
Le manifestazioni della carie sono molto diverse. Non solo questa malattia ha diverse forme, a seconda della posizione sui denti, lo sviluppo della stessa carie è anche diviso in diverse fasi in cui le lesioni cariose sembrano abbastanza specifiche.
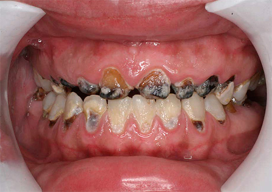
Ad esempio, nella foto sotto - carie generalizzata:


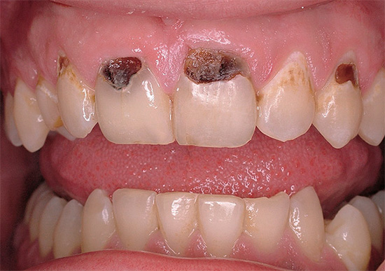
E questa foto mostra una carie a singolo dente:

Come puoi vedere, la differenza è abbastanza significativa e dimostra chiaramente che la carie può apparire molto, molto diversa.
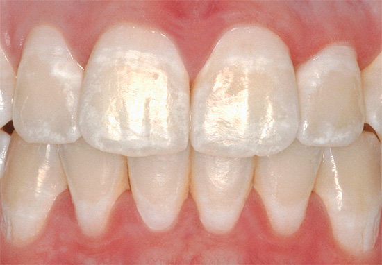
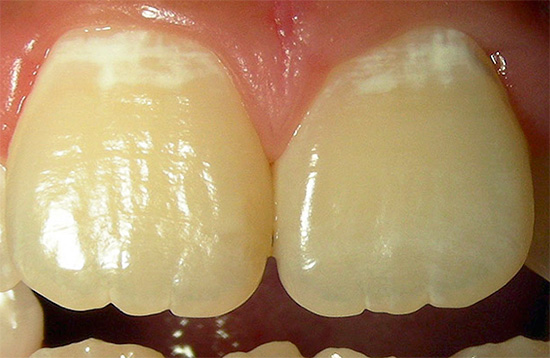
La carie viene mostrata nella prima fase di sviluppo quando si tratta di un punto bianco o gessoso (ecco come appaiono le aree dello smalto demineralizzato):

E in questa foto - carie profonde, che già minaccia di svilupparsi in pulpite:

È interessante notare che nella fase della fase della carie, la maggior parte delle persone non presta alcuna attenzione: pensa, il dente ha leggermente cambiato colore, non sai mai cosa c'è di sbagliato in esso. Ma invano, perché in questa fase la carie può ancora essere curata senza trapano, riempimento e violazione dell'integrità dei tessuti di un dente vivo. Se perdi un momento, quindi senza installare un sigillo (nella migliore delle ipotesi) è improbabile che tu possa già farlo.
In molti casi, la carie si sviluppa dove è molto difficile notarecarie nascosta). Pertanto, anche se sai bene come appare la carie sui denti, non puoi essere completamente sicuro che se non è visibile nella bocca davanti allo specchio, significa che non è affatto lì. In alcuni casi, anche un medico con uno strumento speciale potrebbe non notare danni cari e talvolta la malattia può essere diagnosticata solo con l'aiuto di speciali metodi di esame dentale (raggi X, transilluminazione, diagnostica luminescente, ecc.).
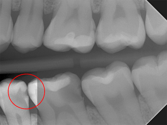
Ad esempio, la foto sotto mostra una radiografia di un dente con una cavità cariata nascosta:


Se si verificano danni allo smalto sulla superficie approssimativa del dente, può essere estremamente difficile discernere tali carie anche con uno specchio dentale.
Tuttavia, sapendo come la carie di solito osserva le varie fasi del suo sviluppo, una persona può rilevare in tempo il danno dei denti e consultare un medico. Questo spesso aiuta a risparmiare entrambi i denti e una notevole quantità di denaro, quindi andiamo a conoscere da vicino l'intera varietà di lesioni cariose ...
Tipi di carie: una dimostrazione visiva
La carie è una malattia che danneggia i tessuti duri del dente: smalto e dentina. Alla lesione iniziale dello smalto, l'area cariata di solito acquisisce un colore bianco latte e perde la sua lucentezza. Quando si tratta di dentina, a questo punto entrambe le aree di smalto poroso demineralizzato e localmente la dentina stessa di solito sembrano già marroni o addirittura quasi nere, poiché sono colorate con varie sostanze, incluso il colorante alimentare.
Pertanto, lo stadio della malattia, la natura del suo decorso e la localizzazione della lesione completano il quadro e determinano l'aspetto esatto della carie sui denti: colore, dimensione della lesione, profondità della cavità cariata, numero di siti della lesione, ecc.
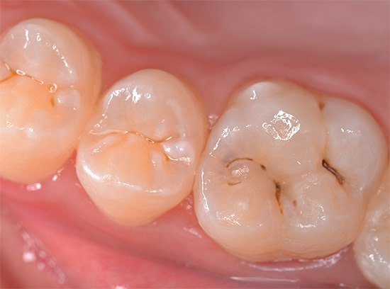
Ad esempio, di seguito nella foto - carie delle fessure. Sui denti, appare sulla superficie masticatoria nelle depressioni naturali chiamate ragadi. In alcuni casi, le linee nere sono così piccole che la sonda dentale e lo sguardo del medico non indugiano su di esse, ma spesso il problema è chiaramente visibile ad occhio nudo:

La carie da fessura è pericolosa perché vaste aree della dentina colpita possono essere nascoste sotto danni allo smalto apparentemente minori. Per una migliore comprensione, guarda un video che mostra schematicamente come la carie penetra nei tessuti dei denti profondi:
Informazioni interessanti sulla struttura del dente e il suo danno alla carie
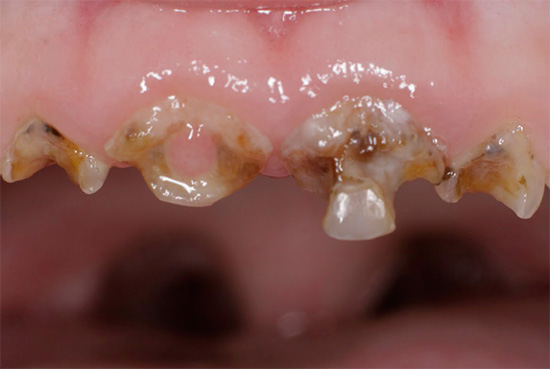
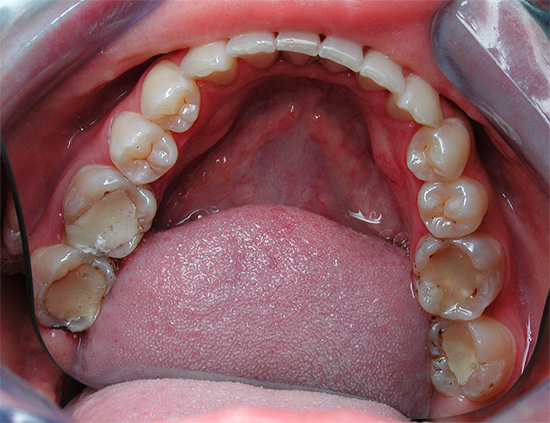
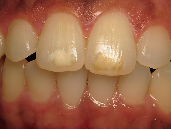
E questa foto mostra un altro esempio di come i denti sono stati colpiti carie generalizzata. Questa è una forma molto pericolosa della malattia, che minaccia una persona con la perdita di una parte significativa dei denti, la depulpazione (rimozione dei nervi) e l'installazione di corone:

Nell'aspetto e nella natura del corso, la carie delle bottiglie è quasi generalizzata. La principale differenza tra queste malattie è l'età delle persone che colpiscono: la carie in bottiglia si sviluppa principalmente nei bambini da 1 a 3 anni. Questo è spesso associato a un'immunità indebolita e malattie somatiche in tenera età.
Immagini della bottiglia della carie:


Una nota sulla carie delle bottiglie
Le cause della carie in bottiglia vanno ben oltre il consumo di latte, soprattutto prima di coricarsi, come pensano alcuni genitori. È importante qui: violazione del regime alimentare, inosservanza delle norme igieniche da parte dei genitori in relazione ai denti da latte, fattore di malattie sistemiche del bambino, aggravamento dello sfondo di processi cariati, influenza diretta e indiretta del reticolo di smalto già formato e non ancora completamente mineralizzato, anche la composizione della saliva del bambino è importante. In generale, una definizione di "una bottiglia di latte - carie" non può essere limitata.
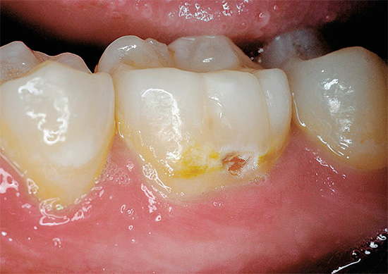
Una forma separata è la carie ricorrente che appare su superfici precedentemente pulite. Di solito si sviluppa nel sito di un trattamento dentale di scarsa qualità attorno alle otturazioni. Nelle ultime fasi dello sviluppo, i tessuti affetti da carie incorniciano il materiale da otturazione e sono chiaramente visibili ad occhio nudo.
Le fotografie mostrano come la carie si sviluppa sotto un riempimento, manifestandosi in punti in cui si adatta ai tessuti circostanti del dente:


Un'altra opzione per la carie nascosta è la carie sotto la gomma, dove colpisce il cemento della radice del dente. Per questo motivo, è anche chiamata carie di radice o carie di cemento. Si sviluppa più velocemente della carie di aree aperte di smalto, ma è molto difficile vederlo.
La foto sotto mostra un dente rimosso con carie radicolari:

Se la malattia si sviluppa nella regione cervicale del dente, cioè in aree vicine alla gengiva, allora in questo caso stiamo parlando di carie cervicale. Una tale patologia ha anche un aspetto caratteristico: alla base, il dente sembra essere minato, a volte lungo l'intero perimetro, mentre la parte superiore della corona rimane spesso generalmente intatta.
Le fotografie seguenti mostrano alcuni esempi di carie cervicale:


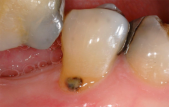
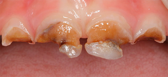
La carie prossimale è molto difficile da rilevare (a volte si chiama semplicemente - carie interdentale): si sviluppa sulla superficie del dente a contatto con la parete di quella adiacente. A causa della difficoltà di pulire completamente lo spazio interdentale con uno spazzolino da denti, tali carie possono macinare lo smalto e quindi la dentina in modo impercettibile per lungo tempo e spesso portano al fatto che una persona cerca aiuto già nella fase di danno carioso profondo.
Un esempio di carie prossimale (interdentale) - nota che praticamente non è visibile:

Ma nel caso di una forte crescita della carie cavità tra i denti, tale carie sembra già abbastanza, per così dire, classica:

È importante tenere conto del fatto che, sebbene nella maggior parte delle foto sopra riportate con la carie dentale, la malattia sia mostrata in stadi di sviluppo piuttosto tardivi, quando la dentina è stata colpita e macchiata, ciò non significa che la carie sia certamente macchie marroni o nere e buchi nei denti. Il colore delle aree interessate dipende dallo stadio di sviluppo della malattia e può variare notevolmente, avendo sfumature dal bianco neve al nero, compresi tutti i tipi di variazioni di marrone, grigio e giallo.
Diverse fasi della carie, diverse manifestazioni esterne
Nella foto: la carie in una fase iniziale di sviluppo:

Questo stadio di sviluppo della patologia è chiamato stadio del punto bianco: qui si verifica solo il danno iniziale allo smalto e la formazione di pori in esso sotto l'influenza di acidi aggressivi dalla cavità orale. Lo smalto perde la sua lucentezza, acquisisce un colore bianco più chiaro e saturo.
Ecco alcune altre foto di carie sul palco spot:


E poi - l'aspetto delle aree cariate dopo che il foro passante si è formato nello smalto e la dentina ha iniziato a fallire:

La sconfitta della dentina segna l'inizio della fase della carie secondaria.
Più avanti nella foto - carie al microscopio:

nota
La dentina è molto più porosa e più morbida dello smalto e assorbe facilmente varie sostanze coloranti dalla cavità orale. Ecco perché, dopo l'inizio della lesione, diventa rapidamente scuro.
L'immagine mostra le principali fasi di sviluppo della carie dentale:

Sotto l'influenza di fattori cariogeni, la dentina viene distrutta molto più facilmente dello smalto, e quindi lo sviluppo della carie media e la sua transizione verso il decadimento profondo di solito avvengono abbastanza rapidamente.
Con la carie profonda, come suggerisce il nome, gli strati profondi di dentina sono interessati fino alle aree vicino alla polpa. Se la polpa stessa è interessata, la pulite inizia con dolore acuto e il rischio di infiammazione parodontale.
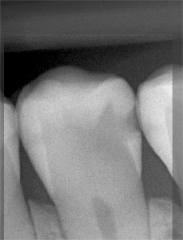
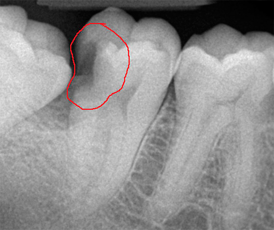
Un esempio di carie profonde in una radiografia è mostrato di seguito:

! importante
La carie profonda può svilupparsi anche senza lesioni visibili sulla superficie del dente. Sulla radiografia è chiaramente visibile e quindi spesso viene scattata una foto per diagnosticare e determinare l'estensione della lesione.
A seconda del luogo di manifestazione, la carie profonda sembra diversa. Ad esempio, nella foto sotto - una lesione dentale piuttosto significativa con carie cervicale:

E qui ci sono denti con profonde cavità cariate sulle superfici masticatorie:

Carie radiografica: come appare e perché fotografarla
Le radiografie dei denti cariati consentono di ottenere il quadro più completo dei danni ai tessuti senza aprire lo smalto. Il principio della radiografia qui è che un raggio di raggi X passa attraverso il dente, che viene attenuato in modo diverso quando passa il tessuto dentale. Proiettando dopo un tale passaggio su un sensore sensibile (o film), mostrano aree in cui i tessuti sono danneggiati o mancanti - tali aree sembrano più scure.
Ad esempio, nella radiografia in basso, una cavità cariata nel dente è chiaramente visibile, che non è stata rilevata con un semplice esame visivo:

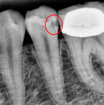
Una radiografia è particolarmente utile per rilevare la ricorrenza della carie, nonché la carie radicolare e la carie prossimale. Ad esempio, ecco una foto in cui puoi vedere come appare la carie approssimativa nell'immagine:

Cosa porta l'astinenza dalle visite dal medico
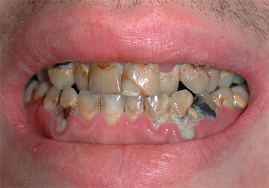
A causa del rinvio troppo lungo di una visita dal dentista, possono svilupparsi carie multiple, che è improbabile che aggiungano attrattiva a qualcuno:
..
Ecco un'altra foto che mostra la lesione simultanea della carie profonda di più denti contemporaneamente:

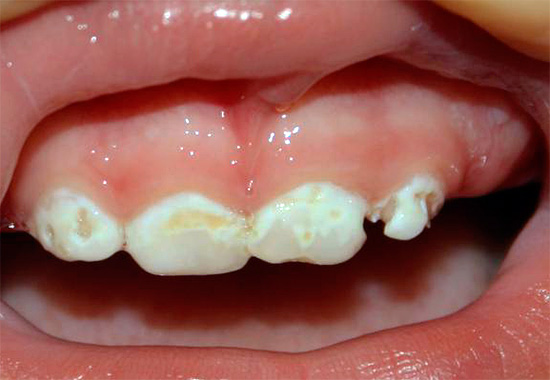
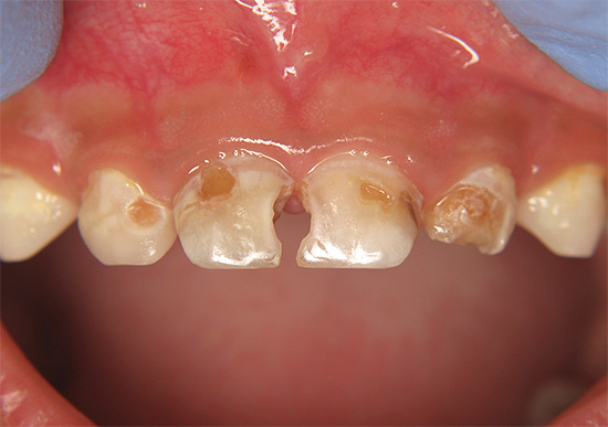
E qui - carie acuta sui denti anteriori del bambino:

Non dimenticare che la carie iniziale nella fase spot di solito è facilmente suscettibile alla terapia remineralizzante da un dentista e può essere trattata senza preparare un dente con un trapano. Non si può dire di lesioni cariose profonde, che non solo possono causare dolore da varie sostanze irritanti, ma anche trasformarsi in una grave complicazione: la pulpite, quando sono spesso necessarie cure di emergenza, poiché può essere insopportabile sopportare tali dolori.
Lo dice il dentista
Molte persone si chiedono spesso: un dentista può trattare un dente da solo? Dichiaro autorevolmente che tali casi si verificano in pratica se il dentista non si fida di nessuno se non di se stesso o se non dispone di fondi sufficienti per queste procedure, lavorando in una piccola città o villaggio.
Posso dire per esperienza personale che trattare la carie in se stessi è una questione difficile.Puoi rischiare solo se il campo di lavoro è chiaramente visibile e la cavità non ha una grande area. Nonostante ciò, alcuni amici dei dottori non lo fecero: si anestetizzarono autonomamente, attraversarono il canale polpa del dente anteriore e anche con un'iniezione, un'incisione è stata fatta con un "flusso" per ridurre il dolore. Più spesso ciò era dovuto all'incapacità di chiedere aiuto ai colleghi durante le vacanze (o nei fine settimana) o alla posizione remota dello studio dentistico più vicino. Sembra incredibile, ma vero: tali dentisti sono persone estremamente impavide!
L'immagine mostra cosa succede quando la carie raggiunge la polpa e porta alla sua infiammazione:

Le foto seguenti mostrano come appaiono alcune fasi della depulpazione dei denti (rimozione del nervo):



Prima noti segni di carie e consulta un medico, più efficace e indolore sarà il trattamento. La carie sulle superfici masticatorie e buccali dei denti e sui denti anteriori - e sulla superficie vestibolare, in molti casi, è possibile rilevarla indipendentemente nelle prime fasi.
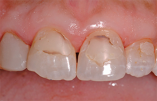
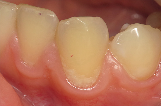
Ad esempio, ecco i denti anteriori con macchie bianche nella foto - i fuochi della carie iniziale:

E poi nella foto: la cavità orale con i denti colpiti dalla carie delle fessure. Linee scure visibili, sebbene non grandi, ma chiaramente visibili sui molari. L'installazione di otturazioni qui non può più essere evitata, ma è del tutto possibile prevenire lo sviluppo della pulpite.

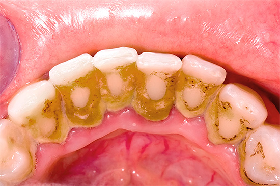
L'insorgenza o la possibilità di carie nel prossimo futuro può essere data anche dal tartaro. La foto mostra un esempio di tali depositi all'interno dei denti anteriori:

In ogni caso, quando ti guardi allo specchio, prima di tutto, devi prestare attenzione a quelle parti dei denti che si distinguono in modo significativo dal loro colore dallo sfondo di quelli vicini. Che sia troppo bianco, beige o, soprattutto, marrone, il fatto che differisca dal colore dello smalto sano intatto può già essere un segno di danni ai denti. E questa è una buona ragione per andare dal dentista. Se, insieme a una tale colorazione non standard, il dente disturba anche, anche se non costantemente, dovrebbe essere trattato il più presto possibile.
Video interessante: un esempio del trattamento della carie profonda con la preparazione di un dente con un trapano
È possibile trattare la carie senza dolore e senza trapano? Tecnologia ICON

Grazie mille per le informazioni MOLTO utili! Ce ne sarebbero di più come te in tutto il mondo!
Altre radiografie con spiegazioni. E l'informazione è molto interessante. Grazie mille
Perché i medici non dicono nulla durante l'esame? .. Ad esempio, cosa si dovrebbe fare e cosa non è necessario affinché non compaia la carie.
Benvenuti! Il fatto è che i medici non hanno molto tempo per "parlare". È chiaro che stiamo parlando della prevenzione della malattia, ma guarda le linee che si accumulano negli ospedali. E qualcuno nel corridoio dirà sicuramente: "Che cosa ha chiacchierato lì per così tanto tempo - abbiamo già aspettato 2 ore".Nell'odontoiatria privata (non tutto), il medico ha tempo, dal momento che ti scrive per allenarti per circa un'ora o più. Pertanto, oltre all'orario principale, il dentista ha 10-15 minuti per parlare con te di qualsiasi cosa. A volte il commerciante privato non è in grado di prestare attenzione, poiché il paziente con dolore acuto può "incunearsi" nel tuo tempo principale e il reddito extra è molto più importante che parlare (per questo commerciante privato).
Brevemente sulla cosa principale: per prevenire la carie, è sufficiente lavarsi i denti con dentifricio contenente fluoro. La percentuale di fluoruro è meglio concordata con il dentista. Lavarsi i denti solo dopo aver mangiato (almeno 3 volte al giorno) e non dimenticare gli spazi tra i denti: irrigatori o filo interdentale.
Se vuoi parlare con il dentista dell'igiene e della protezione dei denti dalla carie, i più non competenti e competenti in questo senso sono gli igienisti dentali e i periodontisti. Buona fortuna
Svyatoslav, il mio dentista mi ha detto che no, non puoi lavarti i denti 3 volte al giorno, "lo smalto sarà danneggiato". Ha detto che puoi solo 2 volte. Inoltre, sono giovane e non ci sono problemi.
Benvenuti! Questo appartiene alla categoria: non puoi mangiare 6 volte al giorno (a seconda di cosa, in quale quantità e come). In generale, lavarsi i denti è buono dopo aver mangiato - questa è la norma. Inoltre, gli standard moderni raccomandano di lavarsi i denti con l'irrigazione con uno speciale irrigatore per pulire gli spazi interdentali.
Cosa vorrei dire al contrario del tuo medico: ci sono dentifrici che non consiglierei di spazzolare una volta al giorno. Ad esempio, le paste sbiancanti sono generalmente controindicate per alcune persone. Allo stesso tempo, ci sono dentifrici con bassa abrasione, cioè sicuri per lo smalto. Si consiglia alle persone con denti sensibili di usare proprio tali paste in combinazione con uno spazzolino morbido.
I dentisti professionisti sottolineano che dopo aver mangiato è necessario rimuovere i detriti alimentari e la placca per evitare la carie e le malattie gengivali. Ti consiglio di verificare con il tuo dentista quale dentifricio è adatto al tuo smalto. Quando si limitano a lavarsi i denti, iniziano le domande: cosa bisogna trattare prima di tutto, carie o gengive? ..
Colpisci alcuni dottori con la loro brutta faccia in questo articolo! Anno! Per un anno intero sono andato da vari medici, raccontando loro del dolore ai denti dopo aver masticato cibi duri - hanno detto che tutto era in ordine. Di conseguenza, hanno aspettato a causa loro che il dente ha iniziato a ferire dopo qualsiasi cibo. È venuta di nuovo e mi dicono che tutto è in ordine con il dente! Quasi con la forza ha costretto il dottore a forarsi un dente da sola, e cosa pensi ci fosse? Un dente completamente distrutto dall'interno, insieme alla radice! Se hai la stessa situazione, fai una radiografia, non fidarti di me. Ma tali dottori devono essere licenziati, senza il diritto di lavorare in campo medico.
Mi si stanno sgretolando i denti, cosa devo fare? Sono andato in odontoiatria privata per la quinta volta, ho speso molti soldi. Non avvertono nulla fino a quando i denti non collassano completamente. Questo è per te venire più tardi e spendere di nuovo soldi normali. Dimmi un modo economico per evitare la carie. E come proteggere i miei denti, altrimenti ho 21 anni e i miei denti si stanno già rompendo. Questo è già il 6 ° dente 🙁
Benvenuti! Non tutti i dentisti privati sono "allevati" per denaro, e non in tutti i casi si tratta di un odontoiatria particolare, anche se sembra che vi sia più denaro appositamente estratto da voi.
Ci sono alcune raccomandazioni semplici ma efficaci: 1. Se non sei soddisfatto delle tattiche del medico o della clinica, cambia il medico o la clinica; 2. Se si desidera proteggere i denti rimanenti dagli effetti della carie, fare prevenzione.
Per risparmiare denaro, l'odontoiatria statale può adottare misure preventive, ma i medici che vi lavorano spesso hanno molto da fare e pochissimo tempo. Di conseguenza, la qualità può soffrire, quindi l'opzione migliore è una normale clinica privata, in cui il medico ha un sacco di tempo per i tuoi soldi.
La prevenzione dei proprietari privati che sono il più interessati possibile in modo che la carie non comporti complicazioni e che non compaia affatto sui denti, non è economica. Il fatto è che per la pulizia dei denti è necessaria la rimozione regolare di cammei dentali e placca: ad esempio, una pietra viene rimossa una volta ogni sei mesi. Il dentista determinerà quali punti sono carie e quali sono pigmentati. La carie iniziale (nella fase spot) può essere trattata senza un trapano - il metodo ICON (non l'opzione più economica). Le fessure scure (fossa sui molari) possono essere trattate con un metodo invasivo e non invasivo di sigillatura delle fessure, sebbene più spesso questi focolai di future carie gravi dopo l'escissione con un trapano siano semplicemente sigillati con materiale fotopolimerizzabile.
Quando tutto ciò viene fatto, la migliore raccomandazione dopo un'attenta preparazione della cavità orale per l'uso è il mantenimento competente della salute dentale, vale a dire l'igiene ottimale. Ciò include: la selezione di dentifricio con sua alternanza, spazzole, irrigatore per la pulizia degli spazi interdentali. Un irrigatore è una cosa interessante, molti dentisti considerano un irrigatore per uso domestico il modo migliore per prevenire la carie sulle pareti di contatto dei denti. Come dentista praticante, dirò che la carie il più delle volte solo sulle pareti e si sviluppa, proprio vicino alle gengive, dove c'è una raccolta costante di cibo. L'irrigatore "elimina" tutti i resti di cibo.
L'igiene è indicata ogni volta dopo aver mangiato. La fluorizzazione dei denti viene mostrata 2-3 volte l'anno secondo le indicazioni. Per alcune persone, l'odontoiatria è la stessa categoria di spese per le acconciature delle donne e la bellezza delle unghie - cioè una componente indispensabile del normale corso della vita. Quindi provaci!
Tutto è molto interessante e dettagliato! Grazie per le informazioni dettagliate con le foto!
Mi sono davvero piaciuti i dottori, molto bene, grazie.