
Successivamente imparerai:
- Qual è la cosiddetta carie nella fase di una macchia bianca e cosa accadrà dopo con lo smalto dei denti se non presti attenzione a questa patologia in modo tempestivo;
- Come puoi riconoscere la carie iniziale in tempo per conto tuo, nelle sue prime fasi, semplicemente stando a casa davanti allo specchio;
- Cosa fare se tu (o un bambino) ti viene offerto di trattare la carie sul palco spot con l'argentatura;
- Quanto è efficace la terapia remineralizzante e la fluoridazione dello smalto in questi casi e quanto velocemente si ottiene un risultato positivo;
- Quali preparativi esistono oggi che consentono di ripristinare lo smalto dei denti nella carie iniziale a casa;
- Qual è il trattamento della carie nella fase dello spot con il metodo della cosiddetta infiltrazione (Icona) e perché in alcuni casi invece di questa tecnologia dovrai limitarti all'uso di un trapano e del riempimento;
- Cosa è importante tenere a mente se improvvisamente vuoi risolvere il problema delle imperfezioni dei denti anteriori con macchie usando impiallacciature ...
Come altre malattie, la carie ha il suo stadio iniziale caratteristico - in questa fase il processo patologico è ancora debolmente espresso e i fenomeni distruttivi non sono molto evidenti. Lo stadio iniziale della carie è la cosiddetta demineralizzazione focale dello smalto dei denti o, in altre parole, lo stadio del punto (in questo caso, fare riferimento a un punto bianco o gessoso - sembra davvero luminoso, poiché non è stato ancora pigmentato).
La demineralizzazione dello smalto dei denti avviene principalmente sotto l'influenza degli acidi organici secreti dai batteri della placca ed è associata alla perdita attiva di calcio da parte dei cristalli di idrossi- e fluoroapatite, i principali componenti strutturali dello smalto.
nota
Durante la carie nella fase di una macchia bianca a causa di processi distruttivi, lo smalto dei denti in alcuni punti perde la sua naturale trasparenza, diventa opaco, che è visivamente appena percepito come la comparsa di strane macchie bianche su un dente. L'aspetto di tali punti dovrebbe essere preso sul serio.
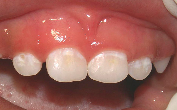
La foto sotto mostra un esempio di carie nella fase di una macchia bianca nell'area cervicale dei denti primari:

Quanto segue mostra come potrebbe apparire un adulto quando indossa le parentesi graffe:

E cosa succederà se la carie non viene trattata in questa fase?
In realtà, per molte persone il primo pensiero è qualcosa del genere: se nulla fa male e, in linea di principio, non rovina davvero l'aspetto, allora perché non lasciare tutto così com'è, perché non ho voglia di correre di nuovo dal dentista. Forse tutto si risolverà da solo ...
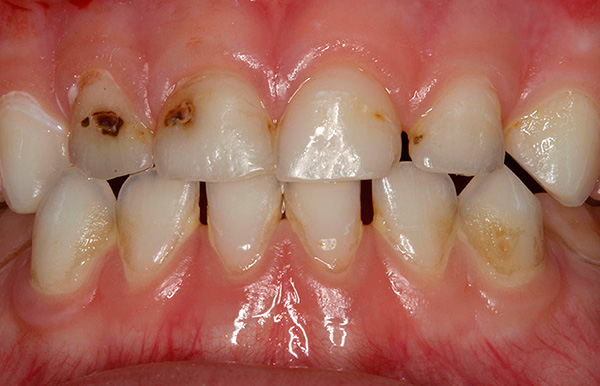
Tuttavia, va tenuto presente che la carie nella fase di una macchia bianca è appena percettibile nella fase iniziale: le macchie bianche di solito pigmentano abbastanza rapidamente, diventano scure (dal giallo al nero) e si approfondiscono.

Inoltre, il trattamento della carie nello stadio di una macchia bianca o gessosa in alcuni casi può essere eseguito senza un trapano, poiché il processo di demineralizzazione iniziale dello smalto è ampiamente reversibile.
Cosa puoi aspettarti nell'ufficio del dentista durante il trattamento della carie iniziale, così come quello che puoi fare tu stesso a casa per eliminare gli effetti della demineralizzazione dello smalto - ne parleremo ulteriormente ...
Come riconoscere un problema in tempo
Il riconoscimento indipendente della carie nella fase di una macchia bianca è di solito più facile sul gruppo frontale dei denti (dal canino al canino), più difficile sui molari, specialmente se è delineata la carie cervicale.
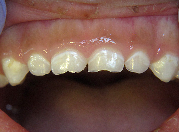
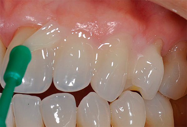
La seguente foto mostra un esempio di carie nella fase spot sugli incisivi superiori:

Riconoscere il problema in questi casi è di solito abbastanza semplice: l'aspetto graduale di insolite chiazze luminose di smalto sul dente per un periodo di tempo relativamente breve (ad esempio, per diverse settimane o mesi) indica chiaramente un processo patologico. Le aree di demineralizzazione diventano particolarmente evidenti se lo smalto viene leggermente essiccato, ad esempio, in piedi davanti allo specchio e aspirando aria attraverso la bocca attraverso i denti.
nota
Le macchie sui denti possono anche apparire a causa dello sviluppo della fluorosi nelle persone che vivono in aree in cui l'acqua ha un alto contenuto di fluoruro (la cosiddetta fluorosi endemica). Tuttavia, oggi questo è un fenomeno piuttosto raro - almeno significativamente più raro della comparsa di macchie sui denti a causa della carie.
È anche possibile una diagnosi più accurata della natura dei punti luminosi sullo smalto dei denti: è sufficiente spazzolare bene i denti e quindi trattarli con una soluzione acquosa al 2% di colorante blu di metilene, lavando via la tintura con acqua dopo 2 minuti. L'area porosa demineralizzata dello smalto dei denti diventerà blu in diverse intensità. Se il punto non è correlato alla carie, non acquisirà un colore blu.
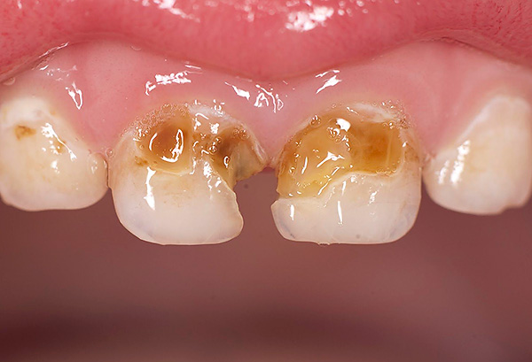
In caso di sospetta carie nella fase spot, è consigliabile visitare il dentista e condurre una diagnosi più accurata. In questo caso, il dentista, molto probabilmente, utilizzerà anche una sorta di indicatore di carie (rilevatore di carie), ovvero una soluzione di un colorante chimico che può essere assorbito dallo smalto poroso demineralizzato.
La foto sotto mostra come potrebbe apparire in pratica:

È interessante
Uno dei metodi per diagnosticare la carie superficiale è la stomatoscopia alla luce ultravioletta. Il tessuto dentale sano si manifesta con un bagliore verde chiaro e le aree cariate sembrano più scure. Con danni non cariati allo smalto (ad esempio, l'ipoplasia), il tessuto acquisisce un bagliore grigio-verde. Tuttavia, questa tecnica non ha oggi ampia applicazione e nelle cliniche di solito si limita a esaminare la cavità orale e ad usare metodi di colorazione vitali.
Il trattamento della carie nella fase dello spot mediante argentatura: vale la pena concordare?
Uno dei metodi di "trattamento" della carie nella fase spot è il cosiddetto metodo di argentatura dei denti, utilizzato principalmente per i denti da latte nei bambini. Più specificamente, questo metodo è posizionato piuttosto come un metodo per prevenire l'ulteriore sviluppo del processo cariato.

nota
Il metodo di argentatura viene eseguito dagli adulti solo in casi eccezionali (gravi disturbi mentali, incapacità di resistere a procedure dentali prolungate), ma in generale viene utilizzato solo in odontoiatria pediatrica.
Oggi, il metodo di arginare i denti provoca molte controversie e molti medici stimabili considerano questa tecnica un vero male per la società moderna.
Ma prima consideriamo l'essenza della procedura e perché, di fatto, viene eseguita: durante l'argentatura, i denti di un bambino vengono trattati con una soluzione concentrata di nitrato d'argento. Nel corso di una reazione chimica, gli ioni d'argento vengono ripristinati nello strato superficiale dello smalto dei denti su argento metallico, che si deposita nei pori più piccoli e non viene lavato via in futuro.
Allo stesso tempo, si ritiene che a causa dell'effetto battericida dell'argento, vengano create condizioni avverse per la vita dei batteri che causano la formazione di placca e carie. Non ci sono batteri, né placca, né acidi organici che portano alla demineralizzazione dello smalto, il che significa che la carie non progredisce. Almeno è così che sembra in teoria.
In alcuni casi, l'argentatura dei denti viene eseguita in più fasi con ripetizioni fino a 2 volte l'anno. Vantaggi della procedura:
- Non c'è reazione negativa del bambino, poiché i denti sono solo imbrattati di qualcosa (e non forati con un trapano terribile);
- I denti possono essere argentati, anche i bambini di 1 anno;
- Prezzo basso e nelle istituzioni pubbliche - gratuitamente;
- Fatte salve le indicazioni per la procedura e l'accuratezza della tecnologia, la carie a volte si blocca davvero nella fase esistente.
Tuttavia, in pratica, le situazioni non sono rare quando l'argentatura non ha praticamente alcun effetto sull'ulteriore sviluppo del processo cariato in un bambino. Di conseguenza, la carie iniziale passa in sicurezza verso il centro e poi nel profondo.

Pertanto, la fattibilità del trattamento della carie nella fase di colorazione con il metodo dell'argentatura è criticata da molti dentisti professionisti. Contro della procedura:
- Violazione dell'estetica dovuta a un cambiamento nel colore dei denti (in poche parole, i denti diventano quasi neri, come se fossero tutti marci, anche se questo è solo il colore dell'argento metallico finemente diviso);
- Impossibilità di utilizzare con difetti più profondi;
- Spesso bassa o nessuna efficacia.
Forse il problema principale è un annerimento dei denti molto persistente dopo la procedura, il che è inaccettabile nella società moderna, perché la formazione di un bambino avviene in una squadra (scuola materna, tazze, sezioni, fiori). I denti neri e il continuo ridicolo da parte dei coetanei su questo possono avere un effetto psicologico negativo duraturo sul bambino.
nota
A volte i dentisti argentano i denti anteriori per i bambini quando non si tratta di carie iniziale. Pertanto, l'uso dell'argentatura con carie medie e profonde è ancora meno giustificato rispetto all'iniziale.
Fluorurazione profonda e rimineralizzazione dello smalto
Come notato sopra, l'aspetto di una macchia bianca (cretacea) sulla superficie del dente è associato al processo di demineralizzazione dello smalto locale. Quindi perché non provare a restituire allo smalto i componenti che ha perso: calcio, fluoro, fosforo? ..
È su questa idea che il metodo di trattamento della carie nella fase spot si basa sulla fluorurazione profonda e sulla rimineralizzazione dello smalto dei denti.

Gli studi hanno dimostrato che la terapia remineralizzante e la fluorizzazione profonda spesso spesso ottengono un effetto positivo, ma solo nel caso della demineralizzazione focale sotto forma di una macchia bianca. Il punto pigmentato non può essere riportato allo stato normale iniziale della struttura dello smalto con tecnologie simili, sebbene il processo cariato sarà sospeso.
La terapia rimineralizzante implica l'introduzione di ioni calcio, fosforo e fluoruro nella struttura dello smalto mediante applicazioni o elettroforesi (quest'ultima opzione è più efficace). Durante la procedura, i minerali si diffondono (penetrano) nelle zone di smalto indebolito e ripristinano le aree del reticolo cristallino rotto.
La fluorurazione profonda è il trattamento dello smalto dei denti con fluoruri, grazie al quale il contenuto di fluorapatite chimicamente molto inerte, che ha, in particolare, un'alta resistenza all'azione degli acidi, aumenta nella sua struttura.

Una serie di queste procedure è prescritta per trasformare la macchia di gesso sul dente in una sezione di smalto sano con trasparenza e brillantezza naturali. Ogni tecnica ha la sua efficacia e velocità nel raggiungere il risultato - a volte può essere raggiunta in 3-4 settimane, a volte è necessario condurre applicazioni del corso fino a 6 mesi o più.
nota
È davvero possibile arrestare in modo efficace e rapido la carie iniziale usando queste procedure. Ma quanto tempo passerà prima che ritorni la brillantezza dello smalto naturale non è noto in anticipo, poiché questo è in gran parte determinato dalle caratteristiche di una particolare situazione clinica.
La rimineralizzazione dello smalto può essere effettuata non solo nello studio dentistico, ma anche in modo indipendente, utilizzando mezzi adeguati a casa (vedi sotto).
Qualche parola sui trattamenti casalinghi per la carie in scena
Prima di trattare a lungo la carie nella fase di una macchia bianca a casa, è consigliabile consultare un dentista - ha davvero senso nella tua situazione farlo, o forse è il momento di mettere un sigillo su di essa invece di fare "lozioni" sul dente.
Oggi sono in vendita vari prodotti che ti permettono di saturare gradualmente lo smalto dei denti con i componenti minerali che ha perso. In particolare, è possibile ottenere un notevole effetto positivo (soprattutto sotto la supervisione di un dentista) utilizzando i seguenti farmaci:
- Gel rimineralizzante ROCS Medical Minerals. È una fonte di calcio, fosforo e magnesio (non ci sono composti del fluoro nel gel). È posizionato non solo come strumento efficace per la prevenzione della carie, ma anche come farmaco che consente di ripristinare la lucentezza dello smalto durante la carie nella fase spot. Adatto per l'uso nei neonati. Con una forma compensata di carie (vale a dire quando il processo cariato nel suo insieme può essere chiamato lento), il produttore raccomanda un'applicazione di corso - 4 corsi di 10-12 procedure all'anno. Il gel ROCS Medical Minerals è indicato anche quando si indossano le parentesi graffe (le zone di demineralizzazione dello smalto spesso si formano intorno ai fermagli), dopo una procedura di sbiancamento dentale, con ipoplasia dello smalto e fluorosi;


- Gel dentale Elmex. È anche destinato alla rimineralizzazione delle aree di smalto decalcificato, che consente l'efficace prevenzione della carie e il trattamento delle sue forme iniziali. A differenza del gel ROCS, il gel Elmex contiene composti del fluoro, quindi è controindicato nella fluorosi. Il prodotto è destinato ad adulti e bambini dai 6 anni;

- Gel rimineralizzante di minerali bianchi stupefacenti. Per proprietà e portata è in molti modi simile al gel Elmex e contiene anche composti di fluoro.

Puoi trovare altri farmaci rimineralizzanti adatti per uso domestico.
Lo scopo dell'utilizzo di questi prodotti è di fornire un ulteriore afflusso di componenti minerali negli strati superficiali dello smalto.
È interessante
Lo studio del meccanismo di rimineralizzazione dello smalto dei denti è iniziato, infatti, circa 100 anni fa. I primi esperimenti si sono svolti sui denti estratti: in particolare si è notato che la durezza dello smalto appositamente demineralizzato aumentava quando veniva aggiunta ai denti la saliva ordinaria. Successivamente, la saliva è riconosciuta come l'ambiente naturale che fornisce il processo di restauro minerale dello smalto (alcuni dentisti chiamano figurativamente la saliva "smalto liquido").
Opzioni di trattamento per la carie in scena con la tecnologia Icon
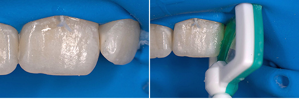
Passiamo a considerare un metodo più efficace per trattare la carie nella fase spot senza usare un trapano, vale a dire, a considerare la tecnologia per trattare la carie iniziale mediante infiltrazione (tecnologia Icon).
In generale, il principio del trattamento è abbastanza semplice. In primo luogo, il dentista pulisce i denti della placca e del tartaro, valuta lo stato del processo cariato. Se ci sono indicazioni per l'uso della procedura, uno speciale gel a base di acido cloridrico di piccola concentrazione viene applicato sulla superficie del dente essiccato, che dissolve lo strato superiore di smalto.
Lo strato superiore di smalto (il più forte) durante la carie nella fase spot è solo condizionatamente salutare, poiché sotto questo "guscio" il reticolo cristallino è notevolmente danneggiato a causa della perdita di componenti minerali. Dopo aver lavato via l'acido e aver asciugato la superficie, viene introdotto un infiltrante, che riempie l'intera struttura porosa; quindi viene polimerizzato in porzioni, attivando il processo di polimerizzazione con una lampada a raggi ultravioletti. Una sorta di "sigillo" ottenuto viene lucidato con dischi e spazzole.



In effetti, abbiamo davanti a noi uno schema approssimativo per posizionare un riempimento fotopolimerizzato in una visita, ma in questo caso, non un trapano, ma l'acido cloridrico, come un buon solvente per le strutture indebolite dello smalto dei denti, viene utilizzato come "eradicatore" dei tessuti cariati.
Il trattamento della carie nella fase spot con il metodo dell'infiltrazione può essere utilizzato anche nei bambini dai 3 anni di età, che è un'ottima alternativa in tutti i sensi al metodo irrimediabilmente obsoleto dell'argentatura dei denti.
Tuttavia, le possibilità della tecnologia Icon, sfortunatamente, non sono illimitate.Ad esempio, nel caso di esposizione alla dentina, nonché con smalto troppo sottile (ad esempio, nella zona cervicale) o in presenza di una cavità cariata già formata, questo metodo non sarà adatto. La tecnologia delle icone ha un effetto positivo solo sugli strati esterni di smalto, cioè il suo effetto terapeutico è mirato specificamente alla carie nella fase di colorazione.
Comunque sia, Icon al momento rimane un modo popolare, moderno e abbastanza efficace per trattare la carie nei bambini e negli adulti nella fase iniziale della distruzione cariata dei tessuti dei denti.
richiamo
“Mia figlia e io ci rechiamo ogni volta a Mosca, facendo una profonda fluorurazione. Non so quanto altro per torturare il bambino. Voglio già fare l'ICONA, nelle nostre cliniche non ne abbiamo nemmeno sentito parlare, lo perforano e basta. In una clinica hanno sentito, ma non hanno nemmeno intenzione di presentare. In breve, è stretto con noi ... "
Ekaterina, Izhevsk
Trattamento della carie iniziale con riempimento (restauro)
Come accennato in precedenza, una macchia cariata (pigmentata) scura su un dente, in contrasto con una bianca (opaca), spesso non può essere trasformata in uno stato normale con l'aiuto di una sola procedura di rimineralizzazione. Anche il sistema Icon potrebbe non essere mostrato in tutti i casi e in nessun modo è disponibile in tutte le città.

Di conseguenza, la macinazione e il successivo riempimento di un punto cariato possono essere una buona alternativa, che oggi è la più accessibile alla popolazione generale.
A seconda della situazione clinica, il dentista non può nemmeno usare il boro, limitandosi a dischi speciali o testine di levigatura e lucidatura. E anche se la preparazione della sezione di smalto con un punto cariato viene eseguita utilizzando il boro, il tempo di elaborazione può essere insignificante, così come la profondità del difetto formato.
Dopo aver pulito il dente dai tessuti cariati, il materiale di riempimento viene applicato sull'area preparata.

La scelta del materiale di solito rimane con il medico curante (anche se il paziente partecipa anche ad alcune cliniche, soprattutto quando il costo di un riempimento da materiali diversi varia in modo significativo). I materiali di riempimento fotopolimerizzabili sono più adatti per i gruppi di denti anteriori.
richiamo
“Sono venuto al policlinico della città una settimana fa per rimuovere la macchia nera sul dente. Così ho detto al dottore, lucidare la carie, per favore. Non so che diavolo ci facciano lì, ma solo lei l'ha fatto come non ha fatto. Macinato senza iniezione, faceva male. Dice che, come hai fatto tu, puoi andare a casa. È libero, è libero, la macchia è scomparsa, ma la superficie del dente ha iniziato a sembrare pokotsenno e la reazione del freddo è apparsa. Sono andato in una clinica privata, dove hanno finito tutto perfettamente per me. Appoggiarono un minuscolo ripieno sul dente, lo lucidarono, lo coprirono con una specie di vernice, il dente passò subito. In generale, in odontoiatria libera, non affrettarti con frasi come strapparmi il dente, macinare la carie, altrimenti lo faranno su richiesta dei lavoratori, e non come dovrebbe essere. "
Max, Zvenigorod
Moderni metodi ortopedici per ripristinare l'estetica dei denti colpiti dalla carie
Se tutto è chiaro riguardo al posizionamento delle otturazioni sul dente (hanno elaborato la parte cariata dello smalto - mettere un sigillo), quindi sui metodi ortopedici per ripristinare l'estetica dei denti con la carie nella fase spot, un lettore non preparato può avere seri dubbi e domande abbastanza ragionevoli.
Ad esempio, questo: è davvero necessario digrignare i denti, mettere le corone o altrimenti protesicamente per il bene di un punto di carie?
Certo, non si tratta affatto di corone. Oggi le faccette in ceramica e gli apparecchi illuminanti stanno diventando molto popolari. Le impiallacciature sono, infatti, piastre di rivestimento in porcellana sulla parte visibile del dente, che consentono di regolare la forma e il colore del dente, oltre a fornire un effetto protettivo.


Gli apparecchi di illuminazione, a differenza delle faccette, sono così sottili che vengono fissati senza prima girare il dente o con una macinazione minima.
nota
L'elevata estetica, la resistenza e la durata delle impiallacciature e degli apparecchi illuminanti consentono loro di ottenere sempre più popolarità tra le persone. In effetti, in numerosi casi clinici, tali sovrapposizioni con un dispendio di tempo e denaro relativamente ridotto consentono di ottenere quasi un sorriso hollywoodiano con denti inizialmente molto mediocri.
Tuttavia, nel contesto del nostro argomento, questa tecnica dovrebbe essere considerata in modo più critico. In particolare, a causa di uno o due punti pigmentati con la forma, il colore e la posizione normali dei denti anteriori, l'adeguatezza dell'installazione delle faccette è dubbia: è sufficiente avere a che fare con la tecnologia Icon o il riempimento. Pertanto, non affrettarti senza l'irresistibile necessità di digrignare i denti sotto le faccette, non importa quanto ti sembrino attraenti le foto nella pubblicità.
Se hai esperienza personale nel trattamento della carie iniziale, assicurati di condividere le informazioni lasciando una recensione in fondo a questa pagina (nella casella dei commenti). Forse qualcuno aiuterà le informazioni a prendere la decisione giusta in una situazione simile.
Video utile: come fermare la carie nella fase di una macchia bianca - il consiglio del dentista
Trattamento della carie iniziale senza trapano con la tecnologia Icon




