
La semplicità o, al contrario, la complessità della diagnosi della carie dipende direttamente dalla sua posizione sui denti e sullo stadio di sviluppo. Pertanto, i metodi per diagnosticare la carie dipendono anche dallo stadio in cui si trova la malattia.
Quindi, nella fase spot, il processo cariato a volte è appena percettibile e può essere riconosciuto solo con mezzi speciali.


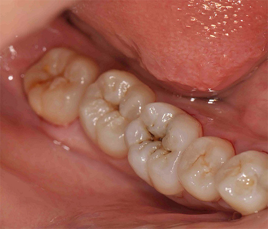
E già la carie media e profonda può essere riconosciuta utilizzando uno specchio dentale standard e una sonda. Inoltre, la diagnosi è abbastanza possibile a casa: più carie stesso che colpisce quando si esamina la cavità orale nello specchio e persino nella fase del punto (carie iniziale) provoca disagio quando i prodotti caldi o freddi salgono sul dente e talvolta anche quando si inala aria fredda.

Tuttavia, la carie è piuttosto insidiosa e in alcuni casi può svilupparsi in modo asintomatico fino a fasi in cui sarà richiesta la rimozione di una parte significativa della dentina e talvolta la depulpazione (rimozione del nervo). Ecco perché la definizione di patologia nelle cliniche dentali viene spesso effettuata utilizzando attrezzature moderne e le lesioni profonde nascoste nei denti vengono rilevate utilizzando metodi ad alta tecnologia.
Diagnosi visiva della carie e della situazione cariogena
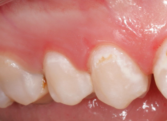
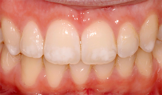
L'ispezione visiva dei denti è il modo principale per identificare una situazione cariogena nella cavità orale. La carie è caratterizzata dal fatto che in quasi tutte le fasi del suo corso, cambia il colore dello smalto dei denti. Anche nella fase spot, quando la dentina non è ancora interessata, lo smalto cessa di essere liscio e lucido e il dentista attento nota facilmente un tale cambiamento.

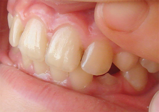
In fasi successive, determinare la carie con un semplice esame è ancora più semplice: porta alla comparsa di punti neri e marrone scuro sui denti o quando la dentina è danneggiata, sotto lo smalto sono visibili cavità scure.

Non sorprende, nella maggior parte dei casi, la diagnosi visiva della carie dentale può rivelare la maggior parte delle aree interessate. Con lei, il dentista esamina attentamente i denti da diversi lati con uno specchio. Inoltre, il medico può eseguire una sonda sonda: in luoghi dello sviluppo precoce del processo cariato, si avverte chiaramente la rugosità della superficie dello smalto.
nota
È la diagnosi visiva più disponibile a casa e ti consente di riconoscere tu stesso la patologia dei denti. Basta solo esaminare attentamente i denti allo specchio. Vale la pena non solo cercare aree francamente nere, ma anche prestare attenzione a tutti i luoghi che si stagliano sullo sfondo di denti bianchi puri. Ricorda: le aree nere e marroni indicano un danno sufficientemente profondo al dente (nel migliore dei casi, solo lo smalto sarà pigmentato). Un tale dente dovrà probabilmente essere forato, forse anche un nervo verrà rimosso da esso. Pertanto, il dentista dovrebbe essere consultato anche prima della comparsa di un danno visibile significativo.
Ci sono momenti in cui la diagnosi visiva non è sufficiente. Ad esempio, le aree interessate situate sulla parete dei denti nei punti del loro contatto non sono sempre visibili. A volte il processo cariato si sviluppa sotto vecchie otturazioni e corone, sotto la gomma (carie radicolari) e non puoi vederlo ad occhio nudo. Qui, i metodi diagnostici più accurati vengono in aiuto del dentista.
Colorazione dei denti o uso di marcatori di carie
Il principio dell'utilizzo dei marcatori di carie è che alcune sostanze sono ritardate proprio nelle aree interessate dalla carie. Il marker più comune è il blu di metilene.Quando entra nel dente da una superficie sana dello smalto, si scarica semplicemente e sui cariosi, in termini semplici, rimane (si diffonde nei pori dello smalto demineralizzato). Di conseguenza, il medico può non solo determinare la carie sui denti, ma anche identificare in modo affidabile la forma e il contorno del danno.

La maggior parte dei moderni marcatori di carie (a volte chiamati anche rilevatori o indicatori di carie) usano la fucsina per macchiare le aree interessate di rosa. I marcatori vengono applicati ai denti con tamponi speciali e quindi lavati via. Le cliniche utilizzano sia prodotti importati (VOCO, Pulpdent), sia preparazioni domestiche del tipo Color-test.
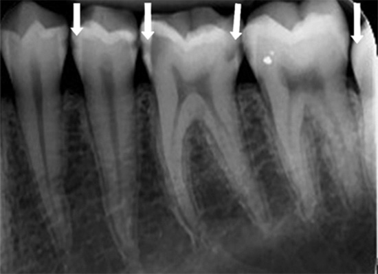
Radiografia dei denti
Questo metodo di diagnosi della carie dentaria è particolarmente efficace nelle situazioni in cui è necessario identificare la carie profonda che non presenta manifestazioni esterne evidenti. Ad esempio, se il punto di violazione dell'integrità dello smalto è nascosto dalla parete di un altro dente o gomma. Sulla radiografia, tutte le cavità danneggiate interne sono ben riconosciute, ma nella maggior parte dei casi non consentono di riconoscere la carie nelle prime fasi di sviluppo.

La decisione di prescrivere una radiografia viene sempre presa solo da un medico e non tutte le cliniche dispongono dei dispositivi appropriati. Di solito sono piuttosto grandi e costosi e i piccoli armadi non hanno l'opportunità di acquistare anche il dispositivo più semplice. I pazienti di tali stanze vengono sottoposti a diagnostica in cliniche di terze parti. È chiaro che solo per la diagnosi della carie tali dispositivi non vengono acquistati - il loro scopo funzionale è molto più ampio.
Diagnosi termica della carie
La diagnosi della carie dentale che utilizza basse e alte temperature viene solitamente eseguita per rilevare aree danneggiate sulle superfici prossimali. In questo caso, il dente viene semplicemente trattato con acqua fredda o calda (fino a 60 ° C) e, in base al dolore del paziente o alla sua mancanza, concludono che esiste un danno carioso.

In genere, la diagnostica termica viene utilizzata come metodo ausiliario per confermare una diagnosi precedentemente stabilita. Utilizzando questo metodo, anche la carie viene diagnosticata in modo diverso: se il dolore dopo il contatto con l'acqua passa rapidamente, questo indica solo la presenza di carie. Se il dolore persiste per lungo tempo ed è più acuto, allora possiamo parlare di pulpite.
Elektroodontometriya
Inoltre, i medici non ricorrono spesso all'elettodontometria (EOM) per diagnosticare la carie. Fondamentalmente, questo metodo viene utilizzato per rilevare la lesione della polpa, e quindi viene utilizzato per la diagnosi differenziale della carie in caso di sospetta pulpite.

Il principio di EOM è di esporre la polpa a una corrente elettrica di diversa intensità. A seconda della forza della corrente, appare il dolore, il medico conclude il grado di coinvolgimento della polpa nel processo patologico.
nota
Non dovresti avere paura dell'elettodontometria. L'esposizione alla corrente elettrica non significa che il dente sarà “colpito” da scariche elettriche. Di solito, l'effetto si interrompe quando si verifica il primo formicolio. Questo è già abbastanza per il medico per determinare la patologia. Se c'è solo carie sul dente, EOM non provoca dolore.
Transilluminazione fibroottica (transluminescenza)
Una accanto all'altra, la transluminescenza e la diagnostica luminescente sono usate raramente nei metodi di pratica medica per diagnosticare la carie. Di solito sono usati per altri scopi.
- La transilluminazione fibroottica si basa sull'illuminazione del dente con luce intensa. Allo stesso tempo, le aree interessate dalla carie risultano più scure e creano un emisfero ben visibile su uno sfondo di smalto sano. Tale esame viene effettuato in una stanza buia e viene utilizzata la luce fredda.
- La diagnosi luminescente consiste nell'illuminare il dente con la luce ultravioletta. Di solito un raggio di luce viene fatto passare attraverso un filtro speciale (filtro per legno).In questa luce, la lingua appare arancione, i denti sani hanno una tonalità bianca nevosa e i denti cariati sono più scuri. I confini delle aree interessate sono molto chiaramente visibili e quindi facilmente riconoscibili.


Entrambe queste procedure sono completamente indolori. I dispositivi per la diagnosi della carie con questo metodo sono prodotti dall'industria domestica (OLD-41) e da molti produttori stranieri.
Esiste anche un metodo di fluorescenza indotta dal laser. In esso, il dente è illuminato da un raggio laser e l'integrità dello smalto dei denti è dedotta dallo spettro della sua stessa radiazione. I dispositivi per tale diagnostica sono piccoli e sono di grande aiuto nello studio della situazione cariogena nella cavità orale.
Diagnosi della carie fissurotomica
La fissurotomia consiste nell'aprire lo smalto nell'area delle fessure dei denti per determinare le aree danneggiate dalla carie al di sotto di essa. Naturalmente, in situazioni standard, tale procedura per la diagnosi non viene eseguita: è semplicemente impossibile forare un dente per assicurarsi che sia sano. Di norma, questo metodo viene utilizzato per confermare il sospetto di un medico di carie, nonché per valutare l'entità del danno a un dente cariato.

In generale, questo metodo è principalmente una valutazione della lesione, ma non il rilevamento della carie stessa.
Dallo studio dentistico
Spesso, una parete di contatto con smalto grigio si trova in pazienti su un dente particolare. Sebbene la carie non sia chiaramente visibile, una formazione sconosciuta è visibile sotto lo smalto più intatto. In tutti i casi, dopo l'elaborazione con una fessura o una semplice fresa sferica, lo smalto cade e si apre una vasta cavità nascosta nel dente. Molto spesso, sotto una parete così apparentemente intatta, si sviluppa la polpite cronica.
Diagnosi differenziale: quali malattie dentali possono essere confuse con la carie?
La diagnosi differenziale della carie dentale viene eseguita da quasi tutti i metodi sopra descritti. In questo caso:
- La colorazione con marcatori di carie consente di distinguere la carie dall'ipoplasia e dalla fluorosi. Solo le carie rimarranno contrassegnate dopo aver applicato il rilevatore e averlo lavato con acqua.

- La EOM e la termodiagnosi consentono di distinguere la carie dalla pulpite e dalla parodontite.
- Sulla base di una radiografia, è possibile distinguere la carie profonda lesioni non cariose dello smalto e complicanze della carie (pulpite e parodontite).
È quasi impossibile eseguire la diagnostica differenziale con metodi visivi. Pertanto, ad esempio, per distinguere a casa carie profonde dalla pulpite è possibile solo in base alle sensazioni e alla natura del dolore.
In generale, puoi diagnosticare autonomamente la carie in te stesso notando eventuali anomalie nel colore bianco puro naturale dello smalto dei denti. Particolare attenzione deve essere ispezionata nelle aree vicino a otturazioni, patatine, sopra le gengive. È anche necessario prestare attenzione alla sensibilità dei denti. A volte lo smalto è scheggiato sui denti anteriori, il che provoca dolore nella respirazione. I luoghi di tali chip sono il "gateway" per la sconfitta delle aree esposte da batteri cariogeni.

Un altro metodo di autodiagnosi della carie, sebbene non molto ambiguo, può essere l'uso del filo interdentale. Con il loro aiuto, puoi trovare danni allo smalto anche su quei lati dei denti in cui la carie non è evidente. Devi solo strofinare questo lato del dente con un filo, valutare i tuoi sentimenti e controllare il filo stesso. Se durante la procedura si avverte dolore o il filo viene gravemente graffiato, lo smalto viene danneggiato. È chiaro che la carie o no, solo un medico può, ma una tale violazione è già un motivo per andare in clinica.
In ogni caso, con qualsiasi sospetto di carie, dovresti andare dal dentista. Se non ci sono ancora chiari segni di distruzione dello smalto, ma i denti non sembrano completamente sani, quindi, forse, il trattamento non richiederà nemmeno l'apertura dello smalto. E, soprattutto, non aver paura di visitare nuovamente il dentista.Prima viene determinata la carie, più facile, economico ed efficace sarà il trattamento.
Video interessante: diagnosi precoce della carie
Carie nelle aree più vulnerabili dei denti - nell'area della fessura

