
Nell'infiammazione acuta del cosiddetto "nervo" dentale (polpa) a seguito di infezione nella camera della polpa chiusa dalla cavità cariata, viene diagnosticata la forma acuta di pulpite.
A sua volta, la pulpite acuta, come una malattia, è divisa in due forme: focale e diffusa. La pulite focale è anche chiamata sierosa, poiché appare come lo stadio iniziale dell'infiammazione acuta del fascio neurovascolare all'interno del dente, che è accompagnato dall'accumulo di liquido sieroso nei canali. In realtà, questo è il risultato della risposta immunitaria del corpo all'invasione di batteri in una camera pulpare precedentemente sterile.

Man mano che la risposta immunitaria si intensifica, l'essudato purulento inizia ad accumularsi nei canali - il risultato della morte di leucociti e batteri patogeni. Di conseguenza, si sviluppa la pulite purulenta (chiamata anche pulpite acuta diffusa), che provoca una persona forte dolore.
Nella maggior parte dei casi, la camera pulpare non ha comunicazione con la cavità cariata, cioè è chiusa ermeticamente, quindi il fluido che si accumula all'interno del dente inizia letteralmente a spremere il "nervo". Ciò non solo porta alla comparsa di forti dolori, ma, inoltre, la polpite purulenta acuta si manifesta spesso con sintomi che rendono molto difficile la diagnosi e il successivo trattamento nell'ufficio del dentista.
Ci sono momenti in cui un medico semplicemente non riesce a trovare un dente cattivo e non sa quale trattare - di conseguenza, i denti sani e innocenti vengono trattati uno per uno. E, sfortunatamente, in una situazione così spiacevole, qualsiasi persona con sintomi pronunciati di pulpite purulenta ora può entrare.

Per non essere tra questi "fortunati", conosciamo il problema in modo più dettagliato e consideriamolo, per così dire, da tutti i suoi angoli ...
Perché la pulpite purulenta (diffusa) a volte è così difficile trovare un dente cattivo
Il primo e forse il più importante aspetto del problema è la difficoltà nel determinare un dente malato da un dentista. E qui il paziente può avere una domanda molto ragionevole: perché un medico che studia la sua professione da più di 5 anni non riesce a trovare un dente normale, apparentemente polpa, che è terribilmente doloroso e richiede un trattamento immediato?
Il fatto è che delle forme acute di pulpite, purulenta (diffusa) è la più imprevedibile. La maggior parte delle persone con questa diagnosi viene dal medico lamentandosi che "tutto fa male". C'è un dolore così forte che diventa difficile indicare un dente malato.
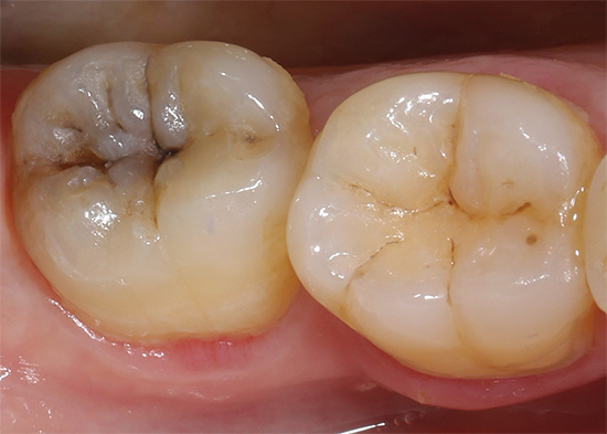
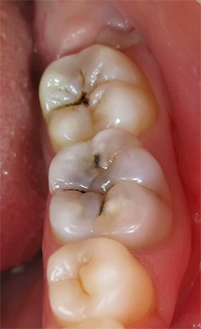
La foto sotto mostra un esempio di come appare la dentatura, in cui uno dei denti è affetto da pulpite purulenta. Tuttavia, quale? ..

Perché ci sono tali difficoltà nella diagnosi? Il fatto è che, come notato sopra, l'accumulo di essudato purulento porta a una forte compressione del tessuto polpa sensibile tra le pareti dei canali. Gli impulsi lungo le fibre nervose vengono trasmessi al cervello, rispondendo al dolore. Ad un certo punto, i segnali del tessuto spremuto del "nervo" diventano così intensi che il dolore inizia a "sparare" lungo i rami del nervo trigemino, in altre parole - in diverse aree della regione maxillofacciale (l'orecchio, la parte del viso, la testa e la gola a volte possono ferire) .

Caso dalla pratica di un dentista
Quando ho lavorato 5 anni fa a Ryazan, una paziente (37 anni) è venuta da me con un dolore acuto ai denti che la tormentava da 5 giorni, ma il giorno della visita è diventata così intollerante che non c'era più alcuna possibilità di aspettare ancora. Ho anche visto casi in cui un paziente indica un dente sano, ma tu stai trattando cavità cariata e indovina sempre, ma era completamente diverso.
La donna si lamentava di un forte dolore al dente, che "dà" alla testa. In questo caso, sia la mascella superiore che quella inferiore fanno male e il paziente indica il dente superiore a destra, anche se non ho trovato segni di almeno un dente danneggiato in quest'area. Dato che c'era un ripieno sull'ultimo dente superiore destro, ho iniziato da esso: ho rimosso il nervo dai canali e li ho riempiti nella prima visita.
La prossima volta la donna arrivò con precedenti dolori acuti. Allo stesso tempo, mi ha urgentemente richiesto di curare un dente vicino, dal momento che non tollerava un'altra "notte con i suoi cerchi infernali". Dopo il trattamento dei canali, è stato prescritto il prossimo appuntamento, ma sarebbe meglio se non venissi da lui, poiché la donna, sfinita da un forte dolore al dente, si precipitò verso di me con quasi pugni. Ho dovuto rassicurarla a lungo: non credeva più nel successo della nuova procedura imminente.
Dopo un esame dettagliato di tutti i denti nella mascella inferiore a sinistra, è stato trovato un dente del giudizio affetto da carie (ottavo). La donna ha continuato a insistere sul fatto che il dolore nella parte superiore dei denti si è intensificato ultimamente, ma mi ha permesso di anestetizzare almeno il trattamento della cavità cariata nel dente del giudizio e di mettere su di esso pasta di arsenico per devitalizzare il "nervo". Il giorno dopo mi portò un sacco di regali per il fatto che il dolore fosse completamente scomparso: né la mia testa né la mia mascella mi ricordavano me stesso.
Quindi per la prima volta mi sono imbattuto in una delle malattie dentali più difficili da diagnosticare: la pulpite acuta purulenta (diffusa). Il risultato fu il trattamento inutile di due denti innocenti.
In futuro, più di una volta ho dovuto affrontare casi simili, tuttavia, anche tenendo conto della mia esperienza precedente, i denti non sono stati sempre trovati, in piedi da qualche parte lontano dal luogo indicato dal paziente. Ci sono stati casi in cui tutti i denti della fila si sono rivelati integri e (o) con otturazioni, e ancora una volta ho dovuto trovare un dente da pulpite usando il metodo scientifico "poke", poiché nella nostra clinica potevamo solo sognare moderni metodi diagnostici e dispositivi ...

Sintomi di pulpite acuta purulenta
Confrontando la storia medica della polmonite acuta sierosa (focale) e purulenta acuta (diffusa), è possibile trovare solo una leggera somiglianza, ad esempio: in entrambi i casi, il dolore parossistico acuto che può verificarsi senza irritazione e si intensifica durante la notte. Con entrambe queste forme acute di pulpite, può causare quasi qualsiasi irritante (dolce, caldo) sintomi dolore persistente al dente, nonostante l'eliminazione dell'irritante. Tuttavia, con la polmonite sierosa acuta, le convulsioni di solito non durano a lungo (non più di 20 minuti) e con purulento: possono durare per ore.
La pulpite focale acuta dura non più di 2 giorni, passando nella fase purulenta della pulpite acuta diffusa, che dura fino a 2 settimane. Il dentista esegue facilmente la diagnosi differenziale di queste due forme di pulpite acuta sulla base di un solo sintomo: la capacità di determinare con precisione un dente malato:
- se il paziente indica facilmente un dente che lo disturba, questa è una forma sierosa di pulpite;
- se il paziente trova difficile dire esattamente dove è localizzato il dolore e si lamenta di convulsioni prolungate che si diffondono (irradiando) nella regione maxillo-facciale e nella regione della testa, allora questa è molto probabilmente una fase purulenta di pulpite.

Dai denti superiori, il dolore “spara” nella regione del tempio, nei superciliari e negli zigomi, così come nei denti della mascella inferiore. Con la polipite diffusa sulla mascella inferiore, il dolore "dà" alla parte posteriore della testa, alla parte sottomandibolare, a volte alla tempia e ai denti della mascella superiore. Con la pulpite purulenta dei denti anteriori, il sintomo del dolore che si irradia crea sensazioni di "denti malati" sul lato opposto della mascella.
richiamo
Letteralmente quella settimana, mi sono rivolto al dentista con gravi attacchi di dolore nel molare inferiore che non potevano essere tollerati. In generale, non sono un fan di andare dai dottori, soprattutto non visitare un dentista, ma il terzo giorno dall'esordio dei primi sintomi nel dente, è iniziato qualcosa che non poteva essere espresso a parole.
Se alla vigilia sapevo esattamente dove fa male e cosa fa male, allora in quel giorno sfortunato ho dovuto bere pillole in manciate, dal momento che il maledetto dolore è andato oltre la mascella e ha iniziato a "perforarmi" nella parte posteriore della testa, quindi l'intera mascella, quindi i denti superiori. Quando non potevo più sopportare questo incubo, corsi letteralmente dal dottore. È bello che mi sia persino ricordato da dove provenisse tutto e ho indicato al medico il dente che ha iniziato a ferire un paio di giorni fa. Ma il mio amico ha erroneamente rimosso il dente sbagliato. Questo solo perché lui, come me, aveva dolori dappertutto e l'allenatore non ha impiegato molto a capire: dove gli veniva mostrato, tirava.
E ho appena rimosso il nervo e ho messo un sigillo. Adesso va tutto bene. Spero che non ci sarà più un tale incubo.
Innocente, Oryol

Metodi moderni per il trattamento della pulpite purulenta
È raro che qualcuno sopporti a lungo il dolore acuto con la pulpite purulenta - di solito dopo un paio di giorni di tormento tutti iniziano a capire che senza l'aiuto di un dentista pillole di dolore non può fare. E prima arriva una tale comprensione, meglio è, perché questa forma acuta di pulpite viene trattata con successo e facilmente se vengono utilizzati metodi e approcci moderni.
Commento del dentista
Se qualcuno è ancora imbarazzato dalla parola "purulento" in combinazione con la pulpite, allora mi affretto a compiacere il fatto che il contenuto dei canali radicolari in questa fase della malattia riempia un nervo completamente vivace e "moderatamente ben nutrito". E lo stesso pus che dovrebbe fuoriuscire dal canale è una storia leggermente diversa rispetto a un'altra malattia.
La cosa principale è capire la differenza: nella pulpite purulenta acuta, la polpa vivente (tessuto) è circondata da un fluido difficilmente visibile (con rare eccezioni) e nella parodontite purulenta acuta, il "nervo" è morto da tempo e decomposto abbastanza da causare una o più gocce di pus dal foro per aprire la camera pulpare .
Quindi è meglio trattare un dente ancora vivo con pulpite acuta, fino a quando non si è accumulato così tanto pus che una gomma innocente può essere scelta come un serbatoio, che si gonfia.

Il trattamento della polmonite sierosa acuta (focale) può essere effettuato con il metodo biologico con la protezione dell'intera polpa in uno stato vitale, ma in odontoiatria di diversi livelli ricorrono quasi sempre a rimozione della polpa dai canali, il loro successivo lavaggio e sigillatura. Questo, da un lato, è più semplice (il medico non deve specificare lo stadio di "infiammazione" della polpa e condurre diagnosi complesse) e, dall'altro, è più sicuro per la salute del paziente e più redditizio per la sua tasca. Gli aspetti finanziari del trattamento della pulpite acuta saranno descritti in dettaglio di seguito.
La pulpite purulenta acuta viene trattata con metodi comuni di estirpazione vitale e devitale. L'estirpazione devitale comporta l'immissione alla prima visita di una pasta devitalizzante sul dente, che uccide il "nervo" in pochi giorni.
Nella foto - il "nervo" rimosso dal dente:

Questo metodo spaventa alcune persone con la terribile parola "arsenico", ma in realtà nelle mani di una pasta di arsenico professionale non porta a quelle terribili conseguenze che sono leggendarie tra le persone: forte dolore, carie dentaria pochi mesi prima della base, ustioni alla gomma, ecc. d. Tuttavia, quegli stessi professionisti sono passati da tempo a paste alternative che non contengono anidride all'arsenico.
Inoltre, nel trattamento della pulpite acuta, spesso si preferisce l'estirpazione vitale della polpa, quando non è necessario pre-eutanizzare il fascio neurovascolare:
- L'anestesia locale solida è realizzata con un anestetico domestico o importato (più spesso);
- La camera della polpa viene aperta, la parte coronale del "nervo" viene amputata e viene eseguita l'estirpazione della radice (estrazione);
- I canali vengono lavati con efficaci antisettici (ipoclorito di sodio, perossido di idrogeno, clorexidina, ecc.);
- Quindi i canali si espandono alle dimensioni e alla rastremazione necessarie per il futuro "riempimento delle radici";
- Nella fase successiva del trattamento, i canali sono sigillati su un restringimento fisiologico (apice), cioè prima di raggiungere la punta radiologica. La scelta del materiale per riempire il canale è un approccio creativo di ogni medico, basato sull'esperienza clinica, sulla situazione clinica durante il lavoro, sulle capacità finanziarie del cliente e su altri fattori.
- Ripristino o imposizione temporanea di un sigillo temporaneo. In alcuni casi, questa fase viene omessa e viene immediatamente applicato un riempimento permanente, anche se c'è ancora dibattito sulla questione dell'opportunità di recuperare simultaneamente un dente immediatamente dopo il trattamento intracanale.

Perché è impossibile trattare la pulpite purulenta con rimedi popolari
La risposta è semplice: perché è molto probabile che tale trattamento porti a perdita dei denti. I nostri antenati hanno capito bene che è tutt'altro che sempre possibile salvare una persona dalla sofferenza con l'aiuto di lozioni e cospirazioni.
Sebbene ci fossero molti casi in cui, dopo aver usato la medicina tradizionale, un dente cariato non si faceva più sentire marcito alla radice, che a poco a poco iniziò a sciogliersi e cadde non peggio di un dente da latte.

Opinione del dentista
Molti medici sono interessati all'enigma delle preghiere e ad alcuni rimedi popolari per il mal di denti: perché a volte le cospirazioni delle nonne aiutano davvero ad alleviare il dolore, cosa succede al dente in questo momento e per quanto tempo non si manifesterà più.
A mio avviso, metodi simili di medicina alternativa sono associati alla transizione del processo acuto in forma cronicae quest'ultimo spesso procede senza sintomi di pulpite acuta, che ha un effetto benefico sullo stato emotivo di una persona. È bello quando il dente non fa male, anche se inizia a sgretolarsi lentamente.
Pertanto, ci sono ancora donne anziane che sorridono astutamente quando parlano con il dentista e trasmettono il loro dono di generazione in generazione, ostentando, tuttavia, allo stesso tempo piccole radici che allo stato morto si sentono generalmente eccellenti. Mi sembra che per la società moderna, i denti cariati che non fanno male sono almeno selvaggi.

I dentisti offrono una buona soluzione in questa situazione: non trattare la pulpite acuta con metodi alternativi, sperando in una vera guarigione, ma solo temporaneamente liberarsi del dolore con antidolorifici disponibili, quando è difficile rivolgersi al medico nel prossimo futuro.
È importante capire che una visita tempestiva da un dentista professionista per aiuto ha salvato molti denti dalle pinze del chirurgo. Inoltre, ogni anno vengono registrati casi in cui, senza l'aiuto speciale di un dentista, le persone sono semplicemente morte a causa di un'infezione odontogena. Può diffondersi in tutto il corpo, causando sepsi (avvelenamento del sangue) o, ad esempio, mediastinite odontogena (infiammazione del mediastino).

A volte gravi complicazioni sono solo il risultato di ritardi ingiustificati e del trattamento della pulpite acuta con metodi alternativi che non hanno aiutato. Cospirazioni, propoli, aglio o barbabietole non sono sempre efficaci come alcuni guaritori tradizionali li posizionano ...
Durante il trattamento della pulpite purulenta puoi svuotare il portafoglio
In una clinica privata, è spesso vantaggioso per un medico trattare i canali dei denti con qualsiasi forma di pulpite, da allora il trattamento di ciascun canale viene addebitato separatamente. Se la polpa è mantenuta in uno stato vitale, il dentista non può approfittare di tutte le delizie dei numerosi articoli del listino prezzi,e inoltre, se la diagnosi e la tecnica di questo metodo di trattamento non sono corrette, riceverà anche complicazioni dal paziente sotto forma di ripetuti dolori e grida: "Restituisci i miei soldi!"

In generale, la pulpite purulenta acuta presenta sintomi che non consentono ai medici più coscienziosi delle cliniche private di curare i canali di molti denti contemporaneamente, anche quelli sani.
Immagina una situazione: una persona affronta gravi dolori acuti, da cui fa male l'intera mascella. Il dottore trova con calma un dente di polmonite (il beneficio delle moderne attrezzature nella maggior parte delle cliniche private lo rende facile), e lungo la strada riporta che accanto a lui c'è anche un problema al dente, che in una relazione del genere dà tali "incantesimi di vita".
Il fatto è che sul dente successivo ci può essere solo piccolo punto cariato, che può essere levigato o lavorato e mettere un sigillo. Ma il trattamento del canale costa 2-3 volte più costoso, soprattutto perché alla fine del trattamento intracanalale c'è lo stesso riempimento originariamente previsto. A volte arriva persino al punto che anche più di 3 denti sono sottoposti a un trattamento intracanale in una sola volta, e la causa è una polpite acuta purulenta di un dente e il desiderio incontrollato di un dentista privato (spesso non di buona vita) di guadagnare un pezzo di pane in più per se stesso e la sua famiglia.

Cosa puoi fare quando i prezzi per il trattamento canalare per pulpite e parodontite nelle cliniche private crescono costantemente ogni anno, e la terapia intra-canale di alta qualità, sebbene inutile per questo dente, ti consente di mantenere il dente per la vita, anche se in uno stato morto .
In un'istituzione statale, un "divorzio in denaro" si manifesta in un modo diverso, ma quasi sempre non è associato a un trattamento multiplo inutile dei canali dei denti, perché il medico, a causa della fretta costante, a volte non ha nemmeno il tempo di fare le azioni richieste da lui in questa situazione clinica. Il risultato è spesso il ritrattamento del dente, non nello stato, ma in quella sfortunata clinica privata. Un circolo così vizioso.
Al fine di non commettere errori nella scelta della clinica e del medico, è utile chiedere inizialmente ad amici, amici e parenti, leggere recensioni sui siti, scoprire la durata del lavoro del medico e il grado di equipaggiamento della clinica. E se hai già trovato un buon medico, allora tienilo stretto, non permettendo ai dentisti casuali nelle cliniche casuali di "staccarsi" dai denti.
Sii in salute!
Video interessante: cosa ti aspetta durante il trattamento della pulpite in clinica
Sintomi di pulpite e perché tutto il viso può ferire

Ciao Ho una domanda specifica: dimmi, se il nervo è stato surriscaldato durante la preparazione e, senza accorgersene, è stato immediatamente riempito, almeno quanto tempo può svilupparsi il pus nel dente e all'esterno del dente, ad es. nel parodonto? Il fatto è che un fratello è stato messo un sigillo una settimana fa senza rimuovere la polpa. Qui, una settimana dopo, il viso era gonfio. Il medico ha scusato che prima di lui qualcuno non ha rimosso completamente il nervo. Ecco perché il dente è marcio.
Benvenuti! Se il dente è stato trattato a causa della carie (media o profonda) e il medico ha avuto a che fare con un dente "vivo", allora stiamo parlando dell'occorrenza della parodontite. Inoltre, la causa non è sempre dovuta al surriscaldamento: c'è anche un effetto chimico del materiale in violazione della tecnica di lavoro con esso e vibrazioni eccessive quando si lavora con una punta difettosa. Il surriscaldamento è spesso anche la causa della morte della polpa, specialmente quando si lavora senza raffreddamento ad acqua. È quasi impossibile notare il surriscaldamento del dente durante il funzionamento.
Per quanto riguarda il tempo minimo: in generale, non esiste un concetto simile in tali situazioni. Direi che, in media, il problema si sviluppa entro 1-2 mesi, sebbene tutto sia individuale - potrebbe benissimo presentarsi anche in pochi giorni.
Non so quanto questo giustifichi il medico, ma conosco molti casi in cui i dentisti trattano la carie, che in realtà ha già un processo infiammatorio nella polpa, ma al momento si sta comportando in modo relativamente calmo. Letteralmente in una settimana dalla pulpite, che è stata erroneamente trattata come carie, il problema può anche svilupparsi in parodontite purulenta.
Se il dente nel canale non è stato trattato prima del medico che hai menzionato, il dentista sta cercando di trovare delle scuse parlando della parziale rimozione del nervo prima di esso. Ma ancora una volta, ripeto di aver citato sopra alcune sfumature che non ci consentono di considerare il problema in modo così diretto e inequivocabile nel contesto di un solo surriscaldamento di un dente cariato.
Ciao, dimmi, è possibile curare un sano molare attorno al quale si è formata una tasca purulenta? Forse puoi fare un'incisione nella gomma e trattarla da lì?
Benvenuti! Per prima cosa devi scoprire cosa esattamente hai chiamato una "tasca purulenta". Se stiamo parlando di un processo infiammatorio purulento dovuto alla parodontite, il dentista-terapeuta determina la tattica di un possibile trattamento. Nel caso in cui la "tasca purulenta" sia la stessa tasca gengivale patologica con suppurazione sullo sfondo della parodontite nella fase acuta o esacerbazione, allora le tattiche dovrebbero essere analizzate con un periodontista. Se nella tua zona non esiste tale specialista, è adatto un chirurgo dentale o un chirurgo maxillo-facciale. Se il trattamento è possibile, viene eseguito in modo completo: dal curettage delle tasche parodontali, alla riparazione delle gengive, allo splintaggio dei denti con mobilità, alla macinazione selettiva e all'applicazione di paste, unguenti e gel per eliminare il fattore microbico e l'infiammazione. Non sto parlando di igiene orale professionale preliminare: rimuovere la pietra e la placca da tutti i denti. A volte in tali denti è necessario rimuovere il "nervo" e trattare i canali - questo è in base alla situazione.
Se il trattamento è limitato a una sola incisione, senza condurre una terapia complessa, sarà inefficace o semplicemente ritarderà leggermente il destino finale della rimozione del dente.
Benvenuti! Trattarono la pulite, dissero che poteva far male per un po '. Sono passate quasi 2 settimane e fa male. Il dottore è in vacanza, sto aspettando. Dimmi, per favore, quale potrebbe essere la ragione?
Benvenuti! Il dolore per quasi 2 settimane in un dente trattato non è la norma. Tuttavia, con piccoli errori del medico durante il trattamento dei dolori del canale, i dolori mordaci a volte scompaiono solo entro un mese (quando si tratta di rimozione insignificante di materiale oltre l'apice della radice del dente, molto spesso a base di resina epossidica, che ora è popolare come sigillante). È possibile capire quanto "leggermente" il sigillante sia derivato dall'immagine, poiché questo materiale è contrastante.
Delle complicazioni dopo il trattamento della pulpite, quando un dente fa male a lungo, si può notare quanto segue:
1. Canale o canali incompiuti;
2. Perforazione della parete dentale;
3. Rimozione significativa di materiale per l'apice (anche guttaperca);
4. Strumento rotto nel canale;
5. Creazione di un canale falso.
Ci sono altri problemi Per sapere approssimativamente cosa sta succedendo con il tuo dente, è importante avere un paio di scatti in diverse proiezioni a portata di mano.
Benvenuti! Un anno fa è stato riempito un dente del giudizio (sesta mascella inferiore). Dopo un po ', il dente si è rotto insieme al ripieno e cinque giorni fa ha iniziato a far male. Il dolore si intensificò, anche gli antidolorifici non aiutarono, apparve l'infiammazione. Sono andato da un medico in una clinica privata e il dentista ha detto che era necessario rimuoverlo, perché il dente era stato guarito in modo errato. La procedura è stata eseguita, ma dopo un giorno l'infiammazione è rimasta, la mascella inferiore sinistra fa male, la guancia è leggermente gonfia. Risciacquo con clorexidina, utilizzo il gel Metrogil Dent, come prescritto dal medico. Il dentista ha avvertito che il dolore sarebbe rimasto per qualche tempo. Dimmi, quanto dura l'infiammazione dopo l'estrazione del dente e perché il dolore è rimasto?
Benvenuti! Il processo infiammatorio sullo sfondo della lesione di solito dura 1-2 settimane e per tutto questo tempo il dolore può essere osservato in un modo o nell'altro. Se stiamo parlando di dolore acuto dopo l'estrazione del dente, nei primi giorni si fermano con gli analgesici. Sebbene spesso il dolore acuto non accada affatto. I dolori doloranti sono la norma nella fase di guarigione del buco e sono di natura individuale. Tutto dipende dalla qualità della rimozione, dalle difese del corpo e dalla soglia del dolore. Il fatto di seguire le raccomandazioni del medico è encomiabile, ma non dimenticare che è utile eseguire un esame di follow-up del foro con un medico 3-4 giorni dopo l'estrazione del dente.