
La maggior parte delle persone si rivolge al dentista per cure di emergenza solo per il semplice motivo che non ha prestato sufficiente attenzione alla carie, considerandolo una sorta di "fastidioso malinteso" che potrebbe ben attendere fino a quando non ci sarà tempo libero per il suo trattamento. Di conseguenza, il dolore più spesso acuto non è più causato dalla carie, ma dalla pulpite, che è associata a danni ai tessuti molli all'interno del dente. Inoltre, spesso i sintomi della pulpite continuano a essere confusi con la carie, sperando ancora una volta di aspettare o attutire il dolore con antidolorifici.
Ma la sconfitta della camera pulpare del dente è lontana dal limite. Il risultato di un'eccessiva “pazienza” è spesso la transizione della pulpite nelle malattie che sono più difficili da trattare: la parodontite. Spesso l'esito delle complicanze della pulpite è l'estrazione dei denti, dopo di che possono verificarsi lo spostamento dei denti adiacenti, la malocclusione, la normale masticazione del cibo e talvolta malattie dello stomaco e dell'intestino.
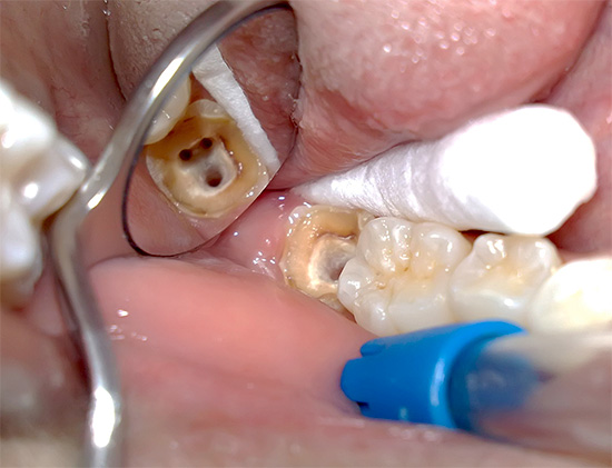
La foto sotto mostra un dente in cui la carie profonda ha portato allo sviluppo della pulpite:

Molte persone conoscono in prima persona la possibile comparsa del cosiddetto "flusso" (periostite). Ma poche persone sanno che il flusso sulla gomma appare spesso dopo un prolungato dolore alla polpite ed è il risultato della morte del "nervo" nel canale dentale con la formazione di pus, che semplicemente non ha nessun posto dove andare, e quindi va al lato della radice del dente, gonfiando la gomma.
Nel tempo, il flusso può trasformarsi in una fistola (vedi foto):

Cos'è la pulpite, quali sono le cause del suo verificarsi, cosa può mettere in pericolo la salute di una persona e quali tipi di questa patologia ci sono - tutto questo verrà discusso in seguito.
È interessante
Il dolore che può verificarsi quando esposto al "nervo" del dente era noto molto prima dell'avvento dell'odontoiatria moderna. Durante l'Inquisizione, i primi strumenti primitivi erano usati per la tortura (qualcosa come un trapano), che, quando ruotato, sbriciola lo smalto e la dentina e raggiunge i tessuti molli all'interno del dente, causando così la loro irritazione e distruzione.
Ovviamente, tutto è stato fatto per causare un dolore insopportabile nell'argomento e si è verificata una perdita di coscienza e uno shock del dolore. Quindi il malato è stato riportato in sé per continuare l'esposizione alla polpa. A volte la tortura è durata più di un giorno e una persona è morta per uno shock traumatico.
Quindi cos'è la pulpite?
La pulite è una reazione infiammatoria del tessuto polmonare ("nervo" dentale), che si verifica in risposta a un fattore irritante, esterno o interno. La polpa è un tessuto molle trafitto da vasi e nervi. Ci sono molte cellule nervose al suo interno, motivo per cui il mal di denti è considerato uno dei più potenti.
Immagini della polpa del dente:


Perché la pulpite provoca un dolore così grave?
A causa del fatto che la reazione infiammatoria ha una fase di edema, durante un aumento delle dimensioni della polpa, la compressione delle cellule nervose si verifica con lo sviluppo di un forte dolore insopportabile. a pulite acuta la polpa è ricoperta da un sottile strato di tessuti cariati e in forme croniche, quando il dolore non è così pronunciato, molto spesso il fondo della cavità cariata comunica con la camera pulpare. In tali casi, il dolore fa male e si pronuncia solo quando le sostanze irritanti entrano nella "cavità" del dente (caldo, acuto) o a causa di un blocco completo del foro sulla polpa con qualcosa (semi, noci, mele).
Come risultato dell'edema e della compressione dell'intero fascio di tessuto connettivo, si verifica una graduale necrosi (necrosi) del "nervo".


In una forma pulite cronica muore solo la parte coronale del tessuto e nei canali rimane parzialmente viva.
Cause di pulite
La causa più comune (eziologia) della pulpite è carie profonde. Nel processo di approfondimento della cavità cariata, si verifica la penetrazione diretta o indiretta dei microbi nel tessuto pulpare. Con accesso diretto, l'infezione va direttamente alla polpa aperta e con accesso indiretto, attraverso i tubuli dentinali che penetrano nello spessore della dentina.
In odontoiatria, si verificano diversi metodi di infezione da polpa e pulpite:
- attraverso una corona dentale (complicazione della carie)
- attraverso l'apertura dell'apice della radice con la manifestazione di pulpite retrograda.
La forma retrograda di pulpite è un evento raro a causa del suo meccanismo di sviluppo specifico (patogenesi). Le cause della pulpite retrograda sono:
- Infezione ematogena (attraverso il sangue) della polpa del dente con comuni malattie infettive (influenza, rosolia, ecc.), Quando l'infezione si diffonde nella regione maxillo-facciale.
- Quando l'infezione si diffonde dai focolai infettivi più vicini alle radici dei denti, che molto spesso diventano il seno mascellare con sinusite.
- Attraverso una tasca parodontale infetta (lo spazio tra la radice e la gengiva), quando a causa della violazione dell'attacco gengivale, l'infezione si precipita nella parte superiore della radice del dente, causando pulpite.

Inoltre, una delle cause più comuni di pulpite sono gli errori del medico o le sue azioni sbagliate. Molto spesso ciò è dovuto al surriscaldamento del dente durante la sua lavorazione (preparazione), all'apertura accidentale della camera della polpa seguita da un riempimento permanente, nonché alla rotazione impropria del dente sotto la corona con la non conformità con la tecnica e senza la produzione di cappucci protettivi dopo la procedura. Un dente pulpitico inizia a manifestarsi immediatamente o dopo un errore medico, costringendo spesso il medico a ripetere nuovamente tutto il lavoro.

È interessante
Una delle pulpiti più rare è traumatica e polmonite da calcolo. Le lesioni dovute a impatto, ecchimosi e caduta sono spesso caratteristiche dei denti anteriori: è in questi casi che la pulite è di origine non infettiva. I sintomi risultanti della pulpite dei denti anteriori non sono diversi dalle opzioni "classiche" per lo sviluppo della patologia.
Con la polmonite da calcolo nel "nervo" dentale, si verificano disturbi dovuti a dentelli e pietrificati - depositi costituiti da sali (principalmente composti del calcio). Questi calcoli calcificati comprimono il delicato tessuto della polpa, causando la pulite.
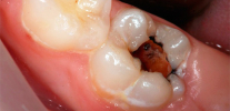
L'immagine seguente mostra schematicamente il classico sviluppo della pulpite - dopo carie profonde:

Decorso acuto e cronico della malattia
La pulpite del dente, come malattia, può avere diverse correnti: acuta, cronica e nella fase acuta. Molto spesso, la pulpite acuta viene prima formata e quindi cronica. Ad un certo punto nel tempo, la forma cronica entra nella fase di esacerbazione.
Tuttavia, questo schema non si applica a tutti i casi: succede anche che il dente non faccia acutamente male e la patologia passa immediatamente in una forma cronica lenta. Spesso, una persona non ha nemmeno esacerbazioni, quando la forma cronica di pulpite passa senza problemi in un'altra malattia più difficile da trattare: la parodontite.

La patogenesi (sviluppo) della pulpite è direttamente correlata all'eziologia (causa) della sua insorgenza e può avere le sue specificità, tuttavia ogni reazione infiammatoria dei tessuti ha molto in comune. Indipendentemente da ciò che provoca la pulpite (infezione, trauma o effetto tossico sul "nervo" del materiale di riempimento), si verificano gravi cambiamenti strutturali all'interno del tessuto pulpare:
- edema polmonare;
- disturbo del flusso sanguigno;
- carenza di ossigeno nelle cellule;
- difficoltà a rimuovere le tossine;
- fenomeni di necrosi (necrosi).
Tra la pulpite acuta si distinguono focale e diffusa.In entrambi i casi, il dente della pulpite fa male non solo spontaneamente senza sostanze irritanti, ma anche in presenza di esse (dolce, freddo, ecc.). I dolori notturni e i brevi intervalli tra gli attacchi, quando una persona non sente dolore, sono caratteristici.
La differenza tra pulpite acuta diffusa e pulpite focale è la diffusione del dolore lungo i rami del nervo trigemino: il dolore può essere dato al tempio, all'orecchio, alla regione infraorbitale, alla parte posteriore della testa, allo zigomo, ecc. In tali casi, una persona non può indicare accuratamente al medico il dente che causa la sofferenza e devono essere utilizzati strumenti diagnostici aggiuntivi.
Con la pulpite focale, il dolore è localizzato in un dente specifico e il paziente è in grado di indicarlo con precisione.

Le conseguenze di disturbi irreversibili nella polpa del dente possono essere forme croniche di pulpite: fibrose, cancrenose e ipertrofiche. I nomi stessi parlano da soli:
- a pulite fibrosa c'è una degenerazione del tessuto nervoso infiammato in tessuto fibroso;
- a cancrenoso - c'è cancrena o necrosi del tessuto coronale o parzialmente radicale all'interno del dente;
- con la polipite ipertrofica, si verifica l'ipertrofia (proliferazione) dei tessuti molli, che spesso può occupare l'intera cavità cariata - la cosiddetta "carne selvaggia".

La polpite cronica di solito si manifesta solo come dolori doloranti e debole sensibilità da irritanti (soprattutto caldo). Il dolore può avere una durata individuale, spesso ricorrente per diversi mesi con frequenza variabile.
Di norma, alcuni fattori scatenanti (stress, ipotermia, influenza, ecc.) Portano a una diminuzione delle difese del corpo con lo sviluppo dello stadio di esacerbazione della polpite cronica, quando l'intera storia con dolore acuto si ripete di nuovo, portando nuova sofferenza.
commentare questo programma:
"Non mi piace andare dai dottori, quindi ho aspettato. Un dente è stato terribilmente malato per diversi giorni, ho dovuto ingoiare pillole e poi, ecco, il dente ha smesso di ferire! Ho anche pensato: beh, è necessario, tutto è stato risolto, quindi ora non è necessario fissare un appuntamento con un medico. E poi in una settimana ho sentito qualcosa sulla gomma sopra il dente dolorante, come una piaga, e il suo gusto era così cattivo. Indovinato in modo intuitivo che questo pus viene fuori. In generale, non è stato senza un medico - tutti mi hanno forato lì, pulito i canali, c'era già un dente morto. "
Maxim, Novosibirsk
Opzioni di sviluppo della pulite per diversi gruppi di denti
La pulite può svilupparsi su qualsiasi dente, ma ci sono alcuni gruppi di denti che sono spesso inclini a tale lesione. Il primo posto nella frequenza dell'occorrenza è occupato dai primi molari o, altrimenti, dal sesto dente, che appaiono tra i primi (a 6 anni) e si trovano nella zona più non protetta, spesso con fessure profonde e chiuse (fossa). Quando compaiono delle macchie in queste aree del bambino, i genitori non capiscono immediatamente di cosa si tratta, ma con l'approfondimento del processo ogni giorno si avvicina al momento in cui il bambino inizia a lamentarsi di un forte dolore spontaneo nel dente - questa è già pulpite.

Dai denti anteriori, la pulite si sviluppa più spesso sugli incisivi centrali e laterali. Le zanne sono le meno sensibili alla carie a causa della loro imponenza e caratteristiche strutturali.
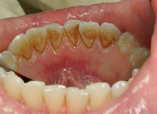
I denti anteriori inferiori, di norma, sono tutti i meno sensibili allo sviluppo della carie e in futuro - pulpite a causa dell'elevato grado di lavabilità della saliva. Poiché la saliva è una sorta di "smalto liquido", è in questo gruppo di denti che i componenti minerali persi (calcio, fosforo) ritornano più rapidamente.
Tuttavia, non bisogna dimenticare che, nonostante tale "fortuna" dei denti anteriori inferiori per quanto riguarda i rischi di sviluppare complicanze della carie (pulpite e parodontite), i denti inferiori sono più inclini a depositare tartaro su di loro proprio a causa della stessa saliva altamente salina ( vedi l'esempio nella foto).

Le complicazioni più pericolose della pulpite
Le complicanze più pericolose della pulpite si verificano sullo sfondo di una pazienza prolungata del dolore o regolare prendendo antidolorifici. Molto spesso, dopo la pulpite, si sviluppa una parodontite acuta o cronica - infiammazione dei tessuti intorno alla radice.
Nella forma acuta di periodontite, nella maggior parte dei casi le persone vanno alla clinica dentale per il motivo che ci sono dolori lancinanti molto forti ed è semplicemente impossibile toccare il dente, a volte anche la lingua. Spesso la temperatura corporea aumenta e si ha la sensazione che il dente “cresca”. Se un medico viene consultato proprio in questa fase del processo, dopo aver trattato il dente e penetrato nella zona in cui dovrebbe essere la polpa, dal canale esce un pus abbondante con un odore sgradevole.

Nelle forme croniche di parodontite, le formazioni più spiacevoli sulla gomma sono le fistole. Questi sono canali che si allontanano dalla radice infiammata del dente e da cui esce periodicamente un pus maleodorante, facilitando la sofferenza di una persona.
La parodontite cronica più difficile da trattare e pericolosa per la salute è associata alle cosiddette cisti. Alcune persone sono ben consapevoli della possibile crescita dei tessuti intorno alla radice sotto forma di granulomi e cisti, poiché hanno visto questa immagine dopo aver rimosso il dente. Queste "sacche purulente" sui denti estratti pendono dalle radici, con un colore che va dal rosso al cianotico. Questa immagine non lascia indifferente nessuno e viene ricordata a lungo.


Maggiori informazioni sulla formazione di una cisti sulla radice del dente, sui suoi rischi per la salute e sulle possibili complicazioni durante la rimozione articolo separato.
Se pensavi che questo "orrore" finisse, dovrai deludere. Le suddette complicanze della pulpite erano le più "pacifiche", che spesso portano solo alla perdita dei denti, ma ci sono malattie che influenzano la salute generale di una persona: periostite, osteomielite, ascesso, flemmone, sepsi.
La periostite è un'infiammazione del periostio della mascella in mezzo alla diffusione del pus sotto di essa. Di conseguenza, il benessere peggiora, la temperatura sale a valori elevati, la forma del viso può cambiare, c'è una sensazione di pienezza nelle gengive vicino al dente malato. Spesso dopo queste gravi condizioni, una persona si rammarica più di una volta di non aver curato in tempo una polpite relativamente innocua.
Osteomielite - fusione o dissoluzione dell'osso, quando il processo purulento copre gli spazi della mascella così tanto che, oltre al dente malato, i denti vicini iniziano a vacillare.
nota
Con lo sviluppo prolungato dell'osteomielite, una persona può cercare l'aiuto di un dentista-chirurgo per eliminare la fonte di infezione, ma il risultato della rimozione di un dente malato può essere una frammentazione della mascella con essa o una frattura. Poiché nel processo di progressione dell'osteomielite l'osso diventa meno durevole a causa della sua "dissoluzione", anche un piccolo sforzo spesso porta a lesioni di diversa gravità.
Un ascesso (infiammazione purulenta limitata) e un flemmone (infiammazione purulenta diffusa) sono malattie che si sviluppano tra le complicazioni della polpite e spesso portano alla morte di una persona. Sono associati alla germinazione attiva del fuoco dell'infezione negli spazi tra i muscoli, dove ci sono formazioni vitali (vasi, nervi).
Nella foto sotto - flemmone:

La sepsi è l'infezione del sangue con prodotti tossici di infezione, che porta all'intossicazione del corpo, a una violazione delle sue forze protettive e, alla fine, a volte alla morte.
Come riconoscere la pulpite da solo
Al fine di prevenire gravi complicazioni nel tempo, è utile essere in grado di riconoscere in modo indipendente la pulpite sin dal primo momento sintomi. Diagnosticare te stesso non è così difficile.
Quando si verificano mal di denti, dovresti prima di tutto capire la loro natura: con la carie non c'è dolore acuto spontaneo, appare solo da sostanze irritanti esterne. Nella pulpite acuta e nella sua esacerbazione, ci sono entrambi questi segni.E con la parodontite acuta, è spesso impossibile toccare il dente, il tuo benessere può peggiorare, il caldo intensifica bruscamente il dolore lancinante già insopportabile.

La pulite cronica è più difficile da rilevare, ma se è possibile esaminare la cavità, la pulite diventa più facile da identificare. Se un qualche tipo di tessuto molle occupa la cavità cariata, si sviluppa molto probabilmente la polpite ipertrofica cronica. Se si verifica un dolore lungo e doloroso quando il cibo entra nel dente, è molto probabile che il nervo aperto, come in fibroso o polpite cancrenosa.
La parodontite cronica ha molto in comune con la pulpite cronica, ma solo con forme croniche di parodontite possono esserci fistole sulle gengive vicino al dente malato. Solo con la parodontite, la gomma vicino al dente può "gonfiarsi", ferire e il pus viene spesso rilasciato da sotto di esso.
Nonostante le possibilità di autodiagnosi, solo un dentista può effettuare una diagnosi finale eseguendo una serie di misure diagnostiche (esame, palpazione, percussione, termometria, EDI, radiografia).
La foto sotto mostra un visiografo per radiografia:

Trattamento e prevenzione della pulite
Dopo aver determinato la pulpite, il medico elabora un piano per il suo trattamento. Esistono 3 approcci al trattamento della pulpite: con la conservazione dell'intero "nervo", con la sua parziale rimozione, con l'estrazione completa della polpa dal sistema dei canali equini.
Il primo modo per mantenere l'intera polpa in uno stato vitale non è attualmente popolare a causa di frequenti complicazioni, quindi i medici di solito preferiscono quest'ultima opzione. Viene anche utilizzata la rimozione parziale della polpa, ma solo quando non c'è modo di attraversare l'intero canale a causa della sua struttura complessa o della presenza di corpi estranei in esso.

L'importanza principale nel trattamento completo della pulpite è il buon trattamento farmacologico dei canali e il loro riempimento fino all'apice fisiologico (apice). Per fare questo, è necessaria l'anestesia, i canali vengono elaborati con strumenti speciali simili agli aghi (lime), lavati con soluzioni antisettiche e sigillati con paste indurenti con o senza perni di guttaperca.
nota
Spesso, il trattamento della pulpite richiede da 1-2 a 3-4 visite. Ciò è dovuto all'approccio al trattamento, con o senza l'uso di paste per necrotizzare il "nervo" (arsenico o non contenente arsenico), con l'impostazione di antisettici speciali o farmaci per la disinfezione aggiuntiva del canale, progettati per diversi giorni.

Per ulteriori informazioni sulle interessanti sfumature del trattamento della pulite, consultare l'articolo Metodi moderni di trattamento della pulpite.
normalmente, non ci dovrebbero essere dolori dopo il trattamento con pulpite. Con restrizioni, la presenza di dolori post-riempimento dopo il trattamento è consentita per non più di 5-7 giorni, che si manifestano solo con disagio quando si morde un dente (soprattutto cibi solidi).
Al fine di prevenire lo sviluppo della pulpite, è importante il trattamento tempestivo della carie che si verifica sul dente. Questo è un programma minimo. Per quanto riguarda il programma massimo, la profilassi dovrebbe essere avviata anche prima dell'inizio della carie e seguire le raccomandazioni volte a rafforzare i denti e proteggerli:
- Pulire con spazzolini da denti e paste tutte le superfici accessibili dei denti ogni volta dopo aver mangiato;
- Per pulire le zone degli spazi tra i denti con filo interdentale (filo interdentale);
- Non abusare di dolci;
- Effettuare un'igiene professionale una volta ogni sei mesi (pulizia di placca e pietra);
- Eseguire la terapia remineralizzante e la fluorizzazione profonda di tutti i denti in consultazione con il dentista.
L'implementazione di queste raccomandazioni non solo ti consentirà di non provare mai l'orrore del dolore da pulpite, ma proteggerà anche i denti dallo sviluppo della carie.
Video interessante sulla pulpite
Ed ecco il trattamento della pulpite
Trattamento del canale radicolare

Articolo molto utile. Grazie!
Grazie per le informazioni utili.
Sono terrorizzato, voglio andare dal dentista!
Che foto terribile di un ragazzo.
Sì, ho anche giocato con antidolorifici, quindi il pavimento della mia guancia era gonfio + pus, rimosso insieme alla radice e al setto. Prenditi cura dei tuoi denti fin dalla tenera età e 2 volte all'anno per essere controllato da un medico!
Domani dal dottore!
Sì, il mal di denti fa paura, ho anche preso una licenza martedì. Mi fa male il dente da una settimana, come se avessi la polpite, non scherzano con questo.
Grazie per l'articolo Mi ha davvero aiutato. Già correndo dal dentista, non si sa mai)
È scritto in un linguaggio semplice e comprensibile senza termini scientifici. Grazie
Sì, il problema è la nostra paura. Ma al momento, la medicina è iniziata con successo e senza dolore per il trattamento dei denti, ne sono molto felice. Dipende anche dal medico, ho un eccellente terapista, ho curato 11 denti e non c'è stato dolore.
Il terapista non guarisce i denti, può solo dare una direzione.
Grazie mille per l'articolo comprensibile con illustrazioni. Ora capisco bene cosa sta succedendo con i miei denti. E quando tutto è chiaro, è più facile prendere la decisione giusta e non aspettare il presunto "auto-passaggio".
Bene, come assicurarsi che i denti non facciano male ...
Estrarre.
Ieri ero nello studio del medico, ho rimosso il nervo infiammato, pulito i tre canali e messo un sigillo temporaneo. Gratuito, per politica! Grazie al dottore e molti anni di vita sana!
A quanto pare, ho la pulite. Hanno inserito un sigillo, hanno detto che era necessario trattarlo. Bene, speriamo che tutto vada bene.
Grazie per l'articolo Perché l'ignoto è il peggio)
Grazie, buon articolo. Ora sto volando un dente, ma, sfortunatamente, è già pulpito. Non trascinerò mai più una visita dal dentista e all'inferno con il lavoro, a causa del quale non c'è tempo per andare dal medico. E dannatamente, dolce, tuttavia, colpisce molto i denti ...
Che orrore. Urgente dal dentista.
Di recente ho curato tutti i denti, sono molto grato ai nostri dottori. Prenditi cura dei tuoi denti.
È stato possibile non esporre foto così terribili!
Prima di leggere, non pensavo che tutto sarebbe stato grave, in misura difficile. Ora ho capito che domani avrei bisogno di andare dal dottore ...
Grazie! Articolo molto utile e interessante.
La metà del viso era molto dolorosa. Hanno messo la nevralgia del trigemino. Il trattamento fallì. Segni come con la pulpite Dobbiamo andare dal dentista. Come distinguere tra malattie?
Benvenuti! È importante valutare l'integrità di tutti i denti: la ricerca di un dente causale è determinata sia dal dolore (dove il dolore "spara") sia dal suo aspetto, che può variare notevolmente a causa della carie. Non hai scritto se è stata eseguita una radiografia o una radiografia panoramica. Comunque sia, nel tuo caso è necessaria una diagnosi approfondita.
Nel frattempo, noto solo un paio di punti per riflettere.La nevralgia del trigemino è caratterizzata da: un forte dolore parossistico che si verifica quando si mangia cibo, si parla. Il dolore non si verifica di notte. Vi è una maggiore sensibilità durante la palpazione della pelle nei punti in cui alcuni nervi escono dai fori ossei del cranio. Ma con la pulpite (diffusa, che si manifesta con dolori irradianti), al contrario, spesso compaiono dolori di notte e ci sono denti "sospetti" nella cavità orale, che spesso hanno superfici rotte. Inoltre, con la polipite, non ci sono dolori limitati alla comunicazione con le persone quando esiste un'espressione facciale attiva.
Quindi dovresti assolutamente andare dal dentista.
Grazie mille per le informazioni utili!
Sono andato dal medico con una lamentela per il mal di denti. Ho scattato una foto. Non ci sono state violazioni visibili e il medico mi ha consigliato di acquistare dentifricio al fluoro e massaggiare il dente interessato con la pasta. Un mese dopo, è stata costretta a consultare nuovamente un medico. Il risultato è la pulpite! Trattamento: o pagato (almeno 8.000 rubli) o può essere rimosso. Ecco il consiglio di un medico!