
Successivamente imparerai:
- In alcuni casi, i denti del giudizio (otto) sono meglio trattare dopo tutto piuttosto che correre per rimuoverli;
- Perché hai bisogno dei denti del giudizio e quali benefici possono servirti in futuro?
- Vale la pena trattare l'ottavo dente se è gravemente danneggiato dalla carie e quali importanti sfumature dovrebbero essere prese in considerazione;
- In quali situazioni il dente del giudizio dovrebbe essere rimosso necessariamente e il più presto possibile;
- Quale può essere il destino degli otto quando si sviluppano complicanze della carie, in particolare, con pulpite e parodontite;
- E infine, qual è il costo medio del trattamento e della rimozione di un dente del giudizio in una clinica pubblica e in odontoiatria privata ...
I denti del giudizio (ottavi) prima o poi esplodono nella maggior parte delle persone e non sorgono tutti i problemi con loro. Spesso, otto escono normalmente dalle gengive, senza formare un cappuccio gengivale, e quindi per anni svolgono regolarmente la loro funzione di masticazione senza alcun segno di lesioni cariose.
Tuttavia, ciò non sempre accade: non è per niente che i denti del giudizio sono considerati i più problematici. La situazione più comune è la dentizione difficile del dente del giudizio, quindi segue la sua distruzione a causa della carie e la valutazione chiude il posizionamento errato nella mascella, causando lesioni alla guancia o alla gomma.
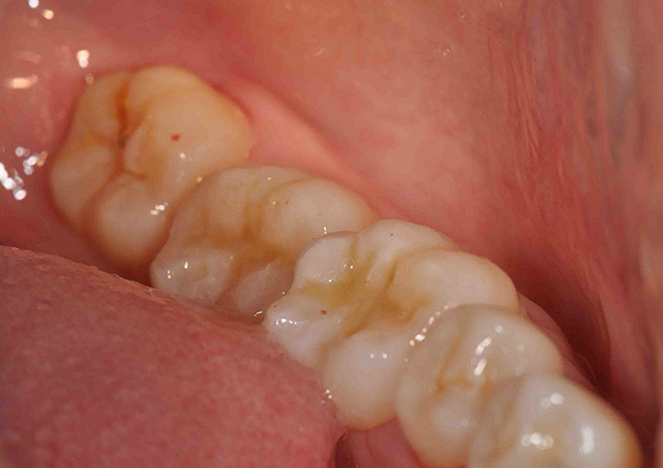
La foto sotto mostra un dente del giudizio semi-rinforzato (cioè è solo parzialmente scoppiato):

Una persona che soffre di dolore in tali situazioni solleva una domanda abbastanza ragionevole: è necessario, in generale, trattare questi denti del giudizio problematici, o forse è meglio rimuoverli immediatamente da un dentista, in modo da non soffrire più?
Su quali casi i denti del giudizio devono essere rimossi e in quali situazioni ha senso trattarli, così come su alcuni problemi che possono sorgere in questo caso - parleremo più di tutto questo in modo più dettagliato ...
È interessante
I denti del giudizio rimangono ancora una sorta di mistero per la natura. Oggi, i dentisti continuano a fare ricerche relative allo studio delle caratteristiche dell'ottavo dente: la struttura insolita, la posizione nella mascella, la dentizione, il trattamento, la rimozione, ecc.
I denti del giudizio non hanno un numero fisso di canali e radici, potrebbero non "sfondare" la gomma durante la vita di una persona, potrebbero crescere in modo non uniforme e creare seri problemi ortodontici, portare a malocclusione, potrebbero trovarsi orizzontalmente nell'osso o addirittura "sottosopra" ". Ma spesso un dente del giudizio può venire liberamente e senza ostacoli nel mondo, senza causare disagi a una persona e svolgere un'utile funzione (masticazione).
Perché abbiamo bisogno dei denti del giudizio e quando possono tornare utili
C'è un'opinione secondo cui i denti del giudizio sono un esempio di atavismo: venivano da noi antenati lontani che mangiavano cibo ruvido che, se veniva cotto, senza un lungo trattamento termico. Per masticare efficacemente, era necessaria una grande superficie da masticare: molari grandi e durevoli, compresi i denti del giudizio.
Rispetto alla dentatura dei nostri antenati, l'arco dell'uomo moderno è stato ridotto di una media di 10-12 mm - rispettivamente, lo spazio per otto è diventato inferiore. Il cibo consumato dalla civiltà umana è diventato più morbido e più digeribile e, di fatto, il bisogno di denti del giudizio, in termini di funzionalità, è scomparso.

Tuttavia, i denti del giudizio possono essere molto utili nella vita della maggior parte delle persone in due condizioni di base:
- Hanno una coppia - cioè l'ottavo e il terzo superiore su uno (o entrambi) i lati della mascella sono una coppia di antagonisti;
- Non sono molto distrutti dalla carie e non hanno mobilità (ad esempio, a causa della parodontite), ovvero possono essere utilizzati in futuro come supporto per una struttura ortopedica (corona singola, ponte, sotto la fibbia di una protesi rimovibile, ecc.).
Nel primo caso, tutto è più o meno chiaro: perché dobbiamo rimuovere un dente del giudizio se soddisfa funzionalmente tutti i requisiti per la normale masticazione del cibo. Naturalmente, a questo proposito, non occupa una posizione di leader come il 6 ° e il 7 ° molare, ma contribuisce regolarmente e pienamente.
Per quanto riguarda il dente del giudizio, come speranza di una protesi promettente negli anziani, si può dire quanto segue: se un gran numero di denti sulla mascella superiore o inferiore si perde in determinate situazioni cliniche, è la figura otto che può diventare un eccellente supporto per la futura protesi nel senso ampio della parola.
Un esempio di utilizzo di un dente del giudizio conservato come supporto per una protesi di chiusura è mostrato nella foto qui sotto:

Dalla pratica del dentista
Spesso, un dente saggio diventa l'ultima speranza per un ponte - quindi perché, ci si chiede, senza una necessità irresistibile di estrarre un dente del giudizio, che, se si perdono denti importanti per protesi (6 e 7), può diventare un supporto affidabile per il ponte che va dai cinque (premolare).
Anche in caso di distruzione, il dente del giudizio può diventare un supporto sotto la corona e che, a sua volta, fungerà da elemento di supporto per il fissaggio di una protesi parziale rimovibile (fibbia, placca, protesi a farfalla, ecc.).
Quindi, come puoi vedere, i denti del giudizio devono essere protetti e, se ci sono opportunità, guariti e rimossi solo in ultima istanza, quando ci sono indicazioni rilevanti per questo. Tuttavia, per quanto riguarda le indicazioni per la rimozione di otto, ci sono sottigliezze - consideriamole ulteriormente. E iniziamo, forse, con la domanda della necessità di rimuovere i denti del giudizio con le loro lesioni cariose ...
Vale la pena trattare un dente del giudizio se è affetto da carie o è meglio rimuoverlo immediatamente?
Di norma, dopo aver scoperto la carie sui propri denti, i pazienti si rivolgono ai dentisti che sono direttamente coinvolti nel trattamento dentale (ovvero, sono sottoposti a terapia).

Vediamo come il dentista prende una decisione se è possibile trattare l'ottavo dente con la carie o se dovresti già considerare di rimuoverlo, riferendolo al chirurgo dentista.
Esempio n. 1: non ci sono stati problemi con la dentizione del dente del giudizio, e si è inserito esattamente senza ferire la mucosa orale, ma sulla sua superficie sono comparsi focolai di carie (masticazione, contatto, ecc.). In questo caso, non è necessario rimuovere il dente del giudizio, ma è consigliabile trattarlo il più presto possibile in modo che il processo carioso non vada più in profondità nella camera della polpa (fino al "nervo").
Tuttavia, anche se la polpa del dente è interessata e non si tratta più della carie, ma della pulpite - anche in questo caso, il dente del giudizio non ha bisogno di essere precipitato affatto, è solo necessario trattare i canali e stabilire un sigillo. Il dente sarà "morto", ma può durare molto, molto a lungo.
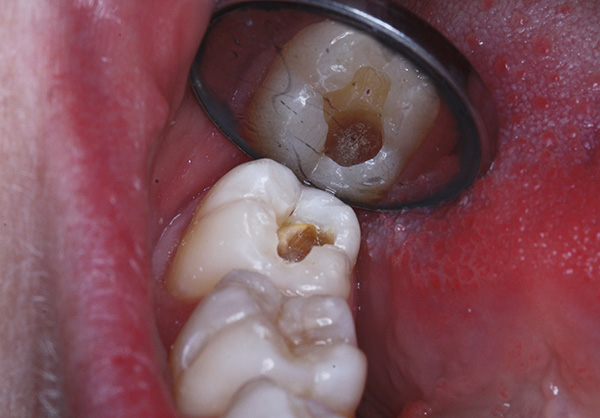
La fotografia sotto mostra un esempio di significativa distruzione cariata di un dente del giudizio:

Ora considereremo le situazioni in cui non è sempre consigliabile trattare un dente del giudizio con la carie, e talvolta è meglio rimuoverlo il più presto possibile.
Esempio n. 2: distruzione significativa del dente del giudizio con eruzione incompleta. In altre parole, solo pochi tubercoli del dente del giudizio sono apparsi sopra la gomma, e il resto è sotto la gomma, ma è già stata osservata una grave distruzione cariata.
Attendere che l'intero dente del giudizio sia in superficie per il suo trattamento completo o, inoltre, per sopportare dolori periodici, temperatura e gonfiore quando è difficile scoppiare - non ha senso, questa è una pratica viziosa.Naturalmente, questo non si applica alla carie superficiale, o anche alla media con relativo comfort (assenza di sintomi di pericoronite). Tuttavia, anche qui il monitoraggio della situazione è importante, in modo da non perdere la carie al punto tale che dovrà essere rimosso comunque, ma sullo sfondo di gravi complicazioni (periostite, osteomielite, ascesso, flemmone).
Esempio n. 3: posizione errata del dente del giudizio eruttato nella mascella in presenza di una significativa distruzione cariata (inclusa la posizione che impedisce l'igiene del 7 ° dente). Quando il dente del giudizio ha una deviazione significativa dalla normale posizione nella mascella, può essere difficile garantire la sua adeguata igiene, a seguito della quale la carie progredisce abbastanza rapidamente e i sette possono essere coinvolti nel processo. Inoltre, si verifica spesso la malocclusione nel suo insieme.

Comunque sia, in pratica, ogni situazione è individuale e il medico decide se trattare un dente del giudizio o rimuoverlo, tenendo conto delle specificità di un particolare caso clinico.
È interessante
Anche se hai preso un appuntamento con un dentista-chirurgo per rimuovere un dente del giudizio, non è un dato di fatto che te lo rimuoverà. Il fatto è che i chirurghi dentali sono impegnati non solo nell'estrazione dei denti, come si ritiene comunemente, ma anche nella loro salvezza eseguendo operazioni di conservazione dei denti (e se vengono rimossi, quindi solo se ci sono indicazioni chiare).
Se non stiamo parlando di alcun medico indifferente in una clinica squallida, allora è il dentista-chirurgo che ti aiuterà a determinare esattamente se è necessario rimuovere il dente del giudizio in questo momento o puoi provare a salvarlo.
Qualche parola sul trattamento della carie dell'ottavo dente
Quindi, se una carie è colpita da un dente del giudizio normalmente scoppiato e correttamente funzionante, non è necessario affrettarsi a rimuovere tale dente, è sufficiente eseguire il suo trattamento completo.
Quasi sempre, in tali casi, la tecnica classica di preparazione della cavità cariata mediante trapano viene utilizzata come tecnica di conservazione.
nota
I moderni riuniti dentali forniscono una velocità del boro di 80-100 mila giri al minuto. A questa velocità, il contatto del boro con i tessuti dei denti duri in assenza di raffreddamento forzato porterebbe a un forte riscaldamento, pertanto viene utilizzato il raffreddamento aria-acqua della punta.

Diamo un'occhiata a una serie di domande popolari relative al trattamento dei denti del giudizio colpiti dalla carie.
Domanda paziente n. 1: la carie sul dente della saggezza fa male?
Nella fase della carie superficiale o anche media, un dente del giudizio può essere trattato oggi assolutamente senza dolore, anche senza l'uso dell'anestesia. Il fatto è che durante il funzionamento di un manipolo che soddisfa i requisiti dell'odontoiatria del 21 ° secolo, non ci sono praticamente vibrazioni (come accaduto prima) e surriscaldamento dei denti, che quasi sempre elimina la formazione del dolore. Tuttavia, nelle persone ipersensibili, così come nel trattamento della carie profonda, è preferibile condurre l'anestesia.
Domanda del paziente n. 2: l'ultima volta che ho trattato la carie del dente del giudizio inferiore, il mio viso è stato congelato per 6 ore, esiste un'alternativa più lieve?
La domanda è davvero rilevante. Molti dentisti lavorano secondo il vecchio principio: sapendo che l'infiltrazione classica "vicino all'ottavo dente inferiore" non sarà molto efficace, subiranno immediatamente anestesia di conduzione (toro o mandibolare), che determina la durata del "congelamento" fino a 6-8 ore. Cioè, il paziente per lungo tempo non sente la guancia, il labbro, la lingua, ecc.

Un'alternativa moderna sono le varietà di anestesia da infiltrazione: intraligamentaria (intracircolare) e intrasettica (intracranica).La quantità di anestetico somministrato con queste tecniche è minima e, se osservate rigorosamente, l'effetto è molto elevato: entro 40-60 minuti, la carie dentaria del dente del giudizio può essere completamente indolore e non si avrà la sensazione di "congelare" metà del viso. Tuttavia, non tutti i medici parlano fluentemente questa tecnica di anestesia.
I denti del giudizio superiori, a differenza di quelli inferiori, sono perfettamente anestetizzati dal classico metodo di infiltrazione: portando la soluzione alla radice, che elimina il fenomeno della perdita prolungata di sensibilità delle aree facciali. A proposito, nella maggior parte dei casi rimuovere i denti del giudizio superiori è anche molto più facile di quelli inferiori.
Domanda del paziente n. 3: due denti del giudizio possono essere curati in una sola visita?
I medici della vecchia scuola possono iniziare a spaventare il fatto che la carie di due denti inferiori allo stesso tempo è pericolosa da trattare a causa della stessa anestesia di conduzione sul "viso", che causerà perdita di sensibilità della lingua, può portare allo sviluppo di soffocamento, ecc. Nonostante sia un mito, è preferibile trattare due denti inferiori con l'aiuto dell'anestesia intraligamentare o intrasettica (o senza anestesia, se possibile). Coloro che sono pronti a sedere su una sedia per più di 2 ore dovrebbero tenere presente che un dentista professionista è in grado di curare tutti e 4 i denti del giudizio in una visita, quindi due otto non è il limite.
È interessante
Durante il trattamento dei denti, i pazienti spesso fanno un'osservazione che il medico trapani inutilmente un dente - dicono, lo macina troppo a lungo e troppo duro. Tali affermazioni sono davvero sconcertanti per i giovani medici.
Il fatto è che puoi "digrignare" un pezzo significativo di dente molto rapidamente, in un paio di minuti. Ma proprio per il desiderio di ottenere una pulizia di alta qualità dai tessuti cariati, il processo di preparazione non è così rapido. A volte sono necessari dai 5 ai 30 minuti per eseguire questo scrupoloso compito: ridurre al minimo l'impatto dei tessuti sani e ripulire il più possibile il necrotico.
In quali casi è tuttavia desiderabile rimuovere i denti del giudizio
Ora considera le situazioni in cui il dentista ha il diritto di raccomandare di rimuovere il dente del giudizio anche senza segni di distruzione cariata.
Le principali indicazioni per la rimozione dei denti del giudizio:
- Un dente raffinato o semi-dentato (vale a dire se ci sono problemi in cui il dente non può tagliare o tagliare parzialmente). Naturalmente, ogni caso è individuale. Un dente del giudizio raffinato può rimanere a lungo sotto la gomma e non destare preoccupazione, così come un dente semi-raffinato può essere il risultato di un'eruzione parziale più o meno normale della corona. Se non ci sono sintomi di dentizione difficile, non c'è nulla di cui preoccuparsi, tuttavia, con sintomi formidabili (edema, dolore grave, febbre, suppurazione dalle gengive vicino al dente), il medico può decidere a favore della rimozione - e quasi sempre avrà ragione;

- Un dente del giudizio drogato, cioè quando ha preso la posizione sbagliata nella mascella. Tali denti non devono sempre essere rimossi. Se la figura otto tagliata lateralmente danneggia la mucosa della guancia o della lingua, è necessario rimuoverla (un trauma cronico può portare allo sviluppo di tumori maligni). In altri casi, sono possibili opzioni, a seconda della situazione nella cavità orale nel suo insieme;

- Significativa distruzione meccanica della corona del dente del giudizio (ad esempio, un chip che va molto al di sotto della gomma) quando non è possibile il suo restauro con l'aiuto di un inserto e una corona artificiale;

- Lo stadio attivo di gravi complicazioni purulente sotto forma di esacerbazione di parodontite, periostite, osteomielite, ascesso, flemmone, ecc. (Incluso può essere osservato dopo il trattamento dei canali nel dente del giudizio). Per quanto riguarda i denti inferiori della saggezza, la procrastinazione in una situazione del genere - la morte è simile, quindi è necessario rimuoverla. La mascella inferiore è massiccia, gli spazi sono ampi, i rischi di infezione che vanno in profondità sono grandi, persino fatali.Se parliamo dei primi otto, quindi in casi eccezionali, puoi assumere il trattamento dell'esacerbazione della parodontite o della periostite incipiente, ma in questo caso vale la pena considerare tutti i possibili rischi;

- L'impossibilità di un trattamento conservativo per una ragione o per l'altra. Succede che un dentista, riprendendo il trattamento di un dente del giudizio, potrebbe trovarsi di fronte al fatto che non può continuare questo trattamento - ad esempio, sorgono complicazioni (un frammento dello strumento nel canale in assenza di attrezzature per la sua estrazione, perforazione della radice, sovraespansione del canale), o il medico è sdolcinato impossibile trovare e (o) lungo l'intera lunghezza per elaborare e sigillare i canali qualitativamente. In alcuni di questi casi, un dentista più qualificato ed esperto con le giuste attrezzature può aiutare, ma tali esperimenti costano sempre un bel centesimo, e non tutti i pazienti possono permetterselo;

- Trattamento ortodontico. Oggi, la tattica di un ortodontista prima di mettere in scena gli stessi sistemi di staffe per rimuovere i denti del giudizio, specialmente quelli che, se non tagliati, si appoggiano ai vicini sette, come se spingessero l'intera dentatura, ha guadagnato popolarità. Gli studi hanno dimostrato che ciò è giustificato, poiché il successo della correzione del morso mantenendo i denti del giudizio interferenti è dubbio. Tuttavia, non è sempre necessario rimuovere gli otto durante l'installazione delle parentesi graffe.

È necessario rimuovere il dente del giudizio in caso di igiene del settimo dente?
È già stato notato sopra che in tali casi, i denti del giudizio a volte vengono effettivamente rimossi. Tuttavia, al momento questo problema è considerato controverso: alcuni esperti ritengono che valga la pena rimuoverlo, poiché in pratica le 7 pareti dei denti distrutte dalla carie si trovano spesso adiacenti al dente del giudizio. Altri credono che il settimo dente possa sempre essere curato se improvvisamente si ammala, ma l'ottavo, anche con un'igiene insufficiente, può servire una persona per molti anni prima che si faccia sentire.
È necessario trattare le complicanze della carie nei promettenti denti del giudizio?
Se il dente non viene trattato in tempo nella fase di carie carie, in seguito si sviluppano complicanze della carie: pulpite e quindi parodontite. In tali casi il trattamento dei canali del dente del giudizio sarà promettente?
Cominciamo con la pulpite, come una delle diagnosi più comuni all'appuntamento di un dentista.

nota
La pulite è un'infiammazione del fascio neurovascolare ("nervo") all'interno del dente, quando questo tessuto, nonostante l'inizio del processo infiammatorio, è ancora molto povero, ma ancora vivo.
Se non fosse un dente del giudizio, qualsiasi dentista-terapeuta direbbe con fiducia che non è necessario rimuovere il dente, è sufficiente trattare i canali. Tuttavia, il dente del giudizio, a differenza degli altri, ha un numero imprevedibile di canali, le sue radici sono spesso piegate e l'accesso a un trattamento confortevole e di alta qualità è spesso difficile (specialmente quando si trattano gli otto superiori). Nelle condizioni di una normale clinica statale, non è sempre possibile trattare qualitativamente un tale dente e in futuro potrebbero sorgere complicazioni.
Allo stesso tempo, nelle cliniche dentali di livello aziendale, è possibile un trattamento endodontico di alta qualità con pulpite di quasi tutti, anche il dente del giudizio più insolito nella struttura - con il controllo dei processi sull'immagine, usando un microscopio dentale, un'apparecchiatura ad ultrasuoni, un localizzatore d'apice e altri dispositivi ausiliari. Tuttavia, il prezzo di questo servizio sarà considerevole.

nota
Si ritiene che non vi siano canali dentali “impraticabili”, ma mancano buoni specialisti e le attrezzature necessarie. Cioè, se il medico accenna alla rimozione degli otto e dice che con la polpite, il dente del giudizio non può essere curato, perché ha canali curvi o stretti, allora possiamo solo affermare che o la clinica non ha l'attrezzatura adeguata, o il medico non ha abbastanza esperienza .
Se hai un forte desiderio di salvare un dente del giudizio dalla rimozione, allora è meglio consultare un medico con 2-3 medici. Se 2-3 medici ti chiedono di rimuovere il dente del giudizio, e prima è meglio, allora questo dovrebbe essere fatto.
Quando il processo infiammatorio nella camera della polpa va lontano, la polpa muore e stiamo già parlando della diagnosi di parodontite. In questo caso, il medico considera l'opportunità di preservare il dente dal punto di vista del rischio per la salute del paziente - a seconda della forma e dello stadio del processo, è possibile iniziare il trattamento dei canali in forme acute e nella parodontite fibrosa cronica.

Se stiamo parlando di granulomi, cistogranulomi, cisti, molto spesso il dente del giudizio viene rimosso "lontano dal peccato", sebbene a volte i metodi di conservazione dei denti possano essere selezionati in base alle indicazioni. Qui spetta al medico decidere e assumersi la responsabilità.
La foto sotto mostra il dente estratto con le cisti sulle radici:

nota
Parodontite periodontite - discordia. Nelle forme acute (specialmente nella fase sierosa), così come nella parodontite fibrosa e granulosa cronica, la capacità di salvare un dente del giudizio è significativamente più elevata rispetto alla parodontite granulomatosa. In generale, le parole "granuloma", "cistogranuloma" e "cisti" dovrebbero avvertirti che il trattamento potrebbe non avere successo, o il medico suggerirà immediatamente di rimuovere il dente del giudizio e questa sarà quasi sempre una decisione giustificata.
Quanto possono costare il trattamento e la rimozione dei denti del giudizio?
Ora che hai già un'idea generale di dove sia possibile trattare e in cui è preferibile rimuovere i denti del giudizio, vediamo quanto possono costare le procedure corrispondenti e se è possibile in qualche modo salvare.
Quindi, se conduci un trattamento in un istituto pubblico nel luogo di residenza (ospedale, clinica), puoi quasi sempre risparmiare in modo significativo, ma andare lontano dal miglior servizio di qualità. Rimuovere un dente del giudizio è una misura estrema, e nello stesso ospedale possono rimuoverlo quasi gratuitamente sotto il cosiddetto "Cricain" (nel linguaggio dei dentisti, ciò significa che l'anestesia non funziona e il paziente urla letteralmente dal dolore). Allo stesso tempo, c'è anche un grande rischio che le radici del dente non vengano completamente rimosse - il medico ha troppo poco tempo perché un paziente presti la dovuta attenzione a tutti i punti importanti.

Per quanto riguarda la rimozione di un dente del giudizio nell'odontoiatria privata, costerà molto più che in una clinica statale. I denti del giudizio superiori nel 70-80% dei casi rientrano nelle statistiche dei denti "leggeri", e dopo aver analizzato l'immagine la questione del prezzo è risolta nella ridistribuzione di 2000 rubli per la rimozione di un otto.
I denti del giudizio inferiori, in particolare quelli che sono raffinati e semi-raffinati, possono essere rimossi a un prezzo elevato: da 3 mila rubli a 8-10 mila a procedura. In alcuni casi, l'anestesia e il ricovero sono inclusi in questo prezzo.
Il trattamento della carie sui denti del giudizio può avere un prezzo compreso tra 2-3 mila e 7-8 mila rubli per dente. Il prezzo del trattamento dei canali del dente del giudizio dipende in gran parte dal numero di questi canali: se esiste un solo canale, di solito vengono presi circa 1000 rubli per il suo trattamento endodontico. Con un aumento del numero di canali (e ce ne possono essere 4-5), il costo delle procedure endodontiche eseguite aumenta proporzionalmente.
Va tenuto presente che l'anestesia, l'uso di cofferdam, i farmaci (farmaci) per il trattamento medico e antinfiammatorio dei canali, le otturazioni temporanee e permanenti, ecc. Sono considerati separatamente (aggiunti). Di conseguenza, un trattamento completo di un dente del giudizio con pulpite può costare 5-20 mila rubli e il trattamento della parodontite è ancora più elevato.
In conclusione, desidero notare che per molti pazienti i denti del giudizio sono importanti quanto qualsiasi altro dente e sono estremamente riluttanti a separarsi da essi.Nel frattempo, ci sono molti di questi pazienti che, in caso di problemi, non sono pronti a spendere tempo e denaro per conservare i loro denti del giudizio e alla prima occasione rimuovono otto senza rimpianti. Comunque sia, il dentista non può prendere una decisione per te: può solo mettere l'accento, soppesando i pro ei contro, ma il paziente avrà sempre l'ultima parola.
Sii in salute!
Video utile: quando è desiderabile rimuovere un dente del giudizio
Un esempio della rimozione di un dente del giudizio semi-rinforzato con il taglio preliminare in parti ...








Dicono tutti che non fa male, ecc. Vieni e basta. Per 10 anni, non ho mai incontrato un medico che avrebbe curato senza dolore. Ahimè e ah ... La nostra medicina è scarsa. Nessun dolore - anche se solo in anestesia generale.
Ho un dottore che tratta senza dolore.
Il dente è stato rimosso ieri. La rimozione tenendo conto dell'anestesia locale è di 12 mila e questo non è il più costoso e con uno sconto del 10%. E nell'articolo sono indicati alcuni prezzi ridicoli, da 3 a 8 mila. Durante la rimozione, tutti i ronzii. È diventato doloroso solo quando l'anestesia ha iniziato a retrocedere, e poi è stata sopportabile.
Ragazzi, sono con te. Il dente fa male dopo aver riempito i canali. Il dente è morto da 15 anni - e poi sono riusciti a sbagliare.
Benvenuti! Dimmi, per favore - ho un mal di testa regolare sul lato destro dei punti di uscita del nervo trigemino - sopra l'occhio, il seno mascellare, i denti. Il neurologo e l'otorinolaringoiatra non vedono problemi, affermano che una possibile ragione sia un dente del giudizio. Entrambi i denti eruttarono da questo lato, la parte superiore uscì completamente, ma cominciò a girare attorno all'asse e nella parte inferiore il 30% è ancora sotto il cofano. I denti del giudizio possono causare tali mal di testa? E quale dente ha maggiori probabilità di incolpare, superiore o inferiore? Il dolore si sente più spesso nella fila superiore, mentre i denti da 6 a 8 fanno male.
L'implantologo ha anche affermato che i denti del giudizio devono essere rimossi prima delle protesi: questa affermazione è vera? (È necessario protesizzare i 6 inferiori, entrambi sono stati rimossi a causa delle cisti sotto di loro).
Benvenuti! In alcuni casi, i denti del giudizio possono davvero causare dolore ai denti vicini, mal di testa, ecc. Se ci sono patologie significative, dovrebbero davvero essere rimosse. Per quanto riguarda quale dente è la colpa (superiore o inferiore): questo non può essere determinato in contumacia. Usando i raggi X, puoi provare a identificare il colpevole del problema, ma anche in questo caso non è sempre facile.
Non appena si hanno protesi e l'implantologo consiglia di rimuovere i denti del giudizio con le patologie da te descritte, vale la pena ascoltare l'opinione del medico. In casi estremi, puoi ottenere consigli da altri 1-2 specialisti e scoprire le loro opinioni in merito. E poi prendere la decisione finale.
Ieri ho rimosso il dente del giudizio inferiore per 1200 rubli, mentre ho avvertito il dentista che ero registrato con uno specialista in malattie infettive.
10 anni fa mi sono stati rimossi 8 denti sulla mascella inferiore e tutto è andato bene (il dottore l'ha diviso e rimosso). E un anno fa ho deciso di rimuoverlo dall'altra parte: hanno visto un dente (un altro medico lo ha rimosso) e poi l'hanno estratto in parti. Ma dopo la rimozione, è successo qualcosa di terribile. Il mio viso perse bruscamente peso, iniziò la pressione dell'orecchio, la torsione della lingua, le vertigini, la nausea, la sensazione che qualcosa si fosse strappato e diviso sotto la gomma, le articolazioni iniziarono a lasciare la loro posizione normale.Mi sono lamentato della cattiva salute, ma mi hanno detto che il dentista non aveva nulla a che fare con esso.
Ho iniziato a cercare una connessione tra l'orecchio e la mascella inferiore, e ho scoperto che era la cartilagine di Meckel. Ho parlato con un esperto indipendente e mi ha detto che c'era un film. Si scopre che quando sono stato rimosso, il medico ha danneggiato il film (ridotta cartilagine di Meckel). Il medico curante brucia: "La cartilagine di Mikkel è un organo intrauterino che si trasforma in osso". E nell'enciclopedia di Brockhaus ed Efron è scritto: "Con lo sviluppo dello scheletro osseo, la m cartilagine viene allontanata dalle ossa mandibolari che si sviluppano vicino ad essa, e si riduce, dando, tuttavia, l'inizio di alcune ossa uditive (malleus)."
La cartilagine di Meckel fu scoperta nel 1820. Sono trascorsi meno di duecento anni. Abbiamo nuove tecnologie: CT, risonanza magnetica e altri tipi di ricerca. Allora perché sta succedendo questo ?! Prima della rimozione, non mi sono lamentato della mia salute.
Se il dente del giudizio non ti disturba, non toccarlo! Ci sono molte leggende su di lui - questo deriva dall'ignoranza della struttura della mascella inferiore. Per molti secoli non sono stati in grado di spiegare cosa stava succedendo. Pertanto, le persone hanno chiamato l'ottavo dente un dente del giudizio. Solo nel 1820 il biologo tedesco I. Meckel riuscì a risolvere questo indovinello. Non avrei mai saputo la verità se ciò che non mi era successo.
Benvenuti! È auspicabile una consultazione sul tuo problema, dal momento che io solo con la mia opinione difficilmente posso insistere su alcuna verità. Personalmente, non ho incontrato per 11 anni di lavoro un fenomeno come il tuo, anche se ho rimosso più di cento denti di saggezza. Sono quasi sicuro che il tuo caso sia 1 su poche migliaia (o forse meno). Esistono molti enigmi e sembra che tu debba capire e capire ancora una volta questa complicazione. Può anche darsi che tu abbia un problema per un intero lavoro scientifico che si basa su una tesi di dottorato. Lo dico senza ironia, ma solo per motivi di presunta rarità di tale complicazione. Non perdono il tuo medico, ma capisco una cosa: se non ho sentito nulla di un tale fenomeno, ciò non significa che non possa accadere. Sono sicuro che dovresti rivolgerti a uno specialista che ha accesso a un consiglio di esperti di vari profili: professore di anatomia, patologia, chirurgo maxillo-facciale, radiologo.
La cartilagine di Meckel è un arco cartilagineo che si estende dall'orecchio all'orecchio, giuntato con l'arco ioidico e attaccato alla base del cranio con articolazioni complesse, e funge anche da sospensione per la mascella inferiore di una persona. In un adulto, la cartilagine viene ridotta (modificata) e si trasforma in un film. Il danno è molto pericoloso!
Grazie per la risposta Questo dente mi è stato rimosso dal medico dell'ospedale distrettuale. Quando mi sono reso conto che era successo qualcosa di brutto, mi sono rivolto all'odontoiatria regionale lamentando problemi di salute. Mi è stata scattata una foto che hanno rifiutato categoricamente di darmi. E ho dovuto rivolgermi a Roszdravnadzor. E solo tre mesi dopo ho avuto una foto. Non so se si tratta di un'istantanea (disco 3D, tomografia computerizzata). Ho dei dubbi E stai parlando del consiglio.
Voglio aggiungere Prima della rimozione mi è stata fatta un'iniezione, tutto era insensibile. Quando il dottore mi ha visto un 8 denti sulla mascella inferiore, ho sentito che stavano vedendo qualcosa, lo definirei un "gruppo". Il dottore fece una seconda iniezione, ma non aiutò. Ricordo questa terribile sensazione. A casa per cinque ore c'è stato intorpidimento dopo due iniezioni.
Certo, ho fatto delle foto negli ospedali pagati. Posso dire: i dentisti vedono il danno, ma nessuno vuole dare una conclusione. Parlare non è nemmeno desideroso. E tu dici consiglio! Ecco l'enigma!
Non capisco perché alcuni medici siano a conoscenza della cartilagine di Meckel, mentre altri no. Dopotutto, la struttura della mascella inferiore è studiata da tutti i dentisti. Alcune persone sono sorprese. O forse questa sorpresa è dovuta a come ho imparato a conoscere questa cartilagine? Perché ho dovuto studiare a fondo la struttura, cercare la risposta.C'è una ragione per questo. E questa ragione è il deterioramento della mia salute. Anche se è passato molto tempo.
Ogni persona ha la cartilagine di Meckel. È impossibile negarlo. La posizione del dente può essere diversa - sì. Che avevo un 8 denti complessi sulla mascella inferiore, mi disse il medico molto prima della rimozione, quando questo dente stavo solo crescendo. Mi è stato rimosso il "cappuccio" (gomma tagliata) sul dente. Ma non riuscivo a immaginare cosa mi aspettasse. Cioè, posso dire che non ho questi denti da solo, e questa non è una novità per i medici. I dottori hanno incontrato questi denti e non sono il primo. Ma la persona comune non conosce la cartilagine di Meckel e perché dovrebbe saperlo. Penso che sia il ragionamento dei dottori. Questo è il loro piccolo segreto! Chi studierà la struttura, a partire dallo sviluppo intrauterino. Una persona comune non lo farà. Sanno meno, dormono meglio. Ma non desidererò il danno al nemico.
Ciao Per favore, dimmi, se un dente del giudizio si arrampica già con una carie molto grande e con un angolo di 40 gradi, e il processo del dente è molto grande (metà del dente è nella gomma e un pezzo di dente affilato sporge sulla superficie, graffiando la guancia) - cosa dovrei fare?
Ciao, un dente del giudizio situato con una pendenza e affetto da carie è almeno un focolaio di infezione cronica, che nella maggior parte dei casi non può essere curata in modo affidabile (a causa della posizione) terapeuticamente. Lasciare questi denti di solito non è raccomandato, perché alla fine portano a infiammazioni. Pertanto, nella tua situazione, è necessario, senza aspettare la comparsa di dolore e infiammazione, consultare un dentista-chirurgo - molto probabilmente, dovrai rimuovere il dente in modo pianificato.
Dimmi, dove ci sono dentisti a Mosca che non insistono categoricamente sulla rimozione di un otto che è cresciuto normalmente con un buco in un terzo del volume della testa?
Ciao Ilya! I medici che insistono sulla rimozione di un tale dente hanno probabilmente ragione: il dente è gravemente danneggiato e sarà difficile ripristinarlo, inoltre l'ottavo dente è spesso affetto da carie a causa di difficoltà nel garantire un'igiene normale (questo è dovuto alla loro posizione speciale nella dentatura) . Tuttavia, per una diagnosi più accurata, ti consiglio di consultare un consulto in 2-3 cliniche di livello "sopra la media" al fine di decidere autonomamente l'opportunità di mantenere un dente (ogni medico avrà la propria opinione e le proprie argomentazioni).
Buon articolo! Grazie all'autore!
Benvenuti! Dimmi, per favore, perché è necessario rimuovere un dente del giudizio posizionato simmetricamente? La parte superiore è stata gravemente colpita dalla carie ed è stata rimossa, ma il medico ha detto che dovrebbe essere rimossa anche una parte inferiore sana, sostenendo che ciò viene fatto secondo le regole, al fine di evitare complicazioni. È davvero necessario? Grazie!
Benvenuti! La rimozione di un dente del giudizio, che è un antagonista di uno già rimosso, è necessaria se è un ostacolo alla conduzione di metodi di trattamento ortodontici o ortopedici, o ha indicazioni per la rimozione per altri motivi (distopico, più di 1/2 danneggiato, presenta cambiamenti parodontali, canali impraticabili ecc.) Ogni singolo caso dovrebbe essere considerato individualmente. Ma la motivazione per la prevenzione delle complicanze da sola non può spiegare la strategia per la rimozione di un dente del giudizio.
Un articolo non è più lungo, dimentica ciò che leggi)