
La carie lanciata è una patologia complessa del danno ai denti derivante dall'intensa demineralizzazione dello smalto dei denti. Questa malattia ha altri nomi: il termine "carie multiple" è spesso usato nella pratica medica, ma anche altri sono applicabili: "fioritura", "generalizzata", "acuta", "sistemica".
In questa forma di malattia, il danno da 5 a 20 denti è caratteristico, inoltre, in un dente ci sono spesso più cavità cariate contemporaneamente. Non esiste una valutazione inequivocabile del numero di denti colpiti per la diagnosi di più forme di carie. Di norma, la diagnosi corrispondente alla carie generalizzata viene effettuata per i bambini con una CPU di 5 o più denti e per gli adulti con una CPU di 6 o più denti.

nota
L'indice KPU è definito come la somma delle superfici dei denti che hanno formazioni cariate che vengono sigillate e rimosse.
La carie generalizzata è una malattia acuta caratterizzata da uno sviluppo intenso. Può provocare gravi malattie infettive, malattie respiratorie croniche e immunità indebolita.
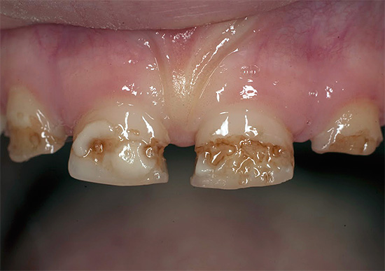
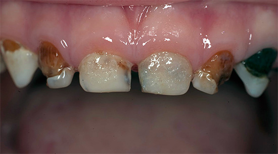
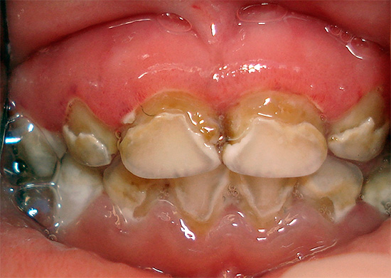
Oggi, a causa della popolarità della cura orale e della disponibilità di servizi dentali, la malattia è diventata meno comune, ma il problema è ancora rilevante nelle aree rurali e nei bambini in età scolare, quando quasi tutti i denti di un bambino sono affetti da carie (vedi l'esempio nella foto), e i genitori non sanno cosa fare in una situazione del genere.

È importante tenere presente che questo problema richiede l'atteggiamento più attento, poiché la carie avanzata può causare la perdita dell'intera dentatura.
Sintomi e manifestazioni cliniche della carie generalizzata
La carie generalizzata è pericolosa perché si sviluppa in modo estremamente rapido. A volte la maggior parte dei denti viene colpita entro un anno.
I sintomi della malattia sono evidenti e possono essere rilevati dai pazienti da soli. Un esame visivo della carie del cavo orale si trova su quasi tutti i denti e spesso ci sono diverse lesioni in ogni dente. Inoltre, la malattia è accompagnata da dolore, c'è l'alitosi.

Manifestazioni cliniche caratteristiche della carie multipla:
- danno simultaneo a un gran numero di denti;
- leggero danno allo smalto insieme a un'estesa distruzione della dentina;
- la formazione di cavità su diverse superfici di un dente;
- la comparsa di lesioni anche nelle zone immunitarie e nei denti più resistenti al danno carioso: incisivi e zanne;
- dolore durante il contatto con cibi acidi e dolci;
- la presenza di una reazione agli stimoli della temperatura;
- formazione rapida della placca;
- aumento della viscosità della saliva;
- riduzione delle IgA secretorie;
- suono doloroso a causa della mancanza di sostituzione della dentina;
- la presenza di lesioni in diverse fasi dello sviluppo - dalla carie iniziale "bianca" alla parodontite avanzata.
Nei pazienti con carie multiple, la saliva è scarsa e molto viscosa. Non si pulisce bene i denti, il che aggrava ulteriormente la situazione.
È importante:
Il fluido orale (saliva) agisce come detergente naturale per la cavità orale. Inoltre, è anche chiamato "smalto liquido", poiché il ritorno degli oligoelementi persi necessari per la formazione della struttura dello smalto avviene proprio a causa della saliva. Una salivazione sufficiente con una composizione minerale di alta qualità consente di tornare alla massima quantità di minerali persi (fluoro, calcio, fosforo, ecc.).Questa è solo una delle spiegazioni secondo cui alcune persone potrebbero non prendersi completamente cura dei propri denti e quelle, stranamente, non collassano o collassano molto lentamente e leggermente.

In caso di carie generalizzata, le otturazioni cadono rapidamente dai denti curati, spesso ciò accade 1-2 mesi dopo la loro installazione. Questa situazione è spiegata dal fatto che la carie progredisce sotto le otturazioni, causando ammorbidimento dei tessuti e indebolimento della fissazione delle otturazioni.
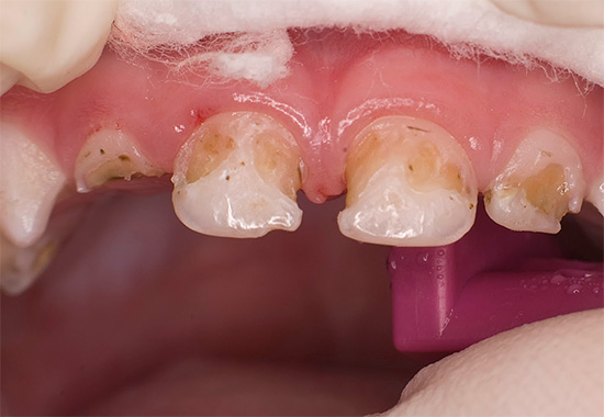
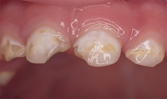
Oltre al fatto che la carie è pericolosa per la salute, provoca dolore e limita la scelta del cibo, è anche un grave problema estetico. La foto sotto mostra un esempio di carie generalizzata:

Una malattia può portare allo sviluppo di complessi: una persona inizia a sorridere meno spesso, sente insicurezza e disagio costanti, smette di sentirsi attraente e si chiude. Ciò è particolarmente pericoloso se diventa la norma durante l'infanzia.
Perché questa malattia si sviluppa?
Graficamente, le cause della carie sono spesso rappresentate sotto forma di un "trifoglio di Casey" - un simbolo costituito da tre cerchi che si sovrappongono reciprocamente al centro. Questa immagine fornisce una comprensione del fatto che la carie dentaria appare quando tre condizioni coincidono:
- la microflora cariogena si sviluppa sulla superficie dei denti, la cui secrezione acida distrugge il tessuto dentale;
- nella cavità orale, il più delle volte ci sono carboidrati digeribili che servono da cibo per i batteri;
- per vari motivi - da genetici a patologici - si sviluppa una bassa resistenza allo smalto.
Tutti questi fattori contribuiscono attivamente allo sviluppo della carie multipla.
Di recente, il trifoglio è spesso integrato con un quarto cerchio, che simboleggia la durata dell'interazione.

I fattori comuni che influenzano lo sviluppo della carie sono:
- composizione chimica dell'acqua potabile;
- dieta;
- situazione ambientale;
- ereditarietà;
- malattie somatiche;
- igiene orale inadeguata (violazione delle norme igieniche).
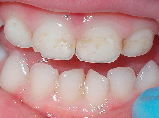
La causa dello sviluppo di carie multiple nella maggior parte dei casi è lo stato generale insoddisfacente del corpo del paziente. Vale la pena notare che abbastanza spesso questa malattia si verifica nei bambini.
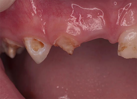
La foto sotto mostra un altro esempio di corsa carie dei denti decidui in un bambino:


Molto spesso, questa situazione si osserva nei bambini che hanno avuto malattie infettive acute, soffrono di varie malattie croniche e hanno difetti cardiaci congeniti.
Un'alta prevalenza di carie generalizzata si osserva nei bambini con tonsillite, scarlattina, che soffrono di reumatismi cronici, glomerulonefrite, malattia di Little, sindrome di Down e malattia del marmo.
La carie grave è anche caratteristica dei bambini con tubercolosi e con immunità generalmente debole. Si trova quasi sempre nelle persone con infezione da HIV. I disturbi endocrini e il diabete mellito sono spesso anche le cause della carie acuta.
Anche gli adolescenti sono a rischio, poiché durante un adattamento ormonale questa malattia spesso progredisce.
Risultati del sondaggio:
Le indagini condotte dagli studenti nelle scuole in Russia mostrano che più un bambino soffre di malattie infettive, più denti ha che soffrono di carie. Spesso nei bambini con carie in fiore vengono rilevate tonsillite cronica e adenoidi. Molti pazienti esaminati hanno una funzionalità epatica antitossica depressa. Quasi sempre, la malattia è associata a malattie del sistema nervoso centrale o del sistema endocrino.

Cosa succede se tutti i denti sono in carie? Prima di tutto, devi contattare il dentista e il pediatra e potresti anche aver bisogno dell'aiuto di un endocrinologo e immunologo. La carie multipla è una malattia grave e pericolosa, pertanto è necessario affrontare il trattamento in modo responsabile e non iniziare la patologia con conseguenze irreversibili.
Non solo i bambini soffrono di carie in fiore, la malattia può anche svilupparsi in un adulto. Spesso ciò si verifica a causa della cessazione del funzionamento delle ghiandole salivari, ad esempio a seguito della radioterapia del cancro. La malattia è così distruttiva che a volte porta alla distruzione della corona dei singoli denti entro poche settimane dopo l'inizio dello sviluppo.

Vi è il rischio di danni alle persone che soffrono di malattie gastroduodenali, malattie neuro-somatiche croniche, nonché a coloro che hanno subito infezioni acute.
Trattamento di carie multiple
Il trattamento più precoce possibile della carie multipla è estremamente necessario, indipendentemente dal fatto che i denti da latte del bambino siano interessati o permanenti in un adulto. Inoltre, non pensare che i denti cadranno e il problema scomparirà da solo.
Cosa dovrebbero fare i genitori? Prima di tutto, devi andare alla clinica dentale, i cui specialisti tratteranno i denti colpiti e indirizzeranno il paziente per un ulteriore esame da parte di altri medici.

Il trattamento locale prevede:
- condurre la preparazione con anestesia;
- rimozione della dentina danneggiata;
- la formazione di cavità e il loro trattamento con un antisettico;
- argentatura dei singoli denti;

- l'uso di farmaci che stimolano la produzione di dentina sostitutiva nel dente.
In casi particolarmente avanzati, è richiesta la depulpazione, l'installazione di corone o persino l'estrazione di denti con protesi successive.
Per eliminare efficacemente la carie avanzata, dovrai anche identificare e curare la malattia che ha causato il suo sviluppo. Spesso viene eseguita una visita medica del paziente, durante la quale viene prescritta una terapia di rafforzamento generale, fisioterapia, vitamine e una dieta specializzata.
Per ripristinare l'equilibrio fosforo-calcio e rafforzare il sistema immunitario, al paziente vengono prescritti preparati di calcio, fosforo, fluoro e ferro, nonché vitamine A, B, C, D. Di solito, il trattamento dura diversi mesi, a causa della lenta normalizzazione del metabolismo minerale.
La dieta è sviluppata individualmente per ciascun paziente, tenendo conto delle cause e della natura del decorso della malattia. Include necessariamente cibi ricchi di proteine, vitamine e sali minerali.
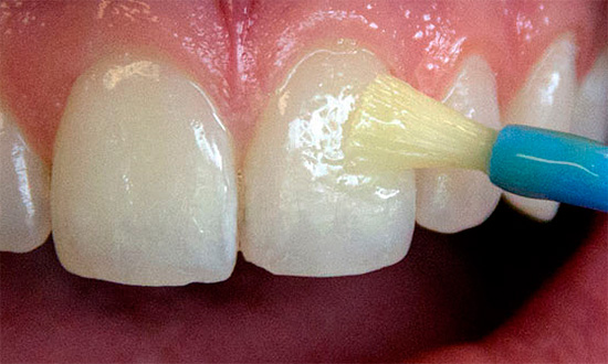
Le procedure fisioterapiche sono molto efficaci in caso di carie generalizzate: calcinazione e fluorizzazione dei denti con l'aiuto di preparazioni speciali e (o) elettroforesi.

nota
I bambini che hanno avuto o hanno attualmente focolai di carie multiple sono necessariamente registrati nel dispensario e sotto controllo. Bonifica (trattamento complesso) danni ai denti cariati accompagnato dall'attuazione di misure terapeutiche e preventive:
- Igiene orale professionale (pulizia del tartaro e della placca).
- Formazione sull'igiene orale dei genitori del bambino, del bambino stesso con spazzolatura controllata, controllo della spazzolatura durante il periodo prescritto dal dentista pediatrico.
- Mineralizzazione dei denti nella poltrona del dentista con preparazioni di calcio e fluoruro con possibili opzioni per combinare le tecniche per ottenere i migliori risultati in ciascun caso (ad esempio, il farmaco "Fluftored" per la fluorurazione profonda).
- Trattamento dei processi infiammatori nella gomma che circonda i denti. Sfortunatamente, con una condizione insoddisfacente della cavità orale, ci sono lesioni locali o generalizzate dei tessuti parodontali (ad esempio, gengivite). Se il processo infiammatorio nella gomma viene lasciato incustodito, un'infezione multipla nei tessuti provoca la carie. È facile da capire: se la gengiva è gonfia e dolorosa, sanguina facilmente quando viene toccata, né i genitori né il bambino saranno in grado di seguire le istruzioni del dentista per eseguire le tecniche corrette per la pulizia delle superfici dei denti, in particolare nella regione cervicale,dove il più alto rischio di formazione o progressione della carie è dovuto alla presenza di una placca morbida.
Misure preventive di base
La prevenzione della carie generalizzata ha lo scopo di migliorare la salute generale del paziente e aumentare la resistenza dei denti allo sviluppo di questa malattia.

Importanti misure preventive sono:
- una dieta equilibrata, a base di latticini e piatti ricchi di vitamine;
- l'uso di carboidrati facilmente digeribili in quantità limitata;
- trattamento tempestivo delle malattie somatiche;
- igiene orale completa almeno due volte al giorno;
- l'uso di paste appositamente progettate per combattere la carie;
- sostituzione regolare dello spazzolino da denti.
Questo è il minimo, la cui attuazione aiuterà a mantenere la salute e un bel sorriso per lungo tempo. È anche importante sottoporsi a un esame regolare in studio dentistico e anche se i denti sembrano completamente sani.
Video interessante: viene mostrato come la carie si sviluppa dalla superficie alla radice del dente
Carie: cosa causa la carie dei denti
Un esempio del trattamento della carie con un trapano


Mi fa male la carie, ma non fa molto male, è tollerabile. Sto pensando se sigillarlo o no, o lasciarlo ancora così? Potrebbe essere che dopo il trattamento si ammalerà ancora di più?
Certamente un piacere. Quindi sarà troppo tardi.
Se c'è carie e ti dà fastidio, allora DEVI trattare. Certo, dipende dal decorso della malattia (carie acuta o cronica), ma sicuramente non vale la pena andarsene. Possono verificarsi complicazioni, come la polpite, ad esempio, quando si desidera scalare un muro dal dolore. La pulpite sarà seguita da periodio - e quindi da periodontite, che porteranno sicuramente nuovi colori e molte sensazioni indimenticabili nella tua vita. In ogni caso, devi andare all'appuntamento dal dentista, ti dirà cosa fare nella tua situazione. È meglio andare da un dentista di fiducia, come al giorno d'oggi ci sono abbastanza "specialisti" che possono peggiorare le cose.
Buona fortuna, non ritardare il trattamento! Non aver paura del dottore, non ha meno paura di te 😉
Certo che meraviglia! Oggi sono andato dal dentista, ho un buco nel dente. Carie. Ne ero guarito, ora il dente non fa affatto male, dall'iniezione rimane solo un po 'di dolore. Guarisci presto, buona fortuna!
Mio figlio ha 2 anni. Da un anno corro in giro per tutti i dentisti, ma dicono ovunque: aspettate che finiscano. E iniziò con la comparsa di un granello sul dente superiore. Poi c'era un chip sullo stesso dente. E poi andava e veniva, tutti i denti vicini cominciavano a essere colpiti dalla carie. Alla fine, ora abbiamo una fase di corsa. Ovunque scrivono che è necessario trattare, ma dove? Solo a Mosca? Sfortunatamente, non ho questa opportunità. Dimmi dove posso andare? Viviamo in Armenia.
Come va Hai curato i denti di un bambino?