
Prima di tutto, notiamo che il prezzo del trattamento della pulpite di un dente a tre canali dipende davvero dal numero di questi canali radicolari in esso, e qui la regola generale è questa: più ci sono, più costosa è la procedura di trattamento. E non solo più costoso, ma, inoltre, con un gran numero di radici, spesso sorgono una serie di sfumature di procedure endodontiche, di cui parleremo più dettagliatamente in seguito.
nota
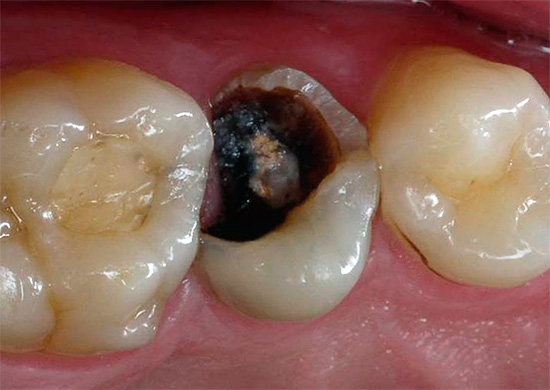
pulpite È una malattia in cui si verifica l'infiammazione del cosiddetto "nervo" dentale (polpa). I molari grandi (molari) hanno spesso tre canali, in ciascuno dei quali è presente un fascio neurovascolare. Quando si verifica un processo infiammatorio nella polpa, si gonfia e si stringe, a seguito del quale una persona può sentire un forte dolore.
La pulite richiede un trattamento obbligatorio: non dovresti aspettarti che tutto si risolva in qualche modo e il dolore scompare da solo, come a volte accade con il dolore con carie. Il dolore può davvero scomparire quando il "nervo" muore completamente, ma poi inizia a decomporsi proprio all'interno del dente e senza un trattamento adeguato non porterà a nulla di buono.

Il trattamento della pulpite di un dente a tre canali, a differenza di un dente a canale singolo, è spesso tecnicamente più difficile, quindi un medico deve dedicare più tempo e sforzi per svolgere un lavoro di qualità, nonché applicare attivamente i risultati dell'odontoiatria moderna.
Oggi, nella maggior parte delle cliniche, la pulpite a tre canali è quasi sempre trattata dall'estirpazione - estrazione nervosa da tutti i canali e il loro riempimento nella fase finale del trattamento intracanal.

È interessante
Nei denti superiori della saggezza, ci sono le opzioni più imprevedibili per il numero e la posizione di radici e canali. Di norma, i medici incontrano l'ottavo, uno, due e tre canali, ma c'erano anche casi di 4 e persino 5 molari, con fino a 8 canali completi!
Le fasi principali del trattamento della pulpite a tre canali
La pulpite a tre canali nella maggior parte delle cliniche dentali viene trattata in due visite. La tecnica della cosiddetta estirpazione vitale è adatta a questi scopi, quando in anestesia locale la polpa viene rimossa da tutti e tre i canali e riempita con il successivo posizionamento di materiale di riempimento temporaneo sul dente. E alla seconda visita, un sigillo permanente viene stabilito in modo sicuro.

Vediamo ora come questo accade in pratica.
Prima visita:
- anestesia dentale;
- preparazione di tessuti molli cariati con punta di una turbina, rimozione di dentina necrotica e pigmentata;

- lavaggio con antisettici;
- apertura di un buon accesso alle bocche dei tre canali;
- estensione della bocca;
- Sovrapposizione di Cofferdam

- estirpazione (estrazione) della polpa da tutti e tre i canali mediante estrattori di polpa;
- passaggio di canali per file, misurazione della loro lunghezza, espansione per file K, file H, macchine utensili con irrigazione costante (lavaggio) del sistema di canali con soluzione di ipoclorito di sodio;
- l'uso dell'EDTA per canali scarsamente percorribili;
- asciugatura dei canali, controllo della misura delle loro lunghezze;
- riempire i canali mediante condensazione laterale fredda di perni di guttaperca con pasta o utilizzando il sistema Thermafil per l'otturazione;
- stadiazione di un riempimento temporaneo o restauro temporaneo di un dente;
- immagine di controllo (radiografia).

Seconda visita:
- ritrattamento dei denti;
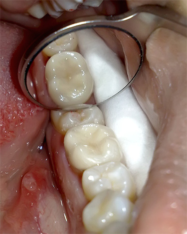
- Impostazione di un sigillo permanente da un composito fotopolimerizzabile o altro materiale importato (un esempio verrà mostrato nella foto sotto).

A volte la pulpite di un dente a tre radici viene trattata in tre visite e anche di più. Dipende dalla metodologia scelta, dalle tattiche del medico, dal livello delle sue capacità professionali e talvolta dalle difficoltà che sorgono durante il trattamento intracanale.
Se è impossibile rimuovere immediatamente la polpa dai canali, il dentista mette una preparazione devitalizzante sulla camera della polpa aperta per "uccidere il nervo" per il prossimo appuntamento. Di conseguenza, ciò aumenta il trattamento della pulpite a tre canali di una visita.
In epoca sovietica, anche sulla pulpite monocanale, mettere "arsenico" per un periodo di 24 ore. Una tale pratica con l'attuale livello di sviluppo dell'odontoiatria è già inaccettabile. Il trattamento della pulite da un dente a canale singolo, così come un dente a due canali, viene quasi sempre eseguito in una visita (con rare eccezioni).
Grandi molari (principalmente inferiori) a causa delle caratteristiche strutturali della mascella e della posizione dei nervi che determinano la sensibilità dei denti a volte non possono essere "congelati" nella misura in cui il nervo può essere rimosso immediatamente, cioè la sensibilità al dolore rimane. Pertanto, la via d'uscita da questa situazione è proprio l'uso preliminare dell'uccisione di paste di pasta (nelle persone sono ancora chiamate "arsenico", sebbene i farmaci moderni siano stati a lungo privi di arsenico).

nota
In diverse cliniche trattamento della pulite viene sempre eseguito in una sola visita e indipendentemente dal numero di canali: sono sigillati e viene immediatamente stabilito un riempimento permanente sul dente. Gli studi hanno dimostrato che spesso questa pratica porta a conseguenze negative a lungo termine, poiché il materiale introdotto nei canali deve prima indurirsi. Non iniziano i lavori di costruzione fino a quando la fondazione non si indurisce, poiché le conseguenze possono essere disastrose - e qui la situazione è la stessa. Questo è il motivo per cui si raccomanda di trattare la pulpite in almeno due visite.
L'uso di un microscopio nel trattamento della pulpite
Un microscopio in endodonzia viene utilizzato, in particolare, per diagnosticare il numero di canali radicolari e la qualità del loro passaggio. Il trattamento della pulpite di un dente a tre radici al microscopio consente di trovare e trattare rapidamente anche i passaggi più difficili e ci sono molti casi simili nella pratica di un dentista.

Un microscopio endodontico ci consente di dire con quasi il 100% di certezza alla fine del trattamento che tutti i canali sono stati passati e correttamente sigillati. È lui che ti consente di controllare ogni fase del trattamento della pulite, prevenendo ulteriori complicazioni. Il trattamento tradizionale senza l'uso di un microscopio è spesso associato alla presenza di conseguenze negative a lungo termine, ad esempio a causa del fatto che il medico semplicemente non ha potuto vedere il canale aggiuntivo nel dente e lo ha perso durante il trattamento, lasciando una polpa infetta al suo interno.
A volte, durante il trattamento della pulpite, il medico trova 3 canali, ma in realtà c'è un quarto canale (o addirittura un quinto) "ben nascosto" nel dente. Ci sono casi in cui non manca un canale, ma diversi, poiché ci sono opzioni complesse per la loro posizione nel dente.


È interessante
Per il trattamento dei canali, il microscopio è stato usato per la prima volta di recente - negli Stati Uniti (1992). Un moderno microscopio endodontico consente di trattare i denti con un ingrandimento di quasi 30 volte. Durante la procedura, il medico osserva attraverso l'oculare del microscopio ed esegue manipolazioni complesse nei canali. Una videocamera può essere collegata al microscopio, consentendo di trasferire l'immagine sul monitor. Allo stesso tempo, il medico non è troppo vicino al paziente, poiché il microscopio aiuta a trattare il dente in qualche modo da remoto, il che soddisfa quei pazienti a cui non piace entrare nel loro spazio personale. Questo trattamento è considerato uno dei più avanzati al mondo.
Il prezzo elevato per il trattamento della pulpite di un dente a tre canali può spaventare i pazienti anche con un reddito normale, poiché potrebbero esserci due o anche tre volte di più rispetto all'opzione di trattamento tradizionale (e immaginare come andavano le cose con il trattamento della pulpite di un dente a quattro canali). Tuttavia, un prezzo così elevato è spesso abbastanza giustificato date le specifiche di un trattamento endodontico complesso e lungo, quindi non pensare immediatamente che stanno cercando di ingannarti e attirare denaro.

Qual è il prezzo per il trattamento della pulpite a tre canali?
Prima di tutto, notiamo un punto caratteristico relativo alla politica dei prezzi della maggior parte delle cliniche per il trattamento della pulpite: il costo dipende da ciascun canale trovato nel dente. Il fatto è che ogni canale è un lavoro laborioso aggiuntivo di un medico e costi aggiuntivi di materiali.
Ad esempio, nel dente di una persona, invece di un canale, possono avere tre, quattro o più. Pertanto, non è difficile indovinare che il prezzo per il trattamento della pulpite a tre o quattro canali consiste principalmente nella quantità di lavoro svolto dal medico: passaggio dei canali, loro irrigazione (vampate), espansione, riempimento ...

Il costo del trattamento della pulite include anche:
- Anestesia locale;
- Metodi hardware aggiuntivi per il monitoraggio e il trattamento dei canali: apexlocation (determinazione della lunghezza), esame a raggi X, trattamento a ultrasuoni o laser, irrigazione, uso di un microscopio, posizionamento di medicinali temporanei sotto la medicazione nei canali, ecc.
- Materiale di riempimento permanente. Dopo aver riempito il canale alla visita successiva, il medico stabilisce quel riempimento permanente, che il paziente sceglie, concentrandosi su un prezzo accettabile per lui.
Con questo in mente, diventa abbastanza ovvio che indipendentemente dall'istituto dentale che il paziente sta contattando per chiedere aiuto, il trattamento della pulpite di un dente a canale singolo costerà molto meno di uno a tre canali.

È interessante
Un canale nel 100% dei casi è presente negli incisivi e nei canini superiori. Inoltre, nei canini, molto spesso il canale è molto largo e lungo. Negli incisivi inferiori, esiste principalmente un canale, ma spesso ne vengono trovati due. Il canino inferiore è solo a 6 canali nel 6% dei casi e a singolo canale nel resto. Il secondo premolare (5 denti superiori e inferiori) in oltre il 70-80% dei casi ha un canale.

Diverse cliniche - diversi costi dei servizi: per cosa paghi esattamente?
A seconda dell'indicatore di "qualità del prezzo" per i servizi forniti, tutta l'odontoiatria può essere suddivisa in modo condizionale in tre categorie:
- Organizzazioni di bilancio (cliniche, ospedali);
- Cliniche private di classe economica;
- Cliniche private di business class.
Vantaggi di un'organizzazione di bilancio:
- Trattamento gratuito o prezzo basso per i servizi (di norma, viene preso in considerazione solo il costo dei materiali pagati);
- Non è necessario sedersi su una sedia per molto tempo, il più rapidamente possibile.
contro:
- In generale, la qualità relativamente bassa dei servizi dovuta alla costante corsa del medico, alla mancanza di attrezzature tecniche, alla mancanza di materiali e spesso alla professionalità del dentista stesso.
- Lunghi tempi di attesa in coda, dove spesso puoi sentire in modo tale che qualsiasi desiderio di andare dal dottore scompare.

- Purtroppo, in molte cliniche e ospedali, sfortunatamente e scarsa attitudine nei confronti del paziente non è rara.
- Non esiste alcuna garanzia per il trattamento dei canali e per un sigillo permanente.
Come risultato del trattamento di scarsa qualità della pulpite a tre canali in un'organizzazione di bilancio, i seguenti problemi possono sorgere in breve tempo:
- dolore ai denti sullo sfondo di canali scarsamente lavati, sigillati in modo incompleto o a causa della rimozione di materiale di riempimento esterno alla radice (danneggerà il morso);
- gonfiore delle gengive e delle guance con canali mancati (con infezione) o un frammento di uno strumento dentale lasciato nel canale, il che non è raro (vedi foto sotto);
e altri

Gli errori di un medico di bilancio possono essere enumerati all'infinito, ma vale la pena ricordare che ci sono molti medici anche negli ospedali e nei policlinici che sono dotati di materiale e hanno un alto livello di qualità professionali che consentono di trattare almeno tre, persino quattro polpite a un livello abbastanza elevato, anche se oggi è piuttosto un'eccezione alla regola.
Vantaggi di una clinica privata di classe economica:
- Disponibilità di servizi per la popolazione a medio reddito;
- Mancanza di grandi linee;
- Di norma, un livello professionale abbastanza alto del medico;
- Disponibilità delle attrezzature e dei materiali necessari per l'implementazione di servizi di classe economica;
- Garanzia per trattamento e riempimento del canale.

contro:
- Mancanza del massimo controllo di qualità del trattamento in tutte le fasi (il rischio di complicanze dopo il riempimento dei canali può essere descritto come medio);
- Materiali che non sono abbastanza buoni per il restauro artistico, che spesso non consentono al sigillo di essere completamente invisibile agli occhi degli altri.
Una clinica privata di classe business, a differenza delle opzioni precedenti, consente di fornire servizi di altissima qualità grazie alla disponibilità di attrezzature moderne e all'elevata formazione di dentisti qualificati.


L'uso di un microscopio, come intermediario tra un medico e il dente di un paziente, aumenta in modo significativo il prezzo già considerevole per il trattamento della pulpite di un dente a tre canali. Tuttavia, grazie a tale attrezzatura, il paziente può dimenticare per tutto il tempo che il trattamento è stato effettuato una volta nei canali del suo dente e dovrà solo andare dal dentista a volte per esaminare le condizioni del riempimento.
Spesso ci sono situazioni in cui un paziente, rivolgendosi a una clinica locale, perde un dente in un anno o due a causa di sviluppato alla radice della cistie, di conseguenza, esegue una costosa protesi di un dente assente ad un prezzo persino superiore al trattamento della pulpite a tre canali, ma già in una clinica di classe business.
Ci sono anche casi in cui, ad esempio, 5-7 anni dopo il trattamento della pulpite in una clinica di classe economica (per circa 6-7 mila rubli), si è constatato che un enorme granuloma si è sviluppato sulla radice sullo sfondo di un frammento di strumento lasciato nel canale, a causa di quale dente conservare non è possibile. In tale situazione, è già difficile dire per il paziente cosa è meglio per lui: perdere un dente in 5-7 anni e impegnarsi in costose protesi o impiantoo andare subito in una clinica di classe business, dove il trattamento della pulpite di un dente a tre canali avrà un costo di circa 12-14 mila rubli, ma tale dente durerà quasi per il resto della sua vita.
Video interessante: trattamento della pulpite del dente superiore, che si è rivelato non essere a tre canali, ma 4
E qui puoi vedere tutte le fasi del trattamento della pulite, compreso il riempimento




Buon articolo Dalla mia esperienza ero convinto che sarebbe meglio andare in una buona clinica privata per curare un dente e dimenticarsene.
La procedura che hai descritto (prima visita) mi è stata fatta senza una diga di gomma. Bruciato sotto la lingua, ci sono macchie bianche.La lingua non gira, fa male. Passato su purè di patate e semola. Non hai questo errore negli articoli. Questa ferita guarirà?
Benvenuti! Fornisci poche informazioni sul trattamento, ma si può presumere che l'ustione sia stata causata lavando i canali con ipoclorito di sodio e ottenendo una grande quantità di soluzione sulla mucosa. Un accenno di cofferdams suggerisce che questo è esattamente cosa. Anche se il dentista potrebbe danneggiare la mucosa con altri farmaci usati nel lavoro. L'articolo non prevede questo problema, dal momento che non è così comune. In linea di principio, devi ancora guardare nella cavità orale, comunicare con te, a volte è anche importante sapere come e come lavorano i medici in questa clinica. A giudicare dalla descrizione della corrispondenza, si hanno ulcere sullo sfondo di "lesioni". Che si tratti di una bruciatura o no, è tutto deciso sul posto. Penso che il dentista che ti stava trattando dovrebbe rispondere alle domande sulla complicazione e prescrivere un trattamento antinfiammatorio, cicatrizzante e sintomatico. Non riesco a registrare nulla di specifico via Internet. In termini generali, dirò che le ferite in bocca (specialmente di natura traumatica) guariscono rapidamente e bene. Molto spesso, anche senza l'aiuto di un medico (ma in questo caso, ci vuole un po 'più di tempo per tornare a una vita confortevole).
Grazie per la risposta Sono stato trattato con parodontite, pulito i canali. Alla seconda visita dal dottore (in una settimana) quasi tutto era passato. Ma questa settimana ho dovuto soffrire e visitare il tuo sito (e non solo) per capire cosa è successo. Ha detto al medico al secondo appuntamento del tessuto danneggiato, ha detto che sarebbe stata più attenta. La promessa è stata mantenuta, un'altra polmonite è stata curata. Ma la polvere sbiancante in odontoiatria è, ovviamente, stagno! Grazie ancora per la tua attenta attenzione ai problemi degli altri.
Ciao, dimmi, per favore! Avevo un dente dolorante, ero in una clinica privata, pulivano i canali, riempivano i canali di medicine e mettevano un sigillo temporaneo. Il medico ha avvertito che un dente farà male per 2 giorni e mi ha prescritto un nimesil, quindi il dente passerà. Sì, mi ha fatto molto male per 2 giorni, poi, come ha detto il dottore, il dolore è scomparso ... Ma dal lato della guancia la gomma era gonfia, un tale tubercolo. Ho chiamato, ero di nuovo dal dottore, ha scattato di nuovo la foto, ha detto che tutto andava bene. Prescrisse un antibiotico e disse cosa doveva passare. Ma oggi si è alzata - il dente non si disturba affatto, ma come se la gomma fosse gonfia ancora di più e fa male solo in quel posto. Dimmi, per favore, è davvero normale e passerà? O cosa fare?
Benvenuti! Sì, questa non è la norma, dal momento che stiamo parlando di elaborazione insufficiente dei canali o di violazioni tecniche nel processo di endodonzia. Non vorrei approfondire la complessità della terapia canalare: un programma educativo per dentisti o una master class sulla parodontite (relativamente difficile da trattare la diagnosi) è condotto dai migliori specialisti del mondo per 2-3 o più ore (di solito un giorno intero), dove ogni componente del trattamento conta. Questa è una specie di mattoncini della futura casa, se qualcosa va storto, allora l'intero edificio crolla.
Ecco alcuni punti da considerare:
1. Non tutti i denti con parodontite possono essere curati;
2. Quei denti che possono essere curati con la parodontite, non tutti i dentisti possono ricordare che il paziente era a suo agio nella fase di trattamento e che c'era la prospettiva di conservare il dente per un lungo periodo (più di 15-20 anni);
3. Un certo numero di dentisti, per ignoranza o in determinate circostanze (equipaggiamento scadente), prendono trattamenti non molto promettenti (quando ci sono indicazioni per la rimozione) o conducono un trattamento di canali con gravi violazioni, basandosi su antibiotici e antidolorifici, con la chiara intenzione di trasformare tutto questo in Forma "cronica", quando, in linea di principio, nulla fa male, ma l'attenzione infiammatoria dietro l'apice della radice o delle radici aumenta di dimensioni ogni settimana, mese e anno.
Sinceramente non volevo che continuassi a essere nel quadro dei punti successivi che ho citato. Sarebbe utile contattare un altro dentista e scoprire se il lavoro è stato svolto qualitativamente o meno.
Ragazzi, aiutatemi a capirlo. 12/12/16 è andato dal dentista.Sembra una cosa da poco: mettere un sigillo su un dente che il 7.12 si è rotto mangiando noci. L'ho fatto, mi ha tormentato per un tempo lungo e noioso, di conseguenza, sto già arrivando il 12.12 con dolori e un morso scomodo, mi stringono il dente sotto la forma, anche quello superiore (!). Sono trattati con fluoro e rimandati a casa. Vengo tra una settimana con lamentele: dolore, per tutto questo tempo non riesco a mangiare nulla di grave, purea di bambini e basta! Dicono che il dente guarisce e viene nuovamente trattato con alcuni mezzi magici ... E ora, già arrabbiato, torno il 26/12 (non c'erano registrazioni più vicine). È in corso una consultazione, il dente viene prima rifatto e i dolori sono selvaggi. In anestesia, sembra essere più facile. Ma sulla soglia delle 12.30, e di nuovo con loro, mi danno una pasta speciale e dicono che se non funziona, poi il 4.01.17 arriva a depulp ...
Di conseguenza, hanno rimosso i nervi, pagato 20 mila rubli. Hanno detto che tutto piagnucolerà, ma fa molto male! Il rifugio temporaneo cadde, sebbene mangiasse dopo 3 ore, e il porridge, in modo che nulla potesse interferire con la guarigione. I dolori sono selvaggi, ma la cosa peggiore è che quando tocco il mio dente, la gomma mi fa male, mi mordo qualcosa - mi fa male. Gonfia. È già stata lanciata un'iniezione di flamax, chetorolo e spasmalgon, in modo che almeno qualcosa prenda - zero. Ti scrivo, fa male e offende. Cosa fare Come ritenere responsabile un medico? Sono stanco di pagare soldi per errori, perché stavo per curare un dente, ma alla fine l'ho perso. Se c'è una rimozione in arrivo, non so cosa farò.
Benvenuti! Anche senza ulteriore diagnostica, si ha la sensazione che i soldi vengano semplicemente estratti da te. Un medico normale, anche con alcune difficoltà, trova un compromesso in questa materia e tu sei chiaramente "spogliato". Sarebbe bello controllare il dente dall'immagine e avere alcune prove evidenti di errori nel trattamento dei canali. Questa catena di problemi è raramente casuale. Puoi provare qualsiasi cosa con controlli, garanzie di lavoro e analisi del lavoro da parte di una commissione indipendente. Esiste una commissione medica che valuta il lavoro svolto e cerca complicazioni che dipendono o meno (raramente) dal medico curante. Se, per principio, vuoi iniziare un tale smontaggio, allora questo è completamente giustificato. Per quanto riguarda il pagamento delle spese legali, tu stesso sai che spesso è possibile vincere solo mentalmente, ma non materialmente. Se vuoi venire da questa direzione, allora devi dimostrare al più presto gli errori dei dottori, e quindi trattare urgentemente il dente con altri specialisti e, idealmente, la clinica che ha "rovinato" il dente dovrebbe pagare per nuovi controlli (pagamenti).
Oggi ha anche curato la pulite - il medico ha anche detto un prezzo decente all'inizio, non mi aspettavo una cosa del genere, ho pensato che fosse una bufala - lo pensiamo sempre. Ma si scopre, sì, c'è qualcosa da pagare: ho rimosso i 3 nervi, cancellato le mosse, messo un sigillo temporaneo e l'ho inviato fino a martedì. Ciò che è interessante, quando stava pulendo una delle mosse, si sentiva come se avesse spinto tutto il dolore verso l'interno. E non lo so, forse per questo, ma c'è disagio negli occhi. Va bene? O è solo uno stato post stress nei nervi?
Benvenuti! Tali sensazioni potrebbero sorgere sia sullo sfondo del dolore post-riempimento, sia sullo sfondo di eventuali errori del dentista. In generale, posso dire che hai un sintomo un po '"strano", secondo me. Puoi verificare che ciò avvenga effettivamente scattando una foto dei canali dentali trattati: puoi inviarlo alla posta del sito, commenterò la qualità del trattamento.
Grazie per la risposta! Fortunatamente, tutto è andato in una settimana, o anche meno. Tutto il disagio che era sparito. Tale felicità quando i denti non fanno male)
Post scriptum Ottimo articolo, molte foto + feedback. Sei un grande vantaggio! Buona fortuna e salute!
Ciao, possono esserci due canali nel 37 ° dente? Se due canali sono stati sigillati per me, il terzo non è stato trovato, il dente può far male in futuro? Mi è stato detto che posso passare tranquillamente due anni.
Benvenuti! Due anni è perché ci sono 2 canali in un dente e se ce ne fossero tre, passerebbero 3 anni? 🙂
Secondo quello che ti è stato detto, è possibile trarre una delle due conclusioni: o il medico stesso non è sicuro del suo lavoro, o sei così ossessionato dal medico che ha semplicemente nominato una figura più o meno accettabile come possibile risposta.
Nel 37 ° dente, il più delle volte ci sono 3 canali (circa il 75% dei casi), 2 canali sono un po 'meno frequenti, molto raramente - 1 e 4 canali. Quindi dovresti scattare una foto del dente in diverse proiezioni in modo che non ci siano problemi in futuro.
Buon pomeriggio Un dente fa davvero male, non so nemmeno quale sia più forte. Sotto c'è un ponte di sei denti, l'immagine mostra che solo un canale è sigillato e il resto no. Il massimo fa male o sette o otto. Il medico non può decidere le tattiche del trattamento, per favore aiutatemi.
Benvenuti! Il fatto è che in tale situazione è problematico fornire assistenza nella ricerca di un dente malato in contumacia. Inizialmente, è consigliabile che tu vada in clinica per un appuntamento con un altro dentista insieme alle immagini (poiché il tuo medico non sa cosa fare). È possibile che non sia necessaria solo l'analisi delle immagini, ma anche EDI - elettrodontodiagnosi. In generale, la ricerca di un dente malato spesso non è facile, tutto è deciso sulla poltrona del dentista. Quindi è più come un appuntamento con un medico esperto in una clinica con buone attrezzature!
Ciao, al mattino hanno rimosso il nervo e pulito i canali sul 6 ke inferiore, hanno messo un sigillo temporaneo. Hanno fatto una buona anestesia, non hanno sentito dolore praticamente. Dopo che è passato l'effetto dell'anestesia (dopo 3-4 ore), il dente ha iniziato a ferire, dolorante dolore costante, fa male tutto il giorno. E hanno registrato un sigillo permanente dopo quasi 2 settimane, è normale e il sigillo temporaneo scomparirà in questi giorni? E perché il dente fa così tanto male?
Benvenuti! Se hai dato un link a un'immagine del dente, allora potrei dire di più sulla qualità del trattamento effettuato nei canali. Ma in generale, i dolori mordaci si verificano spesso dopo l'endodonzia, che è in gran parte dovuta alla natura traumatica delle misure endodontiche - dalla stessa elaborazione dei canali con "aghi" e termina con il loro riempimento con materiale di riempimento oltre l'apice della radice. Pertanto, quanto promettente il lavoro svolto dal medico si può dire solo sulla base del quadro.
Il fatto che abbiano registrato un sigillo permanente solo dopo 2 settimane non è molto buono. Se hai subito un restauro temporaneo (di cui dubito), quindi 2 settimane potresti aspettare. Ma se il dente è stato chiuso con un classico riempimento temporaneo, spesso non fornisce una tenuta per un periodo superiore a una settimana. Consiglierei di posizionare il dente con un riempimento permanente prima - ovviamente, dopo aver controllato il dente dall'immagine per la qualità dell'otturazione dei canali. Un sigillo temporaneo in due settimane può rompersi o addirittura cadere, e possono verificarsi conseguenze negative anche con l'invisibile depressurizzazione oculare del materiale temporaneo.
Ciao Tre focolai di pus sono stati trovati nel dente su ciascun canale. Il medico suggerisce apertamente che è meglio rimuovere, perché il dente è complesso e possono sorgere problemi in seguito, perché senza la polpa il focus del pus si manifesterà solo all'ultimo momento. Cosa ne pensi di questo?
Benvenuti! Oltre alle indicazioni formali per la conservazione o la rimozione di un dente, è importante anche l'opinione autorevole del medico curante (molto dipende dalla sua esperienza e dalla disponibilità di attrezzature sul posto di lavoro). Sì, nella tua situazione, il dente può essere completamente rimosso, ma ti consiglio di tenere conto del fatto che la maggior parte delle forme più complesse di parodontite può essere trattata in modo conservativo oggi e alcune parti possono essere trattate in modo conservativo (ad esempio, mediante resezione dell'apice radicolare con una cisti) . Se il medico dubita della possibilità di salvare il dente, è utile ottenere un parere da altri specialisti.
È interessante notare che se ricevi consigli sul destino del dente in altre 2-3 cliniche, puoi ottenere punti di vista diametralmente opposti. Vale la pena fare affidamento su vari fattori:
1.Dal numero di argomentazioni logiche e sonore del medico coincidenti: più "FOR" è una decisione, più è probabile che sia necessario ascoltare;
2. A livello della clinica, l'esperienza del medico e le sue qualifiche. Se hai dati (da parenti, amici, conoscenti) che in questo studio dentistico c'è un medico che salva i casi più senza speranza, si impegna a curare denti complessi, allora forse dovresti fidarti di lui.
Se mi chiedi personalmente della mia opinione sul tuo caso, quindi senza vedere la tua foto e il tuo dente nella cavità orale, oltre a senza conoscere molti altri punti importanti, non posso dirti qualcosa di inequivocabile. Tuttavia, prima di decidere di rimuovere il dente, ti consiglio di ricevere una consultazione faccia a faccia con gli specialisti anche in almeno 2 cliniche di livello sufficientemente alto (di solito c'è tutto il necessario per gestire casi complessi).
Ciao Il dente non ha fatto male, fa freddo e fa caldo, si è rotto profondamente. Il dottore ha perforato l'intero dente: "canali, piccoli canali, spariti nel profondo". Dice che è necessario trattare tutti i canali, ma il nervo non deve essere rimosso, ha detto. Sono seduto qui in attesa di una settimana e mezza del prossimo appuntamento, con un sigillo temporaneo e una pasta marrone sotto. Non c'era ancora dolore. Dimmi, per favore, qual è la differenza tra il trattamento del canale e la rimozione del nervo e qual è la sequenza? Un sacco di siti, molti scarabocchi, tutto è in qualche modo confuso, sento una specie di cattura, ma non riesco a capirlo.
Benvenuti! Non c'è cattura, ci sono diverse diagnosi: pulpite e parodontite. Con la pulpite, è necessario rimuovere il "nervo" e riempire i canali (il più delle volte in una visita) e con la parodontite, non esiste più un "nervo" in quanto tale - anche se è presente, può essere decomposto e può essere chiamato "nervo" un grande tratto. Pertanto, il medico ti ha detto che non dovrai rimuovere i "nervi", ma il trattamento dei canali con parodontite è estremamente importante, poiché il destino del dente con il riempimento futuro dipende da esso.
Dal momento che non conosco la gravità del processo infiammatorio dietro le cime delle radici nel tuo caso, non posso dire se camminare a lungo con un riempimento temporaneo e il farmaco sotto di esso sia adeguato nella situazione attuale. Oggi stanno cercando di ridurre al minimo il periodo di applicazione della pasta, ponendo maggiore enfasi sulla lavorazione accurata (lavaggio) dei canali. Un certo numero di dentisti ha generalmente abbandonato le paste per medicazioni nei canali a favore di una lavorazione di alta qualità e otturazioni strette di canali con materiali moderni in una sola visita.
Per quanto riguarda la sequenza: con la pulpite, il "nervo" viene prima rimosso, quindi dopo l'elaborazione dei canali vengono sigillati. Con la parodontite, si riduce alla perfetta pulizia dei canali e al successivo riempimento.
Benvenuti! Ho avuto un dente a tre canali, il nervo è stato rimosso e i canali sono stati sigillati. Il medico ha detto che il dente farà male fino a una settimana o anche di più. Nise fu prescritto come anestetico. Il dente ha fatto male una settimana e mezza dopo il riempimento. Ora non fa male, solo quando morde - non posso mangiare da questa parte, non riesco a stringere i denti troppo forte, è subito un vero dolore. Ero nell'ambulatorio, mi hanno detto che questo succede e per alcuni dura un mese o anche di più. Per favore, dimmi, è normale o c'è qualcos'altro?
Ha curato la pulpite di un dente a tre canali. Il giorno dopo ho fatto una radiografia. Il dottore ha detto che va tutto bene. Ha detto di bussare a un dente con un cucchiaio, se non fa male, quindi iscriviti per fare un sigillo permanente. Ho bussato lo stesso giorno e niente fa male, anche se sono passati solo due giorni. Va bene? Per quanto tempo di solito devi andare con un sigillo temporaneo?