
Rispetto alle lesioni cariose di smalto e dentina, la carie di cemento o, in alternativa, la "carie subgengivale" (carie radicolare) è molto meno comune, ma a differenza di esse è una forma più aggressiva e pericolosa per un dente. Poiché la radice del dente ha uno spessore di parete ridotto, la sua distruzione da parte della carie spesso avviene in un tempo abbastanza breve, fino allo sviluppo di pulpite o periodontite, che a sua volta porta talvolta all'estrazione del dente.
Poiché la carie di cemento è spesso combinata con la carie cervicale, per i denti anteriori, oltre ai rischi menzionati, questo è anche pieno di estetica. Macchie scure o carie cavità sui denti anteriori, specialmente se non vengono eliminati per diversi anni, provocano spesso complessi psicologici, problemi sul lavoro e nella comunicazione con il sesso opposto.

Per evitare tutto ciò, è necessario, come si dice, conoscere di persona il "nemico": ecco perché è già possibile e necessario ottenere informazioni comprensibili e accessibili su come riconoscere la carie di cemento nella propria casa, quali sintomi può accompagnare e come trattare al massimo risultato per la conservazione del dente. Questo e molto altro sarà discusso in seguito.
Fattori di rischio per il cemento della carie
Molto spesso (in circa il 60-90% dei casi), negli anziani si sviluppa carie di cemento a causa di malattie gengivali di varia origine. Inoltre, nella maggior parte dei casi, si forma una tasca patologica tra la gengiva e il dente - un luogo di accumulo di vari microrganismi che non solo provoca la distruzione dell'attacco gengivale, che porta all'allentamento del dente, ma provoca anche lo scioglimento del cemento radicolare con un approfondimento della dentina radicale (streptococco).


nota
Secondo la classificazione internazionale delle malattie, la carie di cemento si verifica dopo lesioni cariose di smalto e dentina e non è così comune all'appuntamento di un dentista. La classificazione delle cavità cariate secondo Black (Black) consente di attribuire condizionalmente la carie di cemento alla classe V - ai difetti cervicali di tutti i gruppi di denti. La convenzionalità è determinata dal fatto che un difetto cervicale non è sempre combinato con lo sviluppo carie sotto la gomma; proprio come la carie subgengivale non va sempre oltre il margine gengivale fino alla superficie visibile del dente.
Il risultato della distruzione di cemento e dentina da parte della carie è la prima formazione di una piccola cavità cariata, che prima o poi porta alla penetrazione dell'infezione nel dente con il coinvolgimento del tessuto polmonare ("nervo") nell'infiammazione.
Ulteriori fattori di rischio che portano alla carie di cemento:
- Carie cervicale o circolare. Se il processo carioso nella regione gengivale accede al cemento della radice del dente, si forma una sorta di "doppia" carie con due tipi di localizzazione: sopra la gomma e sotto la gomma. Qui, o una violazione dell'adattamento della gomma, che copre il collo del dente, o l'esposizione della radice per qualsiasi motivo gioca un ruolo.

- Corona installata in modo errato o violazione del periodo di prescrizione della sua fissazione. In caso di errori nelle protesi con corone, è possibile un'introduzione eccessiva dei suoi bordi sotto la gomma o accorciamento dei margini gengivali stabiliti dalle norme. Il risultato di ciò è una lesione gengivale con la formazione di una malattia gengivale locale o un ritardo costante nel cibo nel luogo in cui la corona non raggiunge il margine gengivale, il che porta anche all'infiammazione. Di conseguenza, i microrganismi cariogeni possono facilmente penetrare sotto la gomma con il coinvolgimento del cemento radicolare.

- Violazione dell'igiene orale.Un costante accumulo di placca nella regione cervicale del dente o una corona di scarsa qualità senza un'igiene adeguata e regolare spesso porta alla gomma e alla carie subgengivale a causa di fattori cariogenici nella dissoluzione dello smalto dei denti e del cemento radicolare.

Segni clinici
A seconda della posizione della lesione cariata sotto la gomma, viene anche determinata una caratteristica clinica della carie dentale. Quindi, con la localizzazione della carie nella tasca gengivale, quando la gomma infiammata chiude la radice dagli stimoli esterni, stiamo parlando di una posizione chiusa. In tali casi, la clinica della carie del cemento radicale non è luminosa. Di norma, una persona non ha alcun dolore o sono leggermente espressi.
Con la posizione aperta della carie di cemento, oltre alla radice, anche la regione cervicale è coinvolta nel processo di distruzione. A seconda della profondità della lesione cariata, potrebbero esserci lamentele su:
- violazione dell'estetica (in particolare sui denti anteriori)
- disagio quando si mangia
- l'inizio del dolore da sostanze irritanti chimiche (dolci, acide), termiche (fredde e calde) e meccaniche (con la penetrazione del cibo sotto le gengive).

richiamo
Non molto tempo fa, avevo un'oscurità vicino alle gengive del dente superiore e ha iniziato a far male. All'inizio non era nemmeno l'oscurità, ma una specie di macchia marrone, che non potevo spazzolare via con il dentifricio, ma poi le gengive cominciavano a sanguinare e la macchia iniziava ad aumentare ogni mese. Di conseguenza, mi faceva male bere acqua fredda e lavarmi i denti a causa di una gomma dolorante. Dal momento che lavoro come consulente di vendita, devo comunicare con le persone e il dente anteriore con l'oscurità attira ancora di più la mia attenzione - fa anche male. Il dentista ha detto che questo sta già iniziando la carie della radice, che deve essere trattata urgentemente prima che danneggi il nervo. Innanzitutto, la placca e la pietra sono state rimosse da tutti i miei denti e dopo 3 giorni è stato posto un bellissimo sigillo. Ora niente fa male.
Yaroslav, città di Reutov
Diagnosi del cemento della carie senza uscire di casa
Con una posizione chiusa di carie di cemento, può essere molto difficile rilevare in modo indipendente un difetto. In tali casi, di solito viene rilevato solo durante la procedura di curettage (curettage) delle tasche gengivali patologiche o durante la riparazione delle gengive presso il dentista-chirurgo o il dentista-periodontista. Poiché i confini del difetto non vanno oltre il margine gengivale, è solo con l'insorgenza di pulpite e dolore pulpitico che puoi capire indipendentemente che questo dente ha un problema nascosto.

Importante da sapere
La forma acuta di pulpite è caratterizzata da un forte dolore spontaneo che si verifica anche senza stimoli esterni. A seconda dello stadio dell'infiammazione del "nervo" e dei meccanismi protettivi del corpo, viene determinata la durata del dolore: da alcuni minuti a 1-2 ore. Molto spesso, il dolore si intensifica di sera e di notte.
Possono svilupparsi forme croniche di pulpite, aggirando la fase acuta e manifestandosi come dolori doloranti prolungati, che possono essere aggravati da irritanti alimentari (più spesso da caldo). Il decorso cronico della pulpite può durare fino a 2-3 mesi o più, fino alla transizione o a un'esacerbazione della pulpite con una clinica di dolore spontaneo acuto o alla parodontite - infiammazione dei tessuti che circondano la radice del dente, che spesso porta alla sua rimozione.
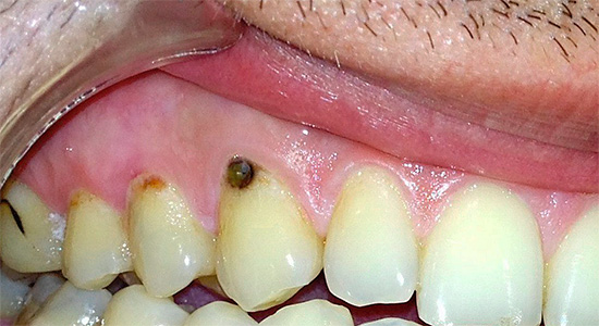
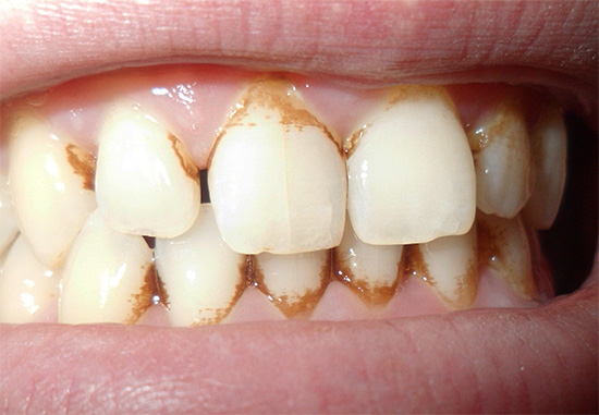
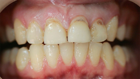
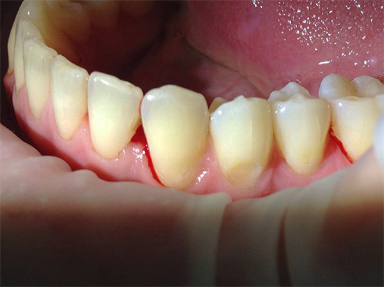
Con la posizione aperta della carie di cemento sui denti anteriori in combinazione con la carie cervicale, di norma, già allo stadio di un punto cariato senza una cavità cariata e nessun sintomo, si possono sospettare seri problemi e consultare un medico. Inoltre, in questo caso stiamo parlando della comodità di comunicare con i propri cari, amici, colleghi e altre persone. La comparsa di punti scuri, una sfumatura gessosa di smalto, le sue crepe e le schizzi al bordo con la gomma consentono di determinare la carie di cemento nella fase iniziale di sviluppo, quando può ancora "sfondare" nell'area subgengivale.

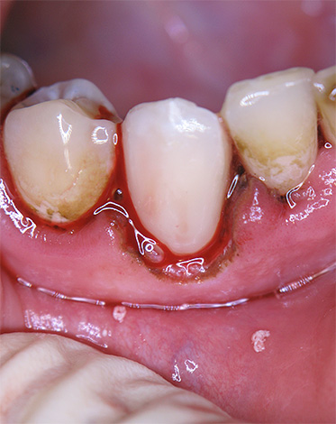
Con estese cavità carie che si estendono dalla superficie esterna del dente più in profondità nelle gengive, si verificano solitamente reazioni a freddo, caldo, dolce, acido, nonché una sensazione di indolenzimento, dolore durante il cibo. Spesso la gomma si allontana dal dente così tanto che sotto di esso è visibile l'area interessata del cemento radicolare e la radice stessa. In tali casi, è necessario consultare immediatamente uno specialista per ulteriori studi e conferma della diagnosi.
Metodi diagnostici professionali
Quando la carie di cemento radicale viene chiusa, sono necessarie ulteriori manipolazioni per effettuare una diagnosi utilizzando metodi strumentali e hardware. Nel quadro della diagnosi differenziale, è possibile applicare i seguenti approcci:
- Rimozione di depositi dentali sopra e sottogengivali: pulizia della placca e della pietra da tutte le superfici dei denti. Poiché la malattia gengivale è spesso innescata da tartaro e placca, al fine di effettuare una diagnosi corretta, è necessario pulire a fondo l'area di ispezione dai depositi. Per questo vengono utilizzati metodi manuali (scaler, scalpelli, curette, ecc.), Punte e dispositivi ad ultrasuoni per la pulizia ad ultrasuoni dei denti (punta per lo scaler dell'unità dentale, Piezon-master, ecc.), Così come il trattamento dentale con Air Flow.

- Attento isolamento della radice esaminata dalla saliva. Cofferdam è usato per questo - come la migliore opzione per la protezione contro la saliva e la comodità della ricerca delle radici, ma puoi farlo con i normali rotoli di cotone.

- Suono della superficie della radice. In questo caso, viene utilizzata solo una sonda appuntita, che consente di distinguere i tessuti sani dalle carie colpite dalla caratteristica rugosità superficiale.

- Esame radiografico. Permette non solo di rilevare cavità subgengivali in un dente sospetto o sotto una corona, ma anche di rivelare i minimi difetti gengivali nell'area delle pareti di contatto strettamente adiacenti l'una all'altra. Allo stesso tempo, anche un leggero "oscuramento" può essere visto nella radiografia del dente, il che indica che i raggi X passano facilmente attraverso il tessuto interessato dalla carie, il che significa che il processo cariato ha già colpito almeno il cemento e al massimo la dentina della radice. Per rilevare la carie nascosta sotto la gomma, viene ampiamente utilizzato un visiografo: un apparato che trasferisce i dati su un computer e consente di identificare un difetto ed esaminarlo in un'immagine ingrandita o con angolazioni diverse.

L'opzione ideale è una serie di misure diagnostiche che combinano i dati ottenuti dal paziente durante l'autodiagnosi con una descrizione dei reclami caratteristici, nonché l'uso coerente di metodi diagnostici professionali, dalla rimozione di tartaro e placca da tutte le superfici dei denti alla diagnostica a raggi X. Questo approccio in futuro ci permetterà di condurre una serie di studi aggiuntivi per diagnosi differenziale della carie cemento da pulpite o parodontite in caso di difficoltà. Vale a dire: termometria (la reazione di un dente ad acqua fredda o uno strumento riscaldato), EDI (la reazione di un "nervo" di un dente a una specifica forza di corrente, caratteristica di una diagnosi particolare, usando dispositivi di elettrodontometria), ecc.
Approcci moderni al trattamento e specifiche della scelta del materiale di riempimento
I moderni approcci al trattamento della carie radicolare consentono di eseguire la procedura in una o più visite - questo dipende in gran parte dalla situazione clinica. Se la gomma chiude la cavità cariata, sanguina o costituisce un grave ostacolo per un riempimento riuscito, alla prima visita viene spesso eseguita la correzione della gomma (escissione).

Dopo aver rimosso l'area di interferenza dei tessuti molli, la cavità cariata dopo il trattamento (o senza di essa) viene chiusa con un riempimento temporaneo di cemento vetroionomerico o dentina di olio normale. Dopo la guarigione delle gengive, il paziente viene invitato a un secondo appuntamento e vengono eseguite le otturazioni.
I principi di base del trattamento della cavità cariata:
- Anestesia obbligatoria, poiché i tessuti radicolari sono l'area più sensibile per la lavorazione.
- Massima escissione di tessuti scoloriti e ammorbiditi sulla superficie della radice mediante tecniche moderne.
- Conservazione di aree intatte della radice.
- La formazione di una cavità arrotondata.
Per trattare la carie, vengono utilizzati materiali resistenti agli effetti del liquido gengivale, della saliva e del sangue durante il riempimento dei denti. Tali materiali sono cementi e compomeri vetroionomerici.


Dalle osservazioni del dentista
Per i pazienti che trascurano l'igiene orale, si consiglia di utilizzare cementi vetroionomerici, che forniscono fluorurazione a lungo termine dei tessuti dei denti dopo il riempimento. La maggior parte dei moderni materiali vetroionomerici hanno caratteristiche estetiche accettabili che, in alcuni casi clinici, ne consentono l'installazione anche sui denti anteriori.
I compositi fotopolimerizzanti possono essere utilizzati in combinazione con tecniche combinate, ad esempio con la tecnica a sandwich aperto, quando il cemento vetroionomerico o il compomero viene introdotto e distribuito per la prima volta nella cavità subgengivale e un riempimento da un composito con qualità estetiche migliorate viene modellato nella regione subgengivale (nella zona del sorriso). Pertanto, le proprietà positive di ciascuno dei materiali utilizzati sono utilizzate al massimo per ottenere la fissazione a lungo termine del futuro sigillo, la sua resistenza e la perfezione esterna.
Per controllare la qualità del trattamento, è necessario venire per un secondo appuntamento dopo il riempimento dopo 2-3 giorni (con restauro artistico) e assicurarsi di - dopo sei mesi per un esame di routine per escludere difetti di riempimento e ricaduta della carie.
Quanto può costare il trattamento?
Di norma, le cliniche private fissano i prezzi per i servizi in base alla complessità del trattamento e al costo dei materiali utilizzati. Oltre allo stato della clinica, al suo livello di attrezzature, formazione, ecc. Il trattamento della carie di cemento è incluso nel listino prezzi come il più difficile nell'attuazione tecnica. Allo stesso tempo, il prezzo per l'uso di determinati dispositivi e preparati durante il trattamento (ad esempio, per l'escissione della gomma che è cresciuta nella cavità cariata), così come i materiali per otturazioni: cementi vetro-ionomerici, compomeri, compositi, ecc., Sono fissati separatamente.

Le tecniche combinate che utilizzano un cassettone per isolare l'area di lavoro, il lavoro a 4 mani con un assistente dentale, il trattamento della carie dentale in 2-3 visite costano, ovviamente, più di un semplice riempimento.
E l'uso di metodi ortopedici di odontoiatria (corone, linguette) in combinazione con misure terapeutiche (otturazioni) o senza di essi costa molte volte di più.
Un tentativo di diagnosticare e trattare gratuitamente la carie dentaria del cemento radicolare (mediante un'assicurazione medica obbligatoria) può concludersi con un fallimento - non dimenticare che questo è un caso difficile. A causa del carico di lavoro e dell'attrezzatura scadente della maggior parte dei reparti dentali (soprattutto rurali) e dei policlinici, esiste un alto rischio di ottenere un sigillo gratuito o economico che, in violazione della tecnica di riempimento, cadrà dopo pochi mesi. Nel peggiore dei casi, una diagnosi errata da parte del medico può portare alla comparsa di dolore da pulpite sotto il riempimento stabilito, perdendo così il tempo per il ritrattamento del dente o persino il dente stesso a causa di complicazioni.
Il consiglio del dentista
Affinché il trattamento della carie di cemento sia efficace, è possibile scegliere qualsiasi tipo di odontoiatria (anche stato), ma è importante informarsi da parenti, amici o conoscenti sul livello delle attrezzature della clinica, recensioni su specialisti, approcci terapeutici, risultati a lungo termine, materiali utilizzati, ecc. Se vuoi risparmiare denaro, dovresti pensare al comfort e al servizio per ultimo, poiché le aziende ben sviluppate applicano fino al 30-40% del costo del trattamento per questa particolare categoria di servizi.
Video utili sulla carie cervicale e le sue caratteristiche
Informazioni sulle malattie gengivali e su cosa possono portare (sulla parodontite)






È possibile trattare la carie di cemento dall'interno prima di impostare un riempimento permanente (polpa rimossa, canali trattati, riempimento temporaneo)?
Benvenuti! Se intendi un trattamento attraverso la cavità del dente, dove esiste la possibilità di una penetrazione profonda nella parete danneggiata, a volte questo può essere fatto, ma c'è la possibilità di lasciare aree cariate sulla superficie esterna del dente, dove l'accesso è difficile. Idealmente, la vista di questa parte del dente dovrebbe essere favorevole, meglio dall'esterno attraverso la retrazione delle gengive, in modo che attraverso questo accesso possa essere eseguita un'asportazione completa dei tessuti cariati. E già all'interno del dente "morto", questo processo può essere controllato.