
La capacità di provare dolore è vitale per ogni persona - è un segnale d'azione, che indica che qualcosa è andato storto nel corpo. Di norma, l'aspetto spontaneo del dolore è una sorta di indicatore di cambiamenti indesiderati nel corpo e la sua intensità determina la gravità di questi cambiamenti. E il mal di denti qui non è un'eccezione alla regola: deve essere percepito esattamente come un segnale per un'azione immediata, quindi è utile per ogni persona sapere cosa fare quando un dente fa davvero male.
In generale, un dente può iniziare a fare male per vari motivi: a causa di carie, pulpite, parodontite, periostite, ecc. Spesso anche la malattia delle gengive provoca mal di denti. L'esempio più eclatante è la difficoltà di dentizione quando la gomma si infiamma e si gonfia così tanto che il dolore si irradia ai denti vicini e talvolta persino all'orecchio o alla gola.

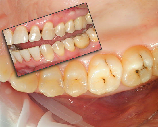
Le malattie dentali di origine cariata e non cariata determinano anche la diversa natura del dolore. Quindi per esempio i dolori più gravi si verificano più spesso a causa di cambiamenti strutturali nei tessuti molli all'interno del dente: la polpa.
La polpa è un fascio neurovascolare costituito da un numero enorme di cellule nervose. Con l'infiammazione e la distruzione di questo tessuto, può verificarsi dolore acuto e grave che letteralmente una persona non riesce a trovare un posto per sé.

Sfortunatamente, non tutti prendono la decisione giusta su cosa dovrebbero fare quando si verifica un mal di denti: qualcuno aspetta fino all'ultimo e soffre, qualcuno ingoia le pillole nella speranza che tutto si "risolva" da solo. Ci sono molti casi in cui le persone aspettano irragionevolmente un dente del giudizio, anche se un'attesa del genere su uno sfondo di grave infiammazione può essere molto pericolosa dal punto di vista dello sviluppo di gravi complicazioni.
Cosa devo fare se la mia testa inizia a farmi molto male dal mal di denti?
Infatti, il mal di denti a volte può dare alla testa, provocando in tal modo un'emicrania grave. Tipicamente, tali dolori sono di natura "sparatoria" a breve termine. Tuttavia, con i denti del giudizio in crescita "storti", che a causa della posizione impropria nella gomma danneggiano le radici dei denti vicini durante la loro crescita, il mal di testa può essere costante, diventando cronico. In tali casi, il dente del giudizio che lo provoca dovrebbe essere eliminato il più presto possibile, dopo di che il mal di testa passa rapidamente.
A volte un mal di testa può essere associato alla presenza di carie profonde in un dente. Non appena il dente viene trattato correttamente, il mal di testa passerà.

Possibili cause di mal di denti
Supponi di avere un mal di denti e non sai cosa fare: o soffri un paio di giorni, nella speranza che il dolore stesso scompaia, o è meglio prendere immediatamente un appuntamento con il dentista ... Pertanto, parliamo delle possibili cause alla radice del mal di denti e meccanismi del suo aspetto, la cui comprensione aiuterà a prendere la decisione giusta in diverse situazioni.
Quindi, cominciamo con il dolore, che sono segni caratteristici della carie. Già con le forme iniziali di carie, può apparire una sensazione di indolenzimento e una maggiore sensibilità dei fuochi di demineralizzazione dello smalto (cioè aree di smalto con componenti minerali parzialmente lavati). In questa fase, per prevenire un'ulteriore distruzione dei tessuti duri, è necessario prendere un ciclo di terapia rimineralizzante il più presto possibile (almeno, utilizzare dentifrici rimineralizzanti).

Tuttavia, il dolore severo può apparire solo quando la distruzione cariata raggiunge il confine smalto-dentina - in questo caso, i tessuti dei denti sono sensibili a varie sostanze irritanti (freddo, dolce, ecc.). In tali situazioni, per sbarazzarsi rapidamente delle sensazioni spiacevoli, è sufficiente eliminare semplicemente l'irritante e il dolore passerà immediatamente. Tuttavia, ovviamente, per un trattamento completo senza sigillo non sarà più sufficiente.
Il dolore nella carie media e profonda si verifica a causa del fatto che lo strato di dentina è penetrato da molti tubuli dentinali che alimentano il dente e ne determinano la sensibilità (e hanno anche una certa connessione con il "nervo" dentale). Quando lo strato di dentina viene distrutto, appare qualcosa come una "ferita" di dentina, che risponde all'azione degli stimoli.

Domanda al dentista: "Perché il dente fa male sotto il vecchio riempimento, e cosa si dovrebbe fare in questa situazione?"
Se il sigillo è stato consegnato più di 5-7 anni fa, è possibile un significativo restringimento (pressatura) del sigillo. Allo stesso tempo, la sua aderenza ai bordi del dente è disturbata, quindi, con una polpa "viva", a volte sente dolorosamente irritante (freddo, caldo).
Un dente che è stato a lungo sigillato nei canali con un riempimento sigillato di alta qualità di solito non dà fastidio se non si sono verificati errori durante il trattamento. Se il vecchio sigillo cessa di soddisfare i requisiti di tenuta, o addirittura vola in pezzi, allora un dente morto inizia a ferire a causa dell'infezione nei canali già sigillati. Inoltre, durante il trattamento potrebbero essere commessi errori: un canale sigillato in modo incompleto con un'infezione rimasta al suo interno, uno strumento dentale rotto nel canale, ecc. Tutto ciò può anche causare infiammazione alla radice del dente e dolore nel tempo.
In ogni caso, se c'è un dolore al dente sotto un vecchio riempimento, dovresti consultare immediatamente un dentista, poiché questo è un segno sicuro dello sviluppo di processi patologici.

Ora vediamo cosa fare con il mal di denti con la pulpite.
Nella pulpite acuta, il fascio neurovascolare all'interno del dente subisce cambiamenti catastrofici. L'infiammazione dovuta all'azione dei microbi e delle loro tossine sul tessuto vivente del "nervo" provoca edema e graduale necrosi.
Non è difficile da immaginare: la polpa inizia gradualmente a "gonfiarsi", aumentando di dimensioni, e quando la camera della polpa non viene aperta, preme fortemente contro le pareti interne. Le terminazioni nervose sono compresse e si verifica dolore acuto, che può essere alleviato solo da forti antidolorifici.
Pertanto, nella maggior parte dei casi con pulpite, sarà richiesto un trattamento canalare, cioè un semplice riempimento non sarà sufficiente qui.


Questo è interessante: perché a volte dopo aver installato l'arsenico in un dente c'è un forte dolore e cosa si dovrebbe fare per evitare che ciò accada?
I medici della vecchia scuola continuano ancora a mettere pasta di arsenico e tra la gente compaiono leggende e miti su un terribile mostro dentale di nome Arsenico. Se completi correttamente tutte le fasi della pasta e resisti al tempo necessario trascorso nel dente, non ci sarà alcun effetto tossico diretto (negativo) che porta a un forte mal di denti.
Tuttavia, in pratica, è difficile controllare il processo di ricerca della sostanza nel dente da un orologio, soprattutto perché anche il dosaggio della pasta è molto arbitrario (testa a sfera n. 1). Molti dentisti si chiedono ancora, anche se hanno visto o conoscono le dimensioni di questa testa, quanto sia realistico determinare il suo volume per ogni singolo paziente e il suo dente.
Uno studio condotto da scienziati sugli effetti dell'acido arsenico sui tessuti intorno alla radice ha rivelato i rischi di gravi processi infiammatori, comprese le cisti, che spesso portano all'estrazione dei denti. È per queste molte ragioni che è più facile abbandonare l'arsenico, anche in odontoiatria economica.
Inoltre, a volte per errore, la pasta viene installata su una camera di polpa non aperta. Di conseguenza, il composto contenente arsenico attraverso lo strato di dentina sinistra non può uccidere rapidamente il “nervo” del dente, tuttavia, a causa dei tubuli dentinali, lo irrita attivamente, causando un forte mal di denti. Cosa fare in una situazione del genere? - rivolgersi al proprio medico il più presto possibile per un appuntamento, senza attendere il tempo da lui prescritto.
Rimedi popolari contro il mal di denti e in quali casi possono essere utilizzati
Cosa fare se un mal di denti viene colto di sorpresa, ad esempio durante un viaggio d'affari o durante le lunghe vacanze? Se non è possibile vedere un dentista nel prossimo futuro, puoi temporaneamente aiutarti.
I metodi tradizionali per sbarazzarsi del mal di denti sono noti da molto tempo. Sfortunatamente, non tutti sono ugualmente efficaci, ma in alcuni casi possono fornire qualche effetto.
Uno dei rimedi popolari è sciacquare la bocca con un caldo brodo di salvia. Un cucchiaio di salvia dovrebbe essere versato in un bicchiere di acqua bollente e insistere per un'ora. Risciacquare con una soluzione ogni 10-15 minuti.

L'effetto antinfiammatorio della salvia è noto da molto tempo. Può anche essere usato nei casi in cui la gomma è gonfia, è apparso un flusso e anche quando un dente del giudizio esplode e il dolore si diffonde lungo i rami di un nervo nell'orecchio, nel tempio o nella nuca. Durante il risciacquo, è importante utilizzare una soluzione calda, quasi calda e tenerla vicino a un dente o una gomma malati per migliorare l'effetto terapeutico.
nota
I risciacqui possono essere eseguiti con il tè, se solo il riscaldamento è passato dall'interno. È impossibile scaldare un dente fuori! Ci sono stati momenti in cui la notte prima di un incontro con il dentista, le persone si scaldavano un dente cattivo, usando una batteria di riscaldamento o una bottiglia di acqua calda come cuscinetto riscaldante. Quando, dopo tale procedura, la guancia è stata gonfiata durante la notte a dimensioni incredibili, solo i chirurghi maxillo-facciali potevano aiutare.
Ce ne sono tra ricette per mal di denti infernale e questo: devi mettere un pezzo di propoli sul dente o nella cavità, chiudere la bocca e tenerlo premuto per 15-20 minuti. Si ritiene che il dolore arrivi nei primi minuti dell'azione di questa medicina popolare, nota ai nostri antenati. Tuttavia, in pratica, questa tecnica aiuta solo in casi molto rari.

Alcuni metodi popolari più divertenti per alleviare il mal di denti:
- Squat. È stato osservato che l'attività fisica attiva migliora la circolazione sanguigna e aiuta ad alleviare il dolore. In pratica, gli squat non aiuteranno in ogni caso.
- Attacca l'aglio al polso. Nella letteratura appropriata, si consiglia di fissare saldamente la pasta dall'aglio fresco al polso, che si trova di fronte al dente malato, con un cerotto. Per evitare scottature, metti una benda o un panno denso sotto l'aglio. In pratica, il metodo è inefficace.
- Riscalda i piedi in acqua calda. Questa procedura non è solo una manovra che distrae dal dolore. Con l'aumento della circolazione sanguigna nel corpo durante la procedura di cottura a vapore delle gambe, il metabolismo migliora e le tossine vengono rimosse più rapidamente dalla polpa del dente: è necessario abbassare le gambe in acqua calda e mantenerle per almeno 15 minuti. Quindi dovresti indossare calze calde e andare a letto. In alcuni casi, questo metodo dà davvero effetto.
Il modo più semplice ed efficace per eliminare il mal di denti a casa è, forse, i risciacqui caldi con una soluzione di soda e sale. È importante solo sciacquare con una soluzione quasi calda e molto spesso, circa una volta ogni 10-15 minuti, ripetere la procedura per 1-2 ore.

Medicina del mal di denti: il tuo kit di pronto soccorso
Ora vediamo cosa si può fare quando ci sono antidolorifici a portata di mano.
Uno dei più popolari antidolorifici tra la popolazione sono i seguenti:
- Nise;
- Nurofen;
- Pentalgin;
- Ketanov;
- Analgin;
E alcuni altri
Il più potente di questi farmaci è Ketanov (ha anche analoghi: Ketorol, Ketorolac). Ma Analgin è meglio non usare: è stato a lungo vietato in molti paesi sviluppati a causa dei suoi effetti collaterali.

Cosa fare se il molare rimane e fa male?
La mobilità dei denti può verificarsi per vari motivi, ma molto spesso è una conseguenza della parodontite - infiammazione delle gengive con compromissione dell'attacco gengivale. In questo caso, per ridurre il dolore delle gengive, puoi assumere gel che alleviano l'infiammazione e (o) anestetizzano le gengive con la crescita dei denti da latte nei bambini. Tali fondi comprendono, ad esempio, Kamistad, Holisal, Kalgel, Solokoseril, ecc.Questi gel a volte non durano a lungo (30-40 minuti), ma questo è sufficiente per guadagnare tempo e cercare un aiuto professionale da un dentista.
Cosa farebbe un dentista?
Per un aiuto professionale con un mal di denti, consultare il proprio dentista. Diamo un'occhiata ad alcuni casi clinici e opzioni per un trattamento adeguato.
Cosa aspettarsi dal dentista se il dente fa male a causa della carie carie? ..
Se il dente fa male solo dall'azione di stimoli esterni (freddo, dolce, caldo, acido) e la polpa al suo interno non è influenzata dal processo infiammatorio, il medico pulirà la cavità cariata con o senza anestesia, risciacquare con antisettici e riempirlo. Tale dente viene di solito trattato in una visita.

Cosa farà il dottore se il dolore ai denti è dovuto alla pulpite?
Se, ad esempio, a causa della carie profonda, il "nervo" del dente è stato infettato, il medico tratterà tale dente in una o più visite. Innanzitutto, l'anestesia viene eseguita, una camera di polpa viene aperta con un trapano, il "nervo" viene rimosso, i canali all'interno della radice vengono puliti, lavati, sigillati e un riempimento viene posizionato sulla parte superiore del dente.

Se il mal di denti grave è associato alla parodontite ...
Con l'infiammazione alla radice, si sviluppa la parodontite. Allo stesso tempo, la polpa morta o i suoi resti si trovano nei canali del dente e il contenuto purulento del canale nella forma acuta della malattia si precipita verso le gengive, che provoca un forte dolore al dente, che non può nemmeno essere toccato.
La fornitura di cure di emergenza per la parodontite acuta è un compito importante per il dentista. Per fare questo, il medico apre il canale e lo lascia aperto per il pus, prescrivendo la soda e i risciacqui di sale. Una tecnica per il trattamento e il riempimento dei canali in una sola visita è possibile: per questo è importante creare una sterilità ideale nei canali, sigillarli in modo sicuro e, se indicato, prescrivere antibiotici.

Cosa fare se un dente del giudizio fa male e la gomma si gonfia vicino ad esso?
Se il dente del giudizio è difficile da denti, c'è un forte dolore alle gengive (sotto il cosiddetto cappuccio gengivale), che può diffondersi alla mascella, alla guancia, alla gola, all'orecchio. Il risciacquo domiciliare può alleviare questo dolore solo per un po ', ma non risolve il problema, quindi è necessario andare in clinica: il chirurgo maxillo-facciale o il dentista di solito viene in soccorso.
Studi moderni hanno dimostrato che l'escissione del cappuccio gengivale porta solo un benessere temporaneo e può portare a gravi complicazioni (flemmone, sepsi), fino alla morte. L'unico modo per prevenire qualsiasi rischio e salvare una persona dal dolore è rimuovere il dente del giudizio problematico.

Perché un dente morto può ferire?
Un dente viene chiamato morto se non contiene polpa (è morto o è stato rimosso). Sembrerebbe, perché poi ammalarsi - dopo tutto, il "nervo" dentale non è più in grado di svolgere la sua funzione ...
Con la parodontite, il "nervo" muore davvero: tuttavia, inizia a decomporsi proprio qui. Il pus si precipita alla radice del dente, la radice del tessuto circostante diventa infiammata e gonfia, causando mal di denti terribile.
C'è un'altra situazione. Dopo il trattamento dei canali, il dente è considerato "morto" e non dovrebbe ferire normalmente. In alcuni casi, un po ' mal di denti dopo aver riempito i canali, che si chiama post-sigillatura. Di solito dura non più di 1-2 settimane e ha una tendenza obbligatoria a diminuire ogni giorno.

Altrimenti, un forte dolore che non passa dopo il trattamento del canale, gonfiore delle gengive, arrossamento, febbre e benessere generale indicano un problema serio: in questa situazione, è necessario consultare nuovamente un medico.
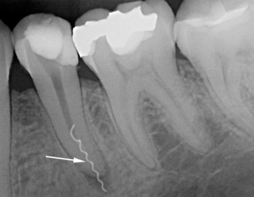
Le complicazioni durante e dopo il trattamento dei canali sono spesso provocate dal dentista a causa della scarsa formazione, mancanza di esperienza o attrezzature e materiali nella clinica. Molto spesso, il dolore dopo aver riempito i canali si verifica per i seguenti motivi:
- con eccessiva rimozione di materiale di riempimento oltre la radice;
- quando si salta un canale o canali in un dente;
- con scarsa elaborazione del canale;
- a causa di violazioni durante il passaggio e l'espansione di strumenti intra-canale;
- a causa del riempimento scadente;
- a causa di allergie al materiale di riempimento;
E altri

Nella maggior parte dei casi clinici, dopo aver eliminato l'errore commesso durante il trattamento, il dolore al dente o alla gomma circostante scompare rapidamente.
In quali casi potresti dover separarti da un dente?
Come accennato in precedenza, la difficile eruzione del dente del giudizio (pericoronite) è la prima indicazione per l'estrazione del dente secondo il moderno approccio alla salute dentale. Certo, puoi sempre convincere il medico a farti solo una sezione del cappuccio gengivale, ma dov'è la garanzia che il dente "non si arrampichi storto", le sue radici non si intrecciano con le radici dei denti vicini, che il cappuccio non ricresce e l'infiammazione non continua di nuovo.

Con la pulpite, i denti dovrebbero sempre essere preservati, ma la parodontite è un argomento speciale. Le forme acute di parodontite sono più facili da trattare, il che non si può dire della possibilità di preservare i denti con le cisti. Tuttavia, anche la cisti della cisti è diversa, quindi, in ogni caso, vengono determinati la prognosi della malattia, la prospettiva del trattamento e l'importanza del dente nella dentatura e il morso nel suo insieme.
I processi purulenti pronunciati periostite, osteomielite, ascessi, flemmone e altri odontogeni (dal dente) spesso determinano le indicazioni per la rimozione. Se il dente si trova vicino alle radici infiammate o nel seno mascellare stesso, è quasi sempre una questione di rimuovere il dente per interrompere l'alimentazione del seno con l'infezione.

È vero che i denti malati superiori provocano un naso che cola cronico?
Poche persone sanno che la sinusite è spesso provocata da denti cattivi o un'infezione residua in canali mal trattati. Ecco perché i medici ENT chiedono sempre una radiografia e guardano le radici dei denti superiori, vicino al seno mascellare. Qualsiasi dente malato superiore che viene dopo il canino (il terzo dente) può causare il problema, ma molto spesso si tratta di premolari (quarto e quinto) e primo molare (sesto). Spesso, un naso che cola cronico scompare immediatamente dopo aver trovato e trattato un dente così malato.
Per preservare la carie dai denti e prevenire il dolore associato, è necessario utilizzare le tre regole "NON":
- Non consumare troppi dolci e prodotti culinari adeguati (torte, pasticcini).
- Non dimenticare di utilizzare uno spazzolino da denti con pasta almeno 2-3 volte al giorno per una pulizia e un rafforzamento completi dello smalto.
- Non ignorare il filo interdentale con filo interdentale al fluoro, che pulisce idealmente gli spazi interdentali dai detriti alimentari.
Prenditi cura dei tuoi denti e sii sano!
Video utile: possibili cause di mal di denti e cosa bisogna fare in una data situazione
Sui modi per sbarazzarsi del mal di denti acuto


Buon articolo Molte cose interessanti.
Qualcosa ha aiutato, grazie.
E cosa ti ha aiutato esattamente?
Qui solo un buon medico aiuterà ...
Grazie! Mi ha aiutato mia mamma.
Cosa ha aiutato esattamente?
Grazie mille
Grazie mille
Grazie Mi ha aiutato un po '. Ho appena visitato questo sito e ho iniziato a leggere tutto questo e in qualche modo la gomma ha iniziato a passare da sola ...
Sì, ho anche questo sito è magico))
Il dolore è diminuito anche dopo aver visualizzato il sito)
In effetti, il mio dente mi faceva così male che sembrava morire. Nel frattempo, ho letto, tutto si è fermato)) Misticismo, ma grazie.
Striscio nella clinica. Mi siedo per circa 30 minuti, la temperatura inizia a scendere. Dopo altri 15 minuti entro in ufficio - 36.9. Il naso respira quasi normalmente. Odio andare dai dottori. Il corpo si regola))
Grazie, mi ha aiutato.
Sì, un ottimo sito.
Si gettò con il chetorolo: mezza compressa per dente, metà dentro ... Ho aspettato 10 minuti, non mi è stato di aiuto. Ho anche trovato uno shpu, l'ho gettato sul dente, ho sofferto altri 2 minuti, il dolore non è scomparso. Ho iniziato a cercare i metodi disponibili su Internet, vagando qui. Durante la lettura, il dolore si è attenuato ... Grazie, un articolo molto interessante. Ora so cosa farà il dottore)
Quale pillola anestetizzare?
Ketanov
Né Ketorol né Ketanov mi hanno aiutato.
Come posso confortare un mal di denti?
AVANTI
Che cos'è questo?
Nise è la migliore. Sono passato rapidamente. Ho 11 anni, ma puoi nurofen e spasmalgon.
Meglio prendere il nurofen.
Grazie
Nise non aiuta, anche se costoso e in una bella confezione. Ketanov è davvero il più potente antidolorifico. Solo salva. Economico e allegro.
Perché, Nise aiuta.
Nise non aiuta tutti. A volte, al contrario, agisce come un agente patogeno del dolore.
Sfortunatamente, Ketanov non è venduto senza prescrizione medica e ha sempre aiutato molto bene 🙂
Ciao a tutti, il dente del giudizio superiore è molto dolorante e persino, a quanto pare, si è rotto. Ho paura di andare dal dottore. Cosa fare, chi consiglierà cosa?
Il mio dente fa male in alto, si è sbriciolato. Cosa posso fare? Per favore aiutatemi
Bevi Nise
Bevi un tablet o un fanigan di dolanin.
Vai dal dentista. Anche se fa molto paura. Lui ti aiuterà. E se il dente fa male, allora puoi bere antidolorifici. Ma dopo, assicurati di andare dal dentista.
Non aver paura, il medico farà un'iniezione anestetica, non sentirai nulla. Ho rimosso due denti del giudizio superiori con una differenza di circa una settimana.
Sanya, solo dal medico e solo per la rimozione. Non ci sono altri modi, credimi)) Ora gli antidolorifici sono normali, non sentirai nulla. Una buona iniezione pagata - e non c'è alcun dolore, almeno ballando sulla mascella))
Qualcuno mi dica, per favore, cosa può dare un bambino nel dolore? (
Anch'io sono un bambino, ho 11 anni. È necessario risciacquare con la soda o attaccare l'aglio dove il polso è 🙂
Sciroppo di Nurofen.
Grazie
Aiutami, il mio dente del giudizio fa davvero male, 8. Non so cosa fare, ho già provato tutto oggi. Ho paura di andare dal dentista.
Helisal, un gel per denti, aiuta molto bene. Li ho salvati per diversi giorni quando il primo è cresciuto, e poi tutto è andato via. Se non aiuta, per il medico, può crescere storicamente e dovrà essere rimosso.
Vai dal medico e rimuovi, il resto non aiuterà.
Ho paura di andare anche io 🙁
Grazie, aiutato
Grazie mille, non mi fa male, grazie!
Grazie mille, ora non avevo nemmeno paura di andare dal dentista, visto che ho visto questi video, tutto mi ha aiutato molto!
Grazie, mi ha aiutato.
Niente aiuta, cosa devo fare? Quale pillola prendere? Mi fanno quasi male tutti i denti.
Dolore gengivale con un dente, cedimento nell'orecchio, aiuto, cosa fare?
Ho anche dolore dall'orecchio alla gola. Allo stesso tempo, è anche un bambino. Tuttavia, decise, bevve il fanigan, dopo 10 minuti tutto il dolore passò.
Figlio nell'esercito: mal di denti, niente pillole, niente aglio, fine settimana avanti. Come aiutare?
Grazie, buon articolo.
Non ho trovato cosa fare se il dente si è rotto 2 volte e fa davvero molto male.
Grazie
Dannazione, il dente fa davvero male, la mamma dice che domani andremo dal dentista, temo, ma non riesco nemmeno a sopportarlo!
Dannazione, il dente fa molto male, ho paura di tirarli fuori, cosa dovrei fare?
Mi fa male il dente ... Aiuto, per favore.
Ho avuto mal di denti, ho preso 3 compresse di analgin, ho vomitato per dormire, ma in qualche modo è andato via, tipo! Grazie, il sito è super.
E ho messo una foglia di geranio su un dente malato
E il gatto ha rosicchiato il nostro geranio ((
Ho sofferto di mal di denti per molto tempo, niente mi ha aiutato. Il processo infiammatorio iniziò, bevve antidolorifici, ma aiutò solo per un po '. Sono andato dal dottore, sono venuto per un esame, ho dato consigli e prescritto un paio di droghe. Dopo un paio di giorni, tutto ha funzionato. Le sono molto grato.
Ketorol mi ha davvero aiutato! Non ho trovato un posto per me stesso dal dolore. Ho bevuto mentre leggevo l'articolo - il dolore è andato via =)
E sì, VAI AL DENTISTA! Domani andrò anch'io)
Sì, beh, mi sto convincendo da una settimana.
La soda non ha aiutato, il massaggio alle orecchie ha aiutato per circa 10 minuti, sono corso in farmacia, ho comprato ketan, 10 mg, 20 compresse, 68 p. Si mise i pezzi tra i denti, il dolore si attenuò di un terzo del momento, ma dopo 10-15 minuti peggiorò. Si versò dell'acqua calda, si sciacquò la bocca, bevve quest'acqua. sdraiati a faccia in giù su una guancia dolorante. Il dolore si attenuò entro 5-10 minuti. Dopo 15 minuti, tutto ha smesso di far male e mi sono addormentato. Svegliato, inghiottito 2 piatti di pilaf, tutto ok. Buona fortuna a tutti, vai dai dentisti, non ti uccideranno, ti trufferanno solo per soldi o faranno a pezzi tutto all'inferno.
È solo una specie di miracolo, ho letto questo sito e all'improvviso il dolore stesso è scomparso. Class.
Ho anche superato.
Sono in preda al panico, mi fa male il dente, ho gettato tre compresse di analgin - niente, sciacquato - niente, neanche gli antidolorifici lo prendono. Non lo so più, andrò dal dentista domani, forse con quale aiuto, e in generale avrei tirato fuori nafig.
E cosa si dovrebbe fare se il dente vacilla e fa male, capisci?
Quindi cadrà. Certo, se sei un bambino e se un adulto, quindi dal medico.
Circa due mesi fa, mi hanno cambiato il riempimento del dente. È diventata nera. In generale, tutto sembra non essere nulla, ma dopo un paio di settimane, il linfonodo sul collo sotto questo dente si è infiammato per motivi sconosciuti. Si è superato. Poi si infiammò di nuovo, di nuovo passò. E ora questo dente fa male per due giorni. Il dolore è così bruciante e pulsante. Dal dottore solo domani. Cosa pensi possa essere?
A causa di un sacco di pus sotto la radice del dente (questo è granuloma). Lo hanno rimosso con il dente, ma puoi tagliare la gomma e rimuoverla dalla radice. Questo è per il chirurgo maxillo-facciale con una foto che devi andare URGENTEMENTE!
Mi fa molto male il dente, ho visto Nurofen e Nise, ma non aiuta, cosa devo fare?
ketorol
Mille Grazie!
Mi fa male il dente, ma ho paura di andare dal dentista ...
C'era un dolore molto forte nei denti, sciacquato con soda. Che ci crediate o no, mi ha davvero aiutato molto.
Il mio dente fa male terribilmente, il dolore mi dà nell'orecchio, nella gola, nella testa. Ho provato tutte le pillole, niente aiuta. Non riesco nemmeno a capire quale dente mi fa male. Dimmi, per favore, cosa fare?
Ciao Hermine!
Dai denti inferiori, il dolore è diretto all'orecchio,
Nella parte posteriore della testa, nel tempio, nel dente superiore, "dà".
Dall'alto verso il basso: tanta sfortuna,
E nello zigomo, nel sopracciglio - già non consente di dormire.
La tua diagnosi presuntiva è la polpite acuta diffusa o la sua esacerbazione. Penso che stiamo parlando del dente inferiore, e ora la sua ricerca sarà sulla sedia del dentista, dove dovresti sbrigarti, dal momento che le pillole non utili dicono che li hai già "mangiati troppo". Altrimenti, a seconda del tuo corpo, nella prossima settimana o un paio di mesi parleremo dell'estrazione dei denti.
C'era una situazione simile. Il dente del giudizio faceva male: il ritorno andava sul pavimento della testa: la testa stessa, la tempia, gli occhi, il linfonodo, la guancia e la metà degli altri denti. Gli antidolorifici hanno aiutato solo all'inizio, poi senza alcuna reazione. Dai consigli delle persone è solo peggiorato. Di conseguenza, ho dovuto andare dal dentista, il vantaggio è un amico ed è stato in grado di aiutare anche la domenica. Si è scoperto che il nervo era già su. Anche senza perforare, posarono la medicina, in meno di un'ora il dolore si placò. Ora, dopo una settimana per tornarci - per guarire.
Le cazzate non hanno aiutato.
Anche io. Non ha aiutato.
Il dente fa male, ha scalato il muro. Ho bevuto Nekst, due compresse: non mi sono ammalato per 30 minuti e poi ho iniziato a ammalarmi. Risciacquato con vodka, passato all'istante, non me lo aspettavo nemmeno! Grazie anno per l'informazione.
Il terzo giorno il dente fa male senza fermarsi. Né il chetorolo, né il nise, né l'ibuprofene aiutano. Cosa aiuterà?
Ciao Fatima! Se non hai consultato un medico con questo dente, allora questo dovrebbe essere fatto, poiché non ha senso cercare antidolorifici super efficaci quando qualcosa marcisce nel corpo e può facilmente portare al flusso e all'estrazione del dente nel prossimo futuro. Se un dente fa male durante il trattamento con un dentista, questo è spesso il risultato dei suoi errori. È anche importante non sopportare o sopprimere il dolore, ma capire il problema con il tuo o con uno specialista di terze parti. Finora, la causa principale non è stata trovata - eliminando le conseguenze usando la chimica - è più costoso per se stessi. Soprattutto per le ragazze - donne incinte.
Tiralo fuori nafig.
Puoi prendere Nurofen per adulti o sciacquare con soda e sale o schiacciare il luogo in cui pulsa. Anch'io ho un dente del giudizio dolente che sto trattando da molto tempo.
Naroood, aiuto, ti prego! Non lo sopporto più ((non sono a casa, in un collegio, sarò a casa solo tra un mese, quindi andare dal dentista non è un'opzione. Sfortunatamente, non ho nessuna delle compresse sopra. C'è del paracetamolo, sarà d'aiuto, per caso? 🙁 La soluzione di soda non ha aiutato neanche ... Devo dormire, domani esami, non so come li consegnerò 🙁
La lidocaina ha aiutato.
Un mal di denti per gli orrori, nessuna pillola aiuta e anche i risciacqui. È notte nel mio cortile, non so cosa fare. Dimmi, qualcosa per favore ... Quando fumo, non fa male, poi inizia a fare di nuovo male. Il dente non si lascia andare, cosa dovrebbero fare le persone? Consiglia qualcosa.
Ho 25 anni e quasi non ho più denti.
Ciao Alexey! Penso che il mio consiglio riguarderà molte persone che hanno seri problemi ai denti. Nella mia pratica, c'erano molti pazienti che si vantavano di poter "anestetizzare" loro stessi i denti, portandoli a radici indolori. A una certa età, per vari motivi (paura dei medici, mancanza di denaro per servizi di qualità, mancanza di tempo, desiderio, ecc.) Il numero di denti in bocca non poteva superare 8-10.A volte questi esperimenti hanno portato a gravi conseguenze (ad esempio, lottare per la vita di una persona sul tavolo operatorio), ma la colpa del medico non è che le persone possano sopportare o "soffocare" il dolore con mezzi improvvisati. Nelle grandi città e megalopoli (in particolare), viene sviluppato l'odontoiatria privata notturna e ci sono dentisti dentali in servizio in molti centri governativi, ospedali, cliniche, ecc., Che vengono ricevuti solo di notte. È sufficiente scoprire la distanza di questo oggetto via Internet. Se supera il livello delle tue capacità, puoi giocare alla roulette russa e aspettare, perché non ti toglierai il dente? Un approccio competente è consultare un dentista per un aiuto. Dopo aver valutato la situazione in bocca, il medico prenderà una decisione: curare il dente (conservare per molti anni) o solo una rimozione urgente aiuterà. Mentre non sei in grado di fare tutto come dovrebbe, puoi sempre chiamare un'ambulanza e fare una forte iniezione di antidolorifico, ma dopo un po 'ti lamenterai che: "... Ho 25 anni, ma quasi non ho più denti ..."
Smetti di fumare! )
Ho 19 anni, una ragazza e anche quasi senza denti.
Il mio dente superiore fa male, ma non capisco quale faccia male, mi dà nell'orecchio. Aiuto. Urgente.
Ciao daria L'intero problema in questa fase è che "dai denti inferiori il dolore è diretto all'orecchio". Cioè, con quel minimo di informazioni, presumo che il tuo dentista dovrebbe verificare la presenza di cavità cariate sui denti inferiori da questo lato, bene, e per confermare l'ipotesi, allo stesso tempo esaminare quelle superiori. Onestamente, non so come aiutarti in contumacia. Prescrivere soda, sale, antidolorifici, una cospirazione contro il mal di denti, piantaggine nell'orecchio per ridurre il dolore, non ho alcun diritto dal punto di vista medico, nonostante in alcuni casi (si dice) questi fondi siano efficaci.
Ma non dimenticare che hanno il loro effetto sull'effetto (sul dolore al dente), ma la causa è la complicazione della carie. Cioè, mentre il tuo dente "marcisce" all'interno con una diagnosi di pulpite o parodontite, c'è un alto rischio di risciacquo e pillole solo per mettere l'infezione in letargo e il tempo passa. Neanche un'ora: il viso si gonfia a causa del pus. È sempre più facile trattare un dente con un dentista fino a quando non ci sono gravi complicazioni piuttosto che chiedere aiuto per affrontare il dolore. La carie dentaria è un processo reversibile solo dal dentista. A casa, non è possibile curare i canali del dente, riempirli e installarvi sopra un materiale di riempimento. Ti auguro di prendere la decisione giusta!
Se fa molto male, devi prima assicurarti che non ci siano infiammazioni nella gomma, controlla se la guancia ha iniziato a gonfiarsi. Se sì, escludi tutte le bevande calde e in nessun caso non riscaldarle. Mi è successo, in inverno la gomma si gonfiava al lavoro e ho iniziato a sciacquarla con uno sciocco su consiglio di un collega con una calda margherita. Bene, e la sera, la mia guancia era così gonfia che corsi alla prima clinica pagata che mi sono imbattuto, sebbene volessi andare da un amico il giorno successivo, dove sarei guarito più economico e migliore. In generale, la cosa principale - assicurati che non si gonfi e non si riscaldi. Bene, e Nise, ovviamente, per aiutare, tutto il resto per un'ora, non di più, e l'infiammazione non allevia.
Nulla aiuta quando i denti fanno male - solo un dentista aiuta.
Un dentista in odontoiatria regionale mi ha detto che aiuta i ketan, due compresse.
Mi fa male il dente, cosa devo fare? Hanno messo l'arsenico.
Benvenuti! Normalmente, il dente non dovrebbe disturbarsi dopo la pasta di arsenico. Di solito un forte dolore dà imprecisioni nei parametri tecnici dello styling. Ad esempio, la pasta non può essere posizionata sul "nervo" aperto o vicino alla gomma.Ciò offre l'occasione di consultare urgentemente un medico, poiché questi errori non sempre portano a rassicurazioni durante l'assunzione di antidolorifici. È meglio correggere la medicazione e ottenere un risultato positivo.
Benvenuti! C'è stato un riempimento, è andato dal dentista, il nervo è stato rimosso, hanno messo la medicina per 10 giorni, il dente ha smesso di ferire. Ieri hanno messo un riempimento fotografico permanente, e ora il dolore è tale che non c'è forza da sopportare e le compresse non salvano. Ho pagato soldi e soffro di dolore. Cosa fare
Benvenuti! Se hai a portata di mano un'istantanea di un dente trattato, puoi fornirlo per l'analisi qui (ad esempio, come collegamento a Yandex-Disk). Molto probabilmente, stiamo parlando di errori nella fase di trattamento. Sarebbe desiderabile identificarli immediatamente piuttosto che attendere gravi complicazioni. Se non ti fidi così tanto del tuo dentista da non sentirti dispiaciuto per i soldi, tratta (salva il dente) con un altro medico. La cosa principale è identificare correttamente gli errori che si sono verificati. Possono anche essere seri: perforazione della radice, rottura dello strumento nel canale, ecc.
Nel caso in cui la fiducia non sia completamente compromessa, possono farcela in garanzia. Non è un caso che i medici diano le ricevute per i servizi e concludano un accordo. Per analisi, in linea di principio, puoi inviare immagini qui - non hai nulla da perdere. L'unica cosa è che il tempo può essere perso se tutto è serio nei canali. Certamente non ho il diritto di prescriverti pillole senza una consultazione faccia a faccia.
Il dente fa già male da tre giorni, è andato dal dentista. Ha detto che non poteva accettare, molte code. L'ho scritto il 21 e oggi sono le 8. Che ora? Pillole per avvelenare (niente aiuta, dimmi un buon antidolorifico.
Benvenuti! Per il dolore acuto, come emergenza, il dentista era obbligato ad accettarti: ogni medico doveva mettere la pasta devitalizzante con anestesia sulla polpa aperta per un certo periodo di tempo. Ci sono paste che vengono messe in posa per 5-7 giorni o più, il che consente di rimandare la ricezione, ma il dente non farà più male.
Esistono due modi: lamentarsi del dentista che non accetta con dolore acuto o contattare un altro dentista. Se nella tua zona non ci sono medici o anche una clinica dentale privata, la soluzione è la seguente: prendi l'autobus (auto) e cura il dente in un'altra città-villaggio. Un "antidolorifico" può essere prescritto da un medico solo dopo una consultazione faccia a faccia. Non è possibile trattare su Internet e ci sono molti rischi per i pazienti a causa di tale trattamento remoto. Non ha senso neppure l'avvelenamento, consultare un medico utilizzando uno dei metodi descritti o assicurarsi di ricevere cure di emergenza come fase iniziale del trattamento dentale.
Ho trafitto la gomma con un ago - dove mi faceva male il dente. Il sangue scorreva fuori, il gonfiore delle gengive si placava e io mi addormentai e il dente smise di far male.
Modi davvero aiutati.
I rimedi popolari non aiuteranno se la carie ha raggiunto la polpa e la radice! Tutti questi saggi e altri rimedi popolari aiutano con malattie gengivali o lesioni gengivali. Se si tratta di una carie o un'infezione all'interno del dente, solo il dentista aiuterà. Non essere sciocco! Buona fortuna
Il sesto dente con un sigillo fotografico di quattro anni iniziò a far male. I canali non sono sigillati. All'inizio, il dente faceva male quando veniva premuto. Adesso si intensifica di notte. Tutta la mascella inferiore destra fa male. Sotto otturazioni, spesso mi fanno male i denti. Il dolore coincide con un altro stress, a seguito del quale diminuisce la mia immunità. Il reumatismo inizia a preoccuparsi. L'abbondante assunzione di diclofenac dalle articolazioni, per qualche motivo, non influisce sul dente. Non ci sono segni esterni di dolore. Prima di questo, la gomma tra il 6 ° e il 7 ° dente era costantemente preoccupante. La carne dura ha costantemente irritato le gengive. Filo interdentale, lavarsi i denti ed elisir hanno costantemente lottato con questo problema. Ora sono in Europa e l'assicurazione non mi copre i denti.
Volevo continuareIl dolore da due compresse di Ketanov si interrompe o se si risciacqua con il cognac per circa un minuto. Se il brandy ha aiutato, quindi, fa male a stimoli esterni. Ma le gengive non sono gonfie, non c'è pus.
Tra 6 e 7 denti dopo il trattamento, il dentista ha lasciato un divario allargato. E la carne che entrava aumentava costantemente la tasca. Prima di questo grave mal di denti, la gomma faceva male dal cibo. Come ha potuto sciacquare e usare il filo interdentale in questa tasca. Apparentemente questo ha iniziato un problema ai denti. Probabilmente, un'infezione passa attraverso la microcavità formata.
Benvenuti! Oserei suggerire di avere una esacerbazione della pulpite o una parodontite già iniziata in uno di quei denti che si trovano vicino al "gap". Due denti contemporaneamente fanno male in circa l'1-2% di tutti i casi, cioè estremamente raramente. Tuttavia, questo dente deve essere trattato urgentemente nei canali, poiché la decomposizione della polpa che è iniziata nei canali può portare al flusso. Non riesco a prevedere quando tutto diventerà serio, ma il fatto che uno dei denti abbia un processo infiammatorio sotto il riempimento è del 100%. Il fatto di soffocare il dolore rimanendo intrappolato nel braccio non merita alcun elogio. Vuoi solo guidare il processo infiammatorio in uno stabile senza dolore, ma avendo una forma cronica. Cioè, nel 60-70% dei casi è del tutto possibile aspettare una perdita dei denti nei prossimi 1-3 mesi, sebbene teoricamente sia possibile sperare in un miracolo. Dopotutto, senza trattamento è possibile sollevare una cisti per più di un anno, ma poi molti pazienti sono apparsi sul mio tavolo operatorio davanti ai miei occhi. Penso che dovresti pensarci.
Grazie mille Domani vado dal dentista.
In che giorno mi fa già male il dente. Non so cosa fare. Ho tagliato tutte le pillole. Mentre leggevo questo sito, sono passato subito.
Svyatoslav Gennadievich, questo è ancora Yuri. Sono andato alla città più vicina dell'Ucraina dalla Polonia (400 km in due direzioni). Ho scattato una foto. Come ho precedentemente descritto, il dente nella foto è in ottime condizioni. Hanno aperto un sigillo fotografico di quattro anni. Sotto di lei c'era un'infezione. Nervi rimossi in tre canali. Hanno messo una medicina e un sigillo temporaneo. Nimesil prescritto. La temperatura della sera di questo giorno non è salita sopra i 36,6. Non c'erano più gioie. Un paio di volte ci sono stati forti impulsi di dolore. Prima di andare a letto, ha introdotto 50 mg di supposte diclofenac. Alla fine la notte dormì completamente. La mattina dopo tutto fa di nuovo male, come prima. Alle 10.00 del mattino, il linfonodo è ancora più gonfio rispetto a prima di visitare il dentista (le dimensioni sono diventate come mezzo uovo di gallina). L'intero nervo ternario fa male. Ha introdotto di nuovo diclofenac al mattino. In bocca, il gusto della candeggina da un riempimento temporaneo. Dall'assunzione di diclofenac per 10 giorni, il lato non è incoraggiante. Nimesil italiano non aiuta. In Polonia, l'assicurazione è gratuita se muori. Forse chiamare un'ambulanza e dire che l'intera mascella e la testa con una temperatura sono inquietanti, e questo è in pericolo di vita. Il medico in Ucraina non ha suscitato il minimo dubbio nella sua competenza. Ha lavorato fin dall'epoca sovietica in una clinica in cui il flusso di malati è grande. L'attrezzatura, ovviamente, è tutt'altro che moderna, ma c'erano dentisti nelle cliniche interessanti.
Benvenuti! Penso che semplicemente i canali del dente siano stati trattati con un trauma eccessivo + ci sono rischi che il materiale di riempimento sia stato rimosso oltre l'apice della radice. Numerosi dentisti usano nella loro pratica materiali per riempire i canali che "rovinano la vita" dei pazienti con dolori post-riempimento: è impossibile mordere un dente, ecc. Non so perché la tua immunità individuale reagisca così violentemente all'intervento di un medico, ho avuto tali pazienti, molto spesso si tratta di persone anziane di 60-80 anni con una storia gravata. Cosa intendo: qualsiasi misura più o meno seria per trattare i canali dei denti con l'uso dell'anestesia provoca una reazione violenta del corpo.Il primo suggerimento è che il paziente non tollera otturazioni temporanee, alcuni odori di droghe irritano (durante e dopo il trattamento), quindi manifestazioni non classiche dalla regione maxillo-facciale: dall'articolazione ai linfonodi - tutto ciò è strano e indica caratteristiche persona. Non verrà detto alcun reato, ma i dentisti hanno una categoria di pazienti "difficili" che non ricevono cure nelle sue varie manifestazioni, anche se conosco la tua situazione specifica solo dalla tua stessa storia, e non posso dire con certezza senza un esame approfondito e la ricerca del problema principale che sei il paziente in cui il corpo risponde così inadeguatamente all'aiuto di un medico. Penso che il tempo lo dirà.
Non nego di appartenere alla categoria dei pazienti difficili. Gli stessi problemi di dolore erano con i primi 8, 7. Il medico ha sofferto con me per più di due mesi. Dolore, gonfiore delle gengive, ma senza linfa e articolazione gonfie (aveva 43 anni). Adesso ha 48 anni. Il dente scintillava, nessun rossore. C'era dolore insopportabile, temperatura 37-38.2. Aperto, trovato lievi manifestazioni di infezione sotto il sigillo. Hanno rimosso il nervo, messo una sorta di medicina con calcio, ma lo hanno somministrato sotto un riempimento temporaneo con cloro. Risultato: il tumore è aumentato a volte ed è diventato solido. La temperatura è stabile 37,7-38,5. I dottori non sapevano cosa fare con me ieri. Ho detto loro che avevo un dente aperto per 2 mesi fino a quando il dolore è scomparso. Ora è debole, la sera erano finalmente 37.6, la mattina 36.7. Risciacquo spesso. Il tumore è lo stesso. Forse il 5% in meno. Non vita, ma inferno.
Entro la sera del 29 luglio, ho trovato un gonfiore bianco situato a 2 cm dal 7 dente sotto l'interno della mascella. Trafitto, è andato pus. Ogni 20 minuti premo e il pus esce con un osso sacro. Risciacquo con vodka. Cerco di sterilizzare tutto. È un peccato, ho guidato 400 km ieri e i medici non hanno trovato l'inizio della fistola, ma non hanno nemmeno preso i soldi, perché sotto la mascella c'è già un tumore con mezza arancia. Spero che stasera sia senza temperatura e senza dolore al dente e al linfonodo.
30.07. Il tumore è diminuito. Spingo direttamente verso i linfonodi sotto la mascella. C'è pus tra la lingua e la gengiva interna inferiore destra sotto il 7 dente, o meglio, l'apice della radice. La sera inietto un antibiotico. Presto inizierò a "guarire". Hai già esperienza. Al telefono, i medici affermano che l'immagine era perfetta e che il fuoco dell'infiammazione non poteva essere determinato. Dicono che vieni di nuovo per 400 km, abbiamo un chirurgo in servizio. Stanco, perdo energia durante i viaggi e peggiora.
Ciao Yuri! Non pensavo che avrei mai detto questo, ma ti consiglio di rimuovere subito i denti "purulenti". Devi eseguire il trattamento lontano, il monitoraggio di diagnosi così complesse è impossibile da eseguire geograficamente. A quanto ho capito, queste forme di dentisti non possono trattare tali forme, ma secondo le tue storie, il rischio per la vita e la salute è enorme. Ora è fortunato: puoi salvarti da solo, e se si trattasse di osteomielite, un ascesso o, Dio non voglia, flemmone? Mi sono imbattuto in questi casi mentre lavoravo in un villaggio remoto. Prima di me, non avevano avuto un medico per circa 6-7 anni, ma c'era una leggera mortalità dai denti (1-2 volte in 3-5 anni) + durante la rimozione dei denti in alcuni pazienti, ero di fronte al fatto che le radici venivano rimosse con parte della "mascella" "(Con partizioni di alveoli). L'osteomielite non è uno scherzo, i focolai infiammatori cronici intorno alla radice sono lo stesso problema. Capisco solo il tuo problema e sento il fatto che solo una misura più radicale ti aiuterà di questi "accarezzare un'infezione purulenta". Come dice il proverbio: se non c'è modo di ottenere un trattamento di qualità della parodontite dai professionisti, è meglio rimuovere il dente. Questa è un'intuizione professionale sul tuo caso.
Grazie per la consultazione L'automedicazione ha portato risultati positivi. Il dente non fa male per due giorni. Non c'è nemmeno la temperatura per due giorni. C'è un leggero gonfiore del linfonodo, spero, residuo. La bocca si apre senza problemi. A volte la radice e la mascella fanno male nella zona del dente.Sciacquare costantemente i canali dei denti aperti. Attendo con ansia la scomparsa del gonfiore della linfa sotto la mascella inferiore destra. E vado a riempire tre canali sul settimo dente.
Il secondo giorno il molare fa molto male, non so già cosa fare. E sciacquato con soda, e messo grasso, niente ((
Era dal dentista, prima ha rimosso un dente sano e poi il paziente. Ora ho paura di andare dal dentista, le pillole non aiutano, cosa devo fare?
Ciao Mila! Per prima cosa devi calmarti e guardarlo in modo diverso. In primo luogo, sono quasi sicuro che il medico abbia rimosso anche il dente "cattivo". Accade spesso che ci siano diversi denti problematici in bocca che hanno indicazioni per la rimozione. Nessuno giustifica l'errore del medico, ma solo un dentista ubriaco di 60-90 anni con problemi di vista inizierà a rimuovere un dente sano. È solo che il medico ha fatto un errore con un dente cattivo, ma sono quasi sicuro di aver eliminato quello rovinato, che non si è ancora fatto sentire. Vedi un altro dentista. Posso dire con certezza che ci sono più dentisti buoni che dentisti cattivi. La cosa principale: non concentrarti su ciò di cui non sei sicuro al 100%.
Accetto Ketanov, va tutto bene.
Per 2 mesi, i dentisti mi hanno guidato avanti e indietro, due volte hanno deciso la gomma in modo che il pus andasse, ma non c'era nulla. Dopo la prima incisione, la guancia ha nuotato e per quasi tre settimane è stata gonfia) Ma è diventata più piccola, ha rimosso il dente problematico, quello inferiore in basso, mentre si afflosciava - hanno detto pus.
Passò una settimana, il dente lì vicino cominciò a vacillare. Sto già pensando di eliminarlo. I medici fanno diagnosi diverse, quindi per me lo rimuoverò l'altro giorno, anche se è un peccato. Se ti viene chiesto di rimuovere, quindi non esitare, elimina, non estinguere il dolore con antidolorifici, questo è pericoloso. Solo se prima di andare dal dottore. Cioè, di notte, per addormentarsi. Auguro a tutti salute, gentilezza, pace e che tutti siano sani.
Prendo Ketanov, non aiuta, già un disco è finito. Cos'altro si può fare per alleviare il dolore fino al mattino?
Benvenuti! Solo un medico può prescrivere il farmaco dopo la consultazione in clinica. Consultare un dentista in servizio, che è obbligatorio nelle grandi città. Altrimenti, esiste un'opzione più o meno efficace per alleviare il dolore mediante risciacquo. In ogni caso, questa è una misura temporanea e il fatto che i farmaci antidolorifici non aiutino è il risultato del fatto che tutto è grave per il dente. È meglio non ritardare e agire con urgenza. Salute a te!
Ciao, mi fa male il dente quando lo tocchi. E barcolla, ma non molto, cosa fare?
Benvenuti! Prova a contattare prima il tuo dentista. È possibile che, secondo questa diagnosi proposta (parodontite), si possa fare qualcos'altro per preservare il dente. Se il medico ha motivi per la rimozione (c'è un elenco di indicazioni per questo), allora sarai indirizzato al chirurgo dentista o la rimozione sarà effettuata sul posto (quando viene condotto un appuntamento misto). Non dovresti sopportare il dolore o "sopprimerlo" con le medicine: cerca urgentemente aiuto!
Il dente fa male. Week-end, il dentista non funziona. Cosa fare, aiuto!
Benvenuti! Per te e per le stesse persone che si trovano in una situazione in cui non c'è modo di andare dal dentista domenica, scrivo che è meglio contattare il dentista di turno che dovrebbe fornire il primo soccorso (la fase iniziale del trattamento dentale o la sua rimozione, se quella ci sono indicazioni). Per quanto riguarda la raccomandazione di farmaci via Internet, questo è inaccettabile, poiché potresti avere una banale allergia al farmaco o non funzionerà.Metodi di trattamento alternativi separati possono essere efficaci in una certa misura, ma è anche inaccettabile nominarli a un medico qualificato come metodo di trattamento principale! Cioè, ti sto suggerendo che dal punto di vista delle regole e della logica medica, dovrei raccomandare di trovare urgentemente uno specialista e curare la causa del dolore (dente cariato) e non un sintomo. Se non ho il diritto di prescrivere farmaci in contumacia, quindi, tu stesso puoi aiutare te stesso o farti del male. Urgentemente risolvi il problema con il dente!
Ciao Ma non sono stato guarito per il secondo mese, mi fa male il dente superiore. Ho visitato il dentista cinque volte in due settimane. Hanno messo un sigillo a gennaio, due mesi dopo con un morso un dolore impossibile. Ora hanno messo un sigillo temporaneo per un mese, sono passati solo due giorni, non posso soffrire, ho perso cinque chili. Mi siedo solo su ketanov, bevo 6 compresse al giorno. Vuoi già cambiare il dentista. Alla domanda sul perché, ha risposto che non voleva che un dente fosse guarito ...
Ciao luce! Tu stesso capisci perfettamente che per qualche ragione (obiettiva o meno), il dottore "ha firmato la sua impotenza". Capisco che cerchi sinceramente di fidarti di un medico che, in effetti, sta lottando per il tuo dente, ma non riesce a superare alcuni punti. Qui può esserci qualsiasi cosa: dal non riuscire a trovare un canale alla perforazione di una radice, in basso, lasciando un frammento di strumento in un canale, ecc.
Tieni presente che è possibile avvelenare con antidolorifici (analgesici), poiché in grandi quantità è veleno.
Cambiare un dentista è una decisione oggettivamente corretta nella situazione attuale. Cosa hai fatto di sbagliato lì? Senza un'immagine, non posso assolutamente dirlo. A volte un dentista non riesce a trovare un dente causale (ad esempio, un dente vicino, che non è ancora stato curato, ma fa male acutamente), ma tratta un dente innocente. Vale la pena guardare almeno l'immagine, e almeno la sedia del dentista, con la stessa immagine in mano. Se per te non è difficile, invialo via mail o fornisci un link. Altrimenti, puoi, senza aspettare il mio verdetto preliminare, sentirti libero di andare da un dentista indipendente per capire cosa c'è che non va. Grazie per la tua domanda e salute a te!
Ciao Un mal di denti, fin dall'infanzia ho amato i dolci, e così è successo che altri 2 sono cresciuti accanto a un dente, come se fusi, e ora questi denti sono terribilmente doloranti. Cosa fare
Benvenuti! Senza un esame approfondito nella poltrona del dentista, è difficile decidere in contumacia se abbia senso (o, in generale, la possibilità) conservare qualitativamente questo dente. Sono sicuro che un dente sia ancora acutamente doloroso. Dolori acuti immediatamente in diversi denti: questa è un'esclusiva, una rarità. L'adeguatezza del trattamento o della rimozione di denti "cresciuti in modo errato" viene decisa dal dentista dopo un'attenta valutazione della situazione. A volte è più facile trattare tali denti piuttosto che ottenerne uno da sotto l'altro, soprattutto perché le radici potrebbero sovrapporsi. D'altra parte, il dentista non affronterà sempre tale trattamento endodontico con poca esperienza nel trattamento del canale dei denti complessi. In generale, il tuo compito è trovare un buon dentista (esperto) e diagnosticare i denti problematici (è meglio scattare una foto aggiuntiva) e la decisione verrà fuori di conseguenza. Salute a te!
Il dente inferiore è molto dolorante, inoltre, dà dolore all'orecchio. Cosa si può fare? Il dolore è terribile, ma al momento non possono accettarlo. Cosa si può fare? Gli antidolorifici non aiutano più (
Benvenuti! Ci sono analgesici che sono più forti di quelli che prendi, ma dovrebbero essere bevuti come concordato con il tuo medico. Dovrai contattare per chiedere aiuto, altrimenti perderai un dente. Una soluzione radicale è quella di chiamare un'ambulanza per ricevere un'iniezione, che ti permetterà di allungare 5-8 ore per andare dal dentista al mattino.Inoltre, di notte ci sono dentisti di guardia che forniscono assistenza di emergenza.
Ciao, ho una domanda: cosa devo fare se il mio dente superiore si ammala? Quindi, presi una pillola di aspirina e Nise, dormì un po ', si spense. Quindi il dente cominciò a fare male. Qui, mi aggrapperò a qualcosa domani.
Cosa si dovrebbe fare se il dente inizia a fare male?
Benvenuti! È necessario consultare un dentista-terapista per il trattamento. Fino a quando la causa non viene eliminata, l'effetto (dolore) può persistere per giorni e notti (fino a diversi mesi). È meglio non giocare alla roulette russa. Per quanto riguarda gli antidolorifici: ce ne sono di più efficaci, ma è necessario selezionarli con il proprio medico, altrimenti si può danneggiare la propria salute.
In precedenza, c'era un riempimento nel dente, cadeva e dopo pochi mesi qualcosa sembrava un brufolo sul dente, solo all'inizio quando toccava questa cosa sanguinava, poi si fermava. Dimmi, per favore, cosa potrebbe essere?
Benvenuti! La tua descrizione si adatta alla categoria di sviluppo del passaggio fistoloso sulla gomma tra esacerbazione della parodontite cronica. Spiegherò le mie ipotesi. Il fatto è che il tuo dente è stato molto probabilmente trattato (penso che anche nei canali, anche se questo non è così importante in questo contesto), e quando il sigillo è caduto, l'ermeticità è stata rotta e i microbi hanno iniziato a moltiplicarsi attivamente con l'accesso di ossigeno e infezione aggiuntiva , che ha causato lo sviluppo del dotto alla gomma con il rilascio di essudato nella cavità orale.
Raccomando di contattare urgentemente un dentista, condurre una diagnosi radiografica e iniziare il trattamento dentale il prima possibile. In generale, la parodontite con fistole viene trattata abbastanza bene se il precedente medico non ha commesso molti errori seri nei canali del dente (di nuovo, se sono stati precedentemente trattati).
Ciao, in vacanza il pavimento del riempimento del sesto dente inferiore si è rotto. Al ritorno, un'altra parte del sigillo. Ho preso un appuntamento con il dentista dopo 14 giorni (tutto è occupato). Prima di prendere 5 giorni, la gomma era infiammata, il margine gengivale era strappato e durante la notte, i margini gengivali strappati diventavano purulenti. Il risciacquo con iodio ha rimosso una piccola infiammazione. Oggi mi sono svegliato e la gomma fa un po 'male solo quando la lingua è premuta, l'edema era addormentato, ma a volte la ghiandola o il linfonodo sembravano pulsare un po' e gemere, ma non fa male, ma tira qualcosa un po '. Cosa potrebbe essere?
Benvenuti! Temo che sia consigliabile consultare un dentista il prima possibile per evitare gravi complicazioni. In questo caso, c'è il sospetto di esacerbazione della parodontite cronica. Assicurati di aver bisogno di una foto dei canali dei denti per escludere questa opzione. Se la diagnosi non è confermata, stiamo parlando di lesioni gengivali e infiammazione del margine gengivale (papilla gengivale). Dopo la correzione delle gengive, il medico ripristinerà il dente senza conseguenze. Se l'immagine mostra che è in atto un processo infettivo-infiammatorio nei canali, sarà necessario un ritiro graduale per salvare il dente. Buona fortuna con la tua diagnosi (senza di essa da nessuna parte) e il trattamento!
Grazie! Domani alla reception, ho ancora bevuto antinfiammatorio, in modo che prima della ricezione il processo rallenta e, grazie al risciacquo, le gengive hanno smesso completamente di ferire, il pus è visivamente andato via. Spero che il dentista non rilevi infiammazioni e infezioni. Grazie per la tua risposta!
Mi fa male il dente nella parte in alto a sinistra. Già provato di tutto, non aiuta. Fa male terribilmente, non riesco a dormire la notte, la temperatura aumenta e la tocchi: orrore, sembra che la terra sia uscita da sotto. Per favore aiutatemi
Perché non vai dal dottore?
Benvenuti! Concordo con il commento precedente sul fatto che non ha senso parlare di antidolorifici per denti, risciacqui, incisioni - tutto ciò è una misura temporanea che ti consente di pianificare una piccola visita dal medico.
Più lontano nella foresta, più legna da ardere. Sono io il fatto che spesso nel giro di pochi giorni o settimane il dente entra in una fase diversa: si sviluppa un'infiammazione purulenta, che è popolarmente chiamata semplicemente "flusso". Non rimandare una visita dal dentista, in attesa di infiammazione purulenta o formazione di una cisti.Inoltre, l'arsenale di anestetici per l'anestesia del dentista è così ampio che si può solo temere le conseguenze dei denti trascurati e non una visita tempestiva da un medico. In linea di principio, non posso consigliare nulla di positivo. Grazie per la domanda
Già 3 giorni un bambino ha mal di denti. La guancia era gravemente gonfia. Cosa fare
Benvenuti! Non dovresti rischiare la salute del bambino: consulta un dentista pediatrico e definirai un piano di trattamento. Non posso ancora dire se possono salvare il dente, ma è importante prevenire complicazioni che sono particolarmente pericolose durante l'infanzia. Assicurati di ottenere un aiuto professionale, non automedicare. Grazie per la domanda
Aspetta che la guancia diventi come la seconda testa di un bambino e porta il bambino in uno stato di quasi morte! E poi dai la colpa ai dottori per tutto.
Benvenuti! Ho avuto un riempimento del dente esteso con uno spillo. Gli spigoli vivi tagliano la guancia e la lingua. Il dente è stato molto danneggiato anche quando hanno messo il perno. Il dentista rimosse il dente per 1,5 ore, lo rimosse dai frammenti, ma non riuscì a ottenere uno dei frammenti, poiché era già un casino sanguinante. Abbiamo concordato che sarei venuto più tardi, quando guarisce un po '. Ho bevuto chetani, il dolore è quasi scomparso per 4 giorni. Quindi qui. La prima volta che la rimozione è stata indolore, ma oggi hanno provato a rimuoverla, ma l'anestesia non ha aiutato! Non sono stati in grado di rimuovere il frammento (il medico non può raggiungerlo). Avrò di nuovo bisogno di tornare tra una settimana, lo taglieranno, il mio dentista ha chiamato un altro medico per aiutarlo. Mentre bevo gli antibiotici prescritti e Nise.
Quindi, qual è la domanda:
1) quanti antidolorifici posso assumere ora? Fa davvero male!
2) perché l'anestesia non ha funzionato?
3) cosa sarà segato? Quanto ci vorrà per guarire?
Benvenuti! Rispondo su punti di domande:
1. Penso che non sia una questione di quantità, ma di qualità: quell'analgesico che prendi non è il più efficace. Un gran numero di compresse "antidolorifici" spesso porta ad intossicazione e persino ad avvelenamento. Un analgesico alternativo e più efficace può essere prescritto da un medico direttamente all'appuntamento.
2. Forse è la mancanza di professionalità del medico in questo difficile problema. Esistono molti modi per condurre un'anestesia di alta qualità: dalla selezione dell'anestetico giusto alla tecnica corretta per la sua somministrazione. La combinazione di una serie di tecniche con farmaci, ad esempio la serie di articaina, consente di portare al 100% l'anestesia dell'area di rimozione. Tuttavia, non posso dare la colpa al medico in modo inequivocabile, poiché, forse, il tuo caso richiede un approccio speciale (individuale).
3. Non hai nominato il gruppo del dente: almeno il dente anteriore è "molare". Suppongo che il medico ritagli ancora le radici di un dente multiradice per rimuoverle separatamente l'una dall'altra con elevatori. La tecnica è ben nota, i dentisti non saranno sorpresi. Se il medico cerca di tagliare la radice di un dente a radice singola, separandolo dalle pareti degli alveoli, questa tecnica non è la più comune, ma ha un posto, anche se ci sono opzioni più moderne per la rimozione.
Grazie per le domande
Ciao, recentemente ho avuto un mal di denti molto grave, sono andato dal dentista e mi ha rimosso il nervo e non ha riempito il dente, mi è stato prescritto un riempimento il giorno successivo. La sera, il dente si ammalò di nuovo e si ammalò tutta la notte. Il giorno successivo, un dente vicino si ammalò (apparentemente completamente sano) e fa male per il secondo giorno, reagisce fortemente al caldo e al freddo. Quale potrebbe essere la ragione?
Benvenuti! Non è il dente che sei stato trattato nei canali che risponde esattamente al freddo. In generale, sta emergendo la mia opinione che il dentista per alcune ragioni oggettive (o meno) abbia trattato il dente sbagliato che ha causato dolore acuto, quindi l'aiuto del medico non è mai stato realizzato.Ma non affrettarti a essere arrabbiato, perché il dottore (ne sono quasi sicuro) non ha curato un dente sano nei canali, ma è stato distrutto dalla carie, solo lì c'era la polite - quella che provoca dolori notturni, da freddo, ecc. Cioè, capita spesso che i denti danneggiati siano esteriormente equivalenti: anche se entrambi sono immediatamente trattati nei canali, ed è importante che il medico, a causa delle circostanze, scelga quello causale, ma si verificano errori. Ora è importante trattare il dente giusto nei canali il più rapidamente possibile, quindi inserire le otturazioni su entrambi.
Grazie, mi ha aiutato. Ketorol è un buon antidolorifico.
Il problema è questo: la città è piccola, ci sono pochi dottori. Non brillo con il budget. Un dente doleva, arrivava con dolore acuto, un pezzo veniva perforato. Il medico dice che va in vacanza per 2 settimane e non mette l'arsenico, ma mette un sigillo temporaneo, che si sbriciola e cade il 2 ° giorno. Il resto dei medici è un dentista o un anziano, che non può essere rotto. Il nervo si aprì (dente in basso a sinistra). Il medico che l'ha preso ha detto: è meglio non andare dagli altri, ti guariranno. Una ragazza lavora, non un accaparratore, che in seguito deve essere ringraziato, in breve, ben fatto.
Il dente è stato anestetizzato con lidocaina, impregnato di cotone idrofilo e cambiato ogni volta dopo aver mangiato. Il dottore uscì finché non si fece strada. Quel posto è diventato nero, la lidocaina non prende più. Metrogil calma per un po '. Non metto aglio e pepe, perché Temo di poter bruciare o uccidere un nervo che inizia a decomporsi. Ma il dolore è selvaggio. Qui, non sto dormendo ora. Ho intenzione di registrare il primo. È passato quasi un mese. L'alcol rimuove per un po 'e poi inizia a fare ancora più male. Il dente non può più essere ingannato, dà sia l'orecchio che la mascella, a volte fa male anche a girare la testa, come se avesse preso un collo (ma non spesso). Ketanov una volta ha provato a bere - senza alcuno scopo. La soda e il sale agiscono in qualche modo sugli altri denti e la sensazione che si sgretolano a causa della soda.
Prendere un appuntamento con 8, due ore e mezza rimanenti per aspettare. E poi per la prossima settimana. Non ho potuto registrarmi su Internet, perché la politica non sempre ci va. Pertanto, andrò lì, al telefono per sempre o occupato, o non rispondere al telefono. Ecco alcune cose da mettere a dura prova fino a martedì?
Ciao, per il secondo giorno il mio dente inferiore e le gengive mi facevano male e la mia guancia era molto gonfia. Cosa fare
Gonfiore: questa infiammazione è andata, l'ho avuto. Hanno rimosso il nervo, messo un sigillo. Quell'anno il sigillo è caduto, ora hanno detto che la radice dovrebbe essere rimossa. Metrogil si blocca per un po ', è necessario elaborare tutte le gengive, il chetorolo o il ketonol si sbriciolano nel punto in cui fa male, sciacquandoti la bocca con soda e sale in anticipo.
Inoltre, il risultato del risciacquo è determinato non dalla quantità di soda e sale, ma dal tempo di risciacquo. Ed è meglio non dormire sul lato dove fa male il dente. In casi estremi, cotone idrofilo con lidocaina in un punto dolente - abbastanza tempo per addormentarsi. Ma la lidocaina non è troppo spesso, un rimedio economico, efficace e può, con un uso frequente, influenzare altri denti. È meglio non ingerire la saliva, quindi dopo che è insensibile, è scomodo deglutire. E una volta che l'infiammazione è scomparsa, corri il prima possibile dal medico.
Benvenuti! Consultare urgentemente un dentista, perché il gonfiore della guancia significa nella maggior parte dei casi un'esacerbazione della parodontite cronica, che è spesso complicata dalla periostite. Non dovresti scherzare con questo, se non altro perché nella regione maxillo-facciale l'infezione può diffondersi molto rapidamente. I processi purulenti sulla mascella inferiore sono generalmente più pericolosi che sulla parte superiore, specialmente nella regione di grandi molari. Prima si presenta, maggiore è la probabilità di salvare un dente, altrimenti, rimuovendo o salvando la vita in un ospedale con chirurghi maxillo-facciali.
Mangio solo il lato sinistro, il lato destro fa male. C'è un dente sopra il paziente.Sembrava al dottore, disse: a causa del fatto che mangio solo il lato sinistro, il lato destro è diventato più sporco e questo sporco si infila sotto le gengive. Si gonfiano e fanno male, oltre le parole ...
Come al solito, un dente si ammalava di notte, sul lato destro, quello inferiore, e molto, molto fortemente, pensavo che avrei grugnito. Ho bevuto ketan, Nise. Ho letto questo articolo, davvero interessante e di alta qualità. Trovato nell'armadietto dei medicinali la metrogil denta della droga. Unto secondo le istruzioni nella zona del dente, ha aiutato! Non fa affatto male. Questa mattina in odontoiatria)
Mi fa molto male il dente, mi sono lavato con la vodka, grazie. Accidenti, non so cosa fare, ho molta paura del dentista. Sento o vedo un dottore - tutto qui, perdo conoscenza, ma ho bisogno di guarire. Inoltre, l'infiammazione grave è scomparsa.
Benvenuti! Un ripieno cadde dal dente, un pezzo di dente si staccò ancora. Andò immediatamente dal dentista. Il dente non ha fatto male. Il medico esaminò il dente con molta attenzione e disse che era possibile aumentarlo. Non è necessario eliminare. Scriverò in linguaggio filisteo: ho forato molto, ho avvitato il perno e aumentato il dente. Si è rivelato bene. Ma dopo un giorno il dolore è iniziato, inizialmente debole, e si è intensificato alla vigilia di Capodanno. Il dente, mi sembra, vacilla, fa male toccarlo. Le compresse e i risciacqui non aiutano. E ora sono solo le 7 del 1 gennaio. Forse passerà?
Benvenuti! C'è il sospetto che il dentista non abbia prestato attenzione a quale canale avrebbe inserito il perno. Il fatto è che non tutti i canali trattati possono installare immediatamente un perno per il restauro. È importante verificarlo nella foto per la qualità del riempimento e la cosa più importante è prestare attenzione alla presenza di un processo infiammatorio alla radice del dente. Non penso che durante l'installazione del pin, potrebbe essersi verificata una crepa a causa di un duro lavoro, ma vale la pena controllarlo, secondo l'immagine di controllo. Se c'è una sensazione di mobilità dei denti, questa è chiaramente una complicazione dopo il trattamento. Contatta urgentemente il tuo dentista in modo che non vi siano esacerbazioni di parodontite cronica, periostite o problemi ancora più gravi.
Ciao, vai dal dottore, non c'è altro modo.
Grazie, i metodi descritti nell'articolo mi hanno aiutato.
Il mio dente fa molto male, il canino è dal basso e anche il dente fa male dal basso a destra. Cosa si può fare? Per favore aiutatemi
Benvenuti! Contatta il tuo dentista per un aiuto, poiché l'automedicazione è una misura temporanea e non porta a nulla di buono. Forse hai la polpite che "cede" in un dente simmetrico. La parodontite non è esclusa. I dolori acuti non appaiono proprio così: sono necessari diagnosi e cure tempestive, senza le quali la situazione non peggiorerà. Salute a te!
Ragazzi, per favore, dimmi cosa devo fare? Un dente fa male appena prima di perdere conoscenza. Di recente ho rimosso una foca e una polpa, sono passati circa 2-3 mesi e ha iniziato un mal di denti molto grave, nessuna pillola ha aiutato. Poi il giorno dopo sono andato in ospedale, mi hanno detto: chi ha messo il sigillo, sono senza braccia, non possono fare nulla. Il dottore mi ha messo l'arsenico e mi ha detto di tornare tra una settimana. Beh, certo, non sono andato, perché ho una paura tremenda dei dottori. Passò circa un mese, avevo un mal di denti molto grave e non potevo andare in ospedale in alcun modo, perché l'ospedale è chiuso (l'ospedale è chiuso per ferie). Ora non so cosa fare. È necessario resistere prima di lunedì, non so se lo sopporterò. Il mal di denti è infernale, niente aiuta ((
Ragazzi, dimmi, per favore, qualsiasi droga forte, pillole o qualcos'altro. Forse hai avuto questa situazione e cosa hai fatto? Non dormo già da 3 giorni ((
Benvenuti! Tu stesso capisci che non hai completato il trattamento in modo tempestivo invano: dopo aver installato la pasta per devitalizzare la polpa al "nervo" aperto, dovresti venire alla reception esattamente all'ora stabilita. Penso che sia inutile dare gli stessi esempi del tuo problema a coloro che ritengono che questo benessere immaginario sia permanente. Ad ogni modo, la punizione per un dente non trattato supera. Spesso continuano ad aggravare il problema aspettando - quando qualcuno offre un buon antidolorifico, risciacquo, lozione vicino al dente, preghiera, cospirazione, ecc. Forse sarà possibile alleviare il dolore, ma non è un'ora e la guancia può gonfiarsi e non si sa quanto veleno ci vorrà.
In alcuni casi, la fase acuta della pulpite dura e più di 5-7 giorni prima di una pausa. Particolarmente pericolosa è la situazione in cui gli antidolorifici non aiutano - qui spesso la pulpite va già in parodontite e c'è un tiro di schioppo al flusso.
È necessario appena possibile curare qualitativamente il dente (intracanal) e mettere un sigillo. Un'ulteriore inazione può portare all'estrazione del dente (e questa non è una cattiva opzione).
Come fa male il dente, aiuto, che medicina posso bere ?!
Benvenuti! Il secondo giorno fa male il dente, il 7 sopra. Un sigillo costa circa 4 anni, nessun danno visibile. Il dolore si verifica quando si preme sul dente, quando si morde, dolore dolorante. Oggi ho fatto una radiografia e l'ho mostrata al dentista. Guardò e disse che non era chiaro perché potesse ferire. Il dente è "morto", i canali sono sigillati. Dice che potrebbe esserci un'infiammazione, dovrebbe andare via, non fare nulla, prescrivere sciacqui di soda caldi. Di notte ho bevuto una compressa di analgin e ho sciacquato con la soda. Per ogni evenienza, si è registrato per il 23/01/17 a un altro dentista. Cosa mi consigliate? Grazie
Benvenuti! Una volta che hai un'istantanea, ti preghiamo di inviarla alla posta del sito (vedi la pagina "Feedback"), aiuterà a valutare la qualità del trattamento del canale e la presenza di possibili processi infiammatori alle radici. Senza un'istantanea, posso dire che la sintomatologia del dolore è davvero simile alla reazione di un dente morto. Quanto è grave tutto - sarà possibile decidere solo dopo aver studiato l'immagine. Se non esiste un processo infiammatorio, ma i canali sono semivuoti, la ragione sta in essi. Altrimenti, qualsiasi frattura ossea vicino alla radice indicherà la causa nel dente. Certo, il dentista si affida non solo all'immagine, ma anche all'esame del dente e dei suoi "vicini".
Una volta che un sigillo è caduto e quando ho avuto qualcosa di caldo o freddo, ho provato un forte dolore. Il mio dentista era in vacanza (non mi fido degli altri) e mi sono reso conto che per altre 2 settimane avrei dovuto sopportarlo. Fortunatamente, la ragazza mi ha guidato un dispositivo anestetico biomedis, il dolore è scomparso dopo 20 minuti. E visse fino alla fine della vacanza, poi già guarì il dente.
Il dente dal basso è molto dolorante, si è sbriciolato. Non posso rivolgersi a un medico in questo momento, perché i documenti sono stati rubati. Sono in fase di restauro. E il dolore è terribile, cosa dovrei fare? Gli antidolorifici non aiutano già. Come essere, dimmelo?
Benvenuti! Cerca cure di emergenza in qualsiasi odontoiatria. Se hai fondi, vai in un ufficio privato (spesso non sono necessari documenti lì) e se non hai soldi, vai in ospedale o in un policlinico per assistenza d'emergenza. Il dentista è obbligato ad aiutare chiunque provenga dolore acuto, cioè con la pulpite, mettere una pasta devitalizzante e con la parodontite, aprire il canale e, se ciò è impossibile o poco promettente, rimuovere il dente. Questo è un aiuto gratuito con la quantità minima di medicinali che vengono dati al dentista dal bilancio (Lidocaina, Devit-Ars o Non arsenico, otturazioni temporanee, frese, ecc.). Se il medico rifiuta le cure di emergenza, è possibile contattare il capo medico.Dopo aver ricevuto il primo soccorso, entro 1 settimana sarai in grado di trattare un dente (se inizia la fase di conservazione), secondo i documenti. Questo è importante per non aggravare il processo infiammatorio nei canali.
Ciao I denti superiori e inferiori fanno male, 8, in qualche modo. Oggi sono andato dal dentista - ha detto che quello in alto è per la rimozione e quello in basso è per il trattamento. Fino al mattino non posso cancellare. Un nervo può essere ucciso dalla corrente elettrica di un accendino?
Benvenuti! No, non vale la pena uccidere la corrente dall'accendino. Accetta antidolorifici meglio di farti del male con tali mezzi dubbi. Non iniziare i denti per il futuro, in modo da non dover nemmeno pensare a tali mezzi di "aiuto".
Svyatoslav Gennadievich, ciao. Spieghi tutto in modo così intelligibile. Ma la mia domanda è: che tipo di anestetici vengono utilizzati per rimuovere il dente in modo che il dolore sia il più piccolo possibile?
Benvenuti! In linea di principio, lo stesso vale per il trattamento della carie, della pulpite. Degli anestetici importati, i farmaci della serie di articaina sono considerati efficaci (Ubistesin, Artikain, Septanest, ecc.). Se tutto è in ordine con la tua salute e non appartieni a pazienti a rischio, allora è preferibile diluire adrenalina (epinefrina) preferendo 1: 100 000. Questo in un certo senso migliora l'effetto dell'anestesia, la sua profondità e velocità di azione.
Tuttavia, anche gli anestetici importati al prezzo di 400-500 rubli per iniezione con le mani "storte" di un dentista non possono ottenere un'anestesia persistente in alcuni gruppi di denti e in alcuni casi clinici. Quindi, prima di tutto, cerca un buon chirurgo dentale o chirurgo maxillo-facciale, con esperienza e destrezza, e un buon anestetico seguirà sicuramente questo.
Svyatoslav Gennadievich, grazie per il tuo tempo. Il dente è stato rimosso senza dolore, anche l'iniezione era invisibile.
Mi fa male il dente, dimmi quale medicina bere? Ho molta paura di strappare.
Grazie mille, c'è stato un dolore insopportabile, ma ora va tutto bene! 🙂
Un dente si ammalò alle 2 del mattino. Ho provato quasi tutto - niente ha aiutato. Dal risciacquo con soda e sale, il dente faceva ancora più male. Di conseguenza, sono stato salvato da un normale dentifricio (Colgate Total). Mazanul sul pennello e cominciò a strofinare un dente malato fino al sangue. Il dolore è scomparso in 30 secondi.
Mentre leggevo tutto, il mal di denti era sparito)
Io stesso ho curato il dente. Ha marcito con me per circa 3 anni, ho mangiato tutti i tipi di pillole, sopportato ... Ora, sul retro, il dente è caduto insieme al marciume e la seconda metà era intera)
Un dente fa davvero male, nulla aiuta - dal chetorolo al permanganato di potassio. Cosa fare L'ospedale è molto lontano.
Benvenuti! Non ha senso aspettare fino a quando il processo purulento "esce" sul viso - quindi il chirurgo maxillo-facciale dovrà aiutare aprendo la cavità con pus con un bisturi e rimuovendo il dente. Inoltre, con flussi speciali è spesso doloroso. Se l'ospedale è così lontano che puoi venire solo una volta e non puoi imbatterti in visite regolari, allora è meglio rimuovere il dente. Tuttavia, alla minima opportunità di salvare un dente - è meglio salvare.
Pillole, risciacqui, ecc. Rimuovono solo l'effetto (dolore) e non la causa del problema. Conosco i "fortunati" che, con l'aiuto di rimedi popolari, sono stati in grado di trasformare alcuni dei loro denti in radici indolori in decomposizione sullo sfondo della parodontite con sanguinamento e spesso - suppurazione dalle gengive. Ma niente fa male. Non sono sicuro di cosa vorresti portare a questo, ignorando l'aiuto professionale di un medico.
Ho avuto un mal di denti con carie per 4 mesi e ho paura di andare dal dentista.Ho bevuto nise, analgin, ibuprofene, chetorolo, ketani, sciacquato con sale e soda, mi sono messo il paracetamolo sui denti, ho persino provato l'aceto con il cotone e con i denti - non è una cosa maledetta. Ho comprato delle gocce dentali, ho pensato che avrebbero aiutato, ma no. Cosa fare Ho paura di andare dal dottore.
Certo, vai.
Benvenuti! Ha sicuramente senso andare dal dentista per non perdere un dente. Anche se smette di ferire, sarà comunque un benessere immaginario: perdere un dente è abbastanza facile con un ritardo nel trattamento. Ancora una volta, se gli antidolorifici indicati non aiutano, allora questo è già un suggerimento che si verificano conseguenze irreversibili all'interno del dente. Il processo purulento è pericoloso non solo per il destino del dente, ma anche per il corpo nel suo insieme. Diverse migliaia di persone muoiono ogni anno a causa di problemi ai denti e queste liste vengono spesso rifornite non solo dai senzatetto, ma dai pazienti più spaventosi.
Per non rivolgersi a un cattivo dentista, è importante chiarire tempestivamente tramite colleghi, conoscenti, amici, ecc., Che trattano i denti in modo non doloroso ed efficiente. A proposito, i dentisti non solo salvano i denti (e le vite a tempo parziale), ma sono anche buoni "cosmetologi". Le star del mondo dello spettacolo le visitano quasi 2 volte al mese per un sorriso hollywoodiano. Ecco perché è meglio contattare il "cosmetologo" del dentista in tempo, in modo che non vi siano spazi vuoti nella cavità orale.
Sì, sarebbe meglio sedersi con un braccio rotto piuttosto che con un dente che fa così male ((
Quale persona intelligente ha fatto questo articolo? Sono entrato con un mal di denti selvaggio e da queste immagini "carine" ho quasi avuto uno shock di dolore ... E, anche se sono ancora necessari (
Ho dolori infernali, un dente del giudizio fa male e niente aiuta.
Quando inizieranno a chiudere le fessure senza fallo? Probabilmente mai, altrimenti da quello che loro, i dentisti, faranno rimorchiatori.
Mi fa molto male il dente, dai consigli!
Benvenuti! Se intendi l'uso di un rimedio popolare, nella migliore delle ipotesi lenirà il dolore, ma rimarrà la tendenza alla carie. Se vuoi portare un dente all'estrazione e mettere il tuo corpo a rischio considerevole, puoi aiutare te stesso - conosco molti casi in cui di conseguenza una persona è finita nel reparto di terapia intensiva, riattaccato con tubi o nel mondo successivo. Ogni anno diverse migliaia di persone muoiono per problemi ai denti e anche questa statistica può essere sottovalutata, dal momento che molte persone che non arrivano dal dentista in tempo in qualche angolo remoto del paese semplicemente non vengono registrate. Inoltre, molti di questo elenco non sono affatto senzatetto, ma semplicemente quelli che hanno ignorato ostinatamente il dentista anche quando l'edema si è sviluppato su tutto il viso e il collo, cercando di sciacquare con soda e sale.
Vi consiglio di contattare il dentista il più presto possibile per salvare il dente dalla rimozione, mantenere l'estetica (particolarmente importante per i denti anteriori) e la vostra salute generale.
Il dente fa male. I medici lo hanno curato per me, e lo stesso giorno ha iniziato a ammalarsi, il flusso è uscito e ora sto soffrendo. E i dottori lo stanno prendendo solo domani. Dimmi, chissà cosa si può fare se il dente è già permanente?
Benvenuti! In primo luogo, è necessario contattare il medico per un aiuto: dopo il trattamento, questo non dovrebbe essere. Apparentemente, c'erano alcuni prerequisiti per questo. Se dubiti della competenza di questi medici, puoi contattare altri specialisti. Analizzeranno il lavoro dei colleghi (obiettivamente e dalle immagini) e decideranno se il dente può essere salvato o se ha tutte le indicazioni per la rimozione. Non affrettarti a rimuovere il dente se non ci sono momenti critici: grande gonfiore, temperatura, ecc. Puoi ricevere consigli lo stesso giorno in una clinica vicina, forse il suo livello può aiutare a preservare la rimozione del dente.
Metti un sigillo su 6 (eterno). Giorno 1, tutto va bene, ma il giorno 2 del mattino ho iniziato a pulsare, avevo già pianificato il suicidio, ma prendo pillole, il dolore è soppresso, ma solo per un'ora e mezza. Non lo so, i genitori dicono che hanno messo un sigillo (eterno), il dente dovrebbe abituarsi a che cosa consiste il sigillo. Ma già 2 giorni senza modifiche ... Ti preghiamo di salvare, cosa devo fare ?!
Benvenuti! Rivolgersi al proprio medico per esaminare la situazione, scattare una foto dopo il trattamento (se necessario) e determinare la causa. Se i canali non venivano trattati, ma veniva immediatamente posto un sigillo, il dolore acuto indica lo sviluppo di pulpite o parodontite (meno probabile). O la diagnosi inizialmente è stata fatta in modo errato, o il dentista ha commesso numerosi errori nella fase di trattamento, che ha portato a un dolore insopportabile. Ora, molto probabilmente, non sarà possibile fare a meno del trattamento dei canali, ma con le prestazioni di qualità delle manipolazioni, il sollievo arriverà lo stesso giorno.
Benvenuti! Fu trattata senza successo per la dermatite, disperata, andò a Novosibirsk. Ho preso la direzione, ho esaminato tutti i dottori della lista, ho superato tutti i test che hanno detto. Ma all'arrivo a Novosibirsk, i dermatologi mi dissero che non mi avevano esaminato: non andai dal ginecologo e dal dentista. In effetti, ho problemi con i denti: carie, mancanza di denti e così via. Può svilupparsi una dermatite grave a causa di denti malati?
Benvenuti! No, in tutta la mia pratica non ho mai sentito dire che la dermatite potrebbe svilupparsi a causa di malattie dentali.
Aiuto, per favore. Ho provato tutto quanto sopra, niente aiuta !!! Devi trattare 17 denti, di cui 9 tirati. Cosa fare
Benvenuti! L'opzione migliore è contattare il dentista per l'odontoiatria il più presto possibile e il chirurgo per rimuovere i denti cattivi (o residui di denti). Non credo che alcune pillole, risciacqui e "lozioni" possano aiutarti nella tua situazione. Nel migliore dei casi, questo risolverà il problema solo per un breve periodo, dopodiché può "sparare" in modo che sia possibile un grave danno alla salute e la diffusione dell'infezione, fino alla sepsi. Pertanto, contattare un professionista qualificato nella tua situazione difficile è l'opzione più produttiva e corretta.
Il dente superiore era molto malato. E sciacquato con sale e soda, nulla ha aiutato. Salì in un bagno caldo, vi rimase per 15 minuti - il dolore scomparve completamente. Grazie al sito
E il mio dente inferiore fa male quando lo zucchero entra. È caduto solo un sigillo. Cosa fare ?!
Benvenuti! In generale, dovresti contattare il tuo dentista il più presto possibile fino a quando la situazione non ha raggiunto la pulpite. Con un'alta probabilità verrai trattato per la carie in una sola visita, rimuovendo il tessuto cariato e posizionando un sigillo. A volte capita che la cavità cariata sia troppo profonda ed è necessaria la rimozione del "nervo" - cioè, prima dovrai trattare i canali e solo allora - mettere il sigillo. In base all'opzione che verrà eseguita la terapia, sarà chiaro nella fase della diagnosi sulla poltrona del dentista.
Oggi il dentista ha rimosso il nervo, pulito il canale e ha detto di risciacquare con la soda. Il sigillo verrà messo dopodomani. Il dente è molto dolorante, non richiede ketani. Cosa fare
Benvenuti! Di solito, una reazione dolorosa si sviluppa sullo sfondo di canali trattati traumaticamente e niente di più (anche se, naturalmente, ci sono diverse situazioni). Con dolori così gravi, il dentista potrebbe essere "andato troppo lontano" da qualche parte o (Dio non voglia) anche incasinato.Al momento, ti consiglierei di chiamare il tuo medico, specificando la possibilità di utilizzare un altro antidolorifico prima del tuo prossimo appuntamento. Se non c'è telefono, puoi venire dal dentista per un consulto senza aspettare il tempo fissato.
I denti superiori sono insopportabilmente dolorosi da un lato ... Ieri 2 volte sono svenuto a causa di questo ((Il dolore è impossibile da sopportare, dà alla guancia, un po 'all'occhio e all'orecchio. Ho bevuto 4 compresse di chetone oggi - non ha aiutato. Non c'erano lesioni visibili sui denti. Solo il fondo dall'altra parte è in attesa di un sigillo Come capire qual è il problema? Temo che i dentisti non saranno in grado di aiutarmi. Nel distretto di Seversky, la medicina è "famosa" ((
Benvenuti! Solo dalla tua storia è difficile giudicare la causa del dolore. In generale, il dolore dei denti inferiori di solito si irradia all'orecchio.
Che tu soffra dal dolore allo svenimento è, a dir poco, una situazione anomala: è importante risolvere il problema il prima possibile. Trova a distanza il dente causale in una sola descrizione, senza immagini è impossibile. Devi prendere un appuntamento con il dentista. Nonostante il fatto che esternamente non vi siano danni ai denti, la diagnostica dovrebbe anche essere accompagnata da immagini, poiché spesso c'è un processo cariato nascosto.
Più tardi inizi il trattamento dentale, maggiore è la probabilità di rimuovere un dente problematico, quindi ti consiglio di sbrigarti.
Mi fa male il dente, cosa devo fare?
Mi fa davvero male il dente. Sono incinta, non so cosa fare, cosa bere. Ne ho bevuto nekst - non aiuta. Sciacquare la bocca - non aiuta. Cosa fare E ho paura di andare dal dottore.
Benvenuti! Sfortunatamente, non conosco la durata della gravidanza ed è difficile parlare dei rischi di alcune procedure dentali, ma oso assicurarti che non dovresti lasciarti trasportare dagli analgesici (antidolorifici). Nel frattempo, i dentisti hanno anestetici nel loro arsenale che possono essere utilizzati per le donne in gravidanza. Inoltre, un buon specialista può eseguire solo una procedura, dopo di che il dolore scompare - e questo è molto meglio del bere pillole per settimane.
La salute del nascituro può dipendere dal fatto se ora puoi superare la paura e andare dal medico (invece di continuare a bere antidolorifici e rischiare di sviluppare gravi complicazioni). Pertanto, abbi coraggio e affrettati dal dottore!
I miei denti sono molto brutti ... li tratto, ovviamente, ma a volte no, no, ma da qualche parte sparano, così tanto che voglio arrampicarmi sul muro. Quando non c'è modo di andare subito dal medico, bevo Migrenium, mi aiuta perfettamente!
Un ottimo sito, ho imparato molte cose utili sui dentisti e su tutti i tipi di terribili malattie dentali. Ora so solo questo da tutta la nostra famiglia e nessun altro.
Il dente fa male. Sono andato dal medico - ha detto che avevo bisogno di essere rimosso e ha dato indicazioni. Quindi si fermò. E ora fa di nuovo male, le pillole non aiutano. Cosa fare, aiuto ?!
Benvenuti! È difficile determinare la causa del dolore e le tattiche di un ulteriore trattamento in contumacia senza esame e un quadro. In ogni caso, non è necessario sopportare il dolore, soprattutto se si considera che il medico ti ha inviato per rimuovere il dente. Ciò significa che, molto probabilmente, la situazione è abbastanza trascurata, ed è meglio sbarazzarsi del dente il più presto possibile per evitare lo sviluppo di gravi complicazioni. Pertanto, affrettati dal dottore. Se non vuoi assolutamente rimuovere un dente, puoi sempre ottenere consigli in 1-2 altre cliniche al fine di ottenere diverse opinioni indipendenti.
Mi hanno messo l'arsenico, ma non l'hanno detto. Oggi l'ho tirato fuori, dopo di che un dente si è ammalato. Cosa devo fare? Si scaldò le gambe, bevve analgin e aglio. Ma non aiuta.
Ciao marina. Nei processi infiammatori dei tessuti interni del dente, si raccomanda la depulpazione, cioè la rimozione del fascio neurovascolare dai canali dentali. Nel caso di un lungo processo infiammatorio, a volte una pasta devitalizzante ("arsenico") viene talvolta installata nella cavità dentale - direttamente sul nervo aperto.
Per quanto riguarda il tuo caso, posso presumere che la presenza di pasta devitalizzante fosse troppo breve e non abbia portato all'uccisione del "nervo" del dente. Inoltre, le particelle di cibo potrebbero entrare nella cavità, il che è un ulteriore irritante.
Dovresti contattare il tuo medico il prima possibile per riapplicare la pasta devitalizzante. Non vale la pena ritardare il completamento del trattamento, poiché dopo un po 'l'infezione può avanzare lungo i canali del dente fino alle sue radici e causare un processo infiammatorio lì.
Niente aiuta più. Bene, dai come leggere l'articolo può aiutare con il mal di denti ?!
Sono sorpreso di me stesso.
Un dente fa davvero male ... Ho bevuto nemisil + analgin. Calmarsi lentamente, ma non posso mentire. Quando sulle gambe - passa, e non appena mi sdraio - di nuovo un forte dolore. Penso che questa sia la pulpite. Registrazione il 30/05/05. Se solo potessi raggiungere la mattina ... ((
Per favore aiutatemi Il dente ha iniziato a fare molto male. Fino alle lacrime Sto pensando sempre alla morte. Dolore insopportabile Ketorol ha bevuto, non aiuta affatto. Aiuto, per favore! Grazie in anticipo
Salve, Nina. Sì, il mal di denti acuto è, per usare un eufemismo, una sensazione spiacevole, spesso accompagnata da un generale deterioramento del benessere. Tuttavia, invece di pensieri distruttivi sulla morte, ti consiglio di concentrarti ancora su aspetti più costruttivi, prima di tutto su una visita precoce dal dentista. L'odontoiatria moderna ha fatto molta strada: il dolore acuto può essere fermato già alla prima visita (tanto più, i pazienti con dolore acuto vengono portati fuori turno).
Noto anche che l'assunzione di antidolorifici può solo dare un effetto a breve termine, ma non risolve la causa del dolore. Quindi, in ogni caso, devi affrettarti dal dottore. Sii in salute!
Un dente fa davvero male, ma non ci sono soldi per tirarlo fuori. Se vai in ospedale, lo strapperanno gratis?
Ciao, Dauren. Devi assolutamente andare in ospedale e il dente può davvero essere rimosso gratuitamente nel luogo di residenza (o assicurazione). Inoltre, potrebbe non essere necessario eliminarlo. Vale anche la pena considerare che se si lascia tutto così com'è e non si va dal medico, la situazione può essere gravemente aggravata, fino alla perdita di diversi denti e allo sviluppo di complicazioni potenzialmente letali.
Sfortunatamente, è impossibile leggere e comprendere tutto questo quando hai mal di denti per 3 giorni di seguito ...
Il dente del giudizio fa male sopra e sotto il solito - c'è un piccolo buco. E ora non so quale sia il primo da trattare?
In questa situazione, non è necessario capire da soli quale dente iniziare a trattare per primo: questo è solo il compito del medico. Molto dipende dalle condizioni dei denti, dalla presenza di dolore acuto e dai processi infiammatori associati. È anche possibile che in una visita sia possibile trattare entrambi i denti.
Di tutti i dolori, il mal di denti è il più spiacevole. E ho dovuto affrontare il fatto che il dente faceva male senza nervi e molto. Ha camminato su cinque dentisti in due anni. Sulla tomografia hanno detto: c'è un piccolo granello sull'apice della radice. Cioè, l'oscuramento è un'infiammazione. Ma nessun singolo medico, al microscopio o senza microscopio, voleva intraprendere un ritiro.Il dente fa male, soprattutto nella stagione fredda. Fa così male che è impossibile da sopportare. Sono salvato prendendo l'ibuprofene, non più di due volte. Quindi lascia andare. Ma il dente stesso fa male anche in un momento di calma con la pressione. Cosa fare nella mia situazione? Il disagio è forte. E non voglio perdere un dente. Il dente stesso è stato trattato al microscopio. Il nervo è stato rimosso due anni fa. Il cibo è bloccato. Non vivo senza un filo per i denti.
Ciao Alexandra. Nel tuo caso, è necessaria una diagnosi e una revisione approfondite dei canali radicolari. È anche necessario un esame per la presenza di tasche gengivali, la diagnostica del riempimento stesso e, se l'adattamento marginale viene rotto, deve essere sostituito. È necessario considerare la tomografia computerizzata per la diagnosi dei denti vicini, ci sono spesso casi in cui il paziente si lamenta di dolore, sembrerebbe un dente, ma dopo la diagnosi, la fonte di infiammazione e dolore è un dente vicino. Quindi la situazione non è semplice e sembra che tu debba continuare la ricerca di un medico che si impegnerà comunque a risolvere il problema.