
La maggior parte delle persone ha pensato più di una volta a ciò che significa la parola "carie", nonostante una comprensione più o meno chiara dei processi che si verificano nel dente quando viene distrutto. Ma a cosa si pensa di solito la carie della dentina solo dopo una visita nello studio del dentista, quando il medico improvvisamente ti “delizia” con un messaggio sulla necessità di mettere un sigillo.
nota
"Carie" è il nome latino per il processo di decadimento. E la parola "dentina" deriva dal latino "dentis", che significa "dente". In effetti, la dentina è la base del dente e si trova sotto lo smalto.

Data l'attuale classificazione delle lesioni cariose secondo l'OMS (Organizzazione mondiale della sanità), si distinguono i seguenti tipi di carie:
- Smalto Carie;
- Carie di dentina;
- Carie di cemento.
Successivamente, saremo interessati solo alla carie della dentina, familiarità con cui, iniziamo con un esame dettagliato delle cause che causano questo processo patologico.
Le principali cause della carie dentinale
Come risultato dell'attività vitale dei batteri Streptococcus mutans e di molte altre specie, la formazione di acidi organici avviene sulla superficie della placca, che appare a causa della decomposizione enzimatica dei residui di carboidrati, ad esempio lo zucchero. Sono questi acidi che causano la "lisciviazione" dei principali componenti minerali dal reticolo cristallino dello smalto dei denti (calcio, fluoro, fosforo).


su fase iniziale della carie Questo processo di demineralizzazione avviene solo all'interno dello strato di smalto del sottosuolo. Di conseguenza, a seguito della lisciviazione attiva dei minerali e del loro lento ritorno, si forma un punto cariato. Può essere bianco o pigmentato a causa della colorazione dei "vuoti" dello smalto con coloranti e bevande.
La carie non è ancora carie. In questa fase, i cambiamenti patologici sulla superficie del dente sono ancora reversibili se le misure vengono prese in tempo.

Secondo numerosi ricercatori, nella maggior parte dei casi un punto cariato può essere curato rimineralizzando i farmaci, senza l'uso di un trapano. Tali preparazioni includono varie vernici fluorescenti, gel, preparazioni di calcio e formulazioni combinate.
Tuttavia, se si osserva lo stadio del danno allo smalto nelle prime fasi, si verifica un processo già irreversibile: la carie della dentina. In questa fase, i componenti minerali vengono già lavati dalla dentina stessa, che, come ricorderete, è la base del dente.

È interessante
La dentina è significativamente diversa nella sua composizione chimica e struttura dallo smalto dei denti. È molto meno resistente e contiene il 20% di composti organici. Lo spessore della dentina nel dente raggiunge una media da 2 a 6 mm. Allo stesso tempo, la dentina viene penetrata in quasi tutto il suo spessore dai tubuli dentinali, in cui si trovano le terminazioni nervose.
Quadro clinico
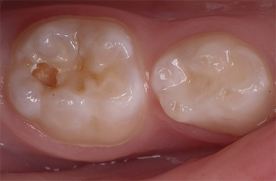
La carie dentale è accompagnata da una violazione dell'integrità del dente con la formazione di una cavità. Tuttavia, non pensare che un foro sarà necessariamente visibile nel tuo dente: spesso una cavità cariata non viene visualizzata e può essere trovata solo all'appuntamento del dentista quando si sonda un dente con uno strumento speciale per diagnosticare la carie.

Tuttavia, ci sono casi abbastanza comuni in cui il paziente stesso vede una formazione di cavità nel dente, poiché con la carie della dentina il quadro clinico è piuttosto ricco di sintomi associati. Questi includono:
- Disagio da masticare
- Mal di denti da irritanti della temperatura (cibi freddi, caldi o bevande), dolci;
- Imperfezione estetica, soprattutto quando il dente anteriore inizia a decadere.
Un sintomo del dolore può verificarsi da una o più sostanze irritanti contemporaneamente, ma scompare rapidamente dopo aver eliminato la fonte di irritazione.
A volte la carie della dentina non si manifesta in alcun modo, ma solo pochi sono così fortunati. La maggior parte delle persone con la comparsa di almeno uno o più dei suddetti sintomi sono già pronte a fissare un appuntamento con un dentista, in modo da non ritardare o aggravare il processo.
Caratteristiche diagnostiche della carie dentinale
La diagnosi della carie dentinale nella maggior parte dei casi non è difficile nemmeno per una persona normale. Una caratteristica importante della carie in questa fase è l'insorgenza del dolore, che scompare rapidamente dopo l'eliminazione dell'irritante. Ad esempio, quando si utilizzano caramelle in un dente problematico, può verificarsi un forte dolore, che scompare rapidamente a seguito del risciacquo della cavità orale con normale acqua bollita calda.

I metodi per diagnosticare la carie della dentina in un medico sono diversi, che vanno da soggettivi a obiettivi e strumentali. Dal punto di vista dei sintomi, il medico, come te, non è sempre in grado di stabilire una diagnosi immediatamente e accuratamente. Tuttavia, anche in questa fase, è possibile formulare una diagnosi preliminare e passare a metodi di ricerca oggettivi.
Per chiarire la diagnosi in questa situazione, vengono utilizzati:
- La tecnica del suono della cavità;
- Percussione dentale (toccando);
- Palpazione della piega di transizione vicino a un dente malato;
- Termometria.
Una cavità dentale viene sondata da un dentista usando una sonda, uno strumento speciale puntato all'estremità. In caso di ammorbidimento del tessuto dentale, la sonda si guasta o si blocca. In questo caso, è possibile una sensazione di dolore.
Con le percussioni, il medico può determinare le condizioni della zona vicino alla radice, la presenza di infiammazione in essa, che non si verifica con il decadimento della dentina. Il dolore quando picchiettato sul dente (particolarmente acuto) di solito indica il passaggio dell'infezione in profondità nel dente: nei canali radicolari o nel tessuto circostante la radice.

In questo caso, non parlano più della carie media. Se non c'è dolore, la diagnosi di carie dentale è confermata.
Alla palpazione della piega di transizione, è possibile determinare la presenza di focolai evidenti o nascosti di infiltrazione dell'essudato o, in altre parole, lo stato di "gonfiore" dei tessuti che circondano il dente. Se non ci sono segni di infiltrazione, molto probabilmente non stiamo parlando delle complicazioni della carie.
La termometria può aiutare a determinare il dente cariato causativo quando un paziente si lamenta di un dente freddo, caldo o caldo. Puoi sempre aspirare un po 'd'acqua nella siringa e sciacquare il presunto dente cattivo. Se compaiono segni di dolore, viene trovato un dente causale e la diagnosi è quasi fatta.
Esistono anche metodi di esame complementari e speciali affidabili quando si utilizzano dati elettrodontometrici per un'accurata diagnosi di carie. Sfortunatamente, questa tecnica non ha messo radici nella maggior parte delle strutture mediche.

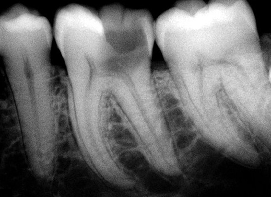
Utilizzando i metodi di ricerca a raggi X, è possibile stabilire la gravità del processo carioso e il livello delle sue complicanze. Possono esserci varie manifestazioni di infiammazione alla radice e la loro evidente presenza negherà la diagnosi di carie dentinale.

A volte la carie della dentina è mascherata dalle sue complicanze (ad esempio, da forme croniche di pulpite o parodontite). Sfortunatamente, in situazioni così insolite, i sintomi possono essere simili in alcuni aspetti. Solo un dentista all'appuntamento può finalmente determinare la diagnosi.
Trattamento della carie dentinale
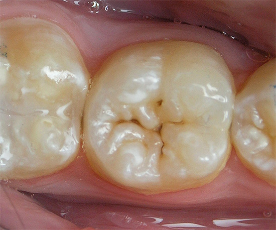
Se la carie dentaria ha raggiunto la dentina del dente, significa che hai già perso il momento in cui il trattamento dei cambiamenti patologici potrebbe essere eseguito senza l'uso di un trapano. In questa fase, una visita da un medico di solito non è completa senza perforare i denti e installare otturazioni.

All'appuntamento dentale verranno prese misure per preservare non solo il dente, ma anche la polpa ("nervo") all'interno delle sue radici. Per questo, il medico condurrà in sequenza le seguenti fasi del trattamento:
- Anestesia adeguata in modo da non provare dolore;
- Elaborazione del dente da tessuti cariati e infetti (usando un trapano);
- Lavare la cavità formata con soluzioni antisettiche;
- L'impostazione di rivestimenti e sigilli di quel livello di prezzo, che sarà negoziato in anticipo.
Va notato che attualmente producono materiali di riempimento moderni che consentono una delicata lavorazione dei denti senza eccedere i tessuti sani, a differenza dei materiali di riempimento sovietici (cementi, amalgame, ecc.). Ciò è dovuto alla possibilità che otturazioni ad alta tecnologia entrino in legami chimici con i tessuti dei denti, formando composti durevoli e inestricabili grazie a speciali sistemi adesivi (o "adesivi").


Profilassi della carie dentinale
I moderni metodi di prevenzione consentono di riconoscere la carie nella fase spot già nelle prime fasi e di iniziare il trattamento con metodi non invasivi, cioè senza l'uso di un trapano. Il modo più semplice e più comune per determinare la presenza di un punto cariato è la colorazione con una soluzione al 2% di blu di metilene. Solo in presenza di un processo cariato nascosto è possibile macchiare lo smalto dei denti anche dopo un lavaggio prolungato della soluzione colorante con un getto d'acqua.

Dopo aver diagnosticato un punto cariato, è necessario contattare il dentista per un aiuto. Alla reception subirai una serie di procedure preventive che fermeranno lo sviluppo della carie già nelle prime fasi e impediranno al processo di distruzione di colpire la dentina. Tali misure preventive includono quanto segue:
- Conduzione dell'igiene orale professionale (rimozione di tartaro e placca).
- Terapia rimineralizzante: rivestimento con vernici al fluoro, gel o soluzioni speciali della superficie dello smalto interessato di un dente problematico e denti sani per rafforzarli. Ogni farmaco ha le sue istruzioni e il suo corso di utilizzo (da 1-2 volte a 10-20 visite).
- Un corso di terapia remineralizzante e rafforzante a casa (se del caso).

Se le raccomandazioni di cui sopra sono soddisfatte, la carie nella fase spot non andrà in una forma più grave: la carie dentina. Il corso delle misure preventive ti consentirà di ottenere risultati eccellenti senza l'uso di un trapano, è importante solo consultare un dentista in tempo.
Prenditi cura dei tuoi denti e sii sano!
Video interessante: struttura del dente, carie e sue forme complicate
Esempi di lesioni cariose dei denti, loro perforazione e successivo riempimento

Articolo molto utile. Grazie