
Quando un dente del giudizio cresce e la gomma fa male, nella maggior parte dei casi viene fatta una diagnosi come la pericoronite - eruzione difficile. È importante capire che in tali casi non fa male il dente del giudizio stesso, ma i tessuti molli che lo circondano, il dolore in cui è una risposta all'irritazione del dente in crescita e spesso il settimo "vicino" accanto ad esso.
Tale costante irritazione delle gengive porta alla sua infiammazione, che è caratterizzata dai seguenti cinque segni:
- il dolore;
- gonfiore;
- aumento della temperatura locale;
- iperemia (arrossamento);
- alcune disfunzioni.
Il dolore e il gonfiore che accompagna le gengive attorno al dente del giudizio in crescita è un chiaro segnale che è necessario prendere urgentemente un appuntamento con il dentista. Non dovresti aspettarti che il dente esploda presto e il problema si risolverà da solo.

Ci sono persone che, invece di andare dal dentista-chirurgo per aiuto, limitano semplicemente il dolore con antidolorifici (chetorolo, analgin, tempalgin, ecc.), Ma questo è un approccio irragionevole, dal momento che qualsiasi processo infiammatorio nella regione dell'ottavo dente inferiore (saggezza) estremamente pericoloso. Il pericolo sta nel fatto che la diffusione del pus, e con esso un'infezione batterica, negli spazi cellulari profondi della mascella in tali casi avviene in modo estremamente rapido.
Prima di tutto, le persone con un sistema immunitario ridotto o debole reattività del corpo a una concentrazione infettiva sono interessate. Negli spazi cellulari profondi c'è abbondante apporto di sangue, quindi l'infezione da loro penetra ulteriormente, spostandosi nelle aree interfasciali del collo, fino al mediastino. Sullo sfondo di una violazione dell'immunità, l'attività dei batteri patogeni può alla fine causare sepsi (avvelenamento del sangue) e morte.

nota
Nel programma "Let them talk" del 18 luglio 2011 con l'argomento scandaloso "Tooth I do" c'erano tre storie relative alle tragedie e ai drammi all'appuntamento dentale. La storia più terribile era legata alla morte di una ragazza di Kirov - da un dente del giudizio.
Una ragazza giovane e in buona salute alla vigilia del matrimonio ha avuto un dente del giudizio. Dopo aver sofferto di dolore durante la notte, è andata alla clinica locale più vicina, dove il chirurgo ha compreso l'essenza del problema come una dentizione difficile e ha praticato un'incisione nelle gengive per "rimuovere" il "cappuccio" ostruente in questo modo e aiutare il dente a strisciare. Allo stesso tempo, il medico non ha prescritto alcun farmaco e ha trascorso le cure di emergenza nel fine settimana, inviando la ragazza per ulteriori esami nel luogo di residenza. Non ci sono stati miglioramenti dal trattamento: la temperatura è aumentata, il gonfiore delle gengive vicino al dente del giudizio è aumentato, il dolore si è intensificato, quindi la ragazza si è rivolta a una clinica privata per chiedere aiuto.
Lì è stata lavata la ferita lasciata dall'ultimo medico dopo l'operazione di escissione del cappuccio, ma ancora una volta non è stata prescritta alcuna prescrizione. Il giorno dopo, la ragazza chiese di nuovo aiuto, ma già in clinica nel luogo di residenza, dove, a parte lavare la ferita, non fu fatto nulla e la sera di quel giorno fu ricoverata all'ospedale di Kirov.
Il mattino seguente si verificò la morte per intossicazione. La conclusione sulla morte è la sepsi odontogena (avvelenamento del sangue), cioè da un dente del giudizio che non potrebbe esplodere. Sulla base della storia medica, è stato aperto un procedimento penale, ma non ci sono stati successi durante l'anno della lotta di sua madre con persone potenzialmente colpevoli, ad eccezione del licenziamento del medico dalla clinica.
Perché le gengive possono far male?
Quando il dente inferiore della saggezza cresce, allora quasi sempre la gomma sopra di essa inizia a fare molto male. I denti del giudizio superiori esplodono più spesso senza dolore, ma spesso si discostano verso la guancia e possono quindi diventare una fonte di traumi permanenti.
Pertanto, un forte dolore indica spesso un processo infiammatorio sotto il cosiddetto cappuccio gengivale - un tessuto molle sopra il dente che li danneggia.

Oltre al dolore, si notano gonfiore e arrossamento delle gengive. Nel tempo, le forme di pus sotto il cappuccio di un dente del giudizio, la temperatura può aumentare, si verifica spesso mal di testa, l'appetito diminuisce, la salute generale peggiora e appare debolezza. Durante la deglutizione, può verificarsi dolore sul lato in cui cresce il dente del giudizio, a volte la gola, l'orecchio e persino l'intera mascella fanno male.
Con un aumento della quantità di pus nell'area dell'infiammazione, l'apertura della bocca peggiora, il che a volte non consente al medico di esaminare completamente l'area corrispondente della gomma, che ha causato tali problemi. Il dolore e altri sintomi e segni ad esso associati consentono al dentista di fare una diagnosi: pericoronite o difficile dentizione della saggezza.
Solo un dentista competente può decidere cosa fare con un dente del giudizio in crescita, da cui la gomma fa male e che cresce in modo errato in oltre la metà dei casi clinici.
Foto dei denti del giudizio rimossi:

Quando dentano i denti del giudizio, spesso hanno una banale mancanza di spazio: possono crescere lateralmente e verso il vicino più vicino. In generale, i denti del giudizio inferiori sono i più problematici, poiché quando esplodono compaiono di solito uno o due tubercoli, ricoperti di una gomma, come un "cappuccio", sotto il quale, come in un "bidone della spazzatura", il cibo viene costantemente riempito e marcito.
All'inizio, questo si manifesta con l'odore sgradevole di decomposizione dalla bocca e un lieve dolore durante la masticazione di cibi solidi. Presto il dolore alle gengive si intensifica, a volte sorgono sensazioni dolorose nella guancia, vengono provocati denti adiacenti, mascella, gola, orecchio, mal di testa e la febbre può aumentare.
Il dolore provoca non solo una sensazione di "scoppio", che crea un dente del giudizio nelle gengive per analogia con il taglio dei denti da latte nei bambini. C'è la formazione di essudato purulento (semplicemente pus), che non trova una via d'uscita da sotto le gengive e si precipita nel tessuto circostante. Irrita e stringe numerose terminazioni nervose, causando un forte dolore non solo nel dente del giudizio causativo, ma anche irradiando (dando) lungo i rami nervosi ad altri organi e formazioni (guancia, orecchio, gola, ecc.).

Perché i denti del giudizio sono pericolosi?
I denti del giudizio che causano la pericoronite comportano un potenziale pericolo per la salute e la vita umana.
La pericoronite si forma sullo sfondo dell'attività della microflora batterica, che trova un ambiente favorevole per la vita e la riproduzione sotto il cappuccio gengivale del dente del giudizio. Oltre alla formazione di essudato purulento sotto la gomma, spesso c'è anche una lesione meccanica alla zona gonfia della gomma che si gonfia a causa dell'infiammazione, coprendo il dente del giudizio, a seguito del quale si formano erosioni e ulcere sulla sua superficie, peggiorando le condizioni dei tessuti circostanti e provocando forti dolori alla gomma e alla guancia.

Dopo alcuni giorni, può verificarsi la pericoronite purulenta, che è caratterizzata da un forte e costante dolore dietro la saggezza dei "sette" adiacente al dente. Può comparire dolore che penetra nell'orecchio e nella tempia e si avverte anche quando si deglutisce come una "mal di gola dentale". Sullo sfondo dell'infiammazione locale, la temperatura corporea sale a circa 37,5 gradi e l'apertura della bocca viene interrotta.
I linfonodi sottomandibolari si allargano e diventano dolorosi alla palpazione. Con la pressione sul cappuccio, il pus viene rilasciato - la causa di tutte le sofferenze. Sullo sfondo di un dente del giudizio in eruzione difficile, vengono visualizzati arrossamento e gonfiore del tessuto della guancia adiacente, arco palato-linguale e palato molle.
La fase acuta dell'infiammazione con alti livelli di difesa immunitaria e la rottura del pus nella cavità orale possono trasformarsi in una forma cronica lenta, ma dopo un certo periodo si verifica di solito un'esacerbazione. A causa di una violazione del deflusso di pus, può verificarsi una periostite post-molare con gravi fenomeni di intossicazione: un aumento della temperatura corporea a 38,5 con l'incapacità di masticare il cibo sullo sfondo della difficoltà ad aprire la bocca.

In tali casi, il medico osserva l'asimmetria del paziente della faccia sul lato in cui cresce il dente del giudizio, nonché il pallore della pelle, i linfonodi ingrossati e dolorosi. Il paziente praticamente non può aprire la bocca da solo, quindi il medico deve aprire la mascella.
Importante da sapere
Con l'ulteriore diffusione dell'essudato purulento, ci sono rischi di sviluppare flemmone e sepsi, che porta alla diffusione dell'infezione agli organi vitali con grave intossicazione e questo spesso porta alla morte.
La foto mostra un esempio di flemmone (infiammazione purulenta versata acuta):

Come anestetizzare un dente del giudizio a casa: metodi popolari
I denti del giudizio crescenti (specialmente quelli inferiori) sono insidiosi nel senso che in oltre il 60% dei casi la mascella non è posizionata correttamente. Quasi sempre, l'inclinazione è orientata verso il settimo dente, il che crea molti problemi. Prima di tutto, è un dolore.
Di conseguenza, quando il dente del giudizio in eruzione inizia a far male, molti cercano di risolvere il problema a casa e semplicemente in qualche modo anestetizzarlo. È importante trovare una via di mezzo qui: nessuno dei dentisti si oppone se una persona cerca di ridurre il dolore da sola, ma non dimenticare che le cure di emergenza indipendenti non dovrebbero trasformarsi in un trattamento a lungo termine con "metodi della nonna".

Considerando gli avvertimenti di cui sopra, diamo un'occhiata agli approcci popolari per risolvere il problema che sono abbastanza adatti per l'uso nella pratica.
- Se la gomma fa male da un dente del giudizio in crescita, allora puoi prendere 2 cucchiai di salvia e versare 0,5 litri di acqua bollente. Insisti per un'ora. Dopo il filtraggio, sciacquare la bocca con una soluzione calda fino a quando il dolore diminuisce. In generale, quasi tutti i risciacqui caldi sono molto utili in questi casi.

- Se il dente del giudizio superiore o inferiore fa male e le gengive intorno sono infiammate, allora un decotto di corteccia di quercia può essere usato per il trattamento domiciliare - ha proprietà battericide. Dovresti prendere 6 cucchiai di corteccia, versarli con 0,5 litri di acqua bollente e mettere a fuoco basso. Dopo l'ebollizione, puoi anche aggiungere 4 cucchiai di salvia e dopo il raffreddamento, sciacquare con brodo caldo circa una volta ogni ora. Tale decotto allevia il dolore piuttosto bene e, in una certa misura, antisettico nella cavità orale.

- Secondo un'altra ricetta popolare, se un dente del giudizio fa davvero male, puoi preparare un decotto di rape. Per fare questo, prendi 2-3 cucchiai di rapa tritata, versa acqua e porta a ebollizione. Cuocere dopo che richiede 15 minuti. Sciacquare la bocca con brodo caldo il più spesso possibile.

Se non ci sono salvia, corteccia di quercia o rapa in casa, puoi approfittare di ciò che è sempre a portata di mano: il normale bicarbonato di sodio e il sale sono adatti. Un cucchiaino di soda e sale dovrebbe essere sciolto in un bicchiere di acqua calda e sciacquare la bocca, più spesso, meglio è - fino a quando il dolore non sarà sostanzialmente o completamente alleviato.

Cosa fare con il dolore di un dente del giudizio se le opzioni di cui sopra per qualsiasi motivo non possono essere implementate? Bene, puoi alleviare il dolore con i farmaci ...
Farmaci a casa per il dolore alle gengive di un dente del giudizio in crescita
L'effetto dell'uso di antidolorifici (Ketanov, Ketorol, Nurofen, Nise, ecc.) È generale e non molto lungo - di solito da 1-2 a 4-5 ore. Ci possono essere situazioni in cui gli antidolorifici non funzionano e una persona, al fine di sbarazzarsi del dolore nella gomma sopra un dente del giudizio, una guancia o una mascella, aumenta la dose di droghe bevendo una manciata di compresse in un breve periodo di tempo, che a volte può portare a gravi avvelenamenti.
Se la pillola analgesica non aiuta, non dovresti aumentare la dose, ma è meglio cambiare semplicemente il farmaco antidolorifico con uno alternativo. Ad oggi, le farmacie ne hanno una vasta gamma.

È interessante
I chirurghi orali e maxillo-facciali stanno attualmente ricorrendo alla prescrizione del farmaco etoricoxib, che è costoso rispetto alle solite pillole analgesiche, ma a lungo nel suo effetto analgesico e antinfiammatorio. Nelle istruzioni per il farmaco non si fa menzione di problemi dentali, ma allevia perfettamente il dolore maxillo-facciale. Inoltre, la sua unicità è che prende solo 1 compressa al giorno, poiché il suo effetto analgesico dura 24 ore, il che riduce l'effetto tossico del farmaco e il carico sul fegato.
Per l'applicazione topica, al fine di ridurre il dolore alle gengive durante la dentizione dei denti del giudizio, vengono utilizzati anche risciacqui antisettici con soluzioni deboli di clorexidina ed Eludril. La soluzione spray e Angilex viene utilizzata per l'eruzione dolorosa sia dei denti primari che dei denti saggi negli adulti.

Il gel "Kamistad" a base di composti antinfiammatori, analgesici e antibatterici riduce l'attività batterica sotto il cappuccio e anestetizza anche la gomma sopra il dente del giudizio. La composizione del farmaco comprende estratto di fiori di camomilla (antisettico) e lidocaina cloridrato (analgesico) con l'aggiunta di una soluzione alcolica.


Trattamenti chirurgici per la saggezza della dentizione
I denti del giudizio possono iniziare a esplodere a quasi tutte le età: sia a 16 che dopo i 40 anni. Il primo pensiero sensato che visita un adulto in momenti di dolore acuto è quello di rimuovere un dente "saggio" malato a tutti i costi, in quanto vi sono tutte le ragioni considerarlo non necessario per un morso. Tuttavia, in pratica, dopo un po 'di tempo, sorgono paure prima dell'operazione di rimozione e la visita al chirurgo dentale viene eventualmente ritardata, sebbene il problema rimanga irrisolto.
nota
Le paure che gli adulti della "vecchia scuola" hanno prima della manipolazione potenzialmente complessa della rimozione di un dente del giudizio (specialmente quello inferiore) sono abbastanza giustificate, poiché la generazione cresciuta nell'Unione Sovietica ricorda i metodi usati per la rimozione complessa. Per separare le radici del dente del giudizio quando fu eruttato in modo errato, furono usati uno scalpello e un martello. La procedura era, per dirla in modo lieve, sgradevole e in generale anche molto pericolosa a causa dei rischi di incrinature della mascella, lesioni alla testa quando il martello si staccava, e talvolta ci volevano ore, poiché il dente del giudizio a causa della sua struttura complessa poteva avere radici aggiuntive piegate sotto angolo retto. Attualmente, scalpelli e martelli sono usati molto raramente.
Nella foto - un dente del giudizio rimosso in alcune parti:

se rimozione dei denti del giudizio superiori, di regola, non causa difficoltà, anche se crescono di lato, quindi quelli inferiori sono quasi sempre un mal di testa per un chirurgo dentista inesperto e un'intera arte per un professionista. Vale la pena spiegare questo punto. Il fatto è che il merito principale di qualsiasi medico competente non è la velocità con cui afferrò il bisturi, tagliò la gomma, o agganciò ed estrasse un complicato dente del giudizio con una pinza, sollevò un tampone di garza dall'alto e diede a un paziente spaventato un buon calcio nel culo ( cioè, educatamente detto addio a lui).
Una componente importante dell'approccio professionale è una diagnosi a tutti gli effetti, il monitoraggio della salute del paziente, la preparazione all'intervento chirurgico e il monitoraggio completo del periodo postoperatorio. Pochi professionisti possono vantarsi che ogni paziente ha un programma di trattamento individuale, capisce perché sta facendo qualcosa e quali prospettive attendono la persona dopo queste azioni.
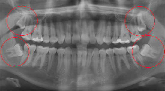
Qualsiasi dentizione difficile del dente del giudizio con dolore alla gengiva e ai tessuti circostanti richiede una diagnostica a raggi X. Per determinare la posizione del dente nella mascella (angolo di inclinazione, struttura, forma), viene utilizzato un ortopantomogramma (OPTG) o un'immagine panoramica di tutti i denti su entrambe le mascelle.

Puoi anche effettuare uno scatto mirato su un visiografo, un dispositivo che trasmette un'immagine al monitor di un computer. Dopo che il dentista sa con cosa ha a che fare, pianifica un'operazione: spiega i rischi per il paziente, il tempo approssimativo della procedura, le caratteristiche del periodo postoperatorio dopo la rimozione del dente del giudizio, ecc.
Prima dell'operazione, viene effettuato un monitoraggio sanitario: assunzione di anamnesi (storia della malattia attuale, patologie concomitanti), conduzione di un esame del sangue generale, biochimica, determinazione del gruppo sanguigno e fattore Rh in base alle indicazioni, ecc.
Dall'esperienza del dentista
Il diabete mellito rilevato in un paziente prima dell'intervento di estrazione dentale richiede una correzione individuale obbligatoria delle manipolazioni imminenti. Se il diabete mellito si trova nella fase di scompenso, è impossibile rimuovere il dente del giudizio in modo pianificato e, in caso di emergenza, è richiesto un monitoraggio obbligatorio della salute del paziente da parte di un endocrinologo e spesso in ospedale. prolungata sanguinamento da un buco dopo l'estrazione di un dente problematico può essere una conseguenza del diabete.
In alcune forme di diabete, il buco non guarisce bene, quindi, dopo aver rimosso il dente del giudizio e le sue radici dal buco, il dentista-chirurgo dovrebbe prendere le misure necessarie. Questa malattia richiede un atteggiamento speciale nei confronti del paziente, la correzione della malattia di base, in modo che l'operazione si svolga senza intoppi.
Ritorniamo alla domanda di asportare una cappa con un bisturi sopra un dente del giudizio per aiutarlo a tagliare e alleviare il dolore dall'infiammazione dei tessuti molli.

La maggior parte dei chirurghi dentali progressisti, per i quali la chirurgia non è solo un lavoro, ma uno stile di vita e una vera arte, non consiglia di fare ciò che molti anni fa e ancora praticato in cliniche e dipartimenti dentali. Gli studi di questo problema hanno portato a conclusioni deludenti: i rischi di dolore ripetuto alle gengive, alla mascella, alla guancia, alla gola e all'orecchio dal dente del giudizio dopo l'escissione (taglio) del cappuccio sopra di esso sono così alti che non danno ai medici il diritto di correre rischi, giocando con le loro vite sospettare pazienti.
A sostegno dei risultati della ricerca, ci sono molti esempi di casi (sia sensazionali che poco conosciuti), quando l'escissione con un bisturi di una gomma sopra un dente del giudizio ha portato solo a un deterioramento del processo purulento con lo sviluppo di gravi complicazioni, fino alla morte di una persona. Quando ci sono indicazioni al 100% per la rimozione e i chirurghi dentali le ignorano a favore dell'approccio del trasportatore senza una valutazione completa della situazione dal punto di vista dei moderni sviluppi in medicina, diagnosi, logica, sorgono casi tragici.

Il consiglio del dentista
È possibile applicare l'asportazione del cappuccio per alleviare il dolore durante la pericoronite solo se non c'è modo di rimuovere il dente del giudizio per ragioni oggettive, vale a dire: non ci sono strumenti per la rimozione complessa, attrezzature insufficienti della clinica o bassa qualifica del medico. In altre parole, puoi correre rischi quando non vengono create le condizioni per il lavoro. Tuttavia, un dentista guidato in tali condizioni dovrebbe misurare i rischi (inclusa la testa) di possibili danni alla salute e alla vita del paziente. E se possibile, indirizzare culturalmente i pazienti ai loro colleghi per la completa rimozione dei denti del giudizio in caso di crescita problematica con una gestione competente del periodo postoperatorio.
Quali altri problemi potrebbero aspettarti?
La pericoronite, o difficile dentizione della saggezza, è una malattia grave che può anche portare a problemi di morso. Poche persone sanno che dopo il dolore alla gengiva e l'infiammazione del cappuccio sul dente del giudizio, se non viene rimosso, si verifica spesso una malocclusione: spostamento della dentatura. Questo è il motivo per cui coloro che devono affrontare per la prima volta i denti del giudizio difficili per la prima volta, si consiglia di consultare non solo un dentista-chirurgo, ma anche un dentista ortodontista (un medico che si occupa di malocclusione).

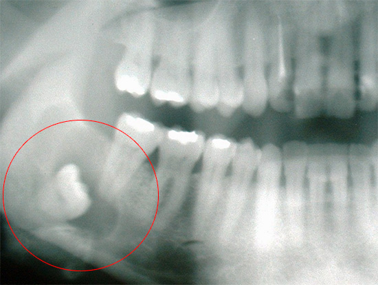
Spesso i denti inferiori della saggezza iniziano a tagliare e ferire, ma non hanno fretta di apparire sulla superficie delle gengive.Nelle immagini è possibile osservare come il dente "saggio" sia quasi in inclinazione orizzontale rispetto a quello adiacente, per cui in alcuni casi clinici inizia anche a provocare dolore. Anche nel dente del giudizio che non è ancora apparso sulla superficie delle gengive, possono verificarsi carie e sue complicazioni, poiché i batteri cariogeni passano facilmente sotto la gomma dietro il penultimo "sette".
I denti del giudizio iniziano a far male, non solo a causa di problemi durante la dentizione, ma anche dopo un'uscita completa o parziale di successo dalle gengive. Non hanno quasi mai un antagonista sul lato opposto, sono troppo distanti nella mascella, spesso al di sotto del livello del settimo dente e, di conseguenza, il loro livello di autopulizia e igiene lascia molto a desiderare. Pertanto, la carie si sviluppa rapidamente sul dente del giudizio, spesso con danni alla camera della polpa, accompagnata da dolore parossistico acuto e sensazioni dolorose di lunga durata da varie sostanze irritanti (pulpite).


nota
Il ruolo degli esami preventivi in relazione alle previsioni per i denti del giudizio non può essere sopravvalutato. I dentisti ortodontici competenti sanno che già all'età di 15-18 anni, dalle immagini diagnostiche dei denti è possibile dire con precisione se verrà eseguita la pericoronite e cosa si può fare ora con i denti del giudizio che ovviamente non si adattano alla mascella o sono rivolti verso il settimo dente. Di solito, un dente formato in modo incompleto è più facile e veloce da rimuovere rispetto a uno che ha una rete radicale strutturata e ramificata. Anche la presunta rimozione complessa in una clinica ben attrezzata da parte di uno specialista competente non richiede più di 10-15 minuti, e talvolta solo 5 minuti.
Video interessante: rimozione di un dente del giudizio (riprese con un microscopio dentale)
Cosa è utile sapere sulla saggezza della dentizione



Grazie per l'articolo!
Articolo molto utile. Grazie
Grazie Hanno aiutato a decidere di andare dal dentista.
Gente, andate dal dentista! Mia sorella ha sofferto per diverse settimane, sciacquata, bevuto un antidolorifico. Quindi si arrese e andò dal dottore, e lì, si scopre, il dente del giudizio cresceva in modo errato, doveva essere rimosso. Si ritirarono, infatti, cadde quasi perché lì faceva male, e sembrava che ci fosse anche pus. Le ho portato un gel periodontocida, l'ho spalmato sulla marlechka e l'ho applicato sul punto danneggiato della gomma - il suo medico le ha consigliato in modo che guarisca più velocemente. Ma ha vietato il risciacquo nei primi giorni, ha detto che potrebbe essere fatto peggio. In generale, se la sorella non avesse aspettato così a lungo, tutto sarebbe stato più facile e veloce. E così tanto tormentato. Non vale la pena scherzare con i denti della saggezza! Meglio immediatamente dal medico. Devi metterti alla prova per forza!
Grazie per l'articolo! Grazie a lei, ha deciso di andare dal dentista. Ha aperto il cofano, ha detto che ci avrebbe disturbato - lo rimuoveremo. Non sopportarlo: vai alla diagnosi!
Due denti crescono su entrambi i lati. A destra, ha iniziato a sembrare terribile come fare del male, è quasi uscito! Cresce correttamente, verso l'alto, non è diverso dai precedenti. Bello, anche.Penso che forse dovremmo tollerarlo mentre striscia completamente attraverso ?!
Ciao Lily! In questo caso, hai un dente del giudizio difficile da mordere. Sotto il cappuccio, che copre il bordo posteriore del dente, il cibo è imbottito e marcito. Ciò migliora il processo infiammatorio e il dolore.
Consiglio vivamente di visitare un dentista che decide se aspettare o è meglio prendere immediatamente misure drastiche. Pertanto, si sposta la responsabilità verso il medico, che dopo aver esaminato il dente dirà: camminare così o rimuovere il dente.
Senza vedere la tua situazione clinica, non posso darti la speranza di avere pazienza e fortuna di successo. Certo, il più delle volte anche la dolorosa dentizione dei denti del giudizio avviene senza complicazioni e fa visita al dentista stesso, secondo il principio: tormentato per un paio di settimane - il dente è uscito e ha smesso di causare preoccupazione. Tuttavia, se compaiono sintomi terribili: gonfiore della guancia, difficoltà ad aprire la bocca, febbre, forte dolore intollerante, incapacità di masticare, è necessario consultare immediatamente un medico.
Sì, ci sono passato. Era incinta a 26 settimane. E poi il dente del giudizio inizia a disturbare: sono andato in ospedale, l'hanno tirato fuori per me e basta. La temperatura è aumentata in ospedale, non riesco ad aprire la bocca, non riesco a mangiare, fa male a deglutire. Quindi gonfiore delle guance. Hanno inserito il ChLH e fatto l'operazione.
Grazie per l'articolo, dopo averlo letto, ero convinto che senza un dentista in alcun modo. C'è esperienza nella rimozione di un dente del giudizio. D'altra parte, dopo la rimozione, ho provato un terribile dolore alla gomma nel luogo della rimozione, ma ne vale la pena! Meglio rimuovere e sopportare che sopportare il dolore la prossima volta.
Quattro mesi fa, il cappuccio è stato rimosso perché l'8 dente inferiore in eruzione era terribilmente malato. Per tutto questo tempo, nulla ha infastidito, ma ieri c'è stato di nuovo dolore, le gengive sono diventate rosse e gonfie. Non ho ancora visitato un dentista, ma non riesco ad aprire completamente la mascella. Immagino sia tempo di vedere un dottore. Risciacquare con furatsilin e iodinolo.
Se questo è in natura, allora per qualche motivo è necessario. Niente è superfluo. Anche l'appendice, come recentemente scoperto, non è affatto inutile. E i medici dicono di rimuovere perché è una procedura più costosa della semplice escissione delle gengive. È necessario trarre profitto da qualcosa.
Dimmi cosa devo fare. Un dente del giudizio fa male terribilmente, insopportabilmente, e nel nostro villaggio non c'è dentista.
Benvenuti! Se vuoi sentire qualcosa di simile a me: "Parla con Baba Mani, che vive alla fine del villaggio, o risciacqua con soda, sale, furatsilinom, tira fuori il dente da solo, ingoia un mucchio di pillole antidolorifici", ecc. Posso immediatamente arrabbiarmi. Tale consiglio può farti del male, e se aiuta per un po ', è fino alla prossima esacerbazione, fino al "flusso" versato e al tavolo operatorio. Se il villaggio non ha un tavolo operatorio, puoi "giocare al box". Mano a cuore, Dmitry, lo associo a una nota domanda maschile: "Cosa dovrei fare, gente: un'auto si è rotta in un campo, non c'è connessione, non c'è denaro, non posso aggiustarla da sola, ma per qualche motivo Internet la prende?"
Vale a dire, grazie a piccoli villaggi e villaggi in cui non ci sono dottori, le statistiche di sopravvivenza per vari problemi medici sono tristi, MA le persone più audaci e volenterose chiedono a un fabbro di rimuovere un dente per un ringraziamento in anestesia locale, e quelli più intelligenti e avanzati vanno dall'auto vicina o vanno 200-300 km a piedi fino alla fermata più vicina per arrivare in un centro o città regionale dove c'è un dentista e rimuovere un dente, in modo da non occuparsi del suo trattamento in più fasi, ma per proteggersi dalle complicazioni di un dente problematico.
In linea di principio, questi denti del giudizio vengono spesso rimossi in base a indicazioni oggettive, in modo da vincere questo da un punto di vista medico e territoriale.Devo dire subito che non è necessario registrare appositamente per il dolore acuto: molti medici effettuano eliminazioni di emergenza. Se i soldi sono stressanti, allora in ospedale e in clinica lo fanno quasi sempre gratuitamente (o quasi), ma l'anestesia corrispondente - secondo l'assicurazione medica obbligatoria. Se sei confuso dalla gamma di transizioni per un medico, su Internet puoi trovare molte persone che, per motivi di risparmio sulle cure dentistiche, organizzano migrazioni intere su centinaia di chilometri al fine di ottenere un aiuto di qualità e anche a prezzi bassi.
Se sei sicuro di essere fortunato con i rimedi popolari, allora questo sarà solo per la tua coscienza, dal momento che la vera assistenza medica può essere fornita solo da un medico specializzato, che è, in questo contesto, un chirurgo dentale.
Dimmi, per favore, una settimana fa abbiamo fatto l'asportazione del cappuccio, la bocca è diventata un po 'più facile da aprire già, e la gomma, a quanto pare, non fa male, ma non dà al tempio, e il tempio fa male anche più delle gengive. È normale o dovrei vedere un medico?
Ciao Irina! Inizierò con la mia poesia:
Dai denti inferiori, il dolore è diretto all'orecchio,
Nella parte posteriore della testa, nel tempio, nel dente superiore dà,
Dall'alto - "verso il basso" - questa è sfortuna:
E negli zigomi, nel "sopracciglio" - non dorme così!
Naturalmente, le caratteristiche dell'irradiazione del dolore non sono sempre suscettibili a questa formula, ma spesso. Perché ho detto che non è sempre: è in relazione al difficile dente del giudizio (quello inferiore è stato "processato" dopo di te), il che crea la sensazione che l'intera mascella, orecchio, gola, testa, ecc. fa male all'unisono con la gomma intorno al dente.
Penso che per ogni evenienza valga la pena contattare il dentista a causa di una possibile coincidenza: cosa succede se c'è un dente superiore cariato di fronte al dente del giudizio? In generale, non sono un sostenitore dell'escissione delle cappe, poiché è necessario tenere presente i rischi della sua possibile ricrescita in un determinato periodo di tempo (da diversi mesi a diversi anni). Ripeto che ciò non accade spesso, ma esiste un rischio.
Grazie per la risposta) Ma allora quali misure adottare se non escisse? Per rimuovere un dente?
Ciao Irina! È meglio rimuovere un dente del giudizio problematico, in particolare uno che esplode al di fuori della dentatura. E i dettagli, a quanto pare, ti sono stati scritti dal mio collega, Yuri. Guarda nel commento in basso: lì Yuri scrive dei denti del giudizio problematici, il cui cappuccio è stato "tagliato al punto" molte volte. Tuttavia, vale la pena ricordare che un certo numero di dentisti considera la rimozione dei denti del giudizio una fonte di reddito, con un costo aggiuntivo. Quindi cerca medici onesti.
Grazie! Un paio di problematici denti del giudizio furono rimossi contemporaneamente, senza di essi divenne molto più facile e persino il cappuccio fu inciso più volte. Ora di nuovo qui, dall'altro lato, ne sta arrivando uno nuovo e largo, anche se sta andando esattamente, ma è basso e sembra esercitare pressione sui vicini, e la gomma fa male, dietro la parete di fondo. Ancora una volta non voglio incidere, ti chiederò di rimuoverlo immediatamente! E poi la distorsione e lo spostamento dei denti adiacenti, credo, causeranno. Questo è un segno di "atavismo" da parte di antenati simili a scimmie, i denti del giudizio del poeta - sono così superflui. La funzione di masticazione non è stata creata. E consentire ai dentisti di correggere, secondo me, anche durante l'installazione di apparecchi ortodontici. Esperti competenti consigliano di rimuovere tutti e 4 i denti del giudizio in modo che non ci sia asimmetria mascellare!
Sei mesi fa, il dente del giudizio iniziò a scoppiare e la gomma si infiammò. Sono andato dal dottore. Intagliato il cappuccio. Ora il dente iniziò a crescere e la gomma si infiammò di nuovo e la guancia era gonfia. Vale la pena andare dal medico o il dente cresce e il dolore scompare?
Benvenuti! I protocolli e le raccomandazioni moderni "indirizzano" tali casi alla rimozione obbligatoria di un dente del giudizio. Nella maggior parte dei casi, non sono nemmeno invitati a tagliare il cofano per la prima volta, poiché questo è pieno di rischi.In questo contesto, confermi con il tuo caso clinico che è più opportuno eseguire immediatamente la rimozione dei denti del giudizio con pericoronite - eruzioni difficili rispetto a eseguire la chirurgia plastica del cappuccio sopra l'8 dente.
Se sei disposto a rischiare la tua salute e ad aspettare il tempo in riva al mare, non puoi andare dal medico. Altrimenti, ne vale la pena.
Un dente del giudizio esce, fa male terribilmente, sento mal di gola, è molto doloroso ingoiare dal lato di un dente malato, la mia bocca si apre, ma con dolore. Molto impaurito per tagliare il cappuccio. Dimmi cosa devo fare in modo che non ci sia un'infiammazione grave, in modo che, Dio non voglia, il pus non appare?
Benvenuti! Il modo più affidabile per aiutare in questa situazione oggi è rimuovere il dente con questa diagnosi. La pericoronite, o difficile dentizione della saggezza, è una malattia insidiosa. In effetti, hai ragione nel far apparire "pus".
L'asportazione della cappa viene ancora eseguita da molti chirurghi dentali. Questo è solo a tuo rischio e pericolo. Le tendenze attuali non mi danno il diritto di raccomandarti quest'ultima a causa di possibili complicazioni, anche se la percentuale di tali casi è minima. I decessi sono già stati registrati a causa di inutili e ripetute escissioni del cappuccio invece della completa rimozione del dente del giudizio. Tutto dipende da molti fattori, ma il rischio deve essere giustificato.
Non posso che dire che solo uno specialista competente che si è specializzato in questo campo da molto tempo e ha una buona base può rimuovere un tale dente del giudizio con conseguenze minime. "Conseguenze" - me lo chiedi? Naturalmente, questa è un'operazione per rimuovere un dente del giudizio. Anche se spesso eseguito in anestesia locale. Per quanto ne so, l'operazione di accisa del cappuccio, almeno, non fornisce un sollievo immediato. Il processo infiammatorio sullo sfondo di una lesione può disturbare circa 2-3 giorni e molto. Inoltre, non dimenticare che rimuovendo solo il cappuccio, non ti privi del rischio di possibili complicazioni, poiché nessuno sa se lavorare con un dente da solo aiuterà un dente con un bisturi.
La decisione è ancora tua da prendere e dovresti rivolgerti a un chirurgo maxillo-facciale professionale.
Ciao, ho riscontrato lo stesso problema, la parte inferiore della mascella fa male. Oggi sono andato in una clinica locale e ho fatto un'iniezione: prima la novocaina e poi una specie di antibiotico. Quindi ha deciso di verificare se ha fatto la cosa giusta o no. In generale, il secondo giorno normalmente non riesco ad aprire la bocca e masticare il cibo, mal di gola! Cosa puoi consigliare? Grazie in anticipo
Benvenuti! Sfortunatamente, per analizzare la situazione, non ci sono abbastanza informazioni: cosa è stato fatto con il dente, c'era un motivo nelle gengive, perché è stato iniettato l'antibiotico, ecc.? In generale, la novocaina non viene quasi mai utilizzata per l'anestesia. Non consiglierei di candidarti nuovamente per un appuntamento in cui questo farmaco viene utilizzato per l'anestesia. In generale, ti chiedo dettagli su questo problema, quindi alcune risposte saranno delineate.
I denti del giudizio crescono di 8 in modo indolore, ma d'altra parte sono stato tormentato per una settimana, fa male, non ho alcuna forza ((Il dente è scoppiato un po 'in mezzo anno e questo è tutto ... Sono andato dal dentista, ha detto, ho fatto fisioterapia per una settimana (non l'ho fatto, non c'era modo). Hood! È previsto un fine settimana, ma non ce la faccio più ... Non ce la fanno ... La mascella fa male, e mi fa male tutto il lato dei miei denti, una parte della mia faccia brucia di fuoco! Mi consigli cosa devo fare?
Benvenuti! Penso che l'automedicazione sia piena di molti rischi e l'anestesia porterà solo un benessere temporaneo. Sono sicuro che nella tua città ci sia odontoiatria 24 ore su 24 (privata o pubblica), che può fornire assistenza di emergenza.
Conoscendo la tua situazione come descritto, posso presumere che per te sarà rischioso asportare il cappuccio. Cioè, si corre il rischio di "inviare" l'infezione in profondità nella regione maxillo-facciale. Dentisti-chirurghi moderni con eruzione difficile (in particolare, con tendenza alla crescita dei denti "storti") i denti del giudizio raccomandano fortemente di non rimuovere il cappuccio e rimuovere immediatamente il dente ovviamente problematico. Credo che questo sia abbastanza naturale e ti salverà immediatamente da problemi futuri.
Voglio avvertire in anticipo che dopo aver rimosso un dente del giudizio, il conforto non arriverà immediatamente: potrebbe esserci dolore nei primi giorni dopo la rimozione e persino un leggero gonfiore. Tuttavia, quasi sempre dopo l'asportazione del cappuccio, accade la stessa cosa + i rischi rimangono che il dente del giudizio causerà molti problemi sotto forma di complicazioni (i decessi sono noti).
Grazie per un articolo così interessante, mi ha aiutato molto e ha capito i sintomi. E non riesco a capire qual è il problema. Ho pensato, congelato o bevuto qualcosa di freddo, ora è chiaro qual è il problema. E il video è fantastico, ora saprò come procede il processo di rimozione. Oh, aspetta me, il dentista, molto tempo fa non è andato da lui.
GRAZIE MOLTO. Non riesco davvero a parlare, la gola è gonfia da un lato. Il dottore dice: "Alla fine non è strisciato fuori, persevera". Non puoi bere medicine, io nutro il bambino con il latte materno. Soda e sale aiutano a ridurre il dolore per 15 minuti, proverò i tuoi altri consigli. Grazie per l'articolo
Il dente del giudizio fu rimosso, la rimozione fu difficile, tutti i denti del giudizio non poterono esplodere. Le gengive sono state suturate, il decimo giorno sono stati rimossi i punti. Oggi sono trascorse 2 settimane dall'intervento e l'odore della bocca mi dà fastidio. Anche se faccio bagni di clorexidina, l'odore rimane (il giorno in cui i punti sono stati rimossi, il medico ha lavato la ferita e ha detto che tutto guarisce bene) Ma cosa fare con l'alito cattivo? Ho qualche tipo di infiammazione? Ho ancora paura delle complicazioni ((
Benvenuti! Presumo che la ferita rimanga una fonte di ritenzione alimentare. Ti consiglio di rivolgerti a un dentista esperto per un consulto in clinica per trovare il motivo: non è sufficiente avere qui informazioni orali, ma è importante condurre un esame dettagliato nella cavità orale. Forse ci sono lesioni cariose sui denti, la ferita stessa è piena di detriti alimentari, le strutture ortopediche in bocca sono diventate inutilizzabili, ecc.
Mi siedo e piango. Perché non c'è più forza. Tutto è iniziato con il fatto che la bocca ha smesso di aprirsi. Sono andato in odontoiatria privata, senza esame, mi è stata diagnosticata un'infiammazione dell'articolazione temporo-mandibolare, prescritto voltaren in compresse, un unguento riscaldante, impacchi. È stato trattato una settimana in questo modo, il dolore è iniziato e il cibo è ancora impossibile. Sono andato in odontoiatria nel luogo di residenza. Hanno fatto una radiografia, ma di scarsa qualità, nella foto ci sono 2 denti del giudizio e l'articolazione non è visibile. Hanno continuato lo stesso trattamento, aggiungendo terapia UHF e amoxicillina. I dolori sono diventati intollerabili, gli antidolorifici: chetorolo, papaverina, prednisone, analgin hanno fermato il dolore per 2 ore. Tormentato per un'altra settimana. Si è posta la domanda sulla chiusura della lista dei malati. Abbiamo deciso di inviare nella regione, ma per cominciare, andare in un altro odontoiatria. Hanno fatto una foto sul visiografo, hanno visto 2 denti a sinistra, in alto e in basso, non sono riusciti a capire quale fosse la colpa. Hanno aperto la bocca con la forza con una spatola, ma non abbastanza, quindi hanno fatto 3 iniezioni. Agganciato sopra e sotto il cappuccio. Tutto ciò è stato accompagnato da tali dolori che è più facile dare alla luce 10 volte. Ceftriaxone è stato somministrato 2 volte. E questo è tutto. Sono trascorsi 2 giorni. I dolori sono insopportabili. La bocca non si apre affatto. Tutto fa male: mascella, orecchio, gola, tempia. Sciacquare costantemente la bocca con clorexidina, soda, sale, gomma da spalmare con crisalide, non c'è analgesico. Domani chiudono la lista dei malati. Se vivo Per favore aiutami, dimmi cosa devo fare dopo? Ti prego.
Benvenuti! Il fatto che tu sia stato "tagliato" dal cofano è una pratica viziosa. La maggior parte dei chirurghi maxillo-facciali praticanti è contraria a questa tecnica e raccomanda vivamente di rimuovere i denti del giudizio. Soprattutto con la difficile eruzione dell'ottavo dente inferiore. Penso che dovresti rimuovere urgentemente il problema con i denti saggi, se presenti, poiché rischi notevolmente la tua salute.
Per quanto riguarda il sollievo dal dolore: consiglio di fuggire dall'odontoiatria senza dare un'occhiata, dove rendono “10 volte più facile il parto”. Fare del male a una persona nell'odontoiatria dei nostri tempi è altamente poco professionale. Se è difficile aprire la bocca, ci sono tecniche per l'anestesia esterna (o) per alleviare lo spasmo muscolare per l'anestesia nella cavità orale dopo che inizia ad aprirsi normalmente.
L'8 in basso a sinistra esplode. Sei mesi fa, il cappuccio era stato rimosso, hanno detto che non è possibile rimuoverlo, perché cresce in modo uniforme e non interferisce con altri denti. Di recente, ha ricominciato a crescere - fa molto male, la gomma si gonfia, la gola fa un po 'male sullo stesso lato - come se tirasse, un po' di pus si distingue da sotto il gonfiore. Striscio di crisalide, risciacquo con clorexidina e bevo ketorol per alleviare il dolore. Sto facendo tutto bene o è necessario rimuovere un dente?
Benvenuti! Penso che rischi la tua salute, anche se il più delle volte sei fortunato, piuttosto che conseguenze gravi. Con il tuo esempio, dimostri la correttezza delle raccomandazioni di praticare chirurghi maxillo-facciali per rimuovere un dente del giudizio quando è difficile scoppiare senza asportare il cappuccio. Cioè, l'escissione della cappa è considerata solo una misura temporanea, anche se per alcuni pazienti questo trattamento è abbastanza adatto. Ma come indovinare se una pratica così viziosa ti sarà utile?
Mi sembra che sei rientrato in quella categoria di pazienti che dovrebbero rimuovere un dente con tutto il 150%.
Ho un problema, sul lato destro l'ottavo quasi (c'è un po 'di sinistra) è cresciuto, ma qui sul lato sinistro dal basso ha iniziato a far male. Inoltre, sta crescendo abbastanza normalmente, senza deviazioni, come a destra, ma fa ancora male. Anche la gomma stessa vicino al dente fa male, non riesco a masticare, quando la mascella si chiude sul dente, la gomma inizia a fare male. Ma posso tranquillamente aprire la bocca, la gola non mi fa male. Cosa fare?
Benvenuti! Sono in grado di esprimere una risposta definita e diverse alternative. Sicuramente, è di consultare un dentista-chirurgo (o chirurgo maxillo-facciale) per controllare un dente per un grave processo infiammatorio. In contumacia, posso assumere qualsiasi cosa, ma l'aspetto di uno specialista esperto può spesso evitare molti problemi.
Per quanto riguarda la tua situazione: fintanto che il dente del giudizio non riesce a tagliare il "cappuccio", è un ostaggio a questo problema: durante la masticazione, la gomma è costantemente danneggiata e sfregiata. Finora, il tuo stadio iniziale di pericoronite (difficoltà nella dentizione) non è un problema. Questa può essere una forma catarrale, cioè senza contenuto purulento sotto il cappuccio e senza sintomi luminosi caratteristici di infiammazione purulenta. Se il cibo inizia a cadere attivamente sotto il cofano e marcire lì, non è un'ora, ci saranno problemi. Meglio fare tutto come dovrebbe.
E ora su come dovrebbe essere. Qui, le opinioni sono state divise: alcuni medici suggeriscono di monitorare la situazione, ma si limitano a trattamenti ed esami a casa solo una volta ogni tanti giorni. Le persone più categoriche pensano che un dente saggio problematico debba essere rimosso, perché non c'è posto per esso, e il cappuccio è una bomba a orologeria, una fonte di igiene e comfort di vita. L'ultima categoria di medici (e ce ne sono anche molti) ritiene che sia possibile eseguire una dissezione del cappuccio e che il dente verrà tagliato entro pochi giorni o settimane e non ci saranno danni.Tuttavia, gli oppositori di questo metodo hanno ripetutamente scoperto che dopo tali escissioni in alcune persone, tutto si è ripetuto di nuovo o è peggiorato.
Penso di aver spiegato la situazione su questo argomento, ma comunque scelgo te. Salute!
Quando si taglia un dente, la pasta di Solcoseryl aiuta molto bene nel dolore. E se il dente viene rimosso, allora puoi spalmare il buco con esso in modo che non faccia male (se solo non fossero suturati).
Caspita, tanta attenzione qui! Ho letto tutto, grazie mille per l'informazione)
Proprio di recente, questo dente del giudizio ha iniziato a essere tagliato con me! È sbagliato, si è persino grattato le guance. E poi anche la gomma si è ammalata. Di conseguenza, tutto non è stato tanto doloroso quanto fastidioso e fastidioso! Mi sono rivolto a un dentista familiare, sul quale mi ha consigliato di prendere la gramramidina, che allevia tutto questo dolore. Gli ho obbedito e alla fine ho iniziato a sciogliere le compresse e grazie a loro è diventato più facile, si scopre che allevia anche il dolore. Di conseguenza, il dente continua a crescere lentamente, ma la grammidina ha reso questo processo più morbido)
Ho 11 anni, il dente sembrava iniziare a cadere sulle gengive e la gengiva è leggermente gonfia, ma non è visibile sulla guancia esterna. La gomma nella mascella inferiore dell'ultima fila fa male. 5 giorni fa ha iniziato a far male e ora, quando ho toccato il dente, una piccola parte del dente è caduta ed era morbida. Cosa fare Dimmi per favore ?!
Benvenuti! Oserei suggerire che hai il decadimento delle pareti (pareti) dell'ultimo dente, probabilmente il sesto, poiché il settimo dente di solito erutta a 13-14 anni. Le gengive, di conseguenza, stanno cercando di prendere un posto (vuoto) nel dente cariato, poiché la natura non tollera il vuoto e il dente non inizierà a dare dolore intenso oggi o domani. Ecco perché è importante consultare un dentista in tempo per un trattamento dentale in modo da non dover rimuovere solo le radici. Grazie per la domanda
Benvenuti! Ho letto tutto e il sintomo è lo stesso per me, il dolore è semplicemente insopportabile. Quindi c'è anche il pavimento della lingua e dei linfonodi feriti e infiammati. Sono andato dal dentista, il dottore ha detto di aspettare fino allo scoppio del dente, e risciacquare con la soda! Non so come essere, il dolore è insopportabile, dà anche alla parte superiore. Dimmi, per favore, cosa fare? Grazie
Benvenuti! C'è una logica quotidiana e professionale. Inoltre, alcuni dentisti soffrono chiaramente di attacchi di logica mondana, ma solo fino al primo caso serio. Voglio dire, durante la difficile eruzione del dente del giudizio inferiore, si verificano molti momenti spiacevoli, ma spesso questo è accompagnato dalla produzione di pus sotto il cappuccio, che copre proprio questo dente. Sia sciacquando con la soda (o qualche altro rimedio popolare), o usando unguenti, gel, soluzioni - tutto questo rientra nella categoria della "roulette russa", sebbene, a giudicare dalla pratica di molti dentisti con la logica quotidiana, ci sono molti più casi felici di con un finale miserabile.
Una persona ha immunità e il suo aiuto non è sempre illimitato, inoltre, possono essere imposti stress, altre malattie del corpo, ipotermia, surriscaldamento, ecc. I casi fatali di pericoronite trascurata sono e saranno, fintanto che ci sarà una coorte di dentisti con un leggero sguardo a questo problema (cioè, aspettano - forse scoppierà normalmente e tutto si risolverà da solo). Personalmente, sono sicuro che ci sia una via di mezzo. Questo è quando dopo aver esaminato il paziente puoi immediatamente capire: rimuovere immediatamente il dente "fluttuante" nel pus (forse anche in un ospedale con chirurgia maxillo-facciale), o (con lieve infiammazione gengivale marginale) attendere 1-2 giorni, ma tenendo conto delle raccomandazioni competenti e affluenza giornaliera per gli esami. Idealmente, il problema con ogni giorno successivo non dovrebbe provocare un aumento del dolore con gravi segni di infiammazione (edema, febbre, incapacità di aprire la bocca, ecc.).
Per quanto riguarda la capacità di asportare un cappuccio sopra un dente del giudizio e godersi la dentizione per un certo tempo (1-2 settimane): in linea di principio, molti medici praticano tale aiuto e quasi sempre ha successo, ma spesso distante. Dopo aver eccitato il cappuccio, quasi tutti i primi devono soffrire alcuni giorni con lo stesso dolore insopportabile.Ma questo sta prendendo in considerazione il fatto che prima che fosse fatta l'incisione, non era iniziata una complicazione purulenta, in profondità negli spazi della mascella, perché altrimenti sarebbe nei guai. Nel complesso, è preciso al 100% indovinare se una persona ha un'alta probabilità che un semplice taglio della gomma aiuterà in una particolare situazione clinica, tenendo conto del fatto che il dente sia correttamente orientato per l'eruzione (forse si trova lateralmente o si appoggia contro 7 denti radice), non un singolo dentista sarà in grado, anche con grande esperienza.
Ecco perché un folto gruppo di dentisti in tutto il mondo preferisce risolvere questo problema in modo categorico (professionale) in molti modi: rimuovere un dente con eruzione difficile e, quindi, aiutare con precisione il paziente. Un gran numero di medici con una logica mondana e pazienti che dicono qualcosa del tipo: “Mi è stato detto di rimuovere un dente del giudizio con un cappuccio, ma ho sofferto un paio di settimane, ha infilato e infestato ed è uscito attraverso la gomma, ora posso vivere, e il dente è a posto ".
Come si suol dire a ciascuno il suo, ma vale la pena ricordare le morti con pericoronite avanzata e valutare adeguatamente i rischi.
Benvenuti! Un mese fa, improvvisamente e in modo inappropriato (al lavoro e 3 giorni prima del matrimonio), un dente del giudizio situato nella mascella inferiore ha iniziato a tagliare. Ci fu dolore, che dopo un paio d'ore divenne terribilmente insopportabile. Si arrendeva al tempio e l'intero lato destro del viso (dove si trova il dente stesso) era semplicemente infernale. Ha preso ciò che era a portata di mano - analgin. Dopo 6 ore, il dolore si è placato. Il giorno dopo sono andato dal dentista. Ho scattato una foto. Esaminato. Cresce esattamente nella foto, il dente adiacente non supporta. Ketorol o ketan erano prescritti per il dolore. Un farmaco antinfiammatorio (che di solito prendo per le allergie). Sciacquare la bocca con la soda. Dopo quel giorno, la volta successiva si ammalò solo dopo una settimana, ma non così acuto. E poi non c'è stato dolore per una settimana e mezza. Poi di nuovo il dolore. E così con una frequenza di 5-10 giorni fa male per 2-3 ore. Tutto ciò che mi disturba è il dolore. Tagli e pruriti. Non riesco a dormire Gli antidolorifici non aiutano. Almeno ho preso prima il ketorol - non ha aiutato. Mezz'ora letteralmente e il dolore è tornato. E poiché nelle istruzioni può essere preso solo con un intervallo di 4 ore, ho dovuto sopportare. Riderai ... Ma l'acqua mi aiuta ad alleviare il dolore per un breve periodo. Prendi solo dell'acqua in bocca e siediti. Non so cosa fare. Ancora una volta andare dal medico e lamentarsi del dolore? Tollerare mentre esplode? E quanto dura un dente del giudizio? Cosa consiglieresti di fare?
Benvenuti! Per ogni evenienza, attirerò la tua attenzione su una possibile sfumatura: ciò che descrivi è molto simile ai sintomi della pulpite o della parodontite di un dente (non del dente del giudizio che sta ancora eruttando). Soprattutto questo è chiaramente indicato dal fatto che l'acqua, mentre è fresca, allevia il dolore. In linea di principio, non hai descritto il classico sviluppo della clinica per difficoltà nella dentizione: dolore durante la deglutizione, mal di gola, difficoltà ad aprire la bocca, dolore alle gengive sopra il dente del giudizio durante la masticazione, ecc. Forse ha senso cercare cavità cariate nascoste sui 6 e 7 denti inferiori, poiché all'inizio i sintomi del dolore radiante nel tempio sul lato destro indicano, secondo le osservazioni dei ricercatori, il dente inferiore. Inoltre, dici "il dente del giudizio cresce uniformemente". Forse questo dente della saggezza non ha nulla a che fare con esso.
Benvenuti! Un anno fa, il mio dente del giudizio ha iniziato a tagliare. Sono andato dal dentista, mi è stata fatta un'incisione, il dente è scoppiato. E ora è passato un anno, nulla dà fastidio, ma ora, un anno dopo, ha iniziato a ferire dall'altra parte - ne ha tagliato la metà. Se mi tagliano di nuovo e non danno fastidio, devo comunque rimuoverli? Si prega di avvisare.
Benvenuti! La domanda non è così semplice.Molti chirurghi maxillo-facciali credono che i denti del giudizio non portino altro che problemi in futuro. Tuttavia, esiste qualcosa come i denti del giudizio che aiutano una persona a masticare il cibo normalmente. Un altro punto importante: vengono spesso utilizzati come supporto per le protesi, quando è importante mettere, ad esempio, un ponte. Pertanto, molti dentisti ortopedici fanno affidamento anche sull'avere un dente normale. Tuttavia, secondo le statistiche, le ragazze molto spesso hanno poco spazio a causa della mascella in miniatura in modo che questi denti del giudizio possano assumere la loro posizione normale. Pertanto, spesso esplodono lateralmente, mordono la mucosa delle guance o non riescono a penetrare affatto, poiché appoggiano alle radici del 7o dente adiacente con la loro parte della corona.
Dato che hai detto che uno dei denti inferiori della saggezza ha trovato un posto sicuro nella mascella, è difficile per me dire qualsiasi cosa. Naturalmente, il suo "comportamento" può differire dall'ottavo simmetrico, che, ad esempio, può poggiare su un dente adiacente e diventare un problema per il futuro. Questo è il motivo per cui senza valutare le condizioni del dente mediante radiografia, è impossibile giudicare con precisione la situazione attuale. Inoltre, la tecnica dell'incisione del cappuccio gengivale dal punto di vista della maggior parte dei chirurghi maxillo-facciali è controversa, nonostante i suoi frequenti successi.
In conclusione: è necessaria una valutazione individuale del dente del giudizio sulla poltrona del dentista, dopodiché verrà presa la decisione se vale la pena rischiare la salute a lungo termine e se è consigliabile mantenere il dente.
Benvenuti! 3 giorni fa un dente del giudizio faceva male, a destra sulla mascella inferiore. Non riesco ad aprire la bocca, mal di gola sulla destra. Ho visitato il dentista, poiché non potevo aprire completamente la bocca. Dopo averlo esaminato, il medico mi ha prescritto dexalgin (25 mg), ampicillina (capsule) e loroben (risciacquo), dicendo che tra un paio di giorni passerà e la bocca può aprirsi per il quadro. Non riesco a masticare e dormire normalmente. Dimmi, per favore, è possibile in qualche modo aprire la bocca sotto qualsiasi farmaco per un ulteriore esame? E l'estrazione del dente è possibile anche se cresce correttamente? Ho 39 anni. Dimmelo, per favore. Grazie in anticipo Grazie!
Benvenuti! Personalmente, credo che con una bocca difficile da aprire a causa di un dente del giudizio, quest'ultimo debba essere rimosso con urgenza, e gli "impiastri" locali potrebbero persino ferire, poiché si perderà tempo prezioso. Più che sicuro che l'anestesia sarà possibile rimuovere il dente. Se la bocca non può nemmeno essere aperta con difficoltà, la chirurgia maxillo-facciale presso il dipartimento di odontoiatria regionale, l'università o un grande centro odontoiatrico ha metodi extraorali di anestesia, nonché tecniche che consentono l'apertura della bocca senza la necessità di aprire la mascella con i farmaci necessari. Pertanto, rispondendo alla tua domanda: nel tuo caso, il dente del giudizio, anche se cresce correttamente, si raccomanda di essere rimosso piuttosto che non rimosso. Questa conclusione si basa sulla tua descrizione, il resto - in effetti dopo una visita medica. È meglio avere l'opinione di un chirurgo maxillo-facciale rispettabile, e talvolta anche le opinioni di 2-3 medici (ma dopo un attento esame sulla sedia, che è importante).
Dimmi, per favore, un dente del giudizio si sta arrampicando, fa male il secondo giorno. Masticare il cibo fa male, aprire la bocca fa male, le gengive non sanguinano. Al posto di un dente strisciante, la parete posteriore è bianca - a quanto ho capito, la gomma muore. Il dente non è visibile mentre cresce, ma la mascella superiore stessa fa male prima dell'insetto. Non è che fa male, ma prude.
Benvenuti! Suppongo che la pericoronite sia una dentizione difficile del dente del giudizio. È necessaria la consultazione obbligatoria di un dentista-chirurgo, in quanto:
1. Il dente può esplodere con un'inclinazione verso 7 denti (questa situazione è altamente indesiderabile);
2.A volte questo processo diventa purulento, che non si manifesta sempre con sintomi acuti, ma porta alla diffusione di edema e intossicazione del corpo. Ecco perché calmarsi e dire immediatamente qualcosa del tipo: "Non preoccuparti, apparirà un dente dalle gengive, tutto passerà", - Io, in virtù della conoscenza di questo argomento dalla pratica, non ho alcun diritto. Senza esaminare la cavità orale e analizzare l'immagine (la direzione del dente e l'orientamento delle sue radici nello spazio della mascella), non ha senso dire qualcosa di positivo o negativo, e ancora di più, prescrivere metodi di trattamento domiciliare. Grazie per la domanda
Ciao, il secondo giorno fa male, non riesco ad aprire la bocca. Il dente in alto a sinistra è uscito, ma non completamente. Una guancia gonfia. Ora è doloroso ingoiare. Alla reception in 3 giorni. Dimmi, cosa puoi anestetizzare temporaneamente?
Benvenuti! La situazione non è tipica: di solito questi sintomi causano l'eruzione del dente del giudizio inferiore. Comunque sia, non vale la pena ritardare una visita dal dentista.
Per quanto riguarda il sollievo dal dolore, i farmaci specifici non sono prescritti in contumacia via Internet. Ma il consiglio dei medici su questo ruota intorno agli antidolorifici e ai gel locali, come quelli prescritti per la dentizione. A volte i risciacqui antisettici aiutano, ma tutto ciò ha una durata estremamente breve, spesso solo per 1-2 ore. È importante risolvere la causa del problema il prima possibile.
Buongiorno Tre giorni fa, un dente del giudizio è stato rimosso a sinistra nella mascella inferiore. Dopo una radiografia, fu segato dalla mascella, mentre era cresciuto in essa. Il dottore inserì un oggetto di gomma nel foro e disse di masticare dall'altra parte.
Nominato per l'ispezione dopo 6 giorni. Sono già trascorsi tre giorni, il dolore non scompare, prendo Nekst, dopo un pasto sparo Miramistin. Mi sento di cattivo gusto nell'area della rimozione. Cosa puoi consigliare per un passaggio più rapido del dolore doloroso, o solo il tempo mi aiuterà? Prendo anche un antibiotico. Grazie in anticipo per la tua risposta.
Benvenuti! Dopo tale rimozione complessa, il dolore intenso può durare fino a 4-5 giorni e la sintomatologia dipende dal livello di invasività dell'operazione: più il tessuto è danneggiato, più lunga sarà la fase di guarigione primaria. Soprattutto spesso, il dolore si intensifica a causa dei bordi aperti dell'osso e, in generale, con il foro "aperto". Il fatto che ti sia stato somministrato un drenaggio (gomma) suggerisce che potrebbe esserci stato un processo purulento o che il dottore vuole solo giocare al sicuro da complicazioni. Il gusto sgradevole è associato a farmaci posti dentro o sopra il pozzo per accelerare la guarigione e prevenire l'alveolite.
Il fatto che tu segua regolarmente la prescrizione del medico è meraviglioso, così come il fatto che il dentista sia pronto a controllare la tua situazione nominando 6 giorni dopo la rimozione per un appuntamento. Per alleviare il dolore, oltre agli antidolorifici, posso consigliare gel e unguenti antinfiammatori, avvolgenti e acceleranti, ma è meglio consultare un medico con un ricevimento personale sulla fattibilità dell'utilizzo di un rimedio specifico.
Ciao Ho avuto un dente del giudizio - nel punto in cui è caduto il molare. Il dolore non dà fastidio, ma vicino a lui c'erano piccole ulcere, mentre mi mordo una parte della guancia mentre mangio. Hai bisogno di andare urgentemente dal dottore? O puoi guarire con antisettici?
Benvenuti! Normalmente, un dente del giudizio esplode alla fine della dentatura, cioè si trova dietro il settimo dente permanente. Ma in rari casi, può effettivamente tagliare quasi al posto del settimo dente precedentemente rimosso.
Quando si morde una mucosa con un dente del giudizio, è auspicabile la sua rimozione, poiché le ulcere croniche non vengono portate a buon fine. Non solo sono semplicemente dolorosi, ma c'è anche il rischio che si sviluppino in formazioni maligne.Un medico dovrebbe essere consultato urgentemente, poiché è meglio eliminare tempestivamente la causa del problema. Gli antisettici sono un'idea temporanea e inutile: fino al prossimo boccone decente. In alcuni casi, puoi lucidare i tubercoli del dente del giudizio, ma questa non è una misura molto efficace: il medico dovrebbe determinare la fattibilità della situazione.
Ciao Ho 13 anni e il mio dente del giudizio sta crescendo (sul lato destro). Si è formato un cappuccio, inizialmente era elastico, faceva molto male, ma ora è morbido - fa meno male. Sono andato dal dentista. Ha detto che un dente si sviluppa normalmente, se è molto doloroso, quindi può essere tagliato. E ora, mi sembra, non fa male, ma all'improvviso ... Cosa ne pensi, andare all'operazione o aspettare?
Benvenuti! Raccomando che nella fase della saggezza della dentizione, ancora, dopo qualche tempo, consulti nuovamente il medico, cioè sottoporsi a un esame di follow-up. Se tutto è in ordine, puoi continuare a osservare la sua eruzione riuscita. Sarebbe bello avere una foto del dente del giudizio, in modo che ci fosse un'idea della sua direzione. A volte accade che cresca lateralmente e l'assenza di dolore e altri sintomi è solo un benessere temporaneo. Pertanto, la diagnosi è così importante. Quindi la probabilità di un intervento chirurgico dipende dai risultati diagnostici. Grazie per la domanda
Bene, in generale, sono andato a vedere cosa ungere o gocciolare sulla gomma, e qui una tale scatola. Probabilmente andrò in ambulanza. Dannazione a Internet ...
Benvenuti! Un mese fa, un dente faceva male e una guancia si gonfiava ... Sono andato in ospedale, hanno detto che stava crescendo un dente del giudizio. Fecero un'incisione, sgonfiando il pus. Sembra essere passato. Un mese dopo, la guancia ricominciò a gonfiarsi, apparve il pus. Cerco di non bere antidolorifici perché è incinta Cosa fare Posso fare qualcosa a casa?
Benvenuti! Corri urgentemente dal dentista-chirurgo (e meglio - alla chirurgia maxillo-facciale) per rimuovere il dente del giudizio. Se questa "mezza misura" (escissione del cappuccio di gomma sopra il dente del giudizio) non aiuta, allora in quasi il 100% dei casi è urgente rimuovere il dente, poiché può causare la diffusione dell'infiammazione purulenta (e persino della morte, come talvolta accade). Le mie parole non sono un vuoto bullismo di un paziente. Quello che stai descrivendo è serio, credi alla mia esperienza e conoscenza. Dopo aver provato questa procedura, non ha aiutato. Ancora una volta, tutto può passare e con minor successo. Ad esempio, può iniziare il flemmone della regione sottomandibolare. Quindi vai subito da un dottore!
Benvenuti! Ho questa situazione: da un lato, un dente del giudizio mezzo è strisciato fuori, il resto è sotto il cosiddetto cappuccio. Uscito esattamente, non riposa contro nulla. Durante tutto l'anno, ho seguito regolarmente questo dente, ogni giorno ho pulito accuratamente la zona della cappa con un irrigatore. Negli ultimi due giorni c'è stato un forte dolore doloroso, non si notava nessun gonfiore, ma la gomma su questo dente è molto dolorosa e cede su tutto il lato destro del viso. Cosa consigli di fare in questo caso: rimuovi solo il cappuccio o dovrai rimuovere l'intero dente? ((
Benvenuti! La situazione è ambigua. In primo luogo, sottolinei già che ti prendi cura di un dente del giudizio per un anno in modo che, Dio non voglia, non venga rimosso prematuramente. Cioè, sicuramente vuoi tenerlo per molti anni dopo la piena dentizione. D'altra parte, se ci sono problemi, sta davvero tagliando alla perfezione? Forse è incline al dente adiacente, il che gli rende difficile muoversi normalmente?
Comunque sia, le immagini di questo dente dovrebbero essere analizzate, i rischi di edema purulento dopo l'esame nella cavità orale dovrebbero essere determinati e solo allora viene fatta una diagnosi e il medico esprime la sua opinione. Se il medico ti consiglia di rimuovere il dente, ma non vuoi (nonostante i rischi connessi), hai il diritto di non rimuovere o firmare il consenso a questo intervento medico.
Per quanto riguarda il "taglio" della stessa cappa: questa tecnica è praticata in molti dentisti di diversi livelli, anche se non tutti gli specialisti la accolgono perché il risultato non è sempre positivo e permangono i rischi per la salute del paziente. Ancora una volta, questa procedura aiuterà o no, dipende prima dalla posizione e dalla direzione del dente, quindi dalla reattività del corpo e dalle sue capacità di compensazione. Se qualcosa va storto, i pazienti si rammaricano fortemente di non averlo eliminato immediatamente. Quindi la decisione viene presa sulla tua domanda solo con le immagini, solo sulla sedia del dentista e solo con il tuo consenso dopo aver valutato tutti i pro e i contro.
Buon pomeriggio Un dente del giudizio cominciò a scoppiare in basso a destra. In precedenza, il dolore era periodico, ora è diventato più doloroso. Si può vedere che il dente si arrampica abbastanza lontano dall'ultimo. Dovrei andare dal dottore o aspettare fino a quando non esce?
Benvenuti! È meglio consultare un dentista-chirurgo per valutare le condizioni del dente, compresa l'immagine. Questo viene fatto per comprendere la direzione della crescita del dente (orientamento nella mascella) e le condizioni generali. Se un dente, approssimativamente parlando, erutta “storicamente”, specialmente nella direzione dei sette adiacenti, allora è meglio rimuovere un tale dente del giudizio per non rischiare la salute. È anche consigliabile rimuovere quei denti del giudizio che sono diretti verso il lato della guancia - lateralmente. Questo viene fatto per evitare ulteriori traumi permanenti alla guancia e il dente può esplodere in modo molto problematico, fino al processo infettivo.
In precedenza, quei denti del giudizio che causavano gonfiore delle gengive e forte dolore (pericoronite) tagliavano semplicemente il "cappuccio", ma ora molti medici non rischiano questa procedura, ma preferiscono rimuoverla immediatamente. Qui l'approccio è esclusivamente individuale, quindi, devi andare dal medico, e lì valuteranno già: se vale la pena aspettare che il dente “esca”, o già c'è il pericolo di suppurazione o eruzione dell'eruzione (il che significa rimozione urgente).
Ciao Dimmi, per favore, come andrà meglio: se il dente fa male male, tagliare il cappuccio con la crescita del dente del giudizio o rimuovere ancora completamente il dente? I dolori sono già semplicemente insopportabili ... Gravi mal di testa, dolori alla mascella e la bocca non riescono davvero ad aprirsi, e non c'è appetito. La sua guancia era gonfia, la sua pazienza era sparita, sia fisicamente, moralmente e spiritualmente. Che non ha provato secondo vecchi metodi, dolori temporanei e ancora peggio. E fa male quando viene rimosso un dente del giudizio? Cosa mi consigliate? Grazie per l'aiuto ...
Benvenuti! In violazione dell'eruzione di un dente del giudizio, in molti casi viene rimosso (quelli inferiori quasi sempre). La pericoronite è una condizione che spesso si trasforma in una grave complicazione purulenta, quindi molti medici si oppongono all'asportazione del cappuccio gengivale, considerandolo una misura inefficace. Sebbene a volte questa procedura avvantaggi quei denti del giudizio che penetrano più o meno uniformemente, difficilmente possono passare attraverso uno spesso strato di tessuto (specialmente la loro sezione distale). Tuttavia, un tentativo di asportare un cappuccio con denti "storti" spesso fa solo male. Ecco perché vale la pena contattare un chirurgo maxillo-facciale o un chirurgo dentale per fare una foto e fare una valutazione della situazione.
Se il dente deve essere rimosso, viene utilizzata l'anestesia in modo che non faccia male. Nelle prestazioni di un buon medico, l'estrazione dei denti non dovrebbe normalmente essere dolorosa.Tuttavia, non tutti i medici parlano fluentemente le tecniche di anestesia, quindi raccomando di trovare un medico esperto.
Ciao, qui ho rimosso i denti della saggezza, sia dal basso che dall'alto, perché ero molto disturbato e cresciuto in modo errato. Sono passati tre mesi, ora lo stesso dolore che dà 7 denti inferiori. Cosa potrebbe essere? La bocca non si apre
Benvenuti! Penso che in una situazione del genere, dovresti assolutamente contattare il tuo dentista per controllare i fori dopo aver rimosso i denti del giudizio e i denti adiacenti. È anche importante considerare la dinamica del dolore: regolare o si è verificato solo dopo 3 mesi? Se i dolori dopo la rimozione dei denti del giudizio sono passati abbastanza rapidamente, e ora sono sorti di nuovo, allora quasi il 100% è un problema nel dente esistente (inoltre, potrebbe non essere nemmeno vicino al foro).
Per quanto riguarda la difficile apertura della bocca - qui, senza un esame della cavità orale, la causa non può essere identificata in modo inequivocabile. Tuttavia, più a lungo non riesci ad aprire completamente la bocca, peggiore può essere la situazione nel futuro nel suo insieme. Assicurati di contattare il tuo dentista per chiarire la diagnosi.
Benvenuti! Il mio dente del giudizio sta crescendo, fa davvero male, ma non riesco a sintonizzarmi per andare in ospedale, è molto spaventoso.
Benvenuti! È meglio consultare ancora un dentista, poiché si rischia di perdere una malattia grave: pericoronite o infiammazione del cappuccio gengivale sul dente del giudizio quando è difficile scoppiare. La paura dovrebbe essere superata, perché altrimenti potrebbero esserci delle complicazioni, e quindi l'intervento del chirurgo sarà molto più spiacevole. Sono sicuro che non hai bisogno di una tale prospettiva, motivo per cui riceverai consigli sulla sedia di un dentista-chirurgo o chirurgo maxillo-facciale in modo da non pensarci.
Ciao Forse puoi aiutarmi con un consiglio ... Sto tagliando un dente del giudizio da 4 anni e, senza rendermi conto di tutta la serietà, mi sono seduto a casa a causa della mia incompetenza e ho aspettato che scoppiasse. Ma alla fine, ho deciso di andare dal dottore. Ha fatto una foto e ha fatto un'incisione. Ha detto di aspettare fino a quando il dente esce. Ci sono voluti 3 giorni dopo la procedura. L'incisione è molto dolorante, la gola fa male, è impossibile deglutire, l'orecchio fa male e la testa. E il dolore non è nemmeno alleviato dagli antidolorifici. Cosa faccio
Benvenuti! Consiglierei di rimuovere il dente del giudizio nella tua situazione. L'escissione della cappa oggi, secondo molti dentisti, è un'opzione inaccettabile di aiuto - spesso c'è solo un ritardo nell'estrazione del dente e talvolta la procedura attiva semplicemente il processo di infezione, oltre a perdere tempo prezioso. Nelle ragazze, a differenza dei ragazzi, i denti del giudizio di solito semplicemente non si adattano a una piccola mascella compatta. Un gran numero di complicazioni sono registrate precisamente tra la popolazione femminile, che semplicemente "taglia" la gomma sul dente del giudizio, per lungo tempo e ripetutamente, nella speranza del meglio.
Non consiglio di continuare ad aspettare, anche se oggi è diventato tutto tollerante per te. Già da 4 anni, il tuo dente non riesce a tagliare, e la deglutizione è difficile dal taglio e i dolori che non possono essere fermati dagli antidolorifici! Urgentemente alla chirurgia maxillo-facciale o ad un buon chirurgo dentista per rimuovere un dente del giudizio.
Benvenuti! In un giorno ho un'operazione per rimuovere un dente del giudizio complesso (il dente inferiore giace in orizzontale), con anestesia generale. L'analisi ha rivelato i leucociti nelle urine (10 unità) - probabilmente cistite o esacerbazione della prostatite cronica. In questo caso è possibile sottoporsi a un intervento chirurgico o trasferire? Il dente inizia a fare male. Grazie in anticipo!
Benvenuti! I dentisti in questo caso non dovrebbero prendere una decisione individualmente, ma dovrebbero tenere conto dell'opinione degli specialisti collegati.In questo contesto, stiamo parlando del medico curante (urologo, nefrologo) o di un nuovo specialista dello stesso profilo che ti consiglierà e fornirà il via libera, in relazione ai rischi di questa operazione. Se viene dato il consenso, spesso l'estrazione del dente viene eseguita sotto la vigile supervisione di uno specialista adiacente per prevenire complicazioni.
Benvenuti! Sei mesi fa, rimosso i primi sette. Il dente cominciò a staccarsi dagli otto, il dottore mise una diagnosi sull'occhio - parodontite. Ora, quasi nello stesso posto, per 4 giorni, un dente del giudizio è scoppiato a metà, cresce con calma, senza dolore, sembra sano.
Ci sono problemi sull'altro lato della mascella superiore. Non ho ancora una foto, ma sono abbastanza sicuro che il dente del giudizio non schiacciato poggia sui sette. Accanto ai sette c'è un altro dente molto cattivo con un vecchio riempimento, sul quale, con un buon risultato, dovrai mettere una corona. La gomma attorno al dente del giudizio, insieme ai denti vicini, inizia a farmi male quando mastico cibi solidi, dopo cinque minuti il dolore passa. I denti stessi non fanno male.
Come studente, sto risparmiando soldi per i sei =) Vorrei chiarire per ora se i sette strappati potrebbero crollare dal dente del giudizio vicino? E cosa si può fare con il dente opposto? Capisco che, molto probabilmente, è necessaria la rimozione, ho una mascella molto stretta, i miei denti sono cresciuti e appena in forma. Ma non sono ancora sicuro nello stato di sei, un posto per i denti vicini può essere liberato con una possibile rimozione? Grazie in anticipo per la tua risposta.
Benvenuti! Non consiglierei di fare spazio a un dente del giudizio rimuovendo un vicino. È meglio rimuovere un dente del giudizio, che causa problemi e non si adatta alla dentatura. Questo è più logico e promettente. Quindi il dente adiacente avrà un posto e, essendo affollato, i denti avranno un po 'di libertà.
E per colpa del dente del giudizio nella distruzione del settimo - sì, questo non è raro (nella maggior parte dei casi a causa della difficoltà di igiene). Anche se sono i denti del giudizio che vengono spesso distrutti direttamente a causa dell'impossibilità di igiene.
Benvenuti! Ho recentemente iniziato a eruttare il 1 ° 8 °. Non direi che fa molto male. Piuttosto, dolore doloroso che infastidisce un po '. Puoi tollerarlo, ma finora 2 volte ho bevuto un tablet Nimid per non prestarci attenzione. Se lo consideri in dettaglio, il dente è quasi visibile, ma non è ancora completamente uscito, 1/4 chiude il cappuccio piccolo, che si alza, che, spero, è buono in modo da poter eseguire con cura un trattamento igienico contro l'accumulo di microbi. Non vedo né sento la curvatura (non influenza la mucosa, come ho capito). In durata, a quanto pare, passa la 2a (3a) settimana. Proprio ieri mattina, la mia gola ha iniziato a farmi male (fa male a deglutire). Non c'è gonfiore della guancia.
Posso andare dal dentista dopo 2 settimane (per alcuni motivi), quindi per ora voglio scoprire da te se il processo procede normalmente? Non ho quasi mai avuto problemi ai denti (ho avuto la carie 2 volte) e i miei denti sono uniformi. In generale, provo a seguirli. Secondo te, è tutto normale secondo quello che potrei descrivere? Sì, e cosa posso fare fino al momento in cui posso prendere un appuntamento? Grazie per l'attenzione.
Benvenuti! Sfortunatamente, l'imprevedibilità dei denti del giudizio inferiori con cappucci gengivali, in particolare per le ragazze che non hanno mascelle massicce per una disposizione confortevole di questi denti, spiega perché spesso sorgono problemi gravi sotto forma di un processo infiammatorio purulento, fino a situazioni "sull'orlo di un fallo". A giudicare dalla tua descrizione, non c'è motivo di preoccuparsi molto che la suppurazione andrà domani. Tuttavia, le condizioni del dente devono essere monitorate da uno specialista, compresa un'immagine per valutare la posizione del dente nella mascella.I miei conoscenti spesso spesso in modo preventivo con difficoltà a dentare i denti del giudizio (e questo è ciò che inizia con te) suggeriscono al paziente di rimuoverli per non soffrire, e in nessun caso raccomandano di asportare i cappucci per prevenire le ricadute. Tuttavia, ci sono altri punti di vista.
Ora rispondo essenzialmente alle domande:
1. Quello che ti sta succedendo non è la norma, poiché c'è dolore durante la deglutizione e il cibo si infila sotto il cofano;
2. Secondo quanto descritto, possiamo dire che non c'è motivo di andare nel panico. Ma questo non garantisce che il panico non inizierà, diciamo, dopo 5 giorni, quando la bocca non si aprirà più normalmente (inoltre questo può essere accompagnato da un forte gonfiore della guancia e del collo);
3. Prima di assumere un medico, è importante osservare attentamente l'igiene, è possibile sciacquare con soluzioni non irritanti della mucosa e sperare che il corpo si adatti adeguatamente a ciò che accade in bocca prima di andare dal medico. Soprattutto se il dente non può tagliare a causa di una mancanza di spazio critica o perché si appoggia contro i sette adiacenti.
Ciao di nuovo! Sì, speravo che sarebbe stato possibile andare dal dentista, ma non ha funzionato. Già, come vedi, ti scrivo dopo quasi 4 mesi. Ben presto il dente cessò di fare del male. Lo seguo ancora con attenzione. Grazie per il suggerimento. Potrebbe essere che se segui bene gli 8, allora nella vita non devi tirarli fuori? Spero che la fortuna mi abbia sorriso, e penso che aiuti le cure dentistiche. In ogni caso, come succede, andrò dal dentista per un esame, ma voglio anche sentire la tua opinione personale: ripeto, è possibile vivere con calma 8 persone, seguendo l'intera cavità orale?
Buon pomeriggio, ho 34 settimane di gravidanza, ho compiuto 35 anni. Un dente del giudizio ha iniziato a scoppiare dal basso, fa male a deglutire e, a quanto ho capito, si è formato un cappuccio. Sono andato a due medici per un consulto, entrambi dicono cose leggermente diverse: uno dice di sciacquare con sale e soda per due giorni, e se non va meglio, chiama un'ambulanza - e in ospedale, in modo che tutte le manipolazioni vengano eseguite sotto la supervisione di un ostetrico-ginecologo. Un altro dice, aspetta, risciacqua per una settimana e guarda cosa succede. Risciacquo, quindi cospargo un'altra miramistina in quel posto. Ma cosa fare, quanto tempo aspettare? Entrambi sostengono che non c'è ancora pus. È doloroso deglutire, la bocca si apre normalmente, il linfonodo è infiammato. Non voglio perdere tempo, ma entrambi affermano che il periodo di gestazione non è molto buono per nessuna manipolazione. Grazie per la risposta
Benvenuti! La situazione con la gravidanza in molti casi clinici determina la paura del medico per la prospettiva di condanna (morale, legale) per potenziali danni al feto da manipolazione e droghe. Ciò significa che è più sicuro che un medico non faccia nulla se non ci sono segni di una minaccia per la vita del paziente, ad esempio in un contesto di grave infezione purulenta. Pertanto, entrambi i medici che ti consigliano da un certo punto di vista hanno ragione e torto allo stesso tempo.
È chiaro che un'immagine di un dente sullo sfondo di una dentizione difficile chiarirebbe questa situazione, ma non si può fare "come se" (radiazione a raggi X, dopo tutto). Sembra che sia possibile scattare una foto su un visiografo (la dose di radiazioni è molto bassa), ma i dottori che sono pronti a rischiare anche usando questo dispositivo relativamente sicuro per una donna incinta devono ancora essere trovati.
Per quanto riguarda l'osservazione del ginecologo, qui sono assolutamente d'accordo. Spesso, è un ginecologo che non consiglia senza urgente necessità di trattare o rimuovere i denti durante la gravidanza, fare anestesia, immagini. Nella tua situazione, ogni opzione comporta dei rischi, vale a dire l'aspettativa "dal mare del tempo", cioè l'estrazione immediata del dente. Prova a consultare un ginecologo in questo momento, non aspettandoti un deterioramento, e prendi una decisione congiunta.
Ciao Ho 15 anni e il mio dente del giudizio ha iniziato a salire.La gomma fa male fino al secondo giorno, la mascella non fa male ad aprirsi. Devo andare dal dentista o è come dovrebbe essere?
Benvenuti! È indispensabile consultare un dentista, o meglio, un chirurgo maxillo-facciale o un chirurgo dentale per la diagnosi. Il fatto è che ti trovi di fronte a una saggezza di dentizione difficile che può causare complicazioni, fino a gravi edemi e sepsi. Se il medico, dopo l'esame e un'immagine (di solito necessaria), raccomanda di rimuovere il dente del giudizio, allora dovrebbe essere fatto, poiché mantenere un tale dente è spesso più costoso. Se il dente risulta normale (erutta senza intoppi, non ci sono deviazioni, ecc.), Il medico può consigliare di attendere o di eseguire interventi di chirurgia plastica della mucosa, sebbene non tutti aderiscano a tali tattiche.
Non sono mai andato dal dentista e non so se ne abbiamo uno. Ma ora è una situazione difficile. Ho 12 anni. Un dente del giudizio inizia a scoppiare. Ma penso che abbiamo un dentista ...
Accidenti, non volevo vedere un chirurgo ...
Ho 2 mesi di gravidanza, per due giorni fa male il dente del giudizio (in alto a sinistra). Sono andato dal dentista - ho fatto una foto, ho detto che andava bene, cresce senza intoppi, ma non è ancora esploso. Il dolore è doloroso, ma sopportabile. La bocca, in linea di principio, si apre, niente gonfio. Cosa dovrei fare, dimmi? E come posso anestetizzare? Grazie
Ciao, dimmi, per favore. Ho 26 anni, da diversi anni i denti del giudizio (in alto) sono stati tagliati. Molto lentamente, a volte non faceva molto male, sembravano sani. Ieri il dente a sinistra ha iniziato a far male, non tanto da scalare il muro, ma in modo evidente. Non c'è quasi "cappuccio" su di esso. Non sono sicuro di poter fare qualsiasi cosa con i miei denti ora (soprattutto rimuoverlo) - il fatto è che ho un'infiammazione della ghiandola tiroidea, e da un mese sono stato osservato da un endocrinologo, bevo il prednisone. Come essere Posso eliminarlo ora fino al termine del trattamento?
Benvenuti! Quando si dentono i denti superiori della saggezza non esiste un "cappuccio". Ma questo, ovviamente, non significa che questi denti non siano problematici durante la dentizione. La necessità della loro rimozione è determinata dal dentista e, nel tuo caso, dopo aver consultato l'endocrinologo. Sono sicuro che in caso di dolore acuto questo dente dovrebbe essere rimosso immediatamente, poiché si tratta di un rischio maggiore per la salute rispetto a condurre questo intervento sullo sfondo del trattamento endocrinologico. Pertanto, guarda la situazione, inoltre non ti impedirà di consultare un endocrinologo su questo problema da solo.
Buon pomeriggio La mia gengiva inferiore fa male quando si dentifica il dente del giudizio inferiore. Non c'è cappuccio, il dente è scoppiato un po ', cresce uniformemente. Devo andare dal dentista? All'improvviso dirà cancellare.
Ciao Se c'è dolore, questo indica lo sviluppo dell'infiammazione, quindi, come minimo, è necessario consultare un medico. In caso di problemi con la dentizione dei denti inferiori della saggezza, si dovrebbe essere particolarmente vigili, in quanto ciò può provocare gravi complicazioni, a volte potenzialmente letali. È il medico che determinerà l'ulteriore piano di trattamento e ti spiegherà la causa del dolore, sulla base di un esame visivo nella cavità orale, nonché della diagnostica a raggi X.
Grazie per l'articolo utile e interessante!
Sono trascorsi 5 giorni dalla rimozione del cappuccio sul dente del giudizio. Mi sciacquo la bocca, come ha detto il dottore, bevo antidolorifico. Ma le gengive sono ancora gonfie e dolenti, è impossibile aprire normalmente la bocca. C'è un modo per accelerare la guarigione e cosa fare in questa situazione?
Ciao Andrey.Non hai indicato quali farmaci sono stati prescritti. Per accelerare la riduzione dell'infiammazione, il medico di solito prescrive antinfiammatori e decongestionanti e se la temperatura corporea supera i 37,0 gradi Celsius, è necessario considerare la possibilità di utilizzare antibiotici. Ma questi appuntamenti dovrebbero essere fatti solo da un medico sulla base dell'esame e dopo aver familiarizzato con le condizioni generali del paziente (presenza di allergie, presenza di altre malattie di natura generale e locale). Quindi consiglierei di consultare nuovamente il medico il più presto possibile - forse regolerà l'appuntamento in base alle sue condizioni.