
Successivamente imparerai:
- Quali tipi di impianti dentali esistono oggi e in che modo differiscono tra loro;
- Quanto può costare un impianto di uno o più denti, a seconda del metodo di impianto scelto;
- Quali fasi e procedure puoi aspettare quando installi un impianto dentale e quali spese di tempo devi preparare in anticipo;
- Quali sono le caratteristiche dell'impianto classico (a due stadi), quali marchi di impianti classici sono disponibili sul mercato e come differiscono nel prezzo;
- È possibile installare un impianto nel pozzo di un dente che è stato appena rimosso senza attendere diversi mesi che le gengive guariscano;
- Qual è la specificità del cosiddetto impianto dentale basale (a carico immediato), che consente di ripristinare la bellezza di un sorriso e la capacità di masticare il cibo in una sola settimana;
- Cos'è il mini-impianto dentale e in quali casi gli impianti vengono installati il più parsimoniosamente possibile, attraverso una puntura delle gengive (senza incisioni);
- E anche conoscere i prezzi delle corone dentali da diversi materiali e punti importanti da considerare quando vedi che la clinica ha un'offerta o un'offerta speciale per l'installazione di impianti ...
Chi pianifica oggi protesi dentarie su impianti dentali è spesso confuso, perché è necessario scegliere non solo il marchio degli impianti stessi, ma anche il metodo di installazione. Il fatto è che il moderno impianto dentale è suddiviso in diverse direzioni e sebbene l'obiettivo sia sempre lo stesso - ripristino dei denti mancanti - ma i metodi e le tecnologie per l'installazione degli impianti, e anche il metodo del loro attaccamento al tessuto osseo possono variare in modo significativo.

Inoltre, alcuni pazienti potrebbero non essere in grado di utilizzare un certo tipo di impianto dentale a causa di controindicazioni e potrebbe essere necessaria una manipolazione chirurgica preliminare a causa della necessità di accumulare tessuto osseo se si è già atrofizzato da quando il dente è stato rimosso.
Di cosa sia un moderno impianto dentale, di quali tipi e di come sia la situazione dei prezzi oggi - ne parleremo in modo più dettagliato ...
Quali tipi di impianti dentali esistono oggi
Forse la prima cosa che dovresti sapere sui tipi di impianti dentali che esistono oggi è che in base ai tempi di posizionamento dell'impianto dal momento dell'estrazione del dente, si distinguono due metodi (nella terminologia medica sono chiamati protocolli di trattamento):
- Il protocollo classico di impianto dentale (il cosiddetto impianto a due stadi) - in questo caso, i denti problematici vengono prima rimossi, quindi è necessario attendere fino a quando le gengive sono completamente guarite e il tessuto osseo viene ripristinato nel sito del dente estratto, e solo allora vengono installati gli impianti. L'installazione di impianti è possibile solo con un volume sufficiente di tessuto osseo e in caso di mancanza di esso, viene eseguita una crescita ossea preliminare, ad esempio l'operazione di rialzo del seno;
- E la seconda opzione è il protocollo a uno stadio di impianto dentale (il cosiddetto impianto dentale a uno o uno stadio) - in questo caso, l'impianto viene installato contemporaneamente all'estrazione del dente, cioè immediatamente in un nuovo foro.

Il concetto del protocollo di impianto classico non deve essere confuso con il concetto di impianti classici, ovvero il più diffuso e di lunga durata. Di norma, quando si eseguono impianti dentali utilizzando impianti classici, si presume che le protesi finali, ad esempio l'installazione di una corona sull'impianto, vengano eseguite solo dopo il completo innesto (osteointegrazione) della “vite” di titanio impiantata.In poche parole, dal momento in cui viene installato l'impianto, il paziente deve attendere circa 4-6 mesi prima che venga installata una corona permanente o un altro design di protesi che possa sostenere completamente il carico da masticare.
nota
Gli impianti classici possono essere installati come metodo di impianto in due fasi o in una fase, a seconda delle caratteristiche di una particolare situazione clinica.
A questo proposito, è utile sapere che oggi esiste una direzione separata nell'impianto dentale che si sta sviluppando in modo dinamico - il cosiddetto impianto dentale basale (altrimenti - impianto con carico immediato). In genere, questa tecnica prevede protesi in un tempo estremamente breve, non più di una settimana. Cioè, l'impianto può essere installato immediatamente dopo l'estrazione del dente, inizialmente si mantiene saldamente nella mascella e può essere sottoposto a un carico masticatorio quasi immediatamente, ovvero è possibile realizzare e installare corone permanenti.
Con l'impianto basale dei denti, il volume del tessuto osseo della cresta alveolare non è spesso critico - nella maggior parte dei casi non sarà necessario costruire l'osso, poiché l'impianto basale viene impiantato nelle sezioni profonde (basali) dell'osso. Rispetto al tessuto osseo spugnoso dei processi alveolari, in cui vengono impiantati impianti classici, l'osso basale è molto più denso e più forte, grazie al quale gli impianti basali sono pronti a resistere a carichi aumentati immediatamente dopo l'installazione.

nota
Alcuni anni fa, il metodo di impianto basale implicava l'installazione di impianti molto particolari - senza filo, proprio nella forma della lettera "T", con una base piatta. La base si trovava nello strato profondo dell'osso mascellare - la sezione basale (da cui il nome della tecnica).
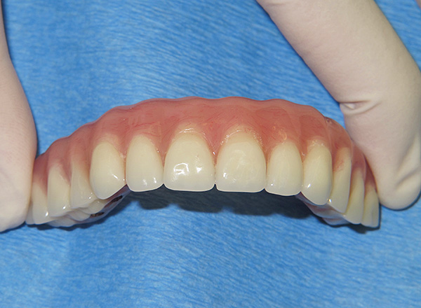
Oggi, gli impianti a disco a forma di T non vengono praticamente più utilizzati, poiché il processo di installazione è troppo traumatico (attraverso l'incisione laterale delle gengive e delle ossa). Furono sostituiti da impianti basali a forma di radice, esternamente abbastanza simili a quelli classici, ma adattati alla tecnica di caricamento immediato. Hanno un filo speciale e coinvolgono anche la parte basale dell'osso. Allo stesso tempo, il vantaggio principale degli impianti basali è stato preservato: la protesi può essere fissata su di essi letteralmente entro una settimana, cioè senza una lunga attesa. Pertanto, oggi la tecnica viene sempre più posizionata non come basale, ma come impianto con un carico immediato della protesi e nei materiali pubblicitari può essere presentata come un nuovo metodo di impianto dentale (che, in generale, non è lontano dalla verità).
Gli impianti basali sono mostrati nella foto sotto:

Parlando dei tipi di impianto dentale che esistono oggi, vale anche la pena notare il cosiddetto mini-impianto: in questo caso vengono utilizzati impianti molto sottili e piccoli, che vengono installati con un intervento chirurgico minimo (l'osso non deve nemmeno essere perforato, poiché l'impianto viene semplicemente avvitato su di esso come una vite autofilettante) . Tuttavia, va tenuto presente che lo scopo dei mini-impianti è solo quello di supportare protesi rimovibili, poiché non sarebbero in grado di sopportare un carico masticatorio completo (una protesi rimovibile assume il carico principale).

nota
Oggi nei materiali pubblicitari per le cliniche è possibile trovare un servizio come l'impianto dentale laser ed è posizionato come ultramoderno e il più parsimonioso possibile. Quindi, è utile tenere presente che l'impianto laser dei denti con un metodo indipendente, in realtà, non lo è - il laser durante la procedura viene utilizzato solo come una delicata alternativa a un bisturi di metallo. Il bisturi laser consente di eseguire in modo efficace le incisioni dei tessuti (sia gengive che ossa), mentre ha un effetto antibatterico e minimizza il sanguinamento.
Ora vediamo quanto può costare la ricostruzione del dente in un modo o nell'altro, e poi scopriremo qual è la differenza significativa tra i metodi di impianto dentale oggi disponibili e perché in alcuni casi sono possibili deviazioni significative dal valore dichiarato.
| Opzioni di restauro del dente | Impianto classico | Impianto basale | Mini impianto |
| Restauro di 1 dente con corona in ceramica-metallo | da 35000 rubli | da 35000 rubli | Non applicabile |
| Restauro di 1 dente con una corona di zirconi | da 50 000 rubli | da 50 000 rubli | Non applicabile |
| Restauro dell'intera dentatura | da 350 000 rubli | da 150 000 rubli | da 130 000 rubli |
Passaggi e procedure di base per l'installazione degli impianti
Ad esempio, considerare il metodo di impianto classico (a due stadi). Anche se la tecnica si chiama a due stadi, tuttavia, come vedrai di seguito, in realtà non ci sono due passaggi, ma molto di più:
- Preparazione al trattamento - consultazione iniziale del medico, valutazione visiva della cavità orale, procedure diagnostiche (ortopantomogramma, ovvero un quadro panoramico di entrambe le dentature), elaborazione di un piano di trattamento, scelta dei modelli di impianto e conclusione di un contratto;
- Estrazione di denti problematici (di solito in anestesia locale), prescrizione ed emissione di raccomandazioni per una riabilitazione post-operatoria confortevole;
- Lo stadio di guarigione della gomma lesa e il ripristino del tessuto osseo al posto dei denti estratti. Questo può richiedere 2-4 mesi;
- Stadio chirurgico di posizionamento dell'impianto. L'operazione viene di solito eseguita anche in anestesia locale. Dopo aver installato l'impianto su di esso, viene fissato uno stub (gum shaper);

- Protesi temporanee. Dopo un breve periodo di tempo dall'impianto dell'impianto, viene realizzata una protesi temporanea, che consente di ripristinare l'aspetto (estetica) e parzialmente la funzionalità (tuttavia, è impossibile caricare troppo la protesi temporanea, poiché il processo di osteointegrazione dell'impianto è appena iniziato);
- E, infine, protesi permanenti - di solito eseguite 2-4 mesi dopo l'installazione dell'impianto nella mascella inferiore, o 4-6 mesi dopo l'installazione dell'impianto nella mascella superiore. Durante questo periodo, si verifica una fusione completa dell'impianto con il tessuto osseo (durante questi mesi dovrai visitare un medico 2-4 volte).
Ora sulle procedure aggiuntive. Non vengono sempre eseguiti - solo quando necessario e vengono pagati separatamente. Nota il più comune:
- Trattamento dentale e gengivale, rimozione di placca e tartaro, che aiuta a ripristinare il colore naturale dello smalto - questo è necessario per la selezione esatta del colore delle corone dentali;
- Presentazione di ulteriori test in caso di problemi di salute;
- Crescita del tessuto osseo - necessaria se il suo volume non è sufficiente per installare l'impianto (effettuato ripiantando materiale osseo naturale o artificiale);
- Riparazione della gomma: un'operazione chirurgica a volte necessaria quando si cambia il contorno delle gengive (principalmente a causa dell'atrofia ossea).
Quindi, parliamo delle caratteristiche di ciascun metodo di impianto dentale e proviamo a capire quale tecnologia è migliore in una determinata situazione e quanto dovrete pagare in ogni singolo caso.
Impianto dentale classico a due stadi
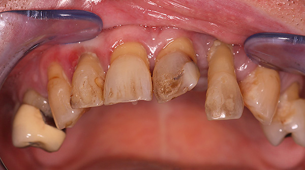
Come notato sopra, nel classico impianto dentale a due stadi, il dente (o i denti) problematico viene prima rimosso, quindi le gengive devono essere guarite e il tessuto osseo ripristinato, quindi viene installato l'impianto stesso, la cui guarigione deve essere prevista da 2 a 6 mesi. Questo tipo di impianto è il più lungo nel tempo.
Le fotografie seguenti mostrano un esempio corrispondente (posizionamento di un impianto al posto di un dente estratto dopo la guarigione di un foro):




nota
L'impianto classico pone le massime esigenze in merito alle condizioni del tessuto osseo, quindi, dopo l'estrazione del dente, devono essere necessari circa 3-4 mesi prima di poter installare l'impianto. Il tessuto osseo deve recuperare completamente.
Se manca l'osso per il fissaggio dell'impianto, viene eseguita la sua crescita preliminare.
Vantaggi del metodo:
- Questo tipo di impianto in odontoiatria ha più di mezzo secolo di storia ed è stata accumulata una vasta esperienza per ridurre al minimo i rischi di possibili guasti (rigetto dell'impianto e altre complicazioni);
- Il metodo è gestito da un gran numero di implantologi, quindi di solito non è difficile trovare una clinica e uno specialista adatti in quasi tutte le città più o meno grandi;
- È disponibile una vasta gamma di marchi di impianti: dai modelli cinesi a quelli premium (tedesco, svizzero);
- Si ottiene un'alta estetica, poiché molta attenzione viene rimossa dalla formazione del contorno delle gengive attorno alla corona;
- Sugli impianti classici, è possibile fissare quasi tutte le protesi (una singola corona, un ponte o persino una protesi rimovibile a condizione).
Contro del classico metodo di impianto dentale a due stadi:
- Alta durata dell'intera procedura: dal momento dell'estrazione del dente al momento dell'installazione di una corona permanente sull'impianto, possono passare almeno sei mesi;
- Spesso è necessaria la crescita del tessuto osseo, e questo è un costo aggiuntivo di denaro e tempo (ad esempio, un'operazione di rialzo del seno avrà un costo di circa 15-30 mila rubli);
- Posizionamento dell'impianto relativamente traumatico: la gomma viene tagliata, quindi viene praticato un foro sotto l'impianto nell'osso. Molti pazienti percepiscono il fatto di perforare l'osso in preda al panico.

Tuttavia, è l'impianto a due stadi che utilizza impianti classici che è oggi uno dei tipi di impianto dentale più comunemente utilizzati, che consente di ripristinare la bellezza di un sorriso e la capacità di masticare il cibo normalmente su un numero enorme di persone in tutto il mondo.
Qualche parola sul costo degli impianti dentali classici e dei monconi per loro
In generale, la maggior parte del prezzo dell'intero trattamento (indipendentemente dal tipo di impianto dentale utilizzato), di norma, è occupato dal costo dei componenti: prima di tutto, gli impianti stessi, nonché i formatori di abutment e abutment.

Oggi, gli impianti dentali sono prodotti da diverse decine di aziende. I principali sono concentrati in Israele, Germania, Svezia, Svizzera e Stati Uniti. Ogni marchio ha le sue caratteristiche, vantaggi e svantaggi, tuttavia, molti specialisti sono propensi a credere che non siano tanto i marchi di impianti che è necessario scegliere, ma il medico, perché la durata dell'impianto dipende direttamente dalla sua esperienza e professionalità..
Ecco alcuni esempi dei prezzi minimi a Mosca per l'impianto classico di 1 dente, a seconda della marca scelta:
- Impianto con impianto Alpha BIO (Israele) - da 35.000 rubli;
- MIS (Israele) - da 40.000 rubli;
- XiVE (Germania) - da 70.000 rubli;
- Astra Tech (Svezia) - da 70.000 rubli;
- Straumann (Svizzera) - da 80.000 rubli;
- Nobel (USA) - da 90.000 rubli.
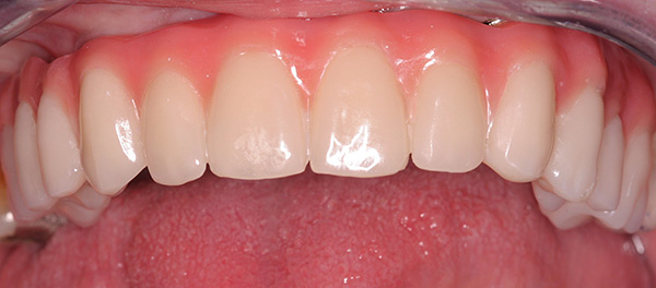
Nella foto sotto - impianti Xive:

Di norma, il prezzo indicato dalle cliniche comprende le procedure preparatorie di base (un ortopantomogramma, una consultazione del medico per identificare controindicazioni dal corpo, pianificazione del trattamento), nonché l'anestesia locale, l'installazione del modello scelto di un impianto dentale direttamente, successive consultazioni del medico per il periodo di attecchimento e garanzia .
Nel prezzo di base per l'impianto dentale, le sovrastrutture aggiuntive sono di solito già incluse: raschietti e abutment. A proposito, più costoso è il marchio degli impianti stessi, maggiore è il costo dei componenti (ad esempio, il costo di un abutment MIS convenzionale è di circa 1000 rubli, ma Nobel o XiVE - da 7-8 mila rubli).
nota
È importante tenere presente che il costo della corona dentale che verrà installata sull'impianto non è incluso nel prezzo. In altre parole, ad esempio, se si desidera installare un impianto Alpha BIO israeliano economico e inserirvi una corona in zirconia di alta qualità, è possibile aggiungere in modo sicuro al prezzo base per l'impianto (da 35.000 rubli) il costo di una corona in zirconia (circa 20 000 rub.)
Impianto immediato di denti (a uno stadio o immediato)
L'impianto dentale immediato implica l'installazione di un impianto nel pozzo di un dente appena estratto, che rispetto all'opzione a due stadi offre un vantaggio importante: non è necessario attendere 3-4 mesi prima che il tessuto osseo nel sito del dente estratto sia completamente ripristinato (questo è il vantaggio principale tecniche).
Un impianto appositamente progettato per questo protocollo viene inserito in un nuovo foro in cui pochi minuti fa è stata posizionata una radice del dente rimosso, dopo di che lo spazio intorno è riempito con materiale osseo artificiale o naturale - per accelerare la rigenerazione del tessuto osseo. Quindi l'impianto viene chiuso con un tappo (shaper gengivale) e lasciato per 3-6 mesi per l'attecchimento.
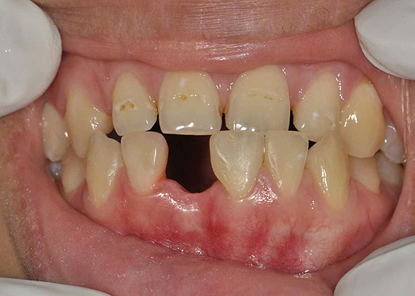
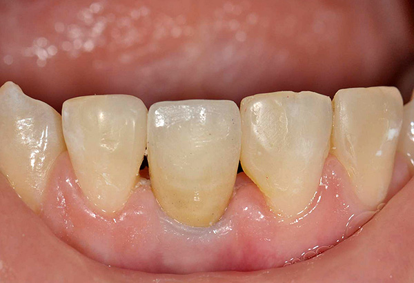
Le fotografie seguenti mostrano un esempio di impianto di un dente anteriore appena rimosso (che si è rotto da una lesione meccanica):




nota
In alcune situazioni, quando le condizioni del tessuto osseo lo consentono e l'impianto ha una fissazione primaria abbastanza buona, è possibile installare una corona in metallo-plastica economica per il periodo di osteointegrazione dell'impianto. Per i denti anteriori, questo è particolarmente importante, poiché consente di ripristinare l'estetica della dentatura in modalità express. Considerando che i denti anteriori non sono coinvolti nella masticazione del cibo, il carico sull'impianto sarà minimo.
Sfortunatamente, l'impianto immediato non è sempre possibile. Ad esempio, in alcuni casi, è prima necessario rimuovere urgentemente un dente malato, quindi per molto tempo affrontare l'infiammazione, che è stata provocata da un processo infettivo sulle radici del dente. In tali situazioni, l'impianto simultaneo può essere piuttosto rischioso, poiché è associato a una maggiore probabilità di rigetto strutturale sullo sfondo di un processo infiammatorio incompleto.
Per quanto riguarda i prezzi odierni per l'impianto simultaneo, sono generalmente simili a quelli per il protocollo a due stadi. Il vantaggio dell'opzione a uno stadio non è il prezzo, ma la capacità di completare più rapidamente le protesi dei denti persi per diversi mesi.
Impianto basale a carico immediato
L'impianto dentale basale (il suo nome moderno è impianto a carico immediato, o nella versione americana - Carico immediato), appartiene alla categoria delle tecniche espresse.
Per l'impianto con carico immediato, di norma vengono utilizzati impianti monocomponenti (ovvero, sono integrali con il moncone) e sono leggermente più lunghi rispetto ai disegni classici e hanno un filo più aggressivo. Ciò consente di fissarli in modo sicuro nel tessuto osseo denso - nello strato basale o nella piastra corticale, che sono caratterizzati da una maggiore forza (non hanno praticamente capillari, a differenza dello strato spugnoso, quindi non subiscono atrofia, cioè non si contraggono in volume e rimangono il più forti possibile) ). Pertanto, questo tipo di impianto dentale viene solitamente eseguito senza un'estensione preliminare del tessuto osseo, poiché nella maggior parte dei casi è possibile ottenere una buona fissazione degli impianti con i volumi disponibili.

La caratteristica più importante del metodo basale degli impianti dentali è la possibilità di protesi quasi istantanee. Vale a dire, letteralmente già 2-3 giorni dopo l'installazione degli impianti, le protesi fisse sono fisse. Sono realizzati in metallo-plastica e hanno una piccola base in plastica, la protesi è abbastanza leggera.La gomma artificiale, che in pratica non differisce nell'aspetto da quella naturale, consente di migliorare l'estetica della dentatura (si osserva spesso una lunga assenza di denti si verifica una subsidenza irregolare dell'osso con la gomma).
Le protesi immediate svolgono un'altra importante funzione: la protesi è uno stabilizzatore per impianti basali installati (li fissa in una certa posizione e impedisce loro di muoversi). Inoltre, la protesi fornisce un trasferimento del carico masticatorio agli impianti, che consente di accelerare il processo di osteointegrazione.
Vale la pena notare che l'impianto basale viene eseguito principalmente in assenza di 3 o più denti. Per i singoli restauri, la tecnica è molto meno applicabile, poiché in questo caso possono essere richiesti requisiti più elevati per le condizioni del tessuto osseo e, inoltre, con alta probabilità, la plastica di gomma per fornire l'estetica necessaria.
nota
Una delle varietà di questa direzione è il metodo di impianto All-on-4 (tecnologia brevettata Nobel). L'essenza dell'impianto dentale all-in-four è che solo 4 impianti vengono utilizzati per ripristinare la dentatura completa, due dei quali sono fissati davanti e direttamente e gli altri due sui lati e ad angolo. La protesi viene fissata entro una settimana dall'intervento.
Il metodo "tutti e quattro gli impianti" consente di risparmiare in modo significativo (quasi 2 volte rispetto al prezzo di ripristino dell'intera dentatura con il tipo di impianto classico), nonché di tornare a uno stile di vita completo in pochi giorni.
I vantaggi dell'impianto immediato di impianti dentali:
- la capacità di ripristinare rapidamente l'estetica e la funzionalità dei denti (entro una settimana);
- meno traumi durante il posizionamento dell'impianto e, di conseguenza, riabilitazione più semplice e veloce;
- nella maggior parte dei casi, puoi fare a meno dell'intervento chirurgico per costruire l'osso;
- il restauro del dente è possibile con parodontite e malattia parodontale;
- costo relativamente basso di protesi su impianti basali.


Contro di questo tipo di impianto:
- Rispetto all'impianto classico, un'estetica un po 'più bassa, perché viene utilizzata una protesi con gomma artificiale;
- quasi non utilizzato per restauri singoli (quando mancano solo 1-2 denti);
- Solo pochi implantologi sono fluenti nel metodo, poiché si tratta di una tecnologia relativamente nuova per l'impianto dentale.
I prezzi approssimativi per l'impianto di denti con carico immediato a Mosca sono mostrati di seguito sull'esempio del restauro completo della dentatura (posizionamento dell'impianto e fissazione della protesi in metallo-plastica):
- Protesi complete su 8 impianti Alpha BIO (Israele) - 280 000 rubli;
- Protesi complete su 6 impianti ROOTT (Svizzera) - 300000 rubli;
- Protesi All-on-4 su 4 impianti Nobel - 300.000 rubli.
Vale la pena notare che l'impianto con carico immediato, di norma, è "chiavi in mano", cioè tutte le procedure e i materiali necessari sono inclusi nel prezzo.

nota
Sia con il tipo classico di impianto che con l'impianto con carico immediato, gli impianti sono spesso installati con un metodo meno traumatico (minimamente invasivo) - almeno così le cliniche lo posizionano. Allo stesso tempo, a volte viene affermato che il processo di installazione dell'impianto si verifica senza incisioni e suture (a volte nella pubblicità scrivono del cosiddetto impianto non chirurgico dei denti).
È utile tenere presente che la pubblicità è un po 'astuta: per accedere al tessuto osseo attraverso le gengive in un modo o nell'altro dovrai fare un'incisione. Potrebbe non essere longitudinale, come al solito, ma circolare. Cioè, l'operazione, in effetti, viene eseguita, l'incisione è presente, ma è il più parsimoniosa possibile e la sutura potrebbe non essere richiesta.
Mini impianto dentale
Forse la prima cosa che dovresti sapere sugli impianti mini-dentali è che questo tipo di impianto dentale non sostituisce completamente la tecnica classica.
Il fatto è che i mini impianti utilizzano impianti sottili, letteralmente circa 2 mm di diametro (ci sono varie marche, ma gli MDI sono considerati i più popolari). A causa delle dimensioni ridotte, i mini-impianti non sono in grado di sopportare un carico significativo, quindi vengono utilizzati solo per supportare protesi rimovibili leggere (e talvolta anche in ortodonzia in combinazione con apparecchi ortodontici).

In altre parole, non è possibile posizionare una corona su un mini-impianto, poiché in questo caso l'osso che circonda l'impianto sottile semplicemente non può sopportare il carico masticatorio trasmesso ad esso.
Comunque sia, il mini-impianto di denti è una tecnologia abbastanza moderna e consente ai pazienti di ricevere "nuovi denti" in un tempo estremamente breve - una protesi rimovibile è attaccata ai mini-impianti per diversi giorni dopo la loro installazione.



Ci sono ulteriori vantaggi:
- I mini-impianti vengono installati utilizzando un metodo minimamente invasivo (risparmio): l'impianto viene semplicemente avvitato nell'osso direttamente attraverso la gomma, come una vite autofilettante;
- Un altro vantaggio significativo è il prezzo basso per questo tipo di impianto: il costo del ripristino di una dentatura completa è di 130.000 rubli;
- Come per l'impianto basale, i requisiti per le condizioni ossee durante il mini-impianto non sono elevati (vale a dire che i mini-impianti possono essere installati anche con significativa atrofia dei processi alveolari).
Prezzi delle corone utilizzate nelle protesi su impianti dentali
Va tenuto presente che l'impianto dentale è una procedura complessa ed è necessario non solo installare un impianto (che funge da radice del dente artificiale), ma anche fissare una protesi su di esso. Il costo di una tale protesi può variare in modo significativo e talvolta fornisce un contributo molto significativo al costo dell'intero trattamento.

Immediatamente dopo l'installazione degli impianti (di solito con il metodo classico di impianto), le ammaccature nella dentatura vengono talvolta chiuse con protesi provvisorie economiche. Un esempio è una protesi artificiale (una protesi a farfalla, che ha preso il nome dal fatto che oltre a 1-2 denti artificiali, il suo design prevede 2 ganci su entrambi i lati, che ricordano le ali di una farfalla). Il costo di tali protesi è basso e inizia a circa 3000 rubli. Dopo che gli impianti sono stati fusi con l'osso, è possibile procedere a protesi permanenti.

Le corone dentali montate su impianti possono essere singole (cioè un dente) o essere presenti nel ponte dentale (per più denti) o una protesi rimovibile.
nota
Le protesi rimovibili su impianti dovrebbero essere scelte se manca la maggior parte della dentatura. E non solo per il basso prezzo: nel design di tali protesi, oltre alle corone, esiste anche una base in plastica. In realtà, questa è una gomma artificiale, progettata per nascondere i difetti del presente, che diventa antiestetico a causa del rilassamento del tessuto osseo a causa dell'atrofia. In questa situazione, la chirurgia plastica della mucosa è inappropriata.
Il materiale con cui è realizzata la corona dentale determina in gran parte il suo valore. Le opzioni possono essere le seguenti:
- Corone in metallo-plastica: hanno una base in metallo (lega di cobalto-cromo o nichel-cromo) e il rivestimento esterno è di plastica. Indipendentemente dal tipo di impianto dentale, tali corone vengono utilizzate principalmente come opzione temporanea e sono abbastanza leggere, esteticamente più gradevoli e, soprattutto, possono essere corrette in caso di rottura direttamente nella bocca del paziente (la protesi non deve essere trattata ad alte temperature, come nel caso dei cermet). Per quanto riguarda gli aspetti negativi, la plastica non è ancora il materiale più estetico, inoltre, è porosa e nel tempo è dipinta. Il costo di tali corone inizia da 1500 rubli;

- Le corone in metallo-ceramica sono per molti aspetti simili al metallo-plastica, come rivestimento esterno viene utilizzato solo uno strato di ceramica. Si ritiene che queste siano le corone più ottimali in termini di prezzo e qualità. Sono abbastanza resistenti e superano le corone in plastica metallica per caratteristiche estetiche. Tra i lati negativi: la base in metallo non è trasparente, quindi il colore del dente potrebbe non essere del tutto naturale (tali corone sono meglio utilizzate per sostituire i denti posteriori). Inoltre, alcuni pazienti possono manifestare una reazione allergica alle leghe utilizzate. Il prezzo medio per le corone in metallo-ceramica a Mosca è di circa 7-10 mila rubli;

- E infine, corone dentali in zirconia. Ad oggi, il biossido di zirconio è considerato il materiale più avanzato per la produzione di corone dentali, è caratterizzato da una maggiore resistenza e colore bianco (mentre, a differenza del metallo, è in grado di trasmettere luce). Di solito è usato come base e sopra è ricoperto da un sottile strato di ceramica. La forma della corona viene pianificata su un computer e quindi segata su una macchina da un unico pezzo. Ciò garantisce il posizionamento più accurato della corona sull'impianto e un'elevata estetica. La durata delle corone di zirconia è superiore a 20 anni. Il costo medio di tali corone nelle cliniche di Mosca è di circa 15-20 mila rubli.

Qualche parola su promozioni e offerte speciali per impianti dentali
Oggi molte cliniche dentali conducono varie promozioni e offrono sconti su vari tipi di impianti dentali. È importante qui non inseguire il prezzo minimo, ma avvicinarsi adeguatamente alla scelta della clinica e (prima di tutto!) L'implantologo.
A volte, il prezzo innaturalmente basso offerto per questo o quel tipo di impianto dentale nasconde alcuni rischi: l'uso di impianti di classe economica e (o) il lavoro di implantologi inesperti. Le cliniche possono anche risparmiare sui materiali per protesi, procedure diagnostiche, ecc.

Ci sono anche approcci più sofisticati nelle cliniche che sono coperti da un basso prezzo delle azioni (vedi la recensione qui sotto), quando in realtà il prezzo è significativamente più alto di quello inizialmente dichiarato.
richiamo
“Sono stato guidato da un'azione: mi è stato proposto di installare un impianto israeliano per 29.900 con una corona. Dopo aver consultato un medico, il prezzo è rimasto invariato, ma alla fine si è scoperto che per installare l'impianto, era ancora necessario impiantare l'osso, sono state utilizzate anche alcune membrane aggiuntive. Il contratto stabiliva cosa era incluso nell'importo dichiarato, ma nessuno diceva che avrei avuto bisogno di più. Di conseguenza, ha pagato circa 60 mila (!!!) per un dente ... "
Andrey, Mosca
Naturalmente, non si dovrebbe rifiutare di promozioni e offerte speciali per gli impianti dentali, ma bisogna stare attenti ed essere guidati dal buon senso. Inoltre, può essere più economico essere trattato con un piccolo sconto da un buon medico in una buona clinica che con un enorme sconto in una cattiva clinica da un medico inesperto.
Se hai esperienza personale nell'installazione di determinati impianti dentali, assicurati di condividerli lasciando il tuo feedback in fondo a questa pagina (nella casella dei commenti).
Video utili sul costo degli impianti dentali oggi
Un po 'di teoria e una chiara dimostrazione di cosa ci si può aspettare nell'ufficio di un implantologo






Alcuni giorni fa, due denti sono stati rimossi dal fondo. Ora vado a mettere gli impianti, ho scelto un konmet su consiglio di un medico. La rimozione è stata abbastanza facile, ma a volte appare un leggero dolore alla gomma. Nei prossimi giorni non sarai in grado di andare dal tuo medico, quindi dimmi, per favore, cosa potrebbe essere? E non influenzerà l'ulteriore installazione dell'impianto? Grazie in anticipo per la tua risposta.
Buon pomeriggio, il dolore dopo l'estrazione del dente è normale. Molto probabilmente, il processo di guarigione non è stato completamente completato (il dolore può durare per diversi giorni), ma in ogni caso, il medico eseguirà la diagnosi prima di installare gli impianti e, se vengono rilevate eventuali complicazioni, l'impianto verrà rinviato.
Ciao Ho deciso di mettere un impianto, ho raccolto un sacco di informazioni e recensioni. Un'altra domanda interessante è come viene determinata la condizione del tessuto osseo nel sito di un dente che è già stato rimosso molto tempo fa. E come fai a sapere se un impianto attecchirà? È solo che non ho un dente superiore da molto tempo e voglio capire approssimativamente quanto sarà difficile per me sottopormi a questa procedura.
Ciao Spero. Inizialmente, è necessario eseguire la tomografia computerizzata, in grado di determinare il volume e la qualità del tessuto osseo. Nella nostra clinica puoi fare tutto questo con una consulenza gratuita (anche la diagnostica è inclusa). Se c'è il volume osseo necessario e non ci sono controindicazioni per motivi di salute, non dovrebbero esserci problemi. Se lo spazio per l'installazione dell'impianto non è sufficiente, potrebbe essere necessario un innesto osseo aggiuntivo.
Se non c'è un dente per molto tempo, la probabilità di atrofia è alta, specialmente se il dente è assente sulla mascella superiore nella zona del seno. Di norma, perdiamo fino al 60% del volume osseo nel primo anno dopo l'estrazione del dente.
Si prega di avvisare. Indosso protesi rimovibili da 20 anni. Le gengive iniziarono a diminuire, specialmente quelle inferiori. Durante l'esame di una TAC, il medico ha affermato che anche 4 impianti non hanno nulla da installare. Se solo 2, e quindi in dubbio. Forse ho solo bisogno di realizzare le migliori protesi rimovibili? Consiglia una clinica non molto costosa e un buon medico.
Saluti, amore.
Ciao amore Le protesi rimovibili non sono l'opzione migliore, poiché reintegrano il carico masticatorio solo del 50% e la qualità della vita si sta deteriorando a causa di vari inconvenienti associati all'utilizzo di protesi. Il tuo caso è solo un esempio lampante di ciò di cui parlo costantemente ai pazienti: atrofia del tessuto osseo a seguito di protesi rimovibili e le complicazioni associate a questo. In alternativa alle protesi rimovibili, si può prendere in considerazione una protesi basata su impianti bicorticali, che sono installati in aree più dense del tessuto osseo e persino un'atrofia ossea grave non è una controindicazione a questo tipo di protesi. Il metodo si chiama BASAL COMPLEX o impianto basale a carico immediato. Puoi contattare la nostra clinica - siamo specializzati nel restauro di denti in casi difficili. Se vivi a Mosca, puoi fissare un appuntamento per una consulenza e una diagnostica (gratuita). Se vieni da un'altra città, quindi invia la tomografia del tuo computer alla posta del sito, ti consiglieremo gratuitamente.
Ho tanta paura dei denti che è arrivato al punto che ho dovuto mettere l'impianto alla fine per mantenere un aspetto presentabile. Il consiglio sta già fluendo da qui, anche se i denti non ti disturbano molto, vai dal medico.Ma alla fine sono rimasto soddisfatto, tutto è andato per il meglio e l'eccellente medico è stato appena catturato. Ora almeno non vergognarsi di sorridere.
E ho messo l'impianto MIS, israeliano. Ho dato circa 37 mila per un dente (non l'ho contato con tutti i costi). In generale, indosso le regole da un anno ormai - non ci sono stati problemi.
Ha anche impiantato il suo dente anteriore, in un incidente l'estate scorsa ha eliminato.
Ho letto che è possibile installare una protesi completa su mini impianti. Quanto meno affidabile sarà se la protesi fosse installata su impianti basali? E ci sarà una differenza nel comfort?
Ciao Olga! I mini impianti vengono utilizzati solo per il fissaggio temporaneo di una protesi rimovibile. E gli impianti basali sono impianti per protesi permanenti, pertanto non è del tutto corretto confrontare questi due sistemi.
Se stiamo parlando di protesi permanenti, in questo caso non vengono utilizzati mini impianti.