
Oggi, l'impianto dentale in molti casi clinici è l'opzione più estetica, conveniente e duratura per le protesi dei denti persi. Ciò vale sia per la perdita di 1-2 denti, sia per il ripristino dell'intera dentatura.
Tuttavia, la pratica dimostra che non tutte le persone si affrettano all'appuntamento di un implantologo, spesso considerando un'alternativa più economica come sostituto di impianti costosi - ad esempio ponti, protesi parziali o complete, o addirittura utilizzando una protesi provvisoria per anni una farfalla.
Ecco la protesi sull'impianto:

E sotto la foto mostra farfalla protesica (in realtà, questa è una protesi temporanea, tuttavia, molte persone la usano come permanente):

Il problema principale è il costo relativamente elevato e la complessità dell'installazione di impianti dentali - dopo tutto, è necessario tagliare la gomma, perforare l'osso, quindi attendere l'innesto della "vite" di titanio installata. E la domanda logica che preoccupa i pazienti è quanto costerà?
Oggi nelle pubblicità di varie cliniche dentali si trovano spesso azioni invitanti di questo tipo: l'impianto di denti chiavi in mano - solo 30 mila rubli per 1 dente. Ma cosa è esattamente incluso in questo prezzo? Il costo include anestesia, scansioni TC, tessuto osseo, pilastro, corone?
In pratica, a seconda del caso clinico, l'importo totale per il trattamento può raggiungere valori impressionanti. Ecco un esempio di recensione lasciata su questo sito per un articolo su impianti dentali per malattia parodontale:
“5 anni fa, le gengive hanno iniziato a sanguinare. Sono andato dal dentista, mi ha consigliato di acquistare un brillantante. Allo stesso tempo, la radice del dente già esposta è stata sigillata. Ogni anno andavo in odontoiatria con un problema: le otturazioni cadevano e sanguinavano le gengive. Fino a quando non sono arrivati tryndets completi. E ora offrono l'impianto, il prezzo della domanda è 300-400 mila. Inoltre, tutti i furfanti in camice bianco non sono trattati in odontoiatria urbana, ma si offrono di andare a pagamento, dove essi stessi guadagnano denaro extra (bruciandoli all'inferno con una fiamma blu). "
Sergei
Proviamo a capire cosa è solitamente incluso nel costo dell'impianto dentale, come si formano i prezzi per gli impianti “chiavi in mano” e se è possibile sapere esattamente prima dell'inizio del trattamento quanto costerà il restauro dei denti ...
Qual è il costo degli impianti dentali
Per comprendere meglio quale può essere il costo totale degli impianti dentali, è utile avere un'idea delle fasi principali di questa procedura. Questi includono:
- Preparazione per l'impianto;
- Fase chirurgica;
- Fase di osteointegrazione (attecchimento) dell'impianto installato;
- E, infine, le protesi sull'impianto stesso (con la tecnica di impianto a carico immediato, la protesi viene installata quasi immediatamente dopo la fase chirurgica, ovvero non è necessaria una lunga attesa per l'innesto dell'impianto nell'osso).

Successivamente, analizzeremo queste fasi in modo più dettagliato e vedremo anche quali materiali saranno necessari per il trattamento.
Preparazione dell'impianto dentale
Il primo stadio è fondamentale non solo per determinare il corso del trattamento imminente, ma anche in relazione alla formazione del costo dell'intera procedura. Dovrebbe essere chiaro che fino a quando il medico non avrà eseguito un esame, tutte le dichiarazioni relative al lato finanziario del problema sono estremamente approssimative.
Tutto inizia con una prima consultazione con un medico. Infatti, la visita è limitata alla comunicazione personale con l'implantologo, nonché all'ispezione visiva della cavità orale.Il medico deve trarre conclusioni (anche se solo preliminari) - è possibile effettuare l'impianto, cioè ci sono controindicazioni per motivi di salute. Assicurati di dire all'implantologo di possibili problemi di salute, in particolare non nascondere gravi malattie (ad esempio tumori, diabete mellito, epatite, disturbi del sistema cardiovascolare).

Di norma, la consultazione iniziale con un medico è gratuita. In questa fase, i modelli di impianto possono già essere selezionati, dopo di che viene elaborato un piano di lavoro (viene concluso un accordo in base al quale deve essere scritto il prezzo finale per l'impianto).
Se il paziente è soddisfatto di tutto, viene fatta una diagnosi più approfondita dello stato della cavità orale. L'obiettivo principale delle procedure diagnostiche è studiare le condizioni dell'osso mascellare: il suo volume e qualità, la posizione dei seni mascellari (nasali) e il nervo mandibolare sono importanti.
Di conseguenza, per valutare lo stato del tessuto osseo è possibile eseguire:
- Radiografia dell'area di un dente;
- ortopantomogramma: un'immagine panoramica che copre una o entrambe le dentature;
- tomografia computerizzata (TC), che consente di ottenere un'immagine tridimensionale e tridimensionale della mascella (il metodo diagnostico più accurato).
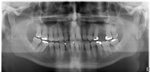
Ecco come appare un ortopantomogramma:

nota
L'attrezzatura per la tomografia computerizzata non è presente in ogni clinica dentale. Pertanto, se necessario (il medico ti parlerà di questo), dovrai andare in una clinica diversa - una odontoiatrica o specializzata, dove viene eseguita la TC.
La TC di una mascella costa in media 3.500 rubli., Due mascelle - circa 7000 rubli.
Spesso puoi cavartela con un ortopantomogramma, il cui costo medio è di 700-1000 rubli.
Vale la pena considerare i possibili componenti aggiuntivi della fase preparatoria, che di solito non sono inclusi nel costo dell'impianto dentale "chiavi in mano" e potrebbe richiedere un pagamento separato. Ad esempio, potresti aver bisogno di:
- trattamento dei denti in cattive condizioni (i denti "marci" sono terreno fertile per i batteri e comportano rischi per il corretto innesto di impianti);
- trattamento delle gengive;
- igiene professionale (rimozione di placca e pietra).

Un'igiene orale inadeguata può portare all'infiammazione dei tessuti attorno all'impianto e alla sua conseguente rifiuto. Per questo motivo, si consiglia al paziente di rafforzare le procedure igieniche almeno 2-3 settimane prima del posizionamento dell'impianto.
Inoltre, prima dell'impianto, potrebbe essere necessario estrazione di uno o più denti. Se stiamo parlando del metodo classico di impianto a due stadi, l'estrazione del dente è un passaggio aggiuntivo che richiede un pagamento separato (quindi devono passare diversi mesi, durante i quali l'osso si riprenderà, dopo di che gli impianti possono essere installati). Tuttavia, se le condizioni dell'osso e la salute del paziente nel suo complesso consentono un impianto simultaneo, di solito non è necessario pagare separatamente per l'estrazione del dente - questo fa parte del trattamento in cui l'impianto viene immediatamente installato in un foro fresco in cui precedentemente si trovava la radice del dente.
In caso di problemi di salute, l'implantologo può indirizzarti a un medico di medicina generale o a specialisti specializzati, nonché a esami (sangue, urine). In questa situazione, il paziente è libero di scegliere il proprio medico e laboratorio, dove verrà effettuato un ulteriore esame del corpo. Naturalmente, anche questo viene pagato separatamente.
nota
Non ci sono così tante controindicazioni assolute quando l'impianto non è possibile. Il trattamento può essere rifiutato in caso di disturbo della coagulazione del sangue, in presenza di alcune malattie mentali, tumori maligni di qualsiasi organo, gravi disturbi del sistema immunitario, diabete mellito non compensato, tubercolosi e anche ipertonicità masticatoria.
Tenendo conto dei dati sulla condizione dell'osso mascellare, delle gengive e dei denti conservati, l'implantologo, quando elabora il piano per il trattamento imminente, determina il luogo ottimale per ciascun impianto. Di norma, questo viene eseguito utilizzando speciali modelli in cera della mascella. La presa dei calchi e la realizzazione di tali modelli è inclusa nel costo dell'impianto.
Oggi, nell'odontoiatria avanzata, il software viene sempre più utilizzato per pianificare il processo di trattamento: i dati CT vengono scaricati su un computer, elaborati e il programma aiuta il medico a scegliere il luogo per l'impianto, tenendo conto di tutte le caratteristiche strutturali dell'osso mascellare del paziente. Non è richiesto un pagamento aggiuntivo per questo servizio, poiché è già incluso nel costo dell'impianto, ma tale trattamento sarà relativamente costoso.

nota
Ad esempio, Nobel Biocare (Svizzera) raccomanda vivamente di utilizzare il proprio software durante l'installazione dei propri impianti. Gli impianti Nobel appartengono alla categoria premium e l'installazione su base chiavi in mano costa circa 80.000 rubli. per 1 dente.
Quindi, riassumendo i risultati preliminari relativi alla fase preparatoria, vediamo i prezzi approssimativi per i servizi aggiuntivi che potresti dover pagare separatamente dagli impianti dentali "chiavi in mano":
| Nome del servizio | Costo stimato (Mosca) |
| Consultazione del medico | gratuitamente |
| Radiografia di 1 dente | da 250 rubli |
| Ortopantomogramma di tutta la mascella | da 1000 rubli |
| Tomografia computerizzata dell'intera mascella (conduzione + decrittazione dei dati) | da 3500 rubli |
| Trattamento della carie 1 dente | da 1500 rubli |
| Trattamento della pulite 1 dente | da 3000 rubli |
| Spazzolino ad ultrasuoni - rimozione dei depositi | da 2500 rubli |
| 1 estrazione del dente | da 2500 rubli |
Costo dell'impianto dentale
Un contributo significativo al costo dell'impianto dentale è dato dal costo dell'impianto stesso (ovvero, di fatto, una "vite" in titanio).

I seguenti sono dati indicativi sul costo dei marchi di impianti più popolari all'inizio del 2019:
| Marchio dell'impianto | Costo stimato, sfregamento. |
| Alpha BIO (Israele) | 6000 |
| MIS (Israele) | 7000 |
| Snucone (Corea) | 7000 |
| BioHorizons (USA) | 10 000 |
| AstraTech (Svezia) | 15 000 |
| XiVE (Germania) | 20 000 |
| Ankylos (Germania) | 20 000 |
| Nobel biocare | 25 000 |
| Straumann | 25 000 |
Stadio chirurgico e successivo impianto
È chiaro che il lavoro del chirurgo implantare e l'accompagnamento di accompagnamento dell'intero processo di trattamento da parte sua non è un servizio gratuito per il paziente. Inoltre, maggiore è la qualifica del medico e lo stato della clinica, più in genere devi pagare per questo - tutte queste sfumature sono già incluse nel prezzo finale.

L'operazione per installare l'impianto stesso non richiede più di un'ora e viene eseguita come segue: la gomma viene tagliata, il suo piccolo lembo viene rimosso, il che consente l'accesso al tessuto osseo. Con l'aiuto di frese e frese speciali, si forma un buco nell'osso - il letto sotto l'impianto. Quindi l'impianto viene avvitato nell'osso (come una vite autofilettante) e chiuso con un tappo. Il lembo gengivale ritorna al suo posto ed è suturato - vengono applicate suture.
Nella classica tecnica di impianto a due stadi, devono trascorrere diversi mesi dopo il posizionamento dell'impianto, prima di poter procedere allo stadio di protesi permanenti (ovviamente, non è necessario andare senza denti - per questo periodo al paziente verranno offerte protesi provvisorie rimovibili, la cui fabbricazione, a proposito, dovrà essere pagata separatamente) .
Sulla mascella inferiore, la durata della fusione dell'impianto e dell'osso dura circa 2-4 mesi, sulla parte superiore - 4-6 mesi. Durante questo periodo, è necessario visitare regolarmente il medico (la prima volta - 3-7 giorni dopo l'intervento chirurgico, dopo - altre 2-3 volte). Questo è richiesto esclusivamente. per la prevenzione delle complicanze - con esami regolari, l'implantologo sarà in grado di controllare la qualità dell'innesto di impianto e, in caso di problemi, eliminarli in una fase precoce.
nota
L'impianto dentale viene eseguito in anestesia locale - questo è sufficiente per un'operazione indolore. Tuttavia, in un certo numero di casi può essere utilizzata anche l'anestesia generale (ma solo se ci sono prove concrete per l'anestesia, ad esempio la paura del panico del dentista o le reazioni allergiche ai componenti anestetici).
Il costo dell'impianto dentale "chiavi in mano" non include l'innesto osseo - una procedura chirurgica che non è così raramente richiesta dai pazienti durante l'installazione di impianti. Ad esempio, una sorta di innesto osseo è il sollevamento del seno - in caso di atrofia del tessuto osseo nella mascella superiore (una diminuzione del volume dell'osso mascellare si verifica con una lunga assenza di denti). In poche parole, in modo che l'impianto di titanio, quando avvitato nell'osso, non perfori la parete del seno mascellare e trattiene saldamente, è necessario aumentare il volume del tessuto osseo nel sito di posizionamento dell'impianto.

L'innesto osseo può anche essere richiesto sulla mascella inferiore. È possibile utilizzare l'impianto di materiale osseo artificiale o il trapianto autologo di blocchi ossei (in quest'ultimo caso, una piccola parte dell'osso viene presa in prestito dal paziente stesso - di solito dalla zona dei denti del giudizio).
Le operazioni elencate sono pagate separatamente. Vale la pena notare che sono piuttosto costosi (di solito costano più di 10.000 rubli.). Inoltre, possono ritardare il processo di impianto dentale - dopo la crescita ossea, di norma, dovrebbero trascorrere almeno 3-4 mesi, perché il tessuto lesionato deve essere completamente ripristinato. Solo dopo la fine del processo di rigenerazione vengono installati gli impianti.
Un'altra operazione che può essere richiesta anche durante l'impianto è la riparazione delle gengive. La violazione della posizione del contorno della mucosa molle si verifica contemporaneamente all'atrofia del tessuto osseo: l'osso si abbassa, inoltre, in modo non uniforme lungo l'intera dentatura e la gomma insieme ad essa. Ecco perché potrebbe essere necessaria una riparazione chirurgica delle gengive, il cui scopo è ripristinare l'estetica della mucosa. Anche la riparazione della gomma viene pagata extra.
Ed ecco un livello di prezzo approssimativo per questi servizi chirurgo:
| Nome del servizio | Costo stimato, sfregamento. |
| Sinus sollevamento aperto | da 25000 |
| Sollevamento del seno chiuso | da 10 000 |
| Autotrapianto di blocco osseo | da 40.000 |
| Innesto osseo artificiale | da 35000 |
| Plastica gengivale (1 mascella) | dalle 15000 |
Come puoi vedere, anche se la pubblicità di una clinica indica il costo di un impianto dentale "chiavi in mano" di 20.000 rubli. - Ciò non significa affatto che con un esame più attento di una specifica situazione clinica sarà possibile gestire con tale importo.
Protesi implantari finali
Sembrerebbe che dopo aver installato l'impianto, sia sufficiente attendere il suo innesto, quindi realizzare una protesi e fissarla sull'impianto. È tutto semplice. In generale, tutto è come è, ma in realtà queste fasi potrebbero non sembrare così semplici e insignificanti (anche dal punto di vista finanziario).

Ecco alcune procedure necessarie:
- Presa delle impronte dopo il posizionamento dell'impianto, la fabbricazione e il fissaggio di una protesi temporanea (per non rimanere senza denti per quasi un anno e mezzo);
- Dopo l'attecchimento dell'impianto riuscito - ripetuto incisione gengivalecoprendo il moncone sull'impianto, rimuovendo il moncone e fissando il moncone di guarigione (eseguito 2-3 settimane prima dell'installazione di una protesi permanente). La prima gengiva consente di regolare la posizione della mucosa molle attorno alla futura corona;
- Rimozione del precedente gengivale e sostituzione con un moncone (un elemento che funge da base per la protesi), installandolo sul moncone e inserendo una protesi permanente realizzata prima delle calotte.
Le manipolazioni elencate sono già incluse nel costo dell'impianto. Ma i monconi meritano un'attenzione particolare: questi sono gli elementi che collegano la parte intraosseo dell'impianto e la corona.
Il modello di pilastro viene selezionato nella fase di pianificazione del trattamento.Pertanto, il prezzo dell'abutment stesso sarà incluso nel costo dell'intero trattamento, ma può variare in modo significativo (ad esempio, un abutment semplice può costare 1.500 rubli e uno individuale di biossido di zirconio può costare 10.000 rubli).

Vediamo cosa producono oggi i produttori di abutment:
- Titanio classico: sono realizzati con lo stesso materiale degli impianti dentali stessi. Sono opachi, quindi tali abutment non devono essere utilizzati con corone traslucide in zirconia, come si possono vedere alla luce;
- Abutment in zirconia - hanno un colore bianco, che consente di ottenere la migliore estetica. Il materiale non è inferiore in termini di affidabilità e durata rispetto al titanio;
- I monconi individuali possono anche essere creati dal biossido di zirconio, ma non hanno una forma di stencil, ma sono adattati alla situazione clinica di un particolare paziente.
Per quanto riguarda le protesi stesse, qui i pazienti hanno una selezione abbastanza ampia. Le strutture permanenti o semi-rimovibili possono essere fissate sugli impianti (rimane la possibilità di rimozione, ma non è necessario farlo ogni giorno).
È interessante
Per ripristinare 1-2 denti, vengono utilizzate corone a dente singolo, per 3 o più - ponti, che consistono in corone interconnesse. Le protesi rimovibili condizionatamente sono raccomandate per sostituire circa la metà o tutta la dentatura. Oltre alle corone, la loro costruzione ha anche una base in plastica - una gomma artificiale. È meno massiccio che in protesi rimovibili, poiché la sua funzione non è quella di fissare la struttura nella cavità orale, ma di coprire la gengiva, la cui estetica è compromessa a causa dell'atrofia del tessuto osseo. Inoltre, quando si ripristina l'intera dentatura, tali protesi sono 2-3 volte più economiche rispetto all'installazione di ponti dentali, anche a causa del fatto che non è necessario eseguire la riparazione delle gengive.
Anche le corone dentali montate su impianti possono variare notevolmente nel prezzo:
- Corone in plastica - utilizzate come opzione temporanea. Sono economici, possono essere facilmente trasferiti e persino riparati direttamente nella cavità orale del paziente (e ciò può essere necessario, poiché il morso può cambiare leggermente alla prima volta dopo il posizionamento dell'impianto). Le corone in metallo-plastica possono durare 3-5 anni;
- Le corone Cermet sono un'opzione più costosa per le protesi permanenti. Si distinguono per una resistenza sufficientemente elevata e un buon aspetto, ma nel caso dell'utilizzo della base di cobalto-nichel possono causare reazioni allergiche. La durata delle corone in metallo-ceramica sugli impianti è di circa 12-15 anni;
- Le corone in zirconia sono le più costose, ma anche le più resistenti e vantaggiose in termini di estetica. Possono durare più di 20 anni senza problemi. Ideale per il restauro dei denti anteriori, perché, a differenza dei cermet, non hanno una base scura. Ma l'elaborazione della zirconia richiede attrezzature speciali (le corone sono create dalla simulazione al computer e dalla successiva fresatura robotizzata), quindi il loro costo è elevato.
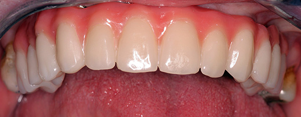
Le corone di zirconia sono mostrate nella foto sotto:

Ecco un livello di prezzo approssimativo per corone e abutment:
| Materiale per protesi | Costo stimato, sfregamento. |
| Corona temporanea sull'impianto - 1 dente | dal 2500 |
| Protesi provvisoria rimovibile per protesi | dal 6000 |
| Corona in metallo-ceramica per 1 dente | dal 3000 |
| Corona in zirconia per 1 dente | dal 6000 |
| Moncone in titanio * | dal 1100 |
| Moncone in zirconia | dal 4500 |
| Abutment individuale | dal 7500 |
* Il costo delle componenti secondarie dipende in larga misura dal produttore: più costoso è l'impianto stesso, maggiore è il costo delle sovrastrutture.
L'effetto del metodo di impianto sul costo del trattamento
Oggi ci sono due principali indicazioni per il restauro del dente attraverso l'impianto: Questo è un protocollo classico (a due stadi) e una serie di metodi espressi.Per i metodi espressi, il numero di passaggi del trattamento è inferiore, il che a volte consente di risparmiare diverse decine o addirittura centinaia di migliaia di rubli.
Il primo metodo di impianto rapido è l'impianto simultaneo. Viene eseguito contemporaneamente all'estrazione del dente (mentre l'approccio classico implica un lungo recupero e guarigione dell'osso dopo tale procedura). Con una tecnica a uno stadio, l'impianto viene installato in un nuovo foro (sfortunatamente, questo non è sempre possibile, soprattutto sullo sfondo dei processi infiammatori, quando il dente deve essere rimosso urgentemente). Con questo approccio, il processo di trattamento è ridotto di uno stadio, il che significa risparmiare tempo e denaro.

La seconda opzione è impianto basale a carico immediato. Nel 90% dei casi, è possibile fare a meno dell'accumulo di tessuto osseo, poiché gli impianti vengono installati anche ad angolo, bypassando le sezioni atrofizzate dell'osso (ciò non è possibile con l'approccio classico). Inoltre, non è necessario indossare protesi rimovibili a lungo termine: la struttura fissa in metallo-plastica viene fissata quasi immediatamente sugli impianti, la protesi "collega" tutti gli impianti in un unico insieme e li stabilizza - è possibile masticare il cibo con nuovi denti in un giorno o due, senza paura di danneggiare solo "viti" in titanio montate.
nota
Una protesi con denti artificiali in metallo-plastica durerà 2-3 anni e successivamente dovrà essere sostituita con una struttura permanente con denti in cermet o biossido di zirconio. Quando si sceglie questa tecnica per ripristinare tutti i denti, il costo dell'impianto "chiavi in mano" è quasi 2 volte inferiore rispetto alla versione classica.
Va notato che l'impianto con carico immediato può essere eseguito anche su impianti classici (non basali), se ciò consente di realizzare le condizioni del tessuto osseo.
Con una completa assenza di denti, le tecniche All-on-4 e All-on-6 possono essere di interesse, ovvero protesi complete dei denti su entrambe le mascelle su 4 o 6 impianti, rispettivamente. Questo approccio consente di risparmiare 2 -2,5 volte rispetto al metodo classico. Scopri di più su queste tecniche in un articolo separato: Tecnologie protesiche dentali All-on-4 e All-on-6.

Vale anche la pena menzionare il cosiddetto mini-impianto, che utilizza impianti MDI sottili piuttosto miniaturizzati (mini impianti dentali). Sono stabiliti dalla puntura dei tessuti, senza tagli delle gengive, cioè senza la necessità di un lungo recupero. Tuttavia, queste strutture possono essere caricate solo con protesi rimovibili - semplicemente non possono sopportare un grande carico.
nota
Va tenuto presente che i mini-impianti non forniscono il carico adeguato sul tessuto osseo e la sua atrofia continua. Pertanto, nel tempo, si sposteranno sia gli impianti stessi che la protesi.
Quanto costerà il restauro dell'intera dentizione con gli impianti?
Nel trattamento dell'adentia completa, cioè quando tutti i denti mancano nella cavità orale, ci sono una serie di sfumature.

Innanzitutto, quando restauro di una dentatura completa può essere utilizzato da 4 impianti. Ciò consente di risparmiare in modo significativo e anche di facilitare la riabilitazione per il paziente (è abbastanza difficile resistere all'installazione di un gran numero di impianti su due mascelle in un breve periodo di tempo, perché sotto ognuno è necessario tagliare la gomma e perforare l'osso).
È interessante
Come notato sopra, oggi, con piena adentia, viene utilizzata attivamente la tecnologia All-on-four, che significa "tutti e quattro". Cioè, la protesi è montata su solo 4 impianti e secondo la tecnica con carico immediato. I primi due impianti sono fissati nell'area dei denti anteriori strettamente verticalmente, 3 e 4 impianti - al posto di 4-5 denti con un angolo di 45 gradi. Dopo 2-3 giorni, una protesi metallo-plastica viene fissata agli impianti (può essere un ponte o rimovibile in modo condizionale con una piccola parte della gomma artificiale).

In secondo luogo, con una protesi completa, è possibile risparmiare su ulteriori procedure come la riparazione del tessuto osseo e delle gengive. Ciò è possibile se viene scelta una tecnica di impianto basale, in cui gli impianti possono essere fissati anche con significativa atrofia ossea e senza plastica mucosa.
In terzo luogo, esiste una scelta per quanto riguarda le protesi totali completamente rimovibili condizionatamente, che, a seconda dei materiali utilizzati nella loro fabbricazione, possono variare in modo significativo nel prezzo.
Ed ecco un livello di prezzo approssimativo per una protesi totale che utilizza diversi metodi:
| tecnologia | Costo stimato, rubli |
| All-on-four (+ protesi rimovibile a condizione su una mascella fissata su 4 impianti), Alpha BIO | circa 130.000 |
| All-on-four (+ protesi rimovibile a condizione su una mascella fissata su 4 impianti), NOBEL | circa 450.000 |
| Protesi mini-impianto (protesi rimovibile) | circa 130.000 |
| Impianto basale con carico immediato della protesi (6-8 impianti + protesi metallo-plastica non rimovibile) | circa 300.000 |
| Impianto classico con carico protesico ritardato (6-8 impianti + protesi fissa) | circa 500.000 |
Quindi cosa è incluso nell '"impianto chiavi in mano"?
Quando la pubblicità dice dell'impianto "chiavi in mano" di un dente (o denti), si può avere la sensazione che il paziente debba pagare una sola volta e solo l'importo indicato nel listino prezzi per questo servizio. Tuttavia, alla luce di quanto sopra, è abbastanza ovvio che in realtà tutto potrebbe non essere così roseo ed economico come a volte sembra a prima vista.

commentare questo programma:
“Ho acquistato pubblicità che consente di installare impianti dentali chiavi in mano in modo economico - per 25 mila rubli e tutto compreso. L'enorme contratto, ovviamente, non ha letto bene. Di conseguenza, mi sono reso conto che dovevo eseguire un sacco di procedure aggiuntive - per guarire 2 denti, impiantare l'osso e in più hanno inviato alla TC in un'altra clinica! Ho pagato esattamente 57 mila per tutto il trattamento. Questo per tutto ... "
Dai post del forum
Di seguito è riportato un elenco di servizi che, di norma, sono già inclusi nel costo di installazione di un impianto "chiavi in mano", nonché i servizi per i quali di solito è necessario pagare separatamente:
| Nome del servizio | Il servizio è incluso nel prezzo chiavi in mano |
| Consultazione iniziale con un medico, esame visivo | + |
| Diagnostica (raggi X, ortopantomogramma, TC) | + |
| Simulazione al computer del processo di trattamento | + |
| Installazione dell'impianto, della spina e della componente secondaria di guarigione | + |
| Impostazione di un moncone standard | + |
| Protesi temporanee: fusione, realizzazione e fissaggio della protesi | + - (a volte è richiesto un supplemento per una protesi temporanea) |
| Protesi permanenti: acquisizione di impronte, rimozione di una protesi temporanea, fissaggio di una struttura permanente | + - (non sempre il costo della corona è incluso nel prezzo) |
| Regolari esami preventivi del medico per tutto il tempo dell'innesto di impianto | + |
| garanzia | + |
| Sangue, esami delle urine, consultazione di specialisti ristretti | — |
| Trattamento dentale e gengivale | — |
| Estrazione del dente | + - (spesso il costo dell'estrazione del dente non è incluso nel prezzo) |
| Procedure chirurgiche: estensione ossea, riparazione delle gengive | — |
| Sviluppo di modelli chirurgici | — |
In media, il restauro di un dente su un impianto economico (ad esempio, Alfa Bio israeliano) con una corona in metallo-ceramica avrà un costo di circa 35.000 mila rubli. Se si osserva l'atrofia del tessuto osseo e l'estetica delle gengive è compromessa, il costo del trattamento aumenterà a 50-60 mila rubli. Il ripristino dell'intera dentatura su 4 impianti costerà almeno 150 mila rubli per tutte le procedure, inclusa l'installazione di una protesi.
Alcuni consigli pratici su come evitare di pagare in eccesso gli impianti dentali
Già durante la prima comunicazione con il medico (e le consultazioni in molte cliniche sono di solito gratuite), assicurati di chiedere all'implantologo quali procedure saranno necessarie nel tuo caso e quanto costano - in modo che in seguito ciò non diventi una spiacevole sorpresa.Avere dati sui prezzi per servizi correlati in diverse cliniche, sarà più facile fare una scelta in base alle tue capacità finanziarie.
Leggere attentamente il contratto - dovrebbe riflettere tutte le procedure concordate, nonché indicare chiaramente l'importo totale per il trattamento.
Non inseguire troppo a buon mercato, cercando a tutti i costi di scegliere solo l'opzione più economica. Nel caso degli impianti dentali, l'eccessiva economicità può comportare costi significativi in futuro (questo diventerà chiaro quando l'impianto di una società "cinese" poco conosciuta inizierà improvvisamente a essere respinta).
Prima di tutto, cerca di concentrarti sulla scelta di un buon medico e non su uno o un altro impianto. Un professionista responsabile del lavoro consiglierà il miglior sistema di impianto per il tuo caso e farà ogni sforzo per garantire che gli impianti installati durino per diversi decenni senza problemi.

Tieni traccia delle promozioni che si svolgono spesso nelle cliniche dentali. A volte, approfittando di una buona offerta in tempo, è possibile risparmiare fino al 20-30% del prezzo originale.
Se hai esperienza personale nell'installazione di impianti dentali (o semplicemente nella pianificazione) - condividi informazioni: sono state rilevate eventuali insidie (servizi aggiuntivi che richiedono costi finanziari), quale importo ha indicato la clinica e, in generale, come è la tua situazione? Qualsiasi informazione su questo argomento è benvenuta.
Quanto costa oggi l'impianto dentale e da cosa dipende
Video utile con le risposte alle domande più frequenti sugli impianti dentali

Ciao, non so quale impianto sia meglio scegliere per il 6. inferiore. Nella clinica, queste opzioni sono disponibili per la selezione: Alpha Bio, Straumann, Osstem. In termini di finanze, puoi sceglierne uno qualsiasi, ma non vuoi anche pagare in eccesso inutilmente per un marchio. Quale opzione di consulenza?
Ciao Se possibile, è meglio scegliere un sistema di impianto di segmento premium, nel tuo caso il sistema di impianto Straumann sarà il più adatto, poiché le statistiche di attecchimento e durata degli impianti premium sono molto migliori. Ad esempio, la nostra clinica offre una garanzia a vita e un servizio post-vendita gratuito per questo sistema di impianto.
12 anni fa mi è stato rimosso un dente. Ora c'è ancora l'opportunità di mettere un impianto o una protesi è migliore?
Ciao Michael. Non vi è alcun limite di tempo per il posizionamento dell'impianto dopo l'estrazione del dente. L'implantologo diagnostica il volume del tessuto osseo e quindi determina il metodo ottimale di trattamento.
È possibile mettere 1 impianto invece di due denti da masticare sulla mascella inferiore, anziché l'ultimo e penultimo dente?
Ciao Andrew! In questa situazione, non è possibile installare due corone su un impianto, quindi un impianto sostituirà un dente. Nella prima fase è possibile il ripristino di un dente, ma in ogni caso è altamente desiderabile ripristinare il secondo.
Benvenuti! Non ho tre denti sulla mascella superiore. La clinica offre l'installazione di due impianti e una corona. Ma ho dei dubbi, all'improvviso non attecchiranno e la quantità è considerevole.
Vorrei installare tre impianti, ma non tutti in una volta, ma per gradi. Primo, poi pochi mesi dopo il secondo e poi il terzo. Capisco che questo si allungherà a lungo, ma poi ogni dente sarà da solo. Inoltre, non devi pagare immediatamente una grande quantità, puoi pagare in più fasi. Posizionamento di impianto alternativo: è peggio di tutto in una volta o non c'è differenza?
Ciao paolo Rispondendo alla tua domanda, voglio notare subito che ovviamente c'è una differenza! Tecnicamente, ovviamente, puoi fare come vuoi, in determinate condizioni: il volume del tessuto osseo, le condizioni degli antagonisti, se indosserai una protesi temporanea o meno, in quale area non ci sono denti, ecc. Consiglio di installare tutti gli impianti contemporaneamente. Inoltre, i produttori di impianti raccomandano che non sia preferibile realizzare i denti sugli impianti separatamente, ma collegarli insieme in ponti. Soprattutto se si tratta di un gruppo di denti da masticare.
Il trattamento a fasi prevede diverse operazioni, ogni volta un'incisione, gonfiore, antibiotici, disagio nell'area dell'operazione. Più atrofia ossea. E alla fine, raggiungendo il terzo impianto, puoi incontrare nuovi problemi sotto forma di mancanza di tessuto osseo.
Buon pomeriggio Ho entrambi i sei superiori trattati con il metodo del resorcinolo. Ora ci sono blackout sulla cima delle radici, il dottore mi consiglia di rimuovere questi denti e mettere gli impianti al loro posto.
Dimmi, è possibile salvare tali denti, solo trattare i canali?
Ciao marina. Tutto dipende dalle condizioni dei tessuti dentali rimanenti, nonché da quanto è grande la lesione nella parte superiore delle radici. Se il dente ha mantenuto la sua integrità e la messa a fuoco è piccola, il trattamento può dare un risultato positivo. In una situazione del genere, è utile ottenere l'opinione di diversi dentisti in una consultazione faccia a faccia.
Ciao Avevo un dente morto in cima, recentemente un grosso pezzo si è rotto da esso mentre mangiavo. Sono andato in due cliniche. In uno, il medico ha detto che puoi mettere una corona. Nel secondo dicono che solo un impianto aiuterà qui. Perché i medici dicono cose diverse e cosa fare?