
Attualmente sono note più di 20 classificazioni di pulpite, alcune delle quali sono ancora utilizzate dai dentisti nel processo. Tuttavia, non una singola classificazione della pulpite è universale, in quanto non è in grado di riflettere con precisione al 100% le caratteristiche di un particolare tipo di pulpite da tutti, per così dire, "angoli" di questa malattia.
È interessante
Un numero così elevato di classificazioni di pulpite è spiegato da diversi approcci alla descrizione di ciascun tipo di una, in generale, malattia. Gli autori hanno cercato di riflettere nel loro raggruppamento i fattori causali dell'insorgenza della malattia, della clinica, dello sviluppo, dei processi sottostanti che si verificano nei canali del dente con pulpite, ecc.
Tuttavia, nessuno è stato in grado di descrivere tutto in una sola sistematizzazione. Poche persone sono riuscite a combinare in una classificazione alcuni degli aspetti più significativi della malattia per ciascuna delle sue varietà, il più vicino possibile alla sistematizzazione ideale per un dentista praticante. Sono queste classificazioni lavorative che i dentisti usano ancora, nonostante siano passati molti anni dall'apparizione di molti di loro.
Per classificare pulpite provato all'inizio del secolo scorso. Una delle prime classificazioni fu proposta nel 1925, ma era troppo ingombrante e non rifletteva la descrizione esatta di ciascuna sottospecie della malattia. Tuttavia, il lavoro per creare una sistematizzazione della pulpite conveniente per la pratica dei dentisti non si è fermato: circa ogni 5-10 anni veniva pubblicato un nuovo gruppo, spesso con certe somiglianze con le precedenti classificazioni, o diverso da loro in letteralmente una o due sezioni alterate.
Alla fine del XX secolo, fu pubblicata la classificazione internazionale delle malattie della decima revisione, o in forma abbreviata - ICD-10 sotto la guida dell'OMS (Organizzazione mondiale della sanità, inglese. Organizzazione mondiale della sanità o OMS). La classificazione della pulpite secondo l'ICD-10 ha iniziato ufficialmente ad essere applicata nella pratica nel 1999 per la contabilità statistica del lavoro di un dentista. Un codice speciale viene inserito nei coupon del paziente dentale (secondo ICD-10), che consente di crittografare uno o un altro tipo di pulpite.

Sfortunatamente, questa classificazione è ancora utilizzata come rapporto statistico del medico sul lavoro svolto per il giorno, il mese e l'anno. Non riflette l'immagine reale., come per la stessa pulpite, la classificazione per ciascun tipo considera alcuni aspetti della malattia ed è difficile da scrivere, motivo per cui un dentista che utilizza sistematizzazione per lui da molti anni inserisce un codice nel coupon del paziente odontoiatrico che crittografa proprio come il tipo di pulpite da lui curata il giorno prima .
Varietà di pulpite per origine
In totale, si distinguono 4 tipi di pulpite, che differiscono per origine. Rivediamo brevemente le caratteristiche di ciascuno di essi.
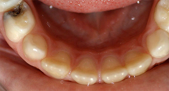
Pulite infettiva
L'infiammazione del fascio neurovascolare all'interno del dente si verifica più spesso a causa degli effetti aggressivi dei microrganismi e delle loro tossine sul tessuto polmonare vivente. Sono i batteri che determinano l'eziologia infettiva di quasi ogni pulpite.
Il modo classico di "infettare" la polpa con la sua successiva infiammazione è la penetrazione dei microbi dalla cavità cariata più in profondità nei tubuli dentinali o (meno comunemente) il loro effetto diretto sul "nervo" già aperto. Queste due opzioni si trovano in oltre il 90% dei casi.

nota
A volte esiste la cosiddetta via retrograda dell'infezione alla polpa.La pulpite retrograda si verifica se i microrganismi (ad esempio, possono essere stafilococchi, streptococchi, batteri putrefattivi, ecc.) Penetrano nel dente non attraverso la cavità cariata, ma attraverso il foro apicale nella radice. Questo a volte accade con infezioni respiratorie acute, osteomielite, rosolia e alcune altre malattie.
Una fonte ematogena (attraverso il sangue) di infezione da polpa non è comune, poiché le difese del corpo di solito riescono a bloccare i patogeni molto prima che entrino nelle arteriole che alimentano il fascio neurovascolare del dente. L'infezione retrograda include anche la penetrazione di microbi dai focolai più vicini alla radice del dente, ad esempio con sinusite, periodontite - anche attraverso un'apertura nell'apice della radice.

Pulite traumatica
Questo nome riflette l'origine della pulpite, ma non i processi che si sviluppano nella polpa danneggiata. La lesione, che spesso è solo il meccanismo scatenante della malattia del "nervo", in breve tempo inizia la componente infettiva dell'ulteriore sviluppo della pulpite e della sua progressione.

Normalmente, la polpa è sempre in condizioni sterili. Quando viene aperto durante una lesione del dente, i batteri della cavità orale, che in precedenza erano condizionatamente patogeni, si precipitano nella camera pulpare del dente, dove causano lo sviluppo di un processo infiammatorio infettivo.

nota
Molto spesso, i dentisti pediatrici si trovano ad affrontare una polpite traumatica, poiché sono i bambini che sono spesso suscettibili a varie lesioni con danni alla regione maxillo-facciale. La malattia può svilupparsi come se morso di lattee quando costante. Molto spesso, gli incisivi superiori centrali e (o) laterali sono danneggiati, ma in alcune situazioni anche i denti anteriori inferiori possono essere danneggiati.
La pulpite traumatica può verificarsi non solo con una frattura della corona, ma anche con gravi lividi del dente, dislocazione e sublussazione o frattura della radice, quando si verifica necrosi della polpa (necrosi) all'interno del dente. In questi casi, la malattia si sviluppa senza la partecipazione di microflora patogena - si può dire, nello stato chiuso.
Come dimostra la pratica, i principali tipi di lesioni che portano allo sviluppo della pulpite traumatica sono i seguenti:
- delle famiglie;
- Trasporti;
- arma da fuoco;
- Iatrogena (derivante da colpa del medico).
Merita particolare attenzione la lesione della polpa dovuta al difetto del dentista. Sfortunatamente, non esistono statistiche accurate del fattore iatrogeno nello sviluppo della pulpite, poiché possibili situazioni problematiche, anche se insorgono, vengono immediatamente risolte sul posto attraverso la comunicazione tra il dentista e il paziente - il medico cura semplicemente il dente, che egli stesso ha portato alla pulpite.
Ad esempio, in caso di surriscaldamento accidentale del dente durante la preparazione della carie, odontopreparazione ("rettifica") del dente sotto la corona, durante la perforazione della camera della polpa durante il trattamento carie profonde - in tutti questi casi, dopo un po 'di tempo, si sviluppa quasi sempre una polpite traumatica, che richiede un trattamento immediato.

Dai segreti della "cucina" dentale
I pazienti, a causa del fatto che hanno una scarsa conoscenza delle complessità del trattamento dentale, di solito si affidano allo specialista in tutto. E ci sono molti dentisti che lo usano con piacere, trasformando la normale carie profonda in pulpite.
Perché sta succedendo questo? Nelle cliniche private, il trattamento della carie è molte volte più economico del trattamento della pulpite, quindi la tentazione è quella di dire al paziente che presumibilmente ha una "cavità cariata così profonda che quasi il nervo è visibile". E di conseguenza, invece di riempire, il dente viene “dato” per intero.
Nelle istituzioni di bilancio, dove l'ammissione è gratuita o quasi gratuita, tutto accade in modo diverso, ma niente di meglio: un paziente arriva con carie profonde, ma il medico a volte non ha tempo (altre 15 persone stanno aspettando nel corridoio), desiderio e molto spesso l'apparato diagnostico ( ad es. EDI) per determinare la diagnosi di un determinato dente. Pertanto, per evitare un secondo incontro con il paziente, il dentista "per ogni evenienza" apre la camera pulpare e rimuove il "nervo" dai canali.
Se fosse stato possibile mantenere statistiche sulla pulpite, "che si sono originate dal nulla" proprio all'appuntamento del dentista, probabilmente avrebbero preso il primo posto in diverse cliniche dentali.
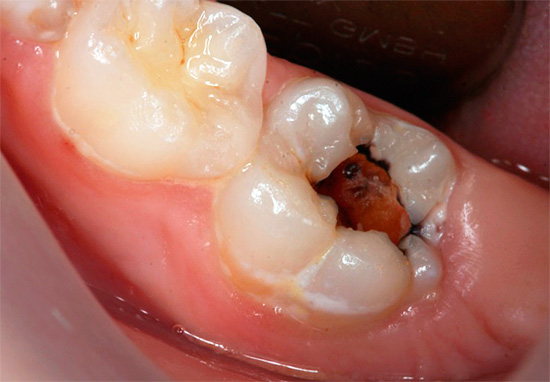
Polmonite da calcolo
La pulpite da concrezione ha un'origine non infettiva: è una conseguenza dei disturbi metabolici nel fascio neurovascolare del dente durante la sua lunga compressione da parte dei cosiddetti denticoli o pietrificati - formazioni che, comparendo nei canali, possono comprimere i vasi sanguigni, interrompere il microcircolo sanguigno nella polpa con la formazione del suo edema trasformandosi quindi in pulpite.


L'intensità dell'irritazione delle terminazioni nervose della polpa determina la gravità del dolore nella pulpite del calcolo.
Polpite da farmaci ("chimica")
Nelle classificazioni moderne, non si distingue, ma in pratica si trova spesso questo tipo di pulpite, come lo stesso fattore iatrogeno o l'errore di un medico. L'ustione chimica della polpa si verifica, ad esempio, nei seguenti casi:
- se usato da un dentista durante il trattamento farmacologico di una cavità cariata preparata di sostanze potenti (alcool, etere);
- con la tecnica sbagliata per l'utilizzo di materiali di tenuta (ad esempio, senza guarnizioni);
- quando vengono introdotti nella tasca parodontale durante il trattamento della parodontite, potenti farmaci che possono penetrare nella polpa attraverso il cemento radicolare o attraverso il foro apicale.

Classificazione della pulpite secondo Platonov: una breve descrizione di ogni tipo
Fino ad ora, i dentisti praticanti in Russia usano la classificazione proposta dal professore e dottore in scienze mediche Platonov Yefim Yefimovich nel 1968. Nonostante non sia privo di alcuni inconvenienti, il suo autore, a differenza di molti dei suoi predecessori, è stato in grado di semplificare in modo significativo la classificazione della pulpite e renderla più chiara per una vasta gamma di dentisti professionisti. In una classificazione, ha cercato di caratterizzare non solo i processi patologici che si verificano con la polpa in una forma o nell'altra della pulpite, ma ha anche notato il decorso della malattia e la localizzazione del dolore.

Platonov E.E. nella sua classificazione, ha identificato tre tipi principali di pulpite nel corso della malattia: affilato, cronico ed esacerbazione della pulpite cronica. Allo stesso tempo, nella pulpite acuta, ha notato due forme: focale e diffusa, dove ha sottolineato la localizzazione del dolore.
Forma focale: una persona indica accuratamente il "centro" del dolore. Pulpite diffusa - indica la natura diffusa del dolore quando si irradia ("spara") lungo il nervo trigemino nell'occhio, nell'orecchio, nel collo, ecc. Qui, l'autore ha trascurato i processi che si svolgono all'interno del dente, semplificando così la diagnosi per i medici praticanti, soprattutto durante un appuntamento di routine.
Infatti, i dentisti trattano ancora più di 10-15 persone per turno a un ricevimento di bilancio, e non ha senso entrare nei dettagli sul processo che si svolge nei canali dentali: sieroso o purulento, come notato dagli autori delle precedenti classificazioni. Basta capire la diagnosi esatta su 1-2 domande principali (adattate alla necessità di chiarire se la persona ha avuto lo stesso dolore acuto in passato, dall'esacerbazione di pulpite simile nei sintomi forma acuta).
Platonov prese in prestito le forme croniche di pulpite per la sua classificazione da autori precedenti, mettendo in evidenza:
- fibroso;
- cancrenoso;
- Ipertrofica.

Queste forme di pulpite nella classificazione di Platonov non riflettono l'eziologia (la causa dello sviluppo dell'infiammazione del "nervo"), ma i processi che si verificano nella polpa. La forma fibrosa caratterizza la degenerazione fibrosa del tessuto polmonare, la cancrena - cancrena (necrosi) della polpa e l'ipertrofia - ipertrofia (proliferazione) del fascio neurovascolare con il riempimento della cavità cariata.
nota
Nel programma Comedy Club in uno degli episodi, il famoso presentatore Garik Martirosyan, commentando la foto in cui, per dirla in modo lieve, non proprio un sorriso hollywoodiano, ha definito la sfortunata "pulpite di terzo grado". In effetti, tale diagnosi non esiste nel sistema di classificazioni noto al mondo.
Classificazione Ip-10 della pulpite: versione adattata
L'Organizzazione mondiale della sanità (OMS) alla fine del 20 ° secolo, grazie a importanti esperti mondiali in vari campi della medicina, ha creato una classificazione delle malattie conosciute, che includeva la sezione "Malattie della cavità orale, delle ghiandole salivari e delle mascelle". Questa classificazione si chiamava ICD-10 e forniva ai dentisti praticanti una suddivisione dettagliata di pulpite e periodontite in tipi e forme.
E uno dei più difficili per un dentista che praticava era la classificazione della pulpite secondo l'ICD-10.

nota
I dentisti, abituati a classificazioni comode e semplici che si riflettono da anni sulla cartella clinica, sono stati costretti a inserire il codice di malattia richiesto con il loro codice nel coupon statistico del paziente dentale in base alla varietà. Se con crittografia della malattia più elementare (carie, pulpite, parodontite, ecc.) non ci sono stati singhiozzi, ma sono iniziati seri problemi con la codifica della forma o del tipo esatto. Pertanto, anche allora una traduzione non ufficiale della classificazione secondo ICD-10 nella "lingua" dei medici praticanti è stata fatta:
K04.00 - la pulpite iniziale o l'iperemia della polpa viene tradotta come "carie profonda", K04.01 - pulpite acuta - significa "focale acuta", K04.02 - pulpite purulenta, ascesso pulpare - caratterizza la polpite acuta diffusa, ecc. Molti medici (dove non esiste un attento monitoraggio dei dettagli delle cifre) hanno reso ancora più semplice: per qualsiasi pulpite hanno sempre messo il codice generale K04.0, che significa semplicemente "Pulpito". Comprende 9 forme in contumacia: da acute (croniche) e terminanti con specifiche e non specificate.
Per parafrasare le parole di Mayakovsky: "se ogni forma di pulpite è codificata, qualcuno ne ha bisogno?" Tuttavia, molti medici non hanno ancora una risposta alla domanda su chi ne abbia assolutamente bisogno ...
Classificazione della pulpite nei bambini secondo T.F. Vinogradova
perché pulpite nei bambini possono essere in denti permanenti e primari, tengono conto del grado di formazione delle strutture interne del dente, cambiamenti legati all'età, hanno il quadro clinico più imprevedibile (a causa di difficoltà di comunicazione, la psiche acerba del bambino, ecc.) - per tutto ciò, un separato classificazione della pulpite, tenendo conto della clinica e semplificando la diagnosi di ciascuna delle forme in una o un'altra fase dello sviluppo.

TF Vinogradova ha proposto un'estesa classificazione della pulpite dei denti permanenti e temporanei nei bambini. Ha determinato che la pulpite acuta nel latte e nei denti permanenti procede in modo diverso, quindi ha distinto due sezioni. Nel primo ha incluso:
- sieroso acuto;
- purulento acuto;
- e polmonite acuta con coinvolgimento dei tessuti parodontali e dei linfonodi regionali nel processo.
Per la seconda sezione della pulpite dei denti permanenti nei bambini, ha introdotto:
- pulpite parziale sierosa acuta per denti con radici formate;
- polmonite acuta sierosa e purulenta;
- così come la polpite parziale purulenta acuta.
Per la polmonite cronica di denti permanenti e temporanei nei bambini, Vinogradova ha notato forme in parte simili alla classificazione della pulpite di Platonov:
- semplice cronico;
- proliferativo cronico;
- ipertrofico proliferativo cronico;
- e polmonite cancrenosa.
L'ultima sezione è un'esacerbazione della pulpite cronica del latte e dei denti permanenti.
Questo non vuol dire che questa classificazione sia universale per i dentisti pediatrici, tuttavia, i medici praticanti si sono occupati attivamente e si stanno rivolgendo ad essa, nonostante sia stata creata già nel 1987.
nota
Per la maggior parte dei dentisti che praticano un appuntamento dal dentista, non è tanto una classificazione di ogni tipo di pulpite che è richiesta, ma una differenza fondamentale tra l'infiammazione del fascio neurovascolare e la parodontite, una malattia che coinvolge i tessuti che circondano la radice del dente nel processo infiammatorio. Con rare eccezioni quando si fa una diagnosi di "pulpite" (non importa quale), il dentista inizia il trattamento endodontico dei canali dentali e si deve pensare alla sua forma esatta quando descrive i documenti medici, anche se a volte viene percepita come una formalità non necessaria e viene inventata dal medico in viaggio .
Ciò è particolarmente vero per la codifica della diagnosi nei coupon del paziente dentale secondo ICD-10. In altre parole, qualunque sia la polmonite di origine, decorso, gravità, forma, ecc., Il dentista fa quasi sempre lo stesso. E allora perché è necessario suddividere la malattia in sottospecie? Apparentemente, per facilitare la distinzione tra una varietà di pulpite e una forma simile di parodontite.
Video utili sulla pulpite e le sue caratteristiche
Ed è così che viene trattata la pulite: è possibile seguire tutte le fasi



