
Successivamente imparerai:
- In alcuni casi, potrebbe essere necessario rimuovere la radice del dente, o parte di esso (ad esempio, resezione dell'apice);
- Perché le radici dei denti "marce" dovrebbero essere rimosse il più presto possibile e cosa ci si può aspettare se non lo si fa in tempo;
- In quali casi è ancora possibile preservare le radici dei denti (per le protesi successive) e con quali metodi viene attuata tale conservazione;
- Situazioni cliniche tipiche in cui la radice del dente deve essere rimossa (e cosa è utile sapere se, ad esempio, un pezzo significativo si è rotto dal dente durante il pasto);
- Metodi per rimuovere le radici dei denti, iniziando con semplici e finendo con complessi e traumatici (usando uno scalpello dentale e un martello);
- Cosa fare se, dopo l'estrazione del dente, una radice o piccoli frammenti rimangono nel foro ...
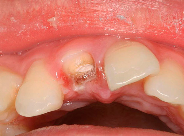
A volte la corona del dente è così gravemente danneggiata che rimane solo la radice del dente, che è corrosa dalla carie - in tali casi sorge la domanda di rimuovere questi residui "marci". Spesso ci sono lesioni fastidiose: ad esempio, un pezzo di dente può rompersi durante il pasto e una scheggiatura (o una crepa) a volte va in profondità sotto la gengiva - in questo caso, può anche essere richiesta l'estrazione della radice del dente.

Una storia a parte è quando un dente è esternamente più o meno funzionale, ma la condizione della sua radice (o radici) è lontana dalla norma - ci sono cisti, granulomi. Quindi il dentista può offrire una resezione dell'apice della radice o persino l'amputazione dell'intera radice del dente. Ne parleremo anche un po 'più in basso ...
Fortunatamente, in alcuni casi non è necessario rimuovere la radice del dente e puoi limitarla al trattamento con protesi successive o al ripristino della corona del dente. Tuttavia, si dovrebbe comprendere che i residui di dente (radici "completamente marce") dovrebbero essere separati il più presto possibile e senza rimpianti, poiché la loro conservazione fa più male che bene alla salute.
Iniziamo con questo: vediamo perché, in effetti, dobbiamo rimuovere le radici dei denti distrutte il più presto possibile ...
Perché rimuovere i residui marci e decomposti delle radici dei denti?
Dal punto di vista di un dentista, la situazione in cui un paziente cammina per anni con un dente cariato, distrutto alla base, appare come segue: questa persona non si dispiace per se stessa. Il fatto è che in questi casi, le radici dei denti devono essere rimosse urgentemente (vedi l'esempio nella foto sotto).

Il motivo è semplice: le radici marce sono un focolaio di infezione e più sono in bocca, più i problemi sono pronunciati e sono tutt'altro che limitati a alitosi costante. Questi "marci" porosi come un aspirapolvere assorbono da soli batteri e particelle di cibo. Oltre al cibo in decomposizione, sui residui dei denti sono presenti anche placca difficile da rimuovere e quasi sempre tartaro sopra e sottogengivale, che causa sofferenza alle gengive.
In quasi il 100% di tali casi, si osserva un processo infiammatorio in cima alle radici marce, accompagnato da rarefazione del tessuto osseo, si forma un granuloma o una cisti. In poche parole, nella parte superiore della radice c'è un sacco purulento, che sta solo aspettando che le ali si spezzino con la formazione di un "flusso".
La foto sotto mostra un esempio di denti estratti con cisti alle radici:


Sullo sfondo della vita dei microrganismi, l'immunità umana è costantemente costretta a spendere le sue risorse nella lotta contro l'infezione al fine di compensare in qualche modo questo problema (si possono osservare frequenti malattie).
Se tale radice dentale non viene rimossa, prima o poi verrà il momento in cui le forze del corpo non potranno più prevenire la diffusione dell'infezione - si verificherà un processo infiammatorio acuto, spesso accompagnato da un edema significativo.Frase preferita di tali pazienti: "La radice è marcita da così tanti anni, non è stata malata, e poi la guancia si è improvvisamente gonfiata, e come sempre fuori tempo."
nota
E come, ci si potrebbe chiedere, un tale paziente con un "flusso" che ha il minimo tocco di gomma può causare un forte dolore, rimuovere la radice del dente da un dentista? In effetti, quasi sempre l'anestesia viene eseguita nella proiezione delle radici del dente sulle gengive e lì in questo momento si accumula una quantità significativa di pus. Il chirurgo ha una scelta: in qualche modo provare a fare un'iniezione anestetica il più indolore possibile, tagliare la gomma, liberare il pus e inviare il paziente a casa, e dopo alcuni giorni, quando è meglio, rimuovere con calma la radice del dente danneggiata.
Oppure puoi eliminarlo qui e ora, ma in questo caso il rischio è molto alto che rimuovere la radice sia doloroso.
Come puoi vedere, non vale la pena ritardare con la rimozione delle radici dei denti cariati: devono essere rimosse e prima è meglio.
In quali casi è possibile preservare le radici dei denti e con quali metodi viene realizzato
Supponiamo di avere un dente in bocca (o anche pochi) che è già difficile chiamare un dente a tutti gli effetti a causa della carie, ma non rientra nemmeno nella categoria popolarmente chiamata “radice”.

Ad esempio, per lungo tempo ci sono state grandi otturazioni sui denti morti, che per qualche motivo sono caduti, e dal dente sono rimaste solo "corna e zampe": una o due pareti o i resti delle pareti dei denti. O, ad esempio, durante un pasto, un grosso pezzo si staccò dal molare e rimase solo un “moncone” con spigoli vivi.
In questi casi è necessario rimuovere le radici del dente o puoi ancora pensare a qualcosa che le salvi con le successive protesi della corona?
Quindi, oggi ci sono molte cosiddette tecniche di conservazione dei denti - le principali sono divise in conservative e conservative-chirurgiche.
I metodi conservativi per preservare i denti non comportano interventi chirurgici e la conservazione della radice (moncone del dente) viene eseguita preparando i canali (se necessario) e ripristinando la parte della corona con un metodo adatto, ad esempio ripristinando il materiale fotopolimerizzato usando un perno o inserendo e incoronando.
Un metodo chirurgico conservativo può essere richiesto in presenza di un processo infiammatorio nella parte superiore della radice del dente: dopo aver riempito i canali dentali (molto spesso con cemento dentale) lo stesso giorno o ritardando la resezione dell'apice radicolare. Questa operazione, di regola, si svolge in anestesia locale e può essere eseguita sia per i denti a radice singola che per quelli a radice multipla. L'operazione è generalmente semplice e richiede solitamente 15-30 minuti.

Tuttavia, a volte con il processo infiammatorio all'apice della radice o persino alle radici, è possibile fare a meno delle procedure chirurgiche - se è possibile effettuare un trattamento introducendo un farmaco antinfiammatorio nei canali, il dentista inserisce i farmaci per un certo periodo (da 2-3 mesi a 1-2 anni) con l'aspettativa di restauro dell'osso attorno all'apice della radice. Con una significativa perdita di tessuto osseo, è molto probabile che il medico scelga il metodo chirurgico conservativo, sia come unico modo per preservare il dente, sia per ridurre il tempo di trattamento (non un anno, ad esempio, ma 1-2 mesi).
nota
La resezione dell'apice della radice del dente viene eseguita in più fasi. Nella prima fase è in corso la preparazione preliminare (assunzione di anamnesi, in particolare per allergie, trattamento del campo chirurgico) e anestesia (molto spesso con preparazioni di articaina).
La seconda fase prevede l'inizio dell'operazione stessa: creare l'accesso all'apice della radice attraverso l'incisione della gomma, staccare i tessuti molli, ritagliare una piccola “finestra” speciale nell'osso e rilevare la radice del problema.
Al terzo stadio, una parte della radice con una cisti o un granuloma viene tagliata con un trapano, dopo di che vengono inseriti preparati nella ferita per stimolare la crescita ossea e accelerare la guarigione. La ferita è suturata.La nomina di farmaci per il trattamento domiciliare (inclusi gli antidolorifici) consente di ridurre al minimo le possibili sensazioni dolorose e consente al paziente di tornare alla normale vita in pochi giorni.
Metodi significativamente meno popolari per prevenire la rimozione di tutto il dente sono l'emisection e l'amputazione della radice.
Durante l'emisection, la radice interessata viene rimossa con parte della corona del dente marcio e le radici sane con la parte della corona intera rimanente vengono lasciate per le protesi.
L'amputazione della radice del dente, a differenza dell'emissione, non comporta l'escissione della corona: viene rimossa solo la radice (tutte) con la cisti o il granuloma presenti su di essa.
È interessante
Le opzioni esclusive per preservare un dente gravemente danneggiato sono la separazione corono-radicolare e il reimpianto del dente (ad esempio, se il dente è stato espulso dall'azione meccanica).
La separazione coronoradicolare viene eseguita per grandi molari quando esiste un focus non trattabile di infiammazione nell'area della biforcazione o triforcazione delle radici (dove si ramificano le radici). Il dente viene tagliato in due parti e il tessuto interessato tra le radici viene rimosso. Successivamente, ogni segmento di dente viene coperto con corone brasate per ripristinare la funzione persa della dentatura.
Impianto dentale - in poche parole, si tratta di un ritorno all'incavo del dente, che per un motivo o un altro era stato precedentemente rimosso da esso (di proposito, o, ad esempio, è stato accidentalmente eliminato all'impatto). Sembra incredibile, ma vero. Ad oggi, tali operazioni vengono eseguite raramente, di solito nei casi in cui il dente viene portato dal dentista appena eliminato.
In epoca sovietica, quando non erano disponibili i moderni metodi per preservare le radici distrutte complesse, tali metodi erano più o meno popolari per varie opzioni per il trattamento conservativo infruttuoso. Ad esempio, un dentista-chirurgo potrebbe prima rimuovere con cura un dente e un dentista-terapista ha eseguito un trattamento intracanal con riempimento e (a volte) resezione dell'apice della radice (amputazione, emisection). Il dente preparato (o parte di esso) è stato fissato al foro nello stesso punto usando lo splint con l'eccezione del morso per diverse settimane.
A causa della complessità tecnica e non sempre della giustificazione, oggi la tecnica del reimpianto dentale viene utilizzata solo in situazioni eccezionali.
In quali casi la radice dovrà comunque essere rimossa
Se non è possibile applicare nessuno dei metodi di conservazione del dente, è necessario rimuovere le radici del dente.
Le seguenti sono le situazioni più comuni nella pratica di un dentista che coinvolgono la rimozione delle radici dei denti:
- Con fratture complesse del dente (ad esempio, con una longitudinale - vedi l'esempio nella foto sotto);


- Sullo sfondo di gravi processi infiammatori vicino alla radice (grande cisti, periostite, osteomielite, ascesso, flemmone);

- La distruzione della corona del dente è molto più bassa del livello delle gengive;
- Mobilità radicale di III grado;
- Posizione atipica del dente distrutto (varie dentature).
E alcuni altri
Tuttavia, come già notato sopra, lontano da ogni frattura del dente, le radici rimanenti devono essere rimosse. Una scheggia può dividere sia da un dente vivo che da un dente morto, cioè precedentemente depulso, e i morti sono più vulnerabili a questo proposito, poiché diventano fragili nel tempo. Quindi, se la radice non è molto colpita e ha una solida base, il dente viene ripristinato con metodi convenzionali: il canale viene trattato (se il dente era vivo) e la corona viene ripristinata mediante restauro o protesi.
Ci sono alcune sfumature riguardanti le radici dei denti del giudizio: molti pazienti hanno fretta di sbarazzarsi di tali denti il prima possibile - i motivi possono essere diversi:
- A volte l'igiene dei denti del giudizio è difficile e vengono rapidamente distrutti a causa della carie;
- I denti del giudizio eruttati possono causare lo spostamento dei denti rimanenti nella dentatura, che spesso porta alla malocclusione;
- A volte otto portano a mordere regolarmente la guancia, cioè a una lesione cronica della mucosa, e questo è un rischio pericoloso di tumori maligni.
E così via Tuttavia, prima di affrettarsi a rimuovere gli otto, vale la pena prendere in considerazione il fatto che ci sono momenti in cui anche un dente del giudizio apparentemente gravemente danneggiato è importante per le protesi rimovibili o non rimovibili. Non tutte le persone possono permettersi l'installazione di impianti dentali per "disperdersi" anche con tali denti.

Pertanto, in alcune situazioni, il dentista può preservare le radici del dente del giudizio eseguendo il loro trattamento endodontico completo e il restauro del dente (ad esempio inserendo), seguito dal suo utilizzo come uno dei supporti, ad esempio un ponte.
Dalla pratica del dentista
In effetti, la maggior parte dei dentisti aderisce piuttosto condizionatamente all'elenco delle indicazioni per l'estrazione del dente o le sue radici. Il fatto è che un professionista nel corso degli anni di lavoro forma la sua opinione sulla possibilità di mantenere un dente in una particolare situazione clinica (spesso questo è il risultato di numerosi tentativi ed errori).
Quindi, ad esempio, un dentista ortopedico inesperto può insistere sulla preparazione delle radici di un determinato dente per un futuro ponte, a cui un dentista competente ed esperto, suppone, rifiuta, giustificandolo con la mobilità della radice (o delle radici), la distruzione del setto inter-radice, l'ostruzione canali a causa del metodo di trattamento con resorcinolo-formalina effettuato molti anni fa o un significativo focus infiammatorio all'apice della radice. Anche uno dei motivi elencati è sufficiente per abbandonare tale impresa.
Inoltre, esiste una cosa come "il valore funzionale del dente": anche se la radice del dente può essere tecnicamente ripristinata in modo conveniente, ciò non significa che senza un'analisi dettagliata dell'intera situazione clinica, vale la pena prenderla immediatamente. Il dente sarà in grado di funzionare normalmente in futuro? Altrimenti, c'è poco senso in questa conservazione. Ad esempio, questo vale per le radici dei denti che si trovano all'esterno della dentizione o per i denti del giudizio che non hanno antagonisti (che di conseguenza non sono in grado di svolgere una funzione masticatoria).
Modi per rimuovere le radici dei denti: dal semplice al complesso
In alcuni pazienti della vecchia scuola sovietica, il messaggio di un medico sulla necessità di rimuovere una radice del dente provoca quasi il panico. In genere, questa reazione è associata a un numero delle seguenti paure:
- È davvero necessario tagliare la radice dalle gengive, perché è semplicemente impossibile afferrarla con una pinza (a volte i resti del dente sporgono davvero leggermente sopra la gengiva);

- Il dentista martellerà il resto del dente per ottenere la radice attraverso i frammenti allora (in epoca sovietica, la separazione delle radici dei denti con uno scalpello e un martello era un luogo comune);
- Il dentista taglierà l'osso per accedere alle radici del dente ...
richiamo
“Il mio dente molare si staccò dall'angolo in basso a sinistra, dissero che era necessario scavare le radici. Credetemi, questo è terribilmente doloroso; io stesso di recente ci sono passato. E mi dissero anche che non avrei sentito quasi nulla, mi stava confortando, così non avrei avuto molta paura. È terribile, sono scoppiato a piangere proprio sulla sedia, mi hanno persino dato un sedativo. Mi hanno schiacciato e mi hanno scavato la mascella per un'ora, il dottore stava già sudando dappertutto. Il dolore è selvaggio, nonostante tre iniezioni ... "
Oksana, San Pietroburgo
La paura dello studio dentistico porta spesso al fatto che una persona può camminare per anni con residui di denti marci in bocca: si guarda allo specchio - la radice non è ancora completamente marcia e non fa male, il che significa che puoi ancora essere paziente. Per tutto questo tempo, i resti del dente subiranno una distruzione sempre più cariata, che in futuro potrebbe complicare ulteriormente il processo di rimozione delle radici.
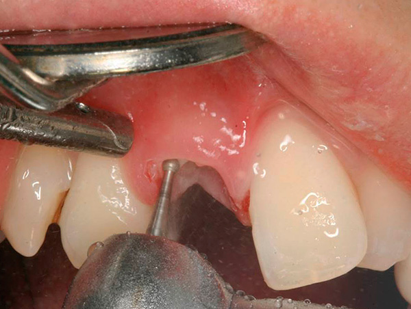
Nel frattempo, se non lo tiri fino all'ultimo, allora sarà abbastanza semplice per il dentista rimuovere le radici del dente con una pinza, con le guance appositamente adattate per questo. Anche se le radici sono parzialmente serrate dalla gomma, le incisioni non vengono eseguite.Inoltre, le radici mancanti hanno una linea di accesso, cioè la gomma non può chiudere completamente il "putrido" anche nel corso degli anni, quindi il dentista-chirurgo deve solo aprirli un po 'con una spatola e rimuoverli con una pinza. Di solito ci vogliono circa 3-10 minuti.
Le fotografie seguenti mostrano l'estrazione del dente, la cui parte della corona viene distrutta quasi al livello delle gengive:




Dalla pratica del dentista
Nei pazienti in età adulta (dai 40 anni in poi), la rimozione delle radici dei denti marci nella stragrande maggioranza dei casi non presenta particolari difficoltà, perché sullo sfondo dell'atrofia alveolare, una diminuzione dell'altezza delle partizioni e il processo infiammatorio vicino alle radici, il corpo “rifiuta” stesso, per così dire, pertanto, c'è spesso la loro mobilità in un modo o nell'altro. I professionisti sono ben consapevoli del fatto che più il paziente è anziano, meglio è, poiché la rimozione insieme all'anestesia richiede quasi sempre alcuni minuti, per la gioia del paziente e del medico.

Ora alcune parole riguardanti lo scalpellatura delle radici del dente usando uno scalpello e un martello. Ci sono casi complessi quando c'è un tandem di 2-3 o più radici, cioè c'è un setto a tutti gli effetti tra loro, e l'età del paziente è relativamente giovane, il tessuto osseo intorno alle radici è pieno. In altre parole, chiaramente non è previsto un regalo per un chirurgo dentale.
In questi casi, la pinza raramente aiuta a risolvere il problema e un dentista professionista prende ... No, non lo scalpello e il martello. Attualmente, un dentista professionista preferisce approcci moderni per rimuovere tali radici: tagliare con un trapano e rimuovere le radici individualmente con un ascensore e (o) una pinza. Ciò è particolarmente vero per il sesto dente e il dente del giudizio.
Foto di un dente le cui radici sono separate da un trapano prima della rimozione:

Quindi in quali casi ricorrono al martello e allo scalpello?
È estremamente raro che questa tecnica venga utilizzata (in senso figurato) nei densi villaggi della Russia centrale - inoltre, viene utilizzata come principale, poiché il chirurgo dentale non è a conoscenza della rimozione della radice con un trapano e addirittura taglia i denti con quasi un'intera corona, oppure non ha un trapano disponibile (dalla scarsa dotazione di armadi tutto accade).
Per quanto riguarda i casi in cui il taglio della radice con un trapano non aiuta, questa è una categoria separata: è estremamente rara, principalmente sui denti del giudizio inferiori e sui cosiddetti denti "formalina" (cioè quelli i cui canali erano stati precedentemente trattati con il metodo del resorcinolo-formalina). Per non lasciare andare il paziente con le radici lasciate nel buco, il medico, con l'aiuto di assistenti, ricorre a questa tecnica. Ma la percentuale di tali situazioni è circa l'1-2% del flusso totale di pazienti di un buon chirurgo dentale.
Per quanto riguarda il dolore durante la procedura: quando si rimuovono le radici del dente, viene eseguita la stessa anestesia in termini di qualità e tecnica dell'estrazione dei denti con una parte della corona. Se un dentista utilizza un anestetico obsoleto e, inoltre, non ha anestesia professionale, il risultato sarà disastroso, soprattutto per il paziente.
nota
Un tema piuttosto attivamente esagerato tra le persone: è possibile rimuovere da soli un dente danneggiato con l'aiuto di una pinza? Vengono anche forniti esempi spaventosi (da un punto di vista professionale) di cancellazione da parte di questo strumento. In primo luogo, in molti casi, un dente malato, anche con profonda distruzione cariata, non dovrebbe essere rimosso, ma può essere trattato con successo da un dentista. In secondo luogo, l'anestesia è necessaria per la rimozione e senza di essa il dolore sarà molto grave. In terzo luogo, con una tale estrazione dentale a casa, c'è un alto rischio di introdurre un'infezione nella ferita con il successivo sviluppo di complicanze. E questo per non parlare del fatto che molti temerari possono semplicemente schiacciare o rompere una parte del dente con una pinza, lasciando le radici e i frammenti nel buco.
Circa la situazione in cui dopo l'estrazione del dente nel foro rimane
Le paure dei pazienti spesso si riferiscono non solo alla paura di rimuovere le radici dei denti, ma anche alle prospettive della possibile uscita di residui di denti nel foro a causa della disattenzione del medico (ad esempio, una radice rotta con una cisti o frammenti). In effetti, in pratica, specialisti non molto esperti a volte incontrano tali precedenti. È interessante notare che un certo numero di tali dentisti sono fermamente convinti che tutto sarà in ordine e dicono ai loro pazienti: "Non preoccuparti, nel tempo la radice verrà fuori da sola".

Cosa succede se la radice del dente non è stata completamente rimossa dal medico?
Con la difficile rimozione della radice del dente, il dentista si trova spesso in una situazione in cui la punta della radice (punta) si interrompe e un aumento del sanguinamento dal foro chiude la vista per ulteriori azioni (in altre parole, l'intero foro è coperto di sangue ed è problematico discernere nulla). Un professionista può lavorare alla cieca, basandosi sulla sua esperienza, o rinviare l'accoglienza, spiegando correttamente alla persona cosa fare e quando visitarlo nuovamente per completare il lavoro.
Ma se il medico non ha molta esperienza nell'estrazione del dente o preferisce sostanzialmente il tatto della "non interferenza" (a volte per non perdere tempo), allora consiglia al paziente di aspettare fino a quando la radice "non esce da sola". Di ', non ti preoccupare, il problema si risolverà da solo.
Opinione del dentista
La pratica di lasciare una radice del dente rotto nella speranza che tutto vada bene è viziosa. In effetti, in molti casi, la radice sinistra o la scheggia potrebbero non disturbare a lungo e la ferita semplicemente non si restringe completamente nel corso degli anni: rimane qualcosa come un canale o un passaggio fistoloso e la radice si sposta gradualmente sulla superficie della gomma. Questo può richiedere molto tempo (fino a diversi anni) e per il proprietario di un dente così incompleto non c'è nulla di buono: il processo infettivo nella parte superiore della radice continua il suo effetto negativo sul corpo.
Il peggio di tutto si ottiene nei casi in cui rimane l'apice della radice con un granuloma o una cisti. I problemi sorgono immediatamente sotto forma di infiammazione purulenta sulle gengive ("flusso") o ritardati, ma quasi certamente si verificheranno (possono accadere anche dopo 10 anni). La situazione più spiacevole è quando la radice sinistra viene stretta dalla gomma e si forma un nuovo osso attorno ad essa, cioè il resto del dente si trova in una specie di capsula che la separa dai tessuti sani. Quanto tempo passerà prima che tutto ciò si senta non è importante, ma più tardi seguirà la visita dal dentista, più sarà probabile che con lo sviluppo di una esacerbazione del processo purulento (periostite, osteomielite, ascesso, flemmone) un ospedale sul tavolo operatorio.

Pertanto, se il dente non è stato completamente rimosso (dopo che il dente è stato rimosso, rimane un frammento di radice nel foro), è consigliabile adottare misure per portare alla fine la questione avviata dal medico e questo dovrebbe essere fatto nel prossimo futuro. Ciò consentirà di non lasciare il focus infiammatorio per molti anni, nonostante la certezza del medico curante di attendere fino a quando tutto scompare da solo. In tali casi, è utile contattare un altro dentista senza lasciare una bomba a orologeria nella mascella.
Dopo aver rimosso il dente, si può scoprire che le sue radici saranno completamente estratte, ma a livello delle gengive troverai già alcuni piccoli frammenti a casa. Inoltre, il dentista dal quadro può accertare l'assenza di radici nel foro, ma non presterà la dovuta attenzione al margine gengivale. Qui il fatto è che un dente distrutto dalla carie spesso si sbriciola durante la rimozione e singoli frammenti collegati alla gomma non vengono rimossi dal dentista-chirurgo per diversi motivi:
- Scarsa visibilità a causa del sanguinamento del tessuto danneggiato;
- Disattenzione del medico;
- Negligenza.
Se questi detriti rimangono nel foro (anche piccoli pezzi di un dente cariato), i rischi di sviluppare alveolite, un'infiammazione infettiva accompagnata da dolore, gonfiore, febbre, malessere generale e altri sintomi spiacevoli, aumentano fino a un certo punto.Ecco perché un dentista competente non solo rimuove tutte le radici del dente, ma esamina anche la ferita per la presenza di piccoli frammenti del dente, pezzi di osso (se la rimozione era difficile), materiale di riempimento.

Una ferita pulita guarisce, di regola, molto più velocemente e più a suo agio di una contaminata, quindi è così importante consultare un dentista in tempo e pulire il foro se si notano elementi estranei.
È possibile rimuovere da soli la radice del dente
Oggi su Internet puoi spesso vedere l'aspetto delle recensioni video su come le persone si rimuovono i denti a casa. Inoltre, non ci sono solo recensioni video, in cui gli adulti e, per dirla in parole povere, gli uomini alticci tirano fuori indipendentemente i loro denti fatiscenti, ma ci sono anche esempi di autoestrazione dei denti da latte nei bambini.
Vediamo se vale la pena sperimentare in questo modo?
Non solo questo aspetto non è molto attraente da un punto di vista estetico (le persone si contorcono dal dolore, il sangue letteralmente drena sulle dita), ma la preoccupazione principale è, innanzitutto, la mancanza di condizioni sterili durante la procedura. Non puoi nemmeno parlare del componente professionale: se la rimozione di un dente più o meno intero è ancora in qualche modo implementata dal decimo e viene realizzata (a condizione che la parte della corona non si sgretoli in frammenti), i denti che sono stati distrutti alla radice difficilmente possono essere rimossi indipendentemente.
Pertanto, "tirare" i denti a casa (incluso il latte sconcertante) non dovrebbe nemmeno provarci.
Video interessante: rimozione delle radici di due denti, seguita da sutura della ferita
Descrizione disponibile degli strumenti utilizzati per rimuovere i denti






Le radici di 5 furono rimosse nella clinica di Samara. Tutto è stato fatto in modo professionale, i vuoti sono stati puliti, dopo la rimozione è stata scattata una foto - per controllare i residui. Se il medico è amico del cervello, in odontoiatria libera farà tutto saggiamente. L'importante è non aver paura! Trattare i denti in tempo.
Tali articoli possono essere letti da un dentista o da qualcuno che non è mai stato da un dentista.
A mio avviso, tali conoscenze dovrebbero essere fornite nelle scuole, ad esempio, durante una delle lezioni di biologia, ma è indispensabile parlare di metodi di trattamento e protesi. È molto utile esaminare i propri problemi con l'occhio di un dentista. E se lo scoprissi in età scolare, allora il mio atteggiamento nei confronti di denti e dentisti sarebbe completamente diverso.
Ho letto, mi dispiace di non essere andato dal dentista prima. Problemi di bocca piena. Avevo paura e mi vergognavo di mostrare marcio. Vado da un mese, verranno posizionati 5 impianti e 12 corone. Il trattamento è spaventoso, ma non doloroso. Avrei saputo prima, sarebbe passato molto tempo.
Quanto è costata l'intera azione? Se non è difficile, allora sui punti. Io stesso sono di Rostov. Cosa voglio capire per cosa. Il problema è lo stesso
In effetti, non è doloroso da trattare ora, né è spaventoso, ma costoso. Molto costoso. Solo dal dentista: il trattamento della pulpite di un dente a tre canali con il successivo restauro della parte della corona con un riempimento fotopolimerizzabile a causa della grande distruzione durante il trattamento mi è costato 18.800 rubli.
È molto costoso! Inoltre, nessuno può dire con certezza il costo esatto di tale trattamento in anticipo. Salvo rimozione.
Signore, che sta succedendo? E dove sono i pazienti così allevati? Sono un dentista, quindi sono terrorizzato dall'arroganza di alcuni dentisti, perché puoi immediatamente dare voce al costo di una polpite a tre radici con restauro, anche dando un'occhiata a un dente e non "nel processo", come è stato fatto in molti luoghi. Si può vedere che la cosa principale qui è far sedere il paziente e quindi aumentare il prezzo indefinitamente - e dove andrà. Ci sono stati periodi peggiori, ma non c'era mezzo ...
Accidenti, ho la stessa spazzatura, fin dall'infanzia aveva paura dei dentisti. E ora ho paura dell'orrore, un boccone di problemi (
E il dentista dell'ospedale nel centro del distretto ha rovinato il mio atteggiamento nei confronti dei dentisti quando sono stato costretto a visitarla in seconda media in vacanza. Ho rimosso il nervo e trattato il dente senza antidolorifici. Sibilò anche a me. Dopo ciò, non sono mai stato dal dentista.
È strano che ci sia un problema con i frammenti rimanenti. Per quanto ricordo, anche con la solita perforazione dei nervi dalle radici, mi hanno mandato a una radiografia (con gli aghi incastrati nei buchi) ... Inoltre, è successo che dopo aver continuato a raschiare con una lima ad ago!
Per me, come paziente, puoi solo distinguere che è un dente e che i fori sono praticati alle radici in esso, ma il medico fornisce chiaramente al medico informazioni complete su tutto ciò che è nascosto nelle profondità.
Benvenuti! Esatto, il medico controlla le fasi principali con l'aiuto delle immagini per svolgere il proprio lavoro qualitativamente. Ma spesso, soprattutto nelle istituzioni di bilancio (in diretta), non scattano foto: il medico semplicemente non ha tempo per la riassicurazione e persino la clinica ambulatoriale potrebbe non avere attrezzature e forniture funzionanti. Tutto ciò aumenta il rischio di problemi. E senza rimuovere i frammenti, sorgono spesso vari problemi: dall'alveolite a gravi manifestazioni purulente nella regione maxillo-facciale. Allo stesso tempo, le gengive guariscono duramente, i frammenti di molti pazienti stessi non escono e i rischi di un esito negativo sono grandi.
Quasi una settimana fa, le otto carie inferiori distrutte dalla carie sono state rimosse. Mi stavo preparando a sopravvivere all'incubo, ma tutto è andato molto rapidamente e senza dolore. Il dottore fece l'anestesia e semplicemente spinse fuori un dente (o meglio, i suoi resti) con un ascensore. Ci sono voluti solo un paio di secondi. Non riesco ancora a credere di essere sceso con un solo spavento. Grazie al dottore! A tutti coloro che si trovano ad affrontare questa spaventosa procedura, auguro le stesse cancellazioni rapide e di successo!
La parte superiore sinistra 7 si incrinò a causa di stress meccanici e un pezzo di dente cadde (la parte lunga va abbastanza in profondità nella gomma). Il dentista alla richiesta di rimuovere questo dente ha detto che non è necessario rimuovere il dente ed è necessario ripristinarlo.
Restaurato. Dopo un paio di settimane, il dente si spezzò e si staccò e la gomma era leggermente gonfia. Quindi la temperatura è di 38-39, dolori, mal di testa e stomatite sulla superficie della bocca (il focus è la gengiva del dente danneggiato). Cosa fare Trattate così?
Benvenuti! Le tattiche del dentista erano errate. Era necessario:
1. Rimuovere immediatamente il dente secondo le indicazioni;
2. Oppure, per eseguire il restauro della sua parte di corona con la linguetta + corona, possibilmente con preparazione preliminare intra-canale.
Penso che ora lo scenario più probabile sarà la rimozione delle radici del dente, il trattamento della stomatite e il processo infiammatorio nelle gengive. Dopo aver rimosso le radici, dovrebbe essere delineato un piano per riparare il difetto: utilizzando l'impianto o utilizzando moderne strutture ortopediche (ponti, ad esempio).
Ho molta paura, la paura mi fa andare dal dentista. Ho radici marce - tutta la mia bocca. Ho 63 anni. Come superare la paura in te stesso?
Buon pomeriggio, Nina.Nelle buone cliniche, il team comprende non solo i dentisti di varie specializzazioni, ma anche gli anestesisti che selezioneranno la terapia appropriata per rendere il trattamento il più confortevole possibile per te. Sii più forte delle paure. E ricorda che i bravi dottori ti desiderano solo bene. Con questo atteggiamento, vai dal dottore e molto presto ricorderai le tue paure dalle risate e non dai tremori. E il bonus sarà l'assenza di mal di denti, un bel sorriso e la capacità di masticare completamente cibi gustosi e sani.
Nina, un idiota in odontoiatria per l'anestesia generale. Una puntura in una vena - e tu dormi, nessun dolore. Svegliati, tutti i denti saranno guariti, i denti cattivi rimossi. L'anestesia è molto ben tollerata e, soprattutto, nessun dolore. Buona fortuna Non tirare. Non fa affatto male!
Questa paura non è dolore, ma un enorme spreco. L'anestesia viene pagata, la rimozione viene pagata. E poi cosa? Camminerai con la bocca vuota senza denti? No. Sono necessarie eventuali protesi. Ed è molto costoso! 🙁
I 4, 6, 7, 8 in alto a sinistra sono distrutti, temo di rimuoverli, poiché il medico ha detto che con alcuni denti sarà difficile. Così come con il dente superiore destro, che è stato rimosso per circa mezz'ora con diversi strumenti ... Dopo di che, ho molta paura di andare a cancellare. E ora mi sono ammalato: febbre, naso che cola, tosse e il secondo zigomo fa male il secondo giorno (una sensazione soffocata e antidolorifici non aiutano ...)
Benvenuti! L'ARVI, come altre infezioni, provoca spesso un'esacerbazione della parodontite cronica, una malattia che accompagna le radici dei denti trascurate. Sebbene non vi siano fattori provocatori, essi (le radici) possono rimanere in silenzio per anni, ma un piccolo fattore esterno (pungente, ad esempio) e interno (ARVI, tonsillite, stress) sono sufficienti, poiché sorgono varie complicazioni. Penso che in caso di emergenza (se il dolore diventa molto grave) non dovresti aspettare molto, ma consultare immediatamente un medico con i sintomi che ti disturbano. Inoltre, un'opzione di compromesso: prima rimuovi solo le radici che provocano dolore.
Quindi prendi coraggio e vai dal dottore.
Anch'io faccio notare, 4 denti distrutti e persino la parte frontale della curva ((non so come forzarmi ad andare a questa vergogna ...
Ho rimosso l'ottava mascella inferiore, perché voglio mettere le parentesi graffe. Rimaneva un pezzo di radice del dente, il dottore disse che questo pezzo non mi avrebbe disturbato e sarebbe uscito in pochi anni. Iniziò a dubitare della competenza del dottore. Il dente non era cariato.
Benvenuti! Secondo il protocollo, le radici dei denti non possono essere lasciate nel foro, poiché questa è una possibile fonte di infezione per il futuro. Da questo punto di vista, si può parlare dell'incompetenza del medico (molto probabilmente, semplicemente non poteva o non voleva finire il lavoro fino alla fine a causa delle difficoltà incontrate).
Le radici lasciate dal medico sono spesso spesso "respinte", ma questa non è una panacea e potrebbe non essere sempre così fortunata. Il processo infiammatorio intorno alla radice può aumentare ogni anno, il che a volte comporta conseguenze pericolose. Questo è il motivo per cui, anche se esiste un rischio dell'1%, è comunque consigliabile rimuovere il resto della radice. Consiglio di contattare un altro dentista, più esperto.
Non cercare nulla su Internet. Solo a 30 anni ho capito che la cosa più importante è la salute e risparmiamo sempre su noi stessi. Certo, pensiamo che sia meglio vestirsi, pagare prestiti, ecc. Ho trascorso quasi un anno con 4 radici, cioè ho avuto 4 denti posteriori cariati. Dato che la mamma è anziana, ho cercato di aiutarla più di me. Ma venne il giorno in cui ricevetti coscientemente uno stipendio e andai dal mio giorno libero di odontoiatria. Certo, pagato. Nei nostri ospedali gratuiti, ho poca fiducia e nessuna fiducia.Hanno fatto una foto 3D della mascella, assegnato 4 traslochi per un mese. Tutto ciò che rimane è da trattare, quindi, rispettivamente, le protesi. La rimozione e il trattamento possono ancora essere rinviati, ma le protesi non brillano. In generale, ricorda!
1) Apprezza la tua salute e anche se hai paura, devi ancora andare o forzarti.
2) I dentisti sono anche persone normali e non giudicheranno nessuno. Tipo: Fuuu, che, interessante, la bacia, è terribile! No, al contrario, motivano con una buona consultazione.
3) Avere figli (o prendere nota per te in futuro), tieni presente che l'igiene orale non si limita a lavarti i denti ogni mattina e sera. Almeno una volta all'anno, devi correre per un controllo e, se qualcosa ti dà fastidio, non ritardare! E per i bambini, instillalo nell'infanzia. Ora so per certo che non ripeterò l'errore dei miei genitori, e i miei figli andranno a un esame programmato, e in futuro questo diventerà un'abitudine. E, di conseguenza, non ci saranno problemi.
Buona fortuna a tutti coloro che vanno a rimuovere le radici! Non averne paura, è spiacevole, ma non doloroso. Un saluto separato ai dentisti. Impara bene per salvare le persone in seguito. Grazie
Grazie, molto istruttivo.
Quanto possono durare le radici dei denti coperte da una corona a livello gengivale se il ponte in metallo-ceramica è rimasto su di esso per 10 anni? Non c'è infiammazione, ma il canale non è completamente chiuso.
Ciao La durata approssimativa dei denti è determinata individualmente per ciascun caso e non esiste un valore medio (forse dovrebbero essere già rimossi, o forse serviranno per molti più anni, nonostante il canale non completamente sigillato). Per determinare quanto a lungo possono durare le radici del tuo dente, devi conoscere il grado e la profondità della distruzione della radice - questo può essere fatto dopo aver rimosso il ponte e i raggi X. Quindi senza una visita dal dentista non si può fare qui.
Ho molta paura di estrarre le radici (6 e 7 sulla mascella superiore). 6 detriti invasi, nemmeno visibili. Una volta ho provato a tirarlo fuori: il dottore mi ha fatto un'iniezione, tirò fuori e mostrò un chip. Dico: dov'è la radice, e lui dice che non c'è radice. Dopo ciò, ho smesso di andare in questa clinica statale.
Ho 62 anni. Tutti i denti trattati si sono spezzati alle radici. Ma i canali in essi sono sigillati. Molto impaurito, il mio cuore inizia a farmi male. Devo avvertire il mio medico delle mie paure?
Buon pomeriggio, Natalya! Nonostante le paure, i denti rotti non possono davvero essere ignorati: sono una fonte di infezione batterica cronica e (spesso) alitosi. Al fine di valutare le condizioni generali dei denti e la possibilità di preservare almeno le loro radici, è necessario prendere una radiografia e fare la diagnosi corretta.
Un medico deve essere avvertito delle sue paure, almeno per un trattamento più confortevole. Inoltre, se discuti delle paure con il medico, alcune delle paure passeranno, poiché spiegheranno tutto in modo più dettagliato sul trattamento imminente. La paura del dentista (stomatofobia) è un fenomeno comune e, al fine di risolvere questi problemi, oggi in molte cliniche le procedure dentali vengono eseguite sotto sedazione sotto la supervisione di un anestesista.
Il dente del giudizio superiore è stato rimosso ieri. Mentre ce n'è uno, ho intenzione di rimuovere tutto e mettere parentesi graffe. Durante lo strappo, il dente si è rotto ed è stato estratto in alcune parti. Sono state scattate 2 foto. Non dirò che è stato doloroso, ma le sensazioni sono ancora lì, soprattutto di sera e di notte. Oggi, il luogo di rimozione sta ancora sanguinando. Temo che mi faccia male l'intera mascella, perché i medici si sono alternati alla ricerca del chip per molto tempo, le mie labbra sono tutte sfregate.Ma sono ancora contento! In precedenza, dovevi andare ed eliminare tutto! Ogni anno porto tutti i bambini dal dentista per un esame; registro anche mio marito. Andiamo all'odontoiatria ordinaria, fanno tutto meraviglioso, educato e anestetizzano. Ora devo solo guarire alcuni denti (piccola carie) e sarò felice! Guarda i tuoi denti!
Per favore, dicci di più sul restauro dei denti con una linguetta e una corona. Perché questo metodo è così raro? Perché è sempre consigliato solo la rimozione? Dopotutto, i loro denti naturali sono sempre molto meglio dell'impianto più moderno.
Ciao Veronica. Le indicazioni per la fabbricazione della linguetta del moncone sono piuttosto strette e tutto dipende dalla situazione clinica (è possibile trattare i canali del dente, c'è un processo infiammatorio nella parte superiore della radice - cisti o granulomi). Inoltre, non tutti i denti possono avere una corona.
Quindi le radici dei loro denti sono spesso al centro di un'infezione cronica e se non c'è modo di curare e ripristinare il dente, allora non ha senso offrire al paziente una linguetta più una corona. In tali casi, il dente deve essere rimosso.
Un dente rotto è stato rimosso ieri. Quando ho rimosso il vello, sembrava che ci fosse solo una radice. Ora non posso considerare a causa di un coagulo di sangue. La gomma è gonfia, il buco sanguina. Quando posso fare una foto o consultare un medico?
Ciao Aigul. Puoi andare dal medico in qualsiasi momento: questo è normale quando il paziente viene a consultarsi su questioni che lo riguardano dopo l'estrazione del dente. Cerca di non sciacquarti la bocca durante il primo giorno: il coagulo di sangue che si forma in un buco vuoto dopo l'estrazione del dente è molto importante per la guarigione, quindi fai attenzione a non strapparlo.
Per quanto riguarda la tua ipotesi sulla radice che rimane nel foro - molto probabilmente, questa non è la radice del dente, ma il setto inter-radicale osseo. Ma per salvarti da inutili preoccupazioni, andare dal medico ha perfettamente senso.
Dalla quinta elementare, sono in preda al panico per i dentisti a causa della bassa soglia del dolore (anche una semplice iniezione nella gomma è molto dolorosa per me). Ciò ha portato al fatto che per più di 10 anni, indipendentemente da quanto siano dolorosi o danneggiati i denti, quando mi avvicino alla clinica dentale, inizio ad avere un panico naturale. Non molto tempo fa si è sopraffatta, in uno stato semi-svenuta è arrivata alla sedia ed era inorridita - più di 12 radici dovevano essere rimosse (sebbene l'ispezione fosse senza una radiografia, forse di più).
E sarei felice, ma non appena sono andato dal chirurgo per la rimozione, ho quasi perso conoscenza sulla sedia. Questa fobia, unita a una soglia del dolore, non mi consente ancora di risolvere il problema ... C'era una cosa, ho persino iniziato a odiare me stesso per tali caratteristiche del corpo. Mi sento respinto, perché ho solo 25 anni e la mia bocca è piena di marcio. Ecco alcuni pensieri per ubriacarsi prima di andare da un dottore sedativo, ma non so se sarà di aiuto.
I problemi dentali sono terribili. Gente, non iniziare i denti come una volta una bambina di 13 anni li ha iniziati! E grazie mille per l'articolo!
Chiunque abbia paura di andare! La paura è normale, la vergogna è normale. Ma la salute è più importante. In effetti, al medico non importa in quali condizioni siano i tuoi denti. Lo considera esclusivamente come uno specialista e valuta la parte anteriore del lavoro. Vede ogni giorno marcio, nodoso e altri denti. Il suo dovere è di farti un bel sorriso e la capacità di masticare mele verdi. Il tuo compito è quello di attraversare il difetto della clinica. Vai alla reception una volta e poi non ti toglierai le orecchie da lì, poiché ora tutte le procedure sono indolori.
L'unico aspetto negativo (personalmente la mia opinione) è il prezzo e ancora il prezzo! Voglio fare denti belli e sani, ma non ho abbastanza soldi ((Buona fortuna a tutti! E correndo dal dentista.
Vivo a Mosca. La mia radice del dente è rimasta dopo la rimozione, di conseguenza, la gomma è stata stretta e la radice del dente è stata ricoperta di tessuto osseo. Recentemente, sono comparsi un flusso e un dolore selvaggio: lo hanno inviato a una TAC all'ospedale maxillo-facciale. Hanno trovato una grande cisti, hanno detto con urgenza di fare i test - e per un intervento chirurgico. Chiunque abbia subito un'operazione simile si dice che stia tagliando la gomma, segando la mascella. Come va una simile operazione e si avverte dolore?
Ciao "Tagliare la gomma" e "segare la mascella" - anche se questo sembra spaventoso, ma in realtà non è così spaventoso, rimuovere le cisti è una procedura abbastanza comune. L'anestesia moderna rende possibile eseguire tali operazioni quasi indolore (tranne che quando l'anestesia passa, potresti avvertire un certo disagio durante la guarigione iniziale della ferita). Quindi non preoccuparti e risolvi rapidamente il problema senza aspettare complicazioni.
La zanna è rotta dall'alto, la radice rimane - è già in decomposizione e dolorante. Ho paura di andare dal dentista. Dimmi, è doloroso rimuovere la radice canina?
Ciao Tatyana! Gli anestetici moderni consentono di eseguire praticamente qualsiasi trattamento chirurgico in odontoiatria senza gravi conseguenze. Inoltre, quando si rimuovono i denti durante l'introduzione dell'anestetico, vengono utilizzati aghi molto sottili, che riducono al minimo il dolore anche in fase di iniezione.
Per quanto riguarda la necessità stessa di rimuovere una radice del dente che è stata distrutta dalla carie, il che fa male, questo dovrebbe essere fatto il prima possibile. Inoltre, la situazione peggiorerà rapidamente. Quindi consiglio di non esitare più e al più presto consultare un medico per un aiuto.
Ho avuto lo stesso problema. L'operazione è stata eseguita in chirurgia maxillo-facciale. Avevo molta paura, ma con mia sorpresa hanno fatto tutto in modo professionale e veloce. Non ho sentito niente. Cucito - e gratuito. Ci sono voluti circa 10 minuti, tenendo conto dell'anestesia. Quindi non preoccuparti. Non credevo nemmeno che tutto fosse fatto, solo quando ho sentito il filo con la lingua, mi sono reso conto che tutto.
Buona sera 23/05/2019 a Solnechnogorsk ha rimosso la radice del 6-ki (a destra) per il successivo impianto. L'operazione è durata circa 2 ore, dal momento che il protesista non è stato in grado di rimuovere le radici (in precedenza sono state eseguite 3 radiografie del dente). Tutto è stato usato: entrambi gli elevatori e un martello, e più di una volta, una macchina al boro, ho persino dovuto prendere un set per rimuovere l'8 ott ed eseguire nuovamente l'anestesia, ma le radici non si sono arrese. Il problema era anche che la mia bocca non si apriva bene e il mio campo visivo era limitato (come ha detto il dottore: lavoriamo al buio). Naturalmente, ero preoccupato e spaventato, non mi aspettavo che questa operazione avrebbe guadagnato una tale scala.
Quando le radici furono rimosse, il dottore controllò il buco, mise della sostanza, coprì con una membrana e suturò. Ho prescritto un corso ultra-corto a: b: Tsifran-st (venerdì, sabato, domenica, 2 compresse, 500 mg) e per aiutare il farmaco antinfiammatorio Arkoxia (60 mg) + risciacquare con clorexidina e una dieta. Per questa operazione, non so se questo prezzo è incluso nel costo dell'intero impianto, o solo la radice del dente (il medico non è particolarmente socievole in questo senso), ha dato 53 mila rubli. (Lo so, era sbalordito). Il dottore ha detto che ci incontreremo tra 100 giorni a settembre e posizionerà con calma l'impianto.
Dopo una settimana di riesame non è stato nominato, anche se dopo un'operazione così complessa, credo, dovrebbe essere l'ispezione. La gomma ha "abbracciato" il 5 ° e il 7 ° dente, e solo le suture sono visibili al 6 ° posto e al centro vi è una cavità e contenuti bianchi, che di volta in volta scompaiono in piccoli grumi, e si verifica un dolore temporaneo doloroso che passa rapidamente. Ma a volte fa male in modo che i denti superiori inizino a fare male, nonostante l'assunzione di farmaci anti-infiammatori e il risciacquo. La lingua ha un sapore aspro nella cavità.
Ho il sospetto che le tattiche scelte dal medico fossero sbagliate, forse mi sbaglio. Ho trattato i denti fin dall'infanzia (ora ho 31 anni) e 6 sono i più problematici, quindi hanno pulito le radici e le hanno riempite. Di tanto in tanto la corona veniva restaurata, quindi l'immagine mostrava che le radici erano intatte e sigillate, ma la corona era parzialmente distrutta e spostata. Il dottore non ha detto nulla al riguardo, era interessato solo all'impianto dentale (e, apparentemente, al prezzo). Sebbene, forse, fosse possibile non rimuovere le radici, ma realizzare delle protesi della corona su queste radici, che, come ha dimostrato la pratica, erano forti e difficili da rimuovere. Bene, il secondo punto è la mancanza di esame una settimana dopo l'operazione, cioè il medico, a quanto pare, non si preoccupa di come si sente il paziente e di come procede il recupero dopo l'operazione. Cose del genere.
Dimmi, la guarigione del buco è normale nel mio caso e cosa dovrei fare con il dolore doloroso? Grazie
Benvenuti! A giudicare dalla tua descrizione, è possibile che tu abbia l'alveolite (questa è una complicazione dopo l'estrazione del dente, caratterizzata da un processo infiammatorio acuto). I "grumi" che emergono dal buco sono particelle di materiale osseo che sono state posate nel buco. In una tale situazione, la normale guarigione del materiale osseo è piuttosto dubbia, quindi consiglierei di non aspettare 100 giorni, come hai scritto, ma consulta un medico in questo momento - almeno per risolvere il problema della conservazione o della rimozione del materiale osseo.
Benvenuti! Ho un dente da latte, un moncone, già 2 anni fa esattamente, alla pari con la gomma. Ma la costante cresce, la sposta ... Esiste una cisti e, in tal caso, come rimuoverla? Ci saranno delle complicazioni?
Ciao Ksenia. Per diagnosticare la presenza di formazioni cistiche, è necessario contattare una clinica dentale, poiché la presenza di una cisti può essere determinata da un medico solo dopo un esame radiografico. A volte è necessario rimuovere la radice del dente da latte, poiché può diventare un punto focale di infezione e potrebbe esserci una minaccia per il dente permanente e la dentatura nel suo insieme.