
Un marcatore di carie è una sostanza speciale che, quando applicata ai tessuti affetti da carie (smalto demineralizzato, dentina), è fissata su di essi e, grazie al suo colore evidente e brillante, consente al medico di rilevare la zona cariata o di indicarne chiaramente i confini. In questo caso, su tessuti dentali sani, l'indicatore della carie non indugia e si lava facilmente quando lavato con acqua.
In poche parole, un marcatore di carie dipinge le aree dei denti denaturati danneggiate dalla carie con colori contrastanti e aumenta la loro facilità di rilevamento.


In questo caso, i termini "rilevatore di carie" e "marcatore di carie" dovrebbero essere distinti. Il marcatore di carie è solo un tipo di rilevatore di carie, sebbene alcuni autori affidabili credano che si tratti di sinonimi assoluti.
Il rilevatore di carie è un concetto più ampio, denota non solo sostanze chimiche che aiutano a evidenziare visivamente le aree cariate, ma anche dispositivi e tecnologie speciali in grado di rilevare la carie in altri modi.
Ma l'indicatore della carie e l'indicatore della carie sono sinonimi. Tuttavia, in odontoiatria, la seconda versione del nome si è rivelata più popolare. Alcuni autori usano il termine "indicatore di carie" come componente separato del marker di carie, che è responsabile del legame del farmaco con la superficie interessata, ma ci sono circa lo stesso numero di autori di quelli che chiamano l'indicatore di carie il farmaco nel suo insieme.

Pertanto, un marcatore di carie aumenta significativamente l'affidabilità della diagnostica della carie. Colora efficacemente le aree cariate in qualsiasi fase dello sviluppo della malattia, incluso lo stadio della macchia, mentre penetra fino a una certa profondità del tessuto interessato e aiuta il medico anche nella fase di rimozione delle aree necrotiche del dente.
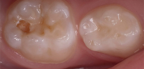
Dopo il trattamento con una soluzione colorante della cavità cariata, è sufficiente che il medico pulisca i tessuti colorati con l'indicatore con un trapano e, dopo ogni rimozione, tratti le pareti della cavità con una nuova porzione del marker. Questa procedura si ripete fino a quando le pareti della cavità non smettono affatto di macchiarsi, il che indicherà la completa rimozione dei tessuti colpiti dalla carie.

nota
A volte un marker di carie viene utilizzato per la diagnosi differenziale della carie. Ad esempio, le aree di smalto con macchie di fluorosi o con ipoplasia, il marcatore non macchia.
L'indicatore di carie si è dimostrato molto valido per educare i giovani medici e studenti, nonché per dimostrare le aree interessate al paziente stesso. Spesso viene anche utilizzato per monitorare le condizioni delle aree di smalto vicino a corone e otturazioni (aiuta a violare l'adattamento marginale di otturazioni, crepe, posizionamento improprio), nelle fessure, dove è molto difficile notare lo sviluppo della carie nelle prime fasi.
L'uso di marcatori riduce in qualche modo la velocità del trattamento dentale, ma elimina i dubbi durante la pulizia della dentina interessata, rendendo la terapia più qualitativa e affidabile.
Classificazione dei rilevatori di carie e dei loro componenti costitutivi
Oggi nel mondo lo studio dentistico utilizza attivamente diversi tipi di rilevatori di carie:
- I rivelatori chimici sono esattamente gli stessi marcatori il cui principio di funzionamento si basa sull'interazione di una sostanza dai colori vivaci con una superficie interessata da un processo cariato.
- Rivelatori ottici in cui un raggio di luce con una lunghezza d'onda di 405 nm viene utilizzato per rilevare i cambiamenti patologici nel dente. Secondo il grado della sua rifrazione, uno speciale programma di analisi mostra colori diversi su ogni sito di computer sullo schermo del computer, formando così una chiara immagine multicolore del dente, in cui le aree danneggiate sono chiaramente visibili in presenza di carie.
- Rilevatori laser, il cui principio è simile all'ottico, ma un raggio laser funge da elemento sensibile in essi.

I rilevatori ottici e laser sono molto convenienti per diagnosticare la carie, ma con il loro aiuto è più difficile controllare la qualità e la completezza della pulizia delle aree danneggiate del dente. Inoltre, sono costosi da acquisire e oggi sono di proprietà di sole cliniche d'élite.
I marcatori di carie sono molto più accessibili rispetto ai dispositivi laser e ottici e quindi vengono utilizzati nella maggior parte delle cliniche, anche in quelle abbastanza economiche. Il loro uso non porta ad un aumento del costo del trattamento della carie, facilitando in modo significativo il lavoro del medico.
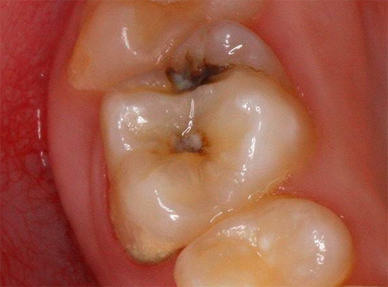
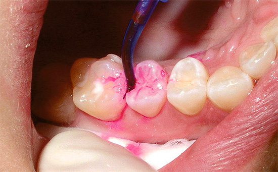
Degli ingredienti attivi nei marcatori di carie, la fucsina acida è il più comunemente usato - un noto colorante sintetico che ha un colore rosso intenso in soluzioni acquose. La foto mostra come le parti cariate del dente sono macchiate con esso:

Meno comunemente, il blu di metilene viene utilizzato per rilevare la carie, che funziona in modo simile alla fucsina, ma colora di blu le aree interessate.
Istruzioni per l'uso di marcatori
Le istruzioni per l'uso dell'indicatore di carie sono semplici. Per diagnosticare la carie con l'aiuto di marcatori (ad esempio, nella fase di una macchia bianca), i denti vengono lavati con acqua, asciugati e una preparazione viene applicata sulla superficie dello smalto. Puoi spremere il marker direttamente dalla siringa, ma puoi anche usare speciali palline di schiuma per questo.
Il farmaco viene lasciato sullo smalto per 5-10 secondi, dopo di che il dente viene lavato con acqua. Le aree colpite dalla carie rimangono macchiate da un indicatore.
Più secca è la superficie del dente prima di applicare il marker su di essa e maggiore è la microporosità dei suoi tessuti, più intenso sarà il colore delle superfici verniciate.
Durante il trattamento con un trapano, tutti i tessuti tinti nel colore dell'indicatore vengono rimossi con il boro. Successivamente, le pareti della cavità vengono nuovamente trattate con un pennarello per 5-10 secondi e nuovamente sciacquate con acqua. Quando vengono visualizzate nuove aree colorate, vengono nuovamente rimosse. La procedura viene ripetuta fino a quando la colorazione con il marker si interrompe durante l'elaborazione di tutte le pareti della cavità.


Tale istruzione è universale per tutti gli indicatori di carie standard, incluso il blu di metilene.
È importante:
L'indicatore della carie macchia non solo le superfici cariate, ma anche la placca su denti e tartaro. Pertanto, è importante non confonderli con aree di lesioni cariose.

I marcatori di carie non sono destinati all'uso domestico. Si tratta di strumenti esclusivamente professionali utilizzati solo da un medico e oltre la metà dei casi di utilizzo di tali strumenti non sono associati alla diagnosi della carie, ma al loro uso per aumentare l'efficienza della pulizia delle cavità cariate durante la terapia.
La colorazione del marker è particolarmente utile quando si rimuove la dentina necrotica infetta, che spesso porta a complicazioni della carie. Sono i resti della dentina necrotica che non sono stati erroneamente rimossi dal medico che possono portare allo sviluppo di carie sotto corone e otturazioni (carie secondaria). Con la stretta osservanza delle istruzioni, l'indicatore della carie consente di pulire completamente la cavità dai tessuti infetti.




nota
I marcatori di carie vengono utilizzati ad un appuntamento dal dentista, dove non vi è alcun limite di tempo, come nella maggior parte delle istituzioni di bilancio. Per utilizzare questi strumenti come metodo diagnostico aggiuntivo, è necessario un trattamento per almeno 30-60 minuti. Risparmiare tempo in questa fase, specialmente con carie profonde, può portare a gravi danni alla polpa ("nervo").
Il punto è che solo un'asportazione completa della dentina cariata interessata e non vitale può ridurre i rischi di "sensibilità postoperatoria", carie ricorrenti e infiammazione della polpa infettiva. Il marcatore di carie (rivelatore), quando sono soddisfatte tutte le condizioni diagnostiche, è raccomandato ai dentisti professionisti per garantire la qualità del trattamento.
Precauzioni e misure di sicurezza
Il principale pericolo che deve essere evitato quando si lavora con un marker di carie è la possibilità di macchiare con un indicatore sano e non danneggiato carie dentinale. Questa situazione si verifica quando il marker sul dente è troppo lungo - più di 10 secondi. Pertanto, il tempo ottimale di lavorazione del dente è di circa 7 secondi.
Per questo motivo, non è consigliabile trattare molti denti contemporaneamente. Ciò riduce l'efficienza del lavoro e quando i primi denti sono già lavati, il marker potrebbe già iniziare a macchiare i tessuti sani su quelli rimanenti.

Inoltre, con un significativo approfondimento all'interno del dente, è necessario distinguere correttamente le aree colorate con indicatori rossi dalla dentina rosa vicino alla polpa.
I marcatori di carie sono innocui per la salute umana. Tuttavia, alcuni di essi contengono glicole propilenico e possono causare allergie in pazienti particolarmente sensibili quando entrano nelle mucose. I sintomi spiacevoli scompaiono rapidamente dopo aver lavato le mucose con acqua.
nota
Grazie al colore intenso della carie, i marker sono in grado di lasciare segni permanenti sugli indumenti e sulla superficie della pelle. Puoi lavarli via con un batuffolo di cotone imbevuto di aceto, ma è necessario farlo immediatamente dopo che il marker ha colpito la pelle o il tessuto, poiché successivamente la macchia sarà più difficile da rimuovere.
Prezzi per marcatori di carie di diversi produttori
I più famosi e spesso usati nelle cliniche sono i marcatori di carie dei seguenti produttori:
- Voco, una droga di fabbricazione tedesca. Il prezzo di 1 g di marcatore di carie Voco è di circa 400 rubli e 3 grammi - circa 1000 rubli.

- Kuraray, un rimedio giapponese - il prezzo di questo indicatore di carie è di circa 2500 rubli per 6 ml.

- Prova colore della società russa VladMiVa. Forse questo è il farmaco più conveniente: una bottiglia da 20 ml costa circa 100 rubli.

Questi prezzi variano notevolmente a seconda della città e della clinica, che li include nel calcolo del costo del trattamento. Tuttavia, le cifre fornite riflettono correttamente la differenza tra il costo di diversi farmaci.
In questo caso, non vi è alcuna differenza fondamentale nel funzionamento e nell'uso di diversi marker. Di solito, il dentista cerca di lavorare con molti di loro e alla fine si ferma sul farmaco che è più conveniente per lui lavorare.
Video interessante: un esempio dell'utilizzo pratico di un marker di carie
L'uso di un rilevatore di carie durante la preparazione dei denti


