
Il termine "morso" in ortodonzia si riferisce alla chiusura di entrambe le mascelle in una posizione statica (abituale, senza sforzo). Il cosiddetto morso ortognatico è riconosciuto dai medici come il più fisiologico - se disponibile, una persona può svolgere appieno le funzioni di masticazione, respirazione e linguaggio, il che significa vivere una vita piena.
nota
Il morso ortognatico si avvicina di più al bello e uniforme "sorriso di Hollywood", tuttavia, come vedremo di seguito, alcune deviazioni dall'ideale potrebbero essere presenti anche in questo caso.
Vediamo che tipo di morso è, come si forma, quali sono le sue caratteristiche principali e se può essere necessario un trattamento ortodontico con un morso ortognatico ...
Perché un morso ortognatico è così importante per la salute dentale?
Un morso ortognatico crea condizioni ottimali per il funzionamento dell'intera dentatura. I denti occupano posti normali e normali per loro nelle file, senza ostruire l'igiene con uno spazzolino da denti e si chiudono insieme in una posizione più adatta per una masticazione efficace del cibo.

Con un tale morso fisiologico, un adulto normalmente non ha lacune significative tra i denti, il che significa che non ci sono condizioni aggiuntive per l'accumulo di detriti alimentari. Quando il cibo in quantità significative rimane regolarmente negli spazi interdentali, iniziano i processi di decadimento, che comporta alitosi (alitosi), malattie gengivali, demineralizzazione e ammorbidimento dello smalto delle pareti laterali dei denti.
nota
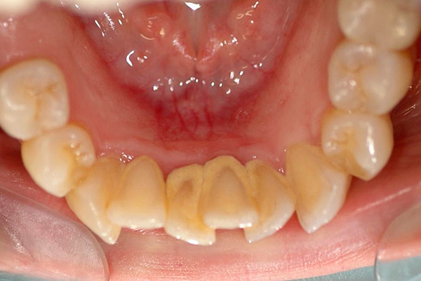
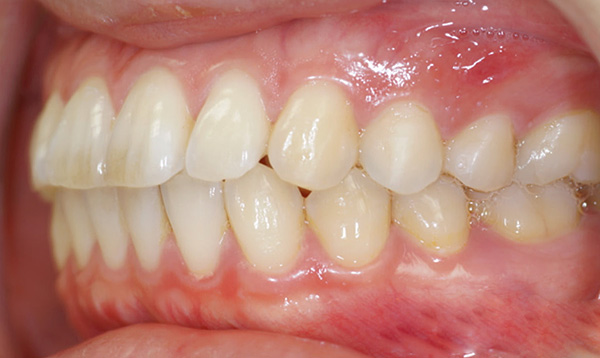
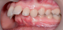
È noto che qualsiasi deviazione dalla normale occlusione, che si tratti di denti affollati, della loro posizione anormale, della presenza di tre (grandi lacune) è un fattore di rischio per la carie, poiché spesso la posizione errata dei denti contribuisce all'accumulo di particelle di cibo e non consente di pulire completamente lo smalto con un pennello da placca e film batterico.
La foto sotto mostra come la malocclusione può impedire l'igiene dentale:

Con un morso ortognatico, i tessuti parodontali non sono soggetti a stress e stress eccessivi, mentre quando i denti si discostano dalla posizione normale, vengono spesso creati focolai di tensione nelle gengive e nei legamenti, il processo naturale di scambio di nutrienti viene interrotto, il che può causare una diminuzione nella parte adiacente delle gengive e l'esposizione del cemento radicale un dente.
In presenza di patologie di occlusione, i pazienti possono notare la comparsa o l'esacerbazione dei cosiddetti difetti a forma di cuneo, una maggiore sensibilità alla cancellazione acida, fredda, eccessiva dei denti.

Inoltre, molti ortodontisti, sulla base di una vasta esperienza clinica, ritengono che in presenza della minima deviazione dal morso ortognatico, l'articolazione temporo-mandibolare (ATM) reagisca con una sorta di rimodellamento dell'apparato legamentoso. Lo scricchiolio, lo scatto quando si apre la bocca e la masticazione, il dolore e la tensione muscolare, il mal di testa regolare, a volte non fermato nemmeno dall'assunzione di analgesici, sono segni tipici di malfunzionamento dell'ATM a causa di deviazioni dal morso corretto.
nota
Tra i possibili problemi dovuti alla malocclusione, vale la pena menzionare separatamente il bruxismo: compressione eccessiva e digrignamento dei denti, di solito di notte.
Un fatto interessante: molti medici generici (pediatri, terapisti) credono spesso che l'elmintiasi, cioè l'invasione elmintica, sia la causa del bruxismo. I medici ritengono che la presenza di elminti nel corpo causi la fame in una persona, che lo fa espellere grandi quantità di saliva nel sonno e fare involontariamente movimenti masticatori.Tuttavia, non ci sono prove scientifiche per questa ipotesi ... Mentre tra le cause scientificamente provate di bruxismo, i dentisti distinguono lo stress e i disturbi dell'ATM sopra descritti.
Con un morso ortognatico, di regola, la dizione non è disturbata e il sorriso sembra bello.
Segni di morso ortognatico
Il morso ortognatico è caratterizzato da una serie di segni specifici: esaminiamoli più dettagliatamente per avere un'idea chiara di cosa sia un "sorriso di Hollywood".
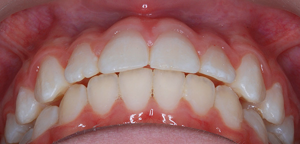
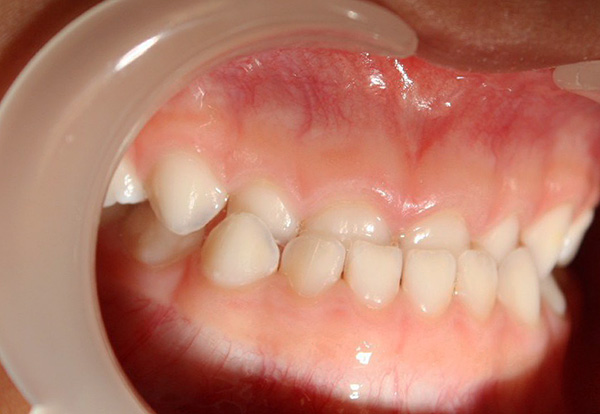
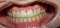
Nel linguaggio degli ortodontisti, un morso ortognatico è la chiusura della dentizione secondo la classe I di Engle, vale a dire: il tubercolo mesiale-buccale del primo molare della mascella superiore si trova nello spazio inter-tubercolare (fessura) del primo molare della mascella inferiore. Pertanto, si forma la cosiddetta chiave di occlusione.
Un esempio è mostrato nella figura seguente:

L'occlusione è determinata dalla natura dello spostamento della mascella inferiore rispetto a quella superiore, in cui un determinato numero di denti entra in contatto tra loro. Questo è un concetto importante per i dentisti, grazie al quale è possibile comprendere la causa di varie lamentele dei pazienti.
Esistono quattro tipi principali di occlusione: anteriore, laterale destra, laterale sinistra e, infine, occlusione centrale. L'occlusione centrale (morso centrale) è la posizione della mascella inferiore rispetto a quella superiore, in cui il numero massimo di denti è in contatto simultaneo tra loro.
Quindi, l'occlusione centrale con un morso ortognatico è caratterizzata da diversi segni:
- Segno dentale - con occlusione centrale, le superfici masticatorie dei denti laterali e i bordi taglienti dei denti anteriori sono a stretto contatto l'uno con l'altro, ogni dente della mascella superiore è chiuso con due denti della mascella inferiore (tranne l'ultimo molare della mascella superiore e il primo incisivo della mascella inferiore). Gli incisivi superiori si sovrappongono a quelli inferiori di un terzo dell'altezza della loro corona, i primi molari si chiudono secondo la classe I di Engle, le linee di mezzo che passano tra gli incisivi centrali delle mascelle superiore e inferiore sono sullo stesso piano;
- Segno muscolare - i muscoli della mascella inferiore dovrebbero essere in uno stato di equilibrio miodinamico (cioè la corretta chiusura dei denti avviene naturalmente e non richiede sforzi da parte di una persona);
- Il segno dell'articolazione - la testa dell'articolazione e la capsula dovrebbe essere all'inizio della sporgenza dell'articolazione - tubercolo.

nota
L'occlusione anteriore, a sua volta, è caratterizzata dalla presenza di contatti solo nell'area del gruppo frontale dei denti. Con le occlusioni laterali, il lato verso il quale si muove la mascella inferiore è chiamato quello di lavoro, e il lato opposto - quello di bilanciamento.
Nel 1972 furono descritte per la prima volta sei chiavi di occlusione, che gli ortodontisti usano fino ad oggi. Sono stati derivati sulla base di uno studio di 120 modelli in gesso delle mascelle di persone con un morso ortognatico e, in onore dell'autore, queste chiavi sono chiamate chiavi di Andrews:
- La prima chiave coincide con la definizione di un morso ortognatico secondo Engle;
- La seconda chiave descrive quale valore normale dovrebbe essere l'inclinazione delle corone dei denti per l'intera lunghezza della dentatura;
- La terza chiave descrive il grado di inclinazione dei denti lingualmente;
- La quarta chiave dice che normalmente i denti dovrebbero essere posizionati in un arco senza inclinarsi o ruotare lungo l'asse, cioè dovrebbero essere dritti;
- La quinta chiave indica l'assenza di spazi tra i denti;
- L'ultimo (sesto tasto) suggerisce che le superfici occlusali dei denti da masticare non dovrebbero essere sullo stesso piano, ma tridimensionalmente, formando così curve occlusali (la curva di Spee e la curva di Wilson). I dentisti usano queste curve per la pianificazione del trattamento e il corretto posizionamento dei denti.

Fatto interessante
In condizioni normali, i pazienti chiudono la bocca nella posizione della loro normale occlusione e questa posizione non corrisponde sempre all'occlusione centrale.Nel frattempo, questa posizione è importante in ortodonzia e odontoiatria ortopedica per protesi e stadiazione, quindi i medici devono spesso ricorrere a vari trucchi per determinare il rapporto centrale dei denti.
Quali altri tipi di morso sono la norma fisiologica
Oltre all'ortognatico, esistono altri tipi di morso che ti consentono di masticare completamente il cibo, parlare e mantenere l'igiene orale a un livello normale:
- Un morso diretto - con esso, il rapporto tra i molari corrisponde alla prima classe di Engle, tuttavia, gli incisivi si uniscono, testa a testa. Uno svantaggio significativo di un morso diretto è che questo tipo di chiusura con l'età porta all'abrasione dei bordi taglienti degli incisivi;

- Morso biprognatico - caratterizzato da un normale rapporto di denti nelle parti laterali, tuttavia, gli incisivi delle mascelle superiore e inferiore sono eccessivamente estesi in avanti e chiusi da bordi taglienti;

- Un morso prognatico è un altro tipo di morso fisiologico in cui l'osso alveolare anatomico e gli incisivi mascellari sono inclinati in avanti verso il labbro superiore;

- Morso progenico ("pro" - avanti, "genere" - mento) - nella parte anteriore della dentatura c'è una sovrapposizione incisale inversa, cioè il mento è avanzato e gli incisivi inferiori si sovrappongono a quelli superiori (occlusione mesiale).

In generale, questi tipi di occlusione non richiedono una correzione obbligatoria, ma a volte ai pazienti non piace il loro aspetto, e quindi l'ortodontista, senza violare il rapporto tra i molari, ricorre al trattamento, cercando di cambiare solo la posizione del gruppo frontale dei denti.
Periodi di formazione del morso fisiologico: cosa è importante che i genitori sappiano
La formazione della dentatura del bambino è generalmente divisa in diversi periodi. Anche se ci sono prerequisiti genetici per la formazione di un morso ortognatico, è importante che ciascuna delle fasi proceda senza intoppi, senza gravi patologie. Analizziamo ciascuno dei periodi e vediamo cosa dovrebbe essere prestato attenzione ai genitori del bambino.
Il primo è il periodo della neonatalità e l'inizio della dentizione dei denti temporanei. In questo periodo domina il riflesso di suzione e, grazie alla funzione di suzione, si verifica lo sviluppo e la crescita delle mascelle, in particolare della mascella inferiore.
In questo momento, le creste semicircolari della gomma senza denti sono visibili nella bocca del bambino. La mascella inferiore è in una posizione distale rispetto alla mascella superiore, cioè dietro di essa - i medici chiamano questo fenomeno la retrogenia infantile. Le strutture dell'articolazione temporo-mandibolare non sono ancora state espresse, il che consente al bambino di eseguire movimenti di suzione attivi.

All'età di 6-7 mesi inizia l'eruzione dei primi denti temporanei, che esplodono in un certo ordine (di solito compaiono prima i denti inferiori, poi quelli superiori).
La tabella seguente mostra la procedura standard e i termini della dentizione (tra parentesi ci sono i numeri di serie dei denti adottati in odontoiatria):
| Dente temporaneo | Durata della dentizione, mesi |
| Incisivi centrali (I) | 6-7 |
| Incisivi laterali (II) | 8-12 |
| Zanne (III) | 12-16 |
| I primi molari temporanei (IV) | 16-20 |
| Secondo molare temporaneo (V) | 20-20 |
Le deviazioni di 2-3 mesi in una direzione o nell'altra rispetto alle date indicate nella tabella sono considerate normali, tuttavia, se i denti non sono scoppiati durante questo periodo, questa è un'occasione per visitare un dentista pediatrico per scoprire la causa del ritardo.
È interessante
A volte un bambino nasce già con denti naturali nella cavità orale. Questo non è un motivo di panico, ma è solo una caratteristica individuale dello sviluppo del bambino.
Quindi, seguito da un periodo di occlusione dei denti temporanei. La formazione di un tale morso termina per 3-3,5 anni. Questa fase è caratterizzata dalle seguenti caratteristiche:
- Le superfici dei denti laterali si trovano su un piano verticale;
- Nell'area dei denti posteriori ci sono contatti stretti, gli incisivi superiori anteriori si sovrappongono a quelli inferiori.
- I denti sono disposti in fila senza tre (spazi).
Si distingue anche un periodo intermedio di preparazione per un cambio di denti. Questa fase è caratterizzata dalla presenza di tre denti da latte divergenti, che preparano un posto per quelli permanenti. La crescita delle ossa della mascella è osservata da davanti a dietro.
In questo momento, la funzione di masticazione domina e la mascella inferiore cresce attivamente, si sposta in avanti, le superfici di taglio degli incisivi subiscono un processo di cancellazione fisiologica:

Poi arriva il periodo di cambio dei denti temporanei a quelli permanenti - inizia con l'eruzione dei primi molari permanenti.
La tabella seguente mostra la sequenza e il tempo di eruzione dei denti permanenti:
| Denti permanenti | Tempo di dentizione |
| Primi molari (6) | 6-7 anni |
| Incisivi centrali (1) | 7-8 anni |
| Incisivi laterali (2) | 8-9 anni |
| Premolari (4) | 9-11 anni |
| Zanne (3) | 10-12 anni |
| Secondo premolari (5) | 11-12 anni |
| Secondi molari (7) | 12-13 anni |
Di solito in questo periodo, i genitori notano la presenza di affollamento dei denti nel bambino, in particolare gli incisivi inferiori. Questo fenomeno compensativo è causato dal fatto che i denti permanenti sono di dimensioni maggiori e richiedono più spazio per se stessi. Anche la posizione ha un ruolo: ad esempio, gli incisivi laterali inferiori sono più linguali, preparando un posto per enormi zanne permanenti.
Gli incisivi anteriori inferiori possono piegarsi lingualmente o ruotare lungo l'asse, cioè stare leggermente lateralmente. Alcuni affollamenti si possono vedere negli incisivi centrali superiori.
Gli ortodontisti chiamano questo stadio lo stadio del "brutto anatroccolo", ma, tuttavia, questo è uno stadio normale della formazione del morso. Dopo l'eruzione delle zanne, gli incisivi si allineano e il tremito tra i denti scompare da soli.

nota
Se esiste il rischio che un bambino deglutisca un dente a causa della sua mobilità prematura, è necessario rimuovere tale dente (esiste anche il rischio di ostruzione delle vie aeree). Dopo la rimozione di tali denti, è necessario un attento monitoraggio dell'ortodontista al fine di creare le condizioni per l'ulteriore normale sviluppo del sistema dentofacciale del bambino. È necessario "mantenere" un posto di fila in modo che non sia occupato da "vicini" e che uno permanente possa esplodere nel luogo del dente che è caduto. Per fare questo, il medico può realizzare un apparato a piastra rimovibile con un dente artificiale.
È necessario un morso ortognatico?
Anche con un morso ortognatico, a volte è ancora possibile rilevare anomalie, in alcuni casi che richiedono un trattamento ortodontico.
Le anomalie di occlusione più comuni includono:
- Mancata corrispondenza delle dimensioni dei denti e delle mascelle, che comporta lo sviluppo di denti affollati. L'esperienza clinica dimostra che anatomicamente i molari sono piuttosto massicci e richiedono più spazio per se stessi - quindi, durante la dentizione, esercitano una pressione su tutta la dentatura e gli incisivi si girano sul loro asse, occupando meno spazio libero;
- Dentizione al di fuori della sua posizione normale - può essere dovuta a una posa impropria del germe dentale in embriogenesi o alla perdita precoce dei denti da latte;
- Tremas e diastema (una cresta tra i primi incisivi della mascella superiore). Dopo la comparsa di zanne permanenti nella dentizione, il diastema normalmente si chiude in modo indipendente, ma se ciò non accade, il dentista o l'ortodontista può indirizzare il bambino al chirurgo per correggere il frenulo del labbro. A volte un diastema appare a causa della presenza di un dente soprannumerario nella mascella superiore nell'area tra gli incisivi centrali, che può essere rilevato solo dai raggi X. Per quanto riguarda i tre, sembrano compensativi se i denti sono più piccoli di quanto dovrebbero essere per la dimensione esistente delle mascelle;

- Ritenzione dei denti da latte di seguito: questo fenomeno è causato dall'assenza dei rudimenti dei denti permanenti o dalla posizione errata del rudimento stesso nell'osso, che ne impedisce lo scoppio.
In tutti questi casi, nonostante la natura fisiologica generale del morso, può essere richiesto l'intervento di un medico.
Approcci moderni al trattamento della malocclusione della prima classe
Con una mancanza di spazio nella dentatura e lievi deviazioni nella posizione dei singoli denti, a volte le tattiche più corrette semplicemente non intervengono, perché il modo in cui il trattamento in questo caso può aggravare la situazione, è lungo e stancante per il paziente.
In caso di carenza di spazio superiore a 4 millimetri, al paziente può essere offerto di realizzare tappi trasparenti con il riarrangiamento dei singoli denti in una posizione più corretta. In tali casi, sui modelli in gesso delle mascelle del paziente, il medico che taglia con attenzione i denti che devono essere spostati e si trasferisce in un'altra posizione - quindi, secondo questo modello, il boccaglio è realizzato in materiale trasparente.

Con malocclusione più complessa, il medico può raccomandare il trattamento con un sistema di staffa in modo da non disturbare il rapporto di prima classe. In questo caso, non è necessaria una grande espansione, quindi i sistemi di staffe di legatura sono considerati più accettabili per questo scopo. Sono le parentesi graffe di legatura che consentono al medico di monitorare chiaramente le inclinazioni dei singoli denti e gli archi in questi sistemi sono più stretti, il che garantisce l'assenza di un'espansione eccessiva della dentatura.
Come puoi vedere, anche con un morso ortognatico, l'aiuto di un ortodontista a volte è fuori posto. Sii in salute!
Che cosa è un morso giusto e sbagliato: commenti di un ortodontista
Ciò che è importante che i genitori sappiano della formazione del morso corretto in un bambino





