
Spesso, i denti iniziano a ferire nei momenti più inopportuni - molte persone lo sanno bene per la loro amara esperienza. Spesso i sintomi della pulpite sono presi di sorpresa durante le lunghe vacanze, al lavoro, in vacanza e non è sempre possibile consultare immediatamente un medico per un aiuto. È impossibile indovinare a che punto la carie profonda, come la causa più comune di pulpite, è complicata dall'infiammazione del "nervo" del dente con la comparsa di sintomi caratteristici, questo può accadere in qualsiasi momento.


È importante tenere presente che in caso di trattamento intempestivo in clinica, spesso si manifesta la polpite forme purulentequando è possibile sopportare l'estrazione dei denti e costose protesi, o persino processi irreversibili per la salute generale di una persona, a volte al limite della vita e della morte.
La foto sotto mostra un dente rimosso a causa di complicazioni dopo la pulpite:

Ma come distinguere i segni della pulpite da altre malattie del dente (diciamo, dal forte dolore con carie profonde), quali complicazioni possono minacciare e se esistono modi per prevenirle - questo e molto altro verranno discussi in seguito.
Pulpite caratteristica come infiammazione del tessuto "vivente"
Al fine di comprendere meglio le cause alla radice dei vari sintomi della pulpite e di immaginare in anticipo cosa potrebbe aspettarti durante il trattamento futuro, devi prima capire cosa, in realtà, all'interno del dente può effettivamente ferire. La definizione stessa di pulpite chiarisce notevolmente questo problema.
La pulite è un processo infiammatorio che si verifica nella cosiddetta camera pulpare, o, altrimenti, nel "nervo" dentale (fascio neurovascolare). E questo processo è associato nella maggior parte dei casi all'attività dei microrganismi: a seguito di carie profonde non trattate, la microflora patogena prima o poi penetra attraverso la dentina assottigliata nei tessuti molli della polpa con la comparsa di segni caratteristici di pulpite dentale.

L'infiammazione nella polpa procede secondo le stesse leggi di qualsiasi altro tessuto. Sullo sfondo degli effetti aggressivi dei batteri e delle loro tossine sui tessuti viventi, si verifica una morte graduale delle cellule, che attiva i fattori di infiammazione. Se potessimo osservare questa immagine al microscopio, il suo significato sarebbe il seguente:
- l'immunità invia cellule (leucociti) per combattere l'infezione e distruggere la fonte del danno alla polpa;
- il risultato di questa lotta sono i cambiamenti strutturali nel tessuto pulpare, fino alla sua completa necrosi (necrosi) e la comparsa di una clinica caratteristica di pulite acuta.
I tessuti molli all'interno del dente non possono riprendersi da soli, ma il processo può passare a un lungo processo cronico con un'infiammazione limitata dai tessuti circostanti - questo aiuta a proteggerli dalla fusione purulenta versata.
Nell'immagine seguente, questo processo è mostrato schematicamente:

Domanda: Perché a volte la pulpite provoca un forte alito cattivo?
Con un profondo processo carioso, le particelle di cibo si accumulano sulle pareti e sul fondo della cavità cariata, e spesso non c'è praticamente nessuna autopulizia della cavità o è espressa in modo molto debole. Il risultato della graduale decomposizione dei residui organici è la comparsa di un odore putrido dalla bocca - questo sintomo spesso accompagna la carie profonda. Inoltre, se si verifica la necrosi della polpa, anche l'odore del “nervo” del dente in decomposizione nella camera della polpa si unisce all'odore dei detriti alimentari in decomposizione. E più le carie sono cariate (specialmente con la pulpite), più pronunciati sono i segni di alitosi, che interferisce con la normale comunicazione con le persone.
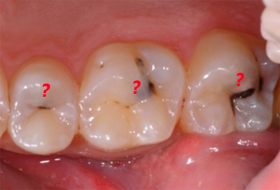
Una fotografia di un dente con una cavità profonda e cariata, che in qualsiasi momento può causare pulpite:

Classici sintomi di pulpite
Ce ne sono molti classificazioni di pulpite, ma il più semplice da capire è quello che la maggior parte dei dentisti usa per fare correttamente una diagnosi accurata e determinare un piano di trattamento. Secondo questa classificazione, tutta la pulpite è divisa in acuta e cronica.
La pulite acuta è di solo due tipi: focale e diffusa e cronica - tre: fibrosa, ipertrofica e cancrena. C'è anche una categoria di pulpite nello stadio della sua esacerbazione.

Un sintomo caratteristico della pulpite acuta è il dolore parossistico spontaneo, che si verifica spesso di notte, che spesso dura 2-3 settimane. Con queste forme di pulpite, il "nervo" dentale rimane coperto da tessuti cariati e non vi è alcuna comunicazione esterna con esso. Il dolore è intenso: sta tagliando, sparando, lacerando, provoca un forte tormento, causando spesso l'uso di antidolorifici.
L'aspetto dei sintomi del dolore nella pulpite acuta è anche provocato da irritanti esterni (freddo, caldo, dolce), ma a differenza della carie, tali dolori non persistono a lungo anche dopo l'eliminazione di un tale irritante.
La differenza fondamentale tra polmonite focale acuta e diffusa è determinata dalla clinica caratteristica. Nella pulpite focale acuta, puoi indicare accuratamente un dente cattivo e durante la pulpite diffusa, il dolore si irradia (dà) lungo i rami del nervo trigemino. Ad esempio, dai denti inferiori, il dolore è diretto all'orecchio, alla parte posteriore della testa e persino al tempio. Il dente superiore del paziente “spara” nella regione zigomatica, nella regione del superciliare, spesso il dolore si irradia alla mascella opposta.

La polpite cronica si verifica spesso, aggirando la fase acuta. Quasi sempre i dolori sono doloranti in natura e spesso tale pulpite può verificarsi anche senza sintomi.
Pulite fibrosa cronica ha sintomi caratterizzati da dolore doloroso quando si mangiano cibi caldi e solidi. Un corso asintomatico è anche caratteristico di questa varietà. A volte con pulpite fibrosa, la camera pulpare viene aperta, cioè comunica con la cavità orale.
La pulpite ipertrofica cronica è estremamente rara, principalmente in odontoiatria pediatrica. I principali segni clinici di questa pulpite sono la crescita della polpa dovuta alla formazione di nuovi tessuti o, come viene chiamato, "carne selvatica". Tuttavia, spesso l'intera cavità è occupata da questo tessuto, che provoca dolore quando si mangia, in particolare duro.


a pulpite gangrenosa cronica I sintomi dipendono dal fatto che la camera della polpa sia chiusa, dove si trova la polpa del dente o sia già stata aperta. Quando la camera è chiusa, il dolore è molto pronunciato, può anche essere spontaneo, ma più spesso - forte dolore dal caldo. Con una cavità aperta, la polmonite cancrenosa dà una clinica sfocata, quindi la diagnosi finale può essere fatta solo all'appuntamento dentale.
Domanda: c'è una temperatura con la pulpite?
Molto spesso, non vi è una temperatura elevata con pulpite e questo sintomo caratterizza più parodontite, periostite e altre complicazioni. Tuttavia, in alcuni casi, l'immunità può rispondere con un leggero aumento della temperatura nei gradi bassi (37,0 ° -38,0 °), specialmente nei bambini. Molto spesso, la temperatura può verificarsi quando compaiono segni di necrosi polmonare (pulpite cancrena cronica).
La foto mostra un "nervo" dentale estratto da una camera di polpa:

Le principali difficoltà di diagnosi e i dispositivi utilizzati in questo
Per diagnosticare la pulpite, è necessario contattare il dentista per una serie di test aggiuntivi. Oltre allo studio dei sintomi della pulpite, vengono utilizzati anche i seguenti metodi:
- Il cosiddetto metodo oggettivo che utilizza uno specchio dentale e una sonda;
- termometria;
- Metodo diagnostico strumentale (EDI);
- Diagnostica a raggi X
Quasi il 70-80% delle informazioni sulla forma di pulpite del dente può essere ottenuto sulla base di una valutazione dei sintomi e di uno studio della cavità cariata quando esaminato da uno specchio dentale e durante il sondaggio. Uno studio oggettivo ci consente di distinguere la pulpite da carie profonde, varie forme di parodontite, ecc.
Il sondaggio consente di capire se la camera pulpare del dente è aperta, se è doloroso sondare, se il “nervo” aperto sanguina, se il dente stesso è scolorito, se c'è dolore durante la percussione (toccando il dente con l'estremità smussata della maniglia della sonda) - tutto questo ha anche importanza per la diagnosi accurata e il successivo trattamento.

Dalla pratica del dentista
Sulla base dei sintomi e dell'aspetto della cavità cariata, un dentista esperto può fare una diagnosi preliminare di "pulpite" e persino determinare il suo tipo, che in pratica non è di fondamentale importanza (tranne che per le forme gangrenose di pulpite, che richiedono un trattamento farmacologico speciale dei canali dentali). Al fine di dimostrare la presenza di una cavità cariata con la camera pulpare, i dentisti della vecchia scuola possono sondare con grande forza, causando un forte dolore quando la punta della sonda penetra nel tessuto della polpa ancora morta. Tali metodi di diagnosi differenziale a causa dell'approccio non molto umano non sono accettabili nell'odontoiatria moderna.
Un metodo diagnostico comunemente usato è la termometria. Questo è un test della reazione di un dente al freddo e al caldo. Se la polpa del dente è già morta, il dente non risponderà all'acqua fredda. La reazione agli stimoli della temperatura con la pulpite è più pronunciata rispetto alla carie e non dura a lungo dopo l'eliminazione dello stimolo della temperatura.
EDI o elettroodontodiagnosi. Forse questo è il metodo più informativo in tale diagnosi, che consente non solo di distinguere la pulpite da altre malattie dei denti (carie, parodontite), ma anche la polpite tra loro (tipi acuti di pulpite, cronica). Il suo principio si basa sull'uso di dispositivi in grado di agire sul dente con deboli correnti elettriche. Allo stesso tempo, un "nervo" sano reagisce con sensazioni di dolore insignificanti anche a una forza attuale di 2-6 μA.

Con una reazione dolorosa a una corrente di tale forza, viene diagnosticata la carie. L'eccezione è la carie profonda, quando il dente può iniziare a rispondere a una corrente di 20 μA. In ogni caso, la pulpite, di norma, reagisce a correnti superiori a 20-25 μA. E l'insorgenza di una reazione a 100 μA indica già la morte completa della polpa e l'insorgenza di parodontite. Le forme acute di pulpite rispondono a correnti fino a 40-50 μA e croniche fino a 90-100 μA. La polmonite cancrenosa nella distruzione della parte coronale del nervo viene determinata con una forza attuale di 60-80 μA.
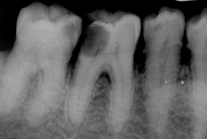
Diagnostica a raggi X: è un metodo abbastanza informativo. Ad esempio, per la natura del cambiamento nella struttura dell'osso attorno alla radice del dente, possiamo capire che abbiamo segni di pulpite e non parodontite, possiamo anche determinare i bordi approssimativi della cavità cariata e suggerire una violazione (apertura) della camera pulpare. Questo è importante per confermare o confutare la diagnosi di carie profonde.

Nelle forme croniche di parodontite, di norma, i cambiamenti nel tessuto osseo intorno alla radice sono significativi e nella pulpite acuta non ci sono tali cambiamenti (con pulpite gangrenosa cronica a volte è possibile una leggera espansione del gap parodontale).
Sintomi di rari tipi di pulpite
Pulite traumatica. Si differenzia dalle forme classiche di pulpite nella causa dell'aspetto: il fascio neurovascolare è danneggiato a causa di una lesione del dente. Come risultato del fattore traumatico, inizia l'infiammazione dei denti, a volte con l'aggiunta di infezione dalla cavità orale.
Nonostante la possibilità di infezione, nella loro forma pura, tale pulpite non è infettiva, ma provoca sintomi clinici abbastanza tipici: forte dolore da irritanti (freddo, caldo), nonché dolore spontaneo e parossistico. La pulpite traumatica è comune nell'infanzia e nell'adolescenza, nonché nelle categorie asociali della popolazione.

La pulpite retrograda è una rara forma di pulpite, che a volte provoca confusione all'appuntamento del dentista quando non c'è carie, e sono presenti sintomi di polmonite (attacchi di dolore, notte e dolori lunghi). In tali casi, l'infezione all'interno del dente entra attraverso il foro nella parte superiore della radice.

Le cause comuni di pulpite retrograda sono:
- sinusite
- parodontite
- osteomielite
- actinomicosi
e altri
La pulpite concreta è anche una rara forma di pulpite, in cui non vi è alcun fattore infettivo nello sviluppo del dolore doloroso spontaneo o prolungato nel dente. L'infiammazione della polpa si sviluppa a seguito di una compressione prolungata da parte dei calcoli - depositi parietali presenti in alcune persone nei canali dentali.
Molto spesso nella vecchiaia, il lume dei canali è ristretto da dentelli o pietrificati - depositi di sale. I segni clinici della polmonite da calcolo sono spesso offuscati: possono esserci dolori spontanei doloranti prolungati o solo da irritanti (caldo).
Nota: come trovare un dente cattivo con la pulpite retrograda o del calcolo ...
Sfortunatamente, nella maggior parte delle cliniche non esiste EDI che ti consenta di controllare quali denti sono sani e rispondono a una corrente di 2-6 μA e quale dente malato è già di 20 μA e oltre. La diagnostica a raggi X a volte può aiutare solo con la pulpite da calcolo, in cui vengono rilevate aree con segni di blocco del canale da accumuli di sale. Quasi sempre, il tessuto osseo intorno alla radice con pulpite non è interessato.
I grandi centri odontoiatrici e gli istituti di ricerca dispongono di attrezzature per l'EDI, e nella maggior parte delle cliniche possono cercare un dente causale in base ai reclami del paziente, la clinica per la pulpite, ma in realtà, usando il metodo "poke", quando il paziente può aiutare parzialmente il medico indicando un dente ruvido. A volte vengono trattati contemporaneamente 1-2 denti sani e "innocenti", ma vale la pena sottolineare il momento in cui per qualsiasi medico, un incontro con la pulpite retrograda o del calcolo è un fenomeno molto raro che potrebbe non verificarsi affatto durante la sua pratica.
Segni di pericolose complicanze della pulpite
Complicanze della pulpite possono verificarsi a causa della mancanza di trattamento del dente o della sua attuazione inappropriata. La prima categoria di casi occupa la posizione principale secondo le statistiche, poiché l'infezione locale a lungo termine nel "nervo" del dente prima o poi passa in un processo purulento, che spesso causa gravi complicazioni.

Tra queste complicazioni che si verificano abbastanza spesso includono:
- La parodontite è un'infiammazione dei tessuti che circondano la radice del dente (l'apparato legamentoso che tiene il dente nell'incavo), che si manifesta più spesso con un processo purulento con ingrossamento e gonfiore delle gengive vicino al dente malato o comparsa di fistole sulle gengive, da cui il pus scorre nella cavità orale.
- Periostite, chiamata anche dal flusso "persone". Questo è un processo infiammatorio sotto il periostio della mascella.
- L'osteomielite è un'infiammazione purulenta che si sviluppa già nelle ossa della mascella stessa, molto spesso sullo sfondo della periostite non trattata.
- Un ascesso è un'infiammazione purulenta limitata, accompagnata da febbre, intossicazione del corpo e gravi conseguenze.
- Il flemmone è una complicanza formidabile di un ascesso, quando un processo infettivo purulento si diffonde attraverso i tessuti della mascella, i tessuti molli del viso e può causare la morte.
- Sepsi: sullo sfondo di ridotta immunità, elevata aggressività e diffusione dell'infezione nella mascella, possono verificarsi intossicazione o infezione dell'intero organismo con gravi conseguenze.



In questo caso, l'elenco delle complicanze della pulite non è completo, ma anche chiarisce quanto sia pericoloso non trattare la pulpite al primo segno del suo aspetto.
Dopo il trattamento della pulpite, a volte si verificano complicazioni, soprattutto quando si contatta organizzazioni a basso budget con medici non qualificati e inesperti, ma non sono così enormi come la prima categoria di complicanze.
Domanda: Perché i canali sono più facili da trattare con la pulpite dei denti anteriori superiori?
Quando compaiono i sintomi della pulpite del dente anteriore, la maggior parte delle persone si rivolge al dentista per chiedere aiuto. Poiché tutti i denti anteriori superiori dal canino al canino hanno un solo canale, molto spesso largo, in quasi il 100% dei casi vi sono rischi di complicanze durante e dopo il trattamento della pulpite dentale minimizzato. Di solito, il trattamento canalare richiede 2 volte meno tempo del trattamento intracanalale dei denti posteriori (hanno molte radici e la percentuale di anatomia canalare complessa è alta).
Vedi per esempio sfumature interessanti del trattamento della pulpite nei denti a tre canali.
Pronto soccorso per il dolore alla pulpite
Se i sintomi della pulpite dentale interferiscono con il lavoro o il riposo, ma è difficile arrivare dal dentista il giorno successivo, non è vietato aiutarsi scegliendo uno dei metodi popolari per sbarazzarsi del dolore da pulpiteo farmaci.
Metodi popolari comuni:
- sciacquando la cavità orale con caldi decotti di camomilla, erba di San Giovanni, salvia, corteccia di quercia, menta, melissa, valeriana - fino a quando l'attacco scompare completamente o la sua acuità è significativamente ridotta;
- sciacquare con soluzioni calde di sale e soda (di solito un cucchiaino di soda e sale viene diluito in un bicchiere di acqua calda);
- sciacquare la bocca con vodka o tenerlo vicino a un dente malato per un po '. Questo metodo di trattamento ha limiti di età.

Farmaci comuni per alleviare i sintomi del dolore della pulpite:
- Utilizzare farmaci antidolorifici regolari per somministrazione orale (ketorol, Ketanov, Pentalgin, Nise, Dexalgin e altri) in dosi terapeutiche. Prima di prenderli, è necessario consultare (può essere in remoto) con un terapista o un dentista, poiché sono possibili effetti collaterali, controindicazioni o intolleranza individuale.
- Tinture alcoliche di eucalipto o valeriana. Sono adatti per applicazioni e per il trattamento della cavità cariata. In questo caso, si ottiene un certo effetto antinfettivo e analgesico.
Spesso, la propoli viene anche utilizzata per chiudere la cavità cariata con un "nervo" aperto come riempimento temporaneo. Se non c'è allergia a questo farmaco, allora per un uso temporaneo è perfetto.
E, infine, un suggerimento: è possibile scaldare un dente quando compaiono i primi segni di pulpite?
Nel mal di denti acuto, non è consigliabile riscaldare il punto dolente all'esterno. Un cuscinetto riscaldante caldo, sciarpe e impacchi riscaldanti stimolano l'infiammazione, traducendolo in un processo purulento in una sola notte. Il riscaldamento aggrava sempre il processo infettivo, che non si può dire dei risciacqui caldi della cavità orale stessa. Pertanto, non è necessario applicare la guancia malata alla batteria per ridurre il dolore: si ottiene l'effetto opposto.
Video interessante: trattamento della pulpite al microscopio
Cosa è importante sapere sulla pulpite

Grazie per la descrizione dettagliata della pulpite.