
La maggior parte delle persone crede fermamente che il giusto dentifricio, tutti i tipi di spazzolini da denti avanzati, risciacqui, ecc., Siano affidabili e quasi garantiti per proteggerli dalla carie. Inoltre, spesso quando si scelgono prodotti per l'igiene vengono commessi errori gravi o si verifica una rivalutazione delle loro capacità.
La carie di smalto si sviluppa spesso in contrasto con queste credenze e ci sono alcuni prerequisiti ...
Fattori provocatori: effetti microbici
Di solito la carie di smalto si forma gradualmente sotto lo spessore della placca che copre il dente per lungo tempo. Negli strati di placca, numerosi microrganismi si nutrono di residui di carboidrati.
I batteri Gram-positivi, gli streptococchi, svolgono un ruolo decisivo nella formazione di una macchia cariata sullo smalto dei denti. Allo stesso tempo, i batteri anaerobici Streptococcus mutans sono considerati i più importanti "distruttori" della struttura minerale dello smalto. A causa del trattamento enzimatico dei carboidrati (ad esempio lo zucchero), formano acidi organici, che rilasciano componenti minerali dallo smalto (calcio, fosforo e composti del fluoro).

È interessante
Già nel 1890, grazie al professor W. Miller, la gente venne a conoscenza della teoria chimico-parassitaria della carie attraverso i suoi molti anni di lavoro "Microrganismi della cavità orale umana". Da quest'anno inizia il conto alla rovescia di un approccio scientificamente basato sul problema della carie. È stato Miller a esprimere per primo l'opinione che microrganismi e carboidrati sulla superficie dello smalto creano un ambiente favorevole per lo sviluppo della carie.
La formazione di acidi organici (lattico, malico, acetico, piruvico, ecc.) A seguito della fermentazione dei residui di cibo sui denti consente al pH (livello di acidità) di scendere a valori molto bassi. Il medico condusse i suoi esperimenti sui denti estratti e ricevette risultati unici al momento, dimostrando l'attuale teoria chimico-parassitaria della carie.
Elementi di diagnosi precoce
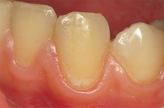
Nella maggior parte dei casi, il paziente non può riconoscere la carie dello smalto nelle prime fasi, poiché la clinica di questa patologia è scarsamente espressa. Quando appare un punto bianco o pigmentato, molti lo attribuiscono alla placca o al tartaro, non capendo la gravità del problema.

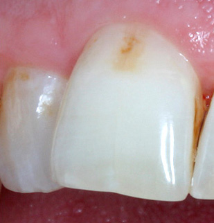
Il colore dello smalto interessato può essere diverso, a seconda delle caratteristiche del cibo assunto regolarmente e della presenza di alcuni coloranti in esso.

Solo il dentista ha l'opportunità di eseguire un complesso di semplici misure diagnostiche volte a stabilire una lesione cariata nascosta. Già nelle prime fasi dell'esame dei denti e del loro sondaggio, è possibile determinare la natura della lesione:
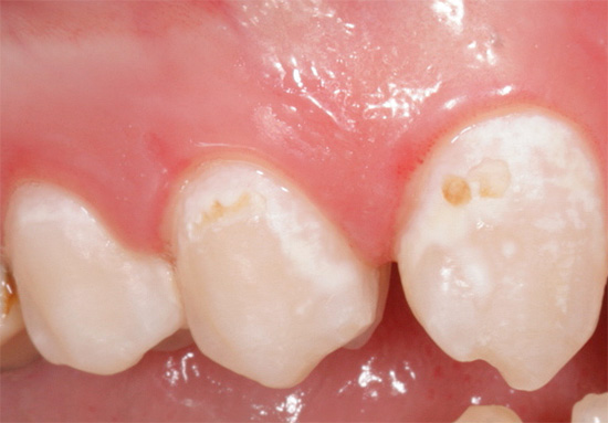
- Se vengono rilevate aree lisce di smalto su punti bianchi gessati e pigmentati durante il passaggio di una sonda lungo la sua superficie, è difficile parlare immediatamente della presenza di carie. Il secondo stadio è importante: la colorazione di aree incerte con coloranti speciali (più su questo sotto).
- La presenza di una superficie ruvida quando si conduce una sonda dentale lungo un'area sospetta determina immediatamente questo fenomeno come difetto o "ammorbidimento" iniziale. In un altro modo, è la carie di smalto nella fase di distruzione della superficie.
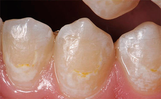
Nella foto sotto, la carie di smalto è presentata come la fase iniziale della lesione con segni caratteristici di questa particolare fase:

Opinione del dentista
Molto spesso puoi osservare lesioni carie nascoste nel campo della fessura. È in queste numerose scanalature che si accumula facilmente la placca, che non può essere spazzolata a lungo. In alcuni casi, il suono di questi pozzi dà immediatamente una risposta, se c'è una rugosità, un difetto nascosto o una demineralizzazione iniziata negli strati sottosuolo.A volte possono esserci sensazioni dolorose a breve termine dal suono, ma il trattamento non può essere avviato senza diagnosi.
Diagnosi della carie dello smalto con coloranti
L'uso professionale di una soluzione al 2% di blu di metilene è forse il modo più rapido e semplice per sapere esattamente cosa ci sta di fronte: carie di smalto o qualche tipo di lesione non cariosa (ipoplasia, fluorosi, pigmentazione, ecc.).
Con una macchia cariata, il colorante penetra facilmente nello smalto demineralizzato (poroso), macchiando stabilmente l'intera area della lesione. A volte vengono utilizzati altri preparati coloranti diagnosi di carie smalto:
- Soluzione rosso metilene 0,1%;
- Carmine;
- Kongorot;
- tropeolin;
- Soluzione di nitrato d'argento.

La diagnosi luminescente della carie dello smalto è un raro metodo diagnostico che non è stato ampiamente utilizzato nelle cliniche dentali. Si basa sui fenomeni di fluorescenza di tessuti dentali sani sotto l'influenza dei raggi ultravioletti.
Lampade speciali, come la VECCHIA, illuminano i denti in una stanza buia a una distanza di circa 20 cm. Allo stesso tempo, i tessuti sani dello smalto danno una tonalità bluastra o verde chiaro e le aree con carie di smalto non lo emettono. Il metodo è abbastanza efficace, ma ha un alto attaccamento ad attrezzature costose complesse.
Quadro clinico: sintomi offuscati
La lama di carie smaltata non è brillante nella maggior parte dei casi. Le forme macchiate di carie possono non provocare affatto reazioni dolorose da sostanze irritanti, solo in casi eccezionali possono verificarsi disagi e una sensazione di "noia" quando si trovano focolai cariati nell'area del collo sensibile dei denti.

Poiché la carie di smalto è, oltre alle macchie, disturbi superficiali nello smalto, quindi in questo caso alcuni sintomi sono associati a:
- Reazione agli effetti della temperatura (freddo, caldo);
- Reazione a stimoli meccanici (quando si mangiano cibi duri);
- Reazione a fattori chimici (dolce, salato, acido).
Nella maggior parte dei casi, tutti questi sintomi sono lievi e si attenuano rapidamente quando la causa viene eliminata.
Il danno alla carie dello smalto delle superfici di contatto negli spazi dentali è l'opzione più insidiosa per lo sviluppo della patologia. A causa del lungo corso nascosto del processo distruttivo tra i denti, esiste la probabilità di una diagnosi tardiva della lesione e della sua transizione allo stadio della carie della dentina, una forma più grave del processo patologico.


La clinica della carie dello smalto può manifestarsi anche nell'imperfezione estetica del dente (o dei denti), causando un certo disagio psicologico alla persona.
richiamo
Nell'ultimo mese di gravidanza, il mio dentista ha improvvisamente trovato in me un bordo bianco vicino alla gomma su quasi tutti i denti anteriori. L'ho notato un mese fa, ha iniziato a preoccuparmi molto, perché anche diventare normale sorridere normalmente. Il medico ha detto che ho questa carie nella fase spot e che non andrà via da sola: ho bisogno di un trattamento con agenti contenenti fluoro o di forare un dente già, ma dipende da cosa sarà osservato dopo la prima opzione. In qualche modo non voglio davvero camminare con i denti bicolore, ora non so cosa fare. Vorrei provare l'opzione al fluoro, lì devi solo rivestire lo smalto con la vernice. Il dentista ha anche affermato che ottenere rapidamente un colore normale non funzionerà e che il corso di fluorurazione durerà più di una visita. Mi salverò i denti.
La rilevanza del trattamento dello smalto della carie senza trapano
Le regole generali per il trattamento dello smalto della carie includono:
- Igiene orale completa con paste al fluoro;
- Rispetto della dieta;
- Terapia rimineralizzante;
- L'uso di sigillanti;
- L'uso di preparati speciali al fluoro;
- Preparazione del dente seguita da riempimento.

Da questo elenco, si dovrebbe selezionare tutto tranne l'ultimo elemento, caratteristica della violazione dell'integrità dello smalto con la formazione di rugosità o una piccola cavità. Qui, la preparazione con un trapano è inevitabile.
Se la carie è in fase spot, è possibile utilizzare la terapia remineralizzante con gel, vernici al fluoro, soluzioni di fluoruro di sodio, ecc.
Per accelerare il restauro della struttura dello smalto, i dentisti usano anche il "liquido sigillante per smalto", che consiste di due liquidi. Quando vengono applicati alternativamente sullo smalto, i pori vengono riempiti con cristalli di composti contenenti fluoro di calcio, magnesio e rame. Rimangono nei pori da 4-6 mesi a 2 anni, rilasciando costantemente ioni fluoruro.
Spot trattamento della carie a casa
Prima del trattamento carie primaria È importante consultare un dentista, poiché i metodi domestici possono ritardare l'aiuto professionale in tempo, il che può potenzialmente portare allo sviluppo della fase successiva di lesioni cariose. L'opzione preferita - quando la terapia domiciliare viene utilizzata in aggiunta - per migliorare l'effetto del trattamento della carie dello smalto, ad esempio in una clinica.

Quindi, il trattamento indipendente della carie nella fase spot è possibile solo dopo aver consultato il dentista e con il suo permesso. Di solito si tratta di piccole aree di demineralizzazione dello smalto, il cui trattamento non è difficile.
Notiamo alcuni strumenti comuni che possono essere utilizzati in questo caso.
Gel dentali per il restauro dello smalto:
- Tooth Mousse - un gel da un estratto di caseina di latte, che include composti di calcio e fosforo;
- R.O.C.S. Medical Minerals è uno speciale gel remineralizzante contenente magnesio, calcio e fluoro. Applicati sui denti, questi componenti ripristinano la struttura minerale dello smalto.

Separatamente, si possono distinguere paste contenenti fluoro con un alto contenuto di fluoruri, che forniscono anche un buon effetto di ripristino nella carie di smalto:
- Elmex è una pasta di gel al fluoro per lavarsi i denti, caratterizzata da un alto contenuto di fluoro (1400 ppm). Ha un effetto fissante se usato dopo gel rimineralizzanti.

- President Classic è una pasta terapeutica al fluoro (contenuto di fluoro di 1.400 ppm) con un effetto antinfiammatorio volto a ridurre le gengive sanguinanti (2 in 1).

L'importanza delle misure preventive
In generale, per la presenza della carie, è sufficiente avere solo 2 fattori nella cavità orale: la presenza di residui di carboidrati e la presenza di un gran numero di batteri cariogeni. Quando si formano placca e tartaro sulla superficie dei denti, la carie dentaria è quasi inevitabile.

È importante capire che una corretta igiene orale e la limitazione dell'assunzione di carboidrati facilmente fermentabili possono ridurre il rischio di carie di smalto di 3-5 volte o più.
Ecco alcuni semplici modi per prevenire la distruzione dello smalto dei denti:
- Lavarsi i denti regolarmente almeno 3 volte al giorno. Un metodo standard per lavarsi i denti che è comprensibile a chiunque comporta la pulizia di tutte le superfici con spazzole e filo interdentale (filo interdentale). In questo caso, è meglio usare dentifrici contenenti fluoro e i fili sono anche impregnati di composti contenenti fluoro. Lavarsi i denti è importante solo dopo aver mangiato, e non prima, come si pensava in precedenza.
- L'uso di risciacqui contenenti fluoro rafforza lo smalto e previene l'azione distruttiva degli acidi organici secreti dai batteri. Le sostanze antisettiche contenute in tali risciacqui riducono il numero di batteri stessi.
- Limitare gli spuntini tra i pasti principali. Questo è un punto importante, poiché la sua inosservanza e il frequente consumo di cibo durante il giorno, specialmente i dolci, ritardano l'autopulizia dei denti per un lungo periodo. E questo è sufficiente per lo sviluppo della carie di smalto.
- Visitare il dentista una volta ogni 6 mesi ai fini dell'ispezione di routine o dell'igiene orale professionale: rimozione di placca e pietra da tutte le superfici dei denti (specialmente a intervalli) e, se necessario, fluorurazione profonda dello smalto con gel speciali.
Tieni i denti e sii sano!
Come curare la carie senza usare un trapano, cioè senza perforare i denti
Fatti interessanti sulla carie e altri problemi dentali

