
La polpite cronica può essere il risultato dello stadio acuto dell'infiammazione dei tessuti molli all'interno del dente o di una malattia indipendente, ma indipendentemente dalla causa, è forse la forma più insidiosa di pulpite. Se, con la comparsa di dolori acuti, molti cercano rapidamente aiuto, quindi con pulpite cronica, il più delle volte i sintomi non vengono espressi e talvolta il dente non fa affatto male.
Questo è dove insidiosa la malattia, poiché il decorso asintomatico o lento della malattia prima o poi si traduce, nella migliore delle ipotesi, esacerbazione della polpite cronica con una tavolozza di dolore intollerabile e, nel peggiore dei casi, parodontite, quando si tratta di salvando un dente dall'estrazione. Inoltre, qualsiasi tentativo di sopportare la parodontite (come spesso viene fatto soprattutto da quelli "pazienti") porta spesso alla suppurazione sulle radici - cisti o a complicanze della parodontite - periostite ("flussi"), osteomielite, ascessi, flemmone o sepsi, quando già arriva sul salvare la vita di una persona.

Come si sviluppa la polpite cronica, quali sono i suoi sintomi caratteristici, le caratteristiche di riconoscimento, trattamento, nonché la prevenzione delle complicanze - ne parliamo più avanti.
Cos'è la pulite cronica?
In generale, la pulpite è un'infiammazione del fascio neurovascolare all'interno della corona del dente e dei canali radicolari. Se in alcuni casi di polmonite acuta (focale) è possibile interrompere il processo infiammatorio e trattare il dente in modo conservativo, cioè senza rimozione del nervo, quindi la pulite cronica è quasi sempre una forma irreversibile della malattia. In questo caso, una graduale degenerazione della polpa avviene all'interno del dente: la formazione di tessuto fibroso, la necrosi (necrosi) o la proliferazione del fascio neurovascolare fino a riempire la cavità che porta alla patologia.

Secondo studi condotti in diverse regioni, la polpite cronica rappresenta circa il 75% delle visite, vale a dire che molti cercano aiuto non a causa di gravi sintomi di dolore, che spesso non si verificano con questa forma, ma a causa della paura di perdere un dente. In genere, la pulpite cronica è il risultato di una forma acuta, sebbene i bambini spesso si sviluppino senza di essa. Per le caratteristiche interessanti della pulpite acuta purulenta, vedi un articolo separato: Sintomi caratteristici di pulpite purulenta acuta e metodi del suo trattamento.
Le forme croniche di pulpite sono causate da microrganismi patogeni, nonché dai loro prodotti metabolici, e nella maggior parte dei casi la malattia è provocata dalla carie profonda o da un trattamento improprio: violazione della tecnica di lavorazione del dente, scarsa pulizia della cavità cariata, riempimento mal posizionato, ecc. "Trigger" meno frequenti dello sviluppo della patologia sono:
- lesioni ai denti
- blocco dei canali con pietre ("tappi" di sale)
- penetrazione di batteri attraverso l'apice della radice del dente nelle malattie maxillo-facciali e generali (parodontite, periostite, osteomielite, sinusite, influenza, ecc.)

Dalla pratica del dentista
Sorprendentemente, alcuni temerari stanno seriamente cercando di curare la pulite a casa e non usano nemmeno metodi popolari per questo, ma semplicemente metodi barbarici per il dente e il corpo. Ad esempio, prendono un sottile ago d'acciaio, lo riscaldano rovente e lo iniettano in una profonda cavità cariata, cercando in tal modo di cauterizzare il "nervo" all'interno del dente con esso. Nel migliore dei casi, con questo metodo antidiluviano, lo stadio acuto dell'infiammazione si trasformerà in polmonite cronica. Situazioni abbastanza interessanti si verificano anche quando si tenta"Trattamento" di pulpite con aglio.
A proposito, oltre 200 anni fa, le persone hanno escogitato un modo per estrarre i tessuti molli dai canali dei denti usando una normale corda di piano. Il canale stesso è stato quindi pulito con la stessa corda.
Sintomi di pulpite cronica
Come già accennato, la pulpite cronica, a differenza delle forme acute, può essere asintomatica. Pulite acuta si manifestano sempre come un forte dolore parossistico con piccoli spazi "luminosi" (senza dolore). Per tutta la polpite cronica, di solito è caratteristico solo il dolore doloroso con diversi intervalli di periodi senza dolore.
Più spesso trovato in odontoiatria pulite fibrosa cronica (in quasi il 70% dei casi), meno spesso - cancrenoso. Non si verifica quasi mai negli adulti, polmonite ipertrofica, diagnosticata solo occasionalmente all'appuntamento con un dentista pediatrico.


I sintomi della pulpite fibrosa cronica (a volte chiamata semplice cronica) sono dolore da tutti i tipi di irritanti: freddo, caldo, dolce, dall'aria fredda, ecc., Che non scompaiono a lungo dopo aver eliminato il fattore irritante. Inoltre, questa patologia specifica è caratterizzata da un sintomo così specifico come l'insorgenza di dolore prolungato durante il passaggio dal freddo a una stanza calda.
nota
La pulpite cronica semplice, come diagnosi, non viene utilizzata da molti dentisti, poiché nel suo nome non riflette l'essenza della degenerazione della struttura del fascio neurovascolare. Per molti professionisti, la questione rimane ancora il motivo per cui l'autore della classificazione di Hofung definisce semplice la polmonite fibrosa cronica, poiché in realtà questo non riflette il quadro reale.
A volte la pulpite fibrosa cronica è asintomatica. Ciò è dovuto alla speciale localizzazione della cavità cariata (ad esempio, sotto la gomma), quando gli stimoli non possono influenzarla, o al messaggio passante della cavità e della camera pulpare - in tali casi non c'è gonfiore e scoppio della polpa e non ci sono dolori, rispettivamente.

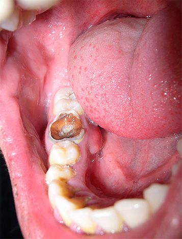
Per quanto riguarda il cronico polpite cancrenosa, quindi forse il sintomo più comune di questa forma di malattia è un odore sgradevole che si diffonde dal dente. Un sintomo frequente è anche il dolore crescente dal caldo, che non si ferma per molto tempo, anche dopo che l'irritante non è più in bocca. A volte ci sono dolori di scoppio nel dente.
Anche se si osserva un decorso asintomatico, molti notano un cambiamento nel colore dei denti: l'aspetto di un colore grigiastro. Di norma, la comparsa di tutti questi sintomi della pulpite gangrenosa cronica è preceduta da dolori acuti e spontanei, che poi scompaiono. Ciò suggerisce che in molte persone il decorso cronico della malattia è preceduto dalla sua forma acuta.
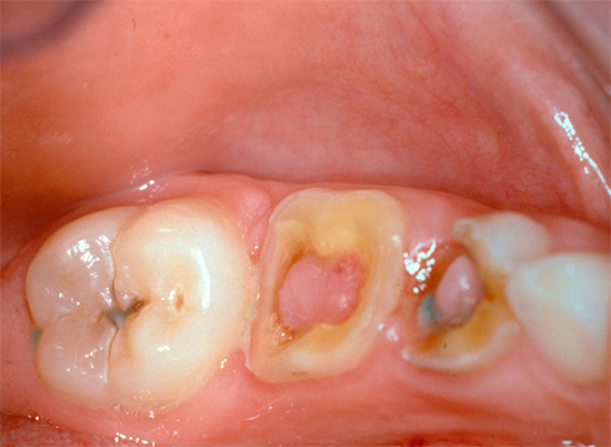
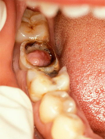
Nella pulpite ipertrofica cronica, il dente, di regola, è leggermente preoccupato. Il sintomo principale in questo caso è il dolore doloroso durante la masticazione di cibi solidi e raramente da irritanti della temperatura. A volte si osserva sanguinamento del dente durante il pasto, che è associato alla crescita nella carie cavità della polpa del tipo di "carne selvatica" e alla sua lesione meccanica. È questo sintomo di polmonite cronica che spesso spaventa una persona, costringendola a cercare aiuto alla fine.
Sintomi di polmonite rara
Nella pratica di un dentista, a volte si trova la pulite senza carie:
- traumatica;
- Konkrementozny;
- Retrograda.
Tra questi, il più comune è la pulpite traumatica - un processo infiammatorio acuto che si sviluppa sullo sfondo di una lesione del dente. In caso di caduta (da una bicicletta, da un'altalena) si verificano lesioni acute ai denti, a causa di colpire vari oggetti (rondella, palline), ecc. Nella maggior parte dei casi, i denti anteriori superiori soffrono, causando forti dolori da freddo e caldo, nonché dolore quando si mangiano cibi solidi.

Se la polpa viene danneggiata durante una lesione del dente, l'infezione si unisce allo sviluppo dolore polmonare acuto: prolungato e spontaneo, cioè che si verifica anche senza sostanze irritanti. Di norma, questo accade entro un giorno. Se non consulti un medico durante questo periodo, dopo un po 'di tempo la forma acuta di pulpite traumatica può passare allo stadio cronico.
La pulpite traumatica cronica è letargica, con quasi nessun sintomo. La comunicazione del "nervo" aperto con l'ambiente lo fa sembrare una polpite fibrosa cronica con i suoi segni caratteristici. Senza trattamento, la forma cronica può andare in esacerbazione o parodontite (infiammazione dei tessuti attorno alla radice del dente).
La pulpite da calcolo cronico è caratterizzata da sintomi che aumentano lentamente, come:
- attacchi di dolore prolungati, a volte innescati da stimoli termici (freddo, caldo);
- lunghi dolori spontanei, a volte estesi all'orecchio, al tempio, allo zigomo, alla nuca;
- a volte il dolore si sviluppa quando la testa è inclinata in una direzione o nell'altra.
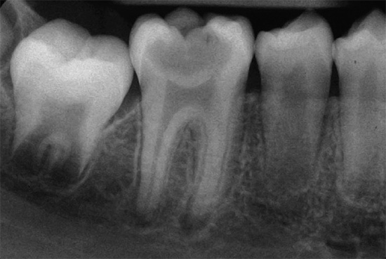
Questa natura del dolore è determinata dalle cause che le causano: spremere la polpa del dente con dentelli o pietrificati - formazioni simili a pietre. I calcoli possono essere rilevati nei canali del dente usando una radiografia.
Pulpite retrograda: ha uno stadio acuto e cronico, ma differisce dalla polpite classica in quanto si sviluppa senza carie. L'infezione entra nella polpa attraverso l'apice della radice in malattie come osteomielite, sepsi, sinusite, ecc. In una forma cronica, la pulite retrograda è asintomatica o con sintomi persistenti.

Diagnosi tempestiva e suo significato
Per diagnosticare la polpite cronica, oltre a conoscere la storia medica (lamentele, tempo di insorgenza, durata, ecc.), Il medico deve anche eseguire una serie di misure diagnostiche.
I metodi di ricerca aggiuntivi più comuni sono:
- ispezione visiva;
- termometria;
- EDI;
- radiografia.
L'ispezione visiva del dente con una sonda appuntita e uno specchio fornisce circa il 50% delle informazioni necessarie. In termini di aspetto della cavità, indolenzimento del suo fondo, comunicazione con la camera pulpare (il luogo in cui si trova il "nervo"), si può già ipotizzare la pulite cronica.

Se c'è un messaggio con una cavità cariata e compaiono dolore e sanguinamento quando si sondano con una sonda acuta, allora con un alto grado di probabilità è cronico pulite fibrosa. Con un cambiamento nel colore dei denti, l'aspetto di un'ombra grigia, con una grande quantità di tessuto cariato ammorbidito nella cavità del dente, quando il "nervo" viene parzialmente distrutto e il dolore si verifica solo quando si sondano i canali, allora è molto probabilmente una polpite cranica cronica. La comparsa di tessuto troppo cresciuto all'interno della cavità in combinazione con l'indolenzimento quando lo sondano il più delle volte indica una polpite ipertrofica cronica.
Termometria. Come ulteriore studio, ricorrono spesso alla termometria: un'analisi della reazione di un dente a un raffreddore e, meno spesso, a uno caldo. Quando un dente reagisce a un raffreddore si può tranquillamente affermare che il "nervo" al suo interno non è morto, quindi non stiamo parlando di parodontite. Per una termometria accurata, è possibile utilizzare sensori speciali sviluppati da епepulis e Sirviden, che rilevano la differenza di temperatura tra un dente sano e uno cattivo.
L'EDI o, in caso contrario, l'elettroodontodiagnosi è uno dei metodi più accurati per diagnosticare la pulpite. Il suo principio si basa sulla diversa eccitabilità elettrica di una polpa sana e malata.
Un “nervo” sano reagisce già con dolori deboli a una forza attuale di 2-6 μA. Le forme acute di pulpite reagiscono a correnti da 20-25 a 35 μA. La polmonite fibrosa cronica viene registrata con una forza attuale di 35-50 μA, con cancrena cronica - a 60-90 μA.La pulpite ipertrofica cronica non viene diagnosticata con EDI e la radiografia viene utilizzata per assottigliarla.
La radiografia è un metodo basato sullo studio di fotografie radiografiche di un dente con i tessuti circostanti trasferiti su un computer mediante un apparato - un visiografo (a meno che, ovviamente, non stiamo parlando di una clinica moderna).

Per confermare la diagnosi di pulpite ipertrofica cronica, la radiografia non dovrebbe mostrare alcun cambiamento nei tessuti che circondano il dente e nell'area del setto interropo. In un quadro dentale con pulpite fibrosa cronica, il più delle volte non ci sono anche cambiamenti, ma a volte viene fissata una leggera espansione del gap parodontale (tra la radice del dente e l'incavo), che complica la diagnosi. La polpite gangrenosa cronica è caratterizzata in rari casi da disturbi ossei all'apice delle radici dei denti, pertanto la diagnosi è confermata dalla termometria e dall'EDI.
Trattamento moderno di forme croniche ed esacerbazioni della pulpite
Poiché la pulpite cronica è una forma irreversibile di infiammazione dei tessuti molli, quando non possono più essere immagazzinati nel dente, vengono spesso utilizzati per il trattamento estrazione completa della polpa da tutti i canali dentali. Lo stesso approccio è seguito nel trattamento della pulpite cronica nella fase acuta.

Nell'odontoiatria moderna, viene data preferenza al metodo di estirpazione (estrazione) vitale del "nervo". Durante il trattamento delle forme croniche di pulpite o delle sue esacerbazioni, viene utilizzata solo l'anestesia senza fondi aggiuntivi per la devitalizzazione (uccisione) della polpa.
Numerose istituzioni, in particolare quelle di bilancio, usano ancora pasta di arsenico ("arsenico") o prodotti privi di arsenico per la preparazione preliminare della polpa per la sua estrazione nella terza visita. Anche l'anestesia viene spesso utilizzata, ma la mancanza di tempo, l'incapacità di portare l'anestesia alla perfezione, la fretta o le caratteristiche individuali della mascella di un particolare paziente portano all'incapacità di rimuovere immediatamente il "nervo".

La pasta di arsenico viene posta su denti a radice singola per 24 ore, su denti a radice multipla - per 48 ore. La pasta senza arsenico viene messa a lungo: da 2-3 giorni a una settimana o più. A differenza della pasta di arsenico, non ha un effetto dannoso sul tessuto che circonda la radice, agisce lentamente e delicatamente. Questo è il motivo per cui viene data sempre più preferenza specificamente ai prodotti senza arsenico.
Dall'esperienza del dentista
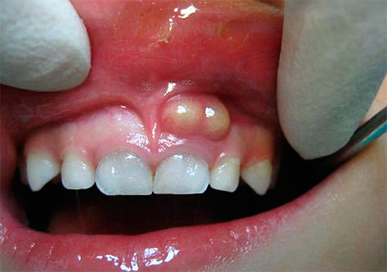
Il trattamento dei canali dentali è un evento molto importante. Rimuovere i "nervi" dai canali qui non è abbastanza, come pensano molte persone. Solo un lavaggio prolungato dell'intera infezione dal sistema del canale, il trattamento delle pareti interne delle radici dai tessuti infetti e quindi un riempimento affidabile possono dare buoni risultati a lungo termine. Se almeno una di queste fasi viene violata, nel prossimo futuro può verificarsi dolore in un dente "morto" e inizieranno a verificarsi cambiamenti nei tessuti che circondano la radice, fino alla formazione di una "cisti" - un sacco pieno di pus e limitato da una capsula sana sezioni di osso. Vedi anche l'articolo Procedura di rimozione della cisti dentale e suo trattamento senza chirurgia.
Complicanze dopo il trattamento della pulpite cronica
Dopo il trattamento della pulpite cronica o della sua esacerbazione, i pazienti spesso si sentono dolori che i dentisti chiamano post-riempimento.
nota
Numerosi autori ritengono che normalmente tali dolori non dovrebbero verificarsi affatto, tuttavia, l'imperfezione della componente tecnica e professionale consente lievi dolori doloranti immediatamente dopo il riempimento (dura non più di un'ora) o dolori quando si morde un dente che dura da 1 a 3 giorni.
I dolori post-riempimento che si adattano alla norma condizionale sorgono a causa di lievi lesioni ai tessuti che circondano il dente, con una grossolana separazione del "nervo" durante l'estrazione, a causa del trattamento farmacologico del canale con forti antisettici, che in piccole quantità cadono fuori dalla radice, e anche a causa dell'uscita di un sottile strumento intracanale oltre l'apertura della radice apicale.

Le violazioni gravi del medico sono:
- riempimento di scarsa qualità del canale o dei canali;
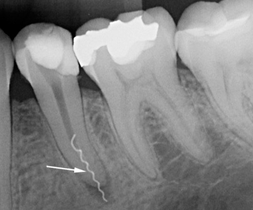
- rottura dell'utensile nel canale;
- creando perforazioni nel canale (fori o danni alla parete della radice).

Se nel trattamento della pulpite cronica o delle sue esacerbazioni c'è un riempimento incompleto dei canali o il loro riempimento eccessivo (rimozione del materiale all'apice), immediatamente o dopo un po '(da un giorno a un anno o più) compaiono sintomi corrispondenti alla periodontite nell'esacerbazione. In questo caso, possono esserci spesso dolori acuti, l'incapacità di toccare il dente anche con la lingua, la natura pulsante del dolore e in alcuni casi, dopo qualche tempo, possono verificarsi gonfiore della mucosa nella regione dell'apice della radice del dente.
Quando uno strumento viene rotto nel canale, il dente potrebbe non manifestarsi a lungo, ma prima o poi l'infezione nella sezione della radice "non pulita" e non sigillata causerà un processo purulento nel canale con la formazione di un "flusso", o il processo avrà una forma cronica con formazione al meglio fistole (dotti che si aprono sulle gengive, attraverso le quali il pus dalla radice del dente viene secreto nella cavità orale) e, nel peggiore dei casi, la formazione di sacche purulente - cisti.

La perforazione o, in altre parole, un "buco" nella radice, si manifesta quasi sempre immediatamente. Spesso il paziente stesso si accorge quando il medico ha lasciato erroneamente il canale al posto della "gomma". Di norma, poche ore dopo tale trattamento di pulpite cronica o esacerbazione, si verificano gravi dolori doloranti o dolori parossistici acuti. A volte anche antidolorifici potrebbe non essere d'aiuto.
Riassumendo ...
Ai primi sintomi della pulpite cronica o della sua esacerbazione, dovresti consultare immediatamente un medico. Per garantire al 100% che durante il trattamento non ci saranno complicazioni, non una singola clinica può farlo, ma in molti di essi esiste un approccio speciale al trattamento della pulpite cronica e di altro tipo, che riduce al minimo questi rischi.
Quindi, ad esempio, molte cliniche dentali costose prestano molta attenzione al trattamento intracanale della pulpite cronica, dedicando almeno 1 ora a questa procedura (per un dente a canale singolo). Le organizzazioni di bilancio non possono vantare una tale riserva di tempo per il trattamento meccanico e farmacologico dei canali e il loro solo riempimento. Ma qualsiasi corsa aumenta il rischio di complicazioni ...
Il ruolo principale nella prevenzione delle complicanze è svolto dalla formazione professionale del dentista e dal livello delle attrezzature della clinica. Pertanto, è importante ottenere le massime informazioni da parenti e amici sulla clinica e sui suoi medici prima del trattamento. La scelta corretta dell'istituzione e del medico ti consentiranno di trattare e sigillare con successo i canali, preservando il dente per molti anni.
Un video interessante sulle cause della pulpite e sul suo potenziale pericolo
Un esempio entusiasmante di rimozione di uno strumento rotto da un canale dentale
