodotti vitali distruggono lo smalto.
Ma anche con una regolare spazzolatura, se la mineralizzazione dei tessuti dei denti è ridotta, aumenta il rischio di carie da fessure. Per rafforzare lo smalto, si consiglia di utilizzare dentifrici al fluoro o di sottoporsi a una procedura di rimineralizzazione nello studio dentistico.
Un buon metodo di prevenzione è sigillare le fessure: sono riempite con un composito liquido, che quindi indurisce e impedisce ai batteri di accedere allo smalto dei denti. Sostanze attive vengono aggiunte al materiale, che rimineralizzano e rafforzano ulteriormente lo smalto.


E, naturalmente, è importante visitare regolarmente l'ufficio del dentista. Un viaggio programmato dal medico e una riabilitazione tempestiva ci consentiranno di rilevare la carie nelle primissime fasi di sviluppo e di adottare misure efficaci per eliminarlo.
Dalla pratica del dentista
Come accennato in precedenza, all'età di sei anni, scoppiano i primi molari: i denti più inclini a carie da fessure, carie rapide, fino a gravi complicazioni e rimozione. Ciò non può essere consentito in alcun modo, poiché gli ortodontisti (i medici che correggono la malocclusione) fanno affidamento sul sesto dente, definendoli la "chiave di occlusione".È il rapporto tra questi denti che influenza direttamente la formazione del morso corretto. La rimozione del sesto dente comporta gravi conseguenze per lo sviluppo della mascella e del morso. Pertanto, la diagnosi precoce della carie da fessure da parte di dentisti e igienisti pediatrici è importante per prevenire complicazioni future.
Video utile: cosa è importante sapere sulla carie delle fessure - commenti degli esperti
Un esempio della preparazione della carie delle fessure
