
Nei bambini piccoli, lo sviluppo della carie dei denti decidui di solito procede molto più rapidamente rispetto agli adulti e spesso la distruzione colpisce diversi denti contemporaneamente. In tali situazioni, l'inazione prolungata dei genitori del bambino può portare a conseguenze molto gravi.
Non pensare che "questi sono solo denti da latte e cadranno comunque". Il processo carioso contagioso non si limita solo ai tessuti duri del dente, ma va rapidamente oltre la radice con fusione purulenta dei tessuti molli circostanti. In tali casi, la migliore opzione di assistenza di emergenza per la salute e la vita normale del bambino è l'estrazione prematura di un dente da latte, che, tra l'altro, spesso da sola traumatizza la psiche di un bambino piccolo e provoca paure persistenti nell'ufficio del dentista.
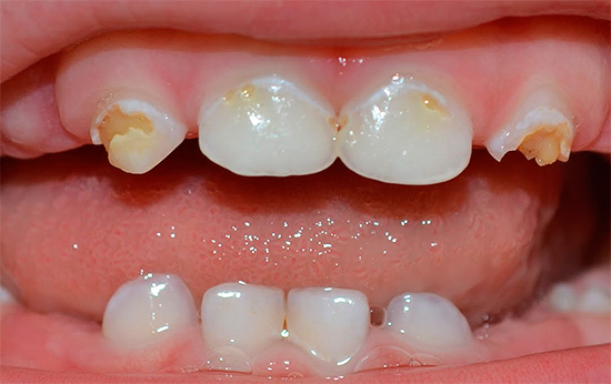
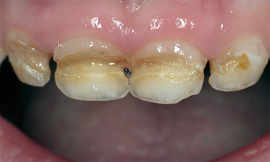
Sotto la foto mostra esempi carie trascurata denti decidui nei bambini (anche con una complicazione della parodontite nel secondo esempio):


Ma il risultato principale di tale estrazione prematura dei denti da latte sono varie violazioni del morso, della parola, dell'aspetto del bambino (forma del viso), della possibile comparsa di complessi di inferiorità nella squadra (quando il bambino ha camminato con i denti marci per anni o per niente). Cosa succederà se non trattiamo la carie dei denti decidui nei bambini piccoli, così come le complicazioni più pericolose, parleremo ancora più in dettaglio, ma prima le cose prima ...
Secondo le statistiche, la carie dei denti decidui si verifica nel 12% dei bambini fino a un anno di vita e a 5 anni i dentisti trovano questa malattia in circa il 73% dei bambini. Se pensi a queste statistiche, si scopre che sebbene i denti da latte inizino a scoppiare in media dai 4-6 mesi della vita di un bambino e, sembrerebbe, dovrebbero essere "freschi" e sani, quasi ogni decimo bambino ha già carie a 12 mesi di età in qualsiasi momento sul dente da latte. Più chiaramente, questi dati riflettono la difficile situazione dei bambini nei piccoli villaggi e città dove non ci sono dentisti o igienisti pediatrici.

La carie cavità, che si forma nei denti temporanei non ancora maturi, è un focolaio di infezione con numerosi microflora patogeni. Questa attenzione influisce direttamente o indirettamente sulle funzioni protettive del corpo del bambino. I problemi sorgono non solo in relazione al dolore ai denti danneggiato dalla carie da varie sostanze irritanti (freddo, dolce, acido), ma possono anche trasformarsi in complicanze della carie, che spesso mettono in dubbio la continua esistenza del dente deciduo. In tenera età, tali complicanze spesso portano a gravi condizioni, inclusa la necessità di salvare la vita di un bambino quando un'infezione purulenta si diffonde ai tessuti molli che circondano il dente (ascesso, flemmone, sepsi, trombosi delle vene cervicali e di altre vene, meningite, tromboflebite).
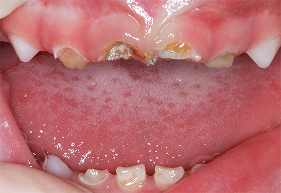
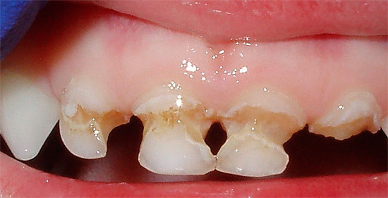
Guarda alcune altre foto che dimostrano chiaramente le conseguenze della mancanza di un'adeguata cura dentale per un bambino fin dalla tenera età:


In particolare, voglio notare il fatto che un'infezione nella cavità cariata spesso causa complicazioni ai minimi cambiamenti nell'immunità del bambino, ad esempio sotto ipotermia, grave stress:
- sul naso - naso che cola costante, sinusite;
- sulle orecchie - otite media e dolori alle orecchie;
- mal di gola - mal di gola;
- e perfino nel tratto gastrointestinale - disturbi digestivi.
Un tentativo da parte dei genitori di lasciare questo problema incustodito è un crimine in relazione alla salute e alla vita di una piccola persona.
Perché i denti da latte muoiono a causa dei batteri
Numerosi studi hanno dimostrato che la causa della carie dei denti decidui sono i batteri, che di solito vengono trasmessi dalla madre al bambino.I principali "distruttori" di denti sono Streptococcus mutans e Streptococcus sanguis. Questi microrganismi di solito entrano nella cavità orale del bambino quando usano le posate comuni, quando i loro genitori leccano cucchiai, capezzoli e persino baci.

È interessante
Secondo gli studi pubblicati nel 2008 in Pediatric Dentistry, ci sono prove dirette che la madre è la fonte primaria di Streptococcus mutans (mutanti di streptococcus) che possono colonizzare il corpo dei bambini. Secondo altri studi, si è scoperto che i padri sono potenziali fonti di infezione.

Pertanto, la causa della carie dei denti decidui durante la carie è, in effetti, un'infezione batterica che può essere trasmessa da una persona all'altra. Ciò è particolarmente importante nella fase di dentizione, perché è in tenera età che i denti da latte del bambino sono particolarmente vulnerabili all'effetto cariogeno dei microrganismi.
Ma non tutto è così triste come potrebbe sembrare all'inizio. La presenza di batteri cariogeni nella saliva di un bambino è solo una specie di elemento enigmistico, che di per sé non provoca ancora la carie dei denti decidui. In effetti, la distruzione è causata da tutta una serie di fattori: presenza di microrganismi cariogeni, igiene orale, abitudini alimentari, modalità, frequenza e durata, caratteristiche della saliva del bambino (capacità tampone, presenza di immunoglobuline protettive, proprietà mineralizzanti) e eredità del bambino.
Come dimostra la pratica, il succhiare costante di un biberon pieno di succo, latte o altro liquido contenente zucchero è particolarmente forte. I batteri usano il saccarosio e alcuni altri carboidrati per l'alimentazione e la riproduzione, rilasciando acidi organici che demineralizzano lo smalto dei denti. Il decadimento precoce dei denti decidui si forma nello strato di smalto sotterraneo e cattura gradualmente l'intero smalto con la formazione di una piccola cavità all'inizio e poi in profondità - con il passaggio della carie carie alla dentina (in questo caso, i denti possono diventare molto dolorosi).

nota
Secondo la dottoressa americana Jane Soxman, se la riproduzione dei batteri cariogeni non viene trattenuta attivamente, presto popoleranno l'intera cavità orale e attaccheranno attivamente denti già permanenti dopo la loro comparsa.
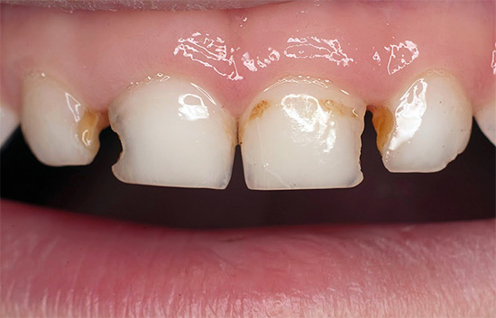
La foto sotto mostra il decadimento iniziale dei denti decidui:

Come riconoscere la carie sui denti da latte del bambino in tempo
Molto spesso, la carie appare inizialmente sui denti da latte anteriori e si manifesta come macchie di varie tonalità (bianco, giallo, marrone, nero) o cavità cariate (cavità) visibili ad occhio nudo. Le lesioni possono essere localizzate nella regione cervicale (basale) dei denti primari, su una o due pareti di contatto (interdentali) e catturare anche metà o la maggior parte della corona dentale.
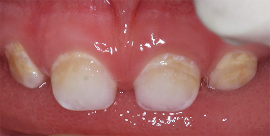
Questa foto mostra i primi segni di carie dei denti decidui in un bambino: lo smalto è diventato bianco a causa della demineralizzazione:

Se le carie sui molari sono interessate dalla carie, queste aree diventano marrone scuro o addirittura nere. Un'ulteriore progressione della carie porta al fatto che l'integrità dello smalto nella fessura è rotta e una cavità è chiaramente visibile ad occhio nudo o, più semplicemente, un "buco" nel dente da latte.
Quindi, i principali segni di carie dei denti decidui:
- Visiva. La comparsa di macchie sospette sui denti (soprattutto in breve tempo).
- Pain. Spesso durante la carie, un bambino inizia a lamentarsi di reazioni dolorose da freddo, dolce, caldo, ecc. A volte i denti fanno molto male, a volte praticamente non danno fastidio.
- La comparsa di odore dalla bocca del bambino. Sotto l'influenza di microrganismi cariogeni, le particelle di cibo nella cavità orale marciscono. In questo caso, si forma un odore specifico, che dovrebbe indurre pensieri di carie dei denti decidui.
- La molteplicità della manifestazione.A causa della leggera mineralizzazione dello smalto dei denti decidui, la carie inizia a svilupparsi con quasi la stessa intensità su più denti contemporaneamente, motivo per la comparsa di lesioni multiple. L'accumulo di residui di carboidrati nelle aree di ritenzione (ritenzione di cibo): vicino alle gengive, negli spazi tra i denti, nella fossa (fessure) crea un ambiente favorevole per la nutrizione attiva dei batteri che provocano la dissoluzione dello smalto.

Esiste una connessione tra carie e allattamento?
La cosiddetta carie "a bottiglia" si sviluppa nei bambini da zero a quattro anni e distrugge i denti da latte dopo che sono scoppiati per un certo periodo di tempo. Molto spesso, la carie di bottiglia si sviluppa sui denti anteriori nella regione cervicale con una copertura parziale o completa della corona attorno alla circonferenza - in questo caso è anche chiamata carie circolare.
Spesso, puoi anche osservare punti bianchi o neri nella zona gengivale, che si estendono fino ai confini degli spazi tra i denti. A volte c'è una copertura completa della corona di un dente da latte con carie circolare - in una situazione del genere, l'intera parte della corona può rompersi facilmente.
Immagini di denti decidui con carie circolare:


L'allattamento al seno non provoca direttamente la carie in bottiglia. Secondo gli esperti, l'alimentazione notturna frequente e prolungata senza procedure igieniche può provocare e accelerare la formazione di carie sui denti da latte.
In questo caso, non importa cosa si nutrono: seno o bottiglia, latte o succo di frutta. La cosa principale per iniziare la formazione della placca sui denti da latte e l'attività cariogenica dei microbi è l'alimentazione frequente del bambino, specialmente in sogno, l'alimentazione dei dolci tra i pasti principali, nonché la mancanza di misure igieniche dopo aver mangiato.
Un tentativo di non trattare la carie circolare dei denti decidui può provocare gravi difetti multipli delle corone, fino alla divisione e alla rottura. Spesso questo è accompagnato da dolore durante il pasto o persino dolore acuto spontaneo. La perdita di funzionalità di un gran numero di denti comporta malocclusione, masticazione, digestione, benessere generale del bambino.

nota
Per il trattamento della carie flacone (circolare) di denti decidui, vengono utilizzate preparazioni medicinali contenenti fluoro, che possono essere applicate sia in clinica che a casa, se si seguono le istruzioni del medico. Il trattamento laser della carie e il trattamento con ozono in tenera età non vengono utilizzati. Al fine di prevenire la carie infantile dei denti decidui, i dentisti raccomandano di lavarsi i denti del bambino dopo ogni pasto e i genitori dei bambini piccoli dovrebbero seguire le fasi di lavorazione e sterilizzare i capezzoli e le bottiglie.
Sono i denti decidui dolenti dalla carie
La carie sui denti da latte può verificarsi sia in modo asintomatico che con dolore caratteristico. Di norma, un dente fa male solo dall'esposizione a sostanze irritanti (come notato sopra, può essere cibo caldo o freddo, qualcosa di salato, dolce o acido). Mentre dura l'azione di un fattore esterno, dura un attacco di dolore.
A seconda dello stadio della carie, le reazioni al dolore si distinguono con:
- Carie superficiale - in questo caso, i bambini di solito lamentano dolore da cibi agrodolci;
- Con carie moderate - dolore a breve termine da cibo freddo e caldo, agrodolce;
- Con carie profonde - in questo caso, il sintomo del dolore è più spesso espresso da tutti gli stimoli elencati, nonché dal pasto stesso (irritazione meccanica).

a carie iniziale i sintomi del dolore dei denti da latte (nella fase di una macchia bianca) non esistono ancora, quindi è più facile iniziare il trattamento in questa fase.
Le possibilità del trattamento moderno
L'odontoiatria pediatrica moderna ha vari metodi di trattamento della carie nei bambini, anche in tenera età.Inoltre, vengono selezionati tali approcci al trattamento che sono altamente affidabili, sicuri e meno traumatici per la psiche del bambino.
I modi principali per il trattamento della carie precoce dei denti decidui - si tratta di tecnologie non invasive o minimamente invasive:
- rimineralizzazione di smalto e dentina (ripristino della struttura minerale perduta);
- fluorurazione profonda;
- lavorazione manuale della cavità senza l'uso di un trapano;
- riempimento ritardato;
e altri
Particolarmente richiesto nel trattamento della carie dei denti decidui è l'ultimo sviluppo: la tecnologia ICON (Aikon). Allo stesso tempo, non sono necessari lunghi cicli di trattamento con composti remineralizzanti e preparati al fluoro, poiché quasi una visita è quasi sempre sufficiente per far scomparire una superficie cariata dalla superficie del dente.



Il significato della procedura è che dopo aver pulito lo smalto dalla placca, nel punto carioso viene applicato un gel con un acido debole, che rimuove lo strato di superficie dello smalto, e quindi un materiale polimerico altamente fluido indurito dalla luce di una lampada speciale viene introdotto nel sito della lesione della carie. In questo caso, la resina polimerica riempie i pori dello smalto e si indurisce in essi, creando una nuova struttura forte e affidabile.
È interessante
Il trattamento ICON è in qualche modo simile al riempimento dei denti, ma senza la partecipazione di attrezzature standard. Questa tecnologia viene utilizzata attivamente nel trattamento ortodontico dopo la rimozione di apparecchi ortodontici, nonché nel trattamento della carie nella fase spot, situata sulle superfici vestibolare (esterna) e di contatto, cioè tra i denti. La tecnologia ICON è adatta per il trattamento della carie precoce dei denti decidui nei bambini dai 3 anni.
Se la tecnologia ICON viene utilizzata per trattare la carie iniziale, quando non vi è ancora cavità, cosa succede se il decadimento del dente deciduo ha già attraversato lo smalto e raggiunto la dentina? Nel caso in cui il bambino abbia una maggiore paura dei metodi tradizionali di trattamento basati sulla preparazione della cavità cariata con un trapano, viene utilizzato il metodo ART (trattamento riabilitativo atraumatico).
La foto seguente mostra alcuni degli strumenti utilizzati quando si utilizza il metodo ART per il trattamento della carie, in realtà sostituiscono il trapano:


Il significato della tecnica è semplice: vengono utilizzati set speciali di escavatori manuali e alcuni altri strumenti, che puliscono la carie cavità da tessuti ammorbiditi e infetti, dopo di che viene trattata medicamente con soluzioni deboli di antisettici e riempita con cementi vetroionomerici - materiali che possono saturare i tessuti dei denti con fluoro per lungo tempo.
Nonostante il significativo svantaggio della tecnica, che spesso rimane dentina non pulita (scura) pigmentata sul fondo e sulle pareti della cavità, tuttavia, è possibile interrompere la progressione del decadimento del dente da latte dovuto alla carie, compensare il difetto e riportare il dente ai normali processi di masticazione e anche eliminare i sintomi del dolore da irritanti esterni. E se questa tecnologia non è sempre adatta a denti permanenti, quindi per il trattamento di focolai cariati di denti temporanei - questa è talvolta l'opzione di maggior successo per non ferire la psiche del bambino.
Dove andare per il trattamento
In caso di carie dei denti decidui o delle sue complicanze, i genitori non preparati hanno sempre un problema: dove condurre il bambino a trattare i denti? Spesso, i dentisti "adulti" effettuano un ricevimento misto, cioè effettuano anche il trattamento dei bambini.
Tuttavia, l'odontoiatria pediatrica è significativamente diversa da quella "adulta", quindi è necessario scegliere istituti dentali appositamente attrezzati per i bambini. La scelta tra istituzioni pubbliche e private si basa sulla componente finanziaria. Va tenuto presente che eventuali risparmi sulla salute dei bambini spesso si fanno sentire in futuro.

Naturalmente, non in tutte le istituzioni pubbliche con ingresso gratuito, il trattamento sarà di scarsa qualità, ma la frequente distribuzione disomogenea di piccoli pazienti tra diversi medici pediatrici che ammettono in un grande ospedale o clinica porta a vari paradossi. I medici professionisti che sono pronti ad aiutare il bambino in modo di qualità sono costretti a servire da 15 a 25-30 e anche più bambini al giorno, ma i medici non abbastanza coscienziosi e non capaci spesso hanno molto tempo libero, ma nessuno vuole portarlo da loro.
È necessario comprendere che in questi e altri casi, l'assistenza di qualità e garanzia potrebbe non essere possibile ricevere. Inoltre, le istituzioni condizionatamente "libere" utilizzano spesso metodi e approcci obsoleti per il trattamento della carie, delle apparecchiature "antiche" e lontani dai materiali più moderni.

Un ampio flusso di pazienti esclude un approccio individuale, che non si può dire delle cliniche e dei centri privati in cui viene elaborato un piano individuale di prevenzione e trattamento non per un giorno (come spesso accade nelle istituzioni statali), ma per gli anni a venire. Il compito della clinica in questo caso è la cooperazione reciprocamente vantaggiosa con i genitori al fine di preservare i denti da latte del bambino fino al suo cambiamento fisiologico, data l'età e lo stato psicologico del bambino. Allo stesso tempo, i dentisti pediatrici esperti stabiliscono una forma di interazione sotto forma di gioco.
Dalle osservazioni del dentista
Uno dei modi più efficaci nelle moderne cliniche odontoiatriche private per suscitare l'interesse di un bambino per il trattamento è attraverso otturazioni colorate installate sui denti da latte nel trattamento della carie. Set popolari di otturazioni colorate dell'azienda tedesca Twinky Star consentono al bambino di scegliere lui stesso il colore delle otturazioni future. Il set comprende 7 colori: blu, arancione, rosa, giallo, verde, ecc. Di norma, la motivazione più forte di un bambino in questo caso è quella di vantare un bellissimo sigillo nuovo di fronte ai suoi coetanei.

Se il bambino ha il panico ha paura dei dottori
Per attirare un bambino ad un appuntamento dal dentista, a volte c'è poca persuasione, motivazione con otturazioni colorate o acquisto di un nuovo giocattolo. Per molti bambini, la paura di un camice bianco è una barriera quasi insormontabile per la conservazione del latte e, successivamente, dei denti permanenti. Spesso in questi casi, è necessario ricorrere al metodo di trattamento più rischioso stesso: questo è l'uso dell'anestesia, quando il bambino viene messo a dormire per un po '.

Non importa come cliniche e singoli medici presentino l'anestesia come metodo di trattamento sicuro, tuttavia, ci sono fatti di possibili complicazioni durante e dopo l'anestesia e una percentuale di fallimenti (anche se piccoli), esiste, come avvertito dai genitori che firmano documenti su possibili conseguenze negative applicazione di anestesia generale.

A questo proposito, i farmaci che hanno un effetto sedativo (soppressione della coscienza) sono di particolare interesse, consentendo manipolazioni quando il paziente è cosciente, ma non sente paura. Quasi tutti questi farmaci (tranquillanti) sono disponibili su prescrizione medica.
Ad esempio, nell'odontoiatria pediatrica moderna viene utilizzato un comodo farmaco da banco Tenoten per bambini, disponibile in losanghe. L'uso della pillola 20 minuti prima di visitare il dentista può ridurre significativamente l'ansia del bambino, elimina la paura, aumenta la soglia del dolore, migliora l'umore.
Da tutto quanto sopra, è importante capire che solo la cooperazione reciprocamente vantaggiosa e la piena interazione dei genitori e di un dentista pediatrico creeranno un ambiente davvero confortevole per la prevenzione e il trattamento dei bambini piccoli. Questo, a sua volta, fornirà una prospettiva reale per la conservazione dei denti primari fino al loro naturale cambiamento e per preservare i denti permanenti futuri creerà l'atteggiamento positivo necessario del bambino nei confronti di qualsiasi intervento dentale.

Crea tutte le condizioni per questo e i denti dei tuoi bambini saranno sempre sani!
Come la prevenzione salva i denti da latte
Per efficace prevenzione della carie dei denti decidui Un approccio globale è di fondamentale importanza. Allo stesso tempo, si distinguono i metodi sistemici e locali per prevenire i processi cariati.
Per una migliore comprensione: le misure sistemiche sono l'uso di prodotti speciali o droghe all'interno. I metodi locali di prevenzione della carie includono, prima di tutto, l'applicazione di vari componenti di smalto mineralizzante attivo ai denti.
Cosa deve capire ogni genitore in merito alle attività sistemiche:
- Limitare i carboidrati e aumentare il consumo di cibi "duri" (frutta, verdura). In molte fonti, puoi trovare la frase: "escludi i dolci dalla dieta del bambino". Sfortunatamente, tale opzione ideale non si adatta alle nostre realtà, ma è abbastanza possibile limitare in qualche modo l'assunzione di dolci da un bambino piccolo. Il grande problema dei genitori è che non solo le madri e i padri stessi, ma anche numerosi parenti nutrono il bambino con biscotti e dolci tra i pasti. In questo caso, non vale la pena chiedersi perché, già all'età di 2-3 anni, i piccoli pazienti dentisti nello studio dentistico si sentano a casa. La frutta e la verdura sono ottime per completare il pasto di un bambino, in quanto l'opzione migliore per autopulire la superficie dei denti.

- L'uso sistemico di prodotti contenenti calcio può avere un effetto molto positivo sulla resistenza dei denti da latte del bambino alla carie. Non è un segreto che questo utile elemento necessario per le nostre ossa e denti sia assorbito al meglio dai seguenti alimenti: latte, formaggi, kefir, prezzemolo, spinaci, panna, ricotta, albicocche secche e altri. I preparati contenenti calcio sono prescritti in base a coordinamento con il pediatra con l'attesa di un dosaggio individuale specifico per età del bambino in un ciclo di 2-4 settimane. In inverno, si raccomanda di combinare tali preparati con integratori di vitamina D. Particolarmente rilevanti sono i complessi multivitaminici per bambini con componenti minerali, incluso il calcio.

- Uso sistemico di fluoruri. In generale, la maggior parte del fluoro, in quanto uno dei componenti più importanti del reticolo minerale dello smalto, deve venire con acqua: ecco come si verifica il suo massimo assorbimento nel corpo. Sfortunatamente, in molte regioni della Russia vi è una grave carenza di contenuto di fluoro nell'acqua potabile, senza la quale i denti da latte del bambino possono essere rapidamente colpiti dalla carie. Sulla base dei dati sul contenuto di fluoro nel sistema di approvvigionamento idrico, si sta formando una base di prevenzione sistemica relativa all'introduzione di latte fluorurato, sale, nonché alla nomina di compresse di fluoruro, risciacqui, gel per l'applicazione ai denti in una clinica o per uso domestico. Poiché il fluoro nelle mani inette è veleno e può causare danni alla salute e persino alla vita di un bambino, è necessaria una consultazione medica obbligatoria prima di una profilassi del fluoro così grave.

Cosa devi sapere sulle misure preventive locali per proteggere i denti da latte dalla carie in tenera età:
- Pulizia di alta qualità da parte dei genitori del bambino della superficie del latte e dei denti permanenti con spazzolino e dentifricio. Tale igiene dovrebbe iniziare già dopo la comparsa del primo dente da latte, per il quale sono adatti salviette speciali, ad esempio Spiffies con speciale impregnazione per una migliore pulizia della placca. Puoi anche usare una semplice garza inumidita con acqua calda bollita. È importante capire che tale trattamento dovrebbe essere effettuato proprio dopo che il bambino ha mangiato cibo. È sufficiente pulire la superficie dei denti 2-3 volte al giorno per ridurre significativamente il rischio di carie in bottiglia sui denti da latte.

Importante da sapere
Iniziare ad abituare un bambino a uno spazzolino da denti dovrebbe essere di 1,5-2 anni sotto forma di un gioco. Non è possibile forzare un bambino a forzare, in quanto ciò crea un atteggiamento negativo persistente nei confronti dell'igiene.I genitori dei bambini dovrebbero ricordare che il loro esempio di spazzolatura corretta ed efficace può facilmente motivare un bambino ad ottenere le stesse abilità manuali.
In primo luogo, un dentifricio che non contiene fluoro viene utilizzato insieme a uno spazzolino da denti e ogni anno dovrebbe apparire in esso la concentrazione necessaria di fluoruri raccomandata per una data età. Ora è diventato abbastanza semplice da navigare: quasi ogni pasta per bambini ha un'età consigliata per il suo utilizzo.

- Applicazione professionale e domestica (sotto la supervisione del medico curante) di fluorizzazione profonda. Molto spesso si tratta di un liquido sigillante a smalto o dentina. L'applicazione alternativa di preparati per fluorurazione profonda consente di rafforzare rapidamente lo smalto dei denti da latte e creare una barriera all'azione degli acidi dei microrganismi dalla placca. Il vantaggio dell'uso locale di farmaci contenenti fluoro è un effetto puntuale sul tessuto dentale, aggirando i processi di assorbimento a lungo termine dei fluoruri dall'acqua o dal cibo. Inoltre, una tecnica condotta correttamente di fluorurazione profonda elimina completamente la probabilità di effetti tossici del fluoro sul corpo.
Come accennato in precedenza, solo un approccio integrato con una combinazione competente di profilassi sistemica e locale rafforzerà lo smalto del latte e dei denti permanenti e proteggerà il bambino dalla carie per lungo tempo.
Video utile: perché è importante trattare i denti da latte?
Come prendersi cura adeguatamente della cavità orale nei bambini piccoli



Il bambino ha 1 anno e 10 mesi. Gli incisivi superiori sono parzialmente distrutti. Cosa fare e dove andare? Il problema è che nella nostra regione nessuno si impegna a fare alcuna procedura con un bambino così piccolo.
Abbiamo lo stesso problema. Alla figlia tra 1,4 mesi. i denti anteriori iniziarono a sgretolarsi bruscamente. In sole due settimane, sono volati 3 denti! Inoltre, nessuno voleva prendere una cura. Nella clinica odontoiatrica della città placcata in argento gratuitamente. Ora la figlia ha 1,10 mesi. e vedo che i denti vengono ulteriormente distrutti. Ho trovato una clinica privata a Kiev, lì trattano bambini così piccoli.
Anche i denti di mio figlio vengono distrutti, 2 in alto. Siamo andati dal dottore, hanno detto solo di pulire. Pulito. Ora quasi tutti i denti superiori sembrano rosicchiati. I medici non fanno nulla ... Ma è un peccato strapparlo. Stiamo appena iniziando a parlare quasi normalmente (già 2 anni, i denti hanno iniziato a deteriorarsi a 1,6 anni).
I denti della figlia hanno iniziato a deteriorarsi rapidamente con 1,5 anni. Il medico ha consigliato 2 soluzioni: o il trattamento e la rimozione in anestesia generale, oppure sedersi in attesa che ne crescano di nuove. Mia figlia ora ha 4 anni. Tutti quelli inferiori nelle guarnizioni, quelli superiori sono parzialmente sigillati e rimossi. I denti neri sono molto brutti. Tratta i denti ai tuoi figli in tempo.
Che cosa ha fatto l'anestesia?
Smetti di succhiare capezzoli, bottiglie in tempo, seno - sono 12 mesi.Non mangiare o bere dolci e iniziare a prendersi cura dei denti del tuo bambino! Noi dentisti pediatrici abbiamo una carie precoce, come un osso in gola! Prenditi cura dei bambini, cari genitori, e siamo dentisti pediatrici, te lo diremo sempre, ma non siamo maghi, la carie ("buchi") non è invasa da pillole e parole gentili.
L'allattamento al seno non può provocare carie: questo è un mito e molto dannoso! Ma tè dolci da una bottiglia di notte - sì. Bene, in generale, più tardi il dolce entrerà a far parte della dieta del bambino, meglio è per lui. Bene e, naturalmente, abituarsi all'igiene e agli esami preventivi dal dentista dovrebbe essere la norma.
Oggi eravamo all'appuntamento dal dentista, il bambino ha 1 anno, una placca su tutti i denti anteriori. Il medico ha detto che era dall'allattamento al seno durante la notte. Non diamo niente di dolce, ci laviamo i denti 2 volte. E ancora deteriorarsi.
Questo è ben lungi dall'essere un mito ... Mio figlio non percepisce bottiglie e capezzoli, tanto meno tè dolce di notte. Siamo solo al GV, e alimentazione serale. Ecco qua!
Sì, siamo da biasimare, senza dubbio ... Ma poi la domanda è: siamo arrivati dal dentista pediatrico a quasi 2 anni, carie in bottiglia, 4 denti danneggiati. Il "dottore" ci disse che a questa età non lo trattavano affatto. "Lavati i denti e l'acqua durante la notte invece del latte." Per quanto posso giudicare da solo - se c'è carie, allora non è assolutamente curabile lavandosi i denti. È arrivato il dolore, il bambino non riesce a dormire ... Cosa fare? Dove correre? Quali dottori? E cosa dovrei dire all'incontro con la donna che ci ha ingannato ?!
Ciao marina! Dovresti contattare un dentista pediatrico in una clinica privata: è meglio scegliere un dentista pediatrico privato che abbia un massimo di recensioni positive, non prestando attenzione al prezzo costoso - un trattamento di alta qualità è costoso. È chiaro che con un certo stato psicologico di un bambino, a volte un dentista non può essere in grado di affrontare il lavoro per intero, anche se è meglio agire in questa direzione piuttosto che lasciar andare la situazione e aspettare il "flusso" - infiammazione purulenta nell'area dei denti malati per unirsi al pianto del bambino.
Se un bambino offre l'opportunità di trattare i denti, vengono trattati praticamente con gli stessi metodi dell'odontoiatria per adulti: esiste una serie di materiali che, dopo aver trattato i denti della carie, possono essere riempiti (ripristinati) qualitativamente in modo che il bambino non solo non soffra di dolore, ma nella scuola materna non era un reietto - l'oggetto del ridicolo (a causa di denti cariati o a causa di una bocca senza denti).
Se il bambino non consente ai denti di essere curati né dal primo meraviglioso dentista né dal secondo professionista, la scelta è piccola: rimuovere i denti con la forza, ma questo può essere un trauma psicologico per la vita e la paura di un camice bianco o ricorrere alla sedazione e (o) all'anestesia. Esistono molte cliniche pediatriche di odontoiatria che praticano la sedazione (anestesia) nel trattamento di bambini aggressivi o senza contatto; questo è efficace, ma anche costoso. È chiaro che l'anestesia è certi rischi e possibili effetti collaterali, la sedazione superficiale è già più vicina a un'opzione sicura per il trattamento completo del bambino, mentre è rilassato e indifferente a tutto per un breve periodo.
Per quanto riguarda la donna che ti ha ingannato: ovviamente, non conosco tutte le sfumature del lavoro di questo dentista in questa istituzione. Forse ha una sindrome da "esaurimento", e non sarà "morsa" da un bambino offeso per un salario così piccolo, e non ha il tempo di persuadere (giocare con un bambino un medico) con un flusso di piccoli pazienti. C'è un'opzione che non ha esperienza con bambini così piccoli.
Non so esattamente cosa impedisce a questa donna di eliminare in tempo le lesioni cariose nei piccoli pazienti, ma distribuirò una replica per il dentista - potrebbe tornare utile:
“Se non sei preparato professionalmente a lavorare con bambini di età compresa tra 1,5 e 3 anni, forse invece di dare consigli vuoti e dannosi ai genitori, è meglio seguire corsi di formazione avanzati o addirittura cambiare l'ambito di attività? In cliniche private possono curare la carie e la pulpite anche in così giovane età. "
Caro dottore! Ci piacerebbe andare al "dentista privato per bambini", ma nella nostra città non ce ne sono semplicemente nessuno. Ma nel nostro stato sono in grado di torturare bene i bambini. In primo luogo, le code sono lunghe quattro ore, quindi i medici urlano e spaventano il bambino, ma questo è solo un bambino e fa male ed è spaventato!
Articolo molto bello! Ho imparato molto Grazie) Prendi nota e stai attento.
Mio figlio 1.7. I 4 denti in acciaio si sbriciolano. Andiamo dal dottore, disse il dottore: costantemente pulito. Ora proverò a trovare un dentista pediatrico.
I denti hanno iniziato a deteriorarsi rapidamente da 2 anni, dalla stessa età puliamo la mattina e la sera. Siamo andati dal dentista dei bambini, guariti e ricoperti di argento, ma i denti sono stati ulteriormente distrutti e persino resi neri ((Cosa devo fare ?!
Benvenuti! Non si tratta di pulizia, ma nella molteplicità dei dolci nella cavità orale. I denti più danneggiati, secondo le statistiche, sono nei bambini che rimangono tra i dolci tra i pasti e dopo di esso (in particolare lecca-lecca, caramella mou, cioccolatini). Come genitore di un bambino, mi sono imbattuto nel fatto di aver "battuto" le mani di estranei dalla strada che hanno fatto uscire dolci (dai venditori ai nonni dall'ingresso). Inoltre, questi sconosciuti hanno cercato di assicurare a me, il dentista, che senza cioccolatini (snack così dolci) il bambino sarebbe cresciuto stupido: "Dopo tutto, un bambino ha bisogno di cioccolato per la sua mente e il suo sviluppo".
Fortunatamente, parenti e amici erano consapevoli che era assolutamente impossibile nutrire le lecca-lecca fino a 2,5-3 anni, e in seguito era indesiderabile, ma già un po 'sopportabile. Non spiegherò perché. Alle domande dei miei clienti: "Mio figlio ha già distrutto diversi denti con la carie all'età di 2 anni, e non gli è stata data la possibilità di guarire, come puoi curare i denti di tuo figlio?", Dico che a 4 anni non ha denti con la carie, io non era ancora stato trattato su una sedia.
Naturalmente, oltre a “stringere la mano”, l'igiene orale era in qualche modo diversa da quanto molti genitori immaginano: i primi denti hanno iniziato a scoppiare in un anno (questo è un leggero ritardo), il bambino li ha puliti da soli dopo l'allenamento per un minuto, quindi il gioco è iniziato: come vola il calabrone e ronzio in bocca, una rabbiosa spazzola Shyrk-Shyrk, spazzolatura dei denti da parte del genitore all'esterno e all'interno, in particolare il gruppo anteriore dei denti superiori (molto spesso la carie).
Continuiamo ancora a pulire il bambino dopo il suo "gioco" di 1-2 minuti. Inoltre, l'effetto migliore si ottiene quando la pulizia segue dopo la colazione e non prima. Poiché i denti da latte hanno quasi sempre degli spazi tra i denti, non è necessario il filo interdentale, solo l'igiene orale controllata e l'assenza di cibi dolci: collegare la rabbia di un bambino con i dolci è una pratica viziosa, almeno per la salute dentale.
A proposito, la spazzolatura inizia con il primo dente eruttato. Siamo fortunati che tutto sia iniziato già con un pennello, ma per chiunque abbia i denti stretti per 4-5 mesi, dovrai scegliere una punta delle dita o un banale gabinetto della cavità orale e dei denti con un panno di garza. Non penso che ci sia una filosofia trascendentale in questo.
"L'ignoranza della legge non è esente da responsabilità." Ora un problema mancante ne dà origine a nuovi. Certo, l'argentatura dei denti è una pratica viziosa. Molti dentisti saranno d'accordo con me ora: questa è una "misura temporanea" o generalmente inefficace. È chiaro che per un bambino è più facile ungere i denti che sottoporsi a un trattamento con il sistema ICON (dai 2 anni), riempiendo i denti con il metodo classico del cemento vetro-resina dopo la preparazione, ecc.Per quanto riguarda la scelta dei metodi, solo un dentista pediatrico qualificato può dirlo. Non credo valga la pena di tornare dal medico che ha suggerito una tecnica di argentatura non moderna e controversa. Buona fortuna a trovare un professionista e la salute per te e il tuo bambino!
Vedi: dai dentifrici, così costosi, dipende anche. Alcune paste rendono i denti molto deboli - come se fossero porcellana, e cadono gradualmente in particelle.
Caro Svyatoslav Gennadevich. Dimmelo per favore! Il bambino ha 1 anno e 3 mesi. Il primo dente è uscito in 3 mesi. Il secondo in 4. Quasi immediatamente, sono comparsi punti gialli sui denti. Naturalmente, i dolci a questa età non possono essere discussi, inoltre, non ha succhiato un ciuccio o una bottiglia, solo seni, cibi complementari da un cucchiaio precedentemente trattato con acqua bollente. Ho chiesto al pediatra la causa delle macchie, ha detto che non c'era nulla di cui preoccuparsi. Nell'anno siamo stati esaminati dal dentista (cavi di ricezione misti), a quel tempo c'erano già approfondimenti sui denti. Ha anche detto che non fa paura. Ora ho notato che la depressione su un dente è diventata più grande e, per così dire, copre il dente. Sono salito su Internet, ho trovato questo articolo e ho capito che dovevo fare qualcosa! Ma cosa? Il bambino è piccolo e non permetterà di guarire. Dimmi, per favore, una via d'uscita! È tutto così spaventoso o con un'igiene costante riesci a raggiungere i denti permanenti? Grazie in anticipo!
Benvenuti! Penso che la debole mineralizzazione dei denti, caratteristica del tuo bambino, abbia permesso anche in presenza di fattori minori (latte materno + alimentazione notturna) di creare una situazione di sviluppo della carie cervicale su questi denti. Se non ci fossero poppate notturne, la carie potrebbe svilupparsi a causa del giorno. Il problema è che dalla carie nella fase spot, passa senza problemi nella carie superficiale o media, che già richiede riempimento. Questo è l'ideale
Penso che sia prematuro giudicare se il bambino curerà o meno. Devi andare in una normale clinica, dove ci sono specialisti: dentisti per bambini. Spesso trovano un approccio al bambino anche nei casi più difficili.
Sono io (dal momento che lavoro raramente con i bambini) e questa età potrebbe sorprenderti e è improbabile che i dentisti pediatrici che prendono 10 o più bambini da 0 a 17 anni al giorno. Senza esaminare i denti del bambino e controllare la carie (la profondità della lesione), è impossibile elaborare un piano di trattamento, e ancora di più per dire: i denti raggiungeranno il permanente senza trattamento. In generale, l'ultima domanda è estremamente filosofica e è improbabile che un dentista pediatrico risponda, poiché tutto dipende dal tasso di carie, che non è suscettibile di semplice aritmetica. Grazie per la domanda
In Asia centrale, fino a 7 anni, non sapevo cosa fosse il dentifricio, non sapevo chi fosse un dentista. Dopo 7 anni, ho provato per la prima volta il dentifricio - per il gusto, ma lo ho usato molto raramente. A 19 anni, visitò per la prima volta un dentista!
Sono d'accordo con il mio collega in tutto. Mi ha fatto molto piacere che alla fine sia stato notato Aykon (è stato troppo doloroso per me "ottenere" dai miei colleghi per la mia opinione sui benefici di questo farmaco). Questo è un materiale eccellente nel trattamento della carie nell'area dello smalto. E non solo nei bambini. E, a proposito, dalla mia pratica, noto che sono riusciti a salvare una ragazza di 16 anni che aveva la fluorosi dalle corone. È stato un esperimento. E il risultato è piaciuto a entrambi. Caso singolo Sono un giovane dottore. Ma il fatto è un fatto.
Ma quello che, in realtà, volevo dire - sì, si dice molto sul trattamento, sulla prevenzione, sull'igiene e sulla dieta. Ma non dicono una parola che possiamo proteggere i denti del nostro bambino anche durante la gravidanza. La posa di smalto di denti temporanei si verifica nel primo trimestre, permanente - nell'ultimo. In questo momento, le future madri sono in grado, osservando una certa dieta (mangiando bene) e la propria salute (non facendo talenti, rischiando la propria salute), per garantire le condizioni più favorevoli per questo processo. Esistono farmaci speciali per la prevenzione dei segnalibri di smalto debole in un bambino.Anche se sono un po 'diffidente nei confronti di qualsiasi tipo di integratore alimentare, ma se vivi in condizioni in cui è difficile chiamare una buona alimentazione, ad esempio l'acqua ha un basso contenuto di fluoro, non dovresti ignorare queste cose. Certo, sotto la supervisione di un ginecologo e del dentista (ci sono, tra l'altro, prodotti fluorurati), perché anche un eccesso di fluoro non è buono. Ma è meglio provare a mangiare bene, camminare al sole e non ammalarsi. Sì, la cosa principale è non ammalarsi. Soprattutto nel primo trimestre di gravidanza, quando sono in corso la posa degli organi principali e la formazione del sistema immunitario del bambino (scarsa immunità - saliva debole - carie).
Spero che queste informazioni siano almeno "tempestive" per qualcuno.
Per quanto riguarda la nutrizione di neonati e bambini. Qualsiasi prodotto contenente zucchero può causare carie. Anche il latte materno. Un'altra domanda è che il latte materno contiene anche sostanze antimicrobiche e viene bevuto con una corretta captazione del seno (e di solito non ci sono problemi con l'aspetto dei denti con le mamme), in modo che non si stacchi quasi sui denti (un'eccezione potrebbe essere l'alimentazione di un bambino mezzo addormentato, quando si addormenta, "scivola" sul capezzolo). Pertanto, la carie è chiamata "bottiglia" e non "seno" o, in generale, "latte". Perché sostanzialmente il nostro nemico è una bottiglia. Ma l'igiene e la pulizia del seno femminile sono molto necessarie. Risciacquare semplicemente con acqua senza sapone dopo ogni poppata. So che una percentuale piuttosto grande di donne non lo fa, si sbaglia, pensando che poiché il latte ha proprietà antimicrobiche, "guarisce" e disinfetta il capezzolo. Non è così! Il latte è un prodotto proteico organico che colonizza rapidamente i microbi. Le proprietà antimicrobiche non sono sufficienti. Non è un antisettico!
Con l'introduzione di alimenti complementari, il rischio di sviluppare carie in un bambino aumenta notevolmente. Ciò è dovuto al fatto che l'offerta di zuccheri aumenta notevolmente. Succhi di frutta, tè dolci sono particolarmente pericolosi. Consiglio vivamente di diluire i succhi a metà con acqua (credetemi, il bambino sarà delizioso!), Ma è meglio abbandonarli completamente fino a 2-3 anni. Sostituiscili con purè di frutta. E non importa se lavi i denti del tuo bambino dopo ogni poppata, se hai questi denti, insegna al tuo bambino a bere acqua semplice! Ho mangiato - mi hanno dato un bicchiere d'acqua. Meglio dalla tazza: allo stesso tempo ti sciacquerà i denti e padroneggerà rapidamente questa "professione". Mi sono svegliato di notte - offri prima dell'acqua. Ho chiesto da bere - un po 'd'acqua! Entro 2-3 anni, quando il bambino "ama" l'acqua e sarà più consapevole del fatto che la bocca deve essere sciacquata dopo aver mangiato, possono anche essere introdotti succhi di frutta.
Devi iniziare ad abituare il tuo bambino a lavarsi i denti il prima possibile. Di solito, in un anno e mezzo, i bambini hanno un forte desiderio di ripetere dopo gli adulti. Dai un esempio. Lavati i denti: porta il tuo bambino con te, lascia che ti morda un pennello. La cosa principale è sviluppare un'abitudine! Quindi insegnare e movimenti.
Se hai carie, lavati i denti un po '. Come minimo, vale la pena rivedere cosa potrebbe causare carie. Snack o succhi di frutta. O qualcos'altro. Ed eliminali. E non aspettare fino a 6-7 anni, quando i denti iniziano a cambiare se stessi. Non tutti i denti cambiano a 6 anni, ci sono quelli che cambiano a 12 anni.
Salute a te!
Mio figlio ha un anno e due mesi. Lo smalto superiore cominciò a sgretolarsi, mentre il dente era intero, come se la corteccia fosse scesa dall'albero e il colore del dente interno fosse giallo chiaro opaco. Il medico della clinica ha detto che quando ero incinta, non ho avuto minerali, vitamine o altro (anche se ho bevuto vitamine, ferro e magnesio B6). Ho molta paura delle condizioni dei denti già ossei. Si prega di avvisare, dovrebbero essere estratti o aspettare? Grazie in anticipo
Benvenuti! La descrizione è simile alla cosiddetta carie di bottiglia. Senza un forte bisogno, non dovresti rimuovere i denti da latte, poiché dipende da come i denti permanenti permanenti correttamente e tempestivamente.Ma anche solo aspettare senza fare nulla non ha senso: è necessario fare una diagnosi accurata e identificare le cause della rapida carie, quindi, se possibile, eliminarle.
Prova a contattare un altro dentista pediatrico con il tuo bambino. Non tutti i dentisti sono pronti ad aiutare in così giovane età, dal momento che ha una serie di difficoltà, ma vale la pena provare, perché non solo la salute dei futuri denti permanenti dipende da questo, ma anche la salute del bambino nel suo insieme. Spero che troverai un dentista pediatrico competente che non ti rifiuterà l'assistenza qualificata, nonostante l'età così piccola del bambino.
Cari genitori Possiamo semplificare i viaggi dal medico e non ferire il bambino. Questo per lavarti i denti con l'aspetto del primo (la mattina dopo aver mangiato e anche la sera). Fino a 9 anni, i genitori dovrebbero lavarsi i denti. Il bambino stesso si allena solo durante questo periodo di età! Rimuovi i succhi e i dolci dal cibo. In un bambino, penso, le posate dovrebbero essere separate dagli adulti. Ogni 1, 2, 3, 4 anni, andare dal medico per un esame programmato. Vorrei che i tuoi figli non si ammalassero.
Svyatoslav Gennadievich, ciao. Per favore, dì a mio figlio due anni e dieci mesi. Sul dente inferiore, dopo gli incisivi, sulla zanna, ho notato un piccolo punto, simile alla carie iniziale. Cosa si può fare? Puliamo i denti con piacere. I denti rimanenti sono in ordine. E un'altra domanda: quanto spesso dare a un bambino gluconato di calcio?
Benvenuti! Penso che valga la pena contattare un dentista pediatrico e colorare la macchia con un colorante speciale per capire: questa è la carie, la pigmentazione o solo la placca a questo punto si è accumulata, che non viene rimossa quando si lavano i denti. Se è la carie, allora devi trattare. Il medico sceglie le tattiche, a seconda del comportamento del bambino e delle capacità dell'odontoiatria stessa.
Per quanto riguarda la necessità e la frequenza dell'assunzione del gluconato di calcio in absentia, non posso dirtelo. È importante esaminare i denti: l'aspetto e le condizioni dello smalto, al fine di avere un'idea se questo farmaco può essere utile e quanto sia giustificato, in generale. Spesso, questo è anche controllato dal pediatra insieme al dentista pediatrico. Ecco perché raccomando una visita personale dal medico con il bambino.
Ora suo figlio ha 3 anni. La carie da latte è iniziata nell'anno, è andata dal medico - hanno detto che non possiamo fare nulla, sono latte ... Di conseguenza, i 4 denti superiori sono crollati e ora un urto sta scavando sulla gomma sopra un dente e il sangue è stato rilasciato dal resto del dente, come con il pus. Di recente siamo stati in odontoiatria, un medico in congedo per malattia, domani andremo di nuovo. Dimmi cosa devo fare? Rimuovere i resti di chiodi di garofano?
Benvenuti! È necessario scoprire l'entità del problema: quanto questi denti sono danneggiati. Forse alcuni di loro possono ancora essere salvati. Quelli che si trovano nella fase purulenta (esacerbazione della parodontite cronica) dovranno essere rimossi. La rimozione e il trattamento a questa età vengono spesso eseguiti in anestesia generale. C'è anche una sedazione superficiale come alternativa all'anestesia. Queste opzioni sono selezionate solo da uno specialista (dentista pediatrico, è meglio in un'istituzione per bambini), valutando la presenza di controindicazioni e conducendo diagnosi, esterne e nella cavità orale. Quindi il tuo primo passo è trovare un dentista pediatrico professionista.
È meglio non tirare con un dente (o denti) purulento, poiché questa è spesso una minaccia diretta non solo alla salute dentale (per futuri denti permanenti), ma anche alla vita del bambino.
Ciao, abbiamo tirato fuori il primo dente in un mese e a 6 mesi avevamo quasi tutti i nostri denti. E hanno subito iniziato a svanire le gengive. Siamo andati dai dottori, ci hanno detto che non potevano aiutare, dato che siamo piccoli. Non so cosa fare.Ora siamo 1.9, i nostri denti anteriori sono stati quasi tutti cancellati, e finora solo i fori sono apparsi sul retro. Dimmi, per favore, cosa si può fare?
Benvenuti! Sono certo che la cosiddetta carie di bottiglia abbia dato un contributo significativo alla cancellazione dei denti anteriori: questo è un problema comune oggi, specialmente con i denti temporanei che scoppiano presto. Prova il più possibile a migliorare l'igiene della cavità orale del bambino in modo che in futuro i denti non si carichino più rapidamente.
Per chiarire la situazione e determinare quali denti possono e devono essere ripristinati e se c'è un'urgente necessità di rimuovere i resti di denti danneggiati, è necessario contattare l'odontoiatria pediatrica (preferibilmente un livello elevato, poiché il caso non è semplice). Anche i pazienti più piccoli possono essere aiutati lì, ad esempio con sedazione o anestesia. È possibile che sia necessaria una consultazione di diversi medici (chirurgo, terapista, ortopedico, ortodontista). E, soprattutto, non ritardare la visita dal medico, poiché le conseguenze della procrastinazione possono essere molto gravi.
Grazie per l'articolo! Ho imparato molte informazioni utili, in particolare sulla prevenzione e l'igiene dei denti da latte. E sono d'accordo con il commento sopra, è meglio iniziare a seguirli dal primo dente dei bambini, in modo che in seguito non ci siano problemi seri.
Svyatoslav Gennadievich! Buona giornata! Mia figlia ha 1,5 anni, una carie di latte con quattro denti superiori anteriori. In odontoiatria privata, il dottore si offrì di forare un paio di denti, sull'anestesia, ovviamente, non c'erano dubbi. E l'argentatura, secondo molti, non dà il risultato desiderato. Spiegare cos'è ancora un trattamento più efficace? Ne vale la pena riempirsi i denti in così giovane età, è dolorosamente dispiaciuto per il bambino ?! Grazie in anticipo per la tua risposta!
Ciao Tatyana! Il metodo di argentatura non è davvero un trattamento efficace. Piuttosto, può essere definita una variante del "sorvolare il problema" e trasformarlo in un processo cronico, spesso con conseguenze negative per i denti da latte.
Spesso a questa età viene utilizzata non solo l'anestesia, ma anche la sedazione superficiale, che comporta meno rischi e consente a un dentista pediatrico di svolgere il proprio lavoro in modo qualitativo. Di conseguenza, il bambino non interferisce con il lavoro del medico e il medico guarisce correttamente.
Il fatto che il medico ti offra, a quanto ho capito, senza anestesia e senza sedazione per "forare" i denti del bambino, da un lato, è normale, ma di solito non molti bambini in questa categoria di età siedono in silenzio, non hanno paura e seguono le istruzioni del medico, cioè non interferire. Ci sono alcuni medici che non solo eseguono il trattamento della carie in modo di qualità, ma intrattengono abilmente il bambino in modo che poi chieda ai genitori di venire di nuovo in questo ufficio. Puoi interessare un bambino in molti modi: dai cartoni animati e piccoli regali alle otturazioni colorate e alle deliziose paste lucidanti. Ma il rischio che il bambino non arrivi a un dottore così gentile è abbastanza grande e le possibili conseguenze sono la paura di un camice bianco a causa del dolore durante il trattamento.
Comunque sia, è importante che tu agisca abbastanza rapidamente fino a quando i denti non sono collassati e la carie non ha subito le sue complicanze con il rischio di perdere i denti o addirittura interrompere l'eruzione dei denti permanenti.
Ciao Mio figlio ha 4 anni. A 2,5, ha eliminato il dente anteriore, dopo di che tutti i denti della mascella superiore hanno iniziato a decadere ... Rimanevano solo "monconi" dei denti superiori! I dottori scrollano le mani fin dall'inizio, senza specificare le cause esatte della distruzione e cosa fare dopo, assicurando che ciò non influirà sui denti permanenti. È così?
Benvenuti! Il fatto è che non si tratta solo di un dente eliminato, ma di una carie in rapido movimento (il più delle volte nella zona cervicale), la cosiddetta "carie da bottiglia". È lui la principale causa di carie nel tuo bambino. I processi che si verificano nei denti cariati possono influenzare i denti permanenti e la gravità dipende dalla componente infettiva. Se all'interno del canale si sviluppa un processo purulento-necrotico, l'infezione penetra rapidamente in profondità nell'osso e spesso subisce il rudimento di un dente permanente.In alcuni casi, il primordio può essere gravemente danneggiato, fino al suo "riassorbimento".
Penso che i tuoi medici curanti non possano fornire assistenza al bambino per una serie di ragioni, ed è per questo che pronunciano cose così strane, per dirla in parole povere. Sono sicuro che è necessario trovare dentisti pediatrici in grado di valutare adeguatamente la situazione al fine di iniziare il trattamento o rimuovere urgentemente i denti danneggiati (canapa) al fine di evitare lo sviluppo di un'infezione purulenta.
La carie è il segno più evidente della carenza di vitamina K2. È K2, da non confondere con K1.
Ciao Abbiamo presto un anno, l'altro giorno ho notato che c'erano delle macchie marroni sulle zanne, e oggi ho visto che apparivano macchie sui denti anteriori e come se iniziassero dei buchi. È davvero impossibile fare qualcosa? Sono molto preoccupato, domani sono sicuro di vedere un dottore.
Benvenuti! Fortunatamente, si può fare molto. Esistono diversi metodi per la prevenzione e il trattamento della carie a questa età: dal metodo obsoleto di argentatura dei denti al loro moderno restauro utilizzando la tecnologia Icon. In ogni caso, è importante contattare il dentista pediatrico in tempo per pianificare il trattamento. Quindi non preoccuparti e tratta la carie dei denti decidui il prima possibile in modo da non compromettere la salute del bambino e i rudimenti dei denti permanenti. Salute al tuo bambino!
Buona sera Bambino 1.7. 4 denti anteriori vengono distrutti. Su masticare sei c'è finora un rivestimento bianco. A quanto ho capito, questa è la fase iniziale della carie. In una clinica privata, hanno raccomandato di riempire tutti i denti superiori, compresi quelli con un rivestimento bianco. Certo, non vorrei fare casino con l'anestesia. Hai scritto sopra sulla sedazione a quell'età. Da qualche parte hanno scritto che è consentito da 3 anni. È spaventoso immaginare persino di riempire un dente con un bambino del genere quando urla, piange e si contorce. Enorme stress per il bambino. Domanda: usi la sedazione in un'età come la nostra? Ed è davvero necessario riempire la carie sul palco di una macchia bianca?
E un'altra domanda. Esiste un modo per ritardare o arrestare la carie per un po '? Fino all'età in cui è possibile concordare con un bambino e trattare la carie anche con protossido di azoto? Ho letto dell'argentatura delle aree interessate del dente. Questo aiuterà a fermare la distruzione?
Ciao Rose. La carie nella fase di una macchia bianca può essere lasciata sotto osservazione, soggetta a un'attenta igiene (allo stesso tempo, è necessario guardare in modo da non peggiorare la situazione). Se il bambino ha già distrutto alcuni denti (ci sono cavità cariate), allora devono essere trattati, poiché si tratta di focolai di infezione cronica che influenzano la salute generale del bambino e portano a un'ulteriore carie. In tenera età, un trattamento di alta qualità può essere eseguito solo in anestesia generale - purtroppo la sedazione non funzionerà. È necessaria la consultazione preventiva con un anestesista.
Non è necessario ritardare la soluzione del problema con i denti cariati, poiché il processo cariato si diffonderà ulteriormente e può portare a complicazioni, è molto problematico sospendere questo processo. L'argentatura delle aree interessate del dente viene applicata fino a un certo stadio di distruzione, tuttavia alcuni esperti considerano la procedura inefficace. Pertanto, non consiglio di contare solo sull'argentatura.
Grazie!
Beh, foto, stagno) Mio marito ed io abbiamo domato una figlia fin dall'infanzia mangiando solo nei fine settimana, perché colpisce soprattutto i denti. Bere bebè formula orso di calcio Prestiamo particolare attenzione alla nutrizione. Il marito è un istruttore di fitness, quindi cerchiamo anche di nutrire correttamente il bambino. Non ci sono problemi con questo.