Un sito sulle malattie dentali e il loro trattamento

Correzione del morso

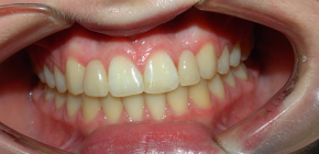
Caratteristiche del morso ortognatico
Caratteristiche del morso ortognatico

Di tutti i tipi distinti di chiusura dei denti, il cosiddetto morso ortognatico è considerato il più fisiologico: se è presente in una persona, di regola, il viso è simmetrico, il sorriso è bello e non ci sono problemi con la dizione e la masticazione. In realtà, questo è lo standard (ideale) a cui gli ortodontisti cercano di portare il sistema dentofacciale del paziente durante il trattamento. Vediamo più in dettaglio quali altri segni sono caratteristici di un morso ortognatico e quali problemi possono essere osservati anche se è presente ...

Apparecchi ortodontici per la correzione del morso nei bambini
Apparecchi ortodontici per la correzione del morso nei bambini

Oggi, ci sono un gran numero di apparecchi ortodontici rimovibili e non rimovibili per la correzione occlusale nei bambini, usati durante il periodo di un latte, rimovibile e formando un'occlusione permanente. Fatta salva la corretta modalità di utilizzo, alcuni di questi design sono considerati molto efficaci e il loro uso spesso evita il fissaggio delle parentesi graffe. Successivamente, considereremo il più frequentemente usato oggi negli apparecchi per la pratica ortodontica per correggere l'occlusione, parleremo del meccanismo della loro azione e dei risultati del trattamento raggiunti ...

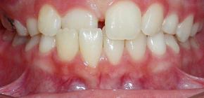
La formazione di un morso permanente e il trattamento delle sue anomalie
La formazione di un morso permanente e il trattamento delle sue anomalie

Il passaggio da un morso lattiginoso a uno permanente è caratterizzato da una serie di importanti sfumature che è utile che i genitori conoscano in anticipo per identificare i problemi emergenti e adottare misure per eliminarli. Parleremo di più delle caratteristiche più importanti di un morso permanente, nonché di quali problemi possono essere osservati con esso e quale trattamento è ottimale in una determinata situazione.

Paradenti ortodontici
Paradenti ortodontici

Quando si tratta di correzione del morso, molte persone hanno immediatamente le parentesi graffe. Tuttavia, è possibile correggere efficacemente il morso errato non solo sui sistemi di staffa, ma anche con l'uso di un sistema di cappucci ortodontici. L'opzione più comune è una serie di gocce trasparenti che si adattano perfettamente ai denti, che il paziente indossa successivamente durante il corso del trattamento, sostituendo ogni volta che si ottiene il risultato intermedio desiderato. Esistono altre varietà di cappucci ortodontici ...

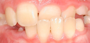
Su morso incrociato e approcci al suo trattamento in bambini e adulti
Su morso incrociato e approcci al suo trattamento in bambini e adulti

Come suggerisce il nome, la caratteristica più caratteristica del cosiddetto morso incrociato è l'intersezione (incrocio) della dentatura quando le mascelle sono chiuse. In molti casi, questa patologia è piuttosto difficile da trattare e talvolta le misure appropriate per correggere il morso possono durare per anni. Su quali ragioni portano alla formazione di un morso incrociato, quali approcci per correggerlo nei bambini e negli adulti vengono utilizzati oggi e cosa può accadere se non si fa nulla, ne parleremo ulteriormente ...

Informazioni sul morso di latte (temporaneo), nonché sulla dentizione e il cambio dei denti nei bambini
Informazioni sul morso di latte (temporaneo), nonché sulla dentizione e il cambio dei denti nei bambini

Stranamente, ma molti genitori non prestano abbastanza attenzione alle condizioni dei denti da latte del loro bambino - dicono che sono temporanei, presto cadranno e diventeranno permanenti. Nel frattempo, lo stadio di formazione del morso del latte è molto importante per l'ulteriore sviluppo dell'intera dentatura del bambino. Su quali problemi possono attendere il bambino durante il periodo della dentizione e il cambio dei denti da latte, quali sono le cause di questi problemi e come affrontarli, e anche cosa è importante che i genitori sappiano di questo in generale - ne parleremo più in dettaglio ...

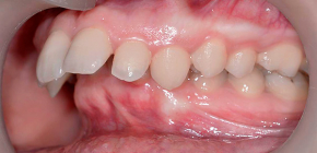
Dettagli del morso distale e metodi per la sua correzione in bambini e adulti
Dettagli del morso distale e metodi per la sua correzione in bambini e adulti

Può sembrare sorprendente, ma un morso distale è una patologia molto comune: in un modo o nell'altro, si osserva in quasi il 20-30% della popolazione europea.Se questa anomalia di malocclusione può danneggiare seriamente la salute umana, come influisce sul profilo del viso e se vale la pena correggere (trattare) il morso distale - parliamo di tutto questo in modo più dettagliato ...

Cosa sono le malocclusioni e come vengono trattate oggi?
Cosa sono le malocclusioni e come vengono trattate oggi?

Nessuno è al sicuro dalla formazione di una malocclusione: anomalie nella posizione della dentizione l'una rispetto all'altra possono verificarsi non solo nell'infanzia, ma anche negli adulti e in quasi ogni fase della vita. E poi considereremo quale tipo di anomalie del morso si riscontrano generalmente e forniremo anche informazioni importanti (anche per i genitori di bambini), che renderanno più significativo l'approccio al trattamento e alla prevenzione dei difetti di occlusione.

 

 

In questa sezione del sito considereremo in dettaglio i moderni approcci per correggere l'occlusione (sia negli adulti che nei bambini).

su

© Copyright 2025 stomatology.expertexpro.com/it/ | chinatownteam2016@gmail.com

Politica sulla privacy | Accordo con l'utente

feedback

Mappa del sito

chirurgia

carie

mal di denti