
Il morso permanente è il rapporto tra la dentatura dei denti permanenti e la completa chiusura delle mascelle superiore e inferiore. In termini più semplici, questo è un morso completamente formato, quando tutti i denti da latte vengono sostituiti da quelli permanenti.
Rispetto a un morso temporaneo, un morso permanente è caratterizzato da una serie di caratteristiche importanti - esamineremo ulteriormente in dettaglio le fasi della sua formazione, interessanti sfumature del passaggio da un morso di latte a uno permanente, nonché metodi moderni di trattamento della malocclusione e situazioni in cui tale trattamento è difficile ...
Importanti sfumature del passaggio dal latte al morso misto
Gli ortodontisti prestano particolare attenzione al periodo del morso del latte tardivo, quando vengono effettuati i preparativi per la sostituzione dei denti temporanei con quelli permanenti. Già in questo momento, quando si esamina la cavità orale del bambino per una serie di segni (non sempre ovvi), si possono sospettare futuri problemi nella posizione dei denti.

Normalmente, la forma dei denti da latte coincide con la forma dei denti in un morso permanente, ma le corone dei denti temporanei dovrebbero essere proporzionalmente più larghe, specialmente nell'area dei molari temporanei (cioè, masticando i denti con i numeri 5 e 6). In questo caso, ampie corone preparano un posto per due futuri denti permanenti: i premolari.
A loro volta, gli incisivi temporanei (denti anteriori) hanno contorni più convessi e sono normalmente leggermente inclinati palatine, poiché le radici dei denti permanenti situati nell'osso esercitano una pressione sulle loro radici.
La dimensione dei denti e degli archi dentali del bambino è molto più piccola rispetto al periodo di un morso permanente. Nei bambini di età inferiore a 4 anni, la mascella inferiore occupa una posizione posteriore, ma quando inizia il periodo di crescita attiva delle mascelle e delle teste dell'articolazione temporo-mandibolare, la mascella inferiore si sposta in avanti (in parte ciò è dovuto alla natura dell'alimentazione del bambino - cessazione della suzione e masticazione attiva del cibo). Con la normale crescita delle mascelle tra i denti temporanei del bambino, compaiono lacune (tre) - questo indica il corretto sviluppo del sistema dentoalveolare e in nessun modo dovrebbe essere considerato come una patologia dai genitori (come talvolta accade).

nota
Se un adulto o un adolescente ha delle lacune tra i denti, questo è già un segno sicuro di un morso patologico o di malattie dei tessuti del cavo orale (ad esempio gengivite o parodontite).
Le radici dei denti da latte si dissolvono nel tempo e cadono, lasciando il posto a nuovi denti permanenti. Ma a volte capita che i denti da latte rimangano al loro posto e, nonostante il fatto che il bambino stia crescendo, non si verifica il cambio dei singoli denti.
Ciò può essere dovuto a diversi motivi:
- Il bambino potrebbe non avere il germe di un dente permanente nell'osso. In pratica, quando i genitori vengono interrogati, di solito è possibile scoprire che la famiglia ha un tale schema e che i parenti potrebbero non avere denti separati o persino gruppi di denti. Ovviamente, in tali casi, la patologia è associata all'ereditarietà;
- Oppure, un dente permanente non può lasciare l'osso a causa della sua posizione impropria o delle interferenze dei denti vicini.
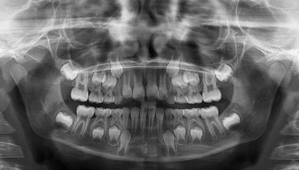
Nella radiografia in basso, i denti permanenti nell'osso, formati sotto il latte e pronti a spingerli, sono chiaramente visibili:

In ogni caso, solo il dentista può capire il motivo del ritardo nella sostituzione dei denti temporanei dopo l'esame: verrà eseguita una radiografia. Dopo aver valutato l'immagine, l'ortodontista discute le opzioni di trattamento.
Ad esempio, se un embrione è assente, dopo aver fissato il sistema di parentesi, il dente da latte perso viene preservato fino a quando l'ortodontista non crea abbastanza spazio nella fila per ulteriori protesi del dente desiderato.
Se c'è un dente permanente nell'osso, ma ha poco spazio per l'eruzione, o è troppo profondo, o si trova nella posizione sbagliata, quindi dopo aver fissato il sistema di staffe e creato un posto per il dente desiderato, il dente viene gradualmente “estratto” dal chirurgo, fissandolo su di esso, prima, il pulsante ortodontico, quindi legandolo all'arco ortodontico.
Caratteristiche di un morso permanente e quali fattori possono influenzarlo
Una fase importante nella formazione di un morso permanente inizia molto prima dell'inizio dell'eruzione dei denti permanenti, anche nella fase di mineralizzazione della loro primordia. La mineralizzazione con la formazione di tessuti duri a pieno titolo avviene all'interno delle gengive, quindi solo un medico può valutare come sta andando questo processo, effettuando un esame a raggi X del bambino. La mineralizzazione inizia nei primi mesi di vita del bambino e, anche dopo l'apparizione del dente, questo processo non termina immediatamente, ma continua per altri 1-1,5 anni per la completa "maturazione" della radice del dente permanente.

Il periodo del morso misto inizia con l'eruzione del primo dente permanente. C'è un certo ordine e termini di dentizione dei denti permanenti:
- di regola, i molari sono i primi a scoppiare - 6 denti all'età di 5-6 anni;
- tra 6-8 anni, gli incisivi iniziano a scoppiare alternativamente (prima i primi incisivi sulla mascella inferiore, quindi sulla parte superiore);
- presto compaiono gli incisivi laterali delle mascelle inferiore e superiore.
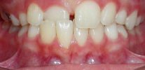
Gli incisivi superiori si trovano solitamente con una leggera inclinazione linguale e sono più grandi dei denti temporanei. Il loro aspetto coincide con il periodo di crescita della mascella superiore e inizialmente si trovano al loro posto strettamente e senza spazi vuoti.
Quando gli incisivi laterali esplodono, esercitano una pressione sui denti superiori centrali che sono già comparsi, a causa della quale gli incisivi centrali divergono, formando un diastema fisiologico (cresta) e sporgendosi verso le labbra. Tuttavia, normalmente dopo l'eruzione di zanne permanenti sulla mascella superiore, il diastema si chiude. Gli ortodontisti spesso definiscono questa fase di sviluppo del sistema dentofacciale la fase "brutto anatroccolo", ma dopo la dentizione dei denti di un bambino, sia la mascella inferiore che quella superiore sono allineate.
Dopo che gli incisivi compaiono su entrambe le mascelle, si verifica un periodo di riposo fisiologico, della durata di 1-1,5 anni.
Tra 9 e 12 anni, inizia la seconda fase della dentizione dei denti permanenti. In questo momento, le zanne cambiano, i premolari - "quattro" e "cinque" appaiono sulla mascella inferiore (l'ordine di eruzione è 3-4-5, e sulla mascella superiore, al contrario, appaiono prima 4 denti, seguiti da una zanna, e poi - 5 denti).
Compaiono i secondi ultimi molari - l'ultimo ma uno - 7, e dietro di loro i denti del giudizio (terzi molari, cioè 8 secondi).
È importante capire che sebbene ci siano più o meno determinati periodi di dentizione in un morso permanente, ma sono relativi, e in pratica possono esserci alcune deviazioni da essi che non portano a gravi conseguenze.
La figura seguente mostra schematicamente l'età caratteristica della dentizione di alcuni denti:

Pertanto, in un morso permanente, una persona ha 28-32 denti, la cui forma ricorda quella dei denti da latte. Oltre ai principali gruppi di denti già nel morso temporaneo, ne compaiono 4 nuovi - premolari.
Dovremmo anche parlare degli "otto" emergenti, che spesso causano molti problemi a causa dell'impatto negativo sul morso ...
Sui denti della saggezza e del loro possibile impatto sul morso
Poiché i denti del giudizio sono gli ultimi ad apparire nella cavità orale, durante la dentizione possono cambiare la posizione dei denti permanenti rimanenti, premendo sui loro "vicini" e spostandoli, fornendo così un posto a se stessi.

nota
La natura della nutrizione umana dai tempi degli antenati primitivi è cambiata in modo significativo.I molari, in particolare i denti del giudizio, erano richiesti da una persona in precedenza per macinare ossa dure e masticare carne cruda dura. Il carico sull'apparato masticatorio era molto significativo e per questo motivo la dimensione dei denti e delle ossa della mascella era maggiore. Oggi, le persone mangiano principalmente cibi morbidi, trattati termicamente, il carico da masticare è diventato più piccolo, quindi la dimensione delle ossa della mascella è diminuita. Di conseguenza, inizialmente c'è poco spazio nella mascella per i denti del giudizio.
Sapendo questo fatto, molti dentisti e ortodontisti pediatrici raccomandano di rimuovere i denti del giudizio prima che inizino a scoppiare, in modo da non rovinare il morso permanente dell'adolescente in futuro. Le statistiche degli studi su questo argomento mostrano che la saggezza della dentizione causa problemi come affollamento, rotazione dei denti, spostamento dei primi molari e formazione di un morso patologico nel 35-40% dei casi!
Tuttavia, la rimozione degli innocenti e persino non ha ancora avuto il tempo di eruttare gli "otto" - un punto controverso, e alcuni esperti non approvano questa pratica. Infatti, per molte persone i denti del giudizio non portano a problemi, svolgono regolarmente la loro funzione masticatoria e, inoltre, in età avanzata sono utili quando sono necessarie protesi.
Comunque sia, la decisione di rimuovere i denti del giudizio dovrebbe essere presa dall'ortodontista insieme al paziente dopo l'esame. Anche nella fase di elaborazione di un piano di trattamento, il medico discute della questione della rimozione degli "otto": spesso è meglio iniziare da questa fase e dopo che la guarigione e il recupero iniziano ad allineare il morso.

D'altra parte, accade che già nel processo di trattamento l'ortodontista, vedendo la dinamica, raccomanda di rimuovere i denti del giudizio. Esiste una tecnica per rimuovere i rudimenti di denti del giudizio ancora non formati: questa opzione è in molti casi meno traumatica della rimozione di denti completamente formati, ma richiede una certa abilità dal chirurgo.
nota
Un'indicazione inequivocabile per la rimozione dei denti del giudizio è la loro posizione errata nell'osso mascellare - quando sono inclinati verso le radici dei denti o delle guance permanenti adiacenti, a causa dei quali non possono tagliare, e spesso causano infiammazione dei tessuti circostanti.
Come capire che qualcosa non va nel G8? Il processo del loro aspetto, anche nella norma, può causare alcuni inconvenienti: prurito alle gengive (soprattutto di notte), aumento della salivazione, alcuni adulti lamentano un lieve dolore nella zona in cui viene tagliato il dente. Tutti questi fenomeni sono una variante della norma.
Ma ci sono sintomi allarmanti che non dovrebbero essere ignorati:
- Aumento persistente della temperatura superiore a 37,5 gradi;
- Gonfiore e arrossamento nell'area del dente da taglio;
- Grave dolore, difficoltà a masticare e deglutire.
In tutti questi casi, soprattutto se la dinamica è negativa e alla fine peggiora (il dolore è più forte, la temperatura è più alta), non è necessario attendere - consultare un medico il prima possibile! In casi avanzati, l'infiammazione sullo sfondo della difficile saggezza della dentizione può minacciare la vita del paziente.
Tipi di morso permanente: cosa è considerata la norma e cos'è una patologia?
È consuetudine distinguere diversi tipi di morso fisiologico, ovvero consentire di attuare pienamente la funzione di masticazione:
- Morso ortognatico - è considerato il più estetico e più favorevole per mantenere uno stato sano dei tessuti molli della cavità orale e delle articolazioni temporo-mandibolari. Il morso ortognatico ha le seguenti caratteristiche: i denti nella parte laterale sono chiusi secondo la classe I di Engle, vale a dire, il tubercolo anteriore-buccale della "sei" superiore si trova nella fossa inter-tubercolare del 6o dente inferiore. I denti anteriori della mascella superiore si sovrappongono agli incisivi della mascella inferiore di non più di un terzo.Tutti i denti su entrambe le mascelle sono in stretto contatto tra loro. Inoltre, hanno una certa pendenza, garantendo la loro posizione regolare e corretta;

- Morso diretto: in questo caso, il rapporto dei denti laterali viene preservato secondo la prima classe di Engle e i denti nella sezione anteriore si uniscono testa a testa (nel tempo, questo può portare alla loro abrasione);

- In precedenza, era anche consuetudine attribuire a quelli fisiologici un morso progenetico (in avanti, genere - mento). Cioè, con questo tipo di morso, il mento viene spinto in avanti. Nella parte anteriore della dentatura, si osserva una sovrapposizione incisiva inversa, cioè o la mascella inferiore è avanzata in avanti, a causa della quale si osserva un rapporto anormale di molari permanenti, oppure i denti della mascella inferiore sono inclinati verso il mento. Tuttavia, allo stesso tempo, questa posizione delle ossa della mascella può essere definita anormale, corrispondente al morso mesiale;

- Morso prognatico: in questo caso, la mascella superiore è di fronte a quella inferiore, gli incisivi della mascella superiore sono inclinati in avanti dai loro bordi taglienti, a causa dei quali gli incisivi della mascella inferiore si chiudono nel punto posteriore, i denti laterali si chiudono in modo anomalo: il tubercolo della guancia anteriore del primo molare superiore è di fronte alla fossa inter-tubercolare del molare della mascella inferiore. Questo rapporto tra i primi molari può anche essere definito anormale - corrisponde a un morso distale;

- Morso biprognatico: entrambe le mascelle sono spostate in avanti rispetto alla base del cranio, nella parte anteriore, gli incisivi sono chiusi da bordi taglienti e, per ottenere questa chiusura, gli incisivi delle mascelle superiore e inferiore sono inclinati in avanti.

nota
Con i morsi progenici, prognatici e biprognatici, la funzione di masticazione può essere abbastanza normale, anche se il morso è patologico e può portare a ulteriori problemi in futuro - pertanto, l'ortodontista può suggerire di correggerlo.
Nel valutare un'occlusione permanente in un paziente adulto, l'ortodontista presta attenzione a come una persona chiude i denti durante una conversazione, con la mascella inferiore che si muove lateralmente e in avanti. Questa chiusura dei denti con vari movimenti della mascella inferiore rispetto alla parte superiore si chiama occlusione.
Assegna le occlusioni anteriore e laterale. Una valutazione dell'occlusione è importante per capire se c'è un malfunzionamento nel normale processo di masticazione. Ciò consente di anticipare la cancellazione precoce dei denti, l'eccessivo affaticamento dei muscoli maxillo-facciali, l'allentamento e, nei casi più gravi, la perdita dei denti.
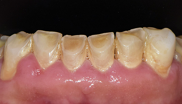
La foto sotto mostra ciò che provoca l'abrasione dei denti a causa di un'occlusione impropria nella regione anteriore:

Normalmente, i denti laterali delle mascelle superiore e inferiore non devono rimanere sullo stesso piano quando sono chiusi. Cioè, i molari devono avere una certa inclinazione, in modo che con vari movimenti della mascella inferiore, i denti laterali non perdano il contatto tra loro. In presenza della corretta inclinazione dei denti, si formano linee tracciate condizionatamente - curve occlusali:

Data la forma delle curve occlusali, un ortodontista può rivelare segni di un morso permanente irregolare quando un paziente viene esaminato attentamente.
I denti anteriori possono anche chiudersi in modo errato. Ad esempio, non è insolito che gli incisivi della mascella superiore si sovrappongano eccessivamente agli incisivi della mascella inferiore - a volte così tanto che i denti inferiori tagliano i loro bordi nel palato, ferendolo. Tale sovrapposizione nella regione anteriore è chiamata un morso profondo:

La situazione inversa è quando i denti nella parte anteriore non si chiudono affatto o la loro sovrapposizione è minima. Questo morso si chiama aperto:

Un morso aperto si trova spesso sul lato della dentatura:

Un altro tipo di morso permanente irregolare è la croce e la chiusura della croce può essere sia nella parte anteriore che in quella laterale. Questa anomalia si verifica a causa di una discrepanza nelle dimensioni delle mascelle superiore e inferiore o dei loro singoli segmenti:

Di norma, una malocclusione combina la chiusura patologica dei denti laterali e anteriori, quindi, l'elaborazione di un piano di trattamento per un particolare paziente a volte diventa un compito difficile per un medico.
Formazione del morso nell'adolescenza
Il periodo dell'adolescenza è un test per l'intero corpo del bambino e la dentatura non fa eccezione. Sotto l'influenza degli ormoni sessuali, si verifica un aumento naturale della crescita del corpo, dopo di che la crescita rallenta e si interrompe gradualmente.
La pubertà nei ragazzi e nelle ragazze è diversa:
- Le ragazze iniziano a crescere circa due anni prima dei ragazzi. L'inizio della pubertà nelle ragazze è l'inizio della formazione del seno e l'aspetto dei primi peli pubici. Il picco di crescita delle ragazze si osserva 1-1,5 anni dopo la comparsa dei primi segni della pubertà. Dopo un altro anno e mezzo, inizia la fase finale di maturazione della ragazza: l'inizio del ciclo mestruale, dopo di che la crescita rallenta e termina dopo un altro anno e mezzo;
- I ragazzi, a differenza delle ragazze, non hanno una separazione così chiara dei cambiamenti che stanno avvenendo. È noto che la crescita attiva nei ragazzi inizia circa 3-3,5 anni dopo rispetto alle ragazze e termina anche più tardi. Il primo segno dell'inizio della pubertà nei ragazzi è considerato un rapido aumento di peso. Lo scatto di crescita inizia un anno dopo l'aumento di peso - in questo momento il ragazzo sta perdendo peso, ha i capelli nella zona inguinale. Nella terza fase della crescita - dopo 8-12 mesi, si verifica la crescita di muscoli e ossa, la forma del corpo cambia. Due anni dopo, inizia l'ultima fase della crescita, la crescita si interrompe, appaiono i primi capelli sul viso.
Tutti questi cambiamenti, in un modo o nell'altro, influenzano la formazione di un morso permanente e non sempre per il meglio.

Gli ortodontisti esperti di solito cercano di iniziare il trattamento del morso proprio durante il picco della crescita del bambino, poiché la crescita delle ossa della mascella nel suo insieme coincide con le fasi di crescita dell'intero scheletro e al picco della crescita, il trattamento è più efficace e il risultato può essere raggiunto più rapidamente.
nota
Per capire come si forma un bambino e se ha una riserva di crescita, un ortodontista può indirizzarlo a una radiografia della sua mano per vedere se le cosiddette zone di crescita sul braccio si sono chiuse o meno.
Pertanto, se ci sono problemi con il morso durante l'adolescenza, non dovresti ritardare la visita all'ortodontista: è meglio iniziare a risolvere il problema durante questo periodo.
Correzione del morso in pazienti adulti
I pazienti adulti hanno le loro specifiche e questo può essere associato non solo alla fisiologia. Ad esempio, gli adulti vogliono avere un bel sorriso, ma, allo stesso tempo, spesso non vogliono che gli altri vedano parentesi graffe e altri dispositivi sui loro denti. Sebbene negli ultimi anni ci sia stata una moda per le parentesi graffe - la loro presenza non è percepita come un segno di imperfezione, ma come un segno di prosperità e prosperità.

Ad oggi, ci sono tre aree di apparecchi ortodontici estetici che consentono di correggere le anomalie di un morso permanente negli adulti.
L'opzione più popolare sono le parentesi graffe vestibolari (cioè incollate ai denti dalle labbra), realizzate con materiali simili per colore allo smalto dei denti, il che rende poco appariscente il sistema di staffa.
I tutori vestibolari estetici sono realizzati con tre tipi di materiali:
- plastica;
- ceramica;
- Sapphire.
nota
Le parentesi graffe in plastica sono le meno costose, ma sono fragili, facilmente rompibili, hanno la proprietà di essere verniciate. Quindi, ad esempio, se ti piace il tè, il caffè, le sigarette, queste parentesi graffe diventeranno rapidamente gialle.
Rispetto alle parentesi graffe metalliche, le tute estetiche richiedono in maggior misura al medico di aggiustare accuratamente. Re-incollare o sganciare le chiusure durante il processo di trattamento può danneggiare la griglia, il che assicura che la staffa stessa aderisca al dente e non si regge, il che significa che in qualsiasi situazione insolita, il paziente dovrà pagare per una nuova staffa.
Inoltre, tali sistemi sono più costosi rispetto alle controparti metalliche di circa 20-30 mila rubli.Ad esempio, una serie di "semplici" controventi metallici legati ad un arco con elastici, legature, costa in media 20 mila rubli e l'opzione estetica, a seconda del materiale di fabbricazione, può costare 40-50 mila rubli.
Va notato che le parentesi graffe in zaffiro sono le più resistenti e non perdono le loro proprietà estetiche e funzionali, quelle in ceramica si comportano un po 'peggio - possono essere verniciate in alcuni casi.
La foto sotto mostra le parentesi graffe dello zaffiro:

Per coloro che, quando correggono il morso, non vogliono che l'ambiente circostante veda le parentesi graffe in bocca, ci sono 2 sistemi.
La prima opzione: sistemi di staffe linguali - l'ortodontista li attacca ai denti dal palato e dalla lingua, e quindi le persone intorno non sospettano che la persona indossi le parentesi graffe.
Esistono due varietà di tali sistemi: apparecchi linguali standard, i cosiddetti sistemi 2D. Sono prodotti dalla fabbrica, hanno forma e dimensioni standard, sono in grado di spostare i denti in uno spazio bidimensionale. Il medico lega l'arco che sposta i denti alle serrature con legature di metallo o di gomma.

Dalla pratica di un ortodontista
La capacità di muovere i denti utilizzando tali sistemi è limitata a causa della loro forma convessa standard e dell'adattamento incompleto dell'arco attivo. Come dicono molti ortodontisti che usano queste parentesi graffe, è difficile ottenere un morso ideale nel trattamento di patologie ortodontiche complesse, poiché l'effetto è principalmente sulla corona del dente e la posizione delle radici rimane praticamente invariata.
La seconda opzione: apparecchi ortodontici 3D individuali - sono realizzati in lega d'oro in laboratorio singolarmente per ciascun paziente, tenendo conto della forma di ciascun dente e della sua inclinazione. Insieme alle parentesi graffe, il medico ordina una serie di archi attivi per l'intero periodo di correzione dell'occlusione. Questo approccio offre una perfetta aderenza ai denti e la possibilità di regolare la loro posizione insieme alle radici.

nota
Se l'arco di una singola staffa linguale si rompe e questo a volte accade nei pazienti, l'ortodontista è costretto a ordinarne uno nuovo, poiché gli archi di altri sistemi non sono adatti. Ciò allunga i tempi di trattamento, poiché bretelle e archi sono realizzati in Germania o negli Stati Uniti (a seconda del sistema specifico). La rimozione di apparecchi ortodontici e la rottura degli archi comporta costi aggiuntivi per il paziente con un costo dei sistemi piuttosto impressionante: in alcune cliniche, il costo dei singoli sistemi linguali raggiunge 150 mila rubli o più (questo è il costo del sistema stesso e della sua installazione).
Un'altra opzione per livellare il morso permanente negli adulti è l'uso di cappucci ortodontici (eliners) - a differenza dei tutori, questi sono dispositivi rimovibili. Sono realizzati singolarmente dopo aver ricevuto un'impronta dentale e il lancio di un modello in gesso. Quindi viene preparata una serie di gocce trasparenti, che devono essere indossate in sequenza, una dopo l'altra, in sostituzione poiché il risultato intermedio necessario viene monitorato da un medico.

Maggiore è il numero del bocchino nel set, più vicino corrisponde alla posizione corretta dei denti nel morso. Maggiori informazioni su questo nell'articolo. Paradenti ortodontici
In generale, vale la pena notare che il tempo di correzione per l'occlusione permanente nei pazienti adulti è in media 2-2,5 anni, a volte più lungo (a seconda della complessità della patologia ortodontica). Date approssimative per ciascun caso specifico, l'ortodontista può nominare solo dopo un esame completo del paziente. Il piano di trattamento può includere la fase di rimozione dei singoli denti - molari o premolari, per creare lo spazio necessario in una riga.
Trattamento di pazienti con uno stato "difficile" della cavità orale
A volte, i pazienti adulti si lamentano non solo della "curvatura" dei denti, ma anche di altri problemi di salute orale. Ad esempio, alitosi persistente, sanguinamento e gonfiore delle gengive. Questi sintomi sono i primi segni di gengivite o parodontite.
Con la parodontite, c'è una recessione (diminuzione) nel tessuto gengivale, a causa della quale la radice del dente diventa gradualmente visibile. I denti stessi acquisiscono mobilità, divergono l'uno dall'altro.

Correggere l'occlusione nei pazienti con malattie gengivali non è un compito facile per un ortodontista, poiché il trattamento ortodontico può solo aggravare la situazione. Tali pazienti hanno sicuramente bisogno di una consultazione con un periodontista che valuterà in quale fase sarà il processo di infiammazione e selezionerà il giusto trattamento. Questo trattamento può richiedere da 3 a 6 mesi, a seconda della gravità della malattia, e fino ad allora l'ortodontista non sarà in grado di iniziare a lavorare con il morso del paziente.
Inoltre, un problema comune nei pazienti adulti è la mancanza di alcuni denti. Quando si pianifica una correzione del morso in tali casi, l'ortodontista può offrire due opzioni per risolvere il problema:
- Protesi di un dente assente su un impianto (impianto in titanio più, ad esempio, una corona di zirconia);

- Oppure puoi usare le parentesi graffe per spostare i denti esistenti nella direzione del difetto, chiudendolo così.
In entrambi i casi, il paziente avrebbe dovuto essere preparato ortodonticamente: per l'impianto, è necessario creare uno spazio sufficiente nella dentatura e per colmare le lacune nella fila, i denti dovrebbero essere allineati in un arco.
È interessante
Dopo l'inizio del trattamento ortodontico, i denti diventano mobili e nei pazienti con malattie gengivali questa mobilità può essere eccessiva. Pertanto, prima di iniziare il trattamento, l'ortodontista può rimuovere i cosiddetti contatti di "blocco", che creano un carico inutile quando si parla e si mastica. Questa procedura si chiama macinazione selettiva. Dopo che i contatti tra i denti sono stati normalizzati, la loro mobilità dovrebbe diminuire.

Chirurgia ortognatica come metodo di trattamento del morso permanente
A volte, per ottenere un morso ortognatico ideale, gli sforzi di un ortodontista da soli non sono sufficienti. Quando elabora un piano di trattamento, un ortodontista può immediatamente dire al suo paziente che avrà bisogno dell'intervento di un chirurgo maxillo-facciale. Se il paziente accetta questa fase, il piano di trattamento viene adattato in base alle esigenze del chirurgo per l'operazione. Quindi questi medici lavorano insieme e quando l'ortodontista crea tutte le condizioni necessarie per l'operazione, il chirurgo esegue un intervento chirurgico.

Le indicazioni per il trattamento chirurgico sono forme scheletriche gravi di malocclusione. Cioè, quando le cause dei problemi del morso non sono solo la posizione errata dei denti permanenti, ma anche la posizione errata o la dimensione delle ossa della mascella rispetto alla base del cranio.

Tuttavia, per ovvie ragioni, molti pazienti sono categoricamente contrari alla chirurgia. Quindi l'ortodontista conduce un camuffamento ortodontico del morso sbagliato, cioè mette tutti i denti esattamente in un arco, progetta di rimuovere i singoli denti e sposta il resto sul lato di quelli rimossi, ottenendo una versione accettabile del morso. In questo caso, i contatti patologici tra i denti possono essere preservati e il profilo del paziente con segni facciali di solito dà ancora una posizione anormale delle ossa della mascella.
In effetti, non è necessario aver paura della chirurgia ortognatica. Il chirurgo esegue tutte le incisioni e i tagli di ossa esclusivamente nella cavità orale, cioè non ci sono cicatrici sul viso. Dopo l'operazione, il chirurgo prescrive l'uso di speciali aste elastiche per fissare la nuova posizione delle ossa della mascella e consentire ai muscoli di abituarsi ai cambiamenti.
Il periodo di recupero dopo la chirurgia ortognatica è di circa 1 mese.Durante questo periodo, il paziente deve seguire una dieta rigorosa, non mangiare cibi solidi (le prime due settimane tutti gli alimenti dovrebbero essere liquidi). In ospedale dopo l'operazione, il paziente trascorre 5-7 giorni, quindi gli è permesso di tornare a casa e dopo 2 settimane una persona può tornare al lavoro, seguendo le istruzioni del medico.

Dopo 3-4 settimane, l'ortodontista, insieme al chirurgo, esamina il paziente e se i medici sono soddisfatti del risultato ottenuto, viene prescritta la rimozione del sistema di staffe.
Possibili complicanze del trattamento ortodontico
Qualsiasi trattamento è un intervento nel lavoro del corpo umano, lo stesso vale per il trattamento ortodontico di un morso permanente. Per alcuni può sembrare strano, ma la fase più importante in questo è la preparazione iniziale di un piano di trattamento per un particolare paziente. Per fare questo:
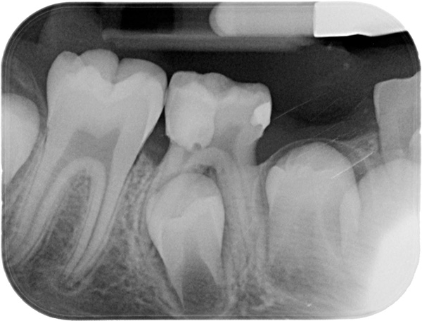
- L'ortodontista conduce un'analisi dettagliata dei modelli diagnostici delle mascelle del paziente, calcola attentamente il deficit di spazio disponibile;
- Studia un'immagine panoramica delle mascelle per valutare la posizione dei denti, l'inclinazione delle radici dei denti, valuta le condizioni dei tessuti adiacenti - il seno mascellare, il processo alveolare della mascella superiore, il canale mandibolare; è anche importante analizzare la placca ossea, che è lo strato tra i denti e le ossa della mascella;
- Analizza un'istantanea del cranio in una proiezione laterale: un teleentgenogramma, secondo un certo metodo, l'ortodontista può valutare la lunghezza delle mascelle e la loro posizione rispetto alla base del cranio, valutare il tipo di crescita delle mascelle, l'inclinazione dei denti anteriori e capire qual è la causa principale dell'occlusione anormale.
Dopo che l'ortodontista ha confrontato tutte le informazioni ricevute, deve dettagliare il piano per ulteriori azioni. A seconda della diagnosi del paziente e delle caratteristiche del suo morso, l'ortodontista seleziona le parentesi graffe con una specifica impostazione dei denti, seleziona determinati archi e comporta l'uso di elementi aggiuntivi - piegature sull'arco, collegando dispositivi aggiuntivi in specifiche fasi del trattamento per ottenere il migliore morso possibile.

A volte, i pazienti lamentano che il tempo sta per scadere e il morso non si sta livellando, oppure notano che i denti si sono eccessivamente piegati in una direzione o nell'altra. Inoltre, con la malattia gengivale dopo aver fissato le parentesi graffe, può apparire un'eccessiva mobilità dei denti.
Le ragioni di tutti questi fenomeni possono essere calcoli errati dal lato dell'ortodontista, consistenti nella scelta sbagliata delle parentesi graffe del sistema, o nel posizionamento errato delle parentesi graffe sui denti o nell'impostare un arco troppo forte all'inizio del trattamento, che può causare un sovraccarico dei denti stessi e dei tessuti che li trattengono.
Per prevenire tali complicazioni, è importante scegliere il medico giusto. Molti pazienti visitano diversi ortodontisti e raccolgono le loro opinioni sul loro problema prima di fare una scelta, fidarsi di uno specialista e iniziare un trattamento a lungo termine. Questo è il caso in cui è meglio non cercare una clinica, non "dove è più economico", ma cercare un medico di grande esperienza professionale che, insieme a te, si spinga fino a denti meravigliosi, la cui durata può essere di diversi anni.
Video utile: fasi di cambio dei denti da latte in permanenti
Qual è un morso giusto e sbagliato in un bambino e perché è così importante consultare un ortodontista in tempo







Ciao I miei cinque non sono cresciuti sulla mascella inferiore, al suo posto ora c'è un latte largo sei. Non ci sono affatto cinque permanenti sulla radiografia. E i denti sono curve diverse, quindi voglio mettere le parentesi graffe. La domanda è: è necessario rimuovere un dente di latte sano e mettere un impianto al suo posto?
Ciao Tatyana. Per considerare la possibilità di preservare un dente da latte, è necessario un esame radiografico: è necessario valutare le condizioni delle radici di questo dente. Il fatto è che sebbene i denti da latte non differiscano nella funzionalità dai denti permanenti, di solito hanno radici molto più brevi. E in questo caso, può risultare ragionevole considerare la questione della rimozione di un dente di latte prima del trattamento ortodontico per creare una dentatura completa. Ma sull'implementazione dell'impianto dentale, ha senso sollevare la domanda solo dopo che il risultato del trattamento ortodontico è chiaro. Forse l'impianto non è affatto necessario.