
Quello che viene comunemente chiamato nervo dentale, infatti, è un fascio neurovascolare, che ha una struttura piuttosto complessa e viene correttamente chiamato polpa. Grazie a questo tessuto situato all'interno della corona e della radice del dente, è in grado di rispondere alle influenze esterne: ad esempio, per sentire cibi caldi e freddi. La polpa è anche una sorta di barriera all'ulteriore penetrazione dei batteri.
La foto sotto mostra il nervo rimosso dal dente:

La rimozione di un nervo da un dente lo fa diventare "morto" e perde la sua capacità di percepire quasi tutti i tipi di stimoli (freddo, dolce, acido, salato). Ma un dente viene chiamato morto, prima di tutto, per il motivo che perde il suo apporto di sangue, il tasso di processi di mineralizzazione diminuisce significativamente in esso - in altre parole, diventa fragile nel tempo e lo smalto diventa opaco.
Tuttavia, perché allora i dentisti rimuovono così spesso il nervo dal dente, privandolo in tal modo di un componente interno molto importante? Quali conseguenze possono essere prevenute da questo, ed è davvero necessaria la rimozione dei nervi?

Successivamente, proveremo a considerare questi problemi in modo più dettagliato, oltre a conoscere le recensioni del paziente sulle impressioni "indimenticabili" del dentista e vedere come può verificarsi la procedura di rimozione del nervo e in quali casi a volte è accompagnata da sensazioni molto, molto spiacevoli ...
Quando devi rimuovere un nervo da un dente
durante carie iniziale il nervo non è ancora interessato, ma con approfondire il processo cariato i batteri alla fine entrano nella camera della polpa, causando qui un'infiammazione: la pulpite. Allo stesso tempo, una persona può provare forte dolore, spesso peggio di notte.
pulpite (infiammazione del "nervo" del dente) è una malattia che richiede quasi sempre la rimozione parziale o completa della polpa interessata dal dente al fine di evitare un'ulteriore diffusione dell'infezione oltre la radice, che potrebbe portare allo sviluppo di gravi complicanze.

A volte ci sono casi in cui è necessaria la rimozione del nervo dopo una grave lesione del dente, molto spesso quella anteriore. Pulite traumatica Non è così comune come la polipite infettiva di origine cariosa, ma sarà comunque necessario rimuovere il nervo dal dente.

Ci sono anche casi noti in cui l'infezione penetra all'interno del dente non attraverso la cavità cariata, ma attraverso la cosiddetta via retrograda, cioè attraverso il foro nella parte superiore della radice. Allo stesso tempo, le fasi del processo infiammatorio nella polpa seguono lo stesso principio della pulpite classica.
In rari casi, la polpa è danneggiata da calcoli o "pietre", a volte in determinate condizioni che compaiono nei canali radicolari e comprimono i delicati tessuti del fascio neurovascolare, causando la loro irritazione. In questo caso, possono verificarsi danni traumatici alla polpa, seguiti da una reazione infiammatoria, che porta alla necessità di rimuovere urgentemente il nervo dal dente, che spesso appare visivamente completamente sano.
Questo è interessante: "Devo rimuovere il nervo dal dente prima delle protesi con le corone?"
A seconda della situazione clinica, il dentista ortopedico può indirizzare il paziente a un dentista polpa prima di preparare il dente sotto la corona, che rimuoverà i nervi dal dente, pulirà i canali e li riempirà fino all'apice. Con un dente gravemente danneggiato sotto la corona, i nervi vengono necessariamente rimossi e in caso di protesi con cermet - questo dipende dalle tattiche del medico.
Esistono due scuole o due approcci alla protesi metallo-ceramica: o lasciare la polpa nel dente o rimuoverla completamente.Inoltre, se un dentista ortopedico sceglie quest'ultima opzione, ciò non significa che sia un cattivo medico. Il fatto è che gran parte del dente viene "tagliato" sotto il cermet e la probabilità di surriscaldamento del nervo o del suo danno durante questa procedura è estremamente elevata. Pertanto, bilanciando i rischi, il dentista può decidere di non mettere a rischio le protesi future ed eliminare l'incertezza: fa male al dente sotto la corona o no.
Un'opinione diversa è condivisa dalla scuola, che conserva la polpa nei canali durante le protesi con cermet. Ma ciò richiede un alto livello di professionalità del medico (supportato da una speciale tecnica di preparazione), nonché la presenza di alcune attrezzature, che consentono durante la macinatura di raffreddare il dente da tutti i lati.
Quanto è doloroso rimuovere la polpa dal dente?
L'odontoiatria moderna ha metodi che anestetizzano in modo affidabile un dente in modo che la rimozione del nervo dentale sia indolore. Tuttavia, sebbene ciò possa sembrare strano, non tutti i medici parlano fluentemente le tecniche di gestione del dolore e non tutte le cliniche hanno anestetici efficaci per l'anestesia locale. In alcune cliniche gratuite, la situazione con questo può essere particolarmente deplorevole.

Questo è il motivo per cui continuano ad apparire recensioni che entusiasmano le menti di quelle persone che si stanno preparando per la prima volta alla rimozione dei denti (rimozione del nervo con successivo riempimento dei canali).
commentare questo programma:
“Circa 10 anni fa stavo curando il dente da masticare inferiore nella clinica nel luogo di residenza (gratuito, di cui mi sono pentito). Ho già avuto esperienza quando un nervo è stato rimosso da un dente. Pensavo che il dottore avrebbe messo l'arsenico e tutto il resto. E ha appena forato un dente. Quindi vi conficcò qualcosa (già scintille dai suoi occhi) e tirò fuori un nervo. Senza alcun sollievo dal dolore! Horror in generale ".
Konstantin, Iževsk
È la paura del panico per l'imminente procedura di rimozione del nervo che induce alcune persone a correre dei rischi, rivolgendosi alle cliniche dove vengono curate in anestesia generale, cioè con una completa perdita di coscienza. Inoltre, a volte nessuna argomentazione secondo cui la maggior parte delle persone riceve un aiuto assolutamente indolore nel trattamento della pulpite in anestesia locale (cioè nella coscienza) non aiuta. Anche l'aumento del costo di rimozione di un nervo da un dente in anestesia non costituisce un ostacolo in questi casi.

Tuttavia, oltre al desiderio, a proprio rischio e pericolo, di sdraiarsi sul "tavolo operatorio" e rimuovere i nervi da uno o più denti malati contemporaneamente in un sogno, ci sono indicazioni rigorose per l'anestesia, che un dentista competente deve prendere in considerazione quando sceglie i metodi e i mezzi di anestesia.
richiamo
"Non so perché le persone abbiano così paura di andare dal dentista per rimuovere i nervi, ma personalmente li ho puliti più di una volta e non c'è stato nessun dolore intenso. Con un'iniezione non c'è alcun dolore! Nei trenta minuti che il dottore sceglie lì, può essere pizzicato un paio di volte, ma questo non può nemmeno essere chiamato un dolore. È solo la sensazione che stiano facendo qualcosa nel dente e non c'è dolore durante la rimozione del nervo. "
Valentina, Neftegorsk
Le fasi principali della procedura di rimozione del nervo
Avendo deciso il motivo per cui il nervo viene rimosso dal dente (e che non sempre fa male), passiamo alla domanda successiva: come, in realtà, si verifica questa procedura. Cosa puoi aspettarti esattamente nello studio del dentista?

In generale, a seconda della natura e della profondità del danno al tessuto polmonare, il medico può decidere sulla parziale rimozione del nervo (la cosiddetta amputazione) o sulla sua completa rimozione (estirpazione). Quando un nervo viene amputato, solo la parte coronale di esso, che si trova nella camera pulpare, viene tagliata e la parte radice viene preservata. Tuttavia, questa tecnica non è comune, quindi molto spesso ricorre alla completa estrazione del nervo dentale dal sistema canalare. E più di questi canali, maggiore sarà il prezzo del trattamento.
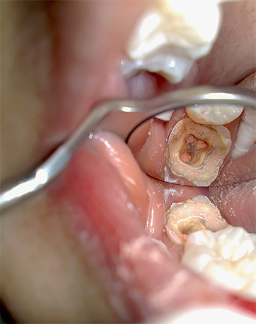
Nella fotografia sotto, i canali radicolari sono chiaramente visibili: ognuno di essi deve essere accuratamente pulito dai resti della polpa, altrimenti l'infezione conservata in essi può portare a gravi conseguenze in futuro:

Per dettagli interessanti sul trattamento della pulpite nei denti con canali multipli, vedere un articolo separato: Sul trattamento della pulpite dei denti a tre canali e sui prezzi per questa procedura.
Considera le fasi principali della preparazione preliminare per la procedura di rimozione di un nervo da un dente:
- Radiografia del dente. Viene utilizzato, ad esempio, in caso di dubbi del medico in fase di diagnosi. Se c'è il sospetto che il nervo nei canali sia morto, spesso fanno radiografia a contatto intraorale o un'immagine su un visiografo, che è più sicuro della prima opzione.
- Anestesia. L'anestesia locale viene solitamente utilizzata, ma, come notato sopra, con alcune indicazioni o desideri da parte del paziente, il trattamento può essere effettuato in anestesia con una completa perdita di coscienza (in particolare l'anestesia è richiesta nel trattamento dei bambini piccoli). Nel caso dell'anestesia locale, vengono utilizzati metodi e anestetici per rimuovere il nervo, che consente un "congelamento" affidabile e a lungo termine del dente, disattivando quasi completamente la sua sensibilità per un po '.
- Isolamento del campo di lavoro. Nelle costose cliniche private, prima del trattamento del dente, viene applicato il cofferdam - uno speciale film in lattice che protegge il dente malato dalla saliva dall'entrare nella cavità orale e, inoltre, crea condizioni di lavoro più confortevoli per il medico.

- Lavorazione di tessuti dentali cariati con raffreddamento simultaneo aria-acqua, creando un comodo accesso alla camera pulpare, aprendola e formando pareti verticali lisce.
Dopo una preparazione di qualità, il nervo stesso viene rimosso dal dente, che viene eseguito da un estrattore di polpa - uno speciale strumento usa e getta. La struttura dell'estrattore di polpa consente di catturare il fascio neurovascolare e rimuoverlo dal canale del dente dopo aver ruotato l'utensile lungo l'asse di un angolo di 90-180 gradi.

Con un canale sufficientemente ampio, è spesso necessario introdurre più di un estrattore di polpa per catturare la polpa.
È interessante
Il prototipo del primo estrattore di polpa era una normale corda di piano.
Attualmente esiste una tecnica per rimuovere un nervo dentale senza un estrattore di polpa. Numerosi dentisti ritengono che l'estrattore di polpa in alcune situazioni cliniche estrae il nervo in modo troppo approssimativo, creando una separazione traumatica di esso con i tessuti parodontali, che in rari casi possono portare a conseguenze negative.
Pertanto, vengono utilizzati file universali: strumenti per il passaggio e l'espansione dei canali radicolari, che consentono di tagliare la polpa in modo accurato e controllato per una determinata lunghezza senza disturbare la radice del tessuto circostante sensibile al trattamento endodontico. Il controllo della rimozione dei nervi con questo metodo può essere effettuato in base ai dati radiografici, nonché strumenti speciali per misurare canali, tabelle, ecc.


Nota: "È possibile rimuovere un nervo a casa e, in tal caso, come farlo?"
Sfortunatamente, la risposta a questa domanda che eccita molte persone è solo negativa.
Come dimostra la pratica, ci sono molti "artigiani" che, quando dolore acuto cercano indipendentemente di uccidere un nervo in un dente a casa e, se possibile, liberarsene del tutto. Quindi, ad esempio, ci sono casi in cui le persone "hanno bruciato" il loro nervo dentale aglio, con ammoniaca, acidi, alcali su un batuffolo di cotone, incastonati nella "cavità", hanno cercato di bruciare un nervo con un ago caldo e persino una scintilla da un sistema di accensione di un'auto.
Tuttavia, tutti questi metodi non possono essere definiti sicuri per la salute. E anche se ottieni da qualche parte una pasta di arsenico, che è destinata solo ad un uso professionale, nella migliore delle ipotesi non rimuoverà il nervo, ma causerà la necrosi (necrosi) e, nel peggiore dei casi, ancora più dolore quando il nervo vivente è intatto, o in generale brucia le gengive attorno al paziente e i denti sani vicini.
Se il trattamento dei canali dentali terminasse immediatamente dopo la rimozione del nervo, ciò semplificherebbe notevolmente la vita di entrambi i medici e i loro pazienti. Tuttavia, tutto è un po 'più complicato.
Al fine di preservare il dente per il resto della sua vita, immediatamente dopo aver rimosso la polpa da tutti i canali, il dentista passa e li espande lungo la lunghezza della radice data, li risciacqua accuratamente con antisettici attivi (dai resti dell'infezione e della polpa) in queste fasi, li sigilla e quindi esegue un colpo di controllo .

Un riempimento permanente dei denti viene installato sulla prima o (più spesso) visita successiva.
(Visivamente, alcune procedure per il trattamento dei denti endodontici sono visibili nel video alla fine di questo articolo).
Possibili errori medici e loro conseguenze
La rimozione di un nervo dentale è un evento responsabile in tutti i sensi, da cui dipende il destino di un dente già morto. In determinate circostanze (non professionale o affaticamento del medico, attrezzature e strumenti obsoleti), durante la rimozione del nervo possono verificarsi errori medici, che a volte portano a tragiche conseguenze per il dente.
Molto spesso, durante l'estrazione della polpa si presentano due complicazioni:
- rottura dell'utensile nel canale;
- forte sanguinamento dal canale.
La foto sotto mostra un esempio di uno strumento dentale rotto in un canale:

Tuttavia, se rompere lo strumento può essere definito un classico errore del medico, a volte è difficile prevedere il sanguinamento dal canale, ad esempio il distacco della polpa durante l'estrazione della polpa può essere troppo profondo. Ecco perché un certo numero di dentisti non ritiene opportuno rischiare rimuovendo il nervo dal dente con un estrattore di polpa e preferisce un altro metodo: tagliare gradualmente i tessuti molli con file con abbondante risciacquo graduale del canale con antisettici.
L'estrattore di polpa nel canale viene interrotto a causa di una violazione della tecnica di lavoro con esso (torsione eccessiva nel canale) o quando si utilizzano strumenti non idonei (difettosi).
Se il sanguinamento dal canale dentale si interrompe più spesso rapidamente e non ha conseguenze gravi, l'estrazione del pezzo sinistro dell'estrattore di polpa è una procedura complessa che richiede le competenze appropriate e determinate attrezzature dal medico. Lasciare il residuo “sporco” dell'estrattore di polpa nel canale non trattato significa rimuovere il dente - e questa è solo una questione di tempo.

Un'altra possibile complicazione dovuta alla colpa del medico è la ricomparsa del dolore, che è il risultato di un'estrazione incompleta del nervo dai canali dentali. Sfortunatamente, anche in questo momento ci sono casi in cui un medico, a causa di fretta, negligenza o paura di causare dolore a una persona, può accidentalmente o deliberatamente lasciare parte del nervo dentale nei canali non rimossi.
Non è un caso che la clinica abbia anche una diagnosi di pulite residua, quando un'esacerbazione del processo infiammatorio ripetuto inizia in un residuo nervoso in decomposizione in uno o più canali. In questo caso, dopo la rimozione incompleta del nervo, il dente prima fa male, e quindi può fare acutamente dolore con un'ulteriore diffusione dell'infezione ai tessuti che circondano la radice e lo sviluppo di una malattia più grave - parodontite (in questo caso, i pazienti possono sentire che il dente pulsa dal dolore dopo aver rimosso il nervo).
Con lo sviluppo della pulite residua, è necessario trattare nuovamente urgentemente i canali scarsamente trattati, poiché il nervo infetto completamente non rimosso rappresenta una minaccia di gravi complicazioni, portando nel migliore dei casi a estrazione del dente.
Domanda al dentista: "Perché il mio dente si oscura dopo aver rimosso un nervo?"
Dopo un trattamento di qualità dei canali, il dente di solito non si scurisce nel corso degli anni, ma diventa solo più scuro, cioè perde la sua lucentezza naturale, che non è una deviazione dalla norma.Se il dente diventa nero o giallo dopo un po 'di tempo dopo la rimozione del nervo, allora dovresti cercare la causa o nella preparazione della cavità del dente per il riempimento (in un'asportazione di scarsa qualità dei tessuti cariati) o in una scarsa elaborazione strumentale dei canali lasciando residui di nervi e infezione batterica in essi.
Inoltre, spesso un grave cambiamento nel colore della corona dentale è associato al materiale utilizzato per riempire i canali. Quindi, ad esempio, alcuni dentisti continuano a riempire per errore i canali dei denti anteriori dopo aver rimosso il nervo con Endometasone, per cui dopo alcuni anni i denti possono diventare molto gialli, il che è persino indicato nelle istruzioni per il materiale.
Tutte le sfumature del rosa possono apparire su un dente morto dopo aver riempito i canali con pasta di resorcinolo-formalina. Sfortunatamente, continuano ancora a usare questa pasta dannosa in tutti i sensi a un ricevimento di bilancio, soprattutto dopo aver rimosso i nervi da denti decidui.

Quanto può costare un trattamento dentale con rimozione dei nervi?
Il prezzo di rimozione di un nervo da un dente viene formato tenendo conto di ogni fase della procedura e della sua complessità. Ah, se solo il costo per rimuovere il nervo dal dente e l'anestesia fosse registrato nella ricevuta per i servizi, allora il trattamento varrebbe un centesimo ...
Infatti, nell'elenco finale dei servizi forniti dal dentista, di norma compaiono almeno 5-6 punti del listino prezzi: dall'anestesia e il passaggio di ciascun canale con il suo riempimento al costo del sigillo finale.
Ecco una foto con un esempio di un listino prezzi per i servizi di trattamento della pulite (complicazione della carie):

Una persona che non ha familiarità con l'odontoiatria, di solito non riesce a capire chiaramente quanto costerà curare un dente con la rimozione di un nervo e l'impostazione di un riempimento permanente. E anche spesso l'amministratore della clinica, che non conosce le sfumature dell'endodonzia, può solo dire molto approssimativamente il prezzo.
Pertanto, molto spesso il paziente viene informato della quantità minima possibile. Di norma, si tratta di una polmonite a canale singolo, il cui trattamento dovrebbe avvenire senza forza maggiore (senza canali stretti e curvi, senza l'uso di ulteriori farmaci e radiografie).

nota
Quando il consulente ti dice il prezzo, ad esempio "da 3000 rubli", e dopo il trattamento la ricevuta è composta da 8-10 punti con un importo finale di 10.000 rubli, quindi, amici, non dovresti sospettare immediatamente i dipendenti della clinica di frode. È possibile che tu debba essere offeso solo dal sesto dente superiore con cinque canali stretti, che il medico ha dovuto attraversare per più di 2 ore, espandersi e lavarsi con l'attivazione degli ultrasuoni, scattare costantemente foto intermedie sul visiografo e infine sigillarle con il sistema Thermafil "E installare un sigillo" leggero "di alta qualità con una garanzia di 5 anni.
Fortunatamente, ci sono cliniche e medici altamente qualificati che pre-negoziano il costo del trattamento con i pazienti, sulla base di un'ora gratuita e più consulenza e diagnosi. In tali casi, non viene fissato un prezzo fisso, ma una gamma di deviazioni dal costo finale non è troppo sfocata, ad esempio da 8 a 9 mila rubli per un trattamento completo del sesto dente superiore dopo aver diagnosticato il massimo di possibili sfumature (sorprese) per il futuro.
Video interessante: rimozione del nervo dentale da vicino
E qui puoi vedere tutte le fasi del trattamento della pulpite di un dente a canale singolo





Oggi sono andato dal dentista. Ho trattato due denti anteriori (a pagamento), un'iniezione è la cosa più dolorosa che ho provato durante quest'ora. Durante la rimozione della carie, il nervo era interessato e doveva essere rimosso, non faceva male, non sentivo nulla, né i denti né la punta del naso. Tutto è andato bene, ma il medico ha detto che il dente potrebbe oscurarsi nel tempo e ferire per un mese, è stata questa notizia che mi ha davvero sconvolto.
Sono appena arrivato dal dentista. Ha curato un dente anteriore (rotto). Semplicemente non era possibile aumentarlo, poiché la scollatura era più della metà del dente, era necessario rimuovere il nervo, mettere il perno e mettere già il dente sul perno. Quindi, tutto è andato bene, hanno fatto un'iniezione e non è stato doloroso fare un'iniezione (dopo la seconda puntura dell'ago, non senti nulla) e le prime due forature a mala pena. Hanno rimosso il nervo, inserito il perno, aumentato, tutto qui. A proposito, avevo paura di andare dal dentista fino all'isteria, le conseguenze del trattamento dentale in URSS colpite. Ora la medicina ha fatto un passo avanti, ora non ho paura di curare i miei denti)
Sì, ha fatto un passo così grande! Per curare o sostituire tutti i denti è il pavimento della macchina! In URSS, almeno tutto era gratuito. E il dolore può essere tollerato, poi c'è stato anche il congelamento. E non trascinare un momento felice nella storia della Russia.
La rimozione dopo l'anestesia è stata semplice. Ma quando ho rimosso il nervo, sono rimbalzato sulla sedia, 3 iniezioni non hanno funzionato. Metti l'arsenico. Il dente fa male.
Ora è un antidolorifico molto forte, non fa affatto male.
Ora mi sto trattando i denti nella clinica distrettuale. Cosa devo fare, avvisare? Molti farmaci non influiscono sul mio corpo. Al settimo dente, le iniezioni di lidocaina sono state fatte più volte. Per tre volte ha messo un sigillo temporaneo con la medicina. Proprio ora hanno rimosso l'ultimo nervo. Anche qui con un sigillo temporaneo fino al 15. Ma altri denti sono in cattive condizioni. Inoltre, il nervo deve essere rimosso. Quale anestesia calma davvero il nervo dentale in modo che non ti faccia male rimuovere ?! Ecco uno scherzo. La lidocaina viene messa e il dente viene rimosso. Nessuna sensazione, anche una cisti è stata raschiata. E un nervo da un dente non può essere rassicurato. Getta quasi da una sedia.
Quindi la lidocaina non è considerata la più potente. Tra i più popolari - ultracain. Secondo la catena dell'URSS: novocaina, lidocaina, ultracaina. Ma sono d'accordo, anche a volte ultarkain a volte non ne prende di particolarmente sensibili.
Questo è il mio problema Durante l'operazione, il sistema nervoso è stato colpito in gioventù. Adesso i nervi all'inferno. Da un lato, la reazione è eccellente. D'altra parte, il sistema nervoso è molto sensibile.
Ciao Alexey! Tu stesso scrivi che stai trattando i denti in una clinica distrettuale e, secondo il protocollo, ufficialmente, ci vuole tempo non più di 20 minuti per 1 paziente. Durante questo periodo, il medico dovrebbe anestetizzare e trattare i canali, sebbene in realtà il trattamento dei canali non dovrebbe richiedere meno di 40 minuti, ore o più. Se non ti è possibile offrire l'anestesia di importazione al contrario della lidocaina libera, non sempre efficace, ciò integra gli stessi argomenti di cui sopra. Se la clinica non ha anestetici moderni, allora dovresti scegliere un'altra istituzione in cui l'enfasi non è sulla "RICEZIONE" del paziente, ma sul risultato finale: un trattamento indolore e di alta qualità dei canali dentali con successivo riempimento (restauro con "riempimento").
Per quanto riguarda gli argomenti sull'indolore della rimozione della stessa lidocaina.Il fatto è che questo conferma ancora una volta che puoi essere “congelato” bene, solo la tecnica (e l'anestetico stesso) ha bisogno di uno individuale per te. In un istituto di bilancio, tutto è sotto lo standard "RECEPTION": ci sono molte persone e un OSPEDALE è un ospedale e un medico è un medico. L'unica cosa che rischi ora è avere un'impressione negativa, rifiutare del tutto il trattamento e perdere il dente in breve tempo. Sii sano e ricevi solo trattamenti dentali professionali!
Sono d'accordo con te su tutto! Nel 1998, mi hanno fatto tutti i denti in una clinica privata d'élite. Un dente costava 500-650 rubli (dopo una svalutazione di 1000). Poi c'erano i soldi. Ora, per una pensione su sedia a rotelle di 4.037 rubli, prova a fare qualcosa! Un riscaldamento costa già 2450 rubli. in pezzo di copeco.
Dove sta andando tutto? I coetanei si estinguono come mosche.
Mi dispiace Allontanato dall'argomento. Quindi, sull'argomento. Quindi hanno fatto otturazioni con una garanzia per 10 anni. Sono durati per quasi 15 di me (alcuni sono ancora normali). Poi, ovviamente, uno dopo l'altro hanno iniziato a volare fuori. Che fotopolimerizzazione, è ovvio, ma ... Poi hanno parlato della 5-6a generazione e delle otturazioni in gel. Ora lo sto dicendo ai dottori, fanno finta di aver sentito parlare di queste persone per la prima volta. Anno di garanzia. Anche fotopolimerizzazione, ma 2-3.
E secondo la polizza assicurativa, solo il cemento, che personalmente non ho mai detenuto per più di un mese, è gratuito nella clinica distrettuale. Pertanto, tutti i denti fin dall'infanzia e trasudati. Certo, devi mettere una buona fotopolimerizzazione. La sua aderenza è più volte migliore.
Prova ultracain.
Alexei, vai da quello pagato, lì faranno tutto indolore. Mi hanno persino rimosso il nervo e poi - in generale, non c'era un po 'di dolore lì, è solo spiacevole, tutto qui!
Una situazione simile Si scopre che non sono un tale fenomeno (
Ubistesina + lidocaina.
L'ubistesina è una droga potente.
Ho 13 anni. Oggi sono andato a riempire il dente, il medico mi ha detto che tra una settimana dovrò rimuovere il nervo e quindi riempire il dente. Molto spaventoso
Stessa cosa, ho anche 13 anni. Ma solo loro lo faranno a scuola per la prima volta. Mi sono seduto sulla sedia del dentista. Hanno messo l'arsenico 2 volte e martedì o mercoledì avranno nervosismo, temo. Dicono che Corvalol debba essere bevuto un'ora prima del dottore. O semplicemente chiedere un'iniezione da fare. Ma comunque in qualche modo spaventoso!
Ho la stessa cosa
Lunedì, ho bisogno di rimuovere il nervo sul sesto dente superiore. Ho paura Alcuni scrivono che con l'anestesia fa male. È vero? Aiuto!
Ciao Anya! "Alcuni" è una piccola percentuale di statistiche. In una clinica normale, un medico professionista le statistiche di tali casi non superano l'1% al mese. E anche allora, il più delle volte non è dolore, ma dolore dopo la rimozione del "nervo" nel processo di passaggio dei canali.
Molto spesso, le statistiche sul dolore durante il trattamento dei canali dentali sono associate all'odontoiatria (gratuita) di bilancio, quando vengono utilizzati o preparati deboli o gli stessi specialisti sono "deboli" rispetto alla conoscenza della tecnica corretta per anestetizzare i denti nella mascella superiore e inferiore. Penso che le tue paure al momento siano simili in un certo senso all'acquisto di elettrodomestici (se il negozio non ha un controllo): è giustificata la paura di acquistare una TV o un frigorifero non funzionanti? In teoria, esiste una tale probabilità, ma non puoi sapere in anticipo se cadrai in quella percentuale insignificante di acquirenti sfortunati o meno.
Tuttavia, puoi sempre andare nel negozio consigliato dagli amici, dove ci sono garanzie, un servizio solido e attrezzature sono sempre buoni, e il marchio è dimostrato, soprattutto dove sarà controllato e rassicurato.Quindi ci saranno molte meno paure.
Penso che tu capisca la mia analogia, fai un respiro profondo e cerchi di trovare altre ragioni per l'ottimismo. Se non altro perché il tuo dente, grazie a Dio, non è il sesto inferiore, ma per i 6 inferiori e il "congelamento" è in qualche modo insolito e difficile in termini di stabilità del sollievo dal dolore. I 6 denti superiori con un anestetico importato quasi sempre "congelano" bene al 100%.
Ed è stato necessario per lei, dottore, menzionare precisamente i "sei" inferiori. Devo depolverare solo lei. Non riesco nemmeno a dormire dalla paura, sono odontophobe, quali cercare, ed eccoti qui con il tuo chiarimento. E dove ottengo l'ottimismo ora?
No, non fa male!
Ho 13 anni, mi hanno rimosso il nervo con l'anestesia, non fa male. Menti e tutto va bene)) Solo dopo che il nervo viene ucciso il dente sarà molto malato. Personalmente ora ho il 7 ° giorno ora ...
Oggi sono andato dal dentista, ho curato il dente anteriore sopra il secondo dente. C'era un piccolo foro e, quando il dottore ha perforato, si è scoperto che la carie ha danneggiato l'intero dente dall'interno. Il dottore pulì, mise un sigillo permanente e due ore dopo iniziò un dolore insopportabile. Ho chiamato il dottore in ospedale, ha detto che sono andato a rimuovere il nervo. Perché non l'ha fatto subito?
Ciao luce! Penso che il tuo messaggio puramente umano sia accusare il medico del fatto che "non ha rimosso immediatamente il nervo". Temo che non tutto sia così semplice. Se parliamo di un'istituzione pubblica, allora tutto è più o meno chiaro: il più delle volte un medico ha un limite di tempo, ed è molto più facile provare a fare qualcosa in una visita piuttosto che estenderlo in più (si tratta di polpa). Per quanto riguarda il fatto che c'era una piccola "carie" nel dente, e il dottore l'ha trasformata in una grande: in effetti, il dottore qui ha fatto la cosa giusta che ha elaborato i tessuti cariati nel volume che non è stato realmente violato. Credetemi, non è un piacere per nessun medico (anche un operatore privato) sollevare a lungo la polvere di acqua e aria dalla cavità orale verso la vestaglia, le mani, il viso, i capelli, ecc.
Spesso, il dolore dopo il riempimento è causato da una violazione delle sfumature tecniche: il dente si è riscaldato durante la lavorazione, poiché c'era poca acqua, la vibrazione della punta era grande, il "nervo" era vicino, ecc.
Penso che non abbia senso chiarire la tua ultima domanda nel contesto del fatto che non troverai ancora a che punto il medico non avrebbe potuto trascurare o fare un errore. Ma posso dire che, per analogia con la tua domanda, spesso mi chiedono qualcosa del tipo: “Dimmi, per favore, ho avuto un piccolo buco nel mio dente, e per qualche ragione il dottore ha aperto tutto il suo dente e tirato fuori tutti i nervi, perché ha reso il dente appositamente morto È stato possibile lasciarlo in vita? "
Quindi, quanti casi clinici - così tante opinioni. È estremamente difficile piacere a tutti!
Ho trattato 4 denti in una visita, ho messo 2 perni, ho messo i denti sotto le corone, ho rimosso le radici e riempito il dente. E TUTTO NON È MALE! È vero, ha pagato diecimila per ogni cosa, hanno fatto subito una radiografia lì, ma non mi pento dei soldi, sarei fuggito nel comune al primo minuto, e poi mi sono seduto in silenzio per quasi quattro ore. Grazie al mio dottore, Marina Nikolaevna!
Buon pomeriggio, Lydia! Dimmi, per favore, in quale clinica hai trattato?
Le figlie hanno 16 anni, oggi il dentista ha detto che aveva bisogno di rimuovere il nervo, hanno pensato che ci fosse una piccola carie e quando hanno aperto il buco, c'era un buco enorme.
Se il nervo viene rimosso, quanto durerà questo "dente morto"?
Ciao Lena! La domanda è estremamente interessante e troppo soggettiva. Cercherò di esprimere il mio punto di vista, basato su quasi 10 anni di esperienza come dentista, nonché su logica e buon senso.Giriamo un po 'la domanda e chiediamola in questo modo: "Se il nervo non viene rimosso, per quanto tempo vivrà il dente malato?" Penso che la risposta sia ovvia: la vita non è comoda, l'infezione nei canali, i rischi di ricevere il flusso per l'intera facciata in qualsiasi momento sono grandi (in particolare, durante le vacanze o nei fine settimana). Possiamo dire che qui dalla pulpite all'estrazione del dente è un passo, ma il dente è permanente.
Ora torniamo all'essenza della domanda: tua figlia è stata determinata dal medico "pulpite", la cavità cariata è progredita a lungo, ma in una forma nascosta. Certo, si può dubitare che, puramente teoricamente, il dottore triti la carie profonda nella pulpite per curare i canali per il proprio piacere, ma qui, sai, non puoi attaccare la mia opinione a nulla: non ti sei appoggiato dietro al dottore, non ha tenuto la mano.
Per quanto riguarda la vita dei denti "morti", è difficile dirlo con certezza: il processo di carie dei denti senza polpa è il risultato di molti fattori. Posso solo elencare quelli principali: il volume dei tessuti dei denti persi, le caratteristiche occlusali, l'altezza di riempimento, la natura nutrizionale, l'affiliazione di gruppo del dente, la tecnica di riempimento, ecc. Se si perde più del 50% del dente, il dente sta masticando; se lo è, "trattiene il morso", al bambino piace rosicchiare penne, ossa, ghiande, ecc., Il medico inserisce rapidamente il riempimento, a strati spessi, ombreggia erroneamente il riempimento, ha lasciato le pareti dei denti sottili, bordi, Dio non voglia, tessuti cariati, ecc., a volte 1 di questi fattori è sufficiente per "spezzare un dente morto" nelle prossime due settimane o mesi. Pertanto, al momento, esiste un protocollo per preservare un dente "morto", non con un normale riempimento, ma con una linguetta + corona. Quasi tutti i miei pazienti con un'offerta del genere girano semplicemente un dito al tempio. In effetti, perché pagare così tanti soldi per fare una linguetta moncone invece di un sigillo su un dente e già chiuderlo con una corona?
E qui torniamo a ciò che è scritto sopra: in questo caso, la vita di un dente "morto" è estesa quasi al 100% a cifre significative (da 8-10 anni a 20-25). Questa tecnica gli consente di essere protetto il più possibile da varie sorprese, a partire dagli errori del medico nel difficile ripristino del dente con un riempimento e termina con una protezione da carichi dentali non autorizzati. L'inserto e la corona sono costruzioni ortopediche prodotte esattamente secondo il modello, riducendo al minimo gli errori nei dettagli.
Tuttavia, ogni persona sceglie ciò che è meglio per lui "per i soldi", ma ascoltando il consiglio di un medico. Se il dente è danneggiato di oltre il 50%, è consigliabile pensare alla sua sicurezza per anni. In altri casi, questa è una questione personale per ogni persona, ma tieni presente che il dente "morto" a priori diventa sempre più fragile nel corso degli anni.
Il mio "dente morto" visse per 18 anni con un sigillo, poi si ruppe. Ora farò una corona con una linguetta.
Oggi ho visto i denti per il cermet. Tutti mi hanno detto che non fa male, ma è leggermente a disagio. Apparentemente, il mio dentista lavorava come macellaio prima che ... Desna si strappasse in "nastri". Il processo veniva periodicamente anestetizzato con uno spray, c'era sangue. Ho provato a muggire dal dolore, ma in una forma acuta è stato detto: "Mi stai sforzando". Non sapevo che per "tagliare un dente" si intende "tagliare una gomma" ... Sono terrorizzato. Dopotutto, i cast sono già stati fatti.
Ho visto ora un video sulla rimozione di un nervo da un dente: / E accadde un miracolo! Il mio dente, che è stato male per 5 giorni (gli antidolorifici non hanno più aiutato), ha smesso di farmi male! Apparentemente dalla paura 🙂
Inoltre ho appena visto questo video. Il miracolo non si è diffuso a me ((
Ieri ho rimosso un nervo nei denti anteriori e ho messo un sigillo. Dopo la sospensione dell'anestesia, è apparsa una temperatura di 38,3, è diminuita a 37,5 e di nuovo, quando si morde, si avverte un leggero dolore.
Come rimuovere un nervo? Ti fa male?
Mi toglieranno il coraggio domani. ! spaventoso
Anche io
10 anni fa hanno rimosso il nervo nei sei inferiori, era orrore, pensavo che sarei morto per il dolore. E così, in linea di principio, hanno fatto bene, solo di recente ho aggiornato il sigillo. Ora i primi sei sono preoccupati, un anno fa ha rinnovato il riempimento su di esso, dopo di che, sul lato della guancia c'era sensibilità al freddo e al caldo, e raramente non c'è un forte dolore pulsante all'interno. Dopo aver contattato il dentista, hanno trattato questo dente con vernice al fluoro (non ricordo il nome), hanno detto che se mi disturbasse comunque, molto probabilmente rimuoverebbero il nervo. La sensibilità non è completamente, ma è passata. O è meglio non ritardare la rimozione dei nervi?
Benvenuti! Se hai avuto un posto dove avere un dolore lancinante spontaneo al dente o per lungo tempo che non passa, stiamo parlando di pulpite o parodontite. Cioè, è necessario trattare i canali dei denti con il loro successivo riempimento. Tuttavia, se la tua sensibilità è apparsa per un breve periodo e solo da sostanze irritanti, allora vale la pena fare un EDI del dente, prima di iniziare il trattamento dei canali. Se, secondo il dispositivo, vale la pena trattare i canali, si consiglia di farlo immediatamente. Se la polpa è sana nello strumento, puoi seguire le istruzioni del medico: in casi estremi, sostituisci semplicemente il sigillo con uno nuovo, più stretto.
Senza le indicazioni del dispositivo, il trattamento può avvenire puramente in un sospetto: farà male - non farà male. Non tutte le cliniche hanno EDI, quindi hai una scelta difficile. Posso dire approssimativamente che il 70-80% per cento, probabilmente dovresti trattare i canali, poiché ci sono alcuni sospetti di pulpite. Manderesti un'immagine del dente per l'analisi?
Ho uno scatto panoramico dei denti. Lo lasci cadere qui?
Sì, puoi qui. Ad esempio, come collegamento a un file situato su Yandex-Disk.
Benvenuti! Dopo aver analizzato l'immagine, dirò che nella parte superiore della radice del dente trattata molti anni fa c'è un granuloma o una cisti. E una taglia decente. Sicuramente questo dente può avere un aggravamento. Per quanto riguarda i denti superiori: 5 o 6 hanno una cavità cariata nascosta. Non è esattamente visibile - questo dovrebbe essere ulteriormente analizzato alla reception. Ma l'immagine illustra bene la tragedia nel dente trattato in basso, dove il canale distale è scarsamente sigillato, da cui il granuloma cresciuto. Vai dal dentista con urgenza e il dente superiore dovrà ancora essere trovato in bocca e l'immagine sarà un assistente indiretto.
Benvenuti! Grazie per il vostro aiuto, tratterò.
(L'immagine è allegata, il link è disponibile solo per il medico ...)
Benvenuti! Mi chiamo Diana e ho 15 anni. Oggi sono stato dal dentista, mi sono controllato i denti. Si è scoperto che ho un dente (il quarto dall'alto) è completamente distrutto, hanno detto di rimuovere il nervo. Ho molta paura che non mi abbiano mai rimosso il nervo dal dente, tutta questa cosa è scoppiata in lacrime. Di conseguenza, mercoledì è stato arruolato in una clinica a pagamento. In realtà, perché sto scrivendo tutto questo? Vorrei chiederti se fa male?
Ciao Diana! Molti fattori possono influenzare l'efficacia dell'anestesia, ma più spesso di oltre l'80% del suo livello dipende dalle mani del medico. C'è una buona notizia: questo è il dente superiore e il quarto (a quanto ho capito, hai digitato correttamente il numero, cioè è quello che va subito dopo il canino?), Quindi rendere più semplice l'anestesia senza errori.
L'unica cosa è che il 4 dente superiore è a due canali, ma questo non è un grave ostacolo per un trattamento di successo. Lo stress influenza l'efficacia dell'anestesia, ma raramente. Tuttavia, vale la pena calmarsi per non interferire con il lavoro del medico. Nessun medico professionista è particolarmente propenso a farti del male. Gli anestetici importati ora fanno miracoli.
Nella mia pratica, i casi di iniezioni ripetute di anestesia nel trattamento di 4 denti superiori sono estremamente rari. Penso che anche con la forza maggiore, il medico reintrodurrà il farmaco anestetico importato e tutto andrà bene. In generale, il trattamento dei canali dentali è una normale manipolazione. A volte in alcuni turni è necessario trattare i canali più della carie. Con l'aiuto del trattamento canalare, il dente viene salvato dalla rimozione - vale la pena ricordare. Anche se il rischio che il "congelamento" influisca sul 40-50% è di circa l'1-2%, ciò non significa che dovresti sederti a casa e aspettare che il dente "marcisca". Dato che hai una probabilità del 100% di un trattamento indolore da parte del gruppo di appartenenza (e del fatto che quello superiore), sono anche felice per te con qualcosa: in particolare perché non inizi la tua esperienza nel trattamento dei canali dentali con il grande inferiore dente molare. I molari inferiori sono più inclini ai capricci dell'anestesia, specialmente nelle mani inesperte dei dentisti.
Grazie mille!
Cari pazienti! Vieni per un controllo ogni 6 mesi. E tu sei più economico e più facile per noi.
! cinico Ma di sicuro, sfortunatamente ...
Benvenuti! Ho 33 anni, ho finalmente deciso di mettere le parentesi graffe sui miei denti storti, mi sono fermato con un ortodontista su quelli di metallo. 3 mesi indossati, tutto era in ordine. Dopo il successivo cambio dell'arco, dopo circa una settimana, c'era solo un inferno di dolore alla temperatura: da freddo e caldo c'era un forte dolore alla mascella sopra il cane, ma non costante, solo durante i pasti, se il cibo non era a temperatura ambiente, e pochi minuti dopo ... Primo Non riuscivo a capire che tipo di dolore, pensavo che a causa delle parentesi, dopo aver cambiato gli archi, non fossero ancora "partiti". Ma poi ho capito che il nervo di alcuni denti superiori fa male. Più tardi, ha trovato un piccolo sigillo nell'area della radice canina - ha fatto male! Tutto questo fascino cadde durante le vacanze e non corse immediatamente dal medico. E dopo un paio di giorni il dolore ha iniziato a placarsi e poi è apparso solo dal freddo, e se lo bevi rapidamente con, diciamo, acqua calda, allora “lascia andare”. Sono andato dal dottore. L'ortodontista ha detto che, molto probabilmente, la polpite, è necessario fare una foto e al terapeuta. Ho fatto una foto: oltre ai denti "in movimento", la foto non mostrava nulla. Il terapeuta ha detto che l'immagine "non dovrebbe far male a niente".
Tuttavia, l'ortodontista ha rimosso l'arco dopo di me, dopo che è stato trattato con vernice al fluoro e ha detto di aspettare, mentre tutti hanno sentito lo stesso sigillo, la "palla" sulla radice del canino. Non c'è carie, come ho capito, nessuno dei dottori voleva togliermi il nervo senza dolore acuto. Penso che questa palla sia un ascesso che si trova lì ... Si scopre. cosa devo aspettare per sfondare, morirò di dolore e solo allora il mio nervo verrà rimosso? O questo ascesso (se lo è), o un sigillo, può scomparire da solo? Reagisce alla gomma fredda sopra il canino, inoltre sento l'aria, ci sono sensazioni dolorose se si preme sul viso alla giunzione del naso e dei nasolabie. Assolutamente, non è un dente, è stato sfruttato e controllato con aria, sembra che il sigillo faccia male. Perché i medici non vogliono rimuovere il nervo?
Benvenuti! La versione dell '"ascesso" è esclusa. Il fatto è che solo un dente "vivente" in cui è presente un "nervo" a tutti gli effetti può reagire al freddo. Naturalmente, questo non significa che il "nervo" non possa essere influenzato dal processo infiammatorio, ma mentre il dente reagisce al freddo, è troppo presto per parlare di "ascessi" alla radice. Dal momento che hai dolori a passaggio rapido solo da irritanti esterni, si può assumere anche la carie o una maggiore sensibilità dello smalto. Il mistero della risultante compattazione sullo sfondo del trattamento ortodontico suggerisce che il canino è eccessivamente "spostato", e questo in qualche modo influenza l'area basale del canino.
Certo, tutto ciò è speculazione. Il fatto che questo non è un "ascesso", finora - 100%. Un'altra domanda: è molto difficile capire lo sfondo di ciò che ha causato il problema. Ovviamente, i dottori o si sentono dispiaciuti per aver lavorato con una zanna, o non vogliono davvero.Il miglior momento della diagnosi potrebbe essere l'EDI - elettroodontodiagnosi. Cioè, una misurazione che utilizza un dispositivo di eccitabilità della polpa. Se la polpa è sana, potrebbero esserci carie latenti sul cane o una maggiore sensibilità. E sullo sfondo del fatto che sia apparsa questa sensibilità ortodontica, sarà comunque difficile dirlo.
Se il dispositivo mostra che l'eccitabilità è ridotta, la polpa dovrebbe essere "rimossa" dal canale al 100%. Qui, non un singolo dottore sarà rovinato. Tuttavia, la difficoltà è che questo dispositivo non è disponibile in tutte le cliniche. Direi: la maggior parte delle cliniche in qualche modo lo ignora e fa a meno dell'EDI. Nel tuo caso, una tale diagnosi risponderebbe a metà delle domande.
Grazie mille per la risposta e per il consiglio! Il fatto che non ci siano ascessi, hai assolutamente ragione, perché ogni giorno mi sento meglio, il dolore è completamente scomparso, posso persino mangiare il gelato, la condensa è ancora dolorosa e preme su di esso ... Per quanto riguarda il fatto che la zanna abbia iniziato a spostarsi troppo rapidamente, Anche tu hai perfettamente ragione, ci ho pensato anche, tanto più che inizialmente "è rimasto davanti" e si è messo subito in fila. Ora, a quanto pare, non è ancora necessario indossare un arco sulla mascella superiore e cercherò EDI!
Mi hanno aperto il dente e rimosso il nervo e mi hanno detto di venire risciacquare. Ma come risciacquare, fa male?
Ciao Anya! Un po 'di stupidità - dirò subito. Con la pulpite, il canale viene lavato immediatamente con il successivo riempimento del canale con il metodo moderno. Ci sono opzioni di trattamento con stadiazione con pulpite cancrenosa di una medicazione antisettica nei canali, ma poi viene semplicemente rimosso per la visita successiva, vengono eseguiti trattamenti ripetuti con lo stesso strumento e riempimento (senza di essa da nessuna parte).
Penso che tu sia in cura per la parodontite purulenta, in cui non potrebbe esserci un "nervo" a priori, poiché si è decomposto per ovvie ragioni. Se viene trattato con il metodo del canale aperto, questo metodo è troppo di routine: molti dentisti lo criticano per il rischio di reinfezione del canale dalla cavità orale. Per quanto riguarda il dolore con tale trattamento, questa è una domanda sul principio del metodo. Viene risolto singolarmente; viene spesso utilizzata l'anestesia preliminare.
Vogliono rimuovere presto il mio nervo dentale. Ho 14 anni, questa è la mia prima volta, la procedura costa 3600 rubli, farà male? Per favore dimmelo.
Ciao Walihan! Le informazioni non mi bastano per eliminare le statistiche approssimative. Spiegherò perché. La cosa più importante è l'affiliazione di gruppo del dente e le qualifiche (esperienza) del dentista. Ci sono denti che ogni dentista può "congelare". Tuttavia, ad esempio, alla tua età, per un certo numero di medici, un problema può essere un trattamento indolore dei grandi molari inferiori: il sesto e il settimo. Naturalmente, più giovane è l'età, più è difficile per la maggior parte dei dentisti fare anestesia di qualità. Tuttavia, i dentisti esperti conoscono molte sfumature, trucchi per ottenere un'anestesia persistente in questa fascia di età per il trattamento di qualsiasi dente.
Ecco perché, non posso dirtelo con una precisione del 100%: farà male o no. Un'altra domanda è che, molto probabilmente, circa il 70-80% dei casi va indolore in cliniche private. A differenza dell'odontoiatria statale (gratuita), in cui il medico prende i pazienti rapidamente e non sempre con alta qualità. Sono sicuro che il medico farà tutto il possibile in modo che non faccia male. Gli anestetici moderni consentono procedure assolutamente indolore in odontoiatria. Quindi spera per il meglio e fidati di un medico esperto! Buona fortuna
Grazie mille
Il dente fa male dopo l'espansione dei canali del dente, un riempimento permanente verrà consegnato dopo 2 giorni. So che è normale quando un dente fa male, ma come sbarazzarsi del dolore comunque?
Benvenuti! Sfortunatamente, è vietata la prescrizione di farmaci in contumacia. Il fatto è che, ad esempio, potresti essere allergico a determinati farmaci. L'opzione migliore è analizzare l'immagine dopo aver riempito i canali e quindi trarre conclusioni su come utilizzare i rimedi casalinghi per alleviare i dolori post-riempimento.
Va bene, non ha senso avere paura.
Ciao oggi, hanno messo l'arsenico, hanno detto di venire tra una settimana per rimuoverlo. Non è molto tempo che cammina con lui, o meglio, non è pericoloso? Quindi rimuovere il nervo, molto paura che non faccia male? E posso chiedere al medico l'anestesia?
Benvenuti! Pasta di arsenico: una vecchia tecnica, è meglio almeno essere analoghi non arsenici. Tuttavia, se hai già iniziato a essere trattato in questo modo, allora vale la pena chiarire: hai messo esattamente l'arsenico, forse non hai capito il medico? La pasta di arsenico viene posta per un massimo di 48 ore (2 giorni) e la pasta senza arsenico - fino a 5-7 giorni o più (opzione di viaggio).
Eseguo sempre un trattamento con anestesia, penso che il medico lo farà sicuramente, ma vale la pena chiedere, per ogni evenienza. Buon trattamento!
Oggi sono stato dal dentista, ho forato un dente da masticare, ho detto che era necessario rimuovere i nervi, riempire 3 canali e mettere un riempimento permanente. Tutto questo costa 7000. Prezzo normale? Dato che non c'erano soldi con me, ho messo un sigillo temporaneo con l'arsenico.
Benvenuti! La norma è quella della maggioranza. Dal punto di vista della politica dei prezzi - questo è un prezzo normale, per le megalopoli - anche al di sotto della media. Un'altra domanda, cosa offri a questo prezzo? Spiegherò approssimativamente: il trattamento canalare è il piacere più costoso a questo prezzo finale, in quanto è ad alta intensità di lavoro, difficile, responsabile e in ogni senso energia e materialmente costoso.
Ecco perché la clinica riassume l'elenco delle procedure incluse nel trattamento dei canali: espansione, passaggio, lavaggio con tali e tali, applicazione di ultrasuoni e / o microscopio durante la loro elaborazione, riempimento dei canali con condensazione laterale di guttaperca, guttaperca calda, Termafil, ecc., Immagini (diagnostica, controllo, riempimento temporaneo, ecc.) Il prezzo medio per il trattamento dei canali (6 o 7 denti) al microscopio è di circa 15-20 mila rubli per un trattamento: canali + riempimento fotopolimerizzabile ( ad es. Filtek o Grady a).
Il paziente paga non solo per microservizi specifici durante il trattamento del canale e le otturazioni dei denti, ma anche per il livello delle attrezzature della clinica e la professionalità del dentista. Se per 7 mila rubli questa simbiosi di tutto quanto sopra corrisponde alla qualità e una garanzia per il trattamento (di solito circa un anno per il riempimento e più di 3-5 anni per i canali), allora il prezzo è adeguato. Nel frattempo, posso dire in contumacia che questo prezzo è normale.
Ieri sono andato dal dentista e, in base ai risultati dell'esame, mi è stato consigliato di rimuovere i nervi di 6 dall'angolo in basso a sinistra. Dal momento che sono assicurato da VHI dal lavorare con una copertura molto impressionante in termini di odontoiatria, tutto, assolutamente tutte le procedure, sono gratuiti per me. Quindi, dopo 3 iniezioni con il farmaco più moderno, il medico ha iniziato a perforare ... All'inizio sembrava che tutto fosse indolore! Ma poi il dottore mi ha fatto innervosire e ho iniziato a contrarmi! Hanno fatto un'altra iniezione, già nel nervo, ma non ha aiutato. Solo dopo 5-6 iniezioni aggiuntive nel nervo ho smesso di provare dolore. Altrimenti, tutto era come descritto nell'articolo.
Ciao, volevo chiedere: se la carie non ha raggiunto i nervi e il medico ha messo un sigillo senza rimuovere il nervo, cosa accadrà, allora il dente farà male?
Benvenuti! La domanda è provocatoria e richiede una lunga spiegazione. Gran parte di questa risposta è un argomento eccessivamente professionale, quindi mi limiterò a una breve spiegazione.Se la carie non ha causato un processo infiammatorio nella polpa del dente, è possibile inserire immediatamente un riempimento. Quando un non professionista affronta la questione, gli errori possono portare al fatto che un dente cariato con una polpa sana si trasforma in pulpite dopo il trattamento, cioè con un riempimento, tale dente inizierà a ferire, anche se non dovrebbe, in teoria. Se inizialmente il medico (prima del trattamento) non determina l'infiammazione del "nervo", l'effetto sarà lo stesso - mancanza di successo dopo il riempimento.
Se la diagnosi di "carie" viene eseguita correttamente e il medico ha eseguito le sue manipolazioni senza errori, quindi sotto il sigillo il dente non si ammalerà. Ci sono ancora alcune sfumature: spesso il medico, dopo aver fatto la corretta diagnosi di "carie", commette una serie di piccoli errori durante il lavoro con otturazioni leggere e si avverte dolore quando si fa clic sulle otturazioni o sensazioni spiacevoli dal freddo (meno spesso - caldo). È importante valutare correttamente la situazione: se la polpa rimane sana e il dente fa male dagli irritanti (specialmente quando viene applicata una pressione su di esso), allora stiamo parlando del posizionamento analfabeta del riempimento (specialmente con una preparazione compromessa per il riempimento). Un certo numero di medici suggerisce di aspettare fino a 2-3 settimane fino a quando la dentina si riprende e smette di testare la persona, mentre altri dentisti raccomandano di sostituire il sigillo, ma osservare tutte le istruzioni secondo la tecnologia.
In generale, Kaliza, la risposta alla tua domanda è questa: il dente non farà male se la diagnosi di carie viene inizialmente eseguita correttamente e se viene seguita la tecnologia di trattamento - dalla preparazione al riempimento alla sua lucidatura finale.
Rimuoveranno il nervo sul mio dente inferiore, il primo a destra, fa paura? E come sta andando questo processo?
Benvenuti! Se dici "prima in basso a destra", intendi l'incisivo inferiore, quindi al 100% non puoi preoccuparti, poiché questi denti non sono difficili da anestetizzare. In questo dente ci sono sia uno che due canali, il "nervo" in anestesia viene rimosso senza dolore. Se, tuttavia, "prima a destra", intendi un 7 o 8 denti (l'ottavo è un dente del giudizio), allora posso supporre che in circa il 70-80% dei casi andrà tutto bene. Il fatto è che tecnicamente è difficile congelare tali denti, ma questo non è difficile per gli specialisti esperti, dal momento che dal punto di vista teorico e pratico sono ben versati e conoscono tutte le possibilità di anestetizzare qualitativamente 7 e 8 denti. Nei 7 denti inferiori, il più delle volte ci sono tre canali, nell'ottava succede in modo arbitrario, ma il più delle volte i denti del giudizio inferiori, a differenza dei denti saggi superiori, non sono così complicati e da qualche parte ancora più facili - vengono trattati 3-4 canali.
Il trattamento dei canali dentali inizia con l'anestesia, quindi il dente viene preparato, l'accesso alla bocca (bocca) dei canali viene aperto, sottili "aghi" (file) vengono inseriti nel canale, che passano i canali lungo l'intera lunghezza e quindi si espandono sotto il materiale di riempimento per i canali. Molto spesso, si riempiono di pasta + spille di gutta-peper. Riempiono strettamente i canali, quindi si adattano e mettono un sigillo temporaneo fino alla prossima visita. Alla fine, un riempimento è già posizionato sulla parte superiore (corona) del dente. In linea di principio, non spaventoso, ma responsabile: da parte del medico e del paziente.
Grazie
La terza volta che riempiono temporaneamente l'arsenico, forse lo coprono male e il nervo non viene ucciso? Potrebbe essere?
Benvenuti! Sfortunatamente, in precedenza avevo riscontrato un problema del genere: non lavoro con le paste di arsenico da molti anni ormai, ma ho usato paste non di arsenico, ma il punto è lo stesso. Onestamente, nel 95% dei casi si tratta di una mancanza di conoscenza ed esperienza dell'anestesia di alta qualità, poiché molti dentisti lavorano generalmente senza farmaci per la devitalizzazione dei nervi: trattano immediatamente i canali di qualsiasi dente e la pasta devitalizzante viene utilizzata solo 3-5 volte l'anno nelle situazioni più difficili. Alla reception dei bambini, si possono ancora assumere alcune caratteristiche individuali del dente e della struttura della mascella, ma negli adulti è molto più semplice.Pertanto, se il tuo caso non si applica al 5% delle opzioni associate agli ostacoli dell'anestesia (droghe, alcol, forte paura, ecc.), Il medico non utilizza tutte le possibilità dell'anestesia importata.
Per quanto riguarda il secondo problema che hai espresso (l'arsenico non funziona, come lo chiami), questo accade quando:
1. Incolla errata;
2. Canali troppo ampi e lunghi con polpa massiccia con quantità insufficiente di fondi.
Tuttavia, sottolineo ancora una volta che nella maggior parte dei casi, la pasta per la devitalizzazione e la polpa è una riassicurazione del dentista e non di più. Lasciateli concentrare sulla qualità dell'anestetico e della tecnica anestetica!
Dopo un'errata rimozione del nervo (il medico non riuscì a trovare per molto tempo), tutto intorno fu infiammato. A due mesi dalle gengive si notavano, si gonfiavano. I denti si separarono, la gomma non si attacca ai denti. Ora ho fatto una foto. Hanno detto che il canale è ben sigillato. Ma questo è già cronico. O sopportare o rimuovere un dente. Peccato. Consigli cosa fare?
Ciao Lyudmila! Se descrivi tutto correttamente, soffri di esacerbazione della parodontite cronica: è possibile che ci sia una perforazione della radice o del fondo del dente, a causa della quale c'è un momento di evacuazione del sangue sanguinante e (o) purulento attraverso la gomma marginale. Per quanto riguarda il fatto che "i canali sono ben sigillati", posso solo consigliarti di controllare questo sigillo fornendo un'istantanea, o qui (via mail o come link) o da un esperto indipendente sulla sedia. Questo non può essere così che per nessun motivo le gengive sono "gonfie". Non conoscendo la tua età e le caratteristiche dell'attaccamento gengivale, è difficile per me suggerire o confutare la parodontite. La parodontite è un problema che non è correlato in questo contesto al trattamento dei canali. Coincidenza - non una coincidenza? Ancora una volta, torno alla necessità di vedere almeno una foto con i miei occhi, e poi diventerà chiaro: è necessario avere un esame dentale e una diagnostica dettagliata (sondaggio, percussione, palpazione delle gengive, determinazione della mobilità dei denti), o il verdetto sarà già al 100% - estrazione del dente chirurgo dentale. Quindi ti consiglio di ottenere un'immagine e (o) immediatamente da un dentista indipendente su una sedia, guardarti intorno e comprenderne il motivo. Ti auguro una rapida soluzione al problema!
Buon pomeriggio Era dal dentista 5 anni fa. Metti un sigillo. Dopo 2 anni, è caduto. Di recente ho deciso di andare di nuovo, sul dente inferiore abbiamo rinnovato il sigillo 10 anni fa, ma a causa del punto in cui è caduto il sigillo, ha detto pulpite. I primi 5 o 6 a sinistra - detto, rimuoveranno il nervo e sigilleranno. Ho chiesto quante visite ci saranno, ha detto il dottore - una cosa. Domanda: sarà giusto rimuovere immediatamente il nervo e chiudere il sigillo in una visita?
Ciao Anastasia! La domanda è semplicemente meravigliosa. Per molti anni ho osservato quanti dentisti (circa il 30-40%) trattano i canali e riempiono un riempimento in una visita, motivandomi a risparmiare tempo con gli stessi risultati in una visita. Personalmente, non lo metto alla volta, perché non vedo alcun motivo per mettere un sigillo leggero sul materiale non polimerizzato nel canale con o senza guarnizione. Molti medici concordano con me, e un esempio per me è un professore di odontoiatria terapeutica (un medico della categoria più alta), che preferisce eseguire un restauro temporaneo dei denti dopo il trattamento del canale. Cosa significa: i canali sono sigillati in modo moderno alla costrizione fisiologica, controllati da un'immagine e sigillati (in alto) con un materiale "permanente" economico, che offre un'eccellente tenuta dei denti, ma suggerisce di sostituire questo, comunque, materiale temporaneo con materiale fotopolimerizzato costante di alta qualità sigillo o restauro.
L'intera "confusione" dovuta al fatto che il materiale si restringe nei canali del dente negli ultimi giorni e la tenuta del riempimento permanente può essere rotta (si verificano microcricche e "perdite"). Questo può essere escluso dalla permutazione di un riempimento temporaneo a uno permanente 3-5 giorni dopo il trattamento endodontico.
Grazie per la tua risposta! Salute a te e ai tuoi pazienti!
Ciao, dimmi, e quando la carie raggiunge la polpa e iniziano i dolori doloranti costanti, quindi se non curati, quanto dureranno? Ho avuto mal di denti un anno o 2 fa (da qualche parte intorno alla quinta in alto), per 2 o 3 giorni, dolevo costantemente e molto male. Sembra che sia la pulpite, ma poi in qualche modo ha smesso improvvisamente di far male, reagisce persino ai dolci, anche se, a quanto ho capito, questo accade solo con la polpa viva. Cosa potrebbe essere?
Ho dimenticato di aggiungere che ora il dente non dà fastidio quasi solo se c'è del cioccolato da mangiare. Non risponde a caldo, freddo, pressione, ecc. (Ma c'è carie).
Benvenuti! Se non vuoi curare i denti, ma prova a trovare una spiegazione per questa possibilità, allora questo è un vicolo cieco, ma i tuoi affari. Bene, in primo luogo, la polpa non muore sempre in breve tempo senza trattamento (da 2-3 giorni a 3-5 mesi), ma molto spesso (nel 90-95%).
In secondo luogo, il dente che hai sofferto (pulpite) potrebbe smettere di ferire a causa della compensazione del corpo e della reazione protettiva della polpa dall'infezione, ma il dente adiacente ha una carie comune. Incontro spesso casi del genere: accanto a un dente morto (parodontite) è assolutamente vivo, ma con una carie media e reagisce ai dolci. Quindi, in base alla tua pratica, o hai un dente morto cariato dalla carie prima della camera pulpare e un dente vivente vicino cariato o una polpite cronica che è ancora cronica, ma anche la carie sul dente vicino, come nel primo caso, dà una reazione ai dolci.
La pulpite cronica, così come alcune forme di parodontite, potrebbero non essere asintomatiche per anni in tutte le persone, ma il processo di carie anche asintomatica è un rischio di gravi complicazioni e perdita dei denti a causa della loro trasformazione in "radici". Spesso questo può essere ascoltato alla reception: "All'inizio il dente era molto malato, poi ha smesso di reagire per molti anni, e poi si è rotto ieri e la radice ha iniziato a ferire, la guancia era gonfia, non si poteva toccarlo, sarebbe meglio guarire subito, e ora non hai denti - rimuovere solo i residui ".
Ciao Svyatoslav Gennadievich ... Dimmi, per favore, oggi è caduto l'ultimo dente, in basso a destra (il cosiddetto dente del giudizio). Accanto a lui la polmonite veniva curata in una clinica libera. Molti canali sono stati molto dolorosi. Dimmi, quali saranno i problemi con quest'ultimo dente? Grazie in anticipo
Hai dimenticato di segnalare. Il dente fa male, ma puoi mangiare. Il dente è intero, senza buchi. Cosa potrebbe essere? Come se le gengive fossero leggermente gonfie, dove i denti erano spariti. Oltre questo dente.
Ciao Igor! Senza esaminare la cavità orale, è difficile giudicare in modo inequivocabile, ma a giudicare dalla descrizione, si ha un dente del giudizio difficile da dentizione (pericoronite). Se il bordo del dente del giudizio è leggermente coperto da un "cappuccio" della gomma, c'è un alto rischio di dolore a causa del dente che cerca di sfondare lo spessore del tessuto. Anche la componente infettiva colpisce: con un'eruzione incompleta del dente, potrebbe esserci un lancio di cibo nello spazio tra il dente e la gengiva, che provoca infiammazione. In ogni caso, questa è un'occasione per contattare il dentista per la conferma della diagnosi e la decisione relativa al dente del giudizio. Il verdetto dipende dalle tattiche individuali del medico in questa situazione clinica. Se in futuro ci sono seri rischi di ripetizioni (recidive) o di un processo infiammatorio infettivo più grave, l'ottavo dente viene rimosso. Tuttavia, un certo numero di dentisti preferisce aiutare il dente con l'asportazione del "cappuccio".Questa pratica non è apprezzata da tutti i medici, poiché a volte porta a nuovi fenomeni di pericoronite o alle sue complicanze (estremamente rare). Naturalmente, solo il tuo medico dovrebbe decidere qui.
Per quanto riguarda il penultimo dente precedentemente trattato: se dubiti del corretto trattamento dei suoi canali, puoi scattare una foto diagnostica e fornirla via mail o come link. L'unica cosa che secondo la descrizione è importante eliminare prima la pericoronite nel tempo, quindi affrontare i possibili problemi del settimo dente in un lontano futuro. Buona fortuna
16 anni fa ho affrontato un problema del genere. Il dente del giudizio non è strisciato completamente. Si è formata un'infiammazione sotto il cappuccio. Il dentista ha tagliato la gomma. Dopo qualche tempo, le gengive sono cresciute di nuovo e l'infiammazione è iniziata. Ho preso un appuntamento con un altro dottore. Ha respinto l'offerta della collega di rimuovere il dente, sostenendo che esiste un antagonista e che avrà sempre il tempo di ritirarsi. Ho tagliato le gengive, bruciato. Ha dato il suo numero di telefono e ha detto che se si ripete, chiamala e rimuoverà il dente gratuitamente.
Molto grato a questo dottore. Il dente è ancora intatto (anche se l'antagonista è stato perso diversi anni fa) e non è stato più creato alcun problema. Qui ci sarebbero più professionisti del genere in cliniche gratuite ea pagamento!
Domani rimuoveranno il nervo in basso 8, spaventoso. Fa male o come?
Benvenuti! Tutto dipende dalla professionalità del dentista, dall'anestetico selezionato e dal tuo umore. Quest'ultimo è un must, poiché un atteggiamento positivo spesso fa miracoli. Se il dottore fa tutto bene e sarai scosso dalla paura e inizierai ad ascoltare le "tue" sensazioni fino alla follia, allora la procedura può essere dolorosa. Lo stress influenza l'inizio dell'anestesia di qualità, so per esperienza personale e per il lavoro dei colleghi che spesso è necessario lasciare un paziente con anestesia per 15-20 minuti (sotto la supervisione di un'infermiera) per consentirgli di lasciar andare la situazione, prendere un respiro e non concentrarsi sulle sue paure . Non penso che sia normale mettere un paziente nel corridoio allo stesso tempo in ospedale, ma in seguito in molti casi l'anestesia persistente e il trattamento dei canali dentali sono indolori. Una brava infermiera in ufficio può raccontare una barzelletta, chiedere del tempo, delle macchine, consigliare qualcosa, ecc., In generale, mettere la tensione nervosa in una direzione diversa. Quindi non abbiate paura e fidatevi dell'esperienza e della professionalità dei medici, e non dimenticate di ricordare al medico che preferite un anestetico di "importazione" contro la lidocaina e, ancor meno, la novocaina. Buona fortuna domani!
Buon pomeriggio In caso di infortunio, ha rotto 3 denti anteriori (2,1 a 1/2 dell'altezza era rotta, 1,1 e 2,2 - schegge parziali). Il dente 2.1 è stato depolpato, il canale è stato riempito 5 giorni fa. Inoltre, il dentista consiglia di aggiungere questo dente al perno. 1.1. e 2.2 sono estesi, non danno particolare fastidio, c'è un leggero disagio con la pressione e si verifica periodicamente un leggero dolore "doloroso". Il dentista afferma che potrebbe essere necessario depulpare e altri 2 denti. Quanto è necessario nel mio caso?
Benvenuti! Le informazioni più precise (obiettivo) sono fornite dall'EDI del dente. Non tutte le cliniche hanno un dispositivo corrispondente. Quando si determina l'eccitabilità elettrica della polpa, è possibile scoprire se c'è un processo infiammatorio di insorgenza o meno. Con lesioni di questa forza, è spesso necessario avere un dente dentellato. Non penso che questa sia una grande tragedia, poiché con una certa esperienza e professionalità di un medico puoi correggere le imperfezioni di un sorriso, se ciò accade (forma dei denti cattivi, lievi curve, curve, colore naturale dei denti insoddisfacente, lunghezza della corona dei denti, ecc.) . Cioè, ci sono spesso anche vantaggi dal restauro, ma la domanda, ancora una volta, è se rendere il dente "morto"?
Se la polpa è morta per EDI, quindi senza trattamento dei canali, il dente può essere portato a parodontite, periostite e altre complicazioni purulente da cui il viso si gonfia. Se la polpa è sana dall'EDI, allora c'è la possibilità di cavarsela con il restauro senza perni.
Se la clinica non ha EDI, puoi confrontare i tuoi sentimenti con la diagnosi di pulpite secondo i reclami. Quando il dolore diventa spontaneo (senza sostanze irritanti), peggio di sera, di notte e talvolta sono necessari antidolorifici, è necessario trattare i canali: c'è infiammazione della polpa. Non importa se il dolore è acuto o doloroso. Se la breve e dolorosa reazione dolorosa è associata all'azione degli stimoli solo per un po 'di tempo (freddo, caldo, dolce, ecc.), E senza questo dolore non appare, allora possiamo sperare in un trattamento dentale senza rimuovere il "nervo". In ogni caso, l'ultima parola appartiene al medico curante e hai il diritto di cambiare il medico se la posizione del primo non ti soddisfa. A volte è così necessario che casi controversi sentano l'opinione di 2-3 colleghi al fine di giungere a una conclusione inequivocabile e massimamente corretta.
Questa consultazione non dovrebbe essere considerata un parere 2, poiché in contumacia puoi solo delineare un piano approssimativo, ma non sarò in grado di esaminare completamente i denti e comprendere l'entità del problema. Grazie per la domanda
Ciao Ho 33 anni. Una settimana fa, mi sono rivolto al dentista, non c'erano dolori al dente, c'erano carie sui sei inferiori. Il dente è stato perforato, la carie rimossa. Era profondo, come si diceva, non raggiungeva la polpa, anche se alla fine della procedura di perforazione si sentiva dolore. Hanno messo un riempimento di guarigione temporaneo per 4 giorni. Il dente ha reagito alla pressione e al freddo. Il dentista ha detto che il dolore passerà dopo un riempimento permanente. Metto un sigillo, leggero, e il dente fa male anche per 2 giorni. Anche con una leggera pressione o acqua fredda. È impossibile mangiare da questa parte. Dimmi, per favore, cosa fare dopo?
Benvenuti! C'è l'opzione più razionale - è quella di trovare una clinica in cui possano condurre un EDI di un dente - precisamente e senza barare. Se la polpa è in fase di infiammazione (anche quella iniziale), il dispositivo mostrerà questo e sarà necessario trattare i canali. Con una condizione di polpa sana, si consiglia di riempire nuovamente il sigillo con un dentista professionista. In questo contesto, non penso che il dente sia danneggiato, una serie di sfumature tecniche sono semplicemente violate, quindi la sensibilità dal freddo e quando si morde le otturazioni.
L'opzione di attendere fino a 2-3 settimane è discutibile, in quanto vi sono alcuni rischi che possono portare (in caso di danni alla polpa) a complicazioni, sebbene un certo numero di dentisti aderisca a questo approccio.
Benvenuti! La mia domanda è: c'era un riempimento dei denti, il secondo superiore dall'estremità, che masticava, in generale. Il medico ha detto, è necessario mettere una corona, prima rimuovere i nervi, pulire i canali, mettere il moncone. I nervi vengono rimossi immediatamente o no?
Benvenuti! I moderni metodi di trattamento comportano il trattamento dei canali in una sola visita: estrazione di "nervi", passaggio, espansione dei canali, trattamento farmacologico, riempimento per restauro temporaneo. Il sigillo viene spesso messo alla prossima visita. Nel tuo caso, a quanto ho capito, questa è la linguetta su cui la corona verrà "agganciata".
Tuttavia, non è un errore trattare i canali con l'uso preliminare di pasta devitalizzante (che uccide il "nervo"). Vale la pena notare che la pasta di arsenico non è favorita ai nostri giorni: influenza negativamente i tessuti periapicali e può provocare la parodontite in futuro. Senza braccia: puoi impostare, ma hai anche aggiunto una visita extra e (spesso) sensazioni spiacevoli o dolorose mentre cammini con lei.
Pertanto, il trattamento simultaneo dei canali è il più preferibile nel nostro tempo, ad eccezione di situazioni speciali. Avere un buon trattamento sotto la linguetta + corona.
Grazie mille per la tua risposta!
Benvenuti! Voglio chiedere il tuo consiglio Ho 22 anni, recentemente ho avuto un sigillo che è stato messo durante gli anni della mia scuola, tutto era nero sotto di esso, e prima ancora questo dente era problematico - un po 'troppo freddo, e inizia a prudere dentro o pulsare. E questo nonostante il fatto che sia morto.
Sono andato in una clinica a pagamento in cui ero già, di cui mi fido relativamente. Il dentista mi ha spazzolato il dente, si è scoperto che le radici sono in ordine, non c'è oscurità. Ma per motivi di ordine, hanno scattato una foto e si è scoperto che in uno dei canali del dente c'è un residuo di uno strumento di metallo con cui vengono puliti. Inoltre, c'è una leggera infiammazione rotonda sotto questa radice. Alla fine, ha detto che non era sicura che sarebbe stata in grado di estrarre il chip, quindi ho dovuto decidere se scegliere il canale o meno. Avevo paura.
E ora fuori fa freddo e il dente periodicamente si ribalta. La domanda è se vale la pena andare nel panico e fare qualcosa, o se non c'è pericolo di aumento dell'infiammazione, allora non puoi preoccuparti? Chiuse i denti in buona coscienza.
Benvenuti! Penso che tu abbia appena lasciato una "bomba a orologeria". Qui è difficile per me non consigliarti di trattare il canale dentale ed eliminare il processo infiammatorio utilizzando un metodo economico. Puoi provare a rimuovere il frammento usando un'apparecchiatura ad ultrasuoni usando un microscopio, quindi inserire nel canale una preparazione a base di idrossido di calcio per un periodo da 2-3 mesi a un anno con la sostituzione periodica del materiale.
Altrimenti, il focus infiammatorio esisterà nella fase di compensazione fino alla prossima esacerbazione: ipotermia, stress, malattie generali, insufficienza ormonale, ecc. può portare a questo. Pertanto, se il dentista "rattoppa il dente", allora stiamo parlando della parte superiore (corona), che non aiuterà assolutamente il dente a lungo termine. Cioè, la ragione per l'eccitazione rimane.
Grazie per la risposta! Oh, devi andare in giro con una miniera bombardata dal tempo in bocca fino a quando non hai l'opportunità di curare il dente) È un peccato, tuttavia, a quanto pare il mio dentista non era pronto per questa svolta di eventi. Sembra che tu debba trovare un altro posto per il trattamento del dente. Spero che nella mia città ci siano dentisti coinvolti in questo.
Benvenuti! A metà agosto, tre nervi sono stati rimossi dai primi sei e sono stati installati pin. Dopo 1,5 settimane, il dente ha iniziato a rispondere al caldo. Reagisce a questo giorno. Sono andato di nuovo due volte dal mio medico, ma lui non ha dato una ragione e non ha detto cosa fare. Dimmi, per favore, perché un dente "morto" reagisce a un dente caldo e cosa si dovrebbe fare?
Benvenuti! Se questo particolare dente crea tali problemi, allora stiamo parlando di elaborazione difettosa e (o) riempimento difettoso dei canali. Quasi sempre nei 6 denti superiori (in oltre l'80% dei casi) c'è un quarto canale (secondo le ultime statistiche). Se anche il 4o canale converge in quello principale nella radice buccale mesiale, lo stesso, il vuoto anche nel canale stretto è anormale. Proprio questi sintomi sono possibili con un errore simile. Altri errori tecnici potrebbero anche portare ad un aggravamento nella stessa forma della tua.
Posso consigliare solo una cosa: esaminare il sesto dente dall'immagine. Se possibile, quindi per l'analisi puoi inviare immagini alla posta (vedi la sezione "Feedback"), ti dirò se c'è un problema (approssimativo). Tutto dipende dalla qualità dell'immagine e dall'angolo di visione. Se viene rivelato qualcosa, dovranno essere trattati 6 denti. Se il problema in questo dente non è confermato, sarà necessario diagnosticare i denti vicini, ma tutto ciò è già nella poltrona del dentista. Grazie per la domanda
Ciao, il mio dente era mezzo schiacciato e ha cominciato a scurirsi all'interno, a volte fa male, ma non molto. Come è pericoloso? E cosa farà il dentista? Ho una paura tremenda di andare dal dottore. Il terzo dente è in basso a destra.
Benvenuti! Secondo dati così piccoli, è difficile per me prevedere l'ulteriore situazione, ma è già certo che prima o poi questo porterà alla perdita dei denti. In quale forma sarà: semplicemente rimuovendo la "calma", ma distrutta sotto la radice gengivale, o avrai bisogno di aiuto di emergenza a causa di forti dolori, febbre alta, "flusso", ecc. - non noto.
Penso che la tattica del dentista sarà la seguente: analisi dei canali radicolari e dei tessuti oltre i confini dell'immagine, dopodiché verrà pianificato il trattamento. A volte il dottore nella foto può offrire una rimozione immediata, ma nelle tue mani ricevi consigli da altri 2-3 medici in altre cliniche, dove ci sono modi per salvare anche i denti più complessi. Il piano di trattamento dipenderà dalla situazione nel canale e all'esterno della radice. Cioè, il trattamento può terminare in un giorno e può trascinare per 2-3 o più ricevimenti. Il dentista può limitarsi a un semplice riempimento, ma può anche iniziare a trattare i canali. In ogni caso, tutto viene eseguito in anestesia locale. Un professionista non creerà mai una situazione in cui ti farà male, poiché il trattamento più confortevole per il paziente è anche benefico per il medico per un lavoro calmo e completo. Non aver paura e guarisci presto fino a quando non è "iniziato" ...
Benvenuti! Il quinto dente dall'alto ha iniziato a sentirsi caldo e freddo, agrodolce, penso che questa sia una carie pre-decadimento. È doloroso trattarlo con ubistezin e il nervo verrà rimosso? Non c'è buco nel dente, ma c'è solo un leggero danno allo smalto, in qualche modo simile, ma questo non è sicuramente un buco.
Benvenuti! Sulla base della tua storia, penso che riceverai un trattamento di carie cervicale senza rimuovere il "nervo". L'anestesia viene spesso eseguita per il comfort del paziente. Il "nervo" viene rimosso solo come ultima risorsa, soprattutto perché il posizionamento del sigillo non interferirà in futuro (se necessario) per elaborare i canali, poiché l'accesso ai canali può essere ottenuto solo attraverso la superficie masticatoria. Quindi non rischi nulla: un trattamento di successo per te!
Ho 15 anni, sono andato dal dentista oggi. C'era un buco, pensavo che dovessi solo mettere un sigillo e basta. Si è scoperto che era necessario rimuovere il nervo. Mi hanno fatto un buco e messo qualcosa, poi hanno fatto un sigillo temporaneo, mi hanno detto di venire lunedì prossimo. Farà male o no? 5 dente superiore.
Benvenuti! Penso che se metti la pasta sul nervo aperto con il trattamento della cavità cariata, allora questo è stato fatto con l'anestesia. Dal momento che non ti lamenti per la tua prima visita, tutto è andato bene. Ciò implica il fatto che non ha senso temere il secondo stadio, perché hai trasferito il dente vivo ai morti, cioè hai creato tutte le condizioni per il suo trattamento indolore. Non criticherò il metodo di trattamento usando paste devitalizzanti - è, in linea di principio, accettabile per le forme di trattamento di bilancio. Quindi buona fortuna in futuro, la cosa principale qui non è avere paura e fidarsi del dentista!
Ciao Al sesto dente, il riempimento è stato modificato 3 settimane fa dall'alto. Il medico ha detto che non c'era pulpite, è stata sviluppata la dentina protettiva, ma ha dovuto essere perforata abbastanza in profondità. Ora questo dente fa male periodicamente. Questo significa che la polpite si è sviluppata e deve ancora rimuovere il nervo?
Benvenuti! Se il dolore spontaneo (cioè senza un irritante esterno), specialmente limitato alla sera (notte), è preoccupato, la pulite si è sviluppata quasi al 100% e i canali del sesto dente dovranno essere trattati. Nel frattempo, il dolore quando si morde un dente (riempimento) può indicare sia la pulpite (periodontite) sia una reazione post-riempimento con una polpa sana. Il dolore post-riempimento indica violazioni durante il posizionamento del sigillo e richiede un riposizionamento tecnicamente corretto del sigillo.Idealmente, l'EDI può fornire informazioni accurate, ma solo se i sintomi non possono dire al medico se c'è un'infiammazione della polpa o meno (ad esempio, se si parla di dolore quando si morde un dente, dolore da un raffreddore, ecc. ., ma non ci sono segni evidenti di pulpite, di cui ho parlato sopra). La distruzione della polpa non si verifica sempre con vividi sintomi clinici, quindi esiste un EDI per aiutare il medico a determinare l'eccitabilità elettrica della polpa. Se questo dispositivo non è in ospedale, allora tutto è deciso dalla storia raccolta e dall'esame del dente nella cavità orale.
In caso di dubbio, la polpa viene solitamente rimossa e i canali sono sigillati, per così dire, senza intaccare sui fondi di caffè. Grazie per la domanda
Buon pomeriggio Avevo una domanda, la situazione è questa: durante l'infanzia, hanno rimosso il 6 inferiore e poi sono cresciuti 8. Entrambi gli 8 inferiori sono funzionali (partecipano al processo di masticazione). Nell'ottavo dente, sul lato dove non c'è il sesto dente, la polpite. Abbiamo deciso di non eliminare perché è molto, molto necessario))
Al momento, i canali vengono puliti e il dente è temporaneamente riempito con un po 'di antisettico. Devi scegliere cosa chiudere il dente con un inserto o un sigillo in ceramica. Cosa potresti consigliare?
Il dentista presente afferma che le foto di controllo dovranno essere eseguite entro un anno per essere sicuri che tutto sia in ordine con il dente. E in questa fase non ci sono garanzie che il dente non dovrà essere rimosso tra un anno ((E ho suggerito l'opzione - metti il sigillo e rimuovilo dal morso in modo che il dente superiore non poggi contro di esso, e dopo un anno metta la linguetta.
E un'altra domanda: 8 - gli stessi denti in forza del resto? O sono più fragili?
Benvenuti! In primo luogo, è difficile giudicare senza esame nella cavità orale quanto questo dente è prezioso e quali sono le prospettive della sua esistenza nella dentatura a vostro vantaggio. In secondo luogo, c'è stata qualche pulpite? Forse il dente è ancora guidato dalla diagnosi di parodontite che non è abbastanza conveniente per il dentista? Sono confuso dalla posa di agenti antisettici e da una sorta di "polverone del topo": se stiamo parlando di immagini di controllo dopo un anno, allora rientra semplicemente nel monitoraggio della parodontite nella fase del trattamento anti-infiammatorio e per la polpite (se ne parli ancora) è troppo inoltre, insieme alla dicitura "nessuna garanzia di non dover rimuovere il dente" e "bisogno di essere rimosso dal morso". Sulla base dei dati presentati da te, posso dire che il dentista conduce parodontite o non può trattare qualitativamente un dato dente del giudizio (non può passare canali lungo la lunghezza o non riesce a trovare alcun canale, ha rotto uno strumento, canali mal sigillati, ha creato un falso canale o fatto una perforazione - molti fattori diversi a volte spingono il dentista a non credere nella prospettiva del trattamento).
Per quanto riguarda la forza di 8 denti: non sono diversi a questo riguardo dal resto: se il dente è gravemente danneggiato (più di 1/2), allora, ovviamente, ci sono rischi che si sgretolerà in futuro, poiché è "morto". Pertanto, ti hanno offerto una delle opzioni più affidabili per ripristinare la parte della corona: un inserto in ceramica. Oltre alla linguetta, i denti "morti" sono spesso ancora coperti da una corona, il che rende possibile stare in piedi il più a lungo possibile. Solo ora, dubito, a partire dalle parole del tuo medico curante, che vale la pena fare un lavoro così costoso, salvando la parte superiore del dente, quando il dentista sa qualcosa del suo lavoro inferiore (la mia ipotesi) all'interno dei canali. Se invii una foto con i canali trattati, forse posso darti un'analisi più completa del suo lavoro.
Qualche giorno fa stavo trattando 2 denti anteriori (canino e dente, che è accanto ad esso, al centro). La zanna era in cattive condizioni, ma ho scoperto solo che dovevo curare un dente che era vicino, dopo aver esaminato un dentista. Quindi, il nervo della zanna non mi è stato rimosso e il secondo dente è stato rimosso.E ora, dopo 4-5 giorni, ho notato che si era oscurato. Con cosa è connesso e passerà nel tempo?
Benvenuti! Penso che questo stesso non funzionerà. L'oscuramento è molto probabilmente dovuto al fatto che è stato utilizzato il materiale usato per macchiare il dente, poiché un dente morto in sé si scurisce gradualmente, o meglio, si attenua ogni anno. Qui stiamo ovviamente parlando di una sorta di fattore esterno. A volte capita che la colorazione sia associata a sanguinamento dal canale, che è stato fermato con difficoltà. Comprendi che sta fermo - sulla sedia del dottore. Se non ti piace l'estetica del dente, puoi utilizzare lo sbiancamento endodontico (di solito questa tecnica aiuta a migliorare le caratteristiche cromatiche del dente senza perdere i suoi tessuti e con il massimo effetto positivo), o il restauro della parete anteriore del dente usando materiale fotopolimerizzato, rendendo la cosiddetta faccetta un metodo diretto. Pertanto, ripristinerai il colore e, di conseguenza, l'estetica.
Oggi sono andato dal dentista e mi ha detto che dovevo rimuovere il nervo (da 16 denti). Ho letto i commenti sulla negligenza dei dentisti: era già spaventoso. Volevo chiedere, è doloroso rimuovere il nervo?
Benvenuti! Topulare i denti superiori è quasi sempre indolore. "Quasi" - questo significa che non c'è praticamente alcuna difficoltà in termini tecnici per eseguire la rimozione indolore del "nervo", ma in rari casi, un dentista non esperto può non prestare attenzione all'anestesia dal palato, e quindi il trattamento può essere un po 'doloroso. Penso che dovresti scegliere un dentista esperto con almeno 5 anni di esperienza. Inoltre, è importante fare affidamento sul feedback di amici, conoscenti, parenti su questo medico (e venire alla reception senza paura e sentimenti forti, poiché la paura del trattamento dentale a volte impedisce all'anestesia di agire completamente).
Ciao) Panicky ha paura di andare dal dentista! Anche se non avevo così paura prima. Quindi, quello che sto portando a: ero dal dentista, mi hanno messo un sigillo sul dente anteriore, poi, dopo due anni, il dente ha iniziato a farmi male. Sono andato di nuovo dal dottore, mi ha praticato un dente alle spalle - c'era un piccolo foro (e non so se mi hanno rimosso o meno il nervo). Il medico mi ha detto due giorni dopo di venire di nuovo, ma non sono mai venuto (cosa che rimpiango molto adesso), e dopo un anno il dente da qualche parte si è rotto sotto la radice. Ora ho molta paura di cosa mi faranno, rimuovere completamente la radice, o cosa? E farà male? Dimmelo, per favore)
Benvenuti! Tuttavia, il medico ha rimosso il "nervo" per te, e un dente morto, che ha pareti sottili che il medico non ha avuto il tempo di pulire dalla carie e di mettere un sigillo, poiché non sei arrivato al secondo appuntamento, può rompersi abbastanza facilmente - che è quello che è successo. Ora è importante valutare la radice per la sua idoneità per ulteriori protesi (cioè, la radice può essere preservata del tutto). Qui, devi assolutamente contattare il dentista per un appuntamento in modo che valuti le caratteristiche esterne della radice e ne faccia una foto. Se il medico non raccomanda di preservare il dente, è importante avere altre 1-2 consultazioni con altri medici per formare un'opinione generale vicina all'obiettivo. Secondo il quadro, il dentista valuterà le condizioni dei tessuti che circondano la radice per l'infiammazione, poiché il dente è rimasto senza un riempimento permanente per lungo tempo. È possibile che sia necessario il trattamento della radice, ma questo è solo per il bene, in modo che in futuro la cisti sulla radice del dente non progredisca.
Se la radice del dente deve essere preservata, ti consiglio di ripristinare la sua corona con la linguetta + corona. Naturalmente, ciò avviene dopo un'impeccabile preparazione intra-canale. Per quanto riguarda l'anestesia e la paura del dolore: se mantengono il dente, faranno a meno dell'anestesia, poiché il "nervo" è già stato rimosso dal dente.Se è necessario rimuovere la radice, gli anestetici della fila di articaina agiscono sempre perfettamente sul gruppo anteriore dei denti. L'unica cosa che è un po 'dolorosa è l'introduzione stessa di un anestetico nella piega di transizione (tuttavia, molti medici esperti possono ridurre al minimo queste sensazioni dolorose).
È possibile morire per anestesia locale dopo un test manuale? Ho molta paura
Benvenuti! Se parliamo di moderni anestetici locali (farmaci della serie di articaina), allora non c'è quasi alcuna allergia a loro, anche se a volte ci sono reazioni tossiche sistemiche che non possono essere prevenute da alcun test allergologico. Grazie a Dio, all'appuntamento dal dentista ci sono molti modi per prevenire conseguenze negative anche con tali effetti collaterali.
Dal momento che stai facendo una domanda su un test cutaneo, è proprio quello che viene fatto in modo che la persona non muoia di allergie. Sarebbe strano se fosse stato prescritto un campione per rischiare di nuovo la salute umana. Cioè, sicuramente non morirai per un test cutaneo. Con lo sviluppo di un'allergia al farmaco (se presente), compaiono arrossamenti o lievi gonfiori sulla pelle, poiché viene appositamente assunta una piccola dose del farmaco. Tuttavia, non vi è piena garanzia che con un test negativo per anestetico, durante la somministrazione del farmaco non si sviluppino allergie sotto forma di infiltrazione o anestesia di conduzione durante il trattamento o l'estrazione del dente. Riguarda la dose, il sito di iniezione, ecc. Un test cutaneo non è il più perfetto, ci sono test più accurati. Ma il test più importante è quello di prendere una storia di allergie a determinati farmaci in passato. Sono sicuro che la storia della tua vita "dentale" e la tua salute generale forniranno più informazioni che test.
Ciao Siamo spiacenti, puoi dire se è possibile rimuovere l'oscuramento sul dente senza perforare [collegamento al dente con oscuramento - visibile solo al medico]. Forse c'è una specie di epurazione o qualcosa del genere? La trama stessa con l'oscuramento è liscia, non sciolta. Grazie in anticipo per la tua risposta.
Benvenuti! L'immagine è sfocata, ma è chiaramente visibile che il punto è nero. Più come cariati. Con questa intensità di colore, quasi sempre c'è una carie media. Nel tuo caso, si trova nella regione cervicale - un sottile strato di smalto sui tessuti ammorbiditi in questa zona spesso non "vola via" per molto tempo, determinando il benessere apparente. Ciò è dovuto al fatto che non esiste un carico diretto sulla zona cervicale. Questo difetto non implica un trattamento conservativo (ad esempio, usando la tecnica Icon), ma è necessario un trattamento completo del dente, la rimozione dei tessuti cariati con il successivo riempimento.
Cioè, rispondere alla tua domanda in modo più specifico: "senza perforazione" non lo farà. Anche se sottolineo ancora una volta che l'immagine è sfocata, e alla fine, spetta ancora al tuo medico decidere dopo un attento esame sulla sedia.
Grazie per la risposta dettagliata A giudicare dalla tua risposta, si scopre che sarà necessario perforare, perché ho avuto questo oscuramento per molto tempo (sicuramente, circa 5 anni). Il medico ha detto che mentre è possibile osservare e non perforare. Ma ho pensato alle tecniche moderne, ma risulta che il caso non è mio per la loro applicazione.
Benvenuti! Un mese prima del nuovo anno sono venuto in una clinica privata. Abbiamo scoperto la carie su più denti, uno ha iniziato a essere curato. Nonostante sia stato curato in una clinica moderna con buoni anestetici, è stato doloroso più volte. I tessuti cariati sono stati rimossi, secondo l'immagine hanno detto che il nervo era molto vicino alla parte sana del dente e che era stato inserito un riempimento temporaneo. Per tre settimane (è quanto è stato necessario camminare con un riempimento temporaneo), il dente non ha risposto a freddo, dolcezza o altro. Rimosso un sigillo temporaneo, mettine uno permanente.Ora, quando bevo / mangio qualcosa di freddo / caldo, il nervo sembra "scoppiare" un po ', il dolore scompare immediatamente, dopo che non fa male, e anche per questo irritante non reagisce per qualche tempo (di solito reagisce solo una volta che mangio / bere).
Cosa devo fare? È la colpa del dottore? L'attesa senza trattamento può aiutare? E vorrei anche chiederti dove sei, a giudicare dalle tue risposte, hai un'esperienza enorme.
Ciao Alexander! Secondo la tua descrizione, le tattiche del medico nel suo insieme sono corrette: prima hanno controllato, carie profonde nel dente o già la pulpite. Il fatto che il dente abbia iniziato a reagire nonostante la dinamica positiva è quasi certo che questo è il risultato di un'eccessiva macinazione dello smalto durante la correzione di un riempimento per morso. Poiché il dolore è di natura irregolare, sono propenso a dire che non stiamo parlando di complicanze dopo il trattamento della carie profonda. Certo, è impossibile dire il 100% senza verifica, ma presumo che non accadrà nulla di brutto dopo.
Sarebbe bello controllare il dente per EDI, ma poche cliniche hanno questo dispositivo per determinare la "salute" della polpa. Pertanto, l'opzione è di attendere circa 2 settimane dopo il trattamento, ma se compaiono altri sintomi (dolore acuto, reazione quando si morde, ecc.) - immediatamente dal medico.
Per quanto riguarda il mio lavoro: nonostante sia un dentista, servo solo la popolazione locale e non vado oltre la mia "provincia")
Buon pomeriggio Oggi sono stato trattato con i primi otto in una clinica privata con un medico esperto di cui mi fido. Volevo rimuoverlo, perché c'era una carie cronica ed era difficile arrivarci - è dalla parte posteriore. Ma il dottore si offrì di curare il dente - poiché si erge esattamente, a giudicare dall'immagine, non interferisce con i sette e c'è abbastanza spazio per esso.
Era difficile da trattare, tutti erano nervosi - la carie dentaria era solo da tutti i lati. Di conseguenza, ho scoperto che un nervo è stato immediatamente rimosso da me per una visita, ma senza pulire i canali, dal momento che semplicemente non puoi raggiungerli. Allo stesso tempo, ha lasciato una sorta di "medicina" (non so quale) per il trattamento permanente e ha immediatamente messo un sigillo permanente.
In generale, mi sono fidato del medico fino a questo punto: mi ha reso i denti piuttosto complessi, ma questa è la rimozione di un nervo senza pulire i canali e una sorta di "medicina" sotto un sigillo permanente mi disturba. Dovrei preoccuparmi?
Non voglio offendere un medico esperto, ma è possibile farlo? Forse dovresti semplicemente rimuovere il dente?
Benvenuti! Se "le tue parole sono scritte correttamente", le tattiche del medico sono errate. Poiché i canali sono difficili da trattare e l'armadietto non è dotato di un microscopio (come opzione), valeva la pena trattare la pulite in diverse visite. La rimozione parziale del "nervo" senza il metodo devitalizzante (preimpostazione della pasta che uccide il "nervo") condanna il dente a un'esacerbazione del 100% nel prossimo futuro. Il rischio è molto alto. Inoltre, i canali non sviluppati con un "nervo" parzialmente rimosso (e anche con un completamente rimosso) non garantiscono che il dente non si ammali.
Non riesco a sapere esattamente quale tipo di medicina il medico ti abbia messo sotto un sigillo permanente. Conoscevo i dentisti che mettevano già analoghi della pasta di arsenico sotto un riempimento permanente, perché non avevo l'opportunità di trattarlo correttamente (un metodo del genere era estremamente dannoso per il dente in futuro). Se il medico mette qualcosa come una preparazione di calcio con la completa rimozione del "nervo" da tutti i canali, il dente può ancora stare con canali semivuoti e vuoti sotto un riempimento ermetico permanente, sebbene questo trattamento non sia promettente. Il metodo di resorcinolo-formalina, a volte utilizzato dai medici per l'ottavo dente, non viene eseguito in 1 visita.
È possibile che un dente venga rimosso o inviato per il trattamento in una clinica in cui è presente un microscopio, ma il medico ha scelto di bloccare il problema e "fuori dalla vista".
Benvenuti! C'è un buco nel dente, è venuto in odontoiatria, hanno praticato un altro buco nello stesso dente (vicino al nervo), messo in arsenico.Dissero che dopo 2 giorni sarebbero venuti per rimuovere l'arsenico e dopo una settimana per rimuovere il nervo. Queste 2 procedure mi fanno male?
Benvenuti! O stai descrivendo qualcosa di sbagliato, o (più probabilmente) il dentista preferisce la versione estrema del metodo di trattamento di routine: dopo aver estratto la pasta di arsenico, registra separatamente per la terapia del canale. Il fatto è che secondo la tecnica di devitalizzazione, dopo l'installazione di arsenico, la visita successiva esegue immediatamente il trattamento endodontico dei canali: include solo la rimozione del "nervo", l'elaborazione e (molto spesso) il loro riempimento. In alcune situazioni, il medico ha il diritto di lasciare un antinfiammatorio, antibatterico e (o) anestetico nei canali trattati, ma non capisco: perché rimuovere la pasta e prenderla separatamente per il trattamento dei canali. Forse non da una bella vita. L'ultima domanda combina notoriamente due argomenti ardenti: costerà molto e le procedure saranno dolorose?
Se sei trattato con tali metodi, allora sono quasi sicuro che sia economico rispetto alle cliniche di classe superiore. Per quanto riguarda il dolore: non posso dire nulla di specifico, ma si può presumere. Se hai ucciso qualitativamente il "nervo" con la pasta usando questa tecnica e hai anche fatto l'anestesia nella fase del trattamento del canale, allora è più vicino al 100%, che non farà male o sarà leggermente doloroso, ma sopportabile. Altrimenti, posso fare affidamento solo sulle competenze del medico, sulle capacità delle attrezzature e sulla disponibilità di risorse materiali: dal livello di anestesia alla presenza o assenza di "lozioni" endodontiche (file K, rimer, file H, localizzatore di apice, guttaperca, ecc.).
Circa 3 settimane fa ho fatto il dente anteriore. Ci fu una piccola carie, ma il dottore fece un grosso buco, mentre si allargava ulteriormente. Ha detto: "Se mi ammalo, rimuoverò il nervo". Bene, ora sono passate 3 settimane e solo ora mi sono ammalato, nonostante stia facendo l'ultimo dente a destra. Di recente, un dente incompiuto e altri sul lato destro hanno iniziato a far male. Dopo che tutto ha fatto male, ad eccezione di incompiuto, e il fronte ha cominciato a fare male. E non potevo andare dal dottore, dato che non c'era. Il dente era malato a causa di quei dolori? Sarà necessario rimuovere il nervo e fa male?
Ora ho 15 anni.
Benvenuti! Nel tuo caso, il dente può ferire a causa di errori del medico (surriscaldamento del dente, diagnosi errata, ustione chimica della polpa, ecc.) O a causa di infezione nei canali. E senza ulteriori diagnosi non è noto, un dente è la causa dei tuoi dolori, o ci sono diversi denti causali, ma l'assunzione è così lontana sul fronte. La ricerca di un dente causale è la fase più importante, poiché senza di essa puoi ferire o fare molto lavoro inutile. Noto che il dolore spontaneo (senza irritante) del dente trattato è un'indicazione del 100% per la rimozione del "nervo".
Per quanto riguarda la tua domanda sulla dolorosità della procedura di rimozione del "nervo", il dolore non è escluso da un professionista nel trattamento della pulpite, poiché viene eseguita un'anestesia di alta qualità. I denti anteriori in quasi il 100% dei casi, anche nei dentisti di medie dimensioni, vengono trattati senza causare dolore al paziente, poiché sono facili da anestetizzare. Per tutto il resto, non posso dirlo, poiché per alcuni denti la situazione può essere un po 'più complicata e, in termini di anestesia, tutto è nelle mani del medico curante. In ogni caso, non dovresti avere paura, ed è importante trattare la pulite il prima possibile, prima che entri in parodontite o sue complicanze (periostite, come opzione).
Benvenuti! Letteralmente 3-4 giorni fa, il sesto dente superiore (su cui è stato posizionato il ripieno sei mesi fa) ha iniziato a fare molto male, anche se all'inizio non era chiaro che fosse lui, perché il dolore era quasi su tutta la mascella e sospettavo che stesse salendo 8- ka. Ma ora, secondo le sensazioni, sembra che faccia male solo la sesta parte, e poi, se lo tocchi, non fa più male, ma non riesco ancora a mangiare. Dissero che avrebbero potuto rimuovere il nervo.
In precedenza, nello stesso ospedale, ha curato la carie di 5 e 6 denti inferiori, ha avuto l'anestesia e, di conseguenza, non ho ancora sentito un leggero dolore al 6 ° dente, sebbene ci fosse meno carie rispetto al 5 ° dente. Ma ha sofferto e mi ha guarito, è stato letteralmente questo lunedì, le gengive fanno ancora male, e il dente, se lo sopprimi, è un po 'sentito - forse a causa del fatto che è stato trattato per circa un'ora, e anche diverse volte mettere l'anestesia. Dissero che era proprio il sesto inferiore ad essere leggermente sensibile all'anestesia e quindi non funzionava molto.
Cosa bisogna fare per capire davvero che devo rimuovere il nervo dal sesto dente superiore? E ancora, il 6o dente superiore è mal trattato in modo doloroso, dato che il 6o inferiore non è stato colpito dall'anestesia? Lunedì è già stato fissato l'appuntamento del medico. Parlami di questo, cosa bisogna fare? Inoltre, se hai davvero bisogno di rimuovere il nervo, non esitare a farlo, perché tutto peggiorerà solo?
Benvenuti! Rispondo in ordine:
1. Di solito, il dolore acuto, così come una reazione al dolore forte e duratura da parte degli irritanti, parla dell'adeguatezza del trattamento dei canali, e tutto in questo spirito. È per un dente specifico che sicuramente non sarai in grado di dire senza un dentista: conduce un esame e un esame strumentale, tenendo conto delle tue "indicazioni", per così dire. Spesso questo non è abbastanza, e una foto di un dente e (o) EDI vengono in aiuto di un medico, anche se non ci sono molte cliniche che utilizzano quest'ultimo metodo.
2. I 6 denti superiori rispetto ai 6 denti inferiori devono essere trattati "indolore", ma i professionisti non pongono la domanda in questo modo - con le normali mani di un medico, tutti i denti vengono trattati senza dolore. Nel contesto delle realtà, il dente superiore 6 dovrebbe essere migliore per il medico medio se non è affatto un problema con le mani.
3. Non vale assolutamente la pena, poiché la pulpite passa senza problemi alla parodontite e alle sue complicanze (periostite o "flusso", come viene presa in giro dalla gente). Ancora una volta, se sei fortunato, allora la polite può essere tormentata per diverse settimane, trasformandosi gradualmente nella sua forma cronica senza complicazioni fino a 6-12 mesi. Ma non credo che valga la pena sperare in tale fortuna (lo dico così com'è).
Ho 15 anni, sarò trattato oggi. Ho un nervo aperto, molto impaurito ...
Buon pomeriggio, Svyatoslav Gennadievich. Il mio giovane ha la fluorosi, non in una fase avanzata, ma, tuttavia, ci sono punti. Viene trattato o solo le faccette aiuteranno qui? E se può essere curato, allora come?
Benvenuti! Il problema non è il più comune, ma il principio del trattamento delle macchie con fluorosi si riduce più spesso a sbiancamento dello smalto, microabrasione dello smalto, riempimento di difetti e realizzazione di faccette. Se il tuo caso non è in esecuzione, è utile chiarire lo sbiancamento dei denti o la microabrasione dello smalto.
La microabrasione rimuove uno strato microscopicamente sottile di smalto - in realtà, questa è una combinazione di sbiancamento e macinazione. Il riempimento spot con compositi fotopolimerizzabili è anche un'opzione per la fluorosi per il gruppo frontale dei denti. Questi sono i metodi utilizzati per le forme lievi di fluorosi, senza l'uso di faccette.
Benvenuti! Ieri è venuta con un dolore acuto e un nervo è stato rimosso sulla mia parte superiore 1 a sinistra, prima che fosse stata sigillata 10 anni fa. Hanno fatto una foto sia prima che dopo. Ma stanotte, quando clicco su questo dente, provo dolore. Ho avuto una brutta rimozione del nervo e ho bisogno di essere curato, o il dolore può andare via senza conseguenze? Devo aspettare qualche giorno prima di correre per una consultazione?
E un'altra domanda: circa 20 anni fa, mentre ero ancora a scuola, un nervo è stato rimosso dalla mia sinistra 2. circa 2 anni fa, si è oscurato dall'interno e dall'esterno la gomma è diventata un po 'blu. In una clinica gratuita mi dicono, va tutto bene per lui, è davvero così? Perché la gomma sopra questo dente ha cambiato colore?
Benvenuti! Il dolore quando si morde un dente è spesso presente diversi giorni dopo il trattamento dei canali: questa è la cosiddetta reazione post-riempimento. Molti dentisti che praticano lo considerano la norma se dura entro 3-7 giorni e quando usano alcuni materiali di riempimento - fino a 1-2 mesi. Tuttavia, in questo caso, il dolore non dovrebbe essere doloroso e dovrebbe tendere a diminuire ogni giorno (settimana). Di solito, i denti anteriori non sono difficili da trattare nel canale, poiché nell'incisivo centrale superiore è presente un canale diritto e largo.
Ora circa il secondo dente a sinistra. Posso solo immaginare il motivo del "bluing" delle gengive in contumacia: il metodo formalina o l'endometasone contenente formaldeide a volte causano tali reazioni. Ci sono materiali di riempimento che causano un grave oscuramento del dente e persino i bordi delle gengive. Penso che la risposta esatta possa essere data da un dentista esperto dopo un esame approfondito del dente e l'analisi dell'immagine. Compreso un verdetto sulle prospettive di ritrattamento di questo dente.
Sono venuto da un dentista pagato, ho detto che mi faceva male il dente e indicavo il fondo sei. Il podologo della foto non vide immediatamente che c'era una cisti sulla radice di questo dente e mi consigliò di curare i cinque. E ha detto che il dolore presumibilmente passa dalle cinque alle sei. E un altro dottore nella stessa clinica due giorni dopo vide una cisti sul sei. Rimosso il fondo 6 con una cisti. A quel tempo, cinque stavano già iniziando a essere curati. Ora sto volando in fondo 5. Mettono l'anestesia per due giorni per rimuovere il nervo: nulla aiuta, l'anestesia non funziona, il dente fa male terribilmente. L'arsenico è stato messo di notte, rilasciato a casa per un giorno. Il giorno dopo è arrivata - l'arsenico non ha funzionato, hanno nuovamente fissato l'anestesia. In generale, nulla ha aiutato.
È successo che il nervo mi è stato tirato fuori proprio nel momento in cui il dente è stato rimosso - 15 minuti dopo l'estrazione. E anche sotto quell'anestetico mi ha fatto male. Poi hanno lasciato andare a casa per un paio di giorni a denti aperti. Un paio di giorni dopo venne, ripulirono i canali e mi sigillarono. Il dolore durante la pulizia del canale era terribile ad un certo punto, da qualche parte nel mezzo del canale. E in cima al canale non era più doloroso. E il dolore che è apparso durante la pulizia ed è rimasto. Ora mi fa male il dente ogni giorno, è passata una settimana. Dopo le 18:00 e di notte il dolore aumenta. Ho visto io stesso l'immagine - c'è un canale e l'immagine è sigillata normalmente. Il medico dice anche che va tutto bene. In generale, non so cosa fare, la settimana è passata e il dente fa male. C'è un sigillo temporaneo.
Un altro terapista nella stessa clinica ha suggerito che esiste un processo nervoso che può essere visto in un'immagine 3D e mi ha messo in una posizione di riposo. Il giorno successivo, anche il dolore è continuato, è tornato in clinica, già c'era un cambio del terzo terapeuta. Il terzo terapeuta esaminò il buco, esaminò i denti più vicini e nella foto vidi già la carie nel quarto e terzo dente - una carie nascosta che non è visibile con l'occhio, è all'interno sotto la corona del dente. E dopo ha assunto il presupposto che i miei cinque fossero sigillati normalmente, ma va bene, l'appendice nervosa non viene lasciata lì e il quarto dente accanto può ferire e presumibilmente dare ai cinque. Ma ho specificamente 5 dolori ai denti - secondo la mia sensazione, durante il giorno fa male, prude dall'interno, esplode con esso, voglio anche strappare un sigillo temporaneo, scegliere tutto in questo unico canale. Oltre a tutto ciò, la gomma si è infiammata: sotto il sesto remoto e sotto il 5 ° e arriva al 4 °. Di sera, il dolore si intensifica e quando esco, ad ogni passo del mio quinto dente, mi sento come se stesse tirando, e lui spara.
Lo bevo da 2 settimane. Non so nemmeno cosa fare. Nel quinto dente, il canale è stato riempito il 02.21.17. Oggi è il 28/02/17. Domani devo andare di nuovo in questa clinica per un esame. Si è verificata una situazione tale che tre medici si trovano nella stessa clinica e hanno opinioni diverse. E i miei denti sono soli. Cosa potrebbe essere? Cosa fare ((
Voglio notare che prima di toccare questo 5 dente, NON era malato e solo 6 con una cisti erano malati.
Benvenuti! Grazie per aver descritto in modo così dettagliato. In realtà hai ragione: c'è il sospetto che ci sia più dolore nel buco e il quinto dente non potrebbe avere nulla a che fare con esso. Cioè, l'alveolite potrebbe iniziare e anche il dolore post-riempimento nel quinto dente trattato ha intensificato i sintomi. Questo strano "tandem" in una certa misura potrebbe confondere i dottori. Non lo faccio nella mia pratica, poiché ciò aggrava il trattamento, o meglio, porta al deterioramento più spesso. La rimozione non è solo un trauma, ma anche dopo il trattamento canalare, molti dentisti subiscono lo stesso trauma, ma solo un danno parodontale, sullo sfondo di una serie di carenze.
Se invii un'istantanea del dente dopo il trattamento del canale, allora potrei analizzare la qualità del trattamento. Nel frattempo, dirò in contumacia che vale la pena prendersi cura del buco, alleviare questa sintomatologia e quindi verificare il fatto di un buon trattamento del canale del quinto dente. Se continui a cercare problemi inesistenti da parte di altri dentisti, questo è irto di molteplici trattamenti dentali inutili e, Dio non voglia, la loro rimozione, che con una certa destrezza viene praticata dai dentisti che "tagliano la spalla". Quindi inizia con il buco, assicurati della qualità del quinto trattamento, quindi osserva la situazione.
Ciao Svyatoslav Gennadievich! Ho davvero bisogno di valutare il risultato del trattamento canalare e ulteriore prognosi. I sei inferiori, parodontite. Il processo di trattamento: metapex per una settimana, riempimento con il metodo della condensazione verticale, un'altra settimana dopo un riempimento permanente. Nella foto vedo il materiale di riempimento e la gutta dietro gli apici. Ci sono altri errori oltre a questo? Il medico ha detto che ha dedotto specificamente "allo scopo di curare l'infiammazione", quindi non ha iniziato a fargli altre domande. Quanto sono sigillati i canali? Confonde il colore irregolare del ripieno vicino alla cima di una delle radici. E in generale, come valuti questo risultato?
Al momento (2 settimane dopo aver impostato un riempimento permanente), improvviso dolore doloroso (1 volta in 2 giorni), indipendentemente dal carico, dalle sostanze irritanti e dall'ora del giorno. La sensibilità diminuisce, masticare i cibi morbidi con calma.
Mi scuso per le molte domande, ma io, in quanto proprietario di già tre sei "morti", voglio davvero capire i misteri dell'endodonzia. Grazie in anticipo per le tue risposte! Istantanea: [link visibile solo al medico]
Benvenuti! Dici tutto correttamente: c'è una conclusione del materiale, una leggera disomogeneità (irregolarità del materiale, ma non molto). Tuttavia, tale riempimento non è male negli ambienti medici e le sue conseguenze probabilmente non saranno negative. È solo che con la parodontite è importante che l'ostruzione dei canali sia stretta, in modo che le aperture apicali siano bloccate. Il più grande "peccato" per il dottore sarebbe se il delta apicale fosse lasciato senza materiale. Quindi i colleghi lo avrebbero portato nel forcone e molto altro sarebbe stato fatto. E così, dal punto di vista della comunità medica - un riempimento molto decente. Un altro problema che non è sempre comodo per il paziente: spesso devi aspettare abbastanza a lungo affinché tutti i sintomi scompaiano (in questi casi i dolori post-riempimento possono durare fino a 2-3 mesi). Mi dà fastidio che tu abbia un improvviso dolore doloroso con una certa frequenza. Anche se, forse, questa è una reazione individuale (puoi comunque valutare la carie di un dente vicino). Ma l'immagine può solo simpatizzare con te e in un certo senso lodare il medico che tutto è stato fatto il più vicino possibile all'ideale per la parodontite.
Grazie mille per la rapida risposta! Tutti voi "avete risolto il problema" e avete riposto la mia fiducia nel mio dottore, e stavo pensando di cambiare lo specialista, dal momento che il ritiro dei canali di altri due sei problematici sta arrivando. Prima della tua risposta, dopo aver visto abbastanza foto di endos belli e aggraziati su Internet, il mio dente mi sembrava barbaramente realizzato)
Per quanto riguarda il dolore: sui sette successivi è stato sostituito un riempimento profondo e questo dente è sospettato come causa del dolore, sebbene soggettivamente sia assolutamente calmo. Durante la visione Grazie ancora e successo! Cordiali saluti.
Svyatoslav Gennadievich, ho 17 anni, ho questo problema: mi hanno riempito il nervo. E ora tocco solo il dente: inizia a far male. E in generale, senza toccarlo, fa così male e reagisce anche fortemente al freddo e al caldo. Ed è difficile dormire. Dai qualche consiglio, per favore!
Benvenuti! Credo che i canali, a giudicare dai sintomi, non siano stati trattati, ovvero il "nervo" non sia stato rimosso. Descrivi i sintomi della pulpite che sono comparsi dopo l'installazione del sigillo, cioè in questo caso è necessaria una cura endodontica completa. Consiglio di contattare lo stesso o un altro dentista-terapista per il trattamento dei canali. La ricerca di un dente causale è obbligatoria: il dente adiacente a volte inizia a ferire, ma si ritiene che quello trattato faccia male. Così urgentemente dal medico, in modo da non aspettare complicazioni.
Svyatoslav Gennadievich, ti ho contattato di recente e voglio fare un'altra domanda. Per una settimana il dente ha fatto male e ha smesso di far male, cosa devo fare? Penso che il nervo sia morto - potrebbe essere da solo se ci fosse un nervo infiammato? Ed è pericoloso se il nervo è morto, devi andare dal dentista il più rapidamente possibile? E volevo chiedere: se vado al suo appuntamento, cosa posso dire perché mi chiederà qual è il problema?
Benvenuti! Dato che hai avuto dolori spontanei che persistevano a lungo e non ti permettevano di addormentarti normalmente, era molto probabile che si fosse verificata una complicazione dopo il trattamento della carie. Cioè, è stato uno stadio acuto di pulpite. Attualmente, è una forma cronica, quindi il dente ha smesso di rispondere. Se il "nervo" muore rapidamente, allora una forma purulenta di parodontite può iniziare nel prossimo futuro. Nel caso in cui preveda la compensazione, il "nervo" all'interno dei canali può essere in uno stadio di infiammazione per lungo tempo, ma la sua morte non si verifica, quindi, potrebbe esserci un aggravamento della pulpite in futuro, o lo stesso scenario accadrà, come ho descritto in precedenza: il "nervo" morirà, e il dente entra nella fase della parodontite. Comunque sia, non ha senso aspettare di nuovo che il dente faccia male.
Se vieni all'appuntamento dal dentista, devi dire esattamente quello che hai descritto sopra. Questo è sufficiente per avere un'occasione per depurare il dente e prevenire le conseguenze negative di origine infettiva.
La mia domanda è: spesso dopo una visita in studio dentistico l'herpes appare sulle labbra. Una settimana fa, il nervo è stato rimosso, il canale è stato riempito, è stato posto un sigillo temporaneo. Domani vai dal dottore, metti un sigillo permanente e io ho l'herpes. Cosa fare
Benvenuti! L'herpes labiale è una delle malattie più comuni, il cui innesco è una diminuzione dell'immunità (anche a causa dello stress, in questo caso nel contesto di una visita dal dentista). Molto spesso, questa malattia non è un ostacolo al trattamento dentale. Un'opzione ideale è l'uso di farmaci per il rapido sollievo dei sintomi dell'herpes: terapia antivirale con farmaci contenenti aciclovir. Con la frequente insorgenza dell'herpes, i pazienti spesso conoscono ciò che è ideale per loro, dal momento che hanno "mangiato il cane" in questa faccenda per tutta la vita. Quindi assicurati di andare dal medico e lo stesso dentista troverà una via d'uscita.
Ciao, mi chiamo Yana. Ho 12 anni. Il 28 marzo, mi hanno messo l'arsenico, perché è stato molto doloroso. Oggi è arrivato, ma di nuovo mi ha fatto male e di nuovo l'arsenico. Ti farà male rimuovere il nervo?
Faranno di tutto per me senza antidolorifici. Dente inferiore, molare. Molto spaventoso
Benvenuti! Tu stesso hai rifiutato antidolorifici o hai solo il panico paura delle iniezioni di anestesia? In caso contrario, chiedi al tuo medico una buona anestesia per rendere il trattamento indolore. Tuttavia, i molari inferiori sono talvolta difficili da trattare per una serie di motivi e l'anestesia alla tua età non sempre funziona in modo adeguato. Sia come sia, sii paziente e chiedi al tuo medico di lavorare con l'anestesia.
Non aver paura Tieni presente che il trattamento canalare è un momento cruciale: se non lo esegui qualitativamente, il dente può essere perso nei prossimi 1-5 anni. Ma è già permanente, quindi c'è qualcosa per cui combattere. Buona fortuna con questo evento!
Una settimana fa male al dente! Poi è passato. Poi sono andato dal dentista, gli ho detto che il dente faceva male per una settimana. Bussò e disse che se fosse malato, vieni. E ha detto: forse è scivolato attraverso ?! Descrivi il mio problema, per favore.
Benvenuti! Apparentemente, il dentista per qualche motivo non può o non vuole condurre una diagnosi tempestiva di un dente problematico e suggerisce di aspettare il tempo vicino al mare - quando il dente è dolorante, la gomma si gonfia, ecc., Cioè quando è possibile salvare il dente sarà difficile o addirittura impossibile.
Se il medico non ha gli strumenti diagnostici, gli strumenti, l'esperienza, il desiderio o il tempo necessari, spesso dicono: "Torna più tardi". Dalla descrizione dei soli sintomi, è difficile indovinare cosa sta succedendo con il tuo dente: pulpite, periodontite, esacerbazione della periodontite in un dente già trattato nei canali (canale) o qualcos'altro. Una radiografia (o su un visiografo) dei denti sospetti potrebbe chiarire qualcosa.
Cerca un dente causale da un normale dentista e trattalo presto. Sembra che tu conosca la localizzazione approssimativa di un dente malato: devi scattare foto di quest'area e vedere cosa c'è che non va.
Ciao, una settimana fa, un nervo è stato rimosso dal dente anteriore. È stata curata in una clinica privata. Il controllo ha indicato che hanno fatto il riempimento di 1 canale con condensa laterale e hanno messo un sigillo leggero. Vorrei sapere se il dente collasserà rapidamente ed è possibile in qualche modo ritardarlo?
Benvenuti! Se il medico ha fatto tutto come previsto e il dente ha pareti di supporto sufficientemente forti, quindi senza una linguetta (corona), basata solo su un trattamento terapeutico, può durare per più di 10-15 anni. Ogni 1-2 anni il sigillo deve essere ispezionato, apportare correzioni, controllare lo stato della radice nella foto. Ogni medico ha il suo punto di vista sugli esami di controllo. Qualcuno ritiene che non siano affatto necessari. Personalmente, sono dell'opinione che sia meglio effettuare la prima ispezione di controllo del sigillo in sei mesi, la seconda in 2 anni e la terza in 4-5 anni. Anche se, ripeto, ogni medico ha la sua opinione su quanto attentamente e spesso è necessario monitorare il trattamento.
Benvenuti! L'ultimo molare (7) si staccò molto fortemente dopo che un riempimento era caduto da esso. Il medico ha detto che alla fine è necessario rimuovere il nervo, pulire i canali e mettere un sigillo permanente. Al momento, ha deposto la medicina per 10 giorni e ha messo un sigillo temporaneo. Il dente non ha fatto male (e quando si è rotto, sia prima che dopo - solo un po 'dolorante il primo giorno, ma per nulla critico). Il secondo giorno, una leggera irritazione è apparsa sulla gomma, perché il ripieno la tocca (il dente si è rotto sotto la gomma stessa) e la lingua. Non fa male, ma sgranocchia notevolmente. L'irritazione non diventa più forte, ma la domanda è se questo è normale?
Benvenuti! Non del tutto normale. È meglio regolare la medicazione temporanea che giace sulla gomma o trattare immediatamente i canali se è impossibile eseguire la correzione. Ciò è dovuto al fatto che la pasta non arsenica irrita la mucosa e può persino creare un'ustione. E 10 giorni non sono un'esigenza fondamentale. Questa pasta, secondo le istruzioni, viene messa da tre o più giorni. Cioè, non è necessario bollire un dente nel suo stesso succo.
Ciao, ho 13 anni, perché mi hanno messo l'arsenico, ma il nervo non è morto? In clinica, hanno rimosso il vecchio arsenico, hanno guardato, ma il mio nervo non è morto. Dissero che era necessario di nuovo arsenico. Imposto un nuovo arsenico. Ma mi fa male, ma sopportabile. Se il nervo non muore, cosa mi farà il dentista? Per favore dimmelo.
Benvenuti! Il fatto è che a una certa età del paziente (fino a circa 18 anni) l'anestesia è difficile per alcuni medici, ma ciò è dovuto solo alla mancanza di professionalità e condizioni di lavoro, specialmente nei policlinici, dove molte persone devono essere servite in breve tempo (quasi non tre in un'ora). Cioè, in termini di anestesia e di un metodo di routine per mantenere un dente di pulpite, la clinica spesso non fornisce un servizio di alta qualità.
Spesso nelle cliniche si osserva il seguente schema classico: arsenico, ancora arsenico, trattamento del canale doloroso, medicina (antisettico), un altro medicinale, riempimento del canale, quindi riempimento, di nuovo il ritorno del dolore, ritrattamento con farmaci e spesso estrazione dei denti se le procedure sopra descritte sono inefficaci. Certo, ci sono molti medici negli ospedali e nei policlinici che danno qualità nonostante la gravità del lavoro in questo sistema, ma, a mio avviso, il tuo caso non rientra in questa categoria.
Questo è il motivo per cui posso dire che se "il nervo non muore", il medico farà il lavoro di alta qualità come gli dai. Se ti fa troppo male e interferisci con il medico, allora farà come risulta, e quindi vedi lo schema sopra.
Pertanto, raccomando di cambiare il medico per aumentare il livello di trattamento. Penso che il medico che ti ripete ripetutamente questo "arsenico" ti sarà ancora grato, dal momento che ovviamente non può far fronte ai requisiti delle moderne tecniche di trattamento in odontoiatria.
Ciao E qui ho un tale problema. Il dente da masticare inferiore a destra (il secondo dalla fine) si ammalò. Aveva un sigillo. Sostituito. Ancora malato È venuta di nuovo, hanno rimosso 3 nervi, qualcosa è stato coperto e ha detto di essere come per diversi giorni.
Oggi qualcosa è stato raccolto e sigillato. Ma ora, alla sera, si ammalò abbastanza. Va bene? Dopo tutto, non ci sono più nervi ... Perché può ammalarsi? E se questa è la norma, dopo che periodo dovrebbe smettere di ferire? Temo che qualcosa avrebbe potuto fare di sbagliato. Quando e in che caso suonare l'allarme?
Benvenuti! Nei primi giorni dopo il trattamento del canale, potrebbe esserci il cosiddetto dolore post-riempimento. Anche questo è considerato un sintomo di una complicazione, ma la sua gravità è determinata almeno analizzando l'immagine. Spesso non è necessario ritrattare il dente, poiché gli errori minori del medico si interrompono nel tempo e i sintomi scompaiono in media in 7-12 giorni.
Tuttavia, a volte il medico commette errori significativi durante il trattamento:
1. Troppo materiale aggressivo porta all'apice della radice o delle radici del dente;
2. Lascia un frammento di strumento nel canale;
3. Esegue la perforazione della parete del dente;
4. Non va alla fine del canale o dei canali, ecc.
Tutto questo può essere visto nella foto. In tali casi, il medico deve ripetere il suo lavoro. Altrimenti, la prospettiva di aspettare problemi da nuove esacerbazioni sotto forma di dolore, gonfiore, temperatura (con il rischio di estrazione dei denti nel prossimo futuro).Quindi se il dolore aumenterà o non passerà per molto tempo, allora vale la pena allarmare, dal momento che non sappiamo quanto bene sia stato svolto il lavoro nei canali.
Ciao, oggi sono andato dal dentista per curare un dente “da masticare” - ha tirato fuori i resti di cibo da lì e ha messo un ripieno temporaneo. Non mi ha detto nulla, tranne che per venire tra una settimana e basta! Avrò un nervo rimosso dal mio dente? Per favore dimmelo! Molto spaventoso (
Benvenuti! A giudicare dalla tua descrizione, probabilmente stiamo parlando di una diagnosi in due fasi della carie profonda. Quando il medico dubita che il paziente abbia carie o pulpite, può riempire temporaneamente e attendere un po '. Se vieni secondo il piano o prima e dici che un dente chiuso con un ripieno temporaneo è molto doloroso, allora questa è pulpite: i canali vengono trattati secondo questo protocollo. Se non ci sono sintomi, il medico tratterà regolarmente la carie profonda.
Hai paura di rimuovere il "nervo" dal dente e avrei paura di una diagnosi errata, dal momento che un tale controllo non è privo di errori. Molto più promettente, più veloce e più preciso: questo è EDI (elettrodontodiagnosi) che utilizza il dispositivo.
Tutto, ovviamente, va bene con gli antidolorifici, ma cosa succede se sono allergici (testati per 12 principali)? E anche una singola analisi ha mostrato che "tutto va bene": hanno iniettato e pompato per 4 ore. Non c'erano dubbi sul trattamento. Il dottore mise "arsenico", senza la garanzia che non avrebbe fatto male. Ho una soglia di sensibilità bassa. Domani dal dentista, in ospedale non ci sono farmaci moderni, e cosa fare? Quanto vecchio stile - 100 grammi e un martello ?!
Benvenuti! Se stiamo davvero parlando di allergie e sei intollerante ai farmaci con lidocaina e articaina, la situazione è difficile. Tuttavia, rimangono delle domande: quali anestetici non sono ancora stati testati? Perché dici che hai testato su 12 quelli essenziali e poi hai parlato di moderni anestetici in ospedale, sperando nel loro uso?
Sul fatto che devi andare dal dentista sotto l '"autista" - sicuramente non è necessario farlo.
In epoca sovietica, c'erano protocolli per la gestione della pulpite senza anestesia, inoltre, era abbastanza ragionevole e spesso con un dolore minimo. Questo è stato fatto come segue. Quasi sempre con pulpite, abbiamo un dente cariato dalla carie, c'è una cavità cariata con dentina ammorbidita. Di conseguenza, i millimetri o anche le frazioni di un millimetro rimangono prima della polpa. Il lavoro del medico viene svolto con il raffreddamento aria-acqua. Cioè, viene esposta molta acqua, il che consente l'uso del boro nuovo di zecca per accedere con precisione alla polpa, dove la pasta a base di paraformaldeide (non arsenico) viene posta per 3-5 giorni. Nella seconda visita, i canali di solito sono già trattati indolore.
In presenza di dolore, i moderni approcci al trattamento della pulpite suggeriscono che l'anestesia viene eseguita per via intracanale (intrapuloparialmente), ma con attenzione in modo da escludere un'ulteriore "fuoriuscita" di anestesia. Con la dovuta destrezza del medico, entro 1-2 secondi c'è una sensazione di pienezza in ciascun canale, dopo di che è possibile effettuare un trattamento meccanico e farmacologico dei canali per un'ora o più, affusolarli e riempirli - non appariranno sensazioni. Il significato dell'anestesia intra-polpa nel tuo caso è che la dose di anestetico è minima (trascurabile) e praticamente non va oltre il canale, il che significa che il rischio di allergie è ridotto quasi a zero. Ciò rende possibile l'utilizzo di questo metodo per svolgere il lavoro in modo efficiente e con il minimo dolore.
Ciao, ieri sono stato trattato con un dente, sette in cima. Hanno rimosso i nervi, sigillato i canali e messo un sigillo temporaneo. Hanno detto di venire lunedì, faranno permanenti.Ma il fatto è che il dente stesso non fa male, ma è molto doloroso quando viene morso, quando mangio e quando viene a contatto con il dente inferiore (quando ho mangiato, ho gridato dal dolore). Cosa potrebbe essere?
Benvenuti! Apparentemente, nel tuo caso stiamo parlando di dolori post-riempimento, che a volte vengono osservati dopo il trattamento dei canali dei denti. Le cause possono essere vari errori e imprecisioni durante il trattamento dei canali: da grossolani a insignificanti. Ad esempio, perforazione della radice o del fondo della corona dentale, rimozione del materiale di riempimento oltre l'apice, lasciando lo strumento nel canale senza un'adeguata correzione della situazione, il passaggio del canale o parte di esso (o, in generale, non è stato trovato un canale), ustioni parodontali durante un trattamento farmacologico ruvido dei canali sotto significativo pressione, ecc.
In un certo numero di casi, ci sono diverse cause di dolore quando si morde un dente, ma per capire la gravità della situazione, è importante analizzare l'immagine del dente prima, durante e dopo il riempimento. L'ultima versione delle immagini dei denti con canali già sigillati dovrebbe essere realizzata in diverse proiezioni (questo è desiderabile). Cioè, le immagini (ad esempio, su una visiografia) sono prese da diverse angolazioni in modo da non perdere gli errori del medico, che indicheranno la causa del dolore.
Se si scopre che tutti i canali sono stati trovati e sigillati perfettamente, non ci sono detriti, perforazioni e altri gravi problemi in essi, allora possiamo tranquillamente aspettarci che entro 4-7 giorni il dolore scompaia con la prospettiva di preservare il dente per molti anni. Nel caso in cui il materiale venga rimosso all'apice della radice, il dolore spesso persiste fino a 2-3 settimane e anche diversi mesi. A volte la sensazione di disagio dura per anni e alcuni pazienti non riescono a sopportarla e richiedono che un dente con un grande "conglomerato" venga rimosso dietro l'apice (nei casi clinici più difficili).
Quando non c'è molto materiale fuori dalla radice, il più delle volte il dolore scompare entro 1-2 settimane e il dente non si fa più sentire, sebbene questa situazione sia considerata da alcuni esperti come una complicazione dopo il trattamento.
Perforazione della parete dentale, frattura dello strumento, rimozione del materiale di riempimento nel seno mascellare, canale mandibolare, in grandi quantità per apice, canale o canali non passati, ecc. - tutto ciò richiederà un ritrattamento e, in casi gravi, l'estrazione del dente o altri interventi chirurgici. Quindi, per capire quale tipo di problema hai, sono necessarie delle istantanee.
La prima volta è stata dal dentista. Trasformato in una clinica privata a pagamento. Dopo l'iniezione, il nervo è stato rimosso, è stato molto doloroso. Quindi hanno messo un sigillo temporaneo. Alla seconda visita, hanno anche pulito i canali dopo l'iniezione, è stato di nuovo doloroso, ma la cosa più dolorosa è stata quando il sigillo è stato spinto fuori nei canali, dolore infernale! E poi per qualche ragione hanno messo un sigillo temporaneo in cima, e prima ancora hanno annaffiato con un qualche tipo di medicina. Ora, a quanto pare, non fa male, ma la terza volta ho molta paura di andare.
Forse ha senso in un'altra clinica fare una foto e consultare?
Benvenuti! Se c'è stata la pulite e si tratta davvero di rimuovere il "nervo", non capisco perché non sei affetto da anestesia e perché il dente viene trattato in un numero così elevato di visite. Sono quasi sicuro da questi due segni (ripeto, se la diagnosi è la polpite) che il medico non può far fronte a una situazione difficile e cerca di fermarla, per quanto possibile, per salvare il dente.
Proprio in questo senso, ha senso consultare un altro studio.
Ciao Sono venuto dal dentista nel policlinico di stato perché sono comparsi due piccoli fori sul riempimento del penultimo dente a destra e il riempimento stesso ha iniziato a collassare (perché è vecchio). Il dente non dava fastidio, faceva male a volte. Il dentista aprì il sigillo senza raggi X e cominciò a raccoglierlo lì.È diventato molto doloroso e ha fatto l'anestesia. Successivamente, prese qualcos'altro e mise, come diceva, l'arsenico. Ho nominato il prossimo appuntamento tra cinque giorni per rimuoverlo.
Per tutti e cinque i giorni il dente faceva male e faceva male, il dolore si intensificava ogni giorno e di notte era semplicemente insopportabile. In uno stato di calma, faceva male e sussultava e, quando si mordeva, appariva un dolore acuto. Oggi l'arsenico è stato rimosso, anche se il dentista ha semplicemente aperto i canali, in altri luoghi questa assurdità bianca è rimasta. Alla mia proposta di fare una radiografia, ha rifiutato, dicendo che non era necessario. Mi disse di venire una settimana dopo per riempire e di chiudere il buco con un batuffolo di cotone durante i pasti. Sciacquare la bocca cinque o sei volte al giorno con una soluzione di soda, sale e iodio. È possibile camminare con così tanti nervi aperti per così tanto tempo? Non è pericoloso dare a un medico un lavoro cieco come questo? Dente, a proposito, non è diventato più facile. Fa male, anche alle lacrime. Non riesco proprio a sopportare la settimana. Penso già di andare da un altro specialista.
Benvenuti! Pensi nella giusta direzione: il medico pratica un metodo di trattamento di routine per ovvie ragioni (il policlinico di stato). Si sconsiglia di camminare con canali aperti nel dente. Il fatto che il trattamento sia attualmente inefficace è del tutto naturale: le tattiche di lavorare con la pulpite sono errate, la pasta di arsenico non viene messa per niente oggi a causa del suo effetto dannoso sul parodonto e in linea di principio non è possibile utilizzarla per 5 giorni. I risciacqui nominati sono la terapia sintomatica. Viene effettuato a volte quando il medico ha effettuato un trattamento adeguato nei canali, ma ora questo non è visibile.
Consiglio di cambiare il medico (ed è del tutto possibile che questo sarà un grande sollievo per il tuo attuale medico).
Era dal dentista, ha curato i primi sei. Hanno iniziato a pulire la carie stessa, quindi hanno messo l'arsenico, rilasciato per 4 giorni. Poi è venuto, di nuovo hanno iniziato a perforare - apparentemente, alla prima visita, la carie non è stata completamente rimossa. Quindi - hanno iniziato a rimuovere il nervo, senza un'iniezione, i tentativi di agganciare il nervo stesso erano tolleranti, ma quando il nervo è stato agganciato, è diventato così doloroso, oscurato negli occhi, gettato nel calore, la pressione è diminuita. Non hanno iniziato a riempirsi, citando l'odore di pus, hanno detto di sciacquare con soda, bere pillole antibatteriche e venire martedì per mettere la medicina direttamente dal pus stesso (così). Metteranno la medicina indolore? O ci saranno di nuovo dolori selvaggi quando si tenta di pulire stupidamente o verificare la presenza di pus con un ago alla base del dente? Il nervo che era stato rimosso era l'unico? Da adesso il dente non risponde al cibo freddo e caldo, all'assorbimento. E cosa dovrebbe succedere dopo l'installazione del farmaco?
Ho 16 anni, mi sto curando i denti direttamente all'ospedale municipale. Per quanto riguarda l'anestesia: alla prima visita ha preso l'ultracaina, il dentista ha fatto un'iniezione su un lato del dente, cioè dal lato della guancia. Ho sentito che è meglio tagliare il dente su entrambi i lati, per una maggiore azione.
D'altra parte è anche necessario rimuovere il dente, i sei superiori, ma lì il medico stesso vende anestetici. Gli amici hanno detto che il dente era completamente insensibile e non c'era dolore o disagio quando il dente è stato rimosso, solo un leggero scricchiolio. Spero che sarà lo stesso nel mio caso.
Volevi anche sapere in quali casi è prescritta la rimozione del nervo stesso? Solo con pulpite, come ho capito, basato su recensioni. Come determinare autonomamente la pulpite da fattori esterni? Grazie
Benvenuti! Ci sono molte domande, inizierò in ordine. In primo luogo, hai stranamente mescolato in un mucchio le sfumature del trattamento della pulpite e della parodontite. Con la pulpite, non può esserci pus nei canali (ad eccezione dell'odontoiatria pediatrica in rari casi) e con la parodontite non mettono "arsenico" e paste simili per uccidere il "nervo", poiché è già morto in tutti i canali (nel sesto superiore i denti hanno spesso 4 canali, un po 'meno spesso - tre).
Per quanto riguarda la diagnosi nella tua descrizione, non posso dare una risposta definitiva: descrivi il dolore durante la rimozione del "nervo" dal canale e poi parli dell '"odore di pus". Questo è strano. Non escludo che tu abbia avuto la polipite cancrenosa, dove la polpa si è decomposta solo nella parte coronale, ed è rimasta viva nei canali.
Il fatto che la pasta per la devitalizzazione non abbia funzionato adeguatamente non mitiga la colpa di un medico che non può condurre l'anestesia normale. Viene fatto più spesso per il sesto dente superiore non solo dal buccale (infiltrazione), ma anche dal lato palatino (conduttore palatale). Pertanto, con l'aiuto della preparazione di articaina, si ottiene l'anestesia completa.
Dalla tua descrizione, non capisco quale sia la differenza tra quando il medico esegue l'anestesia con Ultracain e l'opzione per rimuovere il dente con un anestetico che il medico vende.
La rimozione del "nervo" è una delle fasi del trattamento della pulpite e con la parodontite, come ho già notato, il "nervo", come tale, quasi sempre non esiste. In casi estremi, è un pezzo di carne necrotico che ha già iniziato a decomporsi.
A giudicare dalla tua descrizione, consiglio vivamente di cambiare il medico.
Buon pomeriggio Recentemente, hanno messo la medicina sul mio sesto dente dal basso (per uccidere un nervo) e domenica prossima devono rimuovere il "nervo". Ma il fatto è che l'anestesia praticamente non mi influenza: hanno provato un conduttore che, come ha detto il medico, dovrebbe privare completamente la sensibilità. Di conseguenza, c'era solo un leggero intorpidimento. Successivamente, furono fatte molte altre iniezioni, e una di esse fu persino dolorosa dopo l'anestesia precedente e fu fatta, per così dire, all'interno del dente. Solo dopo la terza iniezione del genere non ha fatto male nella misura in cui non sono saltato fuori dalla sedia (ho una soglia del dolore molto bassa). Dimmi, quanto sarà doloroso rimuovere il nervo e c'è un modo per anestetizzare completamente il dente? Perché l'ultima volta non hanno ottenuto il completo sollievo dal dolore, e la procedura imminente, per quanto ho capito, è ancora più dolorosa.
Benvenuti! Penso che il dentista abbia una discordia per il dentista: è possibile ottenere l'anestesia persistente di qualsiasi dente con numerosi metodi, che vanno dall'infiltrazione e l'anestesia di conduzione a quella intraligamentaria e intra-polpa (nella seconda fase del trattamento, come opzione). Se il medico non può anestetizzare, questo indica più spesso l'incompetenza del medico, molto meno spesso - l'impossibilità di alleviare il dolore specificamente per questo paziente. Inoltre, ogni dentista ha il suo bagaglio di conoscenze nel campo dell'anestesia, e spesso non è sufficiente per le persone con un "difetto di dolore basso". Tuttavia, conosco molti casi in cui l'anestesia intraligamentale ha aiutato nei tentativi apparentemente senza speranza di anestetizzare bene un dente.
È strano che ti sia stata somministrata l'anestesia all'interno del dente e allo stesso tempo abbiano messo una pasta per la devitalizzazione del "nervo". Secondo la tua descrizione, ci sono dubbi sulla competenza del dentista. Consiglio di non torturare te stesso o il medico, ma prova a contattare un altro specialista. Di norma, un buon medico è il più adatto (è necessario chiedere agli amici), lavorando in una struttura privata per più di 10 anni, ma meno di 30 anni. È utile tenere presente che una volta che la "vecchia guardia" dei dentisti praticava un trattamento dal vivo, esiste il pericolo che le abilità nel lavorare con anestetici non siano state migliorate.
Ciao, ho sempre avuto un problema con i denti. E ora, andare dal dentista minaccia di occupare l'ufficio di questo mese per due. Il fatto è che sono molto preoccupato per il processo incomprensibile, che tocco con la mia lingua. Il dente superiore (probabilmente il settimo) è mezzo distrutto (e all'interno), è rimasto solo un pezzo di corona davanti, ma abbastanza grande, non riesco a vedere che tipo di strano processo ci sia.Se provi a schiacciarlo o spostarlo, allora il dolore crescente, molto forte, inizia immediatamente a diffondersi, emette immediatamente sia i denti inferiori che la parte superiore (sul lato destro). Non può essere un nervo? È dentro il dente. Ma cosa non riesco a immaginare.
Benvenuti! A giudicare dalla descrizione, hai solo una radice (radici) del dente da masticare superiore rimasto. Il "processo" descritto può essere:
1. La gomma, che disegna in uno spazio vuoto, che copre la radice;
2. Granulazioni che sono spuntate attraverso la carie distrutta dalla carie. La granulazione è una conseguenza dell'infiammazione nelle radici;
3. Ipertrofia della polpa (estremamente rara). È più comune nell'infanzia, quando il tessuto del "nervo" germoglia dalla corona del dente distrutto e occupa spazio libero.
Ti consiglio di consultare urgentemente un dentista: molto probabilmente, dovrai rimuovere le radici del dente, ma non sai mai cosa - improvvisamente c'è ancora una possibilità di salvare il dente (eseguire un trattamento nei canali e ripristinare la sua corona per ripristinare la funzione di perdita del dente).
Ciao Oggi hanno rimosso un nervo nel mio dente inferiore (lato destro, penultimo dente). L'anestesia non ha funzionato. Ma la cosa peggiore è che andrò. Il medico ha detto che è necessario mettere la corona, poiché il dente è danneggiato di oltre il 60%. Per prima cosa devi misurare la dimensione, quindi verrà impostata. Per favore, dimmi, non ti farà male mettere questa corona?
Benvenuti! Il fatto che l'anestesia non abbia funzionato è più vicino alla colpa del 100% del dentista. Per quanto riguarda il montaggio e il fissaggio delle corone: molto spesso questa procedura non richiede l'anestesia, in rari casi, l'applicazione dell'anestesia è sufficiente per ottenere l'anestesia delle gengive regionali per un breve periodo. Quindi le tue preoccupazioni per le protesi coronali sono vane, ma consiglio per il futuro per la terapia di canale (in particolare i molari inferiori) di trovare un dentista esperto dal punto di vista del lavoro con gli anestetici.
Benvenuti! Ho 17 anni. Ha subito un esame medico per l'ammissione in un'università medica in una clinica distrettuale. Hanno detto che su 47 denti c'è carie superficiale che deve essere trattata. Abbiamo controllato tutte le altre otturazioni che sono state collocate nella stessa clinica per 2-4 anni - tutto è normale.
Il 25, un dente è caduto in basso a destra. Lo ammetto, ho peccato a 47 anni, ma ho capito intellettualmente che dalla carie leggera non posso essere così malato. Il dolore, tra l'altro, non era molto acuto. Piuttosto, stava tirando e dolorando, ma dopo un po 'di tempo è passato e poi di nuovo il dente ha iniziato a fare male. Il giorno dopo sono andato in clinica dal dottore. Sono stati immediatamente esclusi 47 denti, ma 46 hanno interessato i medici, dal 2014 è stato sigillato (profondità 1-1,5 mm). Hanno fatto una radiografia: in linea di principio, tutto è in ordine, ma un posto era interessante per i medici, quindi hanno deciso di rimuovere il sigillo. Se ne sono andati, hanno guardato: tutto è a posto, il fondo è pulito. Ne hanno fissato uno temporaneo e mi hanno detto di venire il 31 per vedere cosa e come (non ha funzionato prima - è partito prima di domenica). Il medico ha detto che sospetta la pulpite, ma finora non farà nulla.
Oggi sono andato alla reception. In questi giorni, il dente era ancora un po 'tirando, tirando, ma non c'era dolore diretto che ci fosse almeno una salita sul muro. È riuscita anche senza antidolorifici. Il medico confermò la diagnosi e disse che avrebbe rimosso il nervo. Oggi ha perforato, posato l'arsenico e ha detto di venire da lui in una settimana per rimuovere e installare un sigillo temporaneo.
Potresti rispondere a quanto è grave questa procedura? Capisco che la pulite è una malattia pericolosa, ma sono le conseguenze che mi interessano. Proprio il giorno dopo ci rilasseremo in mare e mi chiedo se posso nuotare subito, o dovrò aspettare per non causare infiammazioni? Se è importante, posso tollerare bene l'anestesia, non sento dolore, anche se sto trattando i denti in odontoiatria regionale.Mi fido anche dei dottori: in primavera mi hanno semplicemente salvato dalla pericoronite, e prima ancora mi hanno curato per la carie profonda e hanno persino preservato il mio coraggio.
Grazie in anticipo)
Benvenuti! È fantastico che tu abbia un atteggiamento positivo nei confronti del trattamento. La pulite non è direttamente una malattia pericolosa, ma se viene ignorata, si trasforma in malattie associate a processi purulenti nel tessuto osseo, che rappresentano davvero una minaccia per la salute e persino la vita. Penso che sia consigliabile trattare i canali e riempire il dente prima della tua vacanza al mare. È indesiderabile andare con la pasta installata per la devitalizzazione, poiché il "nervo" sotto questa pasta può iniziare a decomporsi (specialmente se il resto è ritardato per motivi indipendenti dalla volontà), che, a sua volta, può portare a conseguenze indesiderabili.
Benvenuti! La domanda è questa C'è carie sull'incisivo centrale della mascella superiore, un piccolo pezzo di smalto si è rotto dalla parte posteriore, non c'è dolore e nemmeno il dente si è infastidito prima. Il medico ha detto che a causa della carie estesa durante il processo di pulizia, la camera della polpa si aprirà e dovrai rimuovere il nervo. Puoi rimuovere il nervo in una sola volta (perché c'è solo un canale in questo dente), cioè rimuovere la carie, rimuovere il nervo, pulire il canale, espandere, sigillare il canale con spille di guttaperca e il dente stesso è già un riempimento permanente. Ciò che mi confonde è che si prevede che il sigillo venga installato immediatamente costante, immediatamente dopo aver riempito il canale, mentre allo stesso tempo non esiste una diagnostica radiografica. ie prima di tutte le manipolazioni + per controllare la lunghezza del canale (usando i file K, ma non so anche se il medico ha un localizzatore d'apice) + dopo aver riempito i canali con guttaperca, una radiografia non viene eseguita. Ma il sigillo è già immediatamente riparato. Ho sentito che gli errori durante il trattamento del canale sono molto comuni - riempimento eccessivo, insufficiente, che porta a gravi complicazioni. E quindi immediatamente permanente, e in effetti, rimozione del nervo, trattamento dei canali senza alcun controllo radiografico.
Vale la pena fare tutto questo senza controllo a raggi X o vale la pena cercare una clinica in cui tale controllo viene effettuato? È obbligatorio nel trattamento di un dente a canale singolo?
Benvenuti! Hai ragione: secondo il protocollo del trattamento endodontico di un dente, una radiografia viene eseguita sia in fase di diagnosi che dopo il riempimento. Questi requisiti, infatti, sono obbligatori, ma le realtà moderne sono tali che in un certo numero di cliniche (spesso budget) non è possibile condurre questo tipo di diagnosi. Inoltre, per molti aspetti, il trattamento di un canale degli incisivi centrali superiori di solito non causa difficoltà e in quasi il 95% dei casi tutto ha successo, quindi il fatto di monitorare in questi casi è qualcosa di simile a una formalità, un requisito di protocollo. Questo è dal punto di vista dell'opzione di trattamento classico, quando il medico, con una vasta esperienza e un buon livello di conoscenza, non affronta situazioni di forza maggiore in endodonzia. Altrimenti, è necessaria una radiografia anche a uno stadio intermedio (con strumenti introdotti nel canale per determinare la curvatura del canale, la profondità di passaggio, la presenza di una direzione "falsa", ecc.).
In conclusione: anche se gli errori nel trattamento degli incisivi superiori centrali sono rari, se hai dei dubbi sulla competenza di un medico, ti consiglio di fare comunque un tiro di controllo.
Ho la polpite sul mio 26 dente, il medico sta già cambiando il 3o riempimento temporaneo. Oggi ha tirato fuori un nervo senza anestesia, è stato doloroso, ha detto che era un canale stretto ed era necessario espanderlo a lungo. Mi ha scritto il giorno successivo. Ho chiesto, forse è meglio con un'iniezione, dal momento che fa male, a cui lei ha risposto che il dolore passerà non appena il nervo viene estratto, e non è necessario. Forse meglio con l'anestesia? Dimmi
Benvenuti! Il medico pratica metodi di trattamento dubbi: è più consigliabile eseguire un trattamento con anestesia di alta qualità in una sola visita.Cioè, la rimozione del "nervo" nella prima visita viene effettuata senza la posa di alcun preparato nel dente. Il fatto che il medico non usi l'anestesia anche se ne hai il desiderio è, in generale, strano - è, almeno, disumano rispetto al paziente.
Ti consiglio di trovare un altro dentista.
Dopo l'arsenico, il dente infiammato, cosa devo fare?
Benvenuti! Se si tratta davvero dell'uso della pasta di arsenico, potrebbe essere necessario eseguire un trattamento antinfiammatorio, poiché in futuro c'è il rischio di sviluppare parodontite da arsenico, che è irto di complicazioni - fino alla perdita di un dente anche con un'elaborazione apparentemente di alta qualità dei canali.
Per il futuro, ti consiglio di non andare dai dentisti che praticano l'uso dello strato di arsenico per devitalizzare il "nervo" del dente (numerosi studi hanno dimostrato il danno derivante dall'uso di tali paste e oggi usano preparazioni devitalizzanti alternative che non contengono arsenico).
Ciao, Svyatoslav Gennadievich. Tooth, top 6. Ho iniziato a ammalarmi, sono andata dal dottore, ha guardato, ha fatto le radiografie e alla fine ha messo una specie di medicina. Quale, non ha detto, e in qualche modo non ero interessato. Non ho perforato nulla. Ha detto che c'è già un buco. Inoltre, ho registrato il giorno dopo a venire.
Cosa mi faranno? I nervi verranno rimossi? Mi farà male? Faccio il fondo sei da molto tempo ... Mi sono tolto i nervi, pulito i canali, il dolore era terribile. Ho paura adesso. Per favore, rispondi. Domani alla reception all'una del pomeriggio.
Benvenuti! Penso che abbiano messo una pasta per devitalizzare al fine di ritardare il trattamento dei canali del sesto dente superiore. Con un alto grado di probabilità, il "nervo" era già aperto. Per mancanza di tempo o per altri motivi, il medico ha messo una pasta da trattare per la visita successiva.
Per quanto riguarda il dolore quando si rimuove il "nervo": rispetto al dente inferiore, i denti superiori vengono anestetizzati molte volte meglio anche con un livello medio di abilità dal dentista. Ma in determinate condizioni, non è possibile "congelare" i primi sei in misura sufficiente. Spero che il tuo dentista faccia fronte a questo compito e non ti faccia soffrire. Buona fortuna
Avevo un dente perfettamente sano, senza carie, ma il dottore decise di depolarlo per mettere una corona. La corona non è ancora stata posizionata, dovrebbe andare in due giorni, ma il dente ha iniziato a ferire quando toccato. Non so cosa fare ... Il dottore ha preso i soldi, ha detto che lo avrebbe fatto più a buon mercato. Dove e con chi contattare, non capisco. Mi sono affrettato con il dottore.
Benvenuti! Penso che il medico non ti abbia informato di possibili dolori post-riempitivi (sono osservati molto spesso). Gli errori tecnici commessi durante il trattamento del dente endodontico non sono esclusi. In ogni caso, mentre non dovresti incolpare il medico, devi fare una foto e ottenere consigli in un'altra clinica. È possibile che in effetti tutto sia in ordine, e devi solo aspettare un po 'di tempo - molto spesso il dolore scompare 4-7 giorni dopo il trattamento dei canali.
La dentizione per alcuni tipi di corone (ad esempio per i cermet) è spesso consigliabile a causa della grande lavorazione del dente sotto la corona. Quindi non affrettarti alle conclusioni e ancora una volta effettuare una diagnosi del dente per possibili errori medici, e da questo punto di vista sarà già possibile parlare dei piani futuri per il dente.
Svyatoslav Gennadevich, leggi tutte le risposte ai commenti. Grazie mille umano per il lavoro svolto e il tempo trascorso! Grazie per non lasciarci incustoditi! Mi inchino a te.
Io supporto! ))
Buongiorno, Svyatoslav Gennadievich. Dimmi, ho letto dappertutto su tali sintomi di pulpite come attacchi di dolore spontanei (di solito scrivono di attacchi lunghi, 5-10 minuti o più), o di dolore dolorante (costante o intermittente, incluso dolore lancinante), un aumento della reazione alla temperatura (se il nervo è ancora ha iniziato a infiammarsi). E cosa possono significare i colpi a breve termine nel dente (sono molto brevi, letteralmente frazioni di secondo). Sorgi spontaneamente. A volte raro: 2-3 volte al giorno (anche se più forte), a volte più spesso, ad esempio ogni 15-20 minuti, ma già più debole (a volte quasi invisibile se il giorno). Di notte, non dà molto fastidio, piuttosto la sera. C'è carie sul dente, ma sicuramente non è profonda (anche nella foto non sono visibili cavità nascoste). Tali sparatorie vanno avanti da un mese. Spara periodicamente in altri denti (incluso depulped). Un dente non risponde alla temperatura (più precisamente, reagisce come un normale dente sano). Anche quando si mangia cibo, nessun dolore. Tutti i tiri / formicolio sono eccezionalmente brevi e spontanei.
Grazie!
Benvenuti! Anche tenendo conto delle sfumature che hai descritto, i sintomi sono più simili a una complicazione della carie (pulpite piuttosto che periodontite). Se il dolore si manifesta senza sostanze irritanti e, inoltre, ha una certa regolarità, soprattutto tenendo conto del tempo serale, allora questo è più vicino al 100% di polpite. A volte l'ondulazione si verifica anche con la parodontite. Quando si mangia cibo tra le complicazioni della carie, a volte non vi è alcuna reazione al dolore. In caso di dubbio, è possibile controllare il dente sul dispositivo EDI per scoprire se la polpa è sana, infiammata e ha iniziato a morire o è già morta. Sebbene questo dispositivo non sia disponibile in tutti i dentisti.
Tuttavia, raccomando di contattare un dentista (forse anche diversi specialisti) per chiarire la situazione, determinare il problema del dente e pianificare il trattamento.
Benvenuti! Durante il trattamento della pulpite, uno dei canali non è stato completamente cancellato (c'era ancora un po 'sulla punta), ma il nervo stesso, come ho capito, era morto. Il giorno dopo il dottore tentò di nuovo di liberare il mio canale, ma l'immagine mostrava la stessa cosa. Il medico ha detto che è inutile fare qualcosa e lo strumento semplicemente non può entrare. Puoi continuare a convivere con un tale dente o contattare un altro specialista? Il dente stesso non fa male. Grazie
Ciao Catherine. Se non si pulisce e si sigilla il canale fino alla fine, in realtà il vuoto rimane nel punto in cui si trovava la polpa e i microrganismi possono iniziare a svilupparsi lì, che successivamente porta molto spesso all'infiammazione dei tessuti vicino alla radice del dente. Il canale dentale deve essere pulito e sigillato all'apice - questo è un criterio necessario per un trattamento di qualità. Un canale incompleto è una fonte di infezione e il rischio di infiammazione in questo caso è molto elevato.
Con canali complessi, il trattamento endodontico viene eseguito al meglio al microscopio; in assenza di tali apparecchiature, il medico potrebbe non essere in grado di far fronte al trattamento. Consiglio vivamente di contattare un altro specialista per il trattamento del canale, avendo precedentemente specificato se la clinica ha l'opportunità di effettuare il trattamento al microscopio.
Il dente mi faceva male per molto tempo dopo aver rimosso il nervo. O è stato chiuso con un sigillo temporaneo o aperto perché stava iniziando a fare male. E hanno fatto una foto e hanno detto che tutto andava bene. Oggi sono andato di nuovo da loro: hanno scattato una foto, pulito i canali in cui è stato trovato il nervo che non è stato completamente rimosso. Antibiotici e antistaminici prescritti, poiché le gengive sono un po 'gonfie. Uno dei canali sanguina un po '. Hanno detto che se questo non aiuta, allora dovrai rimuovere il dente ((Come essere in questa situazione?
Benvenuti! Dopo la completa rimozione del "nervo" nel canale dentale, mettere il medicinale per un periodo da 2 a 3 settimane. Di norma, il dolore passa durante questo periodo e i canali si riempiono. Il fatto che il canale sanguinasse va bene, succede. Senza fotografie e ispezioni in questa situazione, non c'è alcuna possibilità di rassicurare, ma se il "nervo" è stato completamente rimosso, allora tutto dovrebbe andare bene.
Se il dolore appare di nuovo e il medico dice che inizialmente c'era una grande infiammazione e che il dente deve essere rimosso, allora in questo caso ha senso rivolgersi a 1-2 specialisti in più per capire il quadro completo.
Cominciò a rispondere al dente del giudizio inferiore freddo e caldo. Sono stato messo la medicina per 10 giorni sotto un sigillo temporaneo. Perché non rimuovere immediatamente il nervo? E ancora una cosa: ho messo 2 corone di metallo sui miei denti inferiori (non potevano dire metallo-ceramica - grandi otturazioni, non reggono). Consegnato a febbraio, durante la masticazione, una grande quantità di cibo cade in tre spazi tra i denti. Il dottore disse: non fatevi prendere dal panico, si siederanno. E ora è maggio, ma nulla si è accovacciato. Non panico, ma terribile disagio. Va bene?
Ciao Lyudmila! Alla prima visita, il dente viene aperto, la dentina interessata viene rimossa e viene applicata una medicina speciale sul nervo aperto, che mummifica il fascio neurovascolare nel dente (lo uccide) e alla successiva visita il nervo viene completamente rimosso indolore. Immediatamente, il "nervo" non viene rimosso a causa dell'elevato dolore della procedura alla prima visita (spesso il dolore non viene nemmeno arrestato dall'anestesia).
Per quanto riguarda le corone, devono soddisfare determinati requisiti, uno dei quali è il ripristino del punto di contatto (spazio interdentale). Con una corona fatta correttamente che ripristina la forma anatomica del dente, il punto di contatto viene ripristinato immediatamente e il cibo non deve rimanere bloccato tra le corone. La costante assunzione di cibo tra le corone, che porta a disagio, non può essere considerata la norma.
Scrivi che a causa di grandi otturazioni ti è stata negata l'installazione di cermet - la presenza di otturazioni di grandi dimensioni non è una controindicazione assoluta alla produzione di corone in metallo-ceramica. Di norma, vengono realizzati inserti di moncone in ghisa che rinforzano il dente e ne ripristinano la parte superiore, quindi vengono fissate le corone in metallo-ceramica.
Ti consiglio di chiedere un consulto di persona con un altro dentista ortopedico, non quello che ti ha trattato (o meglio, in un'altra clinica per ottenere un'opinione indipendente). Tollera qualche altro mese nella speranza che il disagio scompaia da solo non ne valga la pena.
Ciao Il medico ha messo un sigillo temporaneo (non ha immediatamente detto che tipo di medicina) per 5 giorni. Il terzo giorno, tutto il dolore è scomparso, ma ha detto che era troppo presto per rimuovere il nervo e che aveva messo una pasta non arsenica. Il quinto giorno apparvero spiacevoli sensazioni di dolore, anche con la pressione sul dente con la lingua. Il medico ha reinstallato un ripieno temporaneo con un'altra pasta (ha detto che puoi camminare con esso per almeno un mese) e ha ordinato di chiamare in una settimana se non ti ammali. Alla domanda "cosa succede se fa male?" ha detto che avrebbe telefonato ancora tra una settimana, non prima - presumibilmente questo nervo non è stato completamente ucciso e il dolore dovrebbe sparire completamente.
Dimmi, riempi di nuovo per un periodo del genere - è normale? Non puoi danneggiare un dente e una gomma?
Ciao Elena! Viene stabilito un riempimento temporaneo per un dente se per qualche motivo non è possibile effettuare il trattamento del dente in una sola visita. Per quanto riguarda la presenza di una pasta non arsenica nella cavità del dente (per uccidere il nervo) - tale pasta dovrebbe essere nel dente per almeno 7 giorni, a condizione che la camera della polpa sia parzialmente aperta (la cavità in cui si trova il nervo) è aperta.
Per quanto riguarda la pasta di arsenico, il tempo massimo per il suo utilizzo non è superiore a 3 giorni.
Con la corretta applicazione della pasta, il dente non dovrebbe ferire. Innanzitutto, perché la composizione del farmaco contiene componenti anestetici. In secondo luogo, la necrotizzazione del nervo contribuisce alla completa perdita di sensibilità dei denti. Il dolore è possibile se la concentrazione del farmaco è insufficiente, il farmaco viene applicato alla camera pulpare chiusa, nonché in caso di sovraesposizione del farmaco.
Considerando la situazione da te descritta, consiglierei di contattare un altro medico il prima possibile (che non considera normale per una settimana camminare con il mal di denti nella speranza che il dolore scompaia ancora e quindi possa iniziare il trattamento).
Buon pomeriggio Consigli di aiuto, per favore. Circa tre anni fa, ha curato i suoi denti in una clinica statale. Un dente fu guarito e l'altro suscitò sospetto. Hanno fatto una foto - hanno detto che era necessario rimuovere il nervo. È stata una sorpresa per me, perché quel dente non ha mai fatto male e non ha mai rimosso i nervi prima. Spaventato. In generale, ho molta paura di curarmi i denti e mi fa quasi sempre male, anche con l'anestesia.
Circa due anni fa ho raccolto il mio coraggio e sono andato in una buona clinica privata per "arrendermi", perché ha iniziato a sembrare che questo dente fosse un po 'doloroso. Lì ha parlato della diagnosi fatta in precedenza. Scattarono una foto, verificarono la sensibilità. Hanno detto che il dente è vivo e non è necessario rimuovere alcun nervo. Hanno appena guarito la carie e basta (con mia grande gioia).
Dopo circa un anno, mi è sembrato di nuovo che il dente facesse un po 'male. Ma con una visita dal dottore tirato fuori dalla paura ... Un paio di settimane fa, ho ancora deciso e sono andato per un consulto in un'altra buona clinica privata. Hanno preso un'immagine 3D e hanno confermato che il nervo doveva essere rimosso.
Queste diverse diagnosi e sintomi imprecisi mi hanno confuso. Può un dente con un nervo malato non farsi sentire per più di tre anni? Inoltre, ho molta paura di tutte queste manipolazioni. E la rimozione dei nervi è davvero necessaria? Il dente non fa male, beh, a volte sembra che stia male, ma può anche essere la mia diffidenza o la mia impressionabilità. Dente superiore)
Ciao Olga. Bene, aggiungerò al tuo "salvadanaio" le opinioni dei medici ricevute prima e le mie: a giudicare dalla tua descrizione, non è necessario rimuovere il nervo dal dente. Ti consiglierei di vedere un dentista una volta ogni pochi mesi in modo da monitorare la qualità del sigillo che ti è stato dato nel trattamento della carie. Hai sempre tempo per rimuovere un nervo da un dente che non disturba praticamente, quindi non c'è bisogno di fretta. Ma in presenza di dolori acuti intollerabili con la polpite che si è verificata o quando i dolori doloranti ti disturbano completamente, le domande e la fattibilità del trattamento endodontico scompariranno da sole.
Benvenuti! Dimmi, per favore, ne vale la pena correre per rimuovere il nervo? O puoi ancora aspettare? Dopo il trattamento, il dente (quattro) faceva male e reagiva al freddo. Una settimana dopo, il lamento si fermò. Ora fa male a masticare e reagisce al freddo. La reazione passa rapidamente dopo l'eliminazione dell'irritante. Raramente si sente leggermente da qualche parte sopra le gengive, ma non per molto e non molto. E così per più di un mese.
Un medico ha detto che puoi aspettare e guardare i sintomi. Il secondo diceva che non ha senso aspettare, è necessario rimuovere il nervo, poiché il sigillo è vicino alla polpa e c'è il rischio di formazione di cisti. Cosa fare
Ciao Tatyana. Sulla base dei sintomi che hai descritto, vorrei concordare con un medico che raccomanda una depulpazione dei denti. Cioè, rimuovere il nervo nel dente causale. Molto probabilmente, in questa fase stiamo già parlando dello sviluppo della pulpite cronica, che prima o poi porterà alla morte del nervo e all'infezione oltre il dente. In questo caso, l'infiammazione si verifica nell'osso all'apice della radice e in effetti può formarsi una cisti.Pertanto, molti medici in questi casi raccomandano di non attendere complicazioni, ma di agire in anticipo.
Tuttavia, tieni presente che in situazioni così controverse, ci sono tanti dottori quanti sono i dottori. Dopo aver ricevuto una quantità sufficiente di opinioni e informazioni su questo problema, è importante prendere una decisione informata da soli.
Dottore, dimmi cosa può essere: di recente, quando mi mordo le orecchie, sento un suono, vuoto, come se bussassero a uno vuoto. Cosa potrebbe essere? I miei due denti da masticare inferiori vengono trattati, con i nervi rimossi. Non c'è dolore, ma dà un discreto disagio, come se mangiasse ed è amplificato da un microfono.
Ciao Suraye. Con questo quadro clinico, è necessario consultare un chirurgo ortopedico e un chirurgo maxillo-facciale. Il chirurgo ortopedico dovrebbe escludere una riduzione dell'occlusione, come questo porta spesso a disfunzione dell'articolazione temporo-mandibolare (ATM). Il chirurgo, a sua volta, diagnostica e prescrive il trattamento.