
Con il termine "carie interna", un normale paziente in una clinica dentale di solito comprende una malattia che colpisce i tessuti in profondità sotto lo smalto dei denti. Allo stesso tempo, i medici sanno che, nel complesso, qualsiasi carie dentale colpisce i tessuti interni del dente, che sono più morbidi e più facilmente danneggiati dello smalto. Pertanto, la frase "carie interna" può essere applicata a quasi tutti i casi della malattia e, in linea generale, è una tautologia.
In alcuni casi, dicono della carie interna quando significano un processo patologico sotto una corona o un riempimento mal installato. Qui, la carie all'interno del dente si sviluppa in modo assolutamente impercettibile sia per il medico che per il paziente, e si manifesta solo quando il processo patologico si smaltisce intorno alle otturazioni (corone) o quando si verifica dolore. Ma di nuovo, questa è la stessa normale carie, solo con una localizzazione non standard.

Tuttavia, i motivi diagnosi e trattamento della carie all'interno del dente hanno le loro specifiche.
Segni e aspetto dei denti con carie profonde
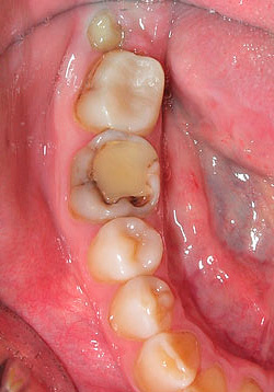
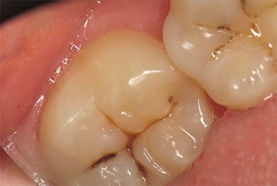
Nella foto sotto - la carie interna sui tessuti sotto lo smalto distrutto. Questo è un tipo tipico di malattia che si sviluppa all'interno del dente. Le aree scure della dentina interessata sono chiaramente visibili:

È il cambiamento di colore dei tessuti danneggiati dalla carie che è il principale segno diagnostico della malattia. Nella stragrande maggioranza dei casi, è proprio sui punti neri sullo smalto o sulle fessure che il medico fa in modo inequivocabile la diagnosi di carie.
Dalla pratica del dentista
I punti neri sui denti possono indicare una pigmentazione congenita o acquisita (più spesso) ("placca del fumatore", ecc.), Ma più spesso - carie nascosta. Quando inizi a perforare tali punti, vanno così in profondità che il 70-80% dei punti all'interno dello smalto vengono completamente rimossi e il 20-30% raggiunge la dentina e appare la sensibilità (se il paziente, a causa del rifiuto dell'anestesia, ha chiesto di manipolare le condizioni, fino a quando non diventa doloroso). Poiché il paziente ha sempre ragione, agiamo in base alla situazione: diventa doloroso - coordiniamo e conduciamo un'anestesia per il cliente coraggioso secondo il protocollo.


A volte anche i denti gravemente danneggiati con la carie interna possono sembrare completamente sani. Quindi, se la superficie con cui è iniziato il danno è saldamente attaccata all'altro dente, la carie può svilupparsi in profondità nei tessuti interni e anche con un attento esame della cavità orale ad occhio nudo passa inosservata. Una situazione simile è quando la carie all'interno di un dente si sviluppa da un danno allo smalto situato sotto i tessuti molli delle gengive (carie radicolari).
Nella maggior parte dei casi, al primo esame dei denti, le loro pareti (superfici) colpite dalla carie colpiscono. Spesso non si tratta di cavità, ma semplicemente di smalto grigio e appannato, che ha perso il suo aspetto sano a causa della demineralizzazione.
Spesso il dentista vede un "tunnel" tra i denti, ma la sonda potrebbe non passare nella cavità cariata interna nascosta a causa della densità dello spazio interdentale. Di solito, il medico mostra al paziente sfumature di smalto grigiastro nello specchio sullo sfondo della carie interna sviluppata e inizia il trattamento dei denti dopo l'anestesia.

Quando il boro tocca lo smalto grigio, in quasi il 90% dei casi si rompe dopo un paio di secondi e il boro cade nella cavità interna con un'abbondanza di dentina cariata, pigmentata, infetta e ammorbidita. Se il medico ha eseguito l'anestesia correttamente, non c'è assolutamente dolore.
Il medico esegue la pulizia e il riempimento del dente rigorosamente secondo il protocollo per il trattamento della carie.Se esiste già un messaggio nel dente con la camera pulpare (la cavità in cui si trova il nervo), il medico esegue la depulpazione e il riempimento dei canali con il successivo posizionamento di un riempimento permanente in una o due visite.
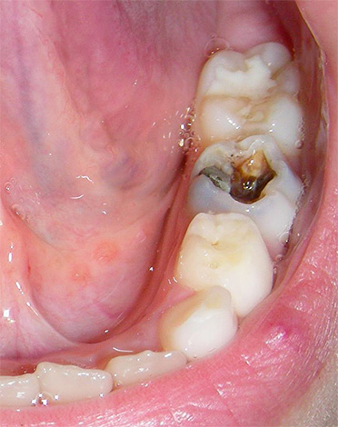
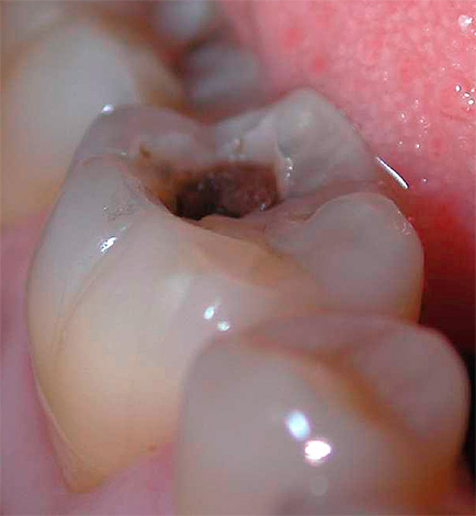
La foto sotto mostra un dente in cui sono visibili profonde cavità cariate interne sotto una luce intensa:

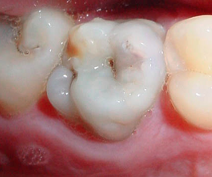
La foto seguente mostra carie delle fessure, cioè localizzato nell'area del sollievo naturale dei denti. Sotto tale oscuramento, i tessuti significativamente distrutti sono spesso nascosti all'interno, che non vengono immediatamente rilevati durante un esame di routine:

A casa, una tale "carie interna" è quasi impossibile da rilevare. Si rilascia solo con un esteso danno alla dentina e la comparsa di dolore al dente quando la polpa è inclusa nel processo patologico. Ecco perché le visite profilattiche dal dentista sono così importanti che metodi speciali possono rilevare la carie in qualsiasi sua localizzazione e curare il dente prima che sia necessario rimuoverlo (rimozione del nervo).
Ragioni per lo sviluppo della carie profonda
Le cause della carie nei tessuti dentali localizzati in profondità sono simili a quelle della carie con qualsiasi altro tipo di localizzazione. La malattia si sviluppa a causa dei seguenti fattori:
- La costante presenza nella cavità orale di acidi, sia quelli che sono venuti qui con il cibo (frutta, verdura), sia quelli prodotti dai batteri che consumano i resti di quasi tutti i cibi ricchi di carboidrati: farina, dolci, cereali.
- Diminuzione della secrezione di saliva o sua bassa attività battericida. Ciò può essere causato da altre malattie o disturbi metabolici.
- Danni meccanici e termici allo smalto dei denti.
- Fattori ereditari.
La carie di solito si sviluppa sotto l'influenza di un complesso di diversi fattori.

In ogni caso, è in profondità, sotto le parti dello smalto del dente, che la carie si sviluppa più rapidamente a causa della maggiore suscettibilità dei tessuti all'azione degli acidi. Pertanto, le situazioni non sono rare quando sotto un buco appena percettibile (o persino generalmente invisibile ad occhio nudo) c'è una cavità estesa distrutta da un processo cariato.
Nota:
Ecco perché lo smalto si stacca quasi sempre (scompare in un pezzo) quando si è già formata una grande cavità cariata, che colpisce gli strati di dentina infetta ammorbidita. Cioè, lo smalto può trattenere il carico per lungo tempo, incombendo su una cavità cariata nascosta, spesso senza darlo via.
Caratteristiche della diagnosi della carie all'interno del dente
La carie dentaria all'interno di un dente è molto più difficile da diagnosticare del normale, che ha manifestazioni sulla superficie dello smalto. Può essere visto chiaramente quando si utilizzano i seguenti metodi diagnostici:
- Un esame visivo in cui il medico può notare che le cavità si scuriscono sotto lo smalto.
- L'uso di marcatori di carie - fluidi speciali dai colori vivaci che indugiano sulle superfici danneggiate della carie. Con la carie interna, determinano i confini dei tessuti danneggiati dopo l'apertura dello smalto. Nello studio dentistico vengono generalmente utilizzati preparati a base di blu di metilene al 2% o di fucsina.
- Radiografia, in cui le cavità profonde colpite dalla carie hanno un colore molto più scuro.

- Transilluminazione (lucidatura dei denti con luce intensa) e diagnostica luminescente (la stessa, ma usando la luce ultravioletta). Con questa traslucenza, le lesioni interne del dente diventano chiaramente visibili.
- La diagnostica laser è un metodo in base al quale un raggio laser viene diretto verso un dente, che avvia il proprio splendore del dente. Allo stesso tempo, i tessuti colpiti dalla carie emettono luce in un intervallo diverso da quello nelle aree sane. Questo viene registrato dal dispositivo, che fornisce un segnale sonoro e visualizza i risultati in forma grafica sullo schermo del computer.
Inoltre, la carie interna avanzata provoca dolore al paziente, inizialmente lieve e insorge principalmente quando si masticano cibi duri e si procurano cibi molto freddi sul dente e si intensifica man mano che la malattia progredisce. Se il dente inizia a dolere regolarmente senza danni visibili, devi certamente venire dal dentista per un esame.
I seguenti metodi possono essere utilizzati come ausiliari per la diagnosi e la conferma della carie all'interno del dente:
- La fissurotomia è l'apertura minima dello smalto su una (presumibilmente) cavità cariata usando speciali frese sottili. Di solito viene eseguito non per confermare la diagnosi, ma per chiarire i confini del sito cariato.

- EOM - elettrodontometria. Con esso, il dente è esposto a correnti deboli per determinare la soglia della sua sensibilità. Questo ti consente di distinguere la carie interna dalla pulpite.
Regole per il trattamento di una malattia
In tutti i casi di sviluppo della carie all'interno del dente, il suo trattamento richiede l'apertura dello smalto, la rimozione della dentina interessata e il riempimento delle cavità pulite. In una forma trascurata, la carie interna porta alla necessità di rimuovere il nervo e riempire i canali.

Ancora più difficili sono le situazioni in cui una notevole quantità di tessuto viene danneggiata dalla carie dall'interno del dente e si rompe dopo che sono stati rimossi o semplicemente a causa dell'ammorbidimento. In questa situazione, spesso, secondo le indicazioni, è necessario rimuovere il dente con la successiva installazione dell'impianto su richiesta del paziente, o fare con i moderni metodi protesici.
nota
Split split - discord, quindi, le tecniche di conservazione dei denti possono includere, ad esempio, il restauro dei denti su un perno in titanio (ancoraggio, fibra di vetro) dopo un accurato trattamento intracanalale + installazione di una corona (cermet, timbrato, cast, ecc.), Può comportare la preparazione del dente sotto la scheda, imposta schede + corone. Potrebbero esserci molte opzioni.
A volte le lesioni sono piuttosto estese, ma con esse è possibile mantenere le radici del dente rimuovendo la polpa da esse. In tali casi, è possibile ottenere installando la corona.
In ogni caso, dopo aver rilevato la carie cavità, il medico esegue la pulizia con l'aiuto del boro. Se tali tessuti si adattano vicino alla polpa, la loro rimozione può essere dolorosa e molto spesso eseguita utilizzando l'anestesia locale.

Dallo studio dentistico
Ci sono situazioni ambigue in cui l'area della polpa durante la pulizia della cavità cariata non è stata ancora aperta, ma il paziente inizia già a provare dolore durante il lavoro del medico. Non è assolutamente possibile dire se la depulpazione è necessaria qui o no. Senza depulpazione dopo il posizionamento del materiale da otturazione, può iniziare a disturbare le terminazioni nervose durante la masticazione e causare dolore. Alcuni medici sono inclini a depurare un tale dente in modo che non debbano svolgere ripetuti lavori se, dopo aver installato il sigillo, il paziente inizia a provare dolore. Altri dentisti spiegano dettagliatamente la situazione al paziente e prendono una decisione insieme a lui. Va tenuto presente che molti pazienti sono molto sensibili alla conservazione dei loro denti in una forma "viva" e sono pronti a correre dei rischi in modo che possano andare in giro con un dente con polpa conservata per diversi anni se il dolore non si verifica dopo un semplice riempimento.
In generale, anche con carie profonde, è necessario rimuovere il nervo, secondo le statistiche, in meno di un terzo dei casi e l'estrazione del dente stesso a causa della carie profondamente penetrata è generalmente una situazione piuttosto rara.
Prevenzione della carie profonda
È possibile evitare lo sviluppo della carie in profondità all'interno del dente se vengono regolarmente eseguiti esami di routine presso il dentista e la comparsa della malattia viene rilevata anche nella fase spot. Con questo approccio, è molto probabile che si eviti la depulpazione e, in assenza di carie latenti, sarà anche possibile fare a meno dell'apertura del dente e del riempimento.

Per prevenire la comparsa anche dei primi segni di carie, è necessario osservare le seguenti misure preventive:
- lavarsi accuratamente i denti almeno due volte al giorno - dopo la colazione e prima di coricarsi;
- sciacquare la bocca dopo aver mangiato;
- Non lasciarti coinvolgere in dolci e caramelle;
- rimuovere i residui di cibo bloccati tra i denti;
- Evitare di ottenere cibi e bevande troppo caldi o troppo freddi sui denti.
Con una predisposizione al danno carioso dei denti, è necessario consultare un medico e, su sua raccomandazione, assumere preparati di calcio e fluoro sotto forma di compresse o soluzioni speciali.
Le gomme da masticare contenenti xilitolo anziché zucchero possono essere un'ulteriore misura preventiva. Dovrebbero essere masticati per 10-15 minuti dopo aver mangiato per migliorare la produzione di saliva e pulire gli spazi tra i denti.
In combinazione con l'uso sistematico, tali misure preventive forniranno una protezione affidabile contro i danni ai denti e anche con i primi segni di carie, il medico sarà in grado di eliminare la patologia prima che si diffonda nei tessuti profondi sotto lo smalto.
Video interessante: preparazione e restauro di un dente con carie profonde
Un esempio di una tecnica di trattamento della carie profonda a due stadi



Bene, è questa la carie.
Come trattare?
Un incubo Ho paura di andare dal dentista. Già quattro denti cadono a pezzi.
Dopo il parto, i miei denti hanno iniziato a scurirsi e ora due denti si stanno staccando. Ho una paura tremenda di andare dal dentista.
Ora puoi essere trattato sotto sedazione, questo non è particolarmente dannoso. Dopo aver somministrato il farmaco in una vena, ti addormenterai quasi come un bambino ... Se hai procedure molto dolorose, non ricordare nemmeno cosa è successo. E se hai appena messo il sigillo, sarai in uno stato molto rilassato, completamente senza paura. E per l'anestesia, riceverai un'iniezione regolare nella gomma.
Oh, che orrore di questa carie! Brrr ...
Ho problemi ai denti, ma vado ancora dal dentista, soprattutto da quando ho trovato una buona clinica. È meglio che perdere i denti.
Dove si trova la clinica?
Fa paura quando non lo sospetti nemmeno, e poi vai dal dottore, e il 70% del tuo dente è marcio dentro. Sì, e perché avere paura? Dopo l'anestesia, non ci sono affatto sensazioni. Anche quando un perno di metallo è inserito nella radice.
Ho molta paura di andare dal dentista, il dente è quasi completamente mangiato dalla carie. Non so cosa fare, ma non andrò ancora dal dentista.
Ciao maria! Questa non è la decisione più ragionevole, perché un dente distrutto dalla carie prima o poi può iniziare a causare un forte dolore e spesso - causare un "flusso". Al mio appuntamento, la gente molto spesso si rammarica di non essere arrivata in tempo, perché è molto più facile curare un dente quando non c'è edema vicino ad esso. Certo, ora tutto viene fatto con l'anestesia, le procedure sono indolori. Pertanto, le tue paure sono vane, ci sono molti più bravi dottori di quanto pensi.
Sfortunatamente, non tutti sono indolori. È anche doloroso per me trattare la carie semplice con un'iniezione di ultracaina. Sono terrorizzato da ciò che accadrà quando il nervo viene rimosso. Ricordo un momento dell'infanzia in cui me l'avevano rimosso vivo, senza iniezione, e l'arsenico non funzionava affatto. E poiché il gelo mi colpisce gravemente, si scopre che con un'iniezione sarà oh quanto spiacevole rimuovere la polpa. Da qui le paure.
Oh, ricordo anche un incubo dell'infanzia quando il mio nervo fu rimosso e l'arsenico non funzionava. E ora provo a visitare spesso il dentista e curare immediatamente nella fase di lieve carie, senza aspettare gravi problemi e dolore. Tuttavia, durante l'infanzia ho sofferto, ricordi terribili e spinto ad andare piuttosto dal dentista)
Dipende dalla droga. Quando mi fanno un'iniezione, non la prendono neanche. E quando lo fanno in una clinica privata, si mettono subito i denti. Hanno alcuni farmaci importati.
E, piuttosto, temo di non avere abbastanza soldi per un trattamento di qualità! ))
Colpa nella maggior parte dei casi in trattamento prematuro? Ecco come spieghi la situazione in cui andavo dal dentista ogni sei mesi per un esame preventivo, chiedevo di prestare attenzione al punto oscuro del dente, chiedevo se dovesse essere trattato? Quello che mi hanno detto - no, va tutto bene, niente di sospetto, come se questo posto fosse pigmentato ... Ed ecco! 9 mesi dopo il primo esame, il medico afferma che questo dente deve essere trattato e che probabilmente vi è carie profonde. Ho scavato un mezzo dente! E così con ogni medico - loro stessi non sanno se si tratta di macchie di età o carie, fino a quando non li costringi a prestare attenzione al problema. Per quanto mi riguarda, ogni macchia nera è una carie, ma nessuna macchia di pigmento!
Benvenuti! Dirò questo: un dentista in un istituto di bilancio spesso non è configurato per analizzare i punti sull'argomento se è pigmentato o meno (c'è poco tempo per un paziente, nessuna attrezzatura, bassa motivazione, ecc.). In secondo luogo, in molte cliniche private sarai individuato con macchie di qualsiasi origine, non importa se sono cariati o meno, quante ce ne saranno e quanti denti saranno necessari per questo lavoro (tanto meglio è). Inoltre, più della metà si rivelerà essere una macchia di età, ma per la prevenzione (in modo che non esca nulla e per un maggiore beneficio) verranno anche inviati al trattamento. Solo il paziente sarà sicuro che la carie fosse presente su tutti i denti.
In terzo luogo, la procedura per la colorazione delle macchie per determinare la carie richiede molto tempo e generalmente richiede un gruppo separato di specialisti - igienisti. Questi specialisti erano preparati specificamente per il lavoro professionale, ma la maggior parte di loro si rivelò essere rilasciata e non necessaria: non avevano un lavoro, avevano bisogno di una crosta di dentista, dentista, chirurgo, ortopedico, ecc., Ma non un lavoro professionale - una formazione così urgente. Se il paese non ha una tendenza alla prevenzione, perché gli specialisti del bilancio dovrebbero smontare la carie o meno, se: 1) spesso non pagano o pagano un centesimo; 2) il medico ha molto lavoro con la carie già formata e le sue complicanze.
E i commercianti privati, al contrario, sono pronti a curare anche la placca pigmentata, come la carie. Quanto mi sono lamentato per loro - non contare. E in conclusione, dirò che una macchia nera potrebbe essere la carie, ma c'è anche la pigmentazione, un "fumatore" (nome convenzionale), fluorosi, tartaro e necrosi dello smalto chimico, ecc.
Eseguiranno un dente con un foro molto piccolo?
Benvenuti! Stai parlando di una violazione piuttosto pronunciata dell'integrità dello smalto, quindi la tecnica ICON (cioè il trattamento dei denti senza "foratura") non è adatta in questo caso, poiché viene utilizzata per un punto cariato, quando lo smalto non è ancora crollato in profondità.Di conseguenza, solo la preparazione con un trapano è appropriata in questo caso. Ma non dovresti aver paura di questa procedura, poiché il trattamento dello smalto con il boro viene effettuato solo pochi minuti, in anestesia e con un obiettivo importante: liberare il dente dai tessuti cariati disseminati di batteri che lo dissolvono. Quindi cerca un buon dentista e un appuntamento di successo!
Il mio quinto dente è decaduto, ha lanciato, fin dall'infanzia, la paura del trattamento dentale. Il dente non fa male. Ho avuto coraggio, sono andato in una clinica a pagamento. Il medico-dentista, dopo aver visto l'immagine del dente, disse che si poteva fare qualcosa. E il medico ortopedico, dopo aver guardato il dente e frugato con un pezzo di ferro (chiedo scusa, scrivo più facilmente, senza sarcasmo), ha detto che i tessuti sono morbidi, è meglio rimuoverli, perché i soldi saranno semplicemente sprecati (trattamento, spillo, ecc.). Gli ho creduto, perché quando colpivo, ho sentito che il dente era morbido come se. Ora sto pensando ... Vai immediatamente arrenditi, elimina o, forse, in qualche modo salva. Domanda: posso fare qualcosa? E altro ancora ... Per coloro che hanno paura, sono timidi e tirano con i denti in decomposizione. Non ritardare, vai almeno per un consulto e sarà più facile per te. Come mi disse il dentista, "la carie stessa non scompare".
Benvenuti! Temo che ti trovi di fronte a una situazione quando si tratta del cosiddetto "dente controverso". Sfortunatamente, capita che le opinioni di un certo numero di esperti sullo stesso caso possano essere significativamente divise. Puoi consultare un altro 2-3 dentisti in diverse cliniche (il vantaggio è che è quasi sempre gratuito, se primario) e capire quale punto di vista prevale.
Senza vedere le condizioni del tuo dente, solo per descrizione è impossibile emettere un verdetto in contumacia, anche se in generale il problema è chiaro. In effetti, decine di migliaia di denti che potrebbero essere conservati vengono rimossi ogni anno in Russia e circa gli stessi vengono preservati senza la prospettiva di un'esistenza a lungo termine. Queste sono le realtà della vita - non è sempre possibile "attaccare" le indicazioni all'una o all'altra azione (da trattare o rimuovere) per vari motivi, che vanno dal forte desiderio del paziente di rimuovere un dente anche con una piccola carie o pulpite e termina con una mancanza di desiderio dal dentista o dall'attrezzatura (materiali) per salvezza dei denti.
Posso dire con certezza che se il dentista e l'ortopedico lavorano nella stessa clinica, non dovresti spingerli con la fronte. È meglio contattare un paio di altre cliniche e formare un'idea generale. Un gran numero di voti per l'estrazione del dente ti convincerà a sbarazzartene senza particolari preoccupazioni (e rimpianti in futuro), e i dentisti ti diranno qual è il migliore per il criterio di qualità del prezzo per sostituirlo. Con una minoranza di voti, saprai come preservare il dente nel migliore dei modi in modo che continui a servire per molti anni.
Dalla mia esperienza personale. Dal dentista era ... non ricordo nemmeno quando. Sì, sì, era la stessa PAURA. Nonostante il fatto che ho visto ad occhio nudo e con la mente mi sono reso conto che ho lanciato senza pietà i miei denti. Una volta il muro dei denti si è rotto e ha dovuto prendere un appuntamento. Per la prima volta, la paura scosse tutto il corpo e la voce, il cuore quasi saltò fuori dal petto. In conclusione: sono stati trovati 14 denti con carie, un dente il cui muro si è rotto è stato rimosso, poiché non c'era già nulla da salvare. E molti soldi e nervi spesi, e il diavolo sa quanto resta da spendere. Ma il trattamento dentale è completamente indolore. Hai sentito? Indolore. Ora nel mio quarto decennio capisco come ho fatto di sbagliato, bypassando i dentisti per mille chilometri. Ora non c'è paura, con calma e comodità, mi siedo su una sedia e mi preoccupo solo di essere in grado di salvare ciò che è. Ora c'è solo una paura: se solo ci fossero abbastanza soldi per il trattamento. Sto solo scherzando. Sono stato in cura per il terzo mese, ho raccolto con cura le ricevute in modo da poter dedurre ulteriormente una detrazione fiscale ... Ma tutto ciò avrebbe potuto essere evitato se avessi consultato un medico molti anni fa ... Ma purtroppo, questo è già impossibile.Quindi risolvi la prima paura. Assicurati che non ci sia alcun dolore e poi, credimi, è già molto più facile e il dentista diventa più caro a tutti nel mondo. Buona fortuna
Purtroppo, ognuno ha modi diversi. L'anestesia locale non ha quasi alcun effetto su di me. Bene, a meno che dopo la decima iniezione, e poi da queste iniezioni per due settimane, l'intera bocca sarà gonfia.
Il mio dente è marcio, il dolore è terribile, attorno al gonfiore sotto ...
Benvenuti! Apparentemente, nel tuo caso stiamo parlando di un processo purulento che può caratterizzare parodontite acuta, periostite, ascessi, ecc. Se ci sono indicazioni per l'estrazione del dente, dovrebbe essere rimosso con urgenza per evitare un'ulteriore progressione dell'infezione negli spazi maxillo-facciali (altrimenti la situazione può peggiorare in modo significativo, fino alla sepsi - avvelenamento del sangue). Se parliamo di parodontite, spesso il dente può essere salvato. È importante consultare un medico in tempo e fare una diagnosi per rimuovere prontamente la fonte di infezione purulenta: questo spesso non significa estrazione dei denti, ma è un trattamento graduale dei canali dentali con successivo riempimento e ripristino del riempimento, o linguetta, corona.
Ciao, due mesi fa mi è stato reinstallato un sigillo in una clinica a pagamento, i miei nervi sono stati rimossi molto tempo fa. Il dottore mi ha messo un sigillo e quando lo ha fatto (a proposito, senza cancellare l'anestesia e mettere un sigillo - lo ha deciso), mi è sembrato di mettere qualcosa che mi ha allargato il dente, e poi ha provato a strizzarlo. Ero così spaventato che sono saltato sulla sedia. A casa ho scoperto che il dente era rotto - leggermente, ma per tutta la lunghezza. Una settimana dopo, apparvero l'odore e il gusto del marciume. Avevo paura di mangiare con questo dente. Dopo altre due settimane, un pezzo di dente è caduto, e a volte al mattino fa male, a volte ci sono stati forti dolori durante la notte. E ora lo prenderò ancora. Non capisco perché sia successo ...
Ho una brutta situazione con tutti i denti, anche se mi lavo due volte al giorno e dopo aver mangiato risciacquo, rimuovo i pezzi. La carie su tutti i denti inferiori, da qualche parte all'esterno dei denti interi è vuota (ho 20 anni).
Benvenuti! A giudicare dalla descrizione, la complicazione era molto probabilmente dovuta al fatto che il medico ha violato le regole del restauro dei denti. O non ha tenuto conto delle indicazioni per il suo restauro - forse era necessario un trattamento ortopedico, ma non di riempimento.
Per quanto riguarda il progressivo decadimento dei denti causato dalla carie all'età di 20 anni: come hai capito, la placca gioca un ruolo chiave nello sviluppo del processo carioso. Di conseguenza, non ti lavi i denti su tutte le superfici. Molto spesso, i denti iniziano a decadere per primi nell'area cervicale, dove si accumula la placca, specialmente sulle superfici di contatto (tra i denti), quando un sacco di cibo penetra negli spazi tra i denti e rimane lì, "marcisce". Anche le superfici masticatorie dei denti, dove sono presenti delle fosse sui denti (fessure), sono interessate da dove il cibo è difficile da pulire.
Non è così difficile pulire gli spazi interdentali: filo interdentale o irrigatore ti aiuteranno. La carie che si è già formata non scomparirà dalla buona igiene: è necessario il trattamento di questi denti e prima è, meglio è. Ma è importante eseguire la prevenzione della carie su denti sani. Raccomando di consultare un dentista di persona su questo argomento - è possibile che nel tuo caso vi siano prerequisiti aggiuntivi per la rapida distruzione dei denti da parte della carie.
E consiglierei una cosa: smettere completamente di mangiare zucchero. Un tempo, solo questo mi ha aiutato. E dal lavarmi i denti era abbastanza piccolo, onestamente.
Recentemente ho riempito un dente (un mese fa), ieri, per puro caso, ho scoperto una crepa verticale nera sul lato. Dovrei andare di nuovo a trattare lo stesso dente? E allora perché il dottore non ha fatto nulla con lei?
Benvenuti! Il fatto è che alcuni dentisti a volte ignorano le piccole pigmentazioni, che possono teoricamente essere solo un punto cariato, o semplicemente non notano le aree problematiche nel processo di disattenzione.
Poiché secondo la tua descrizione non è chiaro cosa sia una "crepa verticale nera" e quanto sia pericolosa la sua presenza per un dente, ti consiglio di contattare nuovamente il tuo dentista (preferibilmente un altro medico). E già allora scopri intenzionalmente se vale la pena fare qualsiasi intervento.
Sì, poiché questi dottori erano conviviali, sono rimasti! Oggi, grazie a loro, ha perso un altro dente e si è appena rotto insieme a un sigillo fotopolimerizzante! Inoltre, la qualità del materiale fotopolimerizzabile è elevata, quasi non si è macinata per circa 7-10 anni di permanenza nel dente. Immediatamente chiaro - borghese, non creato dalle nostre "pinne". Ma, maledizione, il nostro dottore 7 anni fa (non ricordo esattamente, forse sono passati tutti e dieci) quando ho installato questo sigillo, mi sono semplicemente stupidamente ripulito il dente dalla carie! Ed ecco il risultato: durante questi 7-10 anni, il dente è lentamente decaduto dall'interno, senza dolore e impercettibilmente. E alla fine, si è rotto con un sigillo di classe superiore - e ora ho perso il mio prossimo dente a causa dei nostri dottori sciocchi (beh, o piccoli sciocchi)! Inoltre, non ho mai risparmiato soldi per il trattamento dentale e sono sempre andato a medici pagati. Di recente, ho guardato la mia bocca allo specchio e ho visto che quasi tutti i miei denti pieni hanno macchie scure - e questo, la loro madre, questi dottori, significa che tutti, con poche eccezioni, non hanno pulito bene la cavità del dente prima di installare le otturazioni!
Benvenuti! Se stiamo parlando di oscuramento dei denti "vivi", allora sì, il processo cariato può anche svilupparsi sotto un sigillo mal installato.
Inoltre c'è ancora un momento del genere (più comune): dopo la depulpazione, il dente stesso può scurirsi + diventa fragile, perché i suoi tessuti non ricevono più nutrimento. Ecco perché l'opzione migliore per lavorare con denti depressi con pareti sottili è il restauro usando le linguette + corone, piuttosto che riempire con fotopolimeri, anche con perni. Lascia che sia un'opzione più costosa, ma con le prestazioni di alta qualità delle manipolazioni sulla parte tecnica, il dente può essere salvato per 15 anni o più.
Buon pomeriggio Strisce scure sui denti: dovrebbero essere trattate o è un "capriccio paziente"? Il dottore non ha detto nulla ... stavo trattando due denti, ha detto che non c'erano più buchi))
Benvenuti! Se si tratta di carie, è sicuramente necessario trattare i denti. Se la pigmentazione o la lesione non cariosa, decidi a tua discrezione, poiché la decisione (o non la soluzione) dei problemi estetici dipende in gran parte dalla persona stessa. Contatta un altro dentista e per sapere con certezza, puoi ottenere 2-3 opinioni indipendenti, che daranno ulteriore fiducia in ulteriori azioni.
Ciao, ho 11 anni. Un mal di denti, ho deciso di leggere. Di sera, il dente non fa molto male. Quindi l'ho letto ed è spaventoso andare dal dentista. Ma non voglio perdere i denti.
Benvenuti! Oggi, quasi tutte le procedure vengono eseguite in anestesia. Cioè, il trattamento nella maggior parte dell'odontoiatria è indolore. L'unica difficoltà è trovare un buon dentista con attrezzature di qualità. Ma il modo migliore è andare dal medico che i tuoi parenti, amici e conoscenti stanno cercando, felice del suo lavoro. È in questo modo che puoi trovare il tuo dentista, fare amicizia con lui, dal momento che dovrai fare domanda per una lunga vita regolarmente con situazioni diverse - questo aiuterà a mantenere i denti in età avanzata.Consiglio di farlo al più presto, poiché alla tua età i denti sono quasi sempre permanenti e con dolori regolari possiamo parlare di complicanze della carie, che è spesso uno dei motivi dell'estrazione dei denti.
In alcune cliniche, eseguono questa procedura - prima del trattamento, inalate una certa quantità di "gas che ride" attraverso la maschera e vi sentite così bene e tranquilli che non avrete paura di nulla. La cosa principale, ovviamente, è che non hai controindicazioni, ma è il medico che decide dopo l'esame, in base allo stato di salute e alla presenza di alcune altre malattie.
Ciao, e con quali mezzi puoi uccidere i batteri che causano la carie? Ad esempio, mi sciacquo la bocca con acqua e sale o soda, o perossido di idrogeno diluito in acqua o furatsilinom. Il risciacquo della bocca uccide i batteri o no?
Benvenuti! Questi metodi sono praticamente inefficaci, poiché è scientificamente provato che la carie dentaria si verifica sotto la placca, che richiede una pulizia meccanica. Gli antisettici possono sopprimere parzialmente l'attività dei batteri nella cavità orale, ma sotto una placca densa, non sarà possibile distruggere tutti i batteri. La placca deve essere “spostata” con uno spazzolino da denti e le superfici di contatto dei denti richiedono particolare attenzione: l'uso del filo interdentale o dell'irrigatore. Il perossido di idrogeno è un agente aggressivo ed è solo per uso professionale, poiché può causare ustioni alle mucose se usato in modo improprio.
Per garantire una prevenzione davvero efficace della carie, dovresti prima consultare un dentista e condurre un'igiene orale professionale (pulizia da pietre e placca), quindi a casa, mantenere un alto livello di igiene con uno spazzolino e un dentifricio, che il dentista sceglierà in base a problemi esistenti. Se con le gengive, quindi rimuovere il processo infiammatorio delle gengive; se con focolai cariati, quindi dopo il trattamento della carie - terapeutico e profilattico con fluoro; in caso di denti sensibili o abrasione a smalto - pasta, con un contenuto ridotto di abrasivi ("per denti sensibili"). E il fatto che ti sia risciacquato la bocca sopprime parzialmente la microflora, ma spesso fa più male che aiuta a risolvere i problemi.
Compra una bacchetta Sivak ... Uccide i batteri, entro 2 ore se ne sono andati.
Un sigillo volò fuori e sotto il sigillo tutto era nero. E la parete del dente è allentata, ma non c'è dolore. Su alcuni denti da un lato ci sono punti neri e in gran numero. Cosa fare al riguardo?
Benvenuti! Con un alto grado di probabilità, una carie ricadde sotto il riempimento, cioè ci sono tessuti cariati. Quasi sempre, la frattura del muro è associata al fatto che il dente è "morto" e ha una forte distruzione cariata. Se il dente era stato precedentemente depulso, è necessaria un'immagine per diagnosticare un possibile processo infiammatorio e la qualità del riempimento dei canali. Se il dente è "vivo", spesso è sufficiente controllare il grado di carie per decidere se rimuovere il "nervo" o meno. Spesso, il medico è propenso a rimuovere il nervo e, poiché sei già stato trattato per la carie, una seconda volta per riempire un sigillo senza trattare i canali potrebbe non essere più possibile.
Sui denti rimanenti, sono quasi sicuro che ci siano anche lesioni cariose, poiché i punti neri di cui scrivi solitamente indicano esattamente questo (molto meno spesso, macchie pigmentate). Sono sicuro che hai bisogno di un trattamento urgente della carie, ma le tattiche del trattamento saranno determinate solo dal medico dopo aver effettuato le misure diagnostiche.
Buon pomeriggio Volevo chiedere, Ultracain è davvero così bravo?
Ciao Victor! L'ultracaina in odontoiatria viene utilizzata in una varietà di procedure, compresi interventi chirurgici (il farmaco ha davvero un alto livello di analgesia grazie alla sua composizione). Tuttavia, non importa quanto sia sicuro questo anestetico, rispetto agli analoghi, ha ancora le sue controindicazioni. Pertanto, se hai intolleranza a determinati farmaci, dovresti assolutamente avvisare il tuo medico in anticipo.
Ciao Il dente con il sigillo è crollato e si è oscurato in un mese. Ora il dente ha iniziato a ferire e la gomma era infiammata. Due lati di un dente vengono distrutti, mentre il terzo inizia anche il processo di distruzione. Il fatto è che sono incinta di 9 mesi. Non so cosa fare ...
Ciao Elena! Nel 3 ° trimestre, lo stress aggiuntivo nell'ufficio del dentista è estremamente indesiderabile. Se possibile, è meglio rimandare il trattamento dentale per il periodo di allattamento (alimentazione). Tuttavia, ciò non si applica ai casi di emergenza, ad esempio mal di denti acuto. Quindi, se il dente è molto dolorante, è comunque necessario contattare il dentista per la diagnosi e il successivo trattamento del dente.