
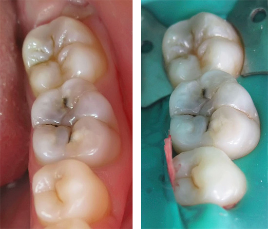
Quando una persona si rivolge al dentista per chiedere aiuto, naturalmente desidera non solo curare il dente, ma anche assicurarsi che non si ammali mai in futuro. Tuttavia, le realtà della vita a volte apportano le proprie correzioni e creano ostacoli a questo: alcune persone, dopo aver riempito un dente, sentono che improvvisamente inizia a far male per qualche motivo. Sembrerebbe che il dottore abbia fatto tutto come previsto: sigillato i canali e (o) messo un sigillo, e il dente fa ancora male sotto di esso.
Bisogna capire che l'esposizione allo smalto dei denti e alla dentina con un trapano e, inoltre, la pulizia e il riempimento dei canali è una sorta di piccola operazione chirurgica per rimuovere i tessuti infetti e necrotici. È abbastanza naturale dopo la presenza di un lieve dolore - per il periodo di recupero del corpo.


I professionisti hanno determinati criteri in base ai quali il dolore dopo il riempimento può essere considerato come una condizione normale o, al contrario, come una certa deviazione dalla norma. Ciò tiene conto della dinamica del dolore, della sua natura, del livello di trattamento, della presenza di errori e complicanze durante esso e di altri fattori.
Cerchiamo di capire perché il dente potrebbe ferirsi dopo il riempimento, in quali casi non puoi preoccuparti di esso e in cui dovresti sospettare che qualcosa non andasse e consultare urgentemente il tuo medico per un consiglio ...
Perché un dente può ferire sotto un riempimento
Il dolore in un dente pieno può essere osservato nei seguenti casi tipici:
- dopo il trattamento della carie (sotto costante riempimento);
- dopo il trattamento del canale (con riempimento temporaneo o permanente).
In primo luogo, esamineremo in dettaglio perché il dolore può essere sentito dopo il trattamento della carie e del riempimento.

I dentisti-terapisti per la maggior parte sono sempre ottimisti, poiché si sforzano di mantenere "vivo" un dente malato con qualsiasi tipo di carie, cioè senza rimozione della polpa ("Nerve") dai canali. Tuttavia, in alcuni casi, nella fase della diagnosi e del trattamento, sorgono errori che sono associati più alla tattica e all'approccio del medico.
Gli errori più comuni che provocano dolore in un dente pieno sono i seguenti:
- Diagnosi errata Questo errore è colpa assoluta del medico. Carie profonde e polpite cronica simile nei sintomi e alcuni segni esterni, quindi il dentista ha una grande responsabilità: non confondere l'uno con l'altro. Se tuttavia si è verificato un errore e il sigillo è sovrapposto a pulpite cronica (così come con altre forme pulpite e parodontite), quindi dopo la sua installazione il dente può ferire "a lungo e duramente". Senza il trattamento canalare, in questo caso, un dente sigillato non cesserà di ferire e, inoltre, ogni giorno di dolore la pazienza è un rischio di perdere un dente per sempre.

- Surriscaldamento del dente. Questo problema è ancora rilevante in molte cliniche (specialmente in quelle economiche) quando non viene utilizzato il raffreddamento ad aria / acqua dell'area trattata o funziona in un volume che non soddisfa i requisiti moderni per la preparazione dei denti durante la carie. Il surriscaldamento dei tessuti duri con un trapano provoca ustioni e necrosi della polpa, che provoca forti dolori sotto il sigillo. In altre parole, la violazione del protocollo per il trattamento della carie porta al fatto che l'infiammazione della polpa porta a nuove malattie: pulpite o parodontite.

- Riempimento eccessivo. In alcuni casi, un dente sigillato fa male quando viene morso. Il fatto è che il trattamento della carie viene spesso eseguito in anestesia, quindi determinare l'altezza di un riempimento mediante morso può essere difficile.Il paziente non può dire con certezza se il riempimento interferisce con lui o meno, poiché questo è impedito da un forte intorpidimento in bocca (a volte non solo un dente cattivo, ma anche quelli adiacenti ad esso). Se il dente pieno fa male esattamente quando viene premuto, si ha la sensazione che il riempimento sia troppo alto e si desideri "spingerlo" per morso, quindi consultare immediatamente un dentista.

nota
C'è una credenza popolare tra le persone che il ripieno che interferisce con il morso del sigillo "si sfregherà da solo". In realtà, questa è un'idea falsa e pericolosa, poiché un riempimento sopravvalutato non solo provoca dolore in un dente pieno, ma provoca anche traumi ai tessuti che circondano la radice, il che porta al rischio di sviluppare parodontite traumatica (infiammazione dei tessuti circostanti), e questo porta già rischio di perdita dei denti.
- Stress da polimerizzazione. I moderni compositi fotopolimerizzabili (otturazioni leggere) hanno una proprietà negativa: causano il cosiddetto stress di polimerizzazione o restringimento del riempimento, a causa del quale il dente inizia a ferire un po 'di tempo dopo il riempimento. Durante l'indurimento del materiale con una lampada speciale, perde volume e provoca tensione sulle pareti del dente, che vengono applicate dal dentista. Più è stato introdotto lo strato di riempimento, più grave sarà lo stress nella maggior parte dei casi. Di conseguenza, il mancato rispetto della tecnologia di lavorare con otturazioni leggere porta al fatto che dopo il riempimento, il dente a volte fa molto male e il dolore può essere a breve termine (fino a 1-2 settimane) e non scompare affatto.

La causa del dolore dopo aver riempito i canali
Il dolore dopo il riempimento dei canali dentali non si verifica sempre e non in tutti i casi clinici. Alcuni dentisti ritengono che normalmente, dopo aver riempito i canali del dente, il dolore non dovrebbe verificarsi affatto. Allo stesso tempo, i singoli professionisti ritengono che, tuttavia, le sensazioni dolorose a breve termine in un dente senza un "nervo" rientrino nella norma accettabile, anche se il lavoro nei canali è stato eseguito secondo il protocollo di trattamento e senza errori.

Quindi, che tipo di mal di denti può esserci dopo aver riempito i canali:
- Dolore quando si morde un dente pieno. Dopo che il dentista ha inserito un riempimento temporaneo sul dente, dopo alcune ore o il giorno successivo, può verificarsi dolore quando si preme su di esso. Molti pazienti notano che è particolarmente doloroso premere su un dente sigillato durante un pasto. Se durante il trattamento dei canali dentali non sono stati commessi errori, la causa di tale dolore è la reazione dei tessuti che circondano la radice del dente alla rimozione del "nervo", l'elaborazione, l'espansione dei canali e l'introduzione del materiale di riempimento in essi. In genere, un dente pieno fa male non più di 5-7 giorni, a volte fino a 2-3 settimane. Dipende dal materiale utilizzato per riempire i canali e dalla reazione individuale del corpo in risposta allo "stimolo". In ogni caso, un dente normalmente trattato nei canali dovrebbe avere una dinamica positiva: il dolore dovrebbe gradualmente diminuire fino a scomparire completamente.
- Dolore dolorante dopo il trattamento. Dopo che i canali sono stati riempiti, a volte si verifica un mal di denti dolorante sotto il riempimento immediatamente dopo aver subito l'anestesia. Di norma, la sua durata non è superiore a 1-2 ore. Se il dolore doloroso non passa a lungo, e specialmente se la sua intensità aumenta ogni giorno, dovresti consultare immediatamente un dentista per chiarimenti.


È doloroso riempire un dente?
Il riempimento dei denti in caso di carie può essere eseguito senza anestesia, se durante il trattamento non provoca sensibilità. Se viene eseguito un buon "congelamento" (anestesia), il dolore non si verifica in nessuna fase del trattamento. Nel trattamento dei canali, con rare eccezioni, è sempre necessaria l'anestesia, che rende il trattamento indolore.
Non possiamo dire delle opzioni per le complicazioni che si verificano durante e dopo il trattamento dei canali. A volte il mal di denti dopo il riempimento può essere il risultato diretto di alcuni errori da parte del medico.
Gli errori medici più comuni che si verificano durante il trattamento dei canali:
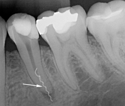
- Riempimento del canale con la rimozione di materiale oltre la radice. Questo errore porta a un dolore di lunga durata quando si preme sul dente, nonostante un riempimento correttamente installato.

- Riempimento del canale non fino all'apice (apice). Il canale dovrebbe normalmente essere sigillato per l'intera lunghezza di lavoro. Se ciò non accade, a un certo punto è vuoto. La natura non tollera il vuoto, quindi, i microbi si accumulano nell'area non sigillata, che successivamente provocano infiammazione alla radice. Alcune persone immediatamente o dopo qualche tempo hanno dolori doloranti sotto il riempimento, o un dente sigillato fa male quando viene premuto su di esso. In questo caso, è necessario ritrattare e riempire nuovamente il canale.

- Strumento rotto nel canale. In questo caso, la complicazione sorge a causa del lasciare un pezzo di uno strumento dentale nel canale con una fonte di infezione - un "nervo" infiammato o con batteri non lavati fuori dal canale. In futuro, questo spesso porta a dolore dopo aver riempito i canali dentali - immediatamente o dopo alcune settimane (a volte anni).

- Feed scarsamente elaborati. A causa del poco professionale o della complessità della struttura dei canali, il dentista a volte non può pulirli correttamente. E qualsiasi area lasciata incustodita all'interno della radice è un rischio che il dente si danneggi sotto il riempimento. Spesso, la transizione dell'infezione alla radice del tessuto circostante porta a una lotta per la ripetuta conservazione del dente in futuro.

Come alleviare il dolore dopo il riempimento dei denti a casa
Se, dopo aver pulito i canali e riempito, hai mal di denti (dolore post-riempimento), allora ci sono diversi approcci per eliminare sensazioni spiacevoli.
In generale, se il dentista non ha commesso errori, non è necessario prescrivere risciacqui, ma alcuni esperti raccomandano di alleviare il dolore con risciacqui caldi con soda e sale.
nota
Il sale e la soda sono noti da tempo nella medicina popolare come mezzo per sbarazzarsi di molti dolori. Il meccanismo della loro azione è dovuto al fatto che hanno effetti antinfiammatori e antisettici. È noto che il sale è in grado di "attirare il pus" su se stesso, motivo per cui, ad esempio, viene utilizzato insieme alla soda come soluzione per sciacquare un canale aperto con una forma purulenta di parodontite del dente.

Quindi cosa fare se si verifica un mal di denti sotto un riempimento? Se il dente fa male con otturazioni temporanee o permanenti, è possibile avviare risciacqui caldi con soda e sale, e preferibilmente il più presto possibile. In questo caso, è necessario riscaldare il dente dall'interno, ma non dall'esterno (non è necessario premere la guancia contro la batteria di riscaldamento).
Per la procedura, devi fare un po 'più che caldo (per quanto la bocca tollera), risciacquare, aggiungendo un cucchiaino di soda e un cucchiaino di sale in un bicchiere d'acqua. Il risciacquo dovrebbe essere 4-5 volte per un'ora fino a quando il dolore scompare completamente.
Dall'esperienza del dentista
In alcuni casi, 2-3 gocce di tintura al 5% di iodio possono essere aggiunte a una soluzione di soda e sale. Tuttavia, vale la pena ricordare che per alcune persone, i preparati di iodio sono controindicati, a causa dell'intolleranza individuale o dei problemi con la ghiandola tiroidea.
Se hai a portata di mano un kit di pronto soccorso domiciliare, puoi cercare farmaci di effetto analgesico generale, come: Ketorol, Baralgin, Nise, Ketanov, MIG 200.

Quando è necessaria la cura del dentista
Come già notato sopra, a volte dopo il trattamento dei canali e il riempimento, sorgono gravi complicazioni che possono portare a dolore a un dente chiuso.
Fondamentale qui è l'appello tempestivo a uno specialista per una consulenza. Ciò è particolarmente importante se, dopo aver riempito i canali, la gomma diventa molto dolorosa e le gengive si gonfiano.


Per comprendere l'essenza del problema, il dentista chiarirà definitivamente la diagnosi, che è stata la prima terapia.Se è stato inserito un riempimento in caso di carie e il dente fa male a lungo ed è molto doloroso, il dentista esaminerà le otturazioni installate, la palpazione delle gengive, la percussione dei denti (toccando) e realizzerà un EDI per verificare la vitalità della polpa e la diagnostica a raggi X. Se viene confermata l'infiammazione del "nervo" o, peggio ancora, l'infiammazione alla radice, il medico condurrà estrazione di tutta la polpa dai canali e li sigilla per tutta la lunghezza.
Se un dente "morto" fa male dopo aver riempito i canali, il dentista farà sicuramente una radiografia. Se vengono rilevati errori nel trattamento, il dente verrà rianimato. In rari casi, se è impossibile trattare un dente, il medico suggerirà di rimuoverlo e al suo posto inserisce un impianto con una corona o crea un "ponte" con un dente artificiale.
Domanda al dentista: "Immediatamente, non appena ho avuto un riempimento, il dente ha iniziato a fare molto male, perché?"
Se un riempimento è stato posto sul dente a causa della carie, il dolore dopo la sua perdita è associato al fatto che una vasta area di tessuti sensibili e non protetti si apre per le sostanze irritanti. Spesso un riempimento vola perché il dente era preparato male: i tessuti cariati non venivano rimossi, quindi la carie continuava sotto il riempimento.
Un video interessante sulle possibili cause del dolore in un dente sotto un riempimento
Ed è così che appare il trattamento della carie profonda al microscopio, tutti gli stadi sono ben tracciati






Grazie mille per l'informazione.
Grazie
Grazie
Un dente è stato precedentemente trattato per parodontite cronica, un anno fa. Ora di nuovo malato, cosa fare?
È necessario rimuovere il dente. Ho avuto un caso del genere. Ho cancellato.
Benvenuti! Dimmi, per favore, come essere? Prima del trattamento, i denti non facevano male. Dopo aver sostituito le vecchie otturazioni (di cemento) con otturazioni fotopolimerizzanti, i miei denti sono diventati molto doloranti. Persino quello il cui nervo è stato rimosso molto tempo fa (non l'hanno toccato). Non c'è modo. Ho sofferto di dolore per tre settimane ormai. Arriverò dal dentista tra altri tre. A proposito, dopo il trattamento dentale, è iniziata la tonsillite. Infezione? Cosa dire al dentista? Tutto questo è un caso di garanzia? Da quando ne ho già portati 20.000 in clinica e al posto del trattamento ho avuto delle piaghe.
Mi fa male il dente, che è già un anno sotto un riempimento con un nervo rimosso, perché fa male? E intorno al dente, mi fa male la gomma ... Anche le gocce dei denti non mi aiutano.
Ah, mi fa male la gomma ((
Vedi un dottore
Ho lo stesso problema e nessuno dei dottori capirà nemmeno dal quadro. Ma oggi ho preso la decisione da solo - e la rimuovo, stanca di questo dolore doloroso.
Se tutto il trattamento viene eseguito correttamente, ma il dente fa male dopo aver riempito i canali, ciò significa che si è verificata un'infezione residua nella regione apicale della radice.
Se un dente fa male dopo il riempimento con la pressione, ciò può essere dovuto al trattamento della parodontite, che appare a causa della pulpite avanzata. La parodontite può anche essere causata dal posizionamento improprio di un riempimento nei canali radicolari durante il trattamento della pulpite.
E cosa fare con questa reazione residua? Sembra che io abbia questa situazione. Il medico ha detto che il dente era sigillato correttamente, ma l'immagine mostra una leggera infiammazione alla radice. Pertanto, il dente fa male, e cosa fare ora?
Benvenuti! In effetti, ci sono due approcci al processo infiammatorio nella parte superiore. Molto spesso, viene eseguito un trattamento antinfiammatorio (una pasta a base di idrossido di calcio o altri farmaci viene iniettata nel canale) al fine di eliminare prima questo focus e solo successivamente mettere un sigillo. Ci vogliono da 1-2 mesi a 1-2 anni, a seconda della gravità (area) della distruzione dei raggi ossei vicino all'apice della radice.
Ora c'è un approccio, che consiste nel fatto che con una piccola infiammazione alla radice, il dentista ha l'opportunità di sigillare immediatamente il canale e non usare farmaci che vengono messi a lungo. Tuttavia, la scelta di questo metodo impone una grande responsabilità del medico per il trattamento intracanalare ideale, che difficilmente può durare meno di 1-1,5 ore di durata, di solito avviene al microscopio, utilizzando l'attivazione dell'ipoclorito nei canali usando gli ultrasuoni - tutto ciò non lascia alcuna possibilità di microbica flora per rimanere nei tubuli aggiuntivi o all'interno delle pareti dei canali. In teoria, il dentista dovrebbe aderire agli stessi metodi nella prima opzione di trattamento (usando le paste). Comunque sia, un certo numero di esperti ritiene che anche il secondo approccio porti al successo: l'infiammazione alla radice sta diminuendo, poiché non vi è alcuna fonte alimentare di infezione.
Nel tuo caso, non è ancora possibile dire con certezza se si tratta di un dolore post-riempimento standard o di una conseguenza di un'infezione abbandonata. Non so se hanno messo le paste per rimuovere l'infiammazione, ma penso di no. Sospetto tuttavia che ci sia spazio per un processo infettivo, ma è impossibile trarre conclusioni definitive senza un'attenta raccolta di informazioni (interrogatorio), esame nella cavità orale, analisi dell'immagine, ecc. Pertanto, è necessario rivolgersi a un medico indipendente per una valutazione esperta del proprio caso clinico (penso che sicuramente consiglieranno di fare una foto per controllare il lavoro del medico precedente). Grazie per la domanda
C'era un buco nel dente, ma il dente non faceva male. Sono passati sette anni e ho messo un sigillo. Da qualche parte è passato più di un anno, il dente fa male, perché, cosa fare? Per favore dimmelo.
Un po 'di vodka con aglio, la vodka deve essere sputata! Sdraia la parte malata sul cuscino, per 15 minuti quattro volte al giorno.
Se il dente fa male dopo aver riempito i canali, il processo di restauro richiederà un po 'più di tempo - fino a 3-4 settimane. È importante notare che ogni giorno le condizioni di una persona dovrebbero migliorare fino a quando il dolore non si attenua.
Ho messo un sigillo circa un mese fa, ma quando viene premuto il dente fa male e le sue gengive sono gonfie. Dimmi perché e cosa fare?
Benvenuti! Mi hanno chiuso il dente laterale, era un po 'malato e pulsante, e la gomma era accanto. Ma oggi un sacchetto di sangue acquoso gli è apparso vicino e un dolore lancinante e gonfiore - che cos'è?
Ciao Julia! Sfortunatamente, non hai fornito radiografie che potrebbero confermare o confutare alcuni sospetti: complicazioni durante il trattamento del canale e (o) il trattamento del dente con un processo infiammatorio vicino all'apice della radice (s). In questo caso, si può sicuramente parlare di un'esacerbazione, cioè la comparsa di un processo sieroso-purulento o purulento, che provoca dolore pulsante con fenomeni nelle gengive. Molto probabilmente, questo sta producendo un percorso fistoloso, che non è un fenomeno normale in questo contesto.Si consiglia di chiedere urgentemente aiuto al proprio dentista (o altro) per diagnosticare il problema e prendere una decisione urgente, poiché il percorso fistoloso di salvataggio potrebbe non formarsi e la persona assumerà una forma non simmetrica con la successiva diffusione dell'infezione. A seconda delle proprie capacità (livello di clinica, medico, gravità delle condizioni del dente, capacità finanziarie, ecc.), Trattare urgentemente il dente o rimuoverlo urgentemente. Tollerare il dolore e non fare nulla con un processo infettivo attivo nell'area peridentale è stupido quanto aspettare che l'appendicite “passi da sola”.
Ciao Dimmelo, per favore. Ho un sigillo. Quando l'anestesia cominciò a scomparire, il dente cominciò a far male. Sono già passate 6 ore dopo il riempimento, ora il dente fa male quando la mascella si chiude.
Benvenuti! Questo è il risultato di lievi violazioni tecniche o grave. Lasciami spiegare: se c'è stata un'asciugatura eccessiva della dentina, tempo extra per l'incisione dello smalto sotto un sigillo leggero, un sigillo sotto il sigillo è analfabeta o la tecnologia del restauro bezkladochnaya è rotta, quindi entro 3-7 giorni il dolore dovrebbe diminuire o scomparire completamente. Nel caso in cui il dente fosse surriscaldato, lo smalto vicino al sigillo era bruscamente lucido, le microcricche apparivano vicino al sigillo, una forte vibrazione della punta danneggiò il fascio neurovascolare nel dente, quindi il dolore quando il morso può essere solo una campana di futuri gravi problemi all'interno dei canali. Cioè, errori grossolani possono portare a pulpite (parodontite) e trattamento dei canali dentali. Dal momento che al momento il medico utilizza il raffreddamento ad aria-acqua, il rischio di surriscaldamento del dente non è poi così elevato. Pertanto, speriamo che tu abbia un solito dolore post-riempimento sullo sfondo di alcune inesattezze tecnologiche o di un qualche tipo di "adattamento": perdonami teorici che credono che tutto ciò che "fa male" dopo il trattamento dei denti è il risultato di errori o imprecisioni del medico, e il paziente stesso (il suo dente individualmente) non è abbastanza, il che dipende. Se il dolore quando si morde per 2-3 giorni non scompare, è possibile ottenere consigli dal proprio medico.
Ciao ... Il mio dente ha iniziato a farmi male, sono andato in clinica, hanno detto che dovevo essere curato. Per due o tre giorni ho camminato costantemente, ho messo l'arsenico, poi hanno detto che avrebbero messo un sigillo. Hanno rimosso i nervi (il medico curante ha ancora mostrato e detto che era un nervo), hanno messo un sigillo e hanno fatto una "estensione" all'esterno ... Dopo 2 anni il dente ha iniziato a fare male, a volte ci sono dolori che mi fanno singhiozzare. Già 2-3 settimane non riesco a liberarmi del dolore, cosa devo fare? Rimuovere un dente o recuperare?
Ciao Zarina! Sfortunatamente, non hai fornito immagini che potrebbero almeno in qualche modo chiarire la situazione riguardo a possibili complicanze durante il trattamento e mostrare lo stato della parte periapicale delle radici dei denti. È l'immagine a raggi X che può dare la risposta: salvare o rimuovere il dente, anche se in ogni caso, il medico curante deciderà anche sulla base dei dati intraorali come fare meglio a proprio vantaggio.
Non posso che dire che ci sono statistiche quando un paziente confonde un dente trattato con uno non trattato. Ad esempio, hai trattato i canali del sesto dente e nel quinto c'era un punto cariato o già "ammorbidimento" dello smalto (una fase della carie). Naturalmente, in due anni, la carie nascosta può raggiungere il "nervo" e causare un forte dolore, che (per qualche motivo spesso) si irradia a denti "morti" (o persino "vivi") innocenti vicini. Certo, decidi che il tuo problema è lo stesso dente che è stato trattato un paio di anni fa.
Nella mia pratica, conduco un'attenta diagnosi. A volte nel 30-40% dei casi è possibile capire proprio sulla sedia (senza un'immagine) che non si deve incolpare il dente sbagliato per il quale si sta rotolando la canna. Ad esempio, spesso un paziente lamenta dolore per il raffreddore, che al 100% esclude un dente "morto" (con un "nervo" rimosso).Ci sono alcune altre caratteristiche dei reclami che aiutano a capire: il dente o quello sbagliato. Non hai scritto le caratteristiche dei tuoi dolori, ma hai sottolineato solo la forma acuta (o esacerbazione). Ciò non consente una risposta accurata alla tua domanda.
Ciao, dopo aver riempito il canale sul lato sinistro, dopo 3 giorni ha iniziato l'intorpidimento del mento, pochi giorni dopo ha iniziato a passare l'intorpidimento, ma non è passato alla fine. Tutte e tre le settimane prima dell'appuntamento del dottore, il dente faceva male ed era doloroso aprire la bocca, come se qualcosa si stesse staccando dal dente. Ieri il medico mi ha prescritto la fisioterapia. Dimmi, per favore, che cos'è un dente ed è possibile assistere alla fisioterapia?
Ciao Yana! Penso che tu abbia una complicazione durante il trattamento a causa dell'eccessiva elaborazione del canale o (più probabilmente) del rilascio di una piccola quantità di materiale di riempimento oltre la radice. Se in questa clinica questa condizione viene presa in considerazione all'interno dell'intervallo normale e vengono prescritte procedure di fisioterapia, molto probabilmente un simile approccio traumatico al trattamento dei canali viene considerato normale.
Idealmente, dopo un trattamento adeguatamente condotto secondo tutti i protocolli, il dente non dovrebbe ferire affatto. L'assenza di dolore dopo il trattamento del canale è la norma.
Se allego le immagini dopo il trattamento, posso dire più vicino alla verità se c'è qualcosa di serio con il dente. E riguardo alla visita in fisioterapia - è difficile da dire. Comprendere le cause delle complicazioni e quindi adattare le tattiche del medico curante.
Benvenuti! Sono andato in una clinica privata con un dente cattivo, il dentista ha detto che la carie profonda ... Hanno pulito, messo un sigillo, pagato una somma piuttosto grande per questo! Ma il dente ha continuato a far male. Sono tornato in questa clinica, hanno detto che la pulite ed è necessario rimuovere il nervo. Dimmi, è considerato un errore del medico che mi hanno riempito il dente malato senza rimuovere inizialmente il nervo ?! Non hanno nemmeno fatto una radiografia.
Ciao Anna! Non pensavo che ciò sarebbe mai accaduto, ma dal punto di vista etico hai posto la domanda più difficile. Se rispondi, non prestando attenzione a una serie di sfumature morali, farlo non è affatto difficile. Il fatto è che i raggi X non sempre aiutano a distinguere la carie profonda dalla pulpite in una forma "calma".
Il fatto che il medico sia dispiaciuto per il "nervo" è un evento normale, dato che i segni principali erano proprio per tali azioni. Sfortunatamente, in molte cliniche non esiste un dispositivo EDI per determinare esattamente: carie o pulite nel dente. Tuttavia, secondo una serie di punti, nel 70-80% dei casi è possibile determinare con precisione con quale strategia condurre il trattamento senza questo apparato.
Voglio essere un po 'distratto dall'argomento e dire che ho osservato molte opinioni dei pazienti nella mia rete e nella mia pratica, come: "Immagina, Masha, è venuta dal dentista, niente di male, e per qualche ragione ha" strappato tutti i "nervi" dal dente, e ora camminerò con il mio dente "morto" per tutta la vita - ho già paura di camminare di nuovo con un buco nel dente, improvvisamente di nuovo allo stesso modo. "
Ora dimmi, Anna, è un errore del medico "rimuovere il nervo" quando nulla fa male e non fa male? "
Il denaro, Anna, svolge spesso l'ultimo ruolo qui. Tuttavia, non posso fare a meno di concentrarmi sui tuoi sospetti dal punto di vista finanziario dal punto di vista del problema. Se ciò accade nella pratica di un normale medico, semplicemente non accetta denaro e il paziente paga solo per inezie (ad esempio, anestesia, "pulizia" dei canali a un prezzo concordato, ecc.). Un medico normale farà di tutto per farti vedere la sua cura per te e l'onestà nella gestione del tuo dente. Cosa puoi fare se gli mancasse qualcosa?
Vuoi conoscere le opzioni per il tuo problema - per favore:
1. Inizialmente, hai già avuto la pulpite nel dente;
2. Il dente si è surriscaldato durante il trattamento (anche la vibrazione della punta influisce);
3. La "polpa" è stata rivelata;
4. Il materiale ha avuto un effetto tossico;
5. Trattamento farmacologico aggressivo del fondo della cavità;
6. Il fondo della cavità è mal trattato per infezione.
In linea di principio, tutti questi punti possono essere attribuiti all'errore del medico, ma il medico non è sicuramente un robot con un determinato programma che non commette errori, specialmente in una questione così delicata. In Occidente, come in alcune cliniche in Russia, esiste da tempo una tradizione non detta di evitare il concetto di "carie profonde" e di trattare immediatamente la polpite, evitando una possibile situazione di conflitto con il paziente. Se il dottore l'avesse fatto subito, non ci sarebbero stati conflitti.
Se il dentista non ti riprenderà denaro per un riempimento che dovrà reinstallare dopo aver trattato i canali, il dottore ben intenzionato voleva solo mantenere i "nervi" nel tuo dente, per i quali ti ringrazio personalmente (come collega), e da errori nella diagnosi e (o) imperfezione tecnica durante il trattamento (non solo le mani, ma anche l'attrezzatura colpisce), non è assicurato un solo medico. Resta solo da "Comprendere e perdonare".
Buon pomeriggio Dimmelo, per favore. Durante la gravidanza, ho avuto otturazioni su diversi denti, i miei nervi non sono stati rimossi. Passarono sei mesi, un dente cominciò a far male. Quando mangio, c'è un forte dolore, anche nella testa dà. Il sigillo è a posto. È molto difficile andare dal dentista, attendere qualche settimana. Inoltre, ho un bambino allattato al seno (4 mesi), è sicuro per me trattare questo dente adesso? Quale medicinale viene utilizzato per l'anestesia?
Ciao Margot! Il fatto che tu abbia l'unico dentista che è difficile da raggiungere è un grande svantaggio. Per esperienza personale: i miei pazienti spesso si lamentano del fatto che il dente è stato portato all'estrazione quasi solo perché ero in vacanza. In generale, questo è di per sé, il medico è responsabile delle complicazioni dovute al "non arrivare a lui" ...
Penso che la mia risposta sarà semplice: non è sicuro lasciare il fuoco dell'infezione nel corpo, soprattutto perché le prime campane (sintomi) richiedono prudenza da parte tua. La campana potrebbe segnare nei prossimi giorni, settimane, ma sarà troppo tardi.
Si consiglia di chiedere al proprio medico il trattamento con anestetici di articaina importati moderni. Citazione dalle istruzioni per Artikain: "Durante l'allattamento, non è necessario interrompere l'allattamento al seno, poiché nel latte materno non si trovano concentrazioni clinicamente significative di Artikain". I dentisti lavorano con le madri che allattano senza restrizioni, come con le persone comuni. Inoltre, un dente indurito tempestivamente non è affatto sicuro dallo sviluppo di un processo purulento.
Grazie mille!
Ciao, mio marito ha deciso di curarsi i denti, tutto ciò di cui ha bisogno. La situazione sull'ultimo dente: non malata, ma era chiaro che aveva bisogno di cure (uno degli indigeni). Innanzitutto, ne impostiamo uno temporaneo per una settimana per vedere se farà male e se vale la pena arrampicarsi nei nervi e nei canali. Il dente ha reagito al freddo e al caldo, quindi il medico ha deciso di pulire e riempire i canali per ogni evenienza. Trascorsero tre settimane, il marito si lamenta ogni giorno che il dente è terribilmente dolente, la reazione al freddo e al caldo. Il medico ha detto che questa è la norma, potrebbe essere un mese. Non riesco a spiegare a mio marito perché, dopo il trattamento, un dente fa male che non si era mai preoccupato prima. Il mese è davvero la norma? E un'altra domanda interessi. Le cliniche devono fare le radiografie?
Trovato quello che stavano facendo:
1. Infiltrazione di anestesia
2. Sigillatura con un perno di guttaperca a tre canali
3. Radiovisiografia
4. Ripristino di una corona dentale senza perno superiore a 1 \ 2
5. Trattamento farmacologico automatico di un canale
6. Ceram X mono
Ciao Irina! Un dente "morto" non risponderà certamente mai a un dente freddo. Se il coniuge ha una reazione a questa sostanza irritante, allora dovresti cercare un dente "vivente" non ancora trattato. Molto probabilmente, non stai concordando qualcosa: ad esempio il fatto che alla vigilia (un paio di giorni o settimane prima che il nervo fosse rimosso), al tuo coniuge è stato dato un riempimento o otturazioni con carie medie e (o) profonde, e solo allora è passato al trattamento dei canali molari . Oserei solo supporre che si sbagliassero con la scelta di un dente causativo. Pertanto, il coniuge ha una reazione al freddo e al caldo, almeno da un altro dente, e per lo meno, il risultato di errori nel trattamento della carie di alcuni denti il giorno prima.
Quindi è strano che per un medico, una reazione a un dente freddo da un dente morto sia la norma.Il mese dopo il trattamento non ha nulla a che fare con esso. Le cliniche non sono tenute a rilasciare documentazione medica, che include i raggi X. Tuttavia, in tribunale, questi documenti compaiono necessariamente se sorgono questioni controverse e le ragioni del processo.
Buon pomeriggio, se non lo avessi finito, per ignoranza. Ora ho guardato la shemka su Internet - si lamenta di un 6 denti. Lo stesso giorno, il medico ha guarito per la prima volta 7, ma lì è riuscito rapidamente, la carie, ha detto, non era profonda e ha immediatamente messo un sigillo permanente. Poi prese 6 - scrisse di lui sopra. Ho anche trovato una diagnosi di 6 denti: trattamento della pulpite 3k / k 16. Cioè, 7 possono ferire? Quando ho chiamato il medico una settimana fa, ci ha detto che questa è la norma, e non puoi venire prima di un mese da questa data, passare solo il tempo, ora non farò nulla.
Ciao Irina. Ho perfettamente capito che sono stati trattati 3 canali in 16 denti, cioè il dente è "morto". I dolori acuti al freddo possono dare il dente appena trattato per carie. Questa non è la norma - di sicuro.
Se nella mia pratica questo a volte accade, allora in questo contesto non mi permetto di sopportare: sto cercando un dente causativo (se con un riempimento, quindi con un riempimento) e lo sto trattando nel canale. Inutile dire che non è sempre possibile prevedere tutto, ma aiutare una persona è estremamente importante. Inoltre, non sono sicuro che il coniuge sia pronto ad aspettare un mese quando i dolori del freddo e del caldo passano. Nella polpa di un dente vivo, possono verificarsi cambiamenti che portano all'infiammazione del "nervo" in caso di errori tecnici durante il trattamento della carie.
In generale, dovresti cercare un dente causale, trattare i canali del dente causale o limitarti a un sigillo (reinstalla il sigillo), e quindi la vita tornerà al suo corso normale. Ciò che il medico nel contesto delle tue lamentele ti fa sopportare è motivo di preoccupazione.
Buon pomeriggio Dimmi a cosa è associato questo problema. Dopo il trattamento della carie in tre denti, un determinato punto di ogni riempimento fa male per un mese con un tocco leggero con qualcosa di duro. Anche quando mi lavo i denti, sento questi posti, li pulisco. Il medico ha posto più otturazioni sul primo dente dopo l'insorgenza di un tale problema, ma il dolore è tornato di nuovo, ed è comparso anche su otturazioni successive.
Ciao Maxim! La tecnica di impostazione del sigillo è rotta. Sono sicuro che ti hanno messo del materiale fotopolimerizzabile, il che è capriccioso in questo senso. Molto spesso, tale dolore è causato dalla dentina eccessiva o dalla separazione inferiore del riempimento. Non guiderò il tuo cervello nelle nostre terre selvagge, ma dirò solo che un leggero riempimento richiede il 100% di conformità con la tecnica di produzione. Il medico, per gentilezza dell'anima, ha cercato di correggere la situazione, ma le si è avvicinato di nuovo dal punto di vista di tentativi ed errori.
Molti colleghi ritengono che tali problemi scompaiano da soli senza trattamento entro un paio di settimane o mesi. Si scopre che vale la pena aspettare il tempo vicino al mare e c'è il porridge, non si sa per quanto?
Idealmente, dovresti andare in clinica, dove c'è un dispositivo EDI e valutare le condizioni della polpa dei denti. Ciò mostrerà se il medico ha commesso errori che incidono sulla vita del "nervo". Se l'irritabilità è ridotta, solo il trattamento corretto dei canali del dente risolverà il problema una volta per tutte.
Se l'EDI è normale, sarà importante trattare correttamente ogni dente: non applicare una nuova porzione di riempimento, ma rimuovere quella vecchia e, osservando ogni piccolo dettaglio della tecnologia, ripristinare i parametri anatomici e funzionali di ciascuno dei tuoi denti. Questo è l'unico modo per ottenere un risultato promettente.
Sull'opzione di mettere altro materiale sul tuo dente - Sono silenzioso, poiché questa è una misura troppo primitiva, anche se a volte porta a un risultato normale. In effetti, il significato di tali sigilli è che non "strappano" nulla e non richiedono rigore nel protocollo. Non penso che tu abbia davvero bisogno di cemento o di una sorta di composto chimico, anche se diventa chiaro solo dopo un esame più attento della situazione clinica.
Buon pomeriggio Dimmi, per favore: hanno trattato una carie superficiale, hanno fatto un ripieno, un dente non ha fatto male per una settimana, masticato, bevuto freddo / caldo - nessun dolore. MA! Una settimana dopo, ha iniziato a ammalarsi, SOLO quando lo mordo, non risponde al caldo / al freddo. Dura circa una settimana e mezza, a causa di cosa può essere e cosa consigliare?
Ciao Bogdan! Ti consiglio di andare in clinica dove c'è EDI (elettroodontodiagnosi del dente). Il fatto è che un dente sotto un riempimento (se il problema è con la sua formulazione) inizia a ferire quando "premuto" quasi immediatamente dopo il trattamento.
Se hai questo dopo una settimana, allora ci sono rischi di infiammazione del "nervo" sullo sfondo del surriscaldamento del dente durante il trattamento. Ci sono ancora molti errori del medico che potrebbero portare a questo problema, quindi è così importante determinare lo stato di salute della polpa dall'EDI. Se la EDI è la norma, non esitare a reinstallare il sigillo (se gli stessi medici lo hanno, quindi in garanzia): stiamo parlando del trattamento o della sostituzione del sigillo. Se l'EDI è superiore a 20-30 μA, allora stiamo parlando del processo infiammatorio nei canali e dovremo prima trattare i canali.
Se non trovi una clinica in cui è presente EDI, i medici possono semplicemente offrire di trattare immediatamente i canali dentali, il che porterà al successo (il dolore si fermerà), ma il dente sarà già "morto". Prendi una decisione informata e sii sano!
Buona. Diversi denti iniziarono a far male contemporaneamente in alto a destra. Tra questi, il sesto è stato trattato 1,5 anni fa, con pulizia del canale e installazione di una tenuta in fotopolimero, il settimo 2,5 anni come riempimento temporaneo sui canali trattati. Pochi giorni fa, si è formato un buco all'incrocio tra 6-7, che prima non esisteva. Il dolore è sordo, ma grave. A volte sembra che la riga in basso dia. Dà alla guancia. Quando la lingua tocca la guancia alla giunzione del 5 ° e 6 ° dente, il dolore è acuto e si intensifica nella guancia. Quando si preme sui denti 4-5-6 ° con i denti inferiori, si verifica anche il dolore in essi.
Durante le vacanze, non c'è modo di vedere un medico. Dimmi, cosa può causare esattamente un tale dolore (o molto vicino) ai denti "morti"?
Ciao Ivan! Il dentista dovrà prima controllare il 5 ° dente per possibili carie nascoste. Se non ha nulla a che fare con esso, allora ci sarà un'analisi della situazione con la cavità cariata, che si trova alla giunzione dei denti morti, o meglio, sul 6 ° o 7 ° dente. Verrà scattata una foto diagnostica per capire quale dente è in fase acuta. Cioè, i denti "morti" possono far male per vari motivi. Molto spesso, il risultato è una violazione dell'integrità del sigillo. Non capisco perché non hai inserito un riempimento permanente sul settimo dente, perché questo porta quasi sempre ad una esacerbazione. Se chiudi gli occhi su questo fatto, la carie cavità formata nella zona gengivale di uno dei denti morti non può essere trovata da nessuna parte. È possibile che la sua profondità sia già "al confine" con i canali trattati e che l'infezione dalla cavità orale penetri facilmente all'interno del dente: il dente viene depresso lentamente ma sicuramente seguito da una manifestazione purulenta. Il fatto che il corpo sia ancora in grado di fermare questo processo può essere definito un po 'di "fortuna", poiché in alcuni casi il risultato dell'infezione in un dente morto è un flusso sul viso. Prima vai dal medico e stabilisci la causa esatta del dolore (il dente è, prima di tutto, il paziente), migliore è la prognosi e meno rischi per il corpo.
Ciao 8 mesi fa mi hanno messo un sigillo. Adesso il dente fa molto male. Rivolto al medico, il medico ha fatto una foto e ha detto che i canali sono puliti. Ha detto che avevo un'infezione e ho prescritto antibiotici. Per due giorni ho preso antibiotici, il dolore non è diminuito. Ho preso un antidolorifico con ibuprofene. Il dente non passa. Fa male, tira.
Benvenuti! Penso che dovresti contattare un altro medico per un'analisi indipendente della situazione. È possibile che il medico non sia interessato a questo trattamento per qualche motivo, quindi gli appuntamenti non si riducono all'eliminazione della causa (ricerca e cura di un dente malato), ma al trattamento di routine della "conseguenza". Di solito questo porta solo il processo infettivo in uno cronico: nulla fa male e il dente dentro "marcisce". Sono sicuro che incontrerai un medico in grado di identificare il dente causale e condurre il suo trattamento completo. Ti auguro buona fortuna!
Benvenuti! Un pezzo del mio dente da masticare superiore si è rotto, ma non ero malato, non mi ha disturbato. Mentre ero in grado di andare dal dottore (tre settimane dopo la scollatura), lentamente iniziai ad ammalarmi, a volte facevo male, ma non mi preoccupavo molto. Al primo appuntamento, il dottore ha allargato questo buco per me, messo lì qualcosa di simile all'arsenico (una versione meno tossica) e temporaneamente sigillato. Il giorno dopo, ho aperto questo sigillo temporaneo e rimosso i resti della medicina. E una settimana sono andato con questo buco, niente mi ha disturbato, non c'era dolore. Una settimana dopo, arrivai al prossimo appuntamento, dove avevano già ripulito i canali, rimosso il nervo e messo di nuovo un sigillo temporaneo, mi dissero di tornare ogni giorno. Ma la domanda è: quando hanno pulito i miei canali (dopo averli anestetizzati), è salita da qualche parte con il suo strumento sottile (tipi di aghi) e ha fatto male. Quando ho fatto una smorfia, ha iniziato a pulire lì ancora più intensamente, intensificando così il dolore. Cioè, il dente ha iniziato a ferire già sulla sedia e ora non si ferma. È normale? Il medico ha detto che era un dolore post-riempimento e che dovrebbe andare via tra un paio di giorni. Vale la pena aspettare? O è meglio andare da un altro medico più competente? Quanti ha trattato i suoi denti in modo tale che immediatamente sulla sedia il dente ha iniziato a ferire e ferire dopo il trattamento - questa è la prima volta.
E un'altra domanda sulle otturazioni temporanee: un dente può ferire con una otturazioni temporanee posizionate in modo errato? Come andare oltre le radici di un dente, far entrare l'aria e così via? O non è spaventoso, perché verrà rimosso tra un paio di giorni e una costante verrà comunque rimpiazzata al suo posto? La cosa principale è che la costante sia impostata correttamente?
Benvenuti! Puoi valutare la correttezza del lavoro del medico di oltre il 70-80% dall'immagine. Naturalmente, questa diagnosi viene eseguita dal medico sul posto e le immagini spesso non vengono rilasciate alle mani, poiché sono considerate parte della documentazione. Il fatto è che la tua anestesia individualmente non ha funzionato al 100%, quindi hai sentito dolore. A volte il dolore si verifica solo quando si verifica un errore di trattamento nei canali (perforazione), ma il più delle volte, come ho già detto, errori di "congelamento".
Una risposta al dolore post-riempimento non è la norma, ma non influisce sulla prospettiva di preservare il dente se il risultato del trattamento viene visualizzato come canali ben trattati nelle immagini. Ovviamente, un'istantanea non è controllo al 100%, ma qualcosa di simile. Di solito tali dolori scompaiono in 3-5 giorni, ma, a seconda della tecnica e del materiale, possono durare fino a 7-10 giorni. La loro intensità dovrebbe essere inferiore ogni giorno - questa è una tendenza positiva.
Per quanto riguarda il riempimento temporaneo: ovviamente, ci sono rischi della sua violazione, motivo per cui il medico fissa un appuntamento per il prossimo appuntamento nel prossimo futuro: dopo 2-5 giorni. A volte questo periodo aumenta, ma dipende davvero dalla scelta del materiale per otturazioni temporanee, poiché ci sono molti materiali che possono resistere a brevi periodi di tempo (1-2 settimane) anche con normali carichi di masticazione. Ora, i ricercatori dentali ritengono che sia meglio mettere un sigillo permanente anziché temporaneo, che è più economico, e dopo pochi giorni per sostituirlo con uno nuovo. Tuttavia, tale riassicurazione (qualunque cosa accada) può permettersi solo cliniche costose. Cioè, questi esperti ritengono (probabilmente non senza motivo) che anche se ci sono rischi di infezione accidentale dei canali attraverso un riempimento temporaneo pari al 2-3% per un periodo minimo di breve durata, questa è un'occasione da fare ermeticamente immediatamente.
Buona notte Il 4 aprile è stata trattata una carie superficiale di 27 denti; non hanno nemmeno fatto l'anestesia. Il giorno successivo, un dente iniziò a far male e reagì al caldo freddo. Sono andato dal dottore (che stava curando), dice che la carie non è profonda, nulla può esserlo e che ora il corpo si sta abituando così tanto. Qualche giorno dopo ho iniziato a provare un formicolio all'orecchio, che continua ancora oggi, e allo stesso tempo mi dà un piccolo dente a 27, 26 e 25. Già non risponde al freddo e al caldo. Secondo l'immagine, tutto è in ordine, dal lato ENT tutto è anche in ordine.
Una settimana fa, ha rimosso un dente del giudizio da sopra il 27 ° dente, come suggerito da un altro dentista, ma rimane un formicolio all'orecchio.
Per favore, dimmi cosa può essere e cosa deve essere trattato nella mia situazione? Forse vale la pena cambiare il sigillo sul 27 ° dente? Non peggiorerà da questo? Potrebbe davvero esserci una dipendenza così lunga? Grazie in anticipo
Ciao Daria! Dopo l'installazione del sigillo, la reazione al freddo è generalmente causata dalla macinazione dello smalto vicino al contatto del materiale con i tessuti dei denti. Più forte è il dente lucidato, più dolore c'è. Spesso il dolore è causato dalla conduttività del materiale, ma più spesso - dalle normali violazioni della tecnologia durante il riempimento di materiali fotopolimerizzabili. Hai ottenuto un sigillo leggero?
Per quanto riguarda la reazione al dolore dall'orecchio: in generale, il dolore all'orecchio è quasi sempre dovuto all'irradiazione dai denti inferiori. E scrivi che sei stato trattato con 27 denti: questo è il 7 dente superiore a sinistra. Penso che sia consigliabile cercare dallo stesso lato il dente inferiore con una cavità cariata nascosta. Inoltre, un'istantanea, un test per gli stimoli della temperatura (freddo) e anche la misurazione delle letture sul dispositivo EDI aiutano. Quest'ultimo non è in tutta l'odontoiatria, ma la ricerca di un dente inferiore "a causa del dolore nell'orecchio" ne vale la pena.
Svyatoslav Gennadievich, buon pomeriggio!
Sì, avevo un sigillo leggero. Andai a controllare i miei denti per l'EDI, i primi 27, 26 e anche quelli inferiori. Gli indicatori erano come denti sani, cioè il nervo non è infiammato. Hanno ripreso la foto, anche tutto è in ordine. E l'orecchio punge ancora e talvolta i 27 denti e la gomma gli fanno male. Il dottore si offrì di aspettare un'altra settimana e rifare il sigillo. Ma un'installazione di riempimento può dare tali reazioni e non è dannoso per il dente disturbarla di nuovo? Tutto è molto strano, ma è iniziato tutto il giorno dopo l'installazione del sigillo.
Questa volta mi dissero che l'avrebbero rifatto solo con l'anestesia, non avevano mai trattato la carie in quel modo.
Ciao Daria! In generale, tutto ciò è strano: se il fattore umano non ha giocato un ruolo e davvero non hai un'infiammazione nella polpa dei denti inferiori o superiori, allora hai la sensazione che valga la pena controllare solo l'orecchio stesso. In teoria, il riempimento stesso non può irradiare l'orecchio. Ho sentito del fatto che è doloroso premere il sigillo installato, ho anche sentito della reazione al freddo vicino ad esso, ma l'irradiazione è qualcosa di nuovo per me. Con condizioni di polpa sane. Non sono sicuro che il solito remake possa portare al successo.
In generale, tratto la carie nel 70-80% dei casi in anestesia. Ai pazienti viene chiesto quasi al 100%, poiché è comodo.
In linea di principio, il tuo caso è già complicato per smontarlo in contumacia e consigliare qualcosa in contumacia. A volte capita nella mia pratica che ci vuole circa un'ora solo per cercare un dente causale. Penso che forse ci manca un momento diagnostico importante. O l'orecchio fa male da solo? ..
Ciao Dopo aver riempito i canali, 16 denti, è apparso un tumore sulla guancia, il dente fa male con un dolore lancinante, specialmente di notte. Le pillole non aiutano a malapena. Anche il dente era malato prima di riempirlo, l'ho detto al dottore, ma mi hanno detto che non c'era altra via d'uscita ed era sigillato. Non so cosa fare, ma non c'è più forza da sopportare.
Benvenuti! Esistono solo due opzioni: provare a trattare nuovamente il dente, ma usando una tecnica diversa (non importa quale medico), oppure rimuovere e non soffrire. Alla fine, può essere difficile decidere. Per sapere quali errori sono stati commessi durante il trattamento, vedere un'immagine con i canali trattati. Molto spesso, il dente continua ad essere aggravato a causa dell'insufficiente elaborazione dei canali o delle complicazioni formate: perforazione della radice, fondo, rottura dello strumento, ecc. Non penso che valga la pena sopportare e deglutire le compresse. Questo non dà sempre un effetto, ma se lo fa, è quasi sempre temporaneo - fino al successivo accumulo di una nuova porzione di "infezione" nei canali e oltre.
Ciao Svyatoslav Gennadievich! Ho pulito i canali e installato un riempimento temporaneo - il dente non ha fatto male, anche quando l'anestesia era sparita. Il giorno dopo hanno messo un sigillo permanente - non c'era dolore. Ma un altro giorno dopo ha iniziato a ferire, reagisce di più alla pressione. Il dottore aprì il sigillo, guardò di nuovo e sgombrò i canali, mise un sigillo temporaneo, che rimossi il giorno successivo. Il dente continua a "piagnucolare" e risponde alla pressione. Tumore della gomma e nessun altro. Ieri hanno lavato di nuovo il dente e messo un altro sigillo temporaneo. Il mio dente è stato dolorante per una settimana, ma mi sento un po 'meno dalla scorsa notte. Vorrei chiedere per quanto tempo può ferire un dente e qual è la possibile causa del dolore?
Benvenuti! Penso che molte domande siano scomparse da sole se hai fornito un'istantanea (possibile come collegamento). Lo analizzerò e probabilmente rivelerò imprecisioni nel lavoro del medico.
Per quanto riguarda il motivo per cui ci sono dolori quando si "morde", ci sono molte opzioni: dallo zelo eccessivo del medico per quanto riguarda il lavoro di riempimento superiore, alla rimozione del materiale di riempimento nella parte superiore della radice. È chiaro che il dolore quando premuto può essere causato dalla rottura degli strumenti nel canale, dalla perforazione della radice o dal lancio di "segatura" dalle pareti sporche dei canali oltre l'apertura apicale.
Il caso più comune è il dolore post-riempimento tra otturazioni fresche con errori piccoli o gravi. Comprendi ciò che hai, aiuterà il 70-80% percento di colpo del dente.
Mille Grazie! Proverò a creare un collegamento all'immagine.
Ciao Insopportabilmente doloroso dopo 2 mesi dopo il trattamento del dente inferiore anteriore. Immediatamente dopo il trattamento, nulla fa male. Il nervo è stato preservato, il dente è vivo, sebbene sia stato installato un riempimento fotopolimerizzato per la seconda volta (il primo è caduto). Nell'ultimo mese, questo dente è stato dolorante per la seconda volta, e da esso l'intera mascella (secondo le sensazioni). Ho notato una tendenza: le gambe si sono congelate - i denti trattati di recente si sono ammalati. L'ultima volta sono stato salvato da ketorol (il dente ha fatto male per 3 giorni), poi si è fermato. Ora di nuovo sto soffrendo gli stessi dolori per il terzo giorno, il chetorolo aiuta per 1 ora. Cosa potrebbe essere? E cosa fare? Le gengive non si gonfiano o arrossiscono, ma sembra che anche il mento faccia male.
Benvenuti! Il dolore è spontaneo, cioè senza uno stimolo esterno si riferisce già alla distruzione della polpa all'interno del canale. Penso che il fattore di cui stai scrivendo ("le gambe sono congelate") è solo una provocazione del processo infiammatorio nel canale: dal sonno al processo attivo. Cioè, hai un aggravamento ...
Ma solo un medico farà una diagnosi specifica: parodontite o pulpite. Dall'immagine a volte è difficile da fare, ma il fatto che sia necessario trattare il canale di questo dente è del 100%. Tuttavia, non posso che dire che il dentista dovrebbe esaminare attentamente i denti rimanenti in modo che non ci siano errori. All'improvviso c'è un altro dente, che provoca dolore spontaneo. È un trattamento intracanale che ti aiuterà ad alleviare il dolore e prevenire l'estrazione dei denti in futuro.Contatta il tuo dentista per il trattamento del canale del dente causativo in modo che gli effetti della decomposizione all'interno del canale della polpa non portino ad edema o "flusso", come viene comunemente chiamato. Un sigillo non è assolutamente sufficiente. Salute a te!
Ciao, ho trattato la parodontite. Il giorno successivo, il dente fa male e fa male, fa male a mordere. Questa è la norma e quanto più può ammalarsi?
Benvenuti! Il trattamento della parodontite in molte situazioni cliniche può essere imprevedibile in relazione a sensazioni soggettive. Nonostante ciò, numerosi dentisti stimabili affermano che con un trattamento perfetto dei canali, anche con la parodontite, è possibile ottenere il 100% di comfort per il paziente. È chiaro che nella vita ordinaria, il trattamento è spesso accompagnato da una serie di sfumature-errori che causano tali dolori, sebbene ciò non influisca sul risultato finale e sulla prospettiva a lungo termine. Per un'analisi più critica e dettagliata, non hai scatti di controllo sufficienti. Aiuterà a identificare possibili errori e prevedere il destino di un ulteriore trattamento dentale.
Buon pomeriggio Dimmi, per favore, cosa fare ... Si è formato un buco nel dente (in basso 6, se capisco correttamente la posizione). Non c'era alcun dolore particolare, ma a causa della paura dei dentisti, ha raggiunto un forte dolore. Sono andato in odontoiatria retribuita. Diagnosi: pulpite di un dente a tre canali, sembra, in qualche modo. Il dente viene distrutto di circa il 30-40%. Hanno pulito i canali (come ho capito), hanno messo un sigillo temporaneo, hanno detto di tornare tra una settimana. Quindi, propongono di mettere una corona. È costoso. Ho chiesto del sigillo. Hanno detto che è possibile mettere un sigillo, ma cadrà tra circa 3 mesi. Dal momento che ci sono molte recensioni sulla clinica sulla clinica, faranno soldi, vorrei sapere l'opinione di altri dentisti su questo tema. E un'altra domanda ... L'intera procedura con la pulizia dei canali e l'installazione di un sigillo temporaneo è stata eseguita l'altro ieri. Dopo che l'anestesia era scomparsa, le gengive hanno iniziato a ferire molto, a causa di un'iniezione, a quanto ho capito. Ma oggi il dente da trattare era molto malato. La natura del dolore è per lo più dolorante, a volte formicolio, a volte pulsante, e quando viene premuto fa male insopportabile. Dal dottore solo martedì. O vale la pena suonare l'allarme e correre dal medico il più rapidamente possibile? Grazie in anticipo
Ciao Elena! Penso che tu debba affrontare il problema del dolore post-riempimento dopo il trattamento dei canali dentali. Questo, ovviamente, è una complicazione, ma non influisce spesso sulla prospettiva della conservazione dei denti. Piuttosto, sulle sensazioni interiori di una persona e sul conforto della sua esistenza. Certo, ci sono casi in cui gravi errori da parte di un medico portano a tali dolori, ma tutto può essere controllato scattando una foto di un dente: se i canali vengono trattati correttamente, i problemi scompaiono entro 5-12 giorni.
Per quanto riguarda la corona, posso dirlo. Non vedendo il grado di carie, non posso dirti quanto sia fattibile il suggerimento del medico. Tuttavia, posso commentare ciò che di solito accade nella pratica. Se il dente diventa "morto", non si verifica la nutrizione delle sue restanti pareti. Il risultato di un semplice riempimento (senza corona) diventa spesso una frattura o una rottura del muro sotto la gomma con un carico simultaneo accidentale su un dente morto. Con una corona fatta correttamente, il dente è al riguardo sicuro, poiché le sue pareti diventano un monolite per il caricamento. Cioè, rompere questo design è molto più difficile.
Anche il restauro del dente secondo il principio di "perno + guarnizione" non risparmia il 100% della parete del dente da trucioli futuri. Naturalmente, quando si scheggia, è possibile ritrattare il dente ed estenderne la durata, ma un dente ripristinato con lo stesso principio (senza una linguetta + corona) è condannato nei prossimi anni al 40-50% già da rimuovere. Dal momento che sta "crollando" completamente, e questi tocchi finali creano solo prosperità immaginaria, trasformando tutte queste "attività" in radici.
Naturalmente, le persone che non sono di buona vita sono pronte a ripristinare lo stesso dente più e più volte (abbastanza a lungo), trascurando l'indicazione per le costruzioni ortopediche (linguette, corone). Ecco perché è difficile per me consigliare (o non consigliare) qualcosa in questa situazione, senza vederti, il tuo dente di prima mano e senza parlare per 5-15 minuti per formare un quadro completo. Ma sono sicuro che prenderai la decisione giusta. Se hai bisogno di capire cosa è stato fatto con i canali del dente (in un modo o nell'altro), puoi inviare una foto del dente all'ufficio postale. Sarò felice di aiutarti completamente.
Ciao)) Dimmi, per favore, un mal di denti dopo aver messo la medicina sotto un riempimento temporaneo, è stata trovata la pulite. Il dottore disse che sarebbe arrivato tra una settimana, e io ero preoccupato perché mi faceva male, e come se fossi ancora vicino al mio dente, senza toccarmi affatto? Grazie))
Benvenuti! Penso che ti sia stata data la pasta per la pulite, che non contiene arsenico. Simile, come i loro pazienti chiamano affettuosamente "medicine", in breve tempo possono iniziare a comportarsi come "veleni". Naturalmente, si tratta di farmaci da viaggio, che, in teoria, possono essere impostati fino a 1-2 settimane. Tuttavia, è ideale in ogni singolo caso installare la pasta sul "nervo" aperto che non viene ottenuto da tutti i medici. Molti dentisti generalmente fanno a meno di una tale preparazione di un dente multi-radice per il trattamento endodontico.
Se un medico tratta la pulpite con esattamente il metodo che hai usato, allora dovresti essere preparato al fatto che il dente "matura" per il trattamento in modo estremamente rapido. Cioè, il dolore quando si fa clic su di esso può ben espandersi ai denti vicini, poiché nella regione maxillo-facciale ci sono molte relazioni. Il mio suggerimento per te è estremamente semplice: dovresti consultare immediatamente un dentista-terapista per il trattamento completo dei canali dentali. Loro (canali) sono già pronti per questo, e non ha alcun senso tormentare un dente e "cucinarlo nel suo stesso succo".
Ecco un'istantanea [il link è disponibile solo per il medico]
Ho evidenziato il dente in un cerchio rosso. Un dente senza nervi, i canali sono stati trattati, circa 7 mesi fa. Quando mastica il pane e quando fa freddo o caldo, il dente reagisce. Non dirò che c'è un forte dolore, ma ci sono ancora sensazioni. Le sensazioni non aumentano. Cioè, per circa un mese ora sono gli stessi. Posso conviverci, ma sono preoccupato per lo sviluppo. Il deterioramento inizierà tra un anno?
Benvenuti! Penso che in una situazione del genere, un esame approfondito nella cavità orale può aiutare. A un dente freddo scolpito non reagisce mai. Cioè, dovresti cercare un dente problematico accanto: controlla la reazione alla temperatura dei denti vicini. Poi arriva la percussione dei denti: è importante notare che un dente già trattato 7 mesi fa può reagire con un "tocco".
Trovare la carie nascosta sui denti adiacenti è un punto diagnostico importante. Sono più che sicuro che si tratti di carie su uno dei denti, oltre a quello che è attualmente "morto" (di cui stai scrivendo).
Non è possibile rispondere all'ultima domanda a causa del fatto che non conosciamo le dimensioni della cavità cariata e le reali dinamiche del processo cariato. In ogni caso, è quasi impossibile prevedere i tempi della transizione della carie nelle sue complicanze, poiché tutto è individuale.
Ho studiato dettagliatamente l'immagine del dente depilato, ma non fornisce tutte le risposte alle domande, ma solo un'idea approssimativa di riempimento dei canali. Si sospettava che alcuni canali non fossero sigillati a un restringimento fisiologico. Per concretizzare questo fatto e cercare un canale aggiuntivo (che non è stato possibile rilevare), è necessario effettuare un tiro di mira di questo particolare dente. Questa sarà una versione ingrandita in cui puoi considerare tutto. L'opzione migliore potrebbe essere le immagini su un visiografo in diverse proiezioni. Tuttavia, la radiografia di contatto "film" può essere appropriata.
Per molto tempo mi sono preoccupato di ottenere detriti alimentari tra l'8 e il 7 inferiore. C'era sempre un dolore successivo, dopo che il filo interdentale è andato via. Il mese scorso, il dolore non è scomparso. Sono andato dal dentista. Bussando ai denti, disse che non riusciva a determinare quale dente facesse male, ha dato il tempo 3 giorni, rimuovendo lo spazio tra i denti. Il dolore è rimasto, ma dolorante, e di nuovo non è chiaro dove. Dopo aver posato la medicina per la rimozione dei nervi, mettendo un riempimento temporaneo in entrambi i denti contemporaneamente sotto anestesia, disse di venire tra due settimane e, se fa male, prima. Facevano male tutto il tempo, ma con tolleranza, e io venni di nuovo. 6 canali sigillati, un canale solo con incolla senza uno spillo, non hanno colpito, fatto la diagnosi: pulpite a tre radici. L'ho inviato alla foto, ho detto che tutto andava bene, ma se sapessi di avere canali così cattivi, non lo prenderei. Uno dei sette sotto i quarantacinque gradi scende sotto gli otto. Non sono riuscito a entrare in un canale negli otto con un perno, stretto e curvo. Alla fine, tutto è meraviglioso, come ha detto. E ho sigillato i canali e ho immediatamente messo un sigillo permanente su due denti. Ma il giorno successivo, la notte e il giorno dolevano con dolori lancinanti quando premuti, quando battevano i denti con questi due longanimi, iniziavano. Terza notte al tempalgin. Diventa un po 'più facile per un po' se si risciacqua con acqua calda salata. Il sollievo, mentre scrivi, non è graduale. Cosa fare
C'è un'istantanea, ma come fornirla? Posso rimuoverlo sul telefono?
Benvenuti! Penso che tu abbia riscontrato, almeno, forti dolori post-riempimento. Due denti a tre canali vengono trattati contemporaneamente e uno di questi - il dente del giudizio - è un caso esclusivo. È chiaro che il dottore potrebbe fare qualsiasi cosa lì, specialmente da quando ha parlato in modo così indistinto con te. Penso che il motivo principale di una reazione così violenta sia il trattamento traumatico dei canali dentali (denti) e, possibilmente, la rimozione del materiale di riempimento all'esterno della radice.
Controllare le foto non farebbe male. Realizzare una foto sul telefono è, in linea di principio, possibile. Invia foto delle immagini tramite feedback sul sito per analisi dettagliate.
Ciao, Svyatoslav Gennadievich. Si prega di avvisare come essere. Otturazioni leggere sono installate sui denti inferiori anteriori lungo il bordo interno per nascondere lo spazio tra i denti. Cioè, non c'era carie su questi denti, li hanno appena girati e hanno installato otturazioni. Prima dell'installazione, i depositi dentali sono stati rimossi. Su uno dei denti il sigillo è caduto due volte, e sotto la garanzia sono stato restaurato una volta, la seconda volta che ho dovuto pagare di nuovo. E ora, in effetti, il problema: a volte il dente fa molto male, dopo più di un mese, vacilla. Anche il mento diventa insensibile. Non c'è flusso. Dolore dolorante, peggio di notte. Posso chiedere a un medico di reinstallare il sigillo su questo dente in garanzia in modo da rimuovere il mio nervo? O sarebbe meglio in questo caso installare immediatamente una corona su di esso? Scusate, se chiedo cose stupide, so che è impossibile risparmiare sui denti, ma al momento è limitato in denaro, quindi chiedo consigli. Tollerare questi dolori non è più la forza, si ripetono regolarmente, una o due volte al mese e fa male più di un giorno. Non riesco nemmeno a immaginare a cosa siano associati questi dolori, ma può far male da tre giorni a una settimana, quindi scompare, poiché non è mai successo.
Ciao Elena! Penso che, a giudicare dai sintomi, arrivi al punto che la polpa muore gradualmente nel canale o nei canali (poiché spesso ci sono 2 canali nei denti inferiori anteriori). C'è speranza che la polpa sia nello stadio "intermedio" e ci sia ancora tempo prima che il chiaro processo purulento. Pertanto, vale la pena affrettarsi a depurare un dente, o già trattarlo come parodontite, cioè un dente con polpa morta.
Penso che questo sia il risultato del surriscaldamento del dente durante la preparazione sotto un riempimento. Questa è la causa più frequente. Dimostrare che la colpa è del medico è complicato.Posso dire che quando ho iniziato il mio lavoro, mi sono imbattuto spesso nel fatto che non riuscivo a trovare un compromesso con il mio supervisore in odontoiatria privata. Personalmente, volevo liberare il sigillo e prendere i soldi solo per il trattamento del canale, come un servizio aggiuntivo e necessario, ma il mio manager credeva che il consumo di materiale fosse un criterio importante e il dente iniziò a ferire per qualche motivo.
Non so nemmeno cosa consigliarti con un budget simile: non credo che esercitare pressioni sulla coscienza di un medico porterà risultati, e può essere costoso e spesso inefficace dimostrare che hai ragione. Non credo che secondo il mio esempio personale, i medici possano lavorare, ma vale la pena provare: chiarire questa sfumatura nella clinica in cui l'hai fatto e solo allora pensare a dove trattare urgentemente il canale per prevenire complicazioni.
Continuazione di quanto sopra ... Dopo tre giorni di dolore, un ascesso sulla gomma è uscito sotto un dente sbalorditivo. Non ci sono già opzioni, in esecuzione dal medico. Fecero una foto e mi spiegarono, come persona che non capiva, che la polpa era marcita in entrambi i denti e che la suppurazione era iniziata sulle radici. Hanno praticato buchi in entrambi i denti, hanno aperto i canali e l'hanno lasciato fino a quando le gengive non sono guarite. Quando ho chiesto perché la "polpa marciva" su denti sani, non ho mai ricevuto una risposta ... Ahimè. Si può solo sperare che non perderò questi denti dopo il trattamento.
Benvenuti! Ho la seguente domanda Ha fatto appello alla formazione di un piccolo foro nel dente superiore superiore, mentre non c'era dolore in questo dente o in nessun altro - né quando si masticava cibo solido, né dall'esposizione calda o fredda, in generale, nessun dolore. Ho appena ricevuto un sigillo. A partire dal giorno del riempimento, è iniziato un forte dolore, che all'inizio è durato 2 settimane senza interruzione, poi è scomparso completamente per una settimana, quindi è riapparso. Questi dolori iniziarono a essere dati ai due denti vicini, sui quali erano installati i vecchi otturatori. Abbiamo sostituito le vecchie otturazioni su questi denti adiacenti con nuove (con trattamento e riempimento dei canali): nulla è cambiato. Le immagini radiografiche dopo tutte queste manipolazioni con tre denti hanno mostrato che i canali erano sigillati correttamente - vale a dire: non c'è rimozione del materiale di riempimento oltre la radice, il canale è sigillato per tutta la sua lunghezza di lavoro, non vi era alcun pezzo di strumento dentale lì. Otturazioni su questi tre denti sono stati installati fotopolimero - dello stesso materiale - filtek. Durante l'installazione di otturazioni dello stesso materiale sui denti, d'altra parte, non sono stati causati problemi. Camminò intorno a due dozzine di dottori, tutti gli esami e le radiografie dissero che il problema non era nei denti. Il problema dura due anni. Nuove foto ed esami dei dentisti non hanno mostrato ancora nulla. Consigliato di consultare uno specialista ORL e un neurologo. ORL ha eseguito radiografie dei seni mascellari, scansioni TC della testa, esami - e non hanno trovato nulla correlato agli organi ENT, nonostante il fatto che, oltre al dolore ai denti, ci fosse un dolore infiltrato nell'orecchio e nel collo. Anche la neurotropia non ha trovato nulla. Per il terzo anno vado in circolo - da dentisti, specialisti ORL e neurologi che non riescono a fare una diagnosi, anche senza ipotesi. Tutto è in ordine con il cuore. Per due anni, il dolore è durato per un mese, poi è scomparso per tre mesi completamente, quindi per due settimane e di nuovo è scomparso per diversi lunghi periodi. Non ci sono state lesioni ai denti. Nessuno dei dentisti ha trovato: carie, flusso, pulpite, crepe dello smalto, malattie gengivali, crepe dentali, sindrome dell'articolazione temporo-mandibolare, esposizione della dentina sensibile al collo del dente, fistola dentale, ipersensibilità delle radici esposte, caduta della gomma, riempimento con morso non è sopravvalutato, un dente del giudizio (l'ultimo non rimosso), anche in una foto panoramica. Domanda: cosa potrebbe essere?
Benvenuti! Se il dolore si irradia all'orecchio, è necessario cercare il dente inferiore. Sono i denti inferiori che danno un'irradiazione simile.Se la ricerca di un dente causale non porta al risultato corretto, allora l'accento dovrebbe essere posto sulla neurite o sulla nevralgia del trigemino. Hai già detto di passaggio che sei andato da un neurologo. Penso che la ragione sia più nel dente inferiore. La cosa più difficile rimane: capire quale dente può andare periodicamente in esacerbazione. La diagnosi è la più difficile non solo in odontoiatria, quindi solo con un attento esame e studio della situazione puoi scoprire qualcosa. Internet in questa materia non è una salvezza della situazione, poiché l'attività che imposti non è la più semplice.
Mi è stato fatto un dente 2 settimane fa: il nervo non è stato rimosso, motivato dal fatto che il fondo del dente è buono. Durante la spazzolatura, la sensibilità era sulla parete del dente. Ora, dopo 2 settimane, il dente fa molto male. Sembra che il pavimento della mascella faccia male, giorno 2 con antidolorifici. Dimmi perché e cosa fare?
Benvenuti! Stai suggerendo che potresti aver causato qualche tipo di complicazione in questo dente durante un trattamento intracanale complesso. Normalmente, non dovrebbe esserci alcun aumento del dolore, inoltre, il dolore quando si morde un dente, al contrario, scompare completamente durante questo periodo. Cioè, secondo la descrizione, hai un'esacerbazione del processo cronico, che ricorda molto una complicazione durante il trattamento dei canali. Sono sicuro che dovresti scattare una foto del dente e contattare un esperto dentale indipendente con lui per scoprire i dettagli. L'istantanea risponderà a una serie di domande su questo problema.
Benvenuti! Dopo aver installato il sigillo leggero, si verifica un forte dolore acuto quando si preme su di esso. Dimmi, per favore, quale potrebbe essere il problema?
Benvenuti! Penso che potresti avere una sensibilità post-riempimento tra gli errori di un medico. Possono essere piccoli o più gravi: surriscaldamento del dente ed eccessiva vibrazione della punta (lavorare con una punta difettosa, boro vecchio, ecc.). In quest'ultimo caso, il "nervo" del dente può soffrire per cui è necessario trattare i canali del dente. Molto spesso, il dolore quando si preme sulle otturazioni si verifica a causa della dentina eccessivamente asciutta durante il funzionamento, guarnizioni applicate in modo errato sotto le otturazioni, tempo eccessivo di "attacco" del dente, ecc. Quasi sempre, tali piccoli difetti consentono all'organismo stesso di correggere la situazione entro 3-10 giorni. La maggior parte degli esperti stimabili consiglia di attendere circa 1-2 settimane, quindi contattare il medico per sostituire le otturazioni, ma senza alcuna violazione della tecnologia. Se ai dolori da pressione si aggiungono dolori spontanei, doloranti o acuti, notturni o lancinanti, allora si è sicuramente verificata una complicazione dopo il trattamento - solo la terapia intracanale aiuterà.
Grazie mille per la consultazione!
Benvenuti! 3 giorni fa hanno trattato i canali del 4 ° dente morto già trattato. I canali furono sigillati, dopo il trattamento scattarono un'altra foto e finirono con il sigillo. Il dente fa male, la sera, con la pressione, principalmente, e poco dopo. A cosa potrebbe essere collegato? Ho chiamato il dottore, ha detto che nel giro di una settimana o due il dente potrebbe far male. Stamattina, sono comparse le vertigini, potrebbe essere dovuto al dente? Sono preoccupato
Ciao Anna! Non penso che le vertigini siano in qualche modo legate al trattamento. Inoltre, sono trascorsi 3 giorni dal momento della terapia intracanale. Per quanto riguarda i dolori post-riempimento: questa è senza dubbio una complicazione sullo sfondo dell'elaborazione e del riempimento dei canali. I medici stimabili ritengono che questo risultato di piccoli e (a volte) grandi errori del medico durante il lavoro non consenta di definire questa norma. Tuttavia, in Russia vale la pena abituarsi all'idea che per la "bellezza" di un'immagine, i medici a volte trascurano il comfort dei pazienti.Apparentemente, sono stati semplicemente insegnati dall'amara esperienza e dai commenti offensivi dei colleghi, che possono lamentarsi di errori anche minori dopo aver riempito. Ecco perché un tale sforzo porta al fatto che il dente è costretto ad adattarsi per 2-3 settimane al lavoro traumatico eseguito e al riempimento eccessivo dei canali (spesso oltre l'apice della radice). Se fornisci un'istantanea, ti dirò più precisamente dove il medico ha commesso errori, ma sono quasi sicuro (vista la fiducia del tuo medico nel suo lavoro) che c'è solo un dolore post-riempimento in background ... Il resto è dall'istantanea.
Caro Svyatoslav Gennadievich! Questo è ancora Natalya con un problema che dura per il terzo anno. Quando i dentisti cercavano la causa dei miei problemi, hanno esaminato tutti i denti senza eccezioni (sopra, sotto, a destra, a sinistra). So che la nevralgia del trigemino può essere causata da ipotermia, trauma e, ad esempio, un'allergia al materiale di riempimento e ad altri problemi associati ai denti. In questo caso, i neuropatologi raccomandano di eliminare la causa principale. Se il materiale di riempimento è stato rimosso al di fuori della radice o di un'allergia, tali denti devono essere riempiti nuovamente. Di tutti i dentisti, nessuno ha suggerito il rimodellamento, poiché tutti i denti sono definiti sani. E proprio così non è stato consigliato loro di toccarli. Se puoi, dimmi, per favore, quanto segue. Una delle cause della nevralgia del trigemino potrebbe essere l'eccessiva pressione del riempimento dal fotopolimero (posizionato sulla superficie laterale del dente) su alcuni nervi (che potrebbe essere stato pizzicato da questo riempimento)? E, mi scusi, per due anni e mezzo, altre conseguenze, se fossero state causate da quel trattamento di vecchia data, si sarebbero manifestate molto tempo fa, ma anche oggi i dentisti affermano che tutti i denti sono sani. E io, mi scusi, non ho altra scelta che cercare la causa stessa, dal momento che nessuna singola clinica che ha raccolto una consulenza sul mio problema potrebbe trovare qualsiasi cosa (compresi i medici del dipartimento dell'ospedale regionale per la chirurgia maxillo-facciale).
E un'altra domanda: anche se fosse un dente inferiore, in due anni e mezzo, potrebbe essere trovato almeno per alcune conseguenze (ad esempio carie, flusso, ecc.)? Distinti!
Ciao Natalia! Penso che a causa della pressione del sigillo, la nevralgia difficilmente sarebbe sorta. Per quanto riguarda un dente cattivo: si sarebbe ovviamente dimostrato in 2,5 anni. La linea di fondo è che è impossibile condurre la diagnostica in contumacia per un caso così difficile come il tuo (devi essere realistico). Ho bisogno di un esame della cavità orale, della percussione dei denti, della palpazione delle gengive nell'area in cui potrebbe esserci un dente causativo, analisi dell'immagine, ecc. Nella mia pratica, ho lavorato diverse volte con i pazienti per diagnosticare il problema per circa 1-1,5 ore. È solo la ricerca di un dente e la determinazione di una relazione causale. Questo è difficile, ovviamente, moralmente per il paziente, che non può aiutare con nulla, e per i medici che non vedono il motivo, e non ti stancherai solo di ipotesi. È un peccato che la consultazione dei medici scrolla le spalle: non credo che i medici che sono inferiori al mio livello di qualifica abbiano lavorato con te. A volte può essere estremamente difficile per me 1-2 volte all'anno affrontare l'assenza di una causa evidente della malattia. Descrizioni dettagliate + ispezione + immagini + EDI aiutano a trovare un dente, ma anche nella mia pratica erano un fiasco. Non so perché sia così organizzato per le persone che il medico non può capire la causa del dolore: non ci sono denti sospetti, i neurologi non trovano da parte loro e chi ha torto, chi è ingannevole e confuso nelle loro "testimonianze"? Il dolore è una cosa soggettiva. A volte capita che 1 dente mal trattato molto tempo fa (5-20 anni fa) provoca dolori dolorosi periodici "maliziosi" che anche quando i denti vengono toccati, non viene trovato nulla e talvolta le immagini non diagnosticano nulla di così ovvio. Proprio in uno dei canali del dente ci sono vuoti che, a causa dell'infezione, provocano sensazioni dolorose.Lavoro in questo modo: prima cerco carie nascoste in un dente vivo, quindi esamino i "morti" per eventuali violazioni + fornisco indizi sull'irradiazione e sul dolore da sostanze irritanti (freddo, caldo, ecc.), Se presenti. Onestamente, il tuo problema non è sicuramente l'oggetto di una discussione approfondita. Quindi cosa avrebbe potuto fare, ma per il resto - solo speranza per un dottore che si aggrapperà a qualcosa di specifico nella sua ricerca.
Ciao, 3 giorni fa abbiamo messo un sigillo (sigillato i canali), prima di mettere l'arsenico per 7 giorni. Ora il dente fa male quando morde, fa davvero male. Quindi si attenua, ma il dolore doloroso rimane. Dimmi, per favore, cosa fare? È pericoloso?
Benvenuti! Penso che ti sia stata data una pasta non arsenica per 7 giorni. La pasta di arsenico viene posta per non più di 48 ore, ma i dentisti moderni non la usano quasi mai a causa di danni multifattoriali. Per capire perché i dolori post-riempimento, come complicazione dopo il trattamento dei canali, ti danno sintomi così vividi, è importante analizzare le immagini del dente. Puoi fornirmi le immagini e dirò con quasi il 100% di precisione da dove le "gambe crescono". Grazie per la domanda
Ciao Svyatoslav Gennadievich! Grazie per le risposte complete e suggerimenti utili. Ancora una volta voglio sentire la tua opinione. Durante il trattamento della parodontite su un dente a canale singolo, il canale è rimasto dapprima aperto per diversi giorni, quindi con la medicina sotto un riempimento temporaneo. Ora il canale è sigillato con pasta, che è andata oltre la radice (era visibile nella foto), anche sotto un sigillo temporaneo. Il dente (o la gomma sotto di esso) fa costantemente male, il dolore è tollerabile, ma non passa. Il prossimo appuntamento tra 3 giorni. Mi hanno avvertito che potevano fare male, mi hanno consigliato di sciacquare con la soda (che, per inciso, non porta sollievo). Se il dolore si attenua prima di assumere, questo dente sarà riempito con un riempimento permanente. Molto interessato alla domanda: la pasta che è andata oltre la radice durante il riempimento del canale può successivamente portare ad alcune conseguenze? E non è lei la causa del dolore di oggi? Grazie in anticipo per la tua risposta.
Ciao Elena! Penso che la causa del tuo dolore sia il trattamento traumatico del canale e la rimozione di materiale oltre l'apice della radice. Questo, ovviamente, è una complicazione, ma molte persone possono tollerare questo atteggiamento dei medici nei confronti del lavoro. Cioè, il materiale ritirato dopo qualche tempo cessa di essere percepito dal corpo come estraneo, ma non tutti sono così fortunati. In primo luogo, nel 3-5% delle persone, il dolore può rimanere per tutta la vita con una certa frequenza. In secondo luogo, sono necessarie circa 2-3 settimane o più per attendere il ripristino della normale sensazione dentale. Questo è il risultato di una serie di errori durante il trattamento intracanal. Secondo la tua descrizione, il lavoro viene eseguito utilizzando diversi metodi di routine. Questi risciacqui per diversi giorni, ancora una volta, soda "per alleviare il possibile dolore", i continui dolori acuti - suggeriscono che il medico è un po 'troppo intelligente. Tuttavia, è importante sapere più precisamente: scattare una foto e fornirla per l'analisi (è possibile collegare), quindi ti dirò più precisamente sulla tua domanda.
Buon pomeriggio, mi sono svegliato sabato mattina con una faccia gonfia, con circa 25 denti in cima alla mia gomma dolorante terribilmente, c'erano ulcere nel palato duro e sul labbro vicino ai denti. La pulpite è stata curata proprio questo 25 alla fine di aprile. Sono venuto in odontoiatria, il mio medico non era lì, mi hanno mandato a quello che era. Guardò, fece uno scatto volumetrico con i seni paranasali (non ricordo come si chiamano). Secondo le foto, va tutto bene, il dottore non ha capito che con me, e per ogni evenienza, ho tagliato la gomma nell'area del labbro sopra il dente, presumibilmente c'era un flusso, a causa del quale ero gonfio. Antibiotici prescritti, dose di cavallo, sale di risciacquo + soda, Nise e Kestin. A lunedì, tutto è rimasto com'era ... Sono venuto dal mio dottore, ha guardato le foto e poi il mio palato e subito ha detto: è solo l'herpes ... Ma a causa del trattamento errato prescritto, era in condizioni terribili: il sale ha sciacquato tutto durante il risciacquo in giro, gli antibiotici non hanno aiutato, beh, ecc. Ho tormentato così per tutto il weekend.
La domanda è:
1) Questo herpes è correlato al fatto che la pulpite è stata trattata su questo dente attorno al quale è localizzata? Allego la foto, una è stata fatta sabato, l'altra lunedì [... solo il dottore vede i link ...]
2) Da un punto di vista etico: un medico che mi ha tagliato le gengive e prescritto un trattamento così aggravante, può lavorare con i pazienti ?! Dal momento che, dicono, guardando il mio cielo, anche uno studente del primo anno di un istituto di medicina ha capito qual era il problema. Bene, il mio caso non è così pericoloso, da un lato, e dall'altro, qualcuno verrà da lei con qualcosa di più serio ... E non è chiaro come andrà a finire.
Benvenuti! Sebbene non sia uno studente da quasi 10 anni, non riesco a indovinare la vera causa del problema a causa di erosioni e ulcere sulla mucosa da solo. Anche se sembra essere l'herpes (la parola chiave è "sembra"). Tuttavia, avevo il sospetto che tu avessi un problema non rilevato e irrisolto che ha dato origine a momenti meno pericolosi, ma spiacevoli, su cui ti concentri. Cioè, il dentista non è stato in grado di identificare il dente da cui è nato il "flusso" e il quadro è stato considerato distorto: o il dente è stato trattato male o c'è un altro dente problematico nelle vicinanze. Il punto che voglio comunicarti è questo: una catena di tattiche errate da parte dei medici potrebbe creare nuovi problemi. È possibile che le lesioni sulla mucosa siano tutte secondarie (lo stesso herpes si verifica quando il sistema immunitario è indebolito e le risorse immunitarie del corpo possono essere esaurite se c'è un processo infiammatorio). Ha senso valutare la presenza di un dente problematico che causa il processo infiammatorio sulle gengive sotto forma di edema o, come dici tu, "tumori" (è meglio contattare un dentista indipendente in un'altra clinica). Salute e buona fortuna a te!
Benvenuti! Ho curato la carie, ho messo un sigillo leggero. Dopo una settimana, il dente inizia a fare un po 'male, ogni giorno il dolore diventa più forte. Fa male quando viene premuto, prendendo cibi caldi e freddi, per il resto del tempo il dolore non è forte, doloroso in natura. Cosa fare
Benvenuti! Penso che ci possano essere diverse opzioni: o la diagnosi iniziale non era affatto la carie, ma già all'inizio della polpite, o durante il trattamento il dente era surriscaldato e dopo aver riempito il "nervo" all'interno delle fasi iniziali dell'infiammazione passava. Per confermare questo presupposto, dovrebbe essere fatto un EDI. Questa diagnosi aiuta a determinare l'eccitabilità della polpa, il suo stato di salute e ulteriori tattiche. Se la polpa è sana (il che è meno probabile secondo la tua descrizione), il dentista può limitarsi a ripetere nuovamente le otturazioni e con l'infiammazione, il dispositivo mostrerà che le otturazioni dovrebbero essere rimosse più velocemente e i canali dovrebbero essere trattati con il successivo riempimento del dente.
Benvenuti! Poco più di 2 settimane fa, il medico ha deciso di rimuovere il mio nervo sulla 6 ke in basso a destra, mettere un po 'di pasta a base di arsenico e mi ha detto di venire dopo circa 10 giorni. Di conseguenza, ho avuto un appuntamento solo dopo 2 settimane, il medico ha cercato a lungo di trovare il nervo, ha guardato la foto e ha detto che i canali erano sottili, come i peli, e persino l'ago non si arrampica. Ho applicato un altro medicinale per un paio di giorni per espandere i canali e ho detto che se non funziona e quindi i nervi vengono rimossi, sigillerà semplicemente i canali. Questo può essere fatto? Dopotutto, un nervo morto probabilmente si decomporrà o qualcosa del genere, e quindi dovrai rimuovere del tutto il dente?
Benvenuti! Penso che tu, Victoria, se i canali non vengono decompressi con successo, hai intenzione di "formalizzare" il dente. Cioè, applicare la miscela di resorcinolo-formalina-pasta secondo lo schema di Evdokimov. Se i dettagli sono interessanti, posso eliminare le informazioni su questa tecnica. Ora in tutto il mondo, ad eccezione della Russia e di alcuni paesi, questo metodo è proibito, quindi in un modo o nell'altro può essere dannoso e comportare rischi. Poiché i divieti non attecchiscono bene in Russia, il metodo è molto diffuso, soprattutto nelle piccole città e nei villaggi. Con tali guasti nei canali - questo è il primo modo per mantenere il dente il più semplice possibile, per lungo tempo, ma in qualche modo.Cioè, il risultato è un focus cronico di infezione all'apice delle radici, che può "sparare" in un paio d'anni, o forse in 10-15-20. Cioè, la risposta alla tua domanda: è possibile, ma non è molto utile. Sarebbe giusto andare in una clinica dove c'è un microscopio + attivazione ultrasonica durante l'espansione del canale. Cioè, questi "peli" possono essere espansi abilmente e possono anche essere lunghi. Un'altra domanda è se sei pronto per il lato finanziario del problema, perché il trattamento dei canali con un microscopio è almeno 2-3 volte più costoso della terapia classica dei canali. Buona fortuna e salute!
Grazie mille per la risposta informativa. Non sono stati in grado di rimuovere il nervo, quindi hanno appena messo un sigillo. Vado ora in una clinica a pagamento per curare fino alla fine, dal momento che non voglio davvero perdere un dente.
Furono riempiti due denti e iniziarono a rispondere al freddo e ai dolci. Sono andato dallo stesso medico, ho detto cosa e come. Il dottore ha guardato, non ha visto nulla, dicono, va tutto bene. Quindi prese una cosa che si attacca con l'aria e cominciò a soffiare attraverso i canali. E proprio in questi canali durante lo spurgo ho sentito dolore.
Il medico ha detto che i sigilli sono seduti come dovrebbero, solo il materiale stesso lascia entrare in un luogo freddo e dolce e lo ha sostituito con un altro materiale gratuitamente. E dopo ciò, tutto è diventato meraviglioso. Cose del genere.
Ciao Sono andato dal dentista, quando un quarto del dente superiore distante è crollato. Il mio nervo è stato rimosso. Quindi più volte hanno spinto qualcosa dentro di lui, secondo le sensazioni - come un ago o una bacchetta. Costantemente non si adattava in profondità. Alla fine, ha inserito e ha detto di chiudere la mascella e stringere forte. Oh sì, il cemento è stato usato come sigillo. Dopo che l'anestesia era scomparsa, il dente ha iniziato a ferire lentamente. Le prime 10 ore sono ancora normali. Ma il giorno dopo, ho iniziato a ammalarmi moltissimo mentre scrivevo, e solo con una leggera chiusura della mascella. Il dolore è simile alla perdita dello stesso, solo dente da latte. Quindi voglio farlo oscillare ed estrarlo. Ma ora il dolore, per quanto mi riguarda, è più forte, poiché è più profondo nelle gengive.
Benvenuti! A giudicare dalla descrizione, hai riscontrato una complicazione dopo aver trattato un canale dentale. La gravità delle complicanze è difficile da valutare senza ulteriori ricerche. Se invii un'istantanea del dente (puoi inviarlo per posta o specificarlo come link), puoi valutare approssimativamente il 70-80% della qualità del lavoro del medico nei canali. Sono sicuro che ci sarà sicuramente qualcosa da afferrare, in base ai tuoi sintomi. Il dolore dopo il trattamento canalare non è la norma, anche se molti dentisti ritengono che una reazione del dente post-riempimento (dolore quando si morde) fino a 7-14 giorni non sia motivo di panico, poiché l'eccessiva “cura” del dente e dei suoi canali rientra nella categoria del passaggio situazione. Non sono sicuro che valga la pena aspettare più di 5-7 giorni dopo il trattamento dei canali: è importante sapere in anticipo cosa è stato fatto con il dente. Buona fortuna
Ciao Mi stavo curando i denti (un molare e un fronte), il dottore mi ha messo la medicina e l'ha riempita. All'inizio era tutto normale, solo i denti anteriori (li ho riempiti) reagiscono al freddo e al caldo. Ho pensato che se mettono una medicina, significa che il sigillo è temporaneo e devi venire e poi metterne uno permanente? Tuttavia, il medico non ha fissato un'ora e una data per venire e ha fissato un permanente. E già per due notti, non appena vado a letto, i denti in cui si trova la medicina fanno male. Il dolore è insopportabile, passa ai denti adiacenti, come se stessero diventando insensibili, ma se si toccano, fanno molto male. Painkiller non aiuta. È impossibile mangiare o lavarsi i denti umani. Pensavo che la medicina di solito uccida la polpa. Ma perché il dolore è apparso solo dopo un tempo decente?
Benvenuti! Esistono due opzioni di lavoro:
1. O il medico ha fatto un errore con il dente e ha messo l'agente devitalizzante (per uccidere il "nervo") sul dente sbagliato come "medicina".Se questa pasta si trovasse sul dente necessario, allora il dolore dal freddo non esisterebbe immediatamente.
2. Questa opzione è la più plausibile: sei stato trattato con carie profonde in due fasi. Nella prima fase, il medico ha curato la cavità cariata e ha installato un preparato a base di idrossido di calcio sul fondo. O la diagnosi iniziale non era più "carie", o le modalità e le tecniche di trattamento di un dente con raffreddamento ad aria-acqua erano violate, ma la pulite, un processo infiammatorio della polpa ("nervo") del dente, si è rivelato essere così. È in questo contesto che il dente fa molto male.
Ora tocca a te: rifiutare i servizi di questo medico o offrirgli esattamente lo stesso per trovare il dente causale e trattare i suoi canali come previsto. Buona fortuna e salute!
Ciao Circa 6 mesi fa, è stata trattata la pulpite nel dente inferiore, ora c'è dolore. Fa già male da 2 settimane. Ma per qualche motivo fa male non solo questo dente, ma anche quello anteriore superiore dallo stesso lato, il nervo viene rimosso anche lì, le gengive non sono gonfie. Il medico ha detto che nella foto era tutto a posto e che tutti i canali erano perfettamente sigillati. Gli antidolorifici non aiutano davvero, il medico ha ancora prescritto la lincomicina e l'ha mandata in una stanza fisica. Il dolore è stato, lo è. Dimmi, per favore, cosa potrebbe essere? Il dolore è terribile, non so come affrontarlo.
Benvenuti! Penso che dovresti contattare un altro dentista e studiare in dettaglio la tua situazione clinica sulla sedia. La ricerca di un dente causale vale ancora la pena. Il dolore da esso può irradiarsi lungo il nervo trigemino a qualsiasi dente e persino all'orecchio, alla nuca, al tempio, al sopracciglio, ecc. È importante studiare la natura del dolore, la frequenza, le condizioni esterne dei denti, la presenza di lesioni cariose e cavità nascoste (negli spazi tra i denti nei punti di contatto). A volte aiuta a valutare la reazione dei denti al freddo + immagini selettive dei denti che causano sospetti. La fisioterapia non porta sollievo, poiché la vera causa non è stata trovata. Contattare immediatamente un dentista qualificato.
Ciao 2 settimane fa ho curato la pulpite degli otto a sinistra, riempiendo i canali (dopo le manipolazioni il medico non ha fatto una radiografia). Durante il trattamento e una settimana dopo, il dente non si è disturbato affatto, 3 giorni fa mi sono svegliato con il gonfiore del viso a sinistra, dopo un paio d'ore il gonfiore si è calmato e ho sentito un calore del viso sullo stesso lato. Il dente stesso non fa male. Il mio medico curante è in vacanza fino alla prossima settimana, sono molto preoccupato, può succedere qualcosa di grave in questo periodo o vale la pena correre da un altro medico?
Benvenuti! Vale la pena pensare a un'esacerbazione della parodontite cronica, che, forse, arriva già con una complicazione sotto forma di periostite. Non dovresti certo scherzare con questo: consulta immediatamente un medico. Non abbiate fretta di rimuovere il dente del giudizio trattato, fidatevi del medico. È importante diagnosticare e chiarire la causa esatta del processo purulento, a volte capita che il dente causale non sia affatto trattato, ma "nuovo", che è stato a lungo distrutto dalla carie. Se viene confermato che il problema riguarda l'ottavo trattato, allora è più consigliabile rimuovere il dente, altrimenti spetta solo al dentista che ti porterà per le cure di emergenza.
Ciao dottore 5 mesi fa un dente si ammalò, si rivolse al suo dentista, disse che si trattava di parodontite e disse che era necessario curare i canali. Mise la medicina, ma il dolore era insopportabile, e mi aprirono e mi trattarono di nuovo, misero la medicina e dopo un paio di giorni di nuovo il dolore insopportabile. Mi sono rivolto a un altro medico: ho aperto un sigillo temporaneo e l'ho lasciato aperto per un paio di giorni con la medicina. Poi sono andato di nuovo da un altro medico, mi ha messo la medicina e sono andato con lui per un mese. Poi l'ha pulito per me, ha fatto tutto al microscopio, ha messo le spille ... E tutto sembrava essere normale, ma dopo 3 mesi sento dolore quando viene premuto ...
Benvenuti! Prima di "lanciare le pantofole" all'ultimo medico, vale la pena controllare la carie adiacente per individuare la carie nascosta. Questa è una pratica normale, anche se sei sicuro dei tuoi sentimenti soggettivi. Inoltre, puoi inviare una foto del dente trattato al microscopio per l'analisi via mail, ti dirò le possibili ragioni in esso (se presenti). Dopo aver riempito i canali, il materiale potrebbe andare leggermente oltre la radice. Ad un certo punto, se qualcosa di duro arrivasse al dente trattato, potrebbe portare al ritorno di dolori post-riempimento. Questo è come un micro trauma. Spesso accade di notte con una forte compressione dei denti. Richiede solitamente 2-5 giorni. In generale, vale la pena controllare l'immagine e quindi cercare i denti adiacenti per la carie nascosta. Grazie per la domanda
Ciao Un mese fa è stata trattata la carie profonda cronica: sono state sostituite vecchie otturazioni (3) e ne è stata messa una nuova, tutta sulla sinistra. Prima del trattamento, i denti non davano fastidio ... In primo luogo, la parte superiore 7 era piena - dopo il riempimento, il dente faceva male e reagiva a tutto (caldo, freddo, pressione - in generale, era impossibile masticare). Il dentista lo coprì di colla al fluoro e disse che sarebbe passato. Tra una settimana riempiremo altri tre denti, sotto - 8, 7 e 6-ku. Quello superiore continua a far male ... L'anestesia è passata, adesso mi fanno male tutti i denti, ma tollerantemente non ho bevuto antidolorifici. Una settimana dopo, ho sentito dolore nella parte posteriore della mia testa, che poi ha aumentato l'intensità, la durata e si è diffuso alla guancia e al tempio per 10 giorni (il neuropatologo ha detto che si trattava di neurite trigeminale, prescritto farmaci antiepilettici). I denti continuano a far male! Si lamentano debolmente durante il giorno, ora più forti, poi più deboli. Di notte bevo antidolorifici da una settimana e mezza, per addormentarmi (il dolore peggiora di notte), reagiscono persino fortemente all'acqua a temperatura ambiente.
Realizzato EDI: DENTI INFERIORI: 4-25, 5-25, 6-250, 7-250, 8-35. TOMAIA: 4-250, 5-175, 6-250, 7-170 (hanno controllato la mia norma - 12 su un dente intatto). Raggi X senza funzionalità, ma il mio dentista vuole aprire il fondo 6 e 7! Dimmi, quanto è probabile che la mia sofferenza sia un errore del dentista? Quando le ho chiesto dell'ustione della polpa, lei ha risposto che non era così nella sua pratica, e "se ti fidi ancora di me, allora ti aspetto martedì" (ora è malata). Non voglio davvero "uccidere" i miei denti! Erano normali! Il dentista dovrebbe darmi uno sconto sulle manipolazioni che mi aspettano? Grazie, spero in una risposta rapida.
Aggiungerò: il medico afferma che il problema è inequivocabile con i denti inferiori e nella parte superiore - il dolore radiante.
Aggiungerò anche: raffreddando gli strumenti con l'aria del medico - quando ho chiesto perché fossero così freddi, il medico ha risposto - "Questa è aria, non mi piace l'acqua quando si raffredda" ... Cioè foravano tutto il tempo e solo occasionalmente sciacquavano con acqua per lavare via la polvere. Signore, ho subito 3-4 denti uccisi ?!
Benvenuti! Quando ho lavorato senza raffreddamento ad acqua molti anni fa, dovevo trattare i canali dei denti in ogni 4-5 carie trattate. I rischi di surriscaldare i denti senza acqua sono grandi, gli standard del trattamento moderno dei denti "vivi" sono solo con acqua e nient'altro. Sono quasi sicuro che ci sia stato un surriscaldamento del dente inferiore, sei stato ingannato dalla neurite. Penso che questa sia la fiducia del dentista, e più che certo che periodicamente si "surriscalda" i denti. Forse a causa della precisione - non così spesso. Ora dobbiamo scoprire esattamente quale dente è stato surriscaldato e trattarlo nei canali fino a quando il nervo non collassa e si trasforma in "pus". Non credo che 3-4 denti siano surriscaldati, solo 1.
Non ho capito i dati EDI che hai fornito. Conosco una metrica in cui 2-6 μA è la norma. Con carie profonde, può arrivare a 12 μA. Tutto ciò che è superiore a 20 μA è già la polpite, circa 70-80 μA è la cancrena della polpa, poiché 100 μA è la parodontite.
Guarda attentamente, non trattare due denti contemporaneamente, lascia che il medico trovi esattamente quello causale, con EDI o con una diagnosi nella cavità orale, ma due denti non possono immediatamente rispondere.
È difficile dimostrare l'errore di un medico in tribunale.Il fatto è che con lui tutto è stato correttamente documentato correttamente e hai firmato il consenso al trattamento, dove vengono discusse tali sfumature.
Grazie per aver risposto. Il tormento continua. Informazioni sull'EDI - Ho scritto in misurazioni mA. Dove ce ne sono 250, non c'è alcuna sensibilità (all'EDI hanno detto che i denti sono "morti" o che l'innervazione è così radiosa). Ho anche letto da qualche parte che con la neurite trigeminale un tale quadro può essere ... La confusione è completa (il neuropatologo ha scritto nella diagnosi non la neurite, ma la neuropatia, ha detto che spesso vanno da loro dopo i dentisti e che provengono dall'irritazione dei nervi, qualcosa del genere ). Il dentista non vuole uccidere il nervo ora e dice, forse, i denti sono "sopravvalutati" - hanno eseguito una macinatura due volte con un intervallo di 3 giorni, quindi applicano la vernice al fluoruro. Dice anche che non assomiglia a pulpite, altrimenti non mi sarei seduto così tranquillamente sulla sedia (quando si tocca i denti). Quando si sega, c'è un dolore spiacevole in tutti i denti, ma specialmente nei sette superiori (il medico dice che questo è un segno che la polpa è viva). Al momento, i denti stessi non fanno male, ma quando hanno mangiato un'anguria (a temperatura ambiente), hanno iniziato a piagnucolare (soprattutto quello in alto) e a farmi male con un ritorno al tempio per circa 20 minuti. Posso masticare qualcosa di denso solo con attenzione, può essere particolarmente doloroso in uno punto sul bordo del 7 e 6 superiore, quando questo posto cade su un solido pezzo di cibo. Le ultime due notti non sono i denti che fanno male, ma la parte posteriore della testa, il tempio, doloranti sotto lo zigomo a sinistra (questo non accade durante il giorno o è molto debole - non bevo antidolorifici durante il giorno). Ho anche notato che l'articolazione temporo-mandibolare ha iniziato a scricchiolare più fortemente a sinistra dopo il taglio - non so se questo abbia un ruolo, ma ho già letto tutto - sui morsi, ecc. C'è qualcos'altro da fare a un osteopata? Il manicomio è solo ... Il dentista vuole rimuovere il sigillo dai sette inferiori (pensa che il problema sia in esso, perché sulla radiografia la sua polpa sporge un "corno" vicino alla superficie del sigillo) - e fa un'altra posa di calcio, più spessa. Non ha fretta di uccidere un nervo - dice che non è mai troppo tardi ... E se tocchi, allora questo dente è solo il meno sensibile (e anche la temperatura). Il problema potrebbe essere ancora tra i primi sette?
Quando hanno visto i primi sette, ha iniziato a gemere in modo che i suoi denti fossero intorpiditi ed è stato persino difficile per me masticare sulla carta da copia in seguito, in modo da poter ritagliare più posti ... Quelli inferiori hanno reagito meno.
Benvenuti! Penso che i sette superiori dovrebbero essere depulpati, dal momento che presumibilmente c'è un problema in esso: la pulpite. Ma spetta al medico curante decidere. Dal momento che capisco che la tua situazione è difficile, hai bisogno di un approccio estremamente individuale, in modo da non commettere errori, non "sovrapporre" i denti del carro e del carretto. Nella mia pratica, molto tempo fa ci sono state rare situazioni in cui, a causa di dubbi e perseveranza, il paziente ha dovuto arrivare al dente causale attraverso la depolpazione dei suoi vicini. A proposito, questi denti sono in molti modi persino migliori (per quasi 10 anni) di quelli che non sono stati affatto trattati. Questo è alla domanda: "Non è dannoso far morire un dente?" Guardando con che entusiasmo e anima tutto ciò è fatto.
Tuttavia, non suggerisco di provare a fare un errore e di coinvolgere il medico in questo compito ingrato, ma è estremamente importante cercare un dente pulp. Quasi sicuro al 100% che questa è la polpite del dente. Forse ha senso provare a cambiare il medico. Non credo che ci siano un paio di buoni diagnostici in tutta la città.
Ieri siamo finalmente arrivati tra i primi 7 e li abbiamo depulati. Mettiamo un sigillo temporaneo. Il dottore ha detto che, ovviamente, la pulpite ha provocato "denticoli" ed ha estratto un piccolo "chip" dalla polpa (beh, erano così dentali, ho sofferto così tanto con questo dolore per un mese e mezzo che non me ne frega niente del motivo) ... Le condizioni sono migliorate, lungo il trigemino non spara, non c'è dolore nella parte posteriore della testa com'era, ma la gomma è leggermente gonfia medialmente dal vicino 6, e anche al confine tra 7 e 6 - questo posto faceva male di notte.E quando l'ho spinto, ha iniziato a gemere ancora di più - con l'irradiazione nel tempio e dietro l'orecchio. Ho bevuto una pillola ... Il bordo della gomma medialmente dal 6 (6 non è sigillato e "sano") ha una cornice sottile rosso scuro. Dimmi, che tipo di complicazione potrebbe essere? Ha senso eseguire una TAC di questi due denti per non perdere un problema? Lo stesso 6 fa male quando morde ...
Benvenuti! Dimmi cosa può essere e cosa fare? 6 anni fa, i nervi venivano rimossi nei 5 denti superiori a destra, i canali erano pieni e da allora è stato doloroso battere e premere sul dente, più dal lato della guancia. Sono andato dal medico con questo problema circa due volte, nella foto tutti i canali sono realizzati come necessario. E quella era la fine della questione. Hanno raccomandato di mettere le corone su questo dente e sul vicino 6. La domanda è davvero preoccupante, i 5 denti sotto la corona risponderanno come fa ora? E, forse, all'inizio è meglio fare qualcosa con un dente, in modo che sotto la corona questo non sarebbe? E cosa si può fare se nella foto è tutto a posto?
Benvenuti! Penso che la ragione per l'installazione delle corone sia stata un ampio divario tra i denti, in cui il cibo è costantemente intasato, causando traumi alla papilla gengivale. Le gengive ferite possono provocare dolore quando "toccando" un dente. Se ciò non accadesse, vorrei dare un'occhiata al "buon tiro" per rispondere a una serie di domande. Puoi inviare la foto dell'immagine a 5 denti alla posta (vedi Feedback).
Finora, sto rispondendo alla tua domanda principale senza un'immagine: se il dente fa male quando morde a causa dei canali trattati o del processo infiammatorio fuori dalla radice, allora tutto continuerà sotto la corona, il dolore sarà.
Se l'immagine è davvero "tutto bene", senza una consultazione faccia a faccia sarà sicuramente impossibile farlo. Quasi sempre, un'ispezione visiva consente di stabilire una relazione causale. È impossibile farlo tramite Internet, ad eccezione dell'analisi diagnostica dell'immagine.
Benvenuti! Dopo aver installato il sigillo (secondo molare), sono trascorsi 1,5 anni. Il dente non si è mai disturbato. C'era dolore doloroso quando si morde, e nell'aspetto, e anche se si disegna la lingua lungo la superficie del dente, il sigillo non si adatta perfettamente alla parete del dente. Non c'è dolore quando viene colpito da caldo o freddo o se si colpisce il dente. Sfortunatamente, non ricordo se il nervo è stato rimosso ...
Benvenuti! Questa informazione non è sufficiente per fare una diagnosi, ma il fatto che il dente debba essere trattato è sicuro. Se si verifica una violazione dell'aderenza del sigillo, è necessario restituirlo con alta qualità. Tuttavia, è necessario scattare una foto del dente prima del riempimento finale, in quanto è possibile saltare il processo infiammatorio alla radice o la pulpite (se il dente è "vivo"). Salute a te!
Buona salute a tutti)) Non ci sono ancora domande particolari, ma c'è paranoia che non mi lascia andare. Qui ho deciso per una compagnia con un'amica (che è una frequente ospite dal dentista) di controllare la mia dentatura, che non mi ha disturbato per tutta la vita cosciente (al momento ho 28 anni). Dopo l'esame, hanno disegnato la seguente situazione: rimozione di tutti e 4 gli "otto" (terzi molari), riempimento di 15, 16, 47, 46, 45, 37, 36. Al momento, 28 molari (come, tutti senza complicazioni) sono stati rimossi e metto 4 sigilli su 15, 16 e 47, 46, se non confondo nulla. È passata una giornata dal momento del riempimento, fino a quando nulla disturba, ma la paranoia non dà riposo: dopo aver letto molti commenti su Internet, molti iniziano ad avere problemi ai denti subito dopo il riempimento ((Inoltre, il fatto che vivo all'estero e tra io e il dottore c'è una certa barriera linguistica ... Penso che tu debba andare al controllo in un'altra clinica, vedere cosa dicono.
E, sì, c'è ancora una domanda: hai prima rimosso tutti gli otto e poi riempilo? O è possibile, come fanno adesso con me? (come li ho capiti in clinica, mi hanno detto che all'inizio i materiali da otturazione, poi elimineranno gli otto). Grazie per le risposte e per l'attenzione) Tutta la salute)
P.S Immagino di aver sbagliato che dopo il controllo in questa clinica non sono andato immediatamente in un altro per un controllo di follow-up, ho solo creduto alla mia amica - è stata curata in questa clinica per un anno ormai e le recensioni su di lei sono abbastanza buone.
Benvenuti! Dal momento che non stavo dietro la schiena del dottore, non posso dire categoricamente se fosse necessario rimuovere tutti i denti del giudizio e trattare i denti che hai elencato. Il fatto che molte cliniche finiscano per ottenere i benefici ha luogo ovunque: in Russia e all'estero. Speriamo che ci siano indicazioni per le opere elencate.
Per quanto riguarda la sequenza del "trattamento di rimozione", il medico procede da molte considerazioni pratiche. Personalmente, prima delle protesi (specialmente quelle urgenti), provo innanzitutto a rimuovere i denti e, mentre i fori guariscono, trattano i denti rimanenti, su cui faranno le corone. D'altra parte, se non c'è urgenza, allora puoi prima curare tutto e alla fine ("per dolce") lasciare l'estrazione del dente.
Buon pomeriggio Nell'aprile di quest'anno, ho messo una corona su un dente, sento ancora dolore e disagio doloranti! Dopo un mese, mi sono rivolto al dottore che ha messo la corona, ha guardato, ha soffiato aria e ha detto che tutto andava bene, non c'erano complicazioni. Ma il dolore non scompare ancora! Dimmi, a cosa è collegato? E cosa fare? Grazie in anticipo
Benvenuti! Ti consiglio di scattare una foto del dente per escludere complicazioni dopo il trattamento. Sono sicuro che prima di mettere la corona, il dente è stato preparato in via preliminare per le protesi. È possibile che i canali dentali siano stati trattati, quindi dovrebbero essere controllati per escludere possibili complicazioni dopo il trattamento.
Buona sera È stato consigliato alle corone di non essere posizionate a causa del grande spazio tra i denti, al contrario sono molto distanziate. È solo che alle 6 il muro si è rotto dal lato della guancia e lì il sigillo è enorme, non sembra molto bello. E al 5 ° muro in posizione, ma il sigillo è anche in tutto il dente e sul muro sullo stesso lato sono visibili crepe sullo smalto. Non ci sono immagini, era un ortopantomogramma, rimase con il dottore. Volevo fare una radiografia regolare della mascella superiore in un altro posto, ma non avevo una direzione e hanno anche detto che non ha senso prendere una radiografia, perché tutto è meglio visibile sull'ortopantomogramma. In generale, è stato detto qualcosa su una papilla molto tempo fa, ma non sono sicuro di cosa sia esattamente in questo 5 denti, e il cibo cade costantemente nella zona gengivale tra i denti. Ho già messo le corone. Ora non è doloroso battere un dente sulla guancia, ma dall'alto, quando un dente duro colpisce un dente e quando un dente colpisce un dente inferiore, fa male. Aspetterò un po 'e andrò di nuovo dal dottore ((non riesco proprio a immaginare cosa si possa fare ora con questo 5 denti.
Benvenuti! Ancora una volta, insisto per chiarire tutto dall'immagine anche di questo singolo dente. Sono sicuro che l'immagine sarà visibile, il che ha portato a sensazioni dolorose. Anche se è lo stesso per te decidere: puoi aspettare semplicemente, ma solo se non ci sono state complicazioni durante il trattamento dei canali in 5 denti. Altrimenti, una sorpresa attende il futuro. Non il fatto che in 1-2 anni, ma certamente non al momento giusto.
Ciao, sono trascorse 2,5 settimane dal trattamento della pulpite. All'inizio c'era un dolore molto forte, era impossibile persino toccare il dente, il linfonodo del sottomandibolare era infiammato, la temperatura aumentava di 37.2. All'esame, il medico ha messo un antibiotico nella gomma e ha prescritto un antibiotico da bere per 3 giorni, Nise. La foto, disse, era buona, ma non l'ho vista. Ora i dolori quando si morde, quando si tocca e il dolore costante, dà dolore sotto la mascella nell'area del linfonodo. Il medico dice che si tratta di dolori residui, è necessario risciacquare con la soda. Sono andato in un'altra clinica per un consulto in cui hanno scattato una foto panoramica, si è scoperto che c'era una leggera rimozione di materiale oltre l'apice della radice e un canale era "allentato" sigillato. Il medico ha detto che il materiale si risolverà, ma il canale si è offerto di rifarli.Ma ho pagato una somma considerevole per questo dente, posso aspettarmi che il medico che mi ha curato ripeterà il mio errore? Fa male costantemente, la qualità della vita è notevolmente peggiorata, aiuto, cosa devo fare?
Benvenuti! Il fatto di complicazioni dopo il trattamento ha luogo, i medici dell'altra clinica ti hanno chiaramente descritto il problema, notando immediatamente due errori. È difficile dire quale di essi provochi in maggior misura i sintomi da te descritti. Puoi contare sul fatto che puoi correggere gli errori. Spesso la clinica non vuole entrare in conflitto legale con il paziente e rovinare la reputazione. Se ti viene negato il trattamento gratuito o se tutto va storto, hai il diritto di raccogliere le prove necessarie di un trattamento scadente o di condurre un esame indipendente. Sebbene al momento sia estremamente difficile provare la presenza di errori oggettivi, specialmente in quei casi in cui si firma un accordo che si concorda con possibili situazioni in cui le difficoltà insorte durante e / o dopo il trattamento dei canali dentali potrebbero non dipendere dal medico.
La pratica degli avvocati medici dimostra che vincere denaro è più difficile, sebbene tu abbia tutto il diritto di farlo. Per prima cosa, prova nel modo giusto: delicatamente ed educatamente, e lì vedrai.
Benvenuti! Ha curato i sette inferiori, con il metodo del resorcinolo-formalina, il dente è ora morto. Solo un canale è stato pulito fino alla fine, gli altri 2 impraticabili - se non sbaglio, il medico ha detto che erano calcinati, non erano visibili ai raggi X e non c'era modo di passarli. Dimmi, quali sono le conseguenze per il dente con tali canali?
Benvenuti! Le conseguenze possono essere molto diverse, a seconda della qualità della mummificazione stessa e dell'onestà del medico riguardo al verdetto che "i canali sono calcificati". Se la tecnica viene eseguita correttamente con tali canali, il dente rimarrà senza lo sviluppo di un processo infiammatorio sulle radici per più di 10-20 anni. Se si sono verificati errori, il dente può diventare una fonte di infezione cronica: un focus limitato si svilupperà a lungo sulla radice. A volte ora incontro pazienti con denti sottoposti a risorto trattati più di 20 anni fa. La "crescita cistica" non è di moda e non è approvata dai dentisti moderni, anche se i denti nello stato rosa possono resistere fino a quando non vengono rimossi per più di 20 anni.
In generale, questa tecnica è di bilancio, sull'orlo di un fallo, come misura estrema, quando non c'è quasi nulla a portata di mano. Molti dentisti (soprattutto quelli di bilancio) la lodano per la sua efficacia in molti modi. In effetti, un buon risparmio di tempo quando una pasta aggressiva può in un modo o nell'altro gestire i microbi e lo sporco in canali scarsamente o non trattati e trasformarne il contenuto in una "mummia".
Ma in futuro, se hai bisogno di trattare un dente, mettere una corona e ancora di più per rimuoverlo, molte recensioni “lusinghiere” possono essere ascoltate dai medici che otterranno questo dente. Il punto qui non è più nei canali, e nemmeno nel fatto che il dente è riuscito a resistere a una situazione problematica per 20-30 anni, ma nella sua fragilità dovuta alla miscela di resorcinolo-formalina e alla fusione con gli alveoli ossei. Va da sé che ri-preparare i canali per curare la fonte dell'infiammazione alla radice sarà estremamente problematico, sebbene la tecnologia non si fermi. È possibile che dopo qualche tempo, i denti di resorcinolo-formalina cessino di essere un nome familiare per i dentisti. Ma mentre la tecnica stessa è ufficialmente vietata nella maggior parte dei paesi sviluppati del mondo, ad eccezione della Russia e di numerosi altri stati, i sostenitori di tale conservazione dei denti (non di una buona vita).
Grazie per la risposta informativa. Quando ero sulla poltrona del dentista, non riuscivo a pensare a tali conseguenze. Ho tutti i denti vivi e questo è il primo dente morto. Il medico ha detto che non esiste un altro metodo con tali canali (medico in una clinica privata).Ho anche i primi sei non rispondono al freddo e al caldo, anche ai tocchi, ma sotto c'è un sigillo e un dente oscurato. Ho intenzione di curare, ma dopo aver fatto una radiografia due volte, è diventato chiaro che ci sono gli stessi canali impraticabili, che non ci sono affatto. Apparentemente, questo dente dovrà affrontare la stessa sorte con la formalina o ci sono altri metodi per trattare un dente così complesso?
Ciao maria! Esistono, ma non sono di bilancio, più costosi dei metodi convenzionali, in particolare il resorcinolo-formalina. Trattamento dei canali dentali al microscopio + uso di punte e gel ultrasonici (soluzioni) per il passaggio e l'espansione dei canali stretti. Di solito, queste misure consentono di trattare anche un sistema complesso di canali stretti, "eliminare" le aree di calcinazione e sigillare completamente. A volte capita che i canali non siano così stretti e che il medico, a causa della sua poca esperienza nel lavorare con tali canali, farà dei passi in essi e non può più andare per la lunghezza. Quindi anche il microscopio aiuta. Molti esperti consigliano il trattamento dei canali dentali al microscopio, come uno dei modi migliori per uscire dalla situazione. Se fallisce già in questo modo (cosa rara), allora mummificazione. Questa è l'ultima cosa, dal momento che il metodo mummificante è obsoleto e controverso.
Ciao, ho 4 mesi di gravidanza, ieri ho curato un dente, ho messo le otturazioni. Ieri mi sono ammalato un po ', oggi sono tormentato tutto il giorno - quando mangio fa male e quando lo tocco fa anche male. Il medico ha detto che presumibilmente passerà, è normale?
Benvenuti! Sfortunatamente, non conosco tutte le sfumature del trattamento: sono stati trattati i canali o erano solo otturazioni, come con la carie, è stato usato il raffreddamento ad aria-acqua, l'anestesia, ci sono altri sintomi oltre a questi?
Se si coordina il trattamento con il proprio medico, è consigliabile non farsi prendere dal panico, ma guardare il dente in modo dinamico. A causa della mancanza di informazioni, è difficile per me dire esattamente quanto. L'unica giusta direzione in questo monitoraggio è l'importanza di ridurre i sintomi (in diminuzione) e di non aumentare ogni giorno. Se la dinamica è chiaramente allarmante, contattare immediatamente il dentista per la correzione del trattamento. Il resto posso dirlo solo dopo le tue aggiunte in un'occasione clinica.
Buona sera Ho deciso di non andare ancora. E che tipo di "sorpresa" potrebbe essere nel momento più inopportuno? È solo che ora è tutto così bello lì e non fa nemmeno male. Ed è anche scomodo per me, penseranno che sono un cuoco perché ho già chiesto cinque volte su questo quinto dente sia dal medico che stava curando che da quello che ha messo le corone. E credono che nelle immagini tutto sia come dovrebbe. È vero, durante l'installazione delle corone, il medico ha detto che il perno non era molto sicuro in questo quinto dente, ma in qualche modo non ho specificato cosa c'era lì e come, perché in quel momento ero stanco e tutto il tempo ho pensato, come se il resto i denti non si sono completamente staccati e non mi importava. E ora c'è decisamente meglio di quanto non fosse senza corone, sia in sensazioni che esternamente (esternamente, è semplicemente bellezza soprannaturale). Probabilmente aspetterò una "sorpresa". Se vado ora, mi prenderanno per un pazzo. Perché per provare sensazioni sospette in un dente, è necessario muovere la mascella inferiore in modo che colpisca il quinto dente o premere la gomma molto forte.
Ciao Karina! Per "sorpresa" intendevo il processo infiammatorio alla radice, che può verificarsi sullo sfondo di errori o errori nei canali. Se il dentista ti dice che va tutto bene, sono ancora pronto a verificare questo fatto. Tuttavia, non ho il diritto di insistere su nulla: dipende da te. Per quanto riguarda l'eccessivo sospetto, è tuo diritto controllare tutte le fasi del trattamento, che piaccia o no al medico. È bello che tu ti senta meglio. Sono contento di poter almeno aiutare qualcosa. Salute a te!
Ciao dottore! Per favore, spiega questa situazione. Ho trattato 7 il dente in basso a destra, la carie, i nervi non sono stati rimossi, l'anestesia non è stata eseguita. Subito dopo, il sesto dente è stato rimosso nelle vicinanze (ovviamente, con anestesia). È passata quasi una settimana e 7 denti fanno male quando vengono premuti. Ha iniziato ad ammalarsi subito dopo il trattamento, il dolore, a quanto pare, non aumenta, ma non diminuisce, come se. Dimmi, quanto può durare e può essere perché un dente è stato rimosso nelle vicinanze lo stesso giorno? Anche in questo giorno un altro 1 dente è stato trattato sul lato opposto, anche senza anestesia e rimozione del nervo. È normale, nessun problema.
Benvenuti! Quasi sempre, dopo l'estrazione del dente a causa di un trauma alle gengive circostanti, i denti adiacenti rispondono a vari livelli quando mordono. Di solito questo scompare in 2-3 settimane, ma a volte (a seconda della complessità della rimozione) si trascina per 1-1,5 mesi.
Inutile dire che potrebbe esserci una ragione associata a una violazione della formulazione del sigillo stesso. Ciò che stai confrontando con il lato opposto è logico. Senza l'anestesia, il trattamento è spesso più controllato e ci sono molti meno rischi che accada qualcosa di brutto. Anche se a volte ci sono casi in cui la dentina è comunque troppo secca e il riempimento inizia a interagire con i tessuti dei denti in questa vena - con dolori post-riempimento.
Proviamo a ignorare questo pensiero per ora e aspettiamo un'altra settimana. È importante che le tue dinamiche inizino a diminuire, anche se il dolore non scompare immediatamente quando si morde un dente. Questo ci permetterà di pensare alla prospettiva della sua completa scomparsa. Grazie!
Ciao Due mesi fa, il nervo è stato rimosso e i canali sono stati chiusi, il dente ha iniziato a fare male, mi hanno detto post-riempimento, ma faceva comunque male. Hanno fatto una foto, il medico ha detto che tutto andava bene e non riusciva a capire cosa stesse succedendo. Mi hanno aperto di nuovo il dente, messo un improvvisato, ma fa di nuovo male. Il medico ha detto che potrebbe esserci qualcosa di sbagliato vicino al dente. Ma è eccellente e senza sigillo, e sento che è questa persona morta dolorante, lo tocco e capisco che è lui. Non so cosa fare, bevo antidolorifici e capisco che bere ogni giorno è dannoso. Tre giorni dopo, sempre dal medico, mi preoccupo di cosa farà se si perde e se stessa non capisce cosa gli sta succedendo. Ma ho paura di non toccare il bene vivente.
Benvenuti! Descrivi correttamente la situazione: è difficile sia per te che per il medico che è fiducioso nel suo lavoro, ma non capisce la causa del dolore. Sfortunatamente, un caso come il tuo non è raro. Personalmente, ho dovuto trattare molti denti di quei dottori che non possono tecnicamente sigillare adeguatamente i canali del dente, non lavare i canali correttamente, non so che alcuni gruppi di denti hanno spesso canali aggiuntivi, usano materiali aggressivi (allergenici) e li rimuovono erroneamente oltre la radice. Tutto questo e molto più spesso influisce sul benessere del paziente dopo il trattamento canalare. Nel migliore dei casi, si tratta di dolori post-riempimento che possono andare via in 2-3 mesi o non possono andare via. Nel peggiore dei casi, il dolore, il disagio, ecc. Costanti del dente dolorante diventano compagni ogni giorno.
Non conoscendo le capacità del tuo medico (la sua esperienza, il livello di formazione, le attrezzature dell'ufficio, le capacità della consultazione, ecc.), È difficile per me giudicare in che modo il medico parla obiettivamente della tua situazione. Conosco molte storie quando una consultazione con 3-5 dentisti non ha dato un risultato positivo, ma il più delle volte (nel 70-80% dei casi) un altro dentista indipendente ha ancora un "stipite" creato dal precedente medico, o si trova davvero un dente adiacente che richiede un trattamento primario. Di conseguenza, è necessario trovare un medico professionista, un livello superiore rispetto al proprio medico, al fine di avere informazioni accurate. Assicurati di fare delle foto lì per valutare il trattamento del medico in diverse proiezioni e identificare (o non rilevare) errori.Puoi provare 2-3 consultazioni faccia a faccia per raccogliere opinioni e confrontarle. Grazie per la domanda
Ciao Dopo aver riempito il canale del dente anteriore, un mese dopo c'è stata una sensazione spiacevole quando ho premuto il dente. Non passare entro un mese. L'immagine va bene, consultata con un altro medico. La fisioterapia non ha aiutato. Il dolore può scomparire se è allergico al materiale di riempimento? O è l'inizio dell'infiammazione? Ed è necessario ritirarsi? Dolore a un livello. Grazie
Benvenuti! Qui è necessario controllare in modo completo l'immagine del dente e il dente stesso. Spiegherò cosa cercare:
1. Esiste un processo infiammatorio all'apice della radice - in questo caso, potrebbe sorgere dolore;
2. Il materiale di riempimento è stato rimosso nella parte superiore della radice del dente;
3. Quale materiale è stato utilizzato per il riempimento.
Penso che dopo aver analizzato l'immagine con alta probabilità devi ancora ritirare il dente, ma devi escludere qualsiasi ripetizione di errori. Ci sono molte sfumature, vorrei vedere un'immagine del dente: se ce n'è una, puoi inviarla alla posta del sito (vedi la sezione "Feedback").
Dopo aver rimosso il nervo, un riempimento è stato posto sulla parte superiore 6, un'ora dopo ho iniziato a sentire che qualcosa stava interferendo con me all'interno del dente e il dolore doloroso è iniziato. Va bene?
Benvenuti! Dopo aver riempito i canali, c'è spesso dolore doloroso (reazione post-riempimento sullo sfondo di manipolazioni traumatiche nei canali, così come errori durante il riempimento). Di solito questo non porta a conseguenze a lungo termine per la conservazione del dente, ma questo è solo se non ci fossero le seguenti complicazioni durante il trattamento: lasciare un frammento dello strumento nel canale, rimuovere materiale oltre l'apice della radice, creare un canale falso, ostruire il canale e alcuni altri. se ciò è normale o meno dipende dal risultato del trattamento: la "bellezza dell'immagine" e l'esclusione di gravi errori nel trattamento effettuati dal dentista, che la radiografia potrebbe non rilevare. Grazie per la domanda
Dopo un paio di giorni tutto è andato via! Ora non c'è più alcun dolore. Grazie per la risposta
Benvenuti! Ho un problema del genere: rimuovendo l'8-ki, il medico ha demolito metà del 7-ki, un dente sano e vivo. Alla polpa, brillò. Poi me lo hanno sigillato il giorno successivo. I raggi X no. Ora è il terzo giorno di riempimento, il dente è molto dolorante, sia di notte che nel pomeriggio. Non so cosa fare, perché è pericoloso?
Benvenuti! Il medico, rimuovendo il dente del giudizio, commise errori grossolani, affidandosi al settimo dente con uno strumento o causandogli lesioni dirette. Per causare un tale danno a un dente vivente, devi usare una forza tremenda. Di conseguenza, un problema ha dato origine a un altro, ma, ancora una volta, mi sembra, a causa della mancanza di professionalità del dentista.
Dopo aver riempito i canali, il dente non dovrebbe ferire "giorno e notte". Penso che possiamo anche parlare della rimozione di scarsa qualità del dente del giudizio: vale la pena controllare il foro con l'aiuto di un'immagine, allo stesso tempo nell'immagine è possibile analizzare il settimo dente. Inoltre, il tuo compito non è solo quello di trovare un problema con o senza un'immagine (preferibilmente con una conferma dell'immagine), ma, prima di tutto, cercare un dentista competente. C'è la sensazione che tu non sia tra i migliori specialisti.
Buon pomeriggio Una domanda del genere: c'erano dolori al seno sinistro del naso, un senso dell'olfatto e del gusto di una specie di putrefazione. ENT in precedenza (finora senza una TAC dei seni) pone il sospetto di un polipo o una cisti. Ma il punto è che è successo tutto immediatamente dopo il trattamento della pulpite sul dente superiore, proprio sul lato sinistro. Questo potrebbe essere il risultato di un trattamento dentale improprio? E cosa mi consigliate in questa situazione? Grazie in anticipo!
Benvenuti! Per essere più precisi, è importante avere un'istantanea dei canali dei denti trattati. Se tutto è in ordine nella foto del dente, allora questa relazione può essere eliminata. In ogni caso, questa è una situazione rara, penso che la connessione tra il trattamento dei canali e il dolore sinusale potrebbe non essere confermata. Scatta una foto e inviala alla posta del sito (vedi "Feedback"). Dopo l'analisi, puoi trarre alcune conclusioni.
Buon pomeriggio Ho deciso di mettere il sigillo tra i primi quattro, c'era un piccolo buco che io stesso non sentivo - il dottore ha suggerito cosa fare. Prima di questo, il dente non ha mai disturbato o reagito al caldo o al freddo. Di conseguenza, il dentista mi ha perforato tutto il dente, rimosso i nervi e sigillato i due canali, messo un sigillo temporaneo. Ha detto di venire tra una settimana e che potrebbe far male per diversi giorni. Immediatamente dopo il trattamento, è apparso un forte dolore, ora il secondo giorno - il dolore non scompare, la testa e l'intera metà destra del viso fanno male, non riesco a dormire, il piccolo bernoccolo è apparso sulla gengiva (non è doloroso toccare l'urto). A cosa potrebbe essere collegato? Il marito dice che gli antibiotici sono urgentemente necessari.
Benvenuti! Che dire delle tue possibili affermazioni che hai perforato l'intero dente: sono sicuro che il dentista non ha lasciato tessuto cariato nemmeno all'interno del bordo con la polpa ("nervo"), ha pulito le pareti interne del dente e, di conseguenza, ha dovuto rimuovere i "nervi" da due canali 4 del dente. Per quanto riguarda il forte dolore dopo il trattamento dei canali, che non viene interrotto dagli analgesici ed è persino accompagnato da un "bernoccolo" sulle gengive, posso dire che la qualità del trattamento del canale è stata probabilmente influenzata qui. Senza un'immagine del dente, è difficile valutare quanto tutto sia serio. Inoltre, è possibile una reazione allergica al materiale di riempimento rimosso all'esterno della radice. In generale, la ricerca di un possibile errore nelle fasi del trattamento (se il dolore non si attenua) dovrebbe iniziare con un'immagine del dente.
Ciao, il dente ha fatto molto male per 2 giorni, sono andato in ospedale, ho messo un sigillo permanente. Il dolore non passa, è impossibile resistere, cosa dovrei fare?
Benvenuti! Contattare urgentemente lo stesso o un altro specialista per la diagnosi e la correzione del trattamento. Secondo i tuoi dati, puoi assumere qualsiasi cosa: o è stato posto un sigillo all'inizio della pulpite, quando i canali dovrebbero essere trattati per primi, o è un dolore post-riempimento quando la tecnica di riempimento del riempimento è rotta (la dentina viene asciugata, il tempo di incisione dello smalto aumenta quando si posiziona un sigillo leggero, il debonding, ecc. .d.).
Ancora una volta, forse hai ancora ricevuto un trattamento per i canali, dal momento che "il dente ha ferito terribilmente per due giorni", ma non mi stai scrivendo su questo? Quindi le ragioni possono essere ancora più diverse. Le descrizioni dettagliate potrebbero darmi più opportunità per la diagnostica preliminare, ma per ora - affrettati dal dottore per un aiuto tempestivo!
Ciao, due grandi otturazioni caddero sul fondo sei e sette. Hanno fatto delle foto e si è deciso di rimuovere i nervi. Hanno rimosso il nervo sui sette e posato la medicina sui sette. Sei il giorno successivo cominciò a rispondere a più caldo, due giorni dopo venne a trattare i sei, una radiografia mostrò che 4 radici e una curva, a 45 gradi. Durante il trattamento, si è scoperto che era questa radice curva che era ancora viva; c'era dolore quando è stata rimossa. Sono trascorsi tre giorni e il dente reagisce al più caldo, il dolore è lo stesso nelle sensazioni di quando si posa la medicina in esso.
Secondo te, questi sintomi non possono derivare dalla fine del nervo rimosso e dovrei correre urgentemente in ospedale?
Benvenuti! Una reazione al caldo è spesso un sintomo di parodontite. Penso che tecnicamente ci possano essere difficoltà nel trattamento di un dente a 4 canali, specialmente con un canale curvo.Ciò può essere rilevato dall'immagine, ma condizionatamente: l'immagine avrà un canale non sigillato e il fatto del processo di infezione si manifesterà per il futuro (dopo 5-12 mesi), quando si verifica una frattura ossea intorno alla radice. Un medico, entrando in un canale scarsamente passato, può capire che sono determinati più vicino all'apice dell'essudato radicale e un odore sgradevole putrefattivo.
Correre in ospedale ora è, almeno, per capire cosa non va (diagnosi), e quindi diventerà chiaro quanto sia grave tutto e come trattarlo.
Finisci il dente, tratta i canali, riempili e controlla l'immagine. Se lo desideri, invia un'istantanea per l'analisi (alla posta del sito). Grazie
Buon pomeriggio Ho la parodontite a 7 denti. I nervi sono stati rimossi, per la prima volta hanno messo un riempimento temporaneo per 10 giorni con la medicina. Durante questo periodo, sono stato spazzato via e un dente si è ammalato, dopo che si è riscaldato - tutto è passato. Alla reception, il medico ha detto che la radice del dente era infiammata e ha nuovamente messo un riempimento temporaneo per 13 giorni. Prima di andare dal dottore, il giorno 12, il mio dente ha iniziato a farmi male (a volte non c'è dolore, quindi "farà male" di tanto in tanto). Alla reception ha raccontato tutto al dottore. Mi ha sigillato i canali e ha fatto una foto. Ha detto che il dente farà un po 'male, che c'è una piccola infezione, è probabile che il corpo ce la farà e il dente servirà a lungo. Dimmi, per favore, quanto farà male al dente? Come può aiutare il corpo a combattere questa infezione? E se non smettessi di ammalarti, dopo che ora dovresti vedere un medico?
Benvenuti! Le opzioni di trattamento per la parodontite sono attualmente ampie: esistono metodi chirurgici conservativi e conservativi. Il medico ha scelto un'opzione conservativa. Sono sicuro che le sue tattiche dovrebbero essere benefiche, e per quanto riguarda le raccomandazioni (antibiotici, sulfamidici, antistaminici, risciacqui, ecc.) - Questo è deciso solo dal medico curante, individualmente. Se lo desideri, puoi fornire un'immagine (tramite la posta del sito): analizzerò e commenterò il lavoro del dentista nei canali.
Per quanto riguarda il dolore, non dovrebbero essere molto forti e la loro intensità dovrebbe diminuire ogni giorno. Se entro una settimana non si verifica tale dinamica, è utile consultare nuovamente un medico.
Buon pomeriggio Parodontite dei primi 6. Il dottore rimosse i nervi, pulì i canali, mise la medicina e mise un sigillo temporaneo. Una settimana dopo, rimosso il sigillo, sigillato i canali (secondo la mia opinione, anche saldato con qualcosa di caldo) e applicato nuovamente un sigillo temporaneo, ma da un altro materiale più morbido (fatiscente). Ha detto che aveva ancora bisogno di camminare per una settimana e quindi senza anestesia sarebbe stato necessario mettere il sigillo principale. Il fatto è che al momento il dente fa un po 'male e c'è dolore quando viene premuto su di esso.
C'è anche il problema che l'ultimo riempimento temporaneo è stato posto non solo su un dente cattivo, ma ha anche colto un divario sano, così come (sospetto) tra di loro. A questo proposito, c'è una terribile tenuta di altri denti, fino alla parte anteriore, come se tutti e 8 i denti fossero premuti fortemente l'uno contro l'altro. Il medico afferma che questo è normale e deve essere scomodo per una settimana. Ma già il primo giorno sento come tutti questi denti "battono con un battito". Dovrebbe essere così nella realtà?
Grazie per la tua risposta
Benvenuti! Una medicazione temporanea posizionata sulla gomma è dannosa se ciò non accade quando la "caserma temporanea" è anche un agente terapeutico in combinazione (messo sulla gomma). In linea di principio, anche in questo caso, i tuoi reclami sono sufficienti per rimuovere un pezzo di riempimento temporaneo che trattiene la papilla gengivale. Questo è il motivo per cui propongo di iniziare eliminando (dal medico) il divario tra i denti in modo che la gomma si senta a proprio agio.
Se invii un'immagine del dente alla posta del sito, forse potrei commentare la situazione riguardo al dolore quando mordo.Sono quasi sicuro che ci sia una leggera rimozione del materiale oltre l'apice della radice del dente. Grazie per la domanda
Benvenuti! Qualche mese fa si è rivolta all'odontoiatria privata, il medico mi ha fatto un paio di otturazioni con una differenza di un mese (pezzi 6). Quando furono posizionati i sigilli, non fu detto nulla sui canali. So solo che la carie spesso si è rivelata più profonda di quanto il dottore si aspettasse. Una settimana dopo aver installato le ultime otturazioni (6 e 7 denti in basso a sinistra, a quanto ho capito) - hanno iniziato a rispondere al freddo e al caldo. È diventato doloroso masticare. Improvvisamente, i dolori sono stati aggiunti d'altra parte - 6, 7 in basso a destra (ci sono anche nuovi otturazioni). Di conseguenza, non ho potuto mordere forte. Dopo essere andato dal dottore, ho scoperto che mi fa male quando gli strumenti dentali vengono graffiati dai denti (mi dispiace, non so come spiegarlo correttamente). Il dottore mi ha suggerito di aver limato eccessivamente i denti e ho problemi con la dentina. Li vide un po 'e mise delle piccole otturazioni direttamente sopra quelle già fissate in precedenza. È stato molto doloroso, anche se sembrava che fosse stata praticata solo la superficie del dente. Ma i dolori non sono scomparsi dopo una settimana e da un lato si sono persino intensificati.
Sono andato nella stessa clinica da un altro medico, in garanzia. Ha completamente sostituito le otturazioni su 6 e 7 denti in basso a destra. Ancora una volta, quando la perforazione è stata molto dolorosa (ma non quando perforata dall'alto). D'altra parte, il medico non ha iniziato a cambiare le otturazioni, poiché ha detto che ha dovuto aspettare fino a quando il dolore è andato via dove ha sostituito completamente le otturazioni. Ma non se ne andò completamente (passò una settimana). È diventato molto meglio, ma ci sono disagi durante la masticazione. Se qualcosa di piccolo e difficile da mordere i denti - un forte dolore. Inoltre, di recente, quando mi mordo, ho sentito dolore al dente superiore, dove c'è un riempimento dal primo medico (dato che prima dovevo masticare solo con i denti anteriori, penso che il dolore potesse essersi manifestato lì per molto tempo).
Ciò che il secondo medico consiglia è di assomigliare alle procedure laser per ridurre la sensibilità dei denti. Dimmi, per favore, ha senso? O hai bisogno di correre da altri medici e ripetere tutte le otturazioni?
Entrambi i medici hanno fatto la radiografia, hanno detto che tutto era in ordine su di esso. L'EDI nella nostra città non è fatto, ma posso andare da quello vicino, ci vado spesso. Ora il dolore è tollerabile, è piuttosto una sensazione spiacevole durante la masticazione, ma temo che alla fine possa portare a tristi conseguenze. Le sarei molto grato per il tuo consiglio.
Benvenuti! Penso che la direzione dei tuoi pensieri sia corretta: vale la pena fare EDI dei denti trattati per chiarire le condizioni della polpa. Se i denti, ad esempio, sono stati surriscaldati durante il trattamento della carie profonda, il dispositivo mostrerà la pulpite e il trattamento dovrebbe già essere eseguito come complicazione della carie. A volte capita che dopo errori nel trattamento il dente non ferisca gravemente, ma poi tutto senza intoppi, nel giro di settimane o mesi, sfocia in parodontite - infiammazione alla radice del dente. Non vorrei che tu tirassi con una diagnosi così importante. Ciò è particolarmente importante perché hanno trattato la carie profonda con un gran numero di denti. Ora è difficile capire senza EDI che cosa cominciare per non rompere la legna da ardere.
In linea di principio, se il dispositivo mostra lo stato normale per tutti i denti che sono stati trattati, allora vale la pena concentrarsi sulla sostituzione di otturazioni, poiché la sensibilità post-riempimento è spesso il risultato di una violazione della tecnica di lavorazione dei compositi fotopolimerizzabili. Un certo numero di esperti medici afferma che, con tale sensibilità individuale, ma con la piena aderenza ai protocolli di trattamento, ci si dovrebbe aspettare un passaggio indipendente del dolore non più di 7-14 giorni. Le opinioni su questo tema sono diverse: i dolori quando si morde possono effettivamente scomparire da soli e le dinamiche sono tali che ogni settimana diventa sempre più comodo masticare. Ma a condizione che non abbiano “toccato” la polpa durante il trattamento.
In conclusione: poiché è passato molto tempo, consiglio di controllare la polpa sui denti trattati con l'aiuto dell'EDI, e quindi pianificare il ritrattamento di un dente.
Benvenuti! La corona è stata rimossa dal 25 ° dente ed è stato installato un inserto metallico, dopo di che una sensazione di pienezza e sensazione di bruciore appare periodicamente nella gomma. Nell'immagine: i canali sono chiusi fino alla fine, hanno solo suggerito che forse la linguetta è troppo grande per questo dente. Nel sesto dente, la linguetta si trova anche sulla gengiva inferiore, ma non dà fastidio. Il medico insiste per mettere le corone. Dimmi cosa devo fare? Temo che nulla cambierà.
Benvenuti! È necessaria un'istantanea del dente trattato per analizzare i possibili errori del medico (è possibile inviarlo per posta o fornire un collegamento). Non faccio affidamento sulle opinioni dei medici che hanno eseguito il trattamento e controllo sempre. Solo eliminando possibili errori nel trattamento dei canali, sarà possibile pensare al problema direttamente con la linguetta nel dente. Sono sicuro che la ragione esatta dovrebbe essere stabilita prima della corona e una correzione dovrebbe essere fatta, poiché altrimenti tutto potrebbe peggiorare con la corona.
Ciao Un mese fa, sono stato trattato con 5 denti in alto a sinistra e 6 in basso a sinistra, mentre il dente successivo ha iniziato a far male. Reagito al freddo / caldo e al morso. Ora guarisce gradualmente, il dolore è sempre più debole. Posso masticare, ma ancora difficile. È normale?
2 settimane dopo il trattamento, sono andato per un secondo appuntamento per curare il 6. inferiore. Sono stato di nuovo malato il giorno successivo, reagendo allo stesso modo. Ma fa male nell'area vicino al riempimento, lungo i bordi, il dolore non va da nessuna parte con il tempo, reagisce fortemente al freddo e alla pressione. Prima del trattamento, un pezzo di riempimento si è rotto lì, il dente faceva molto male e non riusciva a masticare. E ora è nel punto in cui il frammento si è rotto, e ora fa male. Cosa fare al riguardo? Questo potrebbe passare e guarire nel tempo?
Benvenuti! Ha senso aspettare un po ', osservando le dinamiche. Se il medico non ha commesso gravi errori durante il trattamento della carie, il dolore scompare in circa 2 settimane. Possiamo parlare della sensibilità post-riempimento solo quando il dolore non si intensifica nel tempo e altri sintomi non si uniscono (dolore acuto, spontaneo, ecc.). Quindi rispondo alla tua domanda in modo più specifico: il dolore può scomparire da solo se il medico non ha commesso gravi errori durante il trattamento (non ha surriscaldato il dente, non ha aperto la camera della polpa, ecc.).
Le date sono puramente individuali. Alcuni esperti ritengono che puoi aspettare un mese prima del completamento completo della sensibilità post-riempimento (dolore quando "morde"), anche se di solito ci vogliono due settimane. Per quanto riguarda la reazione al freddo: questo può essere il risultato della macinazione dello smalto. Se non fosse critico, allora questa reazione sarebbe anche temporanea, ma con un intervento più grave e grave nel tessuto smaltato, il problema potrebbe non scomparire affatto fino a quando il sigillo "copre" quest'area della struttura dentale esposta.
Buon pomeriggio, posso fare una domanda? Sono incinta, 20 settimane. Denti terribilmente malati, andò dal dottore, rimosse i nervi, pulì dalla carie, mise otturazioni temporanee nei canali e nella parte superiore del dente. Ha smesso, ha detto di venire tra un paio di giorni. Sono andato da un altro medico, ha riempito un dente con un riempimento permanente, e ha lasciato il secondo - ha detto di aspettare ancora un po ', poiché era malato quando premuto. Se non passa, quindi pulire i canali. Quindi la domanda è: ho trovato il numero di quel dottore, mi ha detto che ha inserito delle otturazioni temporanee nei miei canali e le ho già riempite con un sigillo leggero, cosa devo fare? Per rimuovere, pulire i canali e mettere permanenti nei canali, o così camminare? Questo dente non fa male. Quali potrebbero essere le conseguenze di indossare otturazioni temporanee nel canale?
Benvenuti! Solo conseguenze negative: questo è dovuto al fatto che il dente non deve rimanere con canali vuoti - non trattato.È necessario controllare: qual è stato l'effetto (e se lo fosse) nei canali di entrambi i denti. Non è consigliabile scattare foto: i medici conservano le cartelle cliniche e le registrazioni consentono di ripristinare l'immagine di ciò che sta accadendo un giorno fa, un mese, un anno, 5 anni, ecc. Se il medico non ha conservato la scheda o ha scritto qualcosa di sbagliato, ciò complicherà la situazione: non è possibile scattare una foto, le schede non sono documentate, nessuno sa esattamente quali siano i canali ed è persino difficile dire se uno dei denti nei canali è trattato esattamente ?
Per quanto riguarda le conseguenze: se i canali non vengono trattati, dopo un certo periodo il dente reagirà nella migliore delle ipotesi quando si "morde", nella peggiore delle ipotesi si verificherà una esacerbazione della parodontite cronica.
Ciao 2 anni fa ho trattato un dente inferiore laterale (hanno estratto un nervo, chiuso il canale e messo un sigillo). Un paio di giorni fa ho iniziato a sentirmi molto male per la pressione e le gengive mi facevano male. Nelle vicinanze c'è un dente del giudizio malato - questo dolore può dare da un dente del giudizio a un dente morto?
Benvenuti! Forse. Vale la pena controllare entrambi i denti per la presenza di un processo infiammatorio alla radice (o potrebbe essere una questione di eruzione difficile di un dente del giudizio o polpa di esso - non è del tutto chiaro cosa avevi in mente quando si parla di un dente del giudizio "malato"). Dopo l'esame, il medico emetterà un verdetto e determinerà la causa esatta del dolore. È difficile dire qualcos'altro in base alle informazioni fornite, l'unica è che per chiarimenti, potrebbe essere necessario un quadro delle radici nell'area di un dente precedentemente trattato (a volte l'infiammazione si sviluppa sulle radici dei denti endodonticamente maltrattati). Buon trattamento!
Buona giornata! Un anno fa sono stato trattato con 3 denti (23 - zanna, 24 e 25). 24 e 25 con spille, e il canino è solo carie, anche i canali non sono stati toccati. Prima del nuovo anno, divenne doloroso premere la zanna e apparve un'increspatura. Nel nuovo anno, l'ondulazione si è intensificata così tanto che non ho dormito tutta la notte. Era impossibile ferire il dente. Dopo un paio di giorni, il dolore è completamente scomparso. Oggi pulsa di nuovo e leggermente dolorante. Fa male spingere. Cosa potrebbe essere? Non posso ancora andare dal dottore, non ho nessuno con cui lasciare il bambino. Grazie in anticipo per la tua risposta!
Benvenuti! È più probabile che tu abbia una delle forme di parodontite sorte tra errori nel trattamento o nella diagnosi. Forse il medico non ha notato l'inizio della pulpite o, per qualche motivo, ha condotto in modo errato il trattamento. È importante iniziare il trattamento del canale per preservare il dente. Le zanne, come i denti a canale singolo con un ampio canale, rispondono bene alla terapia anche con forme complesse di parodontite. Sbrigati, altrimenti questa forma si trasforma spesso in periostite ("flusso").
Ciao Più di 10 anni fa, resecarono le radici del 6-ka (in alto a sinistra). Immediatamente si formò una fistola, e visse con lui tutto questo tempo. 2 mesi fa un dente si è ammalato, le otturazioni sono state aperte, i canali sono stati puliti. Trattarono i canali per due mesi, posarono la medicina tre volte. Il dente non lo sopportava; le pareti dei denti erano rotte. Ieri i canali sono stati sigillati e inviati a mettere una corona, poiché il dente è stato distrutto. In conclusione: oggi il dente ha iniziato a far male e una fistola è riapparsa.
Benvenuti! L'aspetto di una fistola è una tendenza negativa, poiché è considerata un'esacerbazione di un processo infiammatorio purulento. È generalmente impossibile eseguire protesi (posizionare una corona) in una situazione del genere - non ha senso bloccare un dente deliberatamente "purulento". A giudicare dalla tua descrizione, questo dente non può essere salvato. Se tutto ciò che hai scritto è vero e ha eseguito una resezione delle radici di un dente così complesso, allora tutto si avvicina alla rimozione. L'ultima parola, ovviamente, è con il medico curante.
In nessun caso non sostituire un dente non trattato. Grazie per la domanda
Buon pomeriggio Dimmi, per favore, ho iniziato a trattare i cinque seguenti, era sotto un sigillo ed è stato doloroso masticarlo. Il dottore aprì, pulì e mise un sigillo temporaneo.La masticazione è diventata ancora più dolorosa. Sono venuto di nuovo Lo aprirono, il nervo fu rimosso, i canali furono puliti e sigillati. Ancora una volta, un set temporaneo. E ancora fa male fare pressione sul dente, non riesco a mangiare da questa parte. Dopo 3 giorni vado alla reception. Ma ho già paura - fallirà davvero? La foto è stata scattata, tutto andava bene, ha detto il medico.
Benvenuti! Dopo il trattamento del canale, il dente può rispondere quando morde per una media di 2-7 giorni. Dipende da quale materiale è stato impostato, da quanto traumaticamente il canale è stato trattato con strumenti e medicine e anche se ci sono stati errori nel riempimento. Durante la rimozione di materiale oltre l'apice della radice si verifica un dolore prolungato grave. Questa, in realtà, è una complicazione, ma in realtà molti di questi denti sono stati in piedi in sicurezza per anni senza conseguenze, anche se è scomodo da masticare nella fase di trattamento e dopo (fino a un mese o più). Pertanto, credo che l'opzione ideale sia quella di trattare un dente secondo il protocollo, senza fanatismo.
Bene, nel tuo caso: sarebbe bello esaminare la causa dei dolori post-riempimento - è possibile che non tutto sia così spaventoso (se lo desideri, puoi inviare una foto alla posta del sito, commenterò).
Benvenuti! Mi faceva male il dente inferiore (carie profonde), sono andato dal dottore, mi ha messo l'arsenico. Il giorno dopo, è venuta, ha iniziato a pulire - fa male, il medico ha detto che il nervo non era completamente morto, l'arsenico era di nuovo necessario. E così tre volte, sempre più in profondità, mi ha messo questo arsenico. Nel terminal mi ha rimosso tutti i nervi, pulito tutto e messo un sigillo permanente. MA dopo un riempimento permanente non riesco a toccare il dente, mangio solo dall'altra parte. Non c'è dolore finché non fai clic su questo dente. Ho contattato il medico, lei dice che è normale - è presumibilmente che il sigillo si insedi nei canali e quindi fa male quando morde ... Ha detto che passerà nel tempo! Ma dopo aver letto i commenti sopra che ogni giorno il dolore dovrebbe attenuarsi, posso dire che non si attenua in me, ma fa ancora più male non appena questo dente con un sigillo viene toccato. Il lato destro della mascella fa già male, mi fa persino male toccare il viso (guance) sul lato destro! Già nell'orecchio dà. Dimmi che passerà? O hai ancora bisogno di vedere di nuovo un dottore? Non ho la forza di sopportare!
Benvenuti! Il fatto che ci siano stati tali problemi con l'anestesia (non analizzeremo quanto fosse colpevole la colpa del dentista) può indicare che la qualità del trattamento per i canali era probabilmente lontana dal livello più alto. Il momento più obiettivo della diagnosi nel tuo caso clinico potrebbe essere la foto di un dente con canali trattati. Se c'è qualcosa di sospetto nella foto, ti dirò "da dove crescono le gambe". Nel caso in cui l'immagine non mostri errori nel trattamento, ovvero la probabilità della presenza di un canale aggiuntivo non presente nel dente o la posa di canali nella radice mediale. Finora, la foto che può essere scattata in qualsiasi clinica o ospedale in cui è presente una macchina a raggi X dentale è importante. Un rinvio per una diagnosi gratuita dovrebbe essere preso da qualsiasi dentista nel luogo di attaccamento della vostra politica, in casi estremi, dal dentista presente (questo non è vietato). Le cliniche private ti daranno volentieri una radiografia del dente, ma a pagamento. Puoi inviare la foto tramite la posta del sito (indicata nella sezione "Feedback"): commenterò più dettagliatamente. Nel frattempo, solo ipotesi: i canali non sono stati trovati, i canali non sono stati passati, i canali non sono stati sigillati o eccessivamente sigillati, perforazione della parete del dente, ustioni chimiche del parodonto, creazione di un falso canale, ecc.
Se il dentista non ha "peccato" criticamente nei canali, il dolore dovrebbe scomparire da solo. A giudicare dai tuoi dati soggettivi, non sembra che le dinamiche siano positive. In linea di principio, puoi andare dal medico che ha fornito nuovamente il trattamento, ma ho il sospetto che sarà difficile per lui lavorare con te per qualche motivo, e non sono sicuro che sarà in grado di salvare la situazione, anche se tutto è possibile.
Ciao, sono stato curato per la pulpite sul sesto dente dal basso una settimana fa. All'inizio, il dottore pensò che ci fosse una profonda carie, poi trovò ancora la pulite (anche se il dente non mi aveva fatto male prima e non mi ha disturbato). Prima hanno messo "arsenico" per 2 giorni, poi hanno cancellato 3 canali, hanno fatto una foto, sigillato i canali, messo un perno e messo un sigillo leggero. Da allora, il dente fa un po 'male quando morde, ma sembra che faccia male solo da un lato! Quando provo a masticarlo, c'è un dolore doloroso e una sensazione di pienezza nel dente, come se il dente stesse premendo sulla gomma da questo lato. Quando i denti superiori vengono premuti per abbassare i denti, questo dolore e questa pressione rispondono durante la masticazione. Il dolore non è forte, ma questa sensazione di scoppio è strana.
Benvenuti! Considerando che il lavoro sul riempimento dei canali dentali e sulla creazione di un riempimento permanente non è stato svolto in un giorno, possiamo assumere dolori post-riempimento sullo sfondo di errori gravi (o meno) nel trattamento dei canali, come:
1. Rimozione eccessiva del materiale di riempimento nella parte superiore della radice del dente;
2. Passaggio traumatico (espansione) dei canali con strumenti endodontici;
3. Creazione di un falso canale nel dente;
4. Il passaggio dei canali lungo la "curvatura" anatomica;
5. Lancio di segatura infetta (trucioli) oltre l'apice della radice;
6. Strumento rotto nel canale;
7. Bruciore parodontale con trattamento medico a getto grezzo di canali.
O altri: come puoi vedere, ci possono essere molte opzioni.
Gli stessi dolori post-riempimento (quando si mordono un dente) possono essere il risultato di numerosi piccoli difetti ed errori, nonché di una grave violazione. Qualcosa di più definito può essere detto solo dopo uno studio approfondito della foto del dente. Se ne hai uno, puoi inviarlo alla posta del sito, commenterò.
Una cosa che posso dire con certezza: anche con gravi errori del dentista durante il trattamento dei canali, i dolori post-riempimento possono andare via da 3-5 giorni a 3-6 mesi. Ma la gravità di questi errori influenzerà direttamente la prospettiva dell'esistenza di un dente (fino a una possibile estrazione del dente entro 2-3 anni).
Buona sera Mio marito ha avuto un dente pieno, prima è andato con arsenico per una settimana, poi tutti i canali sono stati riempiti, è stata presa una radiografia - il medico ha detto che tutto era in ordine. Ma ha tali dolori che dà al tempio e alla testa, alle lacrime, in generale, non vuole vivere. Sono passati 2 giorni, ma il dolore non si ferma. Cosa potrebbe essere? E cosa puoi bere da questo? Non può vivere senza Ketorol. Grazie
Benvenuti! Penso che per una settimana tuo marito abbia usato una pasta non all'arsenico, ma queste sono le sfumature. Se non ha avuto un miglioramento nella fase di trattamento, non si dovrebbe escludere la possibilità che il medico possa erroneamente mettere la pasta in un altro dente cariato dalla carie e non quello che ha causato dolore acuto. Se dopo aver impostato la pasta c'è stato un miglioramento (anche per un po '), quindi l'intensificazione del dolore dopo aver riempito i canali può indicare gravi errori nelle fasi del trattamento endodontico. Qui, potrebbe esserci una rimozione di una grande quantità di materiale oltre l'apice della radice e un passaggio del canale, una rottura dell'utensile nel canale e una perforazione della parete del dente, ecc. Ci sono molte opzioni
Se c'è una foto di un dente, puoi inviarla alla posta del sito, commenterò più in dettaglio. Ma è meglio non perdere tempo: corri da un medico per un appuntamento di persona (a un altro, non a quello che stava trattando) per trovare la vera causa del problema e riprenderne immediatamente l'eliminazione.
Benvenuti! Oggi, il dentista ha messo un riempimento permanente, tutto va bene, il dente non fa male, ma è tornata a casa e ha visto un sollievo sul dente, si sente abbastanza fortemente. Si prega di avvisare quale potrebbe essere il problema? Smalto cattivo? E cosa fare in questo caso?
Ho dimenticato di chiarire il rilievo sulla parete esterna del dente.
Benvenuti! Penso che il dentista abbia lucidato e lucidato male le scanalature e le fosse che ha modellato nel processo di riempimento del dente. In generale, non a tutti i pazienti piace la forma con scanalature: sembra, forse, bella, ma il linguaggio è insolito. Il problema è talvolta risolto dalla perfetta lucidatura con teste, dischi o riduzioni speciali, specialmente su molari di grandi dimensioni, dove, in linea di principio, queste "arti" non svolgono un ruolo importante. Quindi puoi rivolgerti allo stesso dentista e provare a trovare un compromesso: lucidatura perfetta o riduzione del sollievo - tutto secondo il tuo desiderio, dal momento che, in linea di principio, richiede 5-7 minuti.
Buon pomeriggio Circa due anni fa, i nervi mi furono rimossi in basso a sinistra. Le foto sono state scattate, a quanto pare, va tutto bene. Un anno fa mi sono ammalato i denti. Sono andato dal dottore, ho fatto delle foto, dicono che non c'è niente lì. Ora sono di nuovo malati. Tre giorni già feriti. Quando mangiano, reagiscono al caldo-freddo. Cosa potrebbe essere?
Post scriptum Adesso incinta.
Benvenuti! Con una precisione del 100%, i denti freddi non rispondono ai denti freddi (senza "nervo"), il che significa che dovrai cercare i denti problematici adiacenti ai denti trattati. Se hai una reazione solo al freddo e al caldo, il medico dovrà cercare il luogo di distruzione del dente "vivente". Questo è fatto semplicemente: un flusso d'acqua viene fornito all'area in cui si verifica il dolore approssimativamente. Se reagisci, viene selezionato il dente in cui il nervo non è stato rimosso, guarda in quale posto ha una cavità cariata. Se dopo tale diagnosi ci sono ancora dubbi, in teoria una foto è di aiuto, ma non è consigliabile scattare di nuovo foto. A un visiografo in un secondo momento è possibile, ma non tutti i medici sono risolti, temendo successivamente (nel qual caso) accuse contro di loro, non importa che siano privi di fondamento.
Se avverti dolore spontaneo, acuto, notturno e tutta quella roba, allora c'è un'opzione per provare la diagnosi di EDI nella clinica in cui viene utilizzato. Ora nelle cliniche possono esserci localizzatori elettronici di apici, senza i quali è impossibile un adeguato lavoro del dentista, con EDI incorporato. L'EDI (elettroodontodiagnosi) mostrerà in quale dente inizia l'infezione - senza l'uso di una radiografia, che è controindicata per te.
Quindi, rispondendo alla tua ultima domanda: può essere la carie o la pulpite. In un caso estremo, un dente "morto" dal numero di quelli trattati (senza un "nervo") reagisce a uno caldo, ma è sicuramente "vivo" con una carie o una pulpite a uno freddo.
Ciao C'è stata una grande carie, hanno detto che sarebbero stati rimossi. È tornato dopo 3 mesi, hanno detto che puoi provare a curare. L'arsenico fu consegnato, passarono 2 settimane. Sono andato dal dottore - ho detto che c'è pus e sanguinamenti, rimetto l'arsenico. Passò una settimana, poi dissero che era pulito, il dente era pieno. Tutto andava bene, ma dopo 3 giorni iniziò un dolore lancinante. Fa male giorno e notte, a volte si ferma, ma dopo un'ora di nuovo. Le gengive sono gonfie. Dura 3 giorni. Che sta succedendo? Non capisco.
Benvenuti! A giudicare dalla tua descrizione, la tattica del dentista difficilmente può essere definita corretta: in primo luogo, l'arsenico non è attualmente utilizzato a causa dei suoi effetti dannosi. In secondo luogo, nel processo purulento non mettono mai pasta di arsenico, poiché questo non è solo inutile, ma anche estremamente pericoloso: viene sigillata un'infezione attiva con un potente farmaco. È a causa del trattamento sbagliato che molto probabilmente hai un'esacerbazione della parodontite purulenta. Consiglio di consultare un altro medico (o urgentemente a un chirurgo per rimuovere il dente).
È possibile che il medico curante si sia impegnato a trattare un dente deliberatamente poco promettente, oppure potrebbe rovinare un dente difficile, ma completamente conservato. Comunque sia, tutto è andato storto come vorremmo e devono essere prese misure urgenti.
Buon pomeriggioDimmi, per favore, ho iniziato a trattare i sei in alto, il dottore ha trovato solo 2 canali - dice che questo è raro. Pertanto, sono stati sigillati solo 2 canali e posto un sigillo temporaneo, ha detto che se c'è una reazione al freddo o al caldo, allora c'è un altro canale. Sono trascorsi 4 giorni, il dente non risponde al freddo e al caldo, ma fa solo male da qualsiasi tocco. Mi è stato detto che questo è un dolore post-riempimento. L'assenza di dolore al freddo può garantire che ci siano solo due canali o può comparire dopo il riempimento?
Benvenuti! L'assenza di dolore al freddo non può garantire che esistessero ancora 2 canali, poiché la parte coronale della polpa è danneggiata e quando una parte del "nervo" viene lasciata nel canale non trovata, inizia a morire, cessando di dare una reazione al freddo. Dopo aver rimosso la polpa dalla parte coronale, il dente cessa già di essere "vivo" (con rare eccezioni, quando questa fase fa parte di un raro metodo di preservazione o conservazione della polpa). Un dente può reagire al caldo lasciando la polpa nel canale, poiché la polpa inizia a morire e si gonfia e il calore intensifica il gonfiore con le sensazioni corrispondenti (ma potrebbe non esserci una reazione al caldo - tutto è individuale).
Il dolore quando si tocca il dente sembra davvero una reazione post-riempimento. La gravità di questa complicazione dipende da dove esattamente il dottore ha sbagliato. Se il trattamento dei canali è traumatico o il materiale esterno alla radice viene leggermente rimosso, ciò potrebbe non influenzare affatto la prospettiva di preservare il dente, ma con gravi errori (un canale non identificato, uno strumento rotto nel canale, perforazione della parete, ecc.) C'è il rischio di perdere il dente in venire presto è fantastico.
Dato che stiamo parlando del sesto dente, noto che secondo le statistiche moderne, in oltre l'80% dei casi nel sesto dente ci sono quattro canali e un po 'meno spesso - tre. Raramente si imbatte in cinque canali. Inoltre, non stiamo parlando di rami, che possono essere 15-20 pezzi e che sono al trattamento dei canali dei denti al microscopio. Quindi, temo che il medico quasi certamente non abbia trovato tutti i canali (è possibile che ci siano anche 2, non 1, canali non trovati).
Quindi, rispondendo alla tua ultima domanda: la mancanza di reazione al freddo non garantisce che il medico non abbia commesso errori durante il trattamento endodontico del dente. Se possibile, quindi contattare un altro dentista (se si dispone dei mezzi, andare dove i canali sono trattati al microscopio).
Benvenuti! Dimmelo, per favore. Recentemente trattato un dente. Diagnosi di pulpite. Rimosso il nervo. Sealed. Ma solo una settimana dopo ha iniziato a piagnucolare, pulsare e ferire quando premuto. Non risponde al freddo. Cosa mi consigliate? Grazie
Benvenuti! Consiglierò quanto segue: fare una foto o immagini di un dente in diverse proiezioni, in modo che il trattamento possa essere visto e consultare un dentista (preferibilmente un altro). Oppure invia un'istantanea alla posta del sito e la commenterò in una lettera di risposta.
Nel frattempo, assumerò due opzioni:
1. Dente trattato in modo errato (canali non passati, canale non trovato, perforazione, uscita del materiale oltre l'apice, ecc.);
2. Il dente è definito in modo errato (è stato trattato un dente sbagliato, o c'è ancora un dente che ha appena iniziato a ferire).
In linea di principio, il chiarimento della causa principale è estremamente importante, poiché ciò determinerà il trattamento successivo. Penso che con una probabilità superiore all'80% stiamo parlando di un dente trattato in modo errato.
Benvenuti! Il mio dente anteriore è stato guarito, si è rotto: 4 canali, i nervi erano già stati rimossi, era inserito un perno, il restauro. Il dente non ha fatto male subito dopo il trattamento, ma si è ammalato dopo 2 giorni di notte e continua a far male per 4 giorni. Ogni giorno sempre di più, fa male toccare anche la lingua, non masticare. Anche Desna fa male, quando viene premuto fa anche male. Per un giorno hanno messo la medicina e un sigillo temporaneo durante il trattamento. Probabilmente, si dovrebbe andare dallo stesso medico che stava curando il dente, ma non mi fido più di questo medico - come se non avessi fatto di peggio. Cosa potrebbe essere?
Benvenuti! Innanzitutto, nel dente superiore anteriore, in quasi il 100% dei casi è presente un solo canale e nella parte anteriore inferiore uno o due canali. Non si può parlare di quattro canali. Questo è per riferimento.
Sfortunatamente, non so in quale forma e con quale diagnosi sei andato dal medico, né conosco le tattiche del trattamento e molti dei punti che mi permetterebbero di dire: "Sì, il medico ha fatto." Ora, solo una cosa è chiara: è urgente consultare un medico per i tuoi sintomi.
Per quanto riguarda la scelta di un medico - se non ti fidi del tuo medico, vai a un altro. L'opzione migliore è quella di ottenere una consulenza in 2-3 cliniche e confrontarle. Il vantaggio della consultazione in molte cliniche oggi è gratuito o economico.
Ciao Ho avuto un mal di denti, sette, reagito al freddo. Mi hanno trattato per un dente scheggiato, lo hanno riempito. Ma il dente ha continuato a reagire all'acqua anche a temperatura ambiente, e poi ha iniziato a fare male con la pressione. Abbiamo messo l'arsenico, è migliorato. Dopo la rimozione dell'arsenico (è stato rimosso in un giorno libero), il dolore è apparso di nuovo quando premuto. Ieri il nervo è stato rimosso, i canali sono stati sigillati e un sigillo temporaneo è stato posto. Durante il trattamento senza anestesia, nulla fa male. Bevo 2 volte. Quando morde, fa di nuovo male. Cosa fare Il risciacquo non è stato nominato, ho paura di sciacquarmi.
Ciao Olga! È un peccato che la pasta di arsenico sia ancora utilizzata nella tua zona. È riconosciuto come non sicuro per la devitalizzazione della polpa, perché in molti casi provoca irritazione parodontale e peggiora la prognosi anche con un buon trattamento e riempimento dei canali.
Il dolore quando si morde un dente può dire molte cose: ad esempio canali scarsamente trattati, perforazione della radice del dente, rimozione di materiale oltre la radice, ustioni parodontali con un antisettico, esacerbazione purulenta durante la terapia del canale durante il trattamento della parodontite, ecc.
Questo è un po 'che può portare al dolore. Alcune opzioni non sono critiche (ad esempio la rimozione di materiale oltre l'apice della radice) e alcune riducono significativamente la vita del dente in futuro (perforazioni, esacerbazioni purulente dovute a un canale scarsamente lavato). Quindi, se nei prossimi due giorni il dolore non scompare, è necessaria la diagnosi: è necessario scattare una foto del dente e ottenere un'analisi della foto dal medico. Se ci sono errori nel trattamento, è probabile che vengano rilevati e diventerà chiaro dove andare avanti. E non risciacquare nulla in questo contesto da fare.
Grazie mille per la risposta. Ho fatto una foto, i canali sono molto stretti e curvi, ma ben sigillati. Sono andato da un altro medico per un consulto. Arsenico perché è allergico agli antidolorifici. Posso solo tollerare l'ultracaina, e poi prurito, quindi anestetizzano un po '. Se non tocchi il dente, non fa male, quando viene premuto, non fa male, ma dopo aver mangiato fa male per molto tempo. Ci scusiamo per il dente, l'ultimo e l'unico su questo lato.
Buona sera C'è un foro nel dente in alto a sinistra, 7, ed era precedentemente riempito, ma il sigillo è caduto, il 50% del dente è rimasto. Quando un pezzo di cibo entra nel buco, appare un dolore insopportabile molto acuto, persino lacrime dagli occhi. Cosa fare Canali puliti? E chiudi il sigillo, o è meglio mettere una corona? Cosa rimarrà meglio?
Benvenuti! È assolutamente certo che i canali dovrebbero essere trattati: rimuovere il "nervo", elaborare e sigillare con alta qualità. Non è più possibile salvare la polpa, o ci sono seri rischi che senza il trattamento dei canali, il dente darà presto lo stesso dolore o anche più forte.
Per quanto riguarda l'ultima domanda, qui è più complicato. Il fatto è che il dentista risolve questo problema individualmente. Certo, è più razionale e affidabile salvare un dente con una perdita del 50% o più della parte della corona con la linguetta + corona. In questo contesto, non vi è neppure dubbio sul sigillo.Ma le protesi con un inserto e una corona sono una delle opzioni più costose per il restauro dei denti. Il fatto è che il trattamento dei canali in questi casi costa circa 6-10 mila rubli, più una linguetta moncone separata (circa 3-8 mila) e una corona (a seconda del materiale, da 3 a 12 mila rubli) .
Un trattamento così complesso può costare in media 20-30 mila rubli. Se ci limitiamo a un riempimento, ci sarà un budget, ma c'è un grande rischio che le pareti del sigillo e dei denti si sgretolino nei prossimi anni - i casi sono particolarmente difficili quando la sottile parete nativa del dente si rompe sotto la "gomma". Questo in molti casi è molto doloroso, il dente è difficile da ripristinare e succede che una tale distruzione comporta l'ulteriore rimozione dei residui di dente.
Un'opzione leggermente più costosa, ma in qualche misura più promettente è il restauro della corona dentale con materiale fotopolimerizzabile e un perno (titanio o fibra di vetro). Il perno è posizionato nel canale ed è una sorta di rinforzo per il dente restaurato. Tuttavia, spesso le pareti del dente si rompono anche nei prossimi anni e rimane il moncone (perno + sigillo). Eppure, anche tali restauri in molti casi clinici non possono essere eseguiti con l'esatta ricostruzione del sollievo della forma del dente (primordiale) per morso, quindi non si verifica un ritorno del 100% della funzione persa a questo dente (esiste semplicemente nella dentatura e svolge parzialmente una funzione di masticazione e talvolta completamente disattivato dal processo di masticazione).
Pertanto, se il dente perde la parte della corona in un volume superiore al 50%, l'opzione migliore è la protesi con l'inserto e la corona creati dal morso del dentista: è costoso e allegro, ma durerà più di 10 anni.
Benvenuti! C'era la pulite, un pezzo di dente cadde. Sono andato dal dentista, ha messo un sigillo, dopo un po 'è caduta. Sono venuto di nuovo dal dentista e ho detto che quando clicco sulla cima di un dente malato, ci sono dolori (questo è il quarto dente in cima). Mandò alla foto, dopo di che disse che tutto andava bene e rimise il sigillo. Esattamente un mese dopo, cadde di nuovo fuori, ma ora c'è del pus, evidente quando viene premuto. Cosa fare Dimmelo, per favore.
Benvenuti! Se descrivi tutto correttamente, le tattiche del medico sono in gran parte errate. Penso che ci siano alcune ragioni per questo (il dottore non lavora in questo modo da una bella vita), ma non sarà più facile per te da loro.
Adesso al punto. In primo luogo, vale la pena trovare uno specialista che intraprenderà un lavoro così difficile come rifare il trattamento per il medico precedente. È importante iniziare il trattamento della parodontite nella fase acuta (o esacerbazione) il più presto possibile per preservare il dente. I denti superiori (specialmente il quarto) sono in qualche modo più facili da mantenere rispetto a quelli inferiori, ma tutto dipende da ciò che il medico ha fatto di sbagliato in fase di trattamento.
Innanzitutto, viene eseguita un'istantanea del dente, viene determinata la causa, viene analizzata la punta della radice (processo infiammatorio). Quindi il materiale (se presente) viene rimosso dal canale, viene accuratamente elaborato e sigillato (composizione ostruttiva temporanea o immediatamente permanente). Per quanto riguarda la necessità di "incisioni" nella piega transitoria delle gengive - questo è deciso dal medico sul posto (secondo le indicazioni).
Se non hai l'opportunità di trattare un dente per qualche motivo, o 2-3 medici insistono per rimuoverlo, allora dovresti rimuovere immediatamente un tale dente, poiché l'ulteriore presenza di un dente purulento crea gravi rischi infettivi, fino all'edema versato e la prospettiva di essere nella mascella - reparto di chirurgia facciale o rianimazione.
Buon pomeriggio Ho davvero bisogno della tua consultazione, caro Svyatoslav Gennadevich! Il dente anteriore è stato depolverato più di un anno fa, ma dopo circa tre mesi ha iniziato a reagire con il cibo, con una leggera pressione sulla mano. Mi hanno riaperto (anche se l'immagine era buona, non c'erano granulomi), sono andato con un sigillo temporaneo per circa 4 mesi. Fu sanificato due volte, quindi il canale fu richiuso.Per un po 'il dente fece male, poi, a quanto pare, si calmò. Ma appena sento freddo, mi bagna i piedi, inizia a rispondere all'esperienza del contatto con la mano, come se si "spezzasse". Risciacquo sempre con sale ed erba. Fatto 3 sessioni laser. Cosa potrebbe essere, tutto è davvero male, giusto? Ho una foto - come si suol dire, va tutto bene (non so come attaccarla qui), e questa è un'infiammazione nell'osso ...
Benvenuti! Esistono due opzioni possibili:
1. O l'immagine non è buona come sembrava ai dottori;
2. Oppure c'è un dente problematico accanto a uno in piedi, il cui dolore si irradia a quello vicino.
La prima opzione è più comune, ma anche 2 non è un evento raro. Pertanto, puoi dirlo con certezza solo dopo un'attenta analisi dell'immagine. Puoi inviarlo alla posta del sito (vedi la pagina "Feedback"), lo commenterò.
Non posso ancora dire che in una proiezione tutto non è sempre ben visualizzato, a volte è necessario ruotare i canali con diverse angolazioni per trovare la causa del problema.
Il fatto che tu abbia una certa variante dei dolori post-riempitivi (relativamente parlando) non è la norma, dovresti assolutamente cercare la causa, esaminare il dente "morto" e determinare con quelli vicini. La migliore diagnosi è un esame simultaneo sia nella cavità orale che nella foto. Posso consigliarti sull'immagine, ma un'opzione più efficace è una consultazione faccia a faccia con un dentista esperto in una clinica con attrezzature normali.
Ciao, dimmi, per favore, cosa potrebbe essere. Ai primi di aprile, ha curato un dente in odontoiatria retribuita. Il dentista ha immediatamente detto che il dente problematico (6 sulla mascella inferiore a sinistra). Ho scattato una foto. Ha detto che quando si aprivano e pulivano i canali, il tipo era pus. Il tessuto osseo è debole o danneggiato, non ricordo ora ... L'ha fatto per me solo per la quarta volta. Prima di ciò, ha messo la medicina e pulito i canali con un sigillo temporaneo. Circa 7 anni fa, è stato anche sigillato sei mesi fa, è stato curato in un altro studio odontoiatrico e anche guarito. Se 7 è stato guarito e me ne sono dimenticato (tutto va bene), allora 6 improvvisamente si è ammalato per qualche motivo quasi 1,5 mesi dopo. Il dolore è doloroso, come era prima, cioè simile a quello quando il nervo fa male.
Il sesto dentista ha chiesto se quel dentista mi ha fatto una foto. Se è così, allora potrebbe vedere che presto 6 si farà sentire e problematico. Sono seduto su chetorol e temppalgin. Bene, la prima settimana c'è stato un leggero dolore, bene, questo è comprensibile - dopo il riempimento e il trattamento. Ma poi è stato tutto perfetto. Quindi andò in campagna a piantare patate. E più vicino alla notte, cominciò a lamentarmi. E si ammalò improvvisamente. Ho iniziato a peccare, che, forse, dalla stufa dal calore. O mangiato dolce. Beh, ha mangiato più caldo, ovviamente. Ma prima non c'erano problemi prima con lui, non lo so. Per fortuna, non c'erano pillole a portata di mano. Fu salvato da sale e soda, una soluzione in acqua calda. E ha notato che aiuta quando è uscito a fumare, cioè nell'aria fresca e fredda che si calma. Mi sono alzato, cammini - è normale. Sdraiati solo - di nuovo dolore crescente, che dà persino alle gengive. Cioè, come se la gomma facesse male, ma non c'è gonfiore. Una tale sensazione dalle gengive, come se pizzicasse, ma molto malato. In generale, senza dormire davvero, partì per la città alle 6 del mattino in macchina per prendere delle pillole. È appena successo nel fine settimana, oggi è lunedì, tutto è su appuntamento.
Hai bisogno di andare in odontoiatria, o è come dovrebbe essere, il dolore scomparirà nel tempo?
In generale, il dentista che ha curato 7-ku non ha fatto una foto. Sia il 6 che il 7 sono stati trattati come se ci fosse la pulite.
Aggiornamento al 24 maggio 2017. In generale, sono andato giù - si è scoperto che il dolore radiante da 4 (molari 1) dalla mascella superiore sinistra ha dato 6 (grandi molari 2) della mascella inferiore. Questa è la prima volta nella mia pratica e vita. Una piccola scheggiatura nel dente è quasi invisibile all'occhio e non sente la lingua. Trattamento: rimosso il nervo e pulito i canali. Riempimento temporaneo, ovviamente.Ma il più interessante - come se finora, e 6 fa male dopo che l'anestesia è passata ieri dalle prime quattro. E schizzinoso 4, come si è scoperto. Ho sempre sentito dai dentisti che la mascella inferiore fa sempre male quando mi fanno male i denti (non lo direi). Il dente anche adesso, quando viene premuto, fa male quando si tocca o si mangia. Ad ogni modo, non importa quanto ci provi, risulta che gli premi, se vuoi, non vuoi. Forse proprio mentre la medicina sotto il sigillo temporaneo si comporta così, non lo so.
Benvenuti! Una tale irradiazione del dolore è possibile, in questa occasione ci sono anche tali linee:
... Dai denti inferiori il dolore è diretto all'orecchio:
Nella parte posteriore della testa, nel tempio, nella parte superiore del dente dà.
Dall'alto su di loro - tanta sfortuna -
Nello zigomo e nel sopracciglio, già non dorme sonno ...
L'irradiazione del dolore si verifica più spesso da un lato, ma ci sono casi ancora più interessanti quando una pulpite, ad esempio il dente del giudizio in alto a sinistra, dà una sensazione di dolore in tutti i denti della mascella, cioè “spara” ovunque.
Sono contento che hai trovato un dente problematico. Più di una volta mi sono imbattuto in casi in cui un dente di pulpite dà sensazioni a denti già trattati. Ciò complica notevolmente il lavoro del medico nel trovare la causa del problema.
Il fatto che ferire un dente faccia male, in generale, può significare qualsiasi cosa. Ma finora non c'è motivo di panico: il dolore post-riempimento dopo il trattamento del canale non è terribile, se le immagini mostrano che tutto è stato fatto nei canali con alta qualità. Molto spesso, il dolore scompare in 3-5 giorni, a seconda del materiale utilizzato e della natura degli errori di trattamento. Se questi errori non sono critici, allora tutto passa senza conseguenze per il dente in un lontano futuro.
Penso che mentre l'irradiazione rimane ancora nella forma residua, quindi i 6 denti inferiori fanno male. Ma questo fatto vale la pena di verificare le dinamiche: vale la pena osservare un po ', in modo che tutto diventi chiaro.
Ciao Per favore, dimmi cosa può essere. 2 settimane fa, sono stato trattato con 2 e 3 denti in alto a sinistra. Hanno rimosso i nervi, sigillato i canali, messo otturazioni temporanee. Una settimana fa, sono iniziati dolori doloranti, che non sono alleviati dagli antidolorifici, diventano solo noiosi. Non c'è dolore acuto. Soprattutto per qualche motivo dolorante quando ci si sposta e si cammina. C'è una sensazione di oppressione nell'area di un'unità sana. L'unità non fa male, ma inizia anche a gemere. Sfortunatamente, non posso fornire un'immagine, ma secondo il dentista, tutto va bene. Non so nemmeno da dove provenga, perché il dolore non è iniziato subito dopo il trattamento.
Benvenuti! Il tuo commento sulla causa esatta della rimozione di 2 e 3 denti non farebbe male qui - c'erano dei sintomi caratteristici della pulpite o i canali sono stati trattati per le protesi? In linea di principio, un'istantanea potrebbe far luce sulla relazione causale dei tuoi dolori. Penso che valga la pena controllare non solo i denti trattati per errori nel trattamento dei canali, ma anche quelli adiacenti, al fine di identificare possibili cavità cariate nascoste. È solo che non sorgerà alcun dolore. È possibile che il dolore si irradi generalmente da un'altra area (a volte anche dalla mascella opposta). Trovare la causa, cioè la diagnosi, è spesso la fase più difficile del lavoro del dentista, ma è importante non rompere la legna da ardere. Ha senso andare dall'altro dentista (disinteressato) con la foto, non appena il medico dice che nelle immagini è tutto a posto. A volte il medico che ha condotto il trattamento non è in grado di valutare obiettivamente i suoi risultati.
Ciao Ho curato il dente un anno e mezzo fa, fronte 2. C'è stato un colpo, hanno detto che i legamenti presumibilmente si sono rotti e che è necessario rimuovere il nervo. Il dente era molto malato. Il nervo è stato rimosso, ma un mese dopo il trattamento, il dente, quando si fa clic su di esso, fa male, il dolore non è forte. Rimangono un anno e mezzo fino ai giorni nostri. Sono andato e ho fatto una foto - hanno detto che tutto era ben fatto. Ho cambiato il riempimento, ma il dolore non scompare. Dove posso inviare una foto? Non esiste una tale funzione sul sito per allegare un'istantanea.
Benvenuti! Puoi inviare un'immagine alla posta del sito nella sezione "Feedback". Se stiamo parlando del dente superiore anteriore (molto probabilmente), quindi trattare la pulite in esso non è tecnicamente difficile, quindi dovresti cercare la causa del danno (forse microdamage) da un impatto della radice o del parodontale, anche se quest'ultimo avrebbe dovuto essere entro 2- 3 mesi per rigenerarsi. Penso che da qualche parte ci sia un microtrauma della parete della radice o qualcosa di simile a una sublussazione del dente.
Non posso negare la possibilità di rimuovere il materiale di riempimento oltre la radice. Anche se il medico considera il quadro esemplare.
Buon pomeriggio Ha curato il dente nel 2010 (sono stati trattati 3 canali, il settimo dente in alto a sinistra, la pulpite). È stato installato un sigillo, mai dolori e problemi dopo il trattamento.
La scorsa settimana, senza motivo, il dente ha iniziato a ferire un po 'quando è stato premuto e ha iniziato a rispondere al caldo. Oggi abbiamo fatto una foto: tutto è in ordine, i canali sono completamente sigillati, non c'è infiammazione. Il medico è molto sorpreso, si offre solo di curare i canali, se il dolore non passa. Quando si tocca sulle pareti del dente, tutti i lati sono sensibili, i sei successivi sono in ordine, non c'è dolore, le pareti non sono sensibili.
Mi sono ricordato - un paio di mesi fa c'era una situazione simile con lo stesso dente - il dolore era di circa una settimana e gradualmente è completamente scomparso. Ora si ripete, ma finora non passa, l'intensità è leggermente diminuita. Non riesco a capire: che tipo di miracoli con un dente morto dopo 6 anni e quale trattamento scegliere? Non voglio spendere ingenti somme di denaro per il trattamento dei canali, se alla fine si scopre anche che è invano - i canali saranno normalmente realizzati. Hai avuto questo in pratica?
Penso che forse sia una questione di riempimento - gli altri 3 denti (sei) ho anche trattato i canali, ma sono sotto le schede - costano quasi 9 anni. Il medico è lo stesso, non vede la differenza tra tutti i denti trattati nella foto ...
Benvenuti! A volte tali casi si verificano con denti "morti", quando tutto è in ordine nella figura, e il dente fa male con le percussioni e dal caldo. Penso che il materiale nei canali o canali sia stato consegnato in un modo o nell'altro sciolto o addirittura sciolto, e ora c'è una depressurizzazione del canale o dei canali. Quando la guttaperca inizia a "stendersi" in essi, il dente inizia a ferire proprio secondo il principio che descrivi. In casi estremi, tutto ciò porta quindi a edema purulento e forte dolore, che può seguire senza un trattamento tempestivo.
Concordo con te sull'importanza di non commettere errori: controlla più volte che il dente specificato risponda alle percussioni e che i denti vicini non abbiano carie nascoste e siano insensibili.
Nella mia pratica, si incontrano strani denti "morti" - durante il ritiro quando si apre l'accesso ai canali, ci sono tutti i segni di scioglimento, anche se formalmente tutto è molto bello nella foto.
Ciao, due settimane fa sono stato guarito. C'era la pulpite. Due canali furono puliti senza dolore, e il terzo iniziò a essere pulito - e il dolore era come se ci fosse un nervo vivo nelle vicinanze. Ne ho parlato con il medico, anestetizzato, spazzolato e chiuso il dente. E non posso mangiare dall'altra parte. Anche cibi morbidi. Fa male, fa male al tocco. Potrebbe essere che il dente non abbia 3, ma 4 canali? Ho fatto una foto, ma non riesco a capire cosa ci sia. Il dente era in cura in un'altra città e dove è stata scattata la foto, hanno detto di chiedere chiarimenti a chi stava curando.
Benvenuti! Possono esserci quattro canali in un dente, specialmente se si tratta del sesto dente superiore (spesso) o inferiore. Dal 1o al 5o non ci sono 4 canali nei denti, a volte nel 7o e 8o. Non hai indicato quale dente stavi trattando.
Per quanto riguarda il fatto che non volevi diagnosticare professionalmente la causa del dolore, posso dire che la motivazione può essere qualsiasi cosa, fino al fatto che il medico ha fatto qualcosa, ma semplicemente non vogliono esporlo in cattiva luce (non etico). Oppure non vogliono rifare il lavoro per lui - può essere difficile e per molti aspetti problematico.
Puoi inviare una foto tramite la posta del sito (l'indirizzo è indicato nella sezione "Feedback") e commenterò nella lettera di risposta. In alcuni casi, una buona visione dei canali richiede immagini da diverse proiezioni (angoli), cioè da diverse angolazioni.Ma a volte si possono vedere errori in un colpo di avvistamento.
Indovinare le cause del dolore senza un attento studio delle immagini, forse, non ha senso, dal momento che qui è tutto possibile (dalla rimozione del materiale fuori dalla radice del dente alla perforazione delle sue pareti, dalla rottura dell'utensile nel canale o dal non trovare il quarto canale su cui stai realizzando accento).
Dimmi, per favore, oggi ho fatto un dente, ho inserito un sigillo. Dopo la partenza dell'anestesia, il dente si è molto ammalato, ho sofferto tutto il giorno. Incinta 9 settimane. Dal dolore ho bevuto pillole, ma niente aiuta. Aiuto, cosa fare? Fino a domani non sopporterò.
Benvenuti! Per aiutare, è importante conoscere la causa del dolore e non è nemmeno chiaro dalla domanda per quali motivi ti è stato dato un sigillo: o hanno trattato la carie o le sue complicanze (pulpite, parodontite). Comunque sia, è urgente consultare un medico per assistenza di emergenza al fine di guidare il dente in base a una diagnosi diversa (molto probabilmente, la polpite). Altrimenti, se ci fosse un riempimento dei denti dopo il trattamento del canale, la sintomatologia descritta indica lo sviluppo di complicanze o gli errori del medico commessi durante il trattamento. Così urgentemente dal dentista.
Ciao Svyatoslav Gennadievich! 5 giorni fa avevo un sigillo sull'ultimo dente in basso a destra. Il dottore rimosse il vecchio sigillo e ne mise uno nuovo. Il dente è vivo Il primo giorno fa male il dente, ora reagisce semplicemente al freddo e al caldo. Ma il problema è che il labbro superiore ha iniziato a contrarsi per 5 giorni ormai, e da un lato, a destra. Cos'è questo?
Benvenuti! L'idea che i problemi con la contrazione del labbro siano il risultato di eventuali errori o complicazioni nel trattamento del dente è dubbia. Piuttosto, possiamo assumere l'opzione di stress sullo sfondo del trattamento, ma non più, cioè, stiamo parlando della natura neurologica del problema. Di conseguenza, raccomando di consultare un neurologo per chiarire la situazione il prima possibile.
Ciao caro Svyatoslav Gennadevich. La mia situazione non è di quelli "semplici". Sei mesi fa, hanno messo un sigillo sul mio 36 ° dente (non capisco davvero i numeri, ma è stato scritto sulla mappa). Dopo circa 2 settimane, si ammalò gravemente e io andai in clinica con "dolore acuto". Hanno rimosso il sigillo, rimosso il nervo e ne hanno creato uno temporaneo, dicendo che tra due settimane dovrei venire e indossarne uno permanente.
A quel tempo non dovevo andare dal dottore e poi in qualche modo mi sono dimenticato di questo dente. In generale, ci sono voluti circa 5 mesi con questo riempimento temporaneo.
Un bel giorno, questo dente iniziò di nuovo a fare male. Sono andato in clinica - hanno detto che il sigillo è stato "risolto", quindi si è ammalato. Hanno rimosso i resti di un sigillo temporaneo, cancellato ancora una volta i canali e riposto quello temporaneo.
Quindi, ho una domanda per te. Quando hanno messo un sigillo temporaneo per la prima volta, il dente è andato quasi il giorno successivo. Ora un dente con un riempimento temporaneo non passa già il secondo giorno, fa male, fa male anche quando morde. Il dolore si estende anche ai denti adiacenti, fa male anche la mascella e non sotto il dente stesso, ma sotto i denti in cui fa male da questo dente.
Mi è stato detto che se fa male per 2-3 giorni, questo è normale, ma mi spaventa che la prima volta che il dolore è passato il giorno successivo, e ora il dente fa male costantemente, fa male da mangiare, il dolore si intensifica di notte.
Dimmi, per favore, cosa potrebbe essere? È normale? In attesa di una tua risposta. Grazie!
Benvenuti! In primo luogo, ti sei comportato in modo molto incurante, senza mettere un sigillo permanente nel prossimo futuro dopo il trattamento dei canali. Non consiglierei di camminare con un ripieno temporaneo anche per più di 7 giorni, poiché i canali sono infettati nuovamente dalla cavità orale e il lavoro del medico è vano.Cioè, la prima volta che sei stato trattato per la pulpite, tutto è andato nel modo più calmo possibile, ma quando hai violato il regime terapeutico, lo hai trasformato in una esacerbazione della parodontite in 5 mesi di cammino con una medicazione sigillata temporanea. Non essere sorpreso che il processo di ritrattamento dei denti non sia semplice, come vorresti tu e il dottore. Certo, molto dipende dalla professionalità e dalle tattiche del medico curante, che ha svolto un lavoro complesso e non sempre riconoscente (in alcuni casi, il dente non può essere salvato, è necessario rimuoverlo e il paziente può allo stesso tempo pensare che il medico non possa far fronte o rovinare da qualche parte ).
2 anni fa avevo mal di denti, in alto a sinistra, davanti al dente del giudizio. Hanno fatto un piccolo buco, messo l'arsenico. Niente di male, poi hanno detto di venire tra un mese per rimuovere l'arsenico. Di conseguenza, hanno rimosso l'arsenico e non hanno fatto nulla. Sembra che non abbia fatto male, ma poi ha ricominciato a far male. Andò dallo stesso dentista, fece un buco nel dente, non fece altro e disse di sciacquarsi con camomilla e soda. Una settimana dopo arrivò, mi misero un sigillo per 2 mesi.
Non so perché, poi vengo e non ci sono nell'elenco degli appuntamenti. Il dente non ha fatto male, col passare del tempo il sigillo è caduto e sono andato da un altro medico. Mi ha messo la medicina 2 volte (non l'arsenico), lo ha riempito temporaneamente per 10 e 11 giorni. Poi hanno detto che tutto era pulito e hanno messo un sigillo permanente. E hanno detto che potrebbe ammalarsi, ma questa reazione è ordinaria, dovrebbe essere su un sigillo permanente. Il giorno 1, niente male, il giorno 2 ha iniziato a fare male quando premuto, il giorno 3 ha iniziato a prudere sotto il dente. Non so nemmeno come graffiare. Poi, ancora lì vicino, cominciò a gemere. Per 5 giorni ora il dente fa male quando viene premuto, il dolore si è calmato un po '+ la guancia era gonfia, anche se mi hanno fatto tutto senza anestesia.
Benvenuti! Secondo me, nel tuo caso, da parte del medico, puoi osservare un tipico esempio di assunzione di routine - in altre parole, il trattamento non è mirato al risultato, ma al fare meccanicamente qualcosa e lasciar andare fino al prossimo appuntamento. Spesso l'esito logico di tale "trattamento" è l'estrazione del dente. Se ti rivolgi a un altro medico in modo tempestivo, che tratta in fase di pulpite senza arsenico ed esegue l'endodonzia in una visita e posiziona un riempimento, quindi il dente può essere qualitativamente e completamente preservato senza inutili problemi e nervi.
Ora hai a che fare con un'esacerbazione della parodontite, che è irta di conseguenze negative. Probabilmente sarà difficile correggere la situazione, ma vale la pena provare: raccomando di trovare una clinica in cui i medici eseguano l'endodonzia usando un microscopio e canali per ultrasuoni usando ipoclorito di sodio - questo potrebbe dare la possibilità di una completa distruzione dell'infezione nel sistema canalare. Tuttavia, se il precedente medico ha commesso gravi errori, salvare il dente potrebbe non essere così semplice.
Svetoslav Gennadievich, ciao! Per favore, aiutami a capirlo. L'11 luglio 2017 è stato installato un riempimento dei denti in relazione alla scoperta della carie che non mi ha disturbato (precedentemente sigillato). Ho dovuto fare 2 iniezioni, perché dopo la prima era ancora doloroso "perforare". Il medico ha detto che questo è possibile, dal momento che esercitiamo una profondità sufficiente. Dopo che l'anestesia è passata, è stato doloroso masticare questo dente. Il medico ha detto che questo è normale, ma se il dolore non scompare entro 2 settimane, rimuoveremo i nervi. Non mi hanno fatto una foto. È passato più di un mese, posso masticare questo dente morbido per molto tempo, ma se qualcosa di difficile da masticare fa ancora male. In uno stato calmo, il dente non disturba. Domanda: cosa fare per rimuovere immediatamente non solo i nervi (improvvisamente puoi farne a meno)? Aspettare? Forse sarà definitivo? Raggi X, EDI? Per favore aiutatemi Grazie mille! Cordiali saluti, Elena.
Benvenuti! Sarebbe meraviglioso fare un EDI, poiché saprai immediatamente se la polpa è sana o no.Ma questa diagnosi non si trova in tutte le cliniche. Tuttavia, EDI è l'opzione più ideale nel tuo caso.
Da quanto ho capito, è stata delineata una tendenza positiva, poiché la masticazione ogni settimana sta diventando sempre più tollerabile. Pertanto, penso comunque che stiamo parlando di essiccazione eccessiva della dentina o di una separazione inferiore del fotopolimero dalla dentina, che a volte dà una reazione dolorosa fino a quando la dentina non viene ripristinata al confine con il riempimento, o meglio, fino a quando le sue strutture sottili si adattano a questa situazione .
Per quanto riguarda la questione dell'adeguatezza dell'attesa: ti consiglio di aspettare se davvero non c'è modo di trovare una clinica con EDI. Se si verifica un dolore acuto, naturalmente andrai già intenzionalmente a curare la pulpite.
Svyatoslav Gennadievich. Il mio nervo è stato rimosso e i canali sono stati raccolti a lungo, quindi hanno riempito temporaneamente la medicina. Dopodiché, sono arrivato dal dottore solo un mese dopo, per tutto questo tempo c'è stato dolore quando si è premuto sul dente e una fossa nella gomma è apparsa nelle vicinanze. Nonostante il dolore durante la masticazione, mi hanno messo un sigillo leggero e l'hanno lasciato andare, dicendo che tutto sarebbe guarito. Per un mese non riesco a masticare da questo lato, dente 7. Sono andato da un altro medico, ho detto che sarebbe guarito a causa di infiammazione e una fossa nelle gengive. Ecco una storia Le immagini sono perfette, ma anche quando si lavano i denti, questo dente reagisce come un nervo nudo. Questo potrebbe essere dovuto all'infiammazione e come trattarla? Grazie
Benvenuti! La situazione è complicata, senza guardare sulla sedia e analizzare l'immagine, è difficile dire qualcosa di preciso. È possibile che il secondo medico non veda errori nel trattamento dei canali, sebbene lo siano. È anche utile analizzare attentamente le condizioni dei denti vicini e verificarne la reazione. Se c'è qualche problema sul lato gengivale, è anche importante sottolineare questo.
Se non viene fatto nulla, quindi se c'è una ragione seria, ciò può portare a un pericoloso processo purulento. Pertanto, raccomando di contattare al più presto altri 1-2 medici in una clinica di livello sufficientemente alto da chiarire la situazione.
Tratto un dente, metto l'arsenico. Due giorni dopo dissero di venire: andò, pulì, mise un sigillo. Prima di questo, a volte il dente faceva male durante il trattamento. Ma dopo il riempimento, il dolore si è intensificato, cedendo all'orecchio e alla testa. Sono andato dal dottore, ho fatto una foto - tutto sembra andare bene. Il dottore guardò il dente stesso. Ha detto che va tutto bene, ma perché non hanno capito perché il dente fa male. Sono andato a casa, ho bevuto antidolorifici. Il dente non ha fatto male. E ora (di sera) fa di nuovo male. Cosa fare
Scrivi una richiesta di rimborso se non sei sicuro del medico. Sfortunatamente, ora c'è molto "pratico" e nessuno vuole rifare nulla (scuse standard: non c'è nulla, ma tutto sembra essere normale, te lo fai da solo, ecc.). E se lo ripetono, è come se stessero facendo un enorme favore. È meglio prendere i soldi e cercare attentamente uno specialista per il rimodellamento.
Svyatoslav Gennadievich, per favore aiutatemi. Ho ottenuto un sigillo e dopo 1 anno il dente ha iniziato a fare male. Cos'è questo?
Benvenuti! Vi sono due opzioni. Il più probabile, tenendo conto della tua domanda, è la pulpite, come complicazione della carie o un trattamento traumatico un anno fa. Cioè, o la carie non è stata "ripulita" o il medico ha surriscaldato il dente durante la sua preparazione. Il surriscaldamento del dente, tenendo conto dell'anno passato, è leggermente meno probabile, ma succede che la forma acuta non appare immediatamente dopo un trattamento improprio e il dente già malato si "congela" in previsione dell'esacerbazione della pulpite o anche della parodontite acuta o cronica (infiammazione alla radice) Anch'io non posso escludere, dal momento che non hai specificato la natura del dolore, la presenza di temperatura, nonché la condizione nella cavità orale: c'è gonfiore delle gengive, dolore quando si preme sul dente, ecc.).
La seconda opzione: se sei stato trattato con canali un anno fa, allora stiamo parlando di esacerbazione.Molto probabilmente, anche sullo sfondo di un trattamento errato. Inoltre, ci sono situazioni (e non rare) in cui il paziente confonde il dolore nel dente non trattato con quello che è stato trattato. Cioè, semplicemente scambiato con un dente. Ecco perché, secondo il principio di "fiducia, ma verifica", ogni dentista determina individualmente: se il dente fa male, come indicato dal paziente. Quindi, per una risposta accurata alla tua domanda, è necessaria una diagnosi approfondita.
Si è formato un buco nel mio dente. Ho provato a dormire, ma niente ha funzionato. La mamma ha dato una pillola, non ricordo quale. Il medico accetta solo a febbraio. È l'una del mattino, mi sono svegliato, il dente fa ancora male. Cosa dovrei fare, per favore dimmelo? Per tutto questo tempo fa male, piango per questo dolore.
Benvenuti! Mentre aspetterai un medico che impiegherà solo dopo 10-12 giorni, puoi portare il dente ad un'estrazione. Il fatto è che sullo sfondo della transizione dalla pulpite alla parodontite, può essere attivata un'infezione purulenta - in questo caso, un deterioramento dello stato di salute generale può implicare un'estrazione dentale di emergenza e il suo trattamento.
Corri urgentemente da un altro medico senza attendere 10 giorni. Altrimenti, ci sarà un'alta probabilità di conseguenze negative.
Benvenuti! Ho preso il trattamento con il riempimento del canale. Ora che hanno avuto un riempimento permanente, ho iniziato a provare dolore doloroso quando mordevo, anche se durante il trattamento non ho provato dolore durante un riempimento temporaneo durante diverse fasi del trattamento del canale. È una reazione normale?
Benvenuti! Il dolore post-riempimento associato al trattamento canalare si verifica spesso 2 giorni dopo il trattamento, quindi non sorprende che durante le manipolazioni non si sia verificato alcun disagio. Per quanto riguarda la comparsa di questi sintomi, posso dire che il più delle volte non indicano errori di un medico, sebbene piccoli errori potrebbero benissimo essere commessi nella fase endodontica. Di norma, il dolore passa entro 7-10 giorni.
Se, tuttavia, il medico ha commesso errori significativi, il dolore può durare a lungo, a volte per mesi. La presenza di errori può essere verificata solo con l'aiuto di un'immagine da diverse angolazioni.
30/08/17 è stato sigillato un dente (fotopolimero, 2, in alto a sinistra). 02/09/18 lo stesso dente ha iniziato a essere tirato, e quindi rilasciato, poi di nuovo. Tali sensazioni sono durate tre giorni. 12/02/18 smise di tirare, ma infiammò, era persino impossibile toccargli la lingua. Cosa fare Forse una soluzione di soda con sale aiuterà? O non va, vai dal dottore? Per favore, rispondi.
Ciao Larisa. Molto probabilmente, dopo aver installato il sigillo, il tuo nervo si è infiammato. Dopo 3 giorni, l'infezione si è spostata nel canale radicolare e successivamente al suo apice, quindi è diventato doloroso toccare il dente con la lingua. In tale situazione, è urgente consultare un medico: molto probabilmente saranno necessari la rimozione del riempimento e un ulteriore trattamento dei canali dentali. Non tirare con esso.
Benvenuti! Oggi ho un sigillo. In precedenza, più precisamente 5 anni fa, mi hanno riempito questo dente. Ora fa male terribilmente, intollerante. Cosa fare
Ciao Potassio. Se il dolore non scompare o addirittura si intensifica, diventa parossistico, quindi questa è molto probabilmente la polpite, che potrebbe essere stata causata dalla colpa del medico in violazione delle regole per la preparazione della cavità nel dente e il suo riempimento. Raccomando di contattare urgentemente un medico per valutare le condizioni del dente ed è utile controllarlo anche se il dolore passa improvvisamente (quando il "nervo" all'interno del dente muore con la polpite, il dolore scompare, ma poi il fascio neurovascolare si decompone gradualmente, producendo pus - con il trattamento in è meglio non ritardare una situazione del genere).
Ciao.Metti un sigillo dopo aver rimosso la pulpite a quattro canali. Con una leggera pressione, il dente fa male, la gomma ha un foro sulla parte superiore. Sono andato dallo stesso medico - hanno fatto una radiografia, hanno detto che il dente non dovrebbe far male. Cosa devo fare?
Ciao Alexander! Dopo il trattamento della pulpite, il cosiddetto dolore post-riempimento viene spesso osservato abbastanza spesso (dopo una stretta chiusura dei canali dentali e il riempimento). Le cause di tale dolore possono essere molto diverse (da una dozzina): dall'eccessiva rimozione del materiale di riempimento oltre la radice del dente a una reazione allergica al materiale stesso. In media, il dolore può essere presente da una settimana a due mesi. Se non ci sono dinamiche positive, raccomando di riempire il dente (aperto) e trattarlo di nuovo.
Per quanto riguarda il "buco" sulla gomma - con processi infiammatori all'interno e sulle radici del dente, può verificarsi un passaggio fistoloso attraverso il quale il pus lascia la zona di infiammazione nella cavità orale. Sarebbe utile avere una TAC (tomografia computerizzata) per una determinazione più dettagliata della causa del problema.
Sigillato i 7 e 8 denti inferiori. Il secondo giorno fa già male e un po 'gonfio. Il dolore non si attenua. Cosa fare
Ciao Galina! Non hai scritto se il trattamento dei canali dentali è stato eseguito prima dell'installazione di otturazioni. Di solito, i dolori post-riempimento a lungo termine sono caratteristici del trattamento endodontico - il dolore normalmente scompare in circa una settimana, ma in rari casi, tra errori di trattamento, può durare per mesi.
Se durante la settimana non ci sono dinamiche positive (il dolore non diminuirà gradualmente), si consiglia di contattare il proprio medico per chiarire la situazione. A volte, ad esempio, è semplicemente necessaria la correzione delle otturazioni del morso. Tuttavia, potrebbero esserci problemi più significativi (ci sono molte opzioni, almeno una dozzina, e qui è necessaria una diagnosi a tutti gli effetti).
Benvenuti! Ho trattato parodontite di 2 denti (4, 5) da circa sei mesi. Nella prima clinica dissero che si trattava di pulpite e carie, che riempivano di otturazioni e davano soldi. E il dolore era terribile: come si è scoperto dopo, hanno ancora premuto la gomma con un riempimento, c'era una ferita alla pressione. Poi un amico mi ha mandato da un dottore, al quale, a quanto pare, tutti cercano di stare con noi, che prende anche i casi più difficili. Anche se non ha definito il mio caso molto complicato. Ma guarisce per sei mesi. C'è dinamica, ma è normale? Lavaggio senza fine, preparati con iodio e calcio.
Su una radiografia, tutto va bene: i canali sono pieni di pasta fino alla fine, non c'è infiammazione (l'ho visto da solo, sono un medico, ma non un dentista). Hanno provato a riempire - dopo che c'è un dolore terribile. Come ha spiegato: farà male o scoppierà, la pasta si indurisce. Ma era insopportabile, si svegliò di notte, a malapena pensando, trovò Ketorol. Quindi non riuscì a sopportarlo, chiese di rimuovere la pasta e rimettere il materiale morbido.
Passò il mese 2. Ora è un altro tentativo. Sembra che il dente non abbia fatto alcun male. Ma ancora la stessa cosa ((il 3 ° giorno vivo solo con le pillole e mi fa male mordere. Non so cosa fare. Forse devo rimuovere il dente? Questo dottore insiste sul fatto che tutto sarà curato, non è necessario rimuoverlo e i lunghi risciacqui sono buoni. Per ogni evenienza: non prende soldi per lavarsi, non è così quando vogliono attirare soldi.
Ciao Lily. Se i canali sono ben elaborati, non ci sono risciacqui e infiammazioni nella foto, quindi dovresti provare a riempire i canali con materiale permanente - spille di guttaperca. Il dolore per circa una settimana dopo il riempimento è un evento normale. Entro pochi giorni, di solito scompare. Non abbiate fretta di rimuovere il dente, ma anche camminare a lungo con una medicina temporanea non ha senso.Poiché il tuo problema non è stato risolto in sei mesi e non ci sono cambiamenti positivi, ti consiglio di consultare almeno altri 1-2 specialisti. Persone diverse hanno esperienze diverse e potrebbero esserci approcci completamente diversi riguardo allo stesso problema.
Grazie
Ciao Ha curato la carie. Hanno messo un sigillo (i canali non sono stati elaborati, il dente è rimasto vivo). Dopo il trattamento, il dente ha fatto male per diversi giorni, ha reagito bruscamente al freddo / caldo e si è ammalato durante la masticazione (se il cibo è arrivato sul ripieno stesso).
Sono passate due settimane. Il dente non fa male, la reazione al freddo è quasi scomparsa, ma è rimasto il dolore quando si preme sul riempimento. Quale potrebbe essere la ragione? Devo ancora aspettare o dovrei andare dal dentista?
Ciao Oleg! Tali sensazioni possono essere, ad esempio, se inizialmente hai avuto una profonda cavità cariata o con una leggera sovrastima del riempimento. In ogni caso, se non ci sono ulteriori dinamiche positive (cioè se si avverte dolore quando si morde), è utile visitare il medico curante per eliminare l'inconveniente.
Ho provato tutti gli antidolorifici che avevo, ma nessun rimedio ha aiutato! E ho provato ad applicare tutti i tipi di liquidi sul dente, come il perossido di idrogeno. Dopo l'applicazione, il dente si è pizzicato sul lato e poi il dolore è passato. Ma poi, dopo circa 20 minuti, il dente ha iniziato a ferire di nuovo, più forte di prima. Inoltre, ho notato spesso allo specchio che ho un sanguinamento costante sul mio dente. Cioè, se premo solo, inizierà a fluire una piccola quantità di sangue. Perché sta succedendo questo e cosa fare?
Ciao Michael. Il sanguinamento può verificarsi per vari motivi, spesso a causa di processi infiammatori cronici nelle gengive. È anche possibile che la tua automedicazione a lungo termine abbia dato un certo contributo. Comunque sia, consiglio vivamente di contattare uno specialista per un aiuto - per chiarire la diagnosi e redigere un piano di trattamento. In caso di inazione, i problemi con le gengive spesso portano alla mobilità dei denti.