
Le anomalie dell'occlusione sono varie deviazioni dalla normale disposizione della dentatura l'una rispetto all'altra. Deviazioni simili possono comparire sia negli adulti (ad esempio dopo la dentizione dei denti del giudizio o a causa di un trauma), sia nei bambini durante il periodo di crescita e formazione della dentatura.
La gravità di un morso anormale può variare in modo significativo - a seconda della gravità della patologia, si distinguono i gradi I, II e III. Tuttavia, anche una malocclusione piuttosto lieve a volte crea problemi molto seri per la vita normale di una persona, a partire dalla psico-emotiva e finendo con problemi con il mangiare.
Pertanto, parliamo del tipo di malocclusione esistente e dei metodi di trattamento offerti dall'odontoiatria moderna in questa o quella situazione. E, soprattutto, vediamo quali misure preventive i genitori possono adottare per proteggere il proprio bambino dai problemi di morso in futuro.
Cosa sono le malocclusioni?
Gli ortodontisti usano la classificazione Engle nella loro pratica. Ha distinto 3 tipi di morso, a seconda di come i primi molari (cioè i cosiddetti molari) si avvicinano.
La prima classe di Angle è considerata la norma di occlusione, un tipo di standard che l'ortodontista cerca di raggiungere se ci sono deviazioni dal normale rapporto dei denti. È stato rivelato che la chiusura dei denti nella prima classe di Engle è la più fisiologica per l'intera dentatura della persona.

La seconda e la terza classe di malocclusione di Angl secondo Engle saranno discusse in dettaglio di seguito.
nota
Ad oggi, gli ortodontisti classificano le anomalie della chiusura nella parte laterale dei denti come anomalie sagittali e le deviazioni nella parte anteriore della dentatura come malocclusioni verticali.
Le anomalie patologiche comprendono tali patologie quando, con la normale chiusura dei denti, sono presenti i seguenti difetti nella sezione laterale:
- Il diastema mediano è il divario tra i primi incisivi della mascella superiore. In un morso precoce intermittente (da 2,5 a 4,5 anni), un diastema è una normale condizione fisiologica quando il frenulo del labbro superiore passa tra incisivi centrali temporanei. Con lo sviluppo normale durante l'eruzione degli incisivi e delle zanne laterali, questo divario si chiude e l'attacco del frenulo viene spostato e intrecciato nella mucosa del labbro superiore. In alcuni casi, la causa del diastema può essere la presenza di un dente soprannumerario nell'area della discrepanza dei denti centrali della mascella superiore (questa patologia può essere identificata dai risultati di un esame radiografico).

- Affollamento dei denti: questa malocclusione si verifica quando le dimensioni dei denti e degli archi dentali non corrispondono. Circa il 60% dei bambini nella popolazione europea mostra un certo grado di affollamento. In una tale situazione, la perdita di un dente permanente o temporaneo può causare lo spostamento dei denti vicini nell'area del difetto per riempire il vuoto. L'affollamento dei denti inferiori nell'adolescenza è principalmente dovuto alla saggezza dei denti e alla pressione che esercitano sulla dentatura.

- Tre - lacune tra i denti. È importante capire che in un morso rimovibile, la presenza di tre è un fenomeno normale, a causa del fatto che i denti da latte divergono e preparano un posto per i denti permanenti più grandi. Tre possono verificarsi con microdentia: le piccole dimensioni dei denti stessi. In ogni caso, i genitori del bambino dovrebbero prestare attenzione a tali lacune tra i denti, in quanto intasano il cibo, che con scarsa igiene può portare a carie e malattie gengivali.

- Trasposizione o distopia dei denti: questi termini simili si riferiscono alla dentizione in un luogo insolito. Ci sono diverse ragioni per questo fenomeno. Ad esempio, questa può essere una posizione anormale del germe dentale a causa di un fattore ereditario, anomalie del feto durante la gravidanza, malattia materna nelle prime fasi della gravidanza, trauma del parto, forcipe durante le cure ostetriche, ecc. La causa della distopia dentale può essere un'altra - mancanza di spazio nella dentatura li fa esplodere fuori dall'arco dentale: sulle guance, sulle labbra, causando lesioni al bambino durante la masticazione e formando un fuoco di infiammazione, perché a volte è abbastanza difficile arrivare a un tale dente quando si lava.

Le seguenti anomalie di malocclusione saranno considerate in modo più dettagliato.
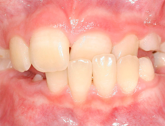
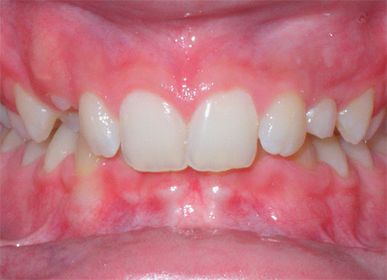
Morso distale
Il morso distale è la malocclusione più comune tra la popolazione europea. Molti associano la sua presenza alla natura del cibo assunto - abbiamo iniziato a mangiare cibi più morbidi, in relazione ai quali non è necessario masticare e applicare uno sforzo. La mascella inferiore è di dimensioni ridotte, non è più così avanzata e la mascella superiore prevale su quella inferiore. Morso distale è un'anomalia di classe II secondo la classificazione di Engle.
La foto mostra un esempio di un morso distale:

Nel morso distale si distinguono due sottoclassi, a seconda dell'inclinazione degli incisivi mascellari.
Classe II, sottoclasse I - incisivi superiori inclinati verso il labbro superiore. Le ragioni per la formazione di questo fenomeno possono essere l'abitudine di succhiare un dito, un suzione prolungata dei capezzoli, l'abitudine di stendere la lingua tra i denti, nonché l'iperattività dei muscoli del labbro superiore e del muscolo circolare della bocca.

I segni facciali di questo tipo di occlusione sono un profilo concavo, labbra aperte, estensione compensatoria del labbro inferiore in avanti e verso l'alto. A volte ci sono casi di attività eccessiva del labbro inferiore (ad esempio, con l'abitudine di mordere il labbro inferiore), quindi gli incisivi superiori sono avanzati e quelli inferiori cadono all'indietro dalla posizione normale.
Classe II, sottoclasse II: gli incisivi superiori sono inclinati verso il cielo. Un fattore stimolante può essere l'abitudine di mordere il labbro superiore, così come l'infantile, cioè il tipo di deglutizione dei bambini con tensione muscolare nelle labbra e nelle guance. In tali casi, dopo aver esaminato il paziente, le labbra sono chiuse, il labbro inferiore si ispessisce, viene evidenziata una piega profonda sul mento.

Un morso distale è spesso accompagnato da un disturbo del linguaggio, impossibilità o difficoltà a mordere il cibo, difficoltà a respirare, nonché dolore e disfunzione nell'articolazione temporo-mandibolare.
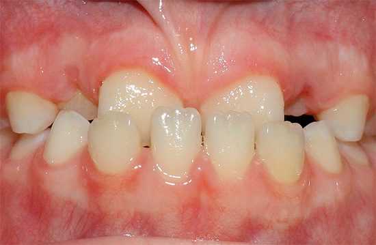
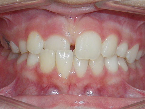
Nota come la forma della mascella cambia dopo il trattamento per un morso distale:

Morso mesiale
Rispetto al morso distale, la situazione opposta si osserva con il morso mesiale - quando la mascella superiore è di dimensioni inferiori rispetto alla mascella inferiore. Questa è la terza classe di malocclusione secondo la classificazione di Engle.

Le ragioni per lo sviluppo del morso mesiale possono essere:
- trauma alla nascita;
- estrazione precoce dei denti della mascella superiore;
- predisposizione genetica - ad esempio, un bambino ha una mascella inferiore massiccia da parte di suo padre e una mascella superiore piccola da sua madre.
Spesso, con questa anomalia dell'occlusione, è possibile vedere un fenomeno come la compensazione gengivale: i denti sulla mascella superiore sono affollati, mentre sulla grande mascella inferiore si estendono in avanti, sono pari, potrebbero esserci degli spazi tra loro (tre).
Segni facciali del morso mesiale: un profilo convesso, un mento prominente che sporge in avanti, retrazione del labbro superiore e sporgenza del labbro inferiore.

Il morso mesiale contribuisce allo sviluppo di disturbi dell'articolazione temporo-mandibolare - a causa della posizione anteriore della testa della mascella superiore nella fossa articolare, vi è un'estensione costante dei legamenti dell'ATM, la tensione dei muscoli temporali e masticatori, lo sviluppo del dolore durante il cibo e il mal di testa.A volte i pazienti lamentano traumi al labbro superiore con i denti della mascella inferiore durante i pasti.
Morso aperto
Un morso aperto è una non chiusura dei denti nella regione anteriore, a causa della quale si forma uno spazio tra di loro. Normalmente, gli incisivi superiori dovrebbero sovrapporsi agli incisivi inferiori di un terzo della dimensione della corona. Con un morso aperto, la sovrapposizione è del tutto assente o minima.

Si distinguono i seguenti tipi di morso aperto:
- morso aperto anteriore: non vi sono sovrapposizioni nella parte anteriore della dentatura con denti laterali chiusi;
- morso aperto laterale: quando i denti si sovrappongono nella sezione anteriore, i denti laterali non si chiudono.
Tra le cause di questa anomalia sono descritte:
- fattore ereditario;
- respirazione orale - in questo caso, il bambino ha bisogno di una consultazione con un medico ORL, perché è importante capire perché il bambino respira attraverso la bocca. Forse c'è stata una lesione e c'è una curvatura del setto nasale o la presenza di adenoidi. A volte un'immunità indebolita e frequenti raffreddori possono anche rendere difficile la respirazione nasale di un bambino;
- l'abitudine di succhiare un dito, suzione prolungata di capezzoli e altri oggetti;
- tipo di deglutizione infantile e abitudine di deporre la lingua tra la dentatura;
- malformazioni congenite - cresta alveolare spaccata del labbro e del palato;
- disturbi endocrini;
- tumori della regione maxillo-facciale.
Segni facciali di un morso aperto: la bocca è semiaperta, ma se è possibile chiudere la bocca, allora il viso è teso.

I pazienti si lamentano dell'incapacità di mordere completamente e deglutire il cibo, spesso si osserva un leccare.
Esistono 3 gradi di gravità di un morso aperto, a seconda delle dimensioni del divario verticale: I grado - fino a 5 mm, II grado - da 5 a 9 mm, III grado - più di 9 mm.
Prestare anche attenzione a quali denti si chiudono nei reparti laterali. Questa classificazione in base alla gravità viene utilizzata dai dentisti nella selezione dei militari sottoposti a visita medica.
Morso profondo
Viene chiamato un morso profondo in cui i denti superiori si sovrappongono eccessivamente a quelli inferiori. A volte i denti inferiori si appoggiano ai bordi taglienti contro la mucosa del palato, quindi parlano di un morso profondo traumatico.

Possibili cause (eziologia) dell'occorrenza del morso profondo:
- perdita precoce dei denti da masticare (a causa di traumi o complicanze della carie che portano alla loro rimozione o la loro assenza primaria è l'adentia);
- violazione della respirazione nasale;
- tipo sbagliato di deglutizione;
- funzione vocale alterata;
- cattiva abitudine di succhiare vari oggetti;
- violazione dei termini della dentizione, in particolare nelle parti laterali della dentatura;
- abrasione precoce dei denti temporanei.
Come nel caso di un morso aperto, si distinguono anche tre gradi di un morso profondo, a seconda della gravità dell'anomalia (cioè della quantità di sovrapposizione della dentatura inferiore con quella superiore).

Segni facciali di un morso profondo:
- eversione del labbro inferiore verso l'esterno;
- la gravità della piega del mento;
- accorciamento del terzo inferiore del viso (a volte i medici usano il termine "volto di uccello").

Di norma, con questa malocclusione, i pazienti lamentano difficoltà a mordere e masticare cibo e spesso si verifica dolore nell'articolazione temporo-mandibolare e sono possibili mal di testa. Molto spesso si verifica una compromissione della parola: i pazienti parlano attraverso i denti.
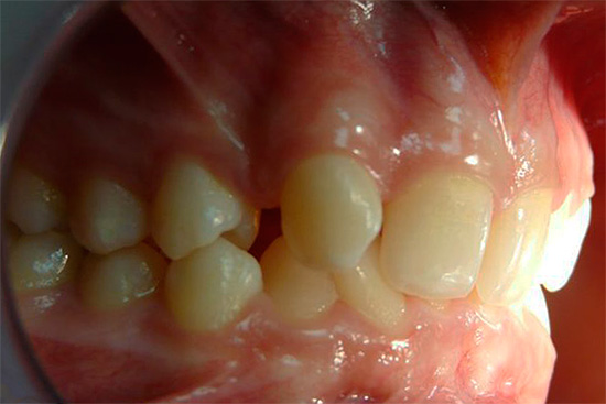
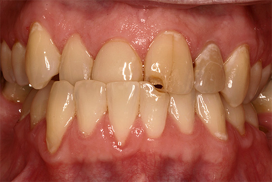
Morso incrociato
Come suggerisce il nome, con un morso incrociato, i denti, chiudendosi, si intersecano.
Con un morso incrociato, c'è una discrepanza nella dimensione delle mascelle nella regione laterale. Gli ortodontisti attribuiscono questo tipo di occlusione a anomalie trasversali e la patologia può essere unilaterale e bilaterale.

Il morso incrociato si verifica in entrambe le regioni anteriore e laterale.
Con un tipo laterale di occlusione, gli ortodontisti distinguono i seguenti tipi di questa anomalia:
- quando la mascella inferiore viene spostata verso la lingua - un morso incrociato linguale;
- al lato della guancia - morso crociato buccale;
- e al lato del cielo - morso di croce palatino.
Le cause dell'anomalia:
- cattive abitudini (elencate sopra);
- trauma o danno alla mascella, compresa la lesione alla nascita;
- l'applicazione della pinza durante le cure ostetriche;
- mancanza di denti separati;
- disturbi dell'articolazione temporo-mandibolare (ATM): anchilosi, dislocazione abituale dell'articolazione, sottosviluppo dell'articolazione su un lato;
- indelebilità delle superfici dei denti primari;
- violazione della sequenza e dei tempi della dentizione.
La fotografia sotto mostra un esempio di morso incrociato in un adulto:

Reclami frequenti da pazienti e genitori:
- la presenza di un difetto estetico con una notevole discrepanza tra dimensione e posizione delle mascelle;
- difficoltà a mangiare;
- violazione della pronuncia del suono;
- malattia gengivale dovuta a possibili lesioni durante la masticazione e la parola;
- problemi al tratto gastrointestinale.
Di norma, la malocclusione verticale è combinata con anomalie nella direzione sagittale.
Il primo ricevimento all'ortodontista - come al solito
Spesso, quando genitori e figli vengono dall'ortodontista per un consulto, la loro prima domanda è qualcosa del genere: "Dottore, non siamo in ritardo per il trattamento?" E in effetti, è molto importante arrivare in tempo, poiché i metodi di trattamento ortodontico dipendono in gran parte dall'età specifica del bambino.

Va inoltre tenuto presente che se un bambino è disciplinato e in sintonia con il trattamento, il morso può di solito essere corretto più velocemente ed efficacemente rispetto all'età adulta.
Il primo appuntamento è pianificato al meglio a 6-7 anni, poiché a questa età vengono tagliati i primi denti permanenti della mascella superiore e inferiore. Tuttavia, puoi applicare in anticipo se hai visto che i denti stanno crescendo in modo leggermente diverso da quello che dovrebbe essere - per assicurarti e non iniziare la situazione.
È importante preparare adeguatamente il bambino prima di andare dal medico, per spiegare che il medico guarderà solo i suoi denti (in modo che il bambino non abbia paura ed è pronto a collaborare con il medico).
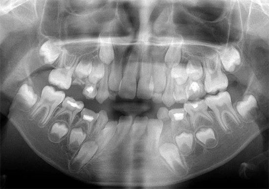
Alla consultazione iniziale, dall'età di 4-5 anni e più, quando i bambini sono già più consapevoli, il medico può riferirti all'immagine: un ortopantomogramma. Ciò contribuirà a valutare le condizioni del sistema dentofacciale, la presenza o l'assenza dei rudimenti di tutti i denti permanenti in un bambino, la posizione delle radici dei denti temporanei e anche lo stadio di sviluppo dei denti. A volte i denti temporanei sono ritardati nella mascella e rappresentano un ostacolo all'uscita di quelli permanenti.

Inoltre, usando l'ortopantomogramma, è possibile valutare la presenza di cavità cariate, la loro profondità, vedere i fuochi del processo infiammatorio nella radice del dente, vedere le condizioni delle strutture ossee sottostanti della mascella superiore e inferiore (seno mascellare, canale mandibolare). Tutto ciò aiuta a pianificare correttamente il corso del trattamento della malocclusione.
Al primo appuntamento, l'ortodontista può scattare fotografie del viso e della dentizione del paziente e, possibilmente, eseguire i calchi dalla mascella superiore e inferiore per valutare completamente il morso del bambino.
nota
A volte i medici hanno in programma di effettuare il cast come visita separata (di solito al mattino). I calchi vengono prelevati utilizzando speciali cucchiai dentali nelle dimensioni e nella forma delle mascelle.
È meglio eseguire questa procedura a stomaco vuoto, o dopo 2 ore dopo aver mangiato, perché un corpo estraneo specifico a contatto con i tessuti molli della cavità orale può causare un riflesso del vomito. Questo, a sua volta, lascerà un'impressione spiacevole sul bambino e potrebbe influire sulla qualità dell'impressione.
A cosa presta attenzione un ortodontista?
Prima di tutto, l'ortodontista presta attenzione alle lamentele del bambino e dei suoi genitori. Valutato anche:
- sviluppo armonico del viso;
- attaccamento del frenulo del labbro superiore e della lingua;
- la profondità del vestibolo della cavità orale;
- la condizione della mucosa orale;
- il discorso del paziente (forse il bambino avrà bisogno dell'intervento di un logopedista).

Come tutti i medici, un ortodontista raccoglie una storia della vita e della salute di un bambino.È anche importante che il medico scopra la natura del decorso della gravidanza e del parto. Inoltre, il tipo di alimentazione gioca un ruolo significativo nella formazione di anomalie dentoalveolari.
Se ci sono lamentele di dolore o tensione muscolare nell'area dell'articolazione temporo-mandibolare, il medico può prescrivere ulteriori studi - una radiografia dell'ATM all'apertura e chiusura della bocca, elettromiografia - un metodo che consente di valutare il lavoro coordinato e il tono dei muscoli masticatori e temporali.
In alcuni casi è necessaria la tomografia computerizzata (per completare la valutazione dello stato delle strutture della regione maxillo-facciale).
All'età di 12-14 anni e oltre, il criterio principale per fare una diagnosi corretta è lo studio di un teleradiografo della testa nella proiezione laterale. Questo tipo di studio consente al medico di farsi un'idea della natura della crescita delle ossa della mascella l'una rispetto all'altra e alla base del cranio. E anche sulla forma della patologia dell'occlusione - la malocclusione si è formata solo a causa della mancanza di spazio per i denti nell'arco dentale, oppure è dovuta al sottosviluppo e alla posizione errata delle mascelle stesse, che è correggibile, ma a volte richiede l'intervento del chirurgo maxillo-facciale.

Trattamenti per malocclusione
Nel trattamento della malocclusione nei bambini, il medico può utilizzare una varietà di combinazioni di dispositivi funzionali.
Ad esempio, può essere un dispositivo a piastra rimovibile con una vite di espansione e combinazioni di elementi aggiuntivi. Il compito di questi dispositivi è di normalizzare la crescita delle mascelle l'una rispetto all'altra. Le piastre, ovviamente, esercitano una pressione sui denti con l'aiuto di elementi ad arco o anelli (ad esempio, il ciclo di Reinbach per chiudere il diastema), ma non possono influenzare sufficientemente la natura dell'inclinazione dei denti.

Pertanto, con un affollamento significativo e una posizione impropria dei denti, il medico può raccomandare l'uso di un sistema di staffe, poiché sono le parentesi graffe che possono influenzare completamente la posizione e l'inclinazione dei denti.
È importante
La modalità di indossare i dispositivi espandibili rimovibili piastra è prescritta dal medico. La regola principale: se si desidera ottenere risultati dal trattamento, è necessario indossare il dispositivo il più possibile giorno e notte. A volte i pazienti, e soprattutto i genitori di bambini, si lamentano che qui, dicono, abbiamo pagato soldi, ma non c'è alcun effetto. Il medico inizia a chiedere: "Come indossi?". Risposta: "Bene, dopo la scuola un paio d'ore, di notte il bambino rifiuta di dormire con il disco ..."
Esistono anche dispositivi rimovibili che correggono un morso anomalo normalizzando i muscoli della regione maxillo-facciale, ad esempio il regolatore funzionale Frenkel. Il suo design include elementi speciali: protezioni laterali per guance e pelot labiali, fissate insieme da un arco di metallo.

Il regolatore Frenkel è diviso in tre tipi, a seconda della malocclusione del bambino. Colpisce la chiusura delle labbra, la respirazione e la posizione della lingua.
Se ci sono lamentele sull'articolazione temporo-mandibolare, il medico può prescrivere di indossare una stecca di silicone articolare. Ora vengono prodotte numerose combinazioni diverse di questi dispositivi, sia produttori nazionali che esteri. La scelta del tipo di tale apparato dipende anche dal tipo di malocclusione e dall'età del bambino.
Il compito delle gomme siliconiche articolari è scaricare i muscoli che circondano l'articolazione e "riprogrammare" il loro lavoro al fine di normalizzare le funzioni dell'articolazione e ridurre il carico sui suoi elementi strutturali (capsula, legamenti). È anche importante rispettare il regime di usura prescritto dal medico in modo che il trattamento non vada sprecato.

nota
Un ortodontista può raccomandare miogimnie - questa è una serie di esercizi di fisioterapia per garantire il lavoro coordinato di alcuni muscoli.Il complesso può essere prescritto come opzione di trattamento separata o con l'obiettivo di prevenire la formazione di malocclusione. La miogymnastic richiede disciplina e interesse da parte del bambino, oltre a visitare un medico per monitorare l'esercizio ogni due settimane, quindi non tutti gli ortodontisti usano questo metodo nella loro pratica quotidiana, sebbene sia molto efficace.
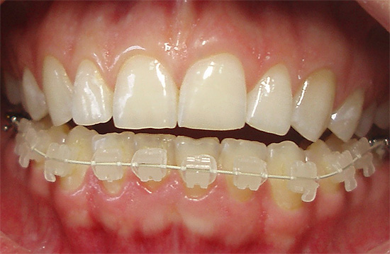
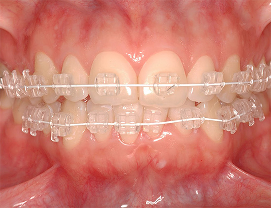
L'uso del sistema a staffa nel trattamento della malocclusione è il metodo di scelta (anche in età adulta). Che cos'è un sistema di staffe? In termini semplici, le parentesi graffe sono dispositivi fissi fissati ai denti, con blocchi, in cui è incorporato un programma speciale per lo spostamento dei denti. Il movimento viene eseguito a causa dell'arco, che è fissato in questi blocchi, l'arco si muove e raggiunge la forma ideale dell'arco dentale.
Il tempo medio di trattamento per le parentesi graffe è di 1,5-2 anni.

Oggi ci sono molte modifiche ai sistemi di staffe. Per esempio:
- parentesi graffe, ovvero, l'arco è legato alla staffa mediante speciali legature in metallo o gomma. Le legature forniscono una rigida adesione dell'arco alla staffa e limitano lo scorrimento lungo l'arco dentale. Lo svantaggio di questa attrezzatura è la necessità di frequenti visite dal medico una volta al mese (e alcuni medici prescrivono i pazienti ogni due settimane). Le visite sono necessarie per sostituire le legature, poiché tendono a indebolirsi.
- I sistemi di staffe auto-leganti differiscono dai precedenti in quanto il design della staffa ha un coperchio che trattiene l'arco all'interno della serratura. Ciò fornisce uno scorrimento più libero dell'arco metallico lungo la dentatura, che è più comodo per il paziente, riduce il numero di visite dal medico e il tempo di trattamento. Ma tali apparecchi sono più costosi dei sistemi di legatura.
Inoltre, i sistemi di staffe si differenziano per il materiale con cui sono realizzati:
- I più semplici e evidenti sono le parentesi graffe metalliche. Il loro vantaggio è che sono molto resistenti. Se la staffa si stacca, può essere incollata di nuovo. La pratica dimostra che le parentesi graffe metalliche garantiscono una riduzione dei tempi di trattamento per un morso anomalo.

- Le parentesi graffe di plastica sono più estetiche, poiché coincidono con il colore naturale dei denti. Tra gli svantaggi: sono dipinti con cibo e non durano come il metallo, il che a volte costringe il medico a incollare una nuova staffa a causa del fallimento dell'originale e questo è un costo aggiuntivo per il paziente.

- Bretelle in ceramica - non visibili sui denti, più resistenti di quelle in plastica. Tra gli svantaggi - a causa dell'elevato grado di attrito dell'arco nel castello, il tempo di trattamento totale aumenta. Il costo di tali apparecchi è superiore a quello del metallo e della plastica.

- Bretelle in zaffiro: il più trasparente e invisibile possibile sui denti, ma molto più costoso degli analoghi.

- Bretelle linguali: questo tipo di parentesi graffe viene riparato dal medico sul lato linguale dei denti. Pertanto, non sono visibili agli altri. Tuttavia, quando si indossano tali apparecchi, sorgono alcune difficoltà: irritazione costante della lingua, dizione alterata. Le parentesi graffe linguali richiedono cure e igiene più accurate rispetto alle parentesi graffe convenzionali. Il medico ordina l'intero set individualmente per ciascun paziente e, di conseguenza, se la staffa o l'arco si rompono, allora ci saranno difficoltà con la riparazione e la sostituzione, poiché gli archi e le parentesi graffe di altri sistemi non funzioneranno in questo caso. Il costo del trattamento con apparecchi ortodontici è molto più elevato rispetto ai sistemi convenzionali.

nota
È importante mantenere un buon livello di igiene durante il trattamento delle parentesi graffe, lavarsi i denti dopo ogni pasto e utilizzare set di spazzole per pulire l'area intorno alla staffa, tra l'arco e i denti, oltre al pennello. Se trascuri l'igiene, è possibile la formazione di macchie bianche sui denti - focolai di demineralizzazione dello smalto al posto delle parentesi graffe, tali punti stessi non passano in futuro e richiedono un trattamento.
Metodi per la prevenzione della malocclusione
È noto che è sempre meglio prevenire lo sviluppo di una malattia piuttosto che curarne le conseguenze.
Per prevenire lo sviluppo di malocclusione, le cattive abitudini del bambino dovrebbero essere adattate. Ad esempio, in tempo per scomunicare il bambino dal capezzolo. Se non puoi influenzare il bambino da solo, puoi acquistare un set speciale di dispositivi per la prevenzione della malocclusione corrispondente all'età del bambino (per questo è meglio consultare un medico in modo da poter trovare l'attrezzatura giusta).
Tra le serie di dispositivi per prevenire la formazione di malocclusione, ad esempio, si possono distinguere:
- La placca vestibolare di Kerbitz - è simile al capezzolo, aderisce alla superficie vestibolare dei denti, svezzando così il bambino dall'abitudine dannosa di succhiare dita, capezzolo, labbra, posare la lingua tra i denti, ecc.
- Placca vestibolare di Kraus - indicata in presenza di una cattiva abitudine di succhiare la lingua e compromissione della funzione di deglutizione.
- Propulsore di Müleman: questo dispositivo impedisce la respirazione orale, è indicato per il trattamento e la prevenzione dell'occlusione distale e del morso aperto, mantiene la mascella in posizione estesa e divide i denti da masticare.

Esistono altri tipi di dispositivi per la prevenzione della malocclusione e per ogni tipo di occlusione.
Il monitoraggio della salute del bambino richiede la connessione di dentisti e medici di medicina generale per monitorare il corretto sviluppo di tutti gli organi e sistemi. Visite regolari dal pediatra, terapista, otorinolaringoiatra e logopedista ti aiuteranno a notare i problemi del sistema dentofacciale in tempo.
Naturalmente, il trattamento ortodontico di solito non viene eseguito secondo indicazioni vitali, ma dipende solo dal desiderio di una persona di migliorare il proprio aspetto (o l'aspetto del bambino). Ma non dimenticare un fattore così importante come lo stato psico-emotivo del bambino con un morso anormale: anche se c'è un difetto apparentemente minore, il bambino si sente già diverso da tutti gli altri, spesso diventa depresso e chiuso. A sua volta, questo si riflette nella sua comunicazione con gli altri e l'autostima, che spesso lascia il segno su tutta la sua vita futura.
Qualunque sia il metodo di trattamento scelto, molto dipende dall'umore di te e del tuo bambino per un trattamento a lungo termine in conformità con le raccomandazioni specifiche del dispositivo che indossa il regime, nonché dalla fiducia nel medico e nel coordinamento delle sue azioni con lui.
Sii sano e attento alla salute dei tuoi figli!
Un video interessante sulla classificazione della malocclusione e sui metodi di trattamento in situazioni rilevanti
Un dentista ortodontista parla delle importanti sfumature della correzione di una malocclusione










Ciao Figlie di 14 anni, mettono le parentesi graffe. Il primo giorno, o meglio la notte, i denti erano molto dolorosi. Il giorno successivo, è stato anche tremendamente doloroso, mia figlia ha chiamato da scuola e si è lamentata, ha preso analgin, non ha aiutato. Ho bevuto Nururen di notte. È diventato molto più facile. Dimmi, quanto mi fanno male i denti dopo aver installato le parentesi graffe? Spero non tutto il tempo? Il dottore ha detto che non dovrebbero essere molto malati ... Ma eccoci qui.
Ciao Tatyana. Dopo aver installato le parentesi graffe, i pazienti a volte avvertono dolore per 3-5 giorni. Quindi il dolore si attenua. Se ciò non accade, ti consiglio di consultare il medico per un consiglio.
Impostare le parentesi graffe per allineare il morso. Poi se ne sono andati. All'inizio, dopo la rimozione, tutto era normale, ma poi lo smalto dei denti ha iniziato a sgretolarsi. Fumo anche parecchio. Vale la pena installare impianti invece di denti problematici e qual è il rischio che non attecchiscano?
Ciao Sergey. Se il tuo problema è solo lo smalto dei denti, questa non è un'indicazione diretta per l'estrazione del dente e il posizionamento dell'impianto. È necessario consultare un dentista e trattare i denti con smalto danneggiato.
Per quanto riguarda la sopravvivenza dell'impianto, a condizione che sia disponibile un approccio competente alla scelta del sistema implantare e le qualifiche mediche appropriate, in quasi il 100% dei casi si ottiene un risultato di trattamento positivo, anche se il paziente è un forte fumatore.