
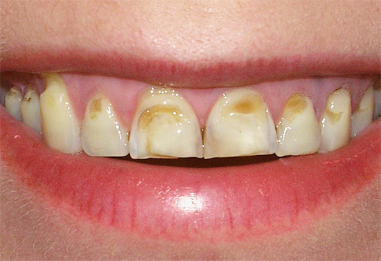
La carie durante la gravidanza si presenta nel suo insieme più spesso che in altri periodi della vita di una donna, e spesso si verifica molto attivamente in questo momento, a volte anche in forma acuta. Le preoccupazioni delle future mamme sui possibili effetti della carie sul feto, così come le paure circa la possibilità di trattare i denti in un periodo così cruciale, sono abbastanza comprensibili.
In alcuni casi, durante la gravidanza, la carie inizia solo il suo lavoro distruttivo (e molti cercano di aspettare questa volta), e le conseguenze più evidenti e sensibili del danno ai denti attendono una donna dopo il parto.

nota
Le statistiche sono eloquenti:
- La carie si trova nel 91,4% delle donne in gravidanza normale e nel 94% con tossicosi.
- L'intensità media del danno ai denti nelle donne in gravidanza va da 5,4 a 6,5 (questo è un livello elevato);
- Iperestesia dello smalto (ipersensibilità) è osservata nel 79% delle donne durante la gestazione.
Si ritiene che la carie stessa durante la gravidanza non abbia un effetto così negativo sul feto come può avere il suo trattamento. Usando questa convinzione comune, molte donne incinte diffidano delle visite dal dentista, e la ragione di ciò è perché le future madri non comprendono la natura della carie e i pericoli con cui sono pieni.

Vediamo cosa è in realtà più pericoloso e più probabile che colpisca il feto - la carie o il suo trattamentoe scopri anche come eliminare un bambino sano e allo stesso tempo mantenere i denti in condizioni eccellenti.
La carie colpisce il feto?
Per cominciare, è utile ricordare che la carie è una malattia causata da batteri patogeni nella cavità orale. Si ritiene che attraverso i microdamaggi dei tessuti molli, questi batteri possano penetrare nel flusso sanguigno, entrare nel feto e causare varie patologie

Tuttavia, la probabilità di ciò è estremamente ridotta: attraverso la barriera placentare, i batteri riescono a penetrare solo in casi estremamente rari.e gli abitanti della cavità orale non hanno praticamente alcuna possibilità di sopravvivere nei tessuti dell'embrione e di esercitare alcuna influenza su di esso. Queste abilità sono principalmente possedute da virus. Ma, come nel caso di qualsiasi malattia infettiva, la presenza di carie nelle donne in gravidanza comporta una serie di procedure igieniche e un'attenta cura orale.
La carie e la gravidanza sono più strettamente legate proprio attraverso le condizioni fisiche della madre. Ad esempio, il dolore costante in un dente affetto da carie (che, per inciso, non è raro durante la gravidanza) porta all'incapacità di una donna di mangiare normalmente e ad un generale deterioramento del suo stato emotivo. Tutto ciò in combinazione può davvero avere un impatto negativo sullo sviluppo del feto.

Inoltre, la carie complicata influisce anche sulla gravidanza dal fatto che in caso di lesioni, ad esempio la malattia parodontale, si verifica un processo infiammatorio che può influire sulle condizioni fisiche generali della donna incinta: aumento della temperatura corporea e necessità di farmaci antipiretici, esacerbazione di tossicosi e malfunzionamenti apparato digerente.
Tuttavia, il pericolo principale e più reale della carie durante la gravidanza è la possibilità del suo passaggio a una forma acuta, un grave danno a molti denti contemporaneamente e la loro perdita da parte di una donna in un tempo abbastanza breve. In altre parole, la carie è di solito più pericolosa per la madre che per il feto.

Lo stesso vale nel caso della carie in una madre che allatta. Solo le ragioni per rifiutare una visita dal dentista differiscono qui: se una donna incinta ha più spesso paura che il trattamento della carie danneggi il nascituro, quindi la madre che allatta non ha banali 2-3 ore per andare in clinica.
Cause della carie nelle donne in gravidanza
La carie durante la gravidanza è in gran parte dovuta agli stessi motivi dei casi con altre categorie di pazienti: scarsa igiene orale, abbondanza di snack durante il giorno e passione per i dolci.

Ma molte donne vengono alla ribalta per ulteriori motivi, causati proprio dalla gestazione:
- Una diminuzione della concentrazione di calcio e composti del fluoro sia nella saliva che nel sangue a causa di un certo consumo per le esigenze di un embrione in via di sviluppo. Allo stesso tempo, il calcio non viene consumato dai denti stessi, come molti credono in modo errato. Ma la rimineralizzazione dello smalto e il suo rafforzamento, che si verificano sempre in altri periodi a causa dell'azione della saliva, durante la gravidanza possono rallentare o addirittura arrestarsi. Di conseguenza, lo smalto diventa debolmente mineralizzato e viene più facilmente danneggiato dai rifiuti acidi prodotti dai batteri.

- Cambiamenti ormonali nel corpo e, di nuovo, i corrispondenti cambiamenti nella composizione della saliva, che porta a una diminuzione delle sue proprietà battericide. In poche parole, la saliva delle donne in gravidanza in alcuni casi è meno efficace nell'uccidere i batteri cariogeni.
- Cambiamenti dietetici: le donne in gravidanza possono essere spinte a diversi estremi, spesso hanno una forte voglia di dolci e cibi amidacei.
- Disturbi della cura dentale - a causa di affaticamento, tossicosi, preoccupazioni e confusione, alcune donne incinte dimenticano regolarmente di lavarsi i denti o non lo fanno completamente.

Inoltre, molte donne in gravidanza riescono a sentire abbastanza da amici e parenti delle accuse che è impossibile trattare i denti durante la gravidanza e semplicemente non vanno per esami preventivi. Di conseguenza, manca il momento in cui il dente potrebbe ancora essere curato in modo assolutamente sicuro per il feto.
Trattamento della carie nelle diverse fasi della gravidanza: è pericoloso e come viene eseguito?
La carie durante la gravidanza non può solo essere curata, ma è anche necessaria. A volte, a causa del rischio di sviluppo acuto della malattia, il trattamento tempestivo per alcune donne in gravidanza è l'unico modo per prevenire carie generalizzata. Naturalmente, la gestione stessa della malattia dovrebbe tenere conto della posizione del paziente.


Il principale pericolo derivante dal trattamento della carie durante la gravidanza è il rischio di esposizione a farmaci per anestesia fetale. Tutti gli anestetici vengono assorbiti nel flusso sanguigno e possono passare attraverso la placenta, alcuni dei quali sono abbastanza in grado di influenzare negativamente l'embrione in via di sviluppo.
Pertanto, a proposito, è così importante vedere un dentista durante la gravidanza - se la carie viene rilevata nelle primissime fasi del suo sviluppo, il trattamento può essere effettuato utilizzando metodi di remineralizzazione senza anestesia, senza trapano e sensazioni spiacevoli. Ma la carie già lanciata senza anestesia guarirà davvero.
Spesso non si può fare a meno dell'anestesia nel trattamento delle complicanze della carie: con pulpite o parodontite, questo approccio è inaccettabile, poiché una donna incinta può sperimentare shock di dolore.

Di norma, il trattamento della carie secondaria durante la gravidanza, specialmente se la patologia procede in forma cronica, i dentisti preferiscono non condurre fino all'inizio del secondo trimestre. È nelle prime 12-13 settimane che vengono posati tutti i sistemi di organi del feto e il rischio di effetti negativi dei farmaci su questo periodo è massimo, anche se è ancora piccolo. A partire da 14-15 settimane, l'uso di anestetici speciali consente di eseguire la riabilitazione in sicurezza.
nota
La radiografia dei denti durante la gravidanza non è categoricamente applicata. Se la cavità è nascosta agli occhi, prova a ricorrere ad altri metodi. Tentano persino di non studiare la qualità del riempimento del canale con l'aiuto dei raggi X.
La radiografia moderna su un visiografo ha un'esposizione alle radiazioni molte volte inferiore. In caso di urgente necessità, questa unità può essere eseguita solo dal secondo trimestre di gravidanza.

Utilizzando l'anestesia locale, indipendentemente dalla durata della gravidanza, vengono trattate la pulpite acuta, la parodontite purulenta e la periostite.Nel trattamento della carie, anche della carie profonda, il medico inizia il trattamento senza l'uso di anestesia e fa un'iniezione solo se il paziente inizia a provare dolore durante l'asportazione delle aree cariate della dentina.
Come anestetici per il trattamento delle donne in gravidanza in odontoiatria, vengono utilizzati farmaci appositamente adattati, ad esempio Septanest e Scandonest alla diluizione di 1: 200 000. La gravidanza non è una controindicazione per il loro uso e dopo 3 ore dall'iniezione non vengono rilevati nel sangue.

Opinione del dentista:
La gravidanza non è una controindicazione in altri farmaci, a giudicare dalle istruzioni. Il fatto è che una diminuzione della concentrazione di adrenalina, e in Scandonest anche i conservanti, minimizza i rischi, ma non li elimina. In ogni caso, ho osservato sui portali popolari che i farmaci con articaina sono posizionati come relativamente sicuri per l'anestesia locale con rischi relativi, quindi vengono fatti in caso di emergenza, uno dei quali è il dolore!
Verso la fine della gravidanza, la terapia è ulteriormente complicata dal fatto che quando si siede nella poltrona del dentista a causa della posizione specifica del feto, aumenta il carico sulla vena cava inferiore e l'aorta, il che porta a una diminuzione della pressione e una possibile perdita di coscienza nel paziente. Per evitare ciò, la donna incinta si sdraia su una sedia un po 'sul fianco, il che consente di ridurre il carico da parte del feto. Allo stesso tempo, il rischio di effetti teratogeni degli anestetici sul feto entro la fine della gravidanza diventa minimo.

È possibile assumere antidolorifici da soli a casa solo con dolore completamente insopportabile e l'incapacità di consultare un medico al momento. In questo caso, il medico dovrebbe vedere il dente il prima possibile. Un buon dentista farà tutto il possibile per curare il dente della madre e non danneggiare il nascituro.
Se decidi di assumere un farmaco anestetico da solo, tieni presente che l'assunzione di quasi tutti i farmaci in alcuni casi potrebbe avere conseguenze negative. È possibile scegliere “automedicazione” nel singolo caso in modo che anche una singola dose di un forte antidolorifico influisca sulla salute della madre e del feto. Non dimenticare l'intolleranza individuale e gli effetti collaterali di ogni farmaco, soprattutto perché gli antidolorifici ne hanno una vasta gamma.
richiamo
“Un tempo sono andato in una clinica in cui fino a 20 settimane le donne in gravidanza non sono state curate affatto. Prima della gravidanza, non ci ho pensato, ma quando sono arrivato nel terzo mese con la carie iniziale, mi hanno cambiato. Hanno detto che devi camminare altri due mesi e poi guariranno. Questa è vergogna! Nella fase spot, la carie viene trattata senza anestesia o senza farmaci; nulla influenza il feto lì. E dopo due mesi mi apriranno il dente, metteranno un sigillo, Dio non voglia, i miei nervi saranno rimossi. Ho dovuto cambiare clinica, il dente era guarito, senza riempimento e senza anestesia. Ora sto già giocando con un piccolo, ma ho un dente sano ".
Anna, San Pietroburgo
Prevenzione della carie e preparazione adeguata per la gravidanza
La prevenzione della carie nelle donne in gravidanza dovrebbe iniziare prima dell'inizio della gravidanza. Nella fase di pianificazione, la futura mamma dovrebbe essere controllata dal dentista, guarire tutti i denti malati, rimuovere la placca e il tartaro. A quel tempo, il medico elaborerà un programma di visite preventive che dovranno essere osservate (non è noto quale sarà la situazione cariogena in bocca con l'inizio della gravidanza e lo sviluppo fetale).

nota
Nel primo trimestre di gravidanza, non è consigliabile eseguire manipolazioni traumatiche, in contrasto con il 2o e 3o trimestre, dove il ruolo principale, oltre alla salute dentale, è la condizione igienica della cavità orale
Una domanda del genere viene spesso posta: "È possibile per le donne in gravidanza condurre un'igiene del lavoro?".Esiste un elenco di malattie in cui la spazzolatura ad ultrasuoni dei denti e l'apparato Air Flow non possono o non raccomandano: epilessia, presenza di un pacemaker, disturbi respiratori nasali, asma, malattie polmonari croniche in esacerbazione, HIV ed epatite, malattie a trasmissione sessuale, glicemia alta o diabete mellito, SARS, herpes e malattie disperse nell'aria, neoplasie maligne.
Molto spesso ciò è dovuto all'aerosol, che aumenta durante la spazzolatura da placca e pietra. Una nuvola di polvere bagnata e infezione può causare insufficienza respiratoria in una donna incinta e aumento della glicemia - il rischio di sanguinamento prolungato dalle gengive durante la manipolazione traumatica. In alcuni casi, la possibilità di eseguire manipolazioni in una donna incinta può essere determinata con uno specialista adiacente (ginecologo, endocrinologo, terapista, medico ORL, oncologo).

Direttamente durante la gravidanza, la prevenzione della carie richiede:
- Rispetto delle regole di igiene orale: i denti vengono lavati dopo ogni pasto, preferibilmente con paste selezionate dal dentista; dopo atti casuali di vomito con tossicosi, la bocca viene sciacquata con una soluzione di soda per neutralizzare gli acidi dal vomito.
- Rispetto della dieta, restrizione nella dieta di farina dolce e prodotti a base di cioccolato.
- Conformità a tutti i requisiti del dentista: uso della profilassi sistemica, spazzolino da denti professionale, visita dal dentista per esami programmati, ecc.

La pratica dimostra che il diritto prevenzione della carie durante la gravidanza, sebbene dovrebbe essere sistemico e regolare, di solito non presenta difficoltà. Inoltre, è la principale garanzia che durante la gravidanza e l'allattamento una donna manterrà tutti i suoi denti in buone condizioni.
Un video interessante: è possibile trattare i denti durante la gravidanza e ciò che è importante che ogni futura mamma sappia
Alcune altre importanti sfumature del trattamento della carie durante la gravidanza

