
Vogliamo tutti avere denti belli e sani. Affinché rimangano tali, è importante essere in grado di riconoscere i segni della carie iniziale in tempo, al fine di adottare misure adeguate per impedirne l'ulteriore sviluppo.
Anche se vai dal dentista ogni sei mesi, è lontano dal fatto che durante questo periodo il processo cariato dalla sua forma iniziale, ad esempio dalla fase del punto bianco, non avrà tempo di svilupparsi ulteriormente toccando la dentina del dente. Quindi è improbabile che il trattamento dentale senza l'uso di un trapano sia evitato.

Quindi, se noti punti bianchi sospetti sui tuoi denti, e ancora di più brunastri o addirittura quasi neri, e senti periodicamente un dolore in bocca (una sensazione di astringenza o un retrogusto astringente) - è molto probabile che la carie abbia già iniziato il suo lavoro distruttivo su lo smalto dei denti.
Qual è la carie iniziale e le sue cause
Per una migliore comprensione di ciò che è la carie iniziale e perché si verifica, ricordiamo la struttura del dente. Vale a dire - che la parte superiore e più resistente di esso è lo smalto. Se l'igiene dietro la cavità orale è insoddisfacente, a causa dell'attività vitale dei microrganismi in bocca, gli acidi organici si formano dai carboidrati (principalmente dallo zucchero) e si forma la placca sulla superficie dello smalto.

Lo smalto dei denti è composto da composti di calcio, fosforo e fluoro, nonché da una matrice proteica che, come una rete, penetra nell'intera struttura. Con un'esposizione prolungata agli acidi sullo smalto, i componenti minerali vengono eliminati da esso - questo processo è chiamato demineralizzazione dello smalto ed è la causa principale della carie iniziale.
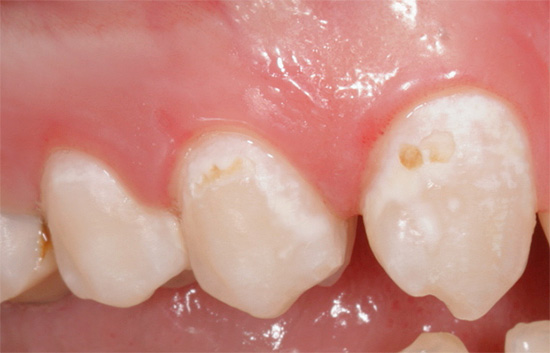
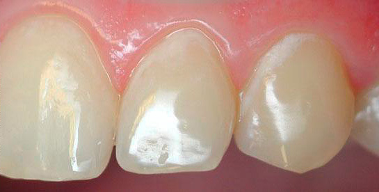
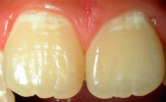
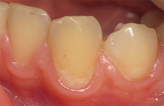
Di conseguenza, sulla superficie dei denti compaiono macchie bianche gessose - aree di demineralizzazione. La carie iniziale in questa fase è anche chiamata carie a punti bianchi. Allo stesso tempo, lo smalto dei denti sembra ancora liscio, ma perde già la sua lucentezza, la sua durezza in tali aree diminuisce leggermente, diventa più porosa (vedi foto):


È interessante
La demineralizzazione dello smalto nelle fasi iniziali del processo carioso è reversibile. Numerosi studi sperimentali e clinici hanno dimostrato che la struttura cristallina dello smalto può essere ripristinata con successo a causa dei componenti minerali provenienti dall'esterno, principalmente composti di calcio, fosforo e fluoro. Tuttavia, tale rimineralizzazione è possibile solo con un certo grado di distruzione dei tessuti duri.
Il limite che determina la possibilità di tale trattamento rimineralizzante è la conservazione della matrice proteica dello smalto. Se la matrice proteica non ha ancora avuto il tempo di rompersi durante la carie iniziale, a causa delle sue caratteristiche intrinseche, è in grado di assorbire ioni calcio e ioni fosfato dall'esterno, che alla fine si cristallizzano nella sua struttura con il ripristino delle proprietà protettive e della durezza dello smalto.
La carie iniziale nella fase di una macchia bianca è particolarmente evidente sui denti superiori e inferiori anteriori: basta stare di fronte allo specchio e asciugare leggermente la superficie del dente. Le aree di demineralizzazione in questo caso appaiono come punti bianchi (le cosiddette carie bianche). Tuttavia, è ovvio che il processo patologico è lungi dall'essere limitato nella sua localizzazione da parte dei denti anteriori, può verificarsi su quasi tutti i denti e qualsiasi superficie.
Il dentista dice:
“Va notato che le macchie bianche sullo smalto possono anche indicare una lesione non cariosa (ad esempio, ipoplasia dello smalto). Ne vale la pena mentre ti preoccupi, guardando queste aree? Non lo so, ma personalmente ho una macchia bianca su un dente, che ho notato circa 5-7 anni fa davanti a uno specchio.Non me ne ero accorto prima, ma per la prima volta sono stato preso dal panico, guardando il sito di cambiamento nell'incisivo laterale superiore. Non ha fatto nulla, ma dopo un po 'di tempo si è reso conto che si trattava di ipoplasia, sottosviluppo dello smalto fin dall'infanzia.
Quindi, mentre recitavo, è meglio non recitare. Quindi ho chiaramente immaginato che tali punti non potevano essere carie e non erano riassicurati sulla poltrona del dentista. Avendo le conoscenze iniziali su questo problema, ho fatto la diagnosi preliminare corretta in contumacia e non mi sono sbagliato. "

L'aumentata porosità delle aree di smalto demineralizzato porta al fatto che la carie iniziale dallo stadio della macchia bianca passa piuttosto rapidamente nello stadio della macchia scura. In questo caso, i tessuti cariati sono pigmentati da vari coloranti e acquisiscono sfumature dal marrone chiaro al marrone scuro, quasi nero.
Tuttavia, parliamo delle manifestazioni cliniche della carie iniziale in modo più dettagliato, poiché è importante essere in grado di riconoscere il problema nelle fasi iniziali del suo aspetto al fine di agire in tempo.
Manifestazioni cliniche di patologia
Si ritiene che con la carie iniziale, il sintomo standard sia la sensazione periodica di una persona di una bocca dolorante che si verifica quando i cibi acidi, dolci o salati salgono sui denti. Allo stesso tempo, non esiste un forte dolore, come nel caso della carie della dentina (il tessuto dentale principale situato sotto lo smalto), che è la peculiare astuzia della carie iniziale: una persona può camminarci a lungo senza nemmeno sapere che lo smalto i suoi denti si stanno gradualmente deteriorando.
Tuttavia, in pratica, i pazienti non si lamentano sempre di una sensazione di indolenzimento, soprattutto nelle prime fasi della carie iniziale.
nota
Lo smalto dei denti è privo di terminazioni nervose ed è costituito da quasi il 97% di sostanze inorganiche. Lo spessore dello smalto in diverse parti del dente varia in modo significativo, quasi svanendo al collo del dente. Di conseguenza, il forte dolore durante la carie si sentirà solo quando il processo cariato attraversa lo smalto sottostante, fino alla dentina trafitta da microscopici tubuli con terminazioni nervose.
Tuttavia, la sensibilità dei denti può essere causata non solo dall'aspetto delle zone di demineralizzazione, ma anche dall'aumentata abrasione dello smalto (quando si lavano i denti e premendo il pennello nelle aree cervicali), nonché da una banale violazione della densità dello smalto (o struttura), quando il processo di “conducibilità si verifica senza la comparsa della carie iniziale »Freddo e caldo dallo smalto al tessuto sottostante.
Lo smalto stesso, ovviamente, non ha terminazioni nervose e la sua struttura cambia costantemente anche senza zone cariate iniziali. Tuttavia, per alcune persone, è sufficiente per un paio di giorni premere eccessivamente sulle aree cervicali con uno spazzolino da denti, in modo che per i prossimi 2-3 giorni abbiano paura di toccare anche le aree sensibili.

Le manifestazioni cliniche della carie iniziale includono un cambiamento nel colore dei denti, come discusso sopra. In questo caso, si osservano le seguenti tonalità mentre si sviluppa il processo patologico:
- tonalità naturale del dente, ma opaca;
- bianco;
- beige;
- marrone chiaro;
- marrone scuro;
- nero.
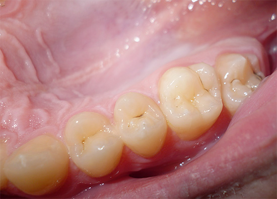
Potresti essere sorpreso, ma i punti o le strisce neri sui denti nell'area della fessura (il sollievo naturale della superficie del dente) non significano che il dente si è irrimediabilmente marcito e tutto è molto brutto. Ha davvero dei problemi, ma questa condizione potrebbe benissimo essere una delle manifestazioni cliniche della carie iniziale. E lui, come ricorderete, in alcuni casi può essere completamente reversibile.
La foto sotto mostra approssimativamente la carie iniziale nell'area della fessura del dente:

Dal punto di vista di un dentista professionista, il quadro clinico della carie iniziale è integrato da una serie di sfumature significative.Quindi, ad esempio, il medico verificherà definitivamente le condizioni dello smalto con una sonda dentale: con la carie iniziale nella fase di una macchia bianca, la punta dovrebbe scivolare sulla superficie, poiché lo smalto mantiene ancora una durezza abbastanza elevata.
Con un processo più profondo di demineralizzazione, il suono può rivelare alcune rugosità e una durezza ridotta. Il paziente può provare un leggero dolore.
Metodi di diagnosi per la carie iniziale
Esistono diversi metodi ampiamente utilizzati per diagnosticare la carie iniziale, che consentono di differenziarlo in modo affidabile con altre condizioni patologiche dei denti. Il più semplice di questi è l'essiccazione dello smalto dei denti sopra menzionato. Allo stesso tempo, i siti di demineralizzazione sembrano opachi, spesso biancastri (la perdita di lucentezza dello smalto è un segno caratteristico della carie iniziale).


Con la posizione delle macchie scure nelle fessure, può essere abbastanza difficile per il medico identificare se questa è davvero la carie iniziale o è una forma più profondamente inserita. La diagnosi in questi casi nei bambini è particolarmente problematica, poiché lo smalto dei denti nell'area della fessura è spesso insufficientemente mineralizzato e il dolore durante il sondaggio può verificarsi anche su superfici intatte (non coinvolte nel processo cariato) dei denti. Molti dentisti stimabili per bambini generalmente vietano l'uso di sonde affilate (e sonde in generale) per la diagnosi carie delle fessure nei bambini con smalto non formato a causa del fatto che:
- La sonda danneggia lo smalto;
- La sonda può iniziare a rimanere bloccata anche in una normale fessura, creando focolai artificiali di "rugosità" dello smalto.
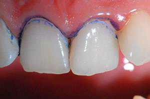
Un metodo molto efficace per diagnosticare la carie iniziale è l'uso di vari coloranti che, grazie alla maggiore permeabilità dello smalto demineralizzato, sono in grado di penetrare in profondità e fissarsi saldamente nei pori. I coloranti organici più comunemente usati sono:
- blu di metilene (soluzione al 2% in acqua);
- rosso metilene (soluzione allo 0,1% in acqua);
- tropeolin;
- carminio;
ecc. La procedura diagnostica inizia con l'isolamento del dente dalla saliva usando i rotoli di cotone e la sua successiva asciugatura. Quindi, una piccola soluzione di colorante viene applicata sulla superficie dello smalto con un batuffolo di cotone e attendere qualche minuto in modo che il colorante possa fissarsi nei pori dello smalto, se presente. Quindi le aree macchiate del dente vengono lavate con acqua. Un segno di carie iniziale è la colorazione persistente dello smalto nel colore della tintura utilizzata.
La foto mostra chiaramente le aree colorate dello smalto demineralizzato:

Viene anche proposto un metodo per colorare i siti di demineralizzazione usando una soluzione acquosa di nitrato d'argento. Gli ioni d'argento sono ridotti nei pori in argento metallico, che conferisce allo smalto un colore nero. Lo svantaggio di questo metodo è l'irreversibilità di un tale colore.
nota
durante la diagnosi differenziale della carie iniziale il dentista deve anche assicurarsi che i punti bianchi sui denti non siano segni di fluorosi endemica associata a un eccesso di fluoro nel corpo. Un punto cariato di solito è singolo e i punti fluorescenti sono generalmente multipli e spesso si trovano simmetricamente sui denti con lo stesso nome sui lati sinistro e destro. Si tiene anche conto del fatto che la carie iniziale è solitamente localizzata sulle superfici approssimative delle corone dei denti, nell'area del collo e delle fessure, mentre si verifica in persone che sono generalmente inclini alla carie e hanno altri sintomi. Le macchie fluorescenti si formano spesso sulle zanne e sugli incisivi, cioè sui denti più resistenti alla carie.
Il medico tiene anche conto dell'endemicità dell'area in base alla malattia. Ciò significa che nelle aree con un alto contenuto di fluoro nell'acqua potabile, la fluorosi endemica è comune e, di conseguenza, per il medico è un suggerimento.La maggior parte delle aree (forse più del 90%) in Russia ha un basso contenuto di fluoro nell'acqua potabile, quindi a volte è sufficiente consultare la cartella clinica per vedere se è arrivato un paziente con più macchie ai denti.
La diagnosi in caso di sospetta fluorosi può essere effettuata utilizzando una soluzione colorante, poiché verranno macchiate solo sezioni cariate.
La seguente foto mostra esempi di fluorosi:


Va inoltre tenuto presente che la presenza di macchie biancastre sui denti nei bambini può essere un segno di ipoplasia dello smalto, cioè il suo sviluppo insufficiente, solitamente associato a disturbi metabolici nella fase fetale. Con l'ipoplasia, lo smalto è generalmente diluito, ci sono punti bianchi vetrosi che circondano la corona del dente sotto forma di percorsi. Tali punti non sono macchiati di colorante, il che ci consente di distinguerli in modo affidabile dai punti bianchi caratteristici della carie iniziale.
Trattamento dentale della carie iniziale
L'approccio principale nel trattamento della carie iniziale è quello di provare a ripristinare le proprietà dello smalto dei denti rimineralizzandolo con preparazioni di calcio, fosforo e fluoro. In altre parole, è necessario saturare lo smalto con quei minerali che ha perso durante il processo carioso, e tale trattamento può essere eseguito con metodi conservativi, senza usare un trapano e forare le aree interessate del dente.

Dato che depositi dentali, placca morbida e placca impediscono ai minerali di entrare nello smalto, il medico eseguirà prima l'igiene orale professionale. Oltre alla rimozione della placca e della pietra, verrà eseguita anche la rettifica delle superfici di tutti i denti, otturazioni e strutture ortopediche.
Questo è seguito dallo stadio dell'effettiva terapia remineralizzante, durante la quale la carie iniziale viene trattata con preparazioni di calcio, fosforo e fluoro. Con il loro aiuto, una concentrazione più elevata degli elementi chimici necessari viene raggiunta decine e centinaia di volte rispetto al loro contenuto di saliva. Di conseguenza, i processi di diffusione delle sostanze nei tessuti affetti da carie procedono molto più rapidamente, il che consente di completare il trattamento in sole 10-20 procedure.
È interessante
Spesso, la composizione dei fondi utilizzati per condurre la terapia remineralizzante nel trattamento della carie iniziale include il fluoro. È stato stabilito che questo microelemento accelera significativamente la precipitazione del calcio nella matrice proteica dello smalto dei denti, aumentando generalmente la sua resistenza agli acidi. Ciò diventa abbastanza comprensibile se ricordiamo che la base dello smalto è la fluorapatite minerale chimicamente molto inerte.

Sono possibili le seguenti opzioni per le tecniche di recupero dello smalto:
- la superficie dei denti viene pulita meccanicamente dalla placca con dentifricio abrasivo. Quindi viene trattato con una soluzione debole di perossido di idrogeno, essiccato, le aree interessate vengono trattate per 20 minuti con una soluzione al 10% di gluconato di calcio, dopodiché le lozioni vengono preparate con una soluzione al 2-4% di fluoruro di sodio per circa 5 minuti. Per sbarazzarsi di punti cariati bianchi o debolmente pigmentati, di solito 15-20 tali procedure vengono di solito eseguite a giorni alterni o una volta al giorno. Con i cambiamenti iniziali, l'effetto terapeutico diventa evidente quasi immediatamente. Tuttavia, oggi il metodo Borovsky-Leus viene sempre più abbandonato a causa della tossicità delle soluzioni utilizzate: lavorare con tali concentrazioni di fluoruri è rischioso.
- Un'altra opzione è possibile quando uno speciale gel leggermente riscaldato contenente circa il 2% di fluoruro di sodio e il 3% di agar-agar viene applicato sui denti dopo che sono stati pre-spazzolati con dentifricio. Il gel si solidifica rapidamente sui denti con la formazione di un film. Di solito sono sufficienti 5 applicazioni per il trattamento. Lo svantaggio della tecnica, come nel caso precedentemente descritto, è l'uso di fluoruri ad alta concentrazione.
- A volte i farmaci usati per trattare la carie iniziale potrebbero non contenere affatto fluoro, basati solo su sali di calcio e fosfati (ad esempio Remodent, gel contenenti fosfato di calcio, ecc.)
In alcuni casi, il corso del trattamento termina con il rivestimento di tutti i denti con una speciale vernice contenente fluoro (fluoruro). Inoltre, il medico insegna al paziente le regole di igiene orale, spiegando come monitorare attentamente i denti in modo che non compaia la carie.

Oggi in odontoiatria pediatrica, ad esempio, vengono usati i seguenti farmaci per trattare la carie iniziale:
- Gluftored;
- Liquido sigillante a smalto;
- Belagel Ca / P, Belagel F.
È anche importante il monitoraggio periodico delle condizioni dei denti trattati dalla carie iniziale. Si consiglia di visitare il dentista entro e non oltre 3 mesi dopo il corso della terapia remineralizzante.
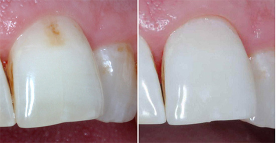
Rivolgendosi al dentista per il trattamento in una fase in cui la carie è già caratterizzata dalla presenza di aree pigmentate quasi nere sui denti, è importante capire che in questi casi la remineralizzazione non sempre aiuterà. Di conseguenza, la superficie interessata sarà perforata e riempita o, in un caso favorevole, carteggiata con successiva terapia remineralizzante.
Dalla pratica del dentista
Molto spesso, le lesioni dello smalto sotto forma di carie nella fase spot si trovano nei bambini. Ciò è dovuto alla debole mineralizzazione dello smalto e alla sua formazione incompleta a un'età o all'altra. Si noti che nei bambini con più punti bianchi sui denti, l'intensità della carie è più alta. Questa è una forma di demineralizzazione rapidamente in corso, che richiede l'avvio immediato della terapia remineralizzante per evitare che il processo carioso passi a un altro stadio.
Secondo alcuni autori, i punti cariati pigmentati trovati in grandi quantità in un bambino richiedono un trattamento pianificato (con una prognosi favorevole per l'efficacia dei farmaci rimineralizzanti).
Come trattare la carie a casa
Se ci sono segni di carie iniziale, l'opzione migliore sarebbe quella di contattare un dentista che effettuerà il trattamento in modo efficace ed efficiente. Tuttavia, a casa, si può anche ottenere un certo effetto positivo con il giusto approccio.

In effetti, il compito è condurre una terapia rimineralizzante in modo indipendente usando i farmaci disponibili. Per questo, ad esempio, puoi usare:
- Gel rimineralizzante ROCS Medical Minerals (Rox Medical Minerals) a base di composti di calcio, fosforo e magnesio. Il gel non contiene fluoro, quindi è sicuro da ingerire. Allevia la sensibilità dei denti ed è efficace per il trattamento della carie nella fase di una macchia bianca. Quando applicati ai denti, i componenti minerali penetrano gradualmente nello smalto, ripristinando così la sua struttura.

- Gel Elmex (Elmex, Germania). Un gel contenente fluoro sufficientemente efficace per trattare i denti con una concentrazione di ioni fluoruro di 12500 ppm (1,25%). Si tratta di una concentrazione abbastanza elevata, quindi si dovrebbe evitare di deglutire il gel, specialmente per i bambini. Per un pronunciato effetto rimineralizzante, è sufficiente applicare il gel sui denti (lavarsi i denti) almeno 2 volte a settimana per 2 minuti.

- Gel di rimineralizzazione dei denti White Minerals Amazing. Un effetto particolarmente buono si ottiene dopo l'igiene orale professionale, ma anche senza di esso, il gel è abbastanza adatto per fermare lo sviluppo della carie nella fase di una macchia bianca.

Esistono numerosi altri mezzi per il trattamento e la prevenzione della carie iniziale e questo include dentifrici contenenti fluoro. Un effetto terapeutico particolarmente pronunciato può essere ottenuto con una combinazione competente di preparati contenenti calcio e fosforo (ad esempio, al mattino) con preparati contenenti fluoro (la sera). Tuttavia, per condurre la procedura di trattamento a casa nel modo più efficiente e sicuro possibile, assicurati di consultare il tuo medico.
Prevenzione della carie iniziale
Ben consapevoli dei motivi che portano all'insorgenza della carie (demineralizzazione dello smalto sotto l'influenza degli acidi), le misure preventive che lo eviteranno sono abbastanza ovvie.
Forse il modo più efficace per prevenire la carie è attraverso un'igiene orale regolare e adeguata. Se ti lavi i denti 2 volte al giorno e pensi che sia abbastanza, allora ti sbagli.

importante
I microrganismi cariati sono in grado di abbassare il pH nella cavità orale entro 10-20 minuti dall'ingestione di alimenti contenenti zucchero. Quindi, se non si sciacqua la bocca dopo aver mangiato, dopo 20 minuti lo smalto dei denti inizia a subire l'effetto distruttivo degli acidi.
L'uso corretto del filo interdentale, la gomma da masticare dopo aver mangiato, la scelta competente di dentifricio e spazzolino da denti - tutto ciò richiede anche attenzione nella prevenzione di processi cariati.
In generale, le misure preventive sono divise in esogene, che abbiamo già parzialmente interessato, ed endogene - si tratta di metodi di prevenzione generali associati all'esposizione al corpo dall'interno. Ciò include il rafforzamento generale dell'immunità, l'assunzione di una quantità sufficiente di vitamine, una dieta equilibrata, la riduzione dell'esposizione a fattori di stress, l'assunzione di fluoro, calcio e altri farmaci.
Ne notiamo anche alcuni metodi esogeni di prevenzione della carie:
- sigillatura delle fessure
- igiene orale professionale e formazione in adeguate capacità di cura dentale
- terapia remineralizzante profilattica
e altri
Prestare la dovuta attenzione alla prevenzione della carie può ridurre il rischio che si verifichi a qualsiasi età. Non è mai troppo tardi per iniziare, quindi inizia a prenderti cura dei tuoi denti oggi.
Video utile: cause della carie iniziale e il suo trattamento in fase spot
Come lavarsi i denti correttamente



Articolo super, niente acqua, con precisione!
Articolo molto utile! Il dentista mi dice spesso di queste fessure che non c'è nulla di cui preoccuparsi, e le ho detto: "No, guarda, ho una carie terribile, ho divorato tutto il mio dente!" )) E questo gel al fluoro con aroma di menta, che copre i denti dopo il prof. pulizia - la cosa più piacevole che può essere all'appuntamento dal dentista)