
Sbarazzarsi della carie dentaria a casa è un compito molto difficile e dal punto di vista del dentista è completamente inaccettabile: il medico direbbe immediatamente che è necessario correre alla clinica più vicina e risolvere il problema lì. Ed è ovvio per una persona che comprende la natura di questa malattia che la carie non è solo un'infezione, non può essere distrutta con una semplice pillola o tintura di alcol.
Ci sono casi in cui i pazienti particolarmente disperati (o disperati) cercano di raschiare la carie con carta smerigliata o raschiarlo con un ago d'acciaio. Altri affrontano il problema in modo ancora più sofisticato e cercano di imbiancare le aree carie scure con candeggina o perossido di idrogeno.


Quanto è efficace e pericoloso? E ci sono metodi davvero efficaci per sbarazzarsi della carie a casa? Scopriamolo ...
Un po 'di auto-trattamento
In generale, la carie è in qualche modo simile a patologie come l'infiammazione dell'appendice, la curvatura del setto nasale o l'ulcera allo stomaco. Solo nessuno pensa mai di radere uno scalpello sul setto del naso con uno scalpello o eseguire un intervento chirurgico addominale sullo stomaco della casa di fronte a uno specchio. Per qualche motivo, molte persone sono pronte a curare la carie a casa.

È impossibile sbarazzarsi della carie, che è già chiaramente visibile sui denti, a casa. La carie è la distruzione dei tessuti dei denti, prima lo smalto, quindi la dentina. Inoltre, questo processo è irreversibile: i denti delle persone non vengono ripristinati, lo smalto non cresce da solo e la rimozione della carie a casa, purtroppo, è possibile solo nelle storie dei guaritori del villaggio.
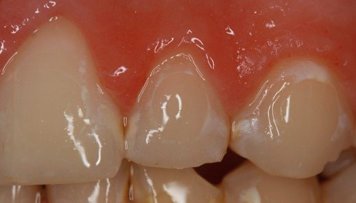
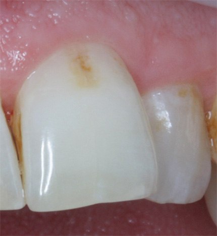
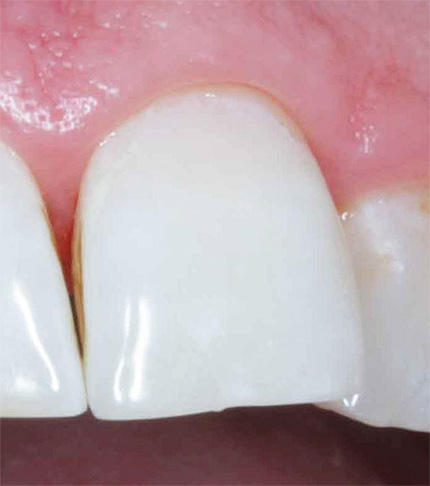
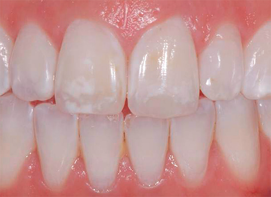
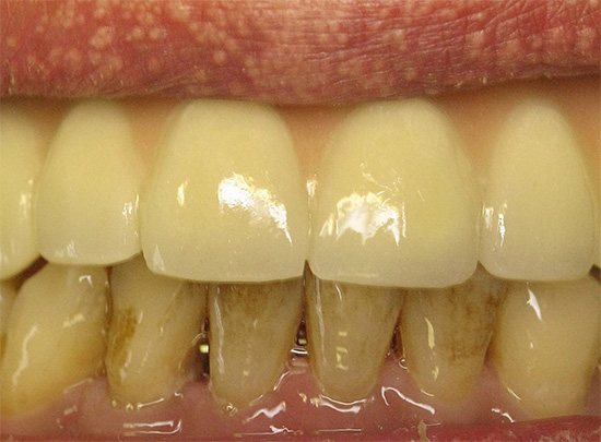
Tuttavia, nella fase molto precoce della malattia, quando la carie è una macchia bianca brillante sullo smalto (o leggermente pigmentata), puoi davvero liberartene da solo. Ma questo viene fatto solo dopo aver consultato il dentista.

Se provi a sbarazzarti della carie da sola, usando i rimedi popolari, le ricette della nonna o il consiglio degli amici, puoi giocare fino alle complicazioni a causa delle quali il dente dovrà essere rimosso. Ci sono casi in cui, dopo tali rinvii di una visita dal dentista e esperimenti indipendenti, si è dovuto trattare la gengivite e la parodontite sullo sfondo di una lesione della mucosa gengivale sotto forma di un'ustione chimica da "ricette della nonna".
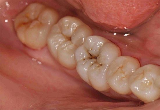
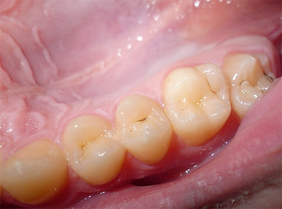
La carie nella fase spot è più facile da vedere nella bocca allo specchio sui denti anteriori. Sul contatto e sulle superfici orali dei denti (così come sulle superfici buccali dei molari), è difficile vedere tali punti. A volte semplicemente non prestano attenzione.

Soprattutto i dolori acuti in questa fase non si verificano (specialmente sui molari, che non raggiungono l'aria fredda durante la respirazione) e nella maggior parte dei casi il punto cariato viene identificato dal medico durante l'esame. Il periodo per il quale si formerà tale macchia è di solito da 3 a 12 mesi.
Da un punto di vista puramente psicologico, i pazienti che sono inclini a cercare modi per sbarazzarsi della carie a casa quasi sempre aspettano fino all'ultimo e vanno dal medico con dolore acuto o insopportabile. In tali casi, il momento in cui il dente potrebbe ancora essere curato da solo, ma sotto la supervisione di un medico, è già perso e il medico deve sezionare il dente e compilare il caso migliore.

richiamo
“Ho provato diversi metodi popolari dalla carie. Tintura di propoli prima, si sciacquò la bocca. Nessun risultato Ho applicato il ravanello con miele per circa due mesi ogni giorno. Non è successo nulla di evidente. Ho provato a rimuovere la carie con candeggina, tuonai alla clinica con ustioni alle gengive e alla lingua. Il dottore mi guardò come se fosse pazza. Di conseguenza, per mezz'ora sono stato perforato dalla carie e ho messo un sigillo.Non hanno fatto un'iniezione, ma non c'è stato alcun dolore. In generale, tutti i giochi con ricette popolari sono la mia grande stupidità. Ora, se vedo che un punto è apparso da qualche parte, vado subito in clinica e per 800 rubli tutti i problemi saranno risolti per me ".
Anna, Rostov sul Don
E, soprattutto, l'unico metodo veramente efficace per combattere la carie dentale a casa implica la stretta osservanza delle istruzioni del medico dopo aver diagnosticato la malattia e determinare lo stadio del suo sviluppo. Il medico concluderà se è possibile un trattamento senza riempimento, valuta la situazione cariogena in bocca, tratta lo smalto danneggiato e prescrive la procedura per l'uso dei prodotti necessari a casa. E quindi, eseguendo il trattamento da solo, il paziente dovrà andare agli esami di controllo con la regolarità concordata.
Cosa si può fare a casa?
A casa, ci sono due modi abbastanza efficaci per affrontare carie iniziale:
- Trattamento dentale con gel speciali che contribuiscono al ripristino dello smalto. Tale approccio è possibile ed efficace solo nelle prime fasi dello sviluppo della carie, quando solo lo smalto è parzialmente danneggiato e la malattia non ha ancora colpito la dentina.
- Prevenzione della carie, quando i denti non sono ancora colpiti (o ben curati), ma la situazione cariogena nella cavità orale richiede l'uso di ulteriori misure protettive.

In ogni caso, prima di utilizzare gel rimineralizzanti a casa, il medico deve trovare tutte le aree sui denti da trattare. Talvolta è richiesta anche la preparazione di tali siti con mezzi speciali.
Comprare un gel in farmacia e iniziare a spalmare un dente cariato con esso, anche se solo con una macchia in una fase iniziale, è altamente indesiderabile, poiché tale trattamento può essere incompleto e insufficiente. E quindi - inefficace.
Altri metodi per sbarazzarsi della carie sono implementati solo da uno specialista. A proposito, la procedura di applicazione di ICON, che è abbastanza popolare oggi, richiede un'ora e mezza in clinica e non richiede alcuno sforzo da parte del paziente. E il risultato sarà ancora più affidabile rispetto all'uso di gel rimineralizzanti.



A casa, la lotta contro la carie di solito si riduce alla sua prevenzione.
Dalla pratica del dentista
La moderna tecnica ICON per sbarazzarsi della carie nella fase spot consente di risolvere letteralmente il problema del danno iniziale dello smalto in un giorno senza usare un trapano. Questa è una terapia microinvasiva con un danno tissutale minimo nella zona di demineralizzazione. Viene eseguito senza anestesia e non provoca disagio. Viene utilizzato in relazione ai punti di carie sulle superfici vestibolare (esterna) e prossimale (contatto) - ogni tipo ha il proprio set di farmaci.
L'essenza della tecnica è che dopo la rimozione della placca, viene rimosso uno spesso strato di smalto pseudo-sano e viene introdotto (infiltrato) materiale polimerico fotopolimerizzato nel sito della lesione. La resina polimerica sigilla i pori nello strato sottosuolo di smalto, che dà un buon risultato e per lungo tempo. Il metodo di infiltrazione si basa solo sull'uso di composti chimici senza elaborazione meccanica del dente, che consente di utilizzarlo attivamente nei bambini a partire dai 3 anni. Come ogni tecnica, richiede il monitoraggio e la registrazione obbligatori del risultato dopo un periodo impostato individualmente dal dentista.
Prevenzione competente della carie a casa
Le regole per la prevenzione della carie a casa sono numerose e non si limitano a lavarsi i denti due volte al giorno. I metodi di avvertimento per combattere la carie sono divisi in tre gruppi:
- system;
- locale;
- Ulteriori.

Le misure preventive sistemiche includono:
- Il rispetto di una dieta competente con una quantità minima di pasticceria e farina, la presenza di prodotti lattiero-caseari, pesce, verdure fresche e frutta è obbligatoria.
- Prevenzione delle carenze vitaminiche.
- L'uso di preparati e prodotti a base di fluoro in compresse ad alto contenuto di fluoruri, inclusi acqua e sale fluorurati (sotto la stretta supervisione di un dentista).
- Ordinare cibo - rifiutare spuntini, pasti di notte (sbarazzarsi di questa brutta abitudine notturna può davvero prolungare la vita dei denti).
- Una rapida lotta contro le malattie somatiche che contribuiscono all'indebolimento dell'immunità.
Nella stessa sezione, puoi aggiungere il controllo della temperatura dei piatti: prodotti troppo caldi e freddi contribuiscono alla comparsa di microcricche nello smalto.

I metodi di prevenzione locali includono:
- Spazzolino da denti con paste selezionate correttamente;
- L'uso di risciacqui speciali e soluzioni per il trattamento dei denti;
- Lo spazzolino da denti dopo aver mangiato con l'aiuto di fili e solo per mancanza di essi è l'uso di stuzzicadenti.


E già le misure aggiuntive per la cura dentale includono l'uso della gomma da masticare per non più di 15 minuti e solo dopo aver mangiato, nonché la rimozione regolare della placca di un fumatore sui denti.
In ogni caso, per prevenire la carie, anche senza segni della sua presenza sui denti, dovresti assolutamente andare dal dentista per un esame. Se non ci sono denti danneggiati e il trattamento non verrà eseguito, tale esame sarà economico e indolore. Ma è stato durante questo periodo che il medico sarà in grado di valutare la situazione cariogena in bocca, calcolare indici speciali, compilare correttamente un elenco di farmaci che possono essere prevenuti a casa, nonché spiegare le regole per l'uso di rimedi dentali e selezionarne uno che sia ottimale per un particolare al paziente.
Carie quotidiana
I mezzi per combattere la carie a casa sono piuttosto numerosi e la scelta del farmaco giusto può essere difficile per una persona impreparata.
Prima di tutto, vengono selezionati i dentifrici. La maggior parte di essi sono terapeutici e profilattici, cioè non solo lavano i denti dalla placca, ma forniscono anche smalto con macro e microelementi e contribuiscono alla prevenzione delle malattie dei denti e delle gengive. In effetti, rendono anche possibile sbarazzarsi delle prime manifestazioni di carie sotto forma di demineralizzazione dello smalto, che può anche essere visivamente indistinguibile (ma a volte, ad esempio, si manifesta come una sensazione regolare di una bocca dolorante).

Per rafforzare lo smalto e lavarsi i denti dopo il trattamento della carie, è necessario acquistare fluoro e paste di calcio. Sono queste sostanze che forniscono il rafforzamento dello smalto con il contatto diretto della pasta con esso. Per fare questo, ad esempio, dentifrici Fluoruro di nuove perle, Fluorodent, Colgate Maximum, Lacalut Fluor, Pepsodent.
Nelle aree in cui il fluoro è già molto presente nell'acqua, l'uso della pasta con essa può essere dannoso a causa del rischio di un eccesso di questo elemento nel corpo. Soprattutto è necessario controllare l'uso di tali paste da parte dei bambini - anche le paste per bambini con una quantità ridotta di fluoruro devono essere usate con molta attenzione. Qui, molto dipende dalle caratteristiche individuali del paziente, dalle proprietà della pasta e da alcuni altri fattori: tutto dovrebbe essere eseguito come diretto e sotto la supervisione di un dentista.

Con un'abrasione rapida dei denti, per ripristinare lo smalto è necessario acquistare paste con bassa abrasione e alto contenuto di fluoro. Con estrema cautela, dovresti avvicinarti all'acquisto di una pasta per dentifricio con una funzione di sbiancamento dei denti - spesso tali paste semplicemente cancellano la placca e quindi danneggiano lo smalto (cioè, imbiancano a causa delle maggiori proprietà abrasive). Significativamente più affidabile è l'uso di dentifrici terapeutici e profilattici con una capacità detergente media, combinati con un buon pennello e la giusta tecnica di spazzolatura.
È utile per i fumatori condurre un'igiene dentale professionale e apprendere le stesse tecniche di spazzolatura. La placca gialla sui denti di solito si verifica a causa di un funzionamento improprio dello spazzolino da denti.

Anche le paste enzimatiche antimicrobiche contribuiscono alla prevenzione efficace della carie. Ma dovrebbero essere alternati all'uso di altre paste, poiché il loro uso regolare può non solo salvarti dai batteri cariogeni, ma anche portare a un'interruzione della composizione della microflora in bocca e allo sviluppo di microrganismi patogeni resistenti agli enzimi stessi.
I filamenti per la pulizia dello spazio interdentale sono utili per scegliere quelli che includono fluoro. Tra questi ci sono Paro Riser-Floss, PresiDENT, Jordan InBetween, ma puoi comprare quasi tutti quelli disponibili nelle farmacie. Quasi tutti contengono aroma di menta piperita.
Anche gli agenti di risciacquo che proteggono dalla carie sono abbastanza numerosi ed è meglio affidare la loro scelta a un medico. I brillantanti Bionorm, Fluorodent, Elmex sono molto famosi.
Quando il trattamento domiciliare fa solo male
Ma la maggior parte delle ricette popolari per la carie sono francamente inutili e molte sono persino dannose.

Quindi, ad esempio, sciacquare la bocca con decotti di erbe e altri preparati naturali - camomilla, salvia, corteccia di quercia - ha un effetto antinfiammatorio, ma non aiuta assolutamente a rimuovere la carie a casa. La situazione è simile con le tinture alcoliche di propoli, sophora giapponese e semplice alcol o vodka: possono solo disinfettare le gengive infiammate o alleviare il dolore.
Ma cercare di sbarazzarsi della carie con l'uso regolare di latte in polvere o miele è francamente pericoloso. I carboidrati in essi contenuti contribuiscono solo alla crescita dei batteri e portano a uno sviluppo più intenso della carie.
E in nessun caso dovresti provare a rimuovere autonomamente la carie a casa con metodi meccanici o chimici. Nei villaggi e nell'esercito, arriva al punto che provano a ripulire la carie con la carta vetrata - è ovvio che anche dopo aver subito tale tortura, dopo un paio di mesi il paziente troverà la carie nello stesso posto. I batteri che una volta hanno fatto il loro lavoro lo faranno di nuovo, ma sulla dentina esposta o sullo smalto danneggiato - già molto più velocemente.


In precedenza, tra i metodi popolari, c'era un modo per liberare i denti dalla carie usando il perossido di idrogeno. Questa tecnica praticamente non dà alcun effetto, ma può portare a ustioni nella cavità orale.
Dallo studio dentistico
Uno dei suoi colleghi ha avuto un caso epico quando una ragazza è venuta a vederlo con gengive, lingua e superficie interna letteralmente bruciate delle guance. Si è scoperto, ha cercato di sbarazzarsi della carie a casa in 1 giorno e allo stesso tempo sbiancare i denti con "Dressing duckling". Quando un collega le ha chiesto se avesse dei dubbi sulla capacità del prodotto di dissolvere letteralmente tutto, incluso un rivestimento stabile sulla piastrella, ha risposto che era scritto sulla lattina con il prodotto che era sicuro per lo smalto.
Vedere la radice: perché hai così paura dei dottori?
Coloro che hanno paura di curarsi i denti, ricordando il terribile trapano nell'infanzia sovietica, o quelli che semplicemente risparmiano denaro per un ripieno, di solito cercano di sbarazzarsi della carie in un modo o nell'altro a casa. Entrambi questi motivi sono suddivisi in realtà:
- Tratta la carie nelle cliniche oggi è assolutamente indolore: la tecnologia moderna consente di pulire i tessuti danneggiati dalla carie senza sensazioni spiacevoli e, con una profonda lesione dei denti, i medici eseguono una buona anestesia. I casi eccezionali in cui l'anestesia non funziona o non è possibile farlo sono estremamente rari e temere di cadere in queste percentuali equivale a sperare di vincere alla lotteria.

- La carie iniziata, complicata da pulpite o parodontite, è molto più costosa da trattare rispetto alla carie nelle fasi iniziali dello sviluppo. Pertanto, un semplice sigillo oggi è un buon investimento nella salute e protegge il budget da un buco significativo in futuro.
E, soprattutto: la carie è una malattia contro la quale non esistono rimedi popolari efficaci. Cercare di trattarlo a casa senza il controllo di un medico è come rimuovere l'appendice con le forbici sul divano.Siate prudenti e approfittate dei moderni benefici della civiltà e lasciate pregiudizi sugli avidi dentisti e scintille dagli occhi nelle cliniche per coloro che deliziano coloro che li circondano con i denti neri.
La cosa migliore che puoi fare a casa per curare la carie è chiamare i tuoi amici, scegliere una buona clinica e fissare un appuntamento con il dentista. Abbi cura di te!
Video interessante: preparazione di un dente con un trapano nel trattamento della carie
Ciò che è importante sapere sulla carie dentale e il suo trattamento dal dentista


Cosa fare se un labbro appare sul labbro dopo aver visitato il dentista e cresce?
Vai dal dentista e risolvi questo problema.
Oh dio, vai dal dottore!
Progetto di esaurimento, che non è affatto uguale al problema.
Grazie, e poi tirò fuori un dente, e c'è una macchia nera sconosciuta. Ma è stato macchiato solo un dente, altri non erano infetti.
Sarebbe così semplice ...
A proposito, dei dottori, solo i dentisti non hanno un'istruzione superiore ...
Dove hai preso idee così folli? I dentisti, come tutti i medici, ricevono un'istruzione medica superiore e quindi seguono ancora una formazione nel profilo dentale.
È doloroso rimuovere la carie?
Oggi sono andato da un buon dottore, perché ho la carie. E ha detto che tutto deve essere curato per $ 700. Questo è troppo e non sono un milionario, quindi dovrò andare dal dottore peggio, ma per meno soldi (
E ho un piccolo buco nella mia zanna, quasi impercettibile, ma temo che la carie si sviluppi e cresca. Non so nemmeno cosa fare.
Siediti sul papa.
Fin dall'infanzia, ho paura dei dottori, quando vengo da loro - tutto trema e la pelle d'oca, ma mentre mi sdraio su una poltrona, tutto qui ... Le lacrime e posso persino mordere un medico (La carie si sviluppa, ma la paura è più forte e non so cosa fare? Aiuto !
Indosso le parentesi. Quando hanno fatto il cast, ho iniziato a piangere istericamente, le mie mani tremavano. Quando viene forato un dente, inizio a urlare, a contrarmi, a chiudere la bocca, a piangere. Cosa fare Ho vissuto con questo per molto tempo!
Vai dallo psicologo, poiché tu stesso non puoi superare la paura. Ho vinto, resta da superare la pigrizia. Perché avere paura di qualcosa, bene?
Anch'io ho avuto un tale problema, ma quando è diventato completamente insopportabile, ho dovuto sopportare.
Sono andato dal dentista, una carie media, ne ho già dati 13.000. Hanno sigillato i canali, hanno detto che hanno messo una corona. È stato molto doloroso sigillare i canali. Una corona su un dente avrà un costo di almeno 6.000.
Oh dannazione! Perché ho letto tutto questo per la notte ?!
Tutto è stato avviato appositamente per me, sono state posizionate 5 corone in ceramica. Il più doloroso di questo è quando un nervo viene estratto e un dente viene macinato per una corona. È una cosa spiacevole, anche se probabilmente non fa male all'anestesia, ho appena deciso di risparmiare un po 'di soldi su di esso) E costa 50.000, è un prezzo molto leggero, te lo dico.
Lo scherzo è che quando si rimuove la carie, cioè lavano lo smalto e mettono un sigillo, col passare del tempo il sigillo diventa inutilizzabile e deve essere cambiato, e allo stesso tempo, i resti vengono nuovamente perforati e il sigillo viene rimesso. E questa intera procedura di conseguenza porta al fatto che il dente è più facile da estrarre e inserirne uno nuovo. Quindi vai a trivellare i denti più spesso, signori!
Le mie otturazioni sono in piedi da 20 anni e tutto va bene, da nessuna parte si è oscurato e le immagini sono buone, perché quindi rimuovere immediatamente il dente ?!
C'è una cosa del genere. Aggiungo che i prezzi continuano a crescere proporzionalmente ... Quindi ho segnato, non voglio sganciare il bottino ogni 3-5 anni. Crolla tutto, anche Mona Lisa))
Ciao a tutti! Cerco di andare dal dentista solo come ultima risorsa! Ed è per questo che - all'inizio, come un idiota, camminavo ogni sei mesi, come la prevenzione e tutto il resto ... Ma poi, per la prima volta nella mia vita, a 21 anni, ho avuto un mal di denti. Sono andato in ospedale, hanno detto, devi solo curare. In nessun caso non cancellare! È stato curato ... Hanno messo un vecchio arsenico per uccidere un nervo, quindi ho corso per 2 ore in un ostello intorno alle pareti! Quindi il nervo è stato rimosso, tutto sembra andare bene, ma dopo un mese il sigillo è caduto, un nuovo sigillo è stato più grande, ancora un mese, è caduto di nuovo, quindi il dente si è sbriciolato e ha dovuto essere rimosso. Ma come mi ha fatto del male! Poi c'erano altri denti che hanno iniziato a ferire circa 3-4 giorni dopo il trattamento. E tutti dovevano essere rimossi.
Circa 7-8 anni fa un pezzo di dente si è rotto (un nervo vivo), è andato in ospedale, ha chiesto di essere rimosso. Le scuse sadiche ricominciarono, come "Forse possiamo trattarti ..." Aha ... In modo che io soffra ancora. Recentemente, questo dente ha iniziato a ferire, è andato all'odontoiatria PAID con la speranza che lo strappassero senza dubbio. Sì adesso! Ancora una volta scusa: "Non ci sono indicazioni per la rimozione." Ora sto pensando come possono creare "indicazioni" per la rimozione (beh, c'è un dente allentato, un flusso o qualcos'altro ...) Ma sicuramente NON lo tratterò!
Non hai provato a prendere calcio + vitamina D? Forse il motivo è la mancanza di calcio o fluoro nel corpo, poiché i denti si stanno sgretolando? Eppure, hai provato l'ICON? Quando non fora un dente.
Ho anche la carie. Un dente su cui presto cadrà la carie, vacilla. Va bene o no?
Benvenuti! Penso che intendi un dente da latte con una distruzione distrutta. Di norma, i denti che si trovano nella fase di uno spostamento fisiologico non richiedono un trattamento. Tuttavia, dovresti consultare un dentista pediatrico che monitorerà lo spostamento: a volte capita che i denti in movimento “inibiscano” l'eruzione o i denti inizino a scoppiare in modo storto. Poiché la posizione dei denti permanenti nella fila è cruciale in futuro, è meglio monitorare costantemente il processo della loro eruzione dal medico.
I denti sono, ovviamente, un problema. Gli specialisti normali sono pochi, costosi o se una persona ha paura (ad esempio una malattia mentale), i medici non vengono assunti. Voglio condividere la mia esperienza. C'è un farmaco "Argenate" bicomponente. In caso di carie (ma il dente non fa ancora male, NERVE NON È SOTTO!), Il dente può reagire al freddo. Per elaborare secondo le istruzioni, l'unico aspetto negativo è che la posizione di elaborazione è nera. Dopo 15 minuti, puoi mettere un sigillo. Per il riempimento, è stato scelto il cosiddetto cemento vetro-ionomerico Cavitan +, sebbene possa essere possibile scegliere più economico, ma da questo gruppo. Per i denti più carichi (masticazione), il cemento vetroionomerico con l'aggiunta di argento “Argetsem” è molto adatto. Anche se il sigillo cade dopo un po ', lo elaboriamo e lo rimettiamo. È necessario provare a mettere senza eccessi. Naturalmente, questa non è la risposta a tutte le domande, ma se l'alternativa è "un'operazione in anestesia generale con tubi tracheali". Importante: leggi le istruzioni, gli ingredienti sono molto aggressivi, devi stare molto attento. Sì, tuttavia, che ha la stessa situazione senza speranza, consulta prima il tuo buon dentista.Spero che qualcuno ti aiuti.
Trattavo sempre i denti a casa e me ne pentivo. È impossibile curare un dente a casa usando metodi popolari. Dovrai comunque andare dal dottore. In qualche modo mi fido degli specialisti più dei metodi popolari della nonna. E sì, grazie, è stato interessante leggere!
E poi il punto bianco diventerà nero? Cosa faccio Sul dente anteriore c'è ((temo che diventerà nero.
Benvenuti! Se stiamo parlando di uno speck che è sorto, cioè un difetto acquisito, allora può davvero progredire nel tempo. L'esatto periodo di tempo per il passaggio di una macchia bianca in un'altra forma (cavità cariata) non può essere indovinato con precisione. Questa è una caratteristica individuale. Per scoprire se hai la carie iniziale, dovresti contattare il tuo dentista ed eseguire una colorazione diagnostica del dente. La carie è di solito confermata in oltre l'80-90% di tali casi.
Non ha senso aspettare che si trasformi in uno stadio aggressivo (specialmente sul dente anteriore). Inizia il trattamento di questo modulo: il medico può raccomandare in questa fase il trattamento della carie senza trapano. Ad esempio, corso di rimineralizzazione dello smalto. La tecnica ICON per il trattamento della carie nello stadio di un punto senza boro è ormai popolare, ma non è adatta in tutti i casi clinici ed è più costosa della fluorurazione (sebbene a volte sia più efficace). Da parte tua, resta solo da calmare e trattare il dente il prima possibile in una fase precoce, è possibile che lo farà anche senza un trapano. Buona fortuna
Quindi la gente nel paese è povera e i prezzi, specialmente per i servizi medici a pagamento, mordono ... Riparare un dente - da 4 mila rubli. Quindi le persone hanno paura non tanto di trattare i loro denti quanto i conti che la clinica imposterà.
Ho contato 540 mila per la riga inferiore. Dire che sono impazzito è non dire nulla (Kemerovo, uno stipendio di 20 mila).
Certo, è più facile e più semplice andare dal dentista e curare i denti, ma solo dove ottenere così tanti soldi, se una normale carie non iniziata costa circa 3 mila rubli e una persona, ad esempio, ha 4 di questi denti! 12 mila, come da un cespuglio, ma dove trovarli? Ci sarebbero cliniche a buon mercato in cui almeno 1000 rubli verrebbero presi per un dente, quindi la gente vorrebbe andare per il trattamento!
Questo è certo, l'odontoiatria è stata interamente ripagata e le persone non possono trattare normalmente i loro denti!
Ho la carie sui denti da masticare, appena notato. Capisco che devi andare dal dentista, so che si riempiranno ... Ma il riempimento è di breve durata - mia madre è durata 10 anni e le viene detto che è ancora tanto tempo. Non voglio riempire e mettere tutti i tipi di corone, e non ci sono soldi per un buon specialista ... È un peccato che non ci sia altro modo per sbarazzarsi della carie.
Ho una carie molto forte sui denti anteriori, anche il dente anteriore è caduto. Ora sto aspettando che la politica venga ripristinata - e direttamente dal dentista!
Ho carie dovute agli antibiotici. Si scopre che non esiste una cura, è vero?
Benvenuti! Lo sviluppo della carie dagli antibiotici è una teoria dubbia. La carie nasce dalla placca sullo sfondo della scarsa igiene orale, quando i batteri che provocano la carie dentaria stanno "funzionando" attivamente. In questo caso, c'è un effetto diretto dei carboidrati, cioè dei dolci (dolci, biscotti, ecc.), Ma non degli antibiotici. Gli antibiotici (la tetraciclina, ad esempio) possono causare una malattia come i "denti della tetraciclina" - questi sono difetti non cariati e non hanno nulla a che fare con la carie.
Non capisco perché all'improvviso hai deciso che non esiste una cura per la carie? Se il dente è gravemente danneggiato dalla carie, ricorrono al trattamento ortopedico (faccette, intarsi, corone) e se il dente è leggermente danneggiato, vengono eseguite procedure terapeutiche: riempimento o restauro del dente con o senza un perno.
Cosa fare se la carie è carente e sconcertante?
Sono andato anche dal dentista oggi, pensavo che avrei solo messo un sigillo, ma si è scoperto che il nervo deve essere rimosso.Ho dovuto fare un dente vicino, due nervi sono stati rimossi e due otturazioni costano 7300. E il dottore ha detto che le corone dovrebbero essere posizionate sopra - questo è 9 mila per due denti. Ma da bambino sono stato suggellato e da un lato (a sinistra) sono stati in piedi per 13 anni. Ma oggi, con il giusto set di nuovo. Non hanno preso antidolorifici per molto tempo, li hanno iniettati 6 volte, quindi tutto ha funzionato con Dio. Ma quando ho lasciato l'ufficio e sono arrivato a casa, ero in uno stato terribile - la mia bocca era insensibile, la parte posteriore della mia testa e il tempio mi facevano male. Il dolore è terribile, giace come una verdura per 7 ore. Qui, ora sto mentendo più o meno, il dolore scompare, voglio davvero mangiare e non riesco ad aprire la mascella - solo il tè.
In effetti, devi andare dal dentista più spesso e, in caso di dolore, masticiamo immediatamente le compresse e poi peggiora e piangiamo di più. Tutta la pazienza e denti sani. Non iniziare i denti e non aver paura, perché i nostri denti sono la chiave per un sorriso bello e sano!
Ci sarebbero dentisti gratuiti - forse andrebbero più spesso, ma non tutti ne hanno l'opportunità.
Sono andato dal medico, ho tirato fuori un dente e non ha fatto male.
Accidenti, voglio rimuovere la mia carie. Ma ce l'ho su quasi tutti i denti. Mi lavo i denti, li lavo, li lavo, li lavo tutto il giorno, ma la carie non va via. Sto davvero pulendo che la schiuma già dalla mia bocca si sta arrampicando. Persino il sangue è andato perché premo: provo a liberarmi della carie.
Benvenuti! Il fatto è che la carie non può più essere rimossa meccanicamente (usando uno spazzolino e un dentifricio). La prevenzione della carie che non è ancora emersa con l'aiuto di uno spazzolino e dentifricio non è la misura più efficace ed efficiente senza una pulizia competente degli spazi interdentali. Ecco perché senza l'igiene dei punti di contatto c'è una carie del muro, che prima o poi inizia a essere visualizzata nello specchio.
Capisco che la coscienza di una persona appare sotto molti aspetti quando vede già un problema. Ma la lotta contro la carie già esistente (tranne la carie nello stadio di una macchia bianca) è praticamente impossibile senza la preparazione del dente, cioè senza trattarlo dai tessuti cariati. Molto spesso questo viene fatto con un trapano, meno spesso con un laser. Il fatto che tu, oltre alla lotta inutile con la carie esistente, danneggi anche la gengiva marginale, è un momento molto pericoloso nella situazione attuale, poiché questo può portare a periodontite e questo è un graduale allentamento e perdita dei denti.
Raccomando di contattare un dentista-terapista e di trattare tutte le lesioni cariose e di igiene per il futuro, in modo che non ci siano nuove aree cariate, concentrarsi sul trattamento delle superfici di contatto (filo interdentale o irrigatori) ed eseguire la fluorizzazione preventiva.
Ciao Spiegare la procedura per posizionare un riempimento (cemento) su un dente cariato. È consentito (come è stato fatto presso un'istituzione statale) semplicemente perforare un incavo e mettere un sigillo, lasciando incustodite le aree cariate nere e semplicemente "coprire" con un sigillo di cemento? (Dopo 3 giorni dall'impostazione del sigillo, il pezzo è caduto e sui bordi della rientranza l'oscurità era un mese fa).
E la seconda domanda: hanno pulito il canale (pulpite). Quindi risciacqua 4 giorni del canale aperto a casa con un batuffolo di cotone (delirio, ovviamente, incredibile, ma il medico mi ha prescritto). Tutti nella stessa istituzione, dente 2 in basso a sinistra. Hanno messo lo stesso cemento (a proposito, bianco). Il dente si è ammalato quasi 2 settimane dopo le procedure, ha cambiato colore da nativo a grigio scuro e ora si distingue nettamente dagli altri. Il sigillo si sbriciola (sei mesi fa lo era). Ho paura di tornarci già.
Questo dovrebbe davvero succedere?
Benvenuti! Sfortunatamente, in un approccio di bilancio di routine, esiste una mancanza cronica di tempo (questo è il primo) e, in questo contesto, uno specialista spesso degrada.In effetti, un riempimento di cemento in epoca sovietica con buone capacità mediche avrebbe potuto durare per più di 10 anni (io stesso ho due otturazioni di cemento - 12-13 anni ciascuna). Ma con violazioni della sua formulazione, specialmente quando rimangono dei tessuti cariati (neri, marroni, ecc.), Il sigillo cade quasi sempre nei primi giorni o settimane, meno spesso - un po 'più tardi.
Quindi, come capisci tu stesso, il lavoro è stato svolto in relazione al dente da 2+ o 3 da un grande svantaggio.
Ho avuto la carie sul penultimo dente da masticare. Fu rimosso dopo anni di confusione con un sigillo. Ora carie su quello adiacente, ad es. l'ultimo dente - era cervicale, pieno, poi c'era una carie "nel mezzo" sulla parte superiore del dente. Ha anche battuto il bordo, un pezzo di smalto piuttosto grande. Va bene se gestisco il sigillo, ma anche è piuttosto costoso, soprattutto per la studentessa. E anche spaventato e vergognoso di fronte ai genitori.
La cosa peggiore è che ora la mia mascella inferiore già poco sviluppata si riduce ogni giorno. Quindi non credere alle cospirazioni e al malocchio.