
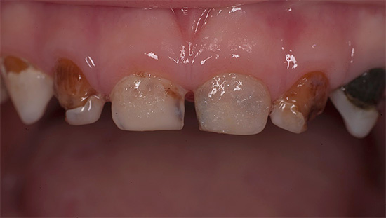
La carie in bottiglia è una malattia dei bambini di età compresa tra 2 e 3-4 anni. Il nome piuttosto originale di questa malattia è dovuto a una delle sue cause: la carie in bottiglia nei bambini si sviluppa a causa dell'abitudine di bere latte o miscele di latte da una bottiglia prima di coricarsi o nel cuore della notte, dopo di che una grande quantità di cibo rimane in bocca per tutta la notte, che sono le principali fattore cariogeno.
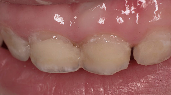
La seguente foto mostra un tipico esempio di carie di bottiglie:


Per analogia, la carie in bottiglia è anche chiamata "vivaio", "kefir", "latte", ci sono persino i nomi "carie al capezzolo" e "carie per l'alimentazione notturna" - questi termini indicano chiaramente anche le principali fonti del problema e l'età dei pazienti. Nelle directory mediche, tutti questi termini non esistono affatto: per natura del corso e cause primarie, la malattia è tipica carie e il nome "carie in bottiglia" è comune.
Cause della malattia
Le ragioni principali per lo sviluppo della carie in bottiglia sono le stesse di altri tipi di lesioni cariose: danno e ulteriore distruzione dei tessuti dei denti sotto l'influenza di acidi prodotti da batteri che si moltiplicano nella cavità orale. Il cibo per questi batteri sono principalmente i resti di carboidrati, che si depositano sui denti dopo l'alimentazione. Ma i motivi della presenza di tali detriti alimentari nella bocca e dell'incapacità del corpo di sopprimere l'attività dei batteri sono secondari e influenzano il rischio di carie in bottiglia in diversi modi.
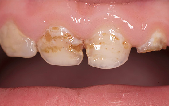
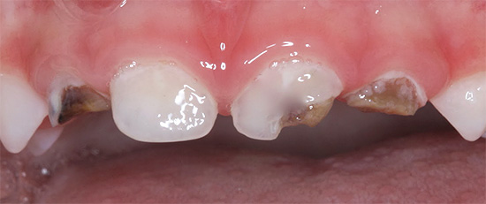
Foto dei denti con carie in bottiglia prima e dopo il trattamento:


La maggior parte dei dentisti considera l'allattamento notturno del bambino come la ragione principale dello sviluppo della carie in bottiglia. E non importa se il bambino mangia dalla bottiglia o succhia il seno - il lattosio (zucchero del latte) si trova in entrambe le miscele e nel latte materno, è anche un substrato ideale per lo sviluppo di batteri.
Ma di per sé, questo motivo non porta sempre all'insorgenza della malattia: in molti casi, i bambini che vengono nutriti di notte non sviluppano carie. E viceversa - in alcuni piccoli pazienti, i segni della carie in bottiglia compaiono anche con un chiaro programma di alimentazione con l'ultimo pasto prima di coricarsi e lavarsi i denti dopo.

Pertanto, altri fattori svolgono un ruolo importante nel verificarsi della carie in bottiglia:
- Immunità indebolita e proprietà battericide insufficienti della saliva del bambino: nel solito caso, le forze protettive del bambino dovrebbero essere sufficienti per sopprimere l'attività dei batteri in bocca. Nei bambini che (o chi) non lavano i denti, mangiano di notte e non hanno carie, è la saliva che protegge i denti dalla carie. È vero anche il contrario: se la capacità della saliva di resistere ai batteri è meno pronunciata, i denti possono essere colpiti anche con una buona igiene orale. Allo stesso tempo, altre malattie del corpo, ad esempio diabete mellito, influenza, infezione intestinale, possono influenzare la diminuzione delle qualità battericide della saliva. In ogni caso, il bambino può essere svezzato dalle poppate notturne ed eseguire un'adeguata spazzolatura. In tali condizioni, lo sviluppo della carie sarà notevolmente rallentato e i genitori attenti avranno sempre il tempo di mostrare al bambino il dentista quando è ancora possibile salvare e lasciare il dente illeso.
- Errori nella preparazione della dieta del bambino. Dolci, cereali e succhi dolci, prodotti dolciari e farinacei, i cui resti sono conservati sui denti, contribuiscono maggiormente alla riproduzione e alla prosperità della microflora in bocca. La mancanza di cibi ruvidi, come carote e mele, che cancellano la placca quando masticata, influisce anche sulla condizione dei denti.Ci può anche essere una carenza nella dieta di cibi ricchi di calcio e fosforo - pesce, latticini naturali.
- Un fattore regionale può anche influire: con una mancanza di fluoro nell'acqua potabile, lo smalto dei denti si indebolisce e viene danneggiato più rapidamente dagli acidi aggressivi.

In generale, una corretta igiene orale è sempre importante: una bottiglia di latte prima di coricarsi sarà meno dannosa per i denti se il bambino si lava i denti dopo aver mangiato.
L'ereditarietà è anche considerata una causa della carie in bottiglia, tuttavia, nella stragrande maggioranza dei casi, i genitori giustificano la loro pigrizia e la riluttanza a lavarsi i denti del bambino o insegnano loro a farlo da soli. Ricorda: anche con una predisposizione genetica, una corretta igiene orale e una dieta sana ridurranno significativamente la probabilità di carie!

commentare questo programma:
“Sei mesi fa, abbiamo notato una tale ferita nel nostro anziano (3,5 anni). All'inizio mi è sembrato di essersi danneggiato i denti con qualcosa, perché esattamente sotto le gengive dei tre anteriori, tali trattini sono diventati giallastri. Era come se avesse colpito qualcosa e tagliato. Il dentista esaminò la questione e disse che si trattava di carie di bottiglie. In effetti, non alleviamo i bambini in particolare, abbiamo cercato di imparare a lavarci i denti, ma né Andryusha, per non parlare di Valik, lo faceva regolarmente. Bene, sono entrambi calmi. Andrei si sedeva normalmente su una sedia, il dottore gli metteva degli otturazioni semplici con due denti e su uno lo lavorava senza trapano. Ora per mezz'ora la sera suoniamo entrambi a spazzolatura. "
Anna, San Pietroburgo
Aspetto dei denti con carie in bottiglia
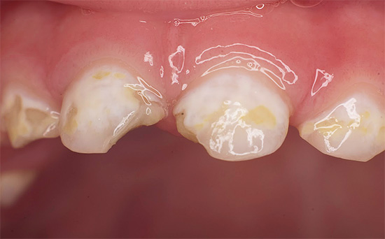
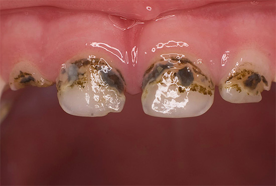
Nella foto sotto - tipica carie di bottiglie in una fase avanzata di sviluppo. In alcuni punti, lo smalto dei denti è completamente collassato e sono visibili lesioni profonde della dentina, che si scuriscono rapidamente a causa della pigmentazione di vari coloranti alimentari e prodotti di scarto di batteri:

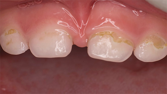
Nelle prime fasi, la carie di bottiglia può manifestarsi sotto forma di punti chiari opachi (stadio di una macchia bianca o di gesso), che nel tempo assumono la forma di rugosità sullo smalto, gradualmente si approfondiscono e si scuriscono.
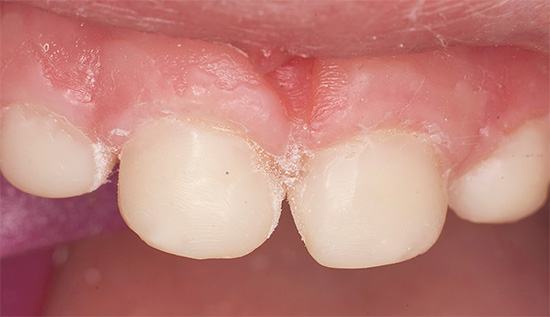
Più avanti nella foto - carie media, che copre più denti contemporaneamente. Una tale lesione simultanea è un segno diagnostico caratteristico della carie in bottiglia:

Di norma, la carie di bottiglia colpisce prima i quattro denti superiori anteriori del bambino. Il processo cariato spesso inizia nella zona gengivale, copre rapidamente l'intero dente attorno alla gengiva lungo il perimetro e penetra negli strati profondi di smalto. Il danno alla zona gengivale del dente è una caratteristica della carie in bottiglia.
In generale, la carie in bottiglia profonda indica un atteggiamento irresponsabile dei genitori nei confronti della salute del bambino: È facile notare la patologia già nelle prime fasi e solo i genitori che possono prestare attenzione ai denti del bambino solo con lamentele costanti possono portare un bambino con denti cariati nella clinica.

! importante
La carie di bottiglia può svilupparsi non solo su più denti anteriori, ma anche su un singolo dente e molari. Pertanto, il bambino dovrebbe ispezionare regolarmente e accuratamente tutti i denti, non solo quelli anteriori.
Trattamento della carie in bottiglia: regole e caratteristiche
La regola principale che i genitori dovrebbero ricordare: trattare la carie sempre necessario! Le scuse, dicono, non hanno bisogno di curare la carie in bottiglia, perché i denti da latte e così cadono - questo è un crimine davanti al bambino.
La carie prematura dei denti da latte porta spesso a disturbi nella posizione dei denti permanenti e a difetti nello sviluppo della mascella, spesso rovina la dizione del bambino e porta a lisp.Sì, e semplicemente i denti marci nel corso degli anni sono un'occasione per il ridicolo costante di un bambino da parte dei coetanei, che potrebbe essere la ragione della formazione di un complesso di inferiorità in lui.

Commento del dentista pediatrico
La carie prematura è, prima di tutto, un processo infettivo nella cavità orale. I fuochi infettivi sono localizzati nei denti in decomposizione stessi con cibo persistente lì, così come sulle radici dei denti da latte, portando a un rischio di sviluppo alterato dei rudimenti dei denti permanenti sottostanti. Qualsiasi infezione nella bocca, specialmente se così grave, è un rischio di sviluppare malattie maxillo-facciali (fino a "flussi" e la comparsa di gravi processi infiammatori nel tessuto osseo) e una serie di malattie correlate o il loro deterioramento.
Se viene rilevata la carie, il bambino deve essere mostrato a un buon dentista.
Il trattamento efficace della carie in bottiglia nei bambini è possibile in quasi tutte le fasi dello sviluppo della malattia, ma con un danno profondo al dente, può essere significativamente complicato dalla vicinanza della camera pulpare ai tessuti danneggiati.

Fondamentalmente, il trattamento della carie in bottiglia nei bambini non differisce dalla gestione di altri tipi di malattia, tuttavia è metodologicamente molto più difficile a causa del fatto che è difficile costringere il bambino a sedersi su una sedia con la bocca aperta per lungo tempo. In molti casi, le procedure professionali richiedono l'anestesia, che spaventa molti genitori. Ecco perché è molto importante notare i segni della carie nelle prime fasi del suo sviluppo, quando la malattia può essere curata senza usare un trapano con farmaci speciali come indicato da un medico e da sola a casa.
richiamo
“Abbiamo 2 anni e 8 mesi. La carie è iniziata, il medico ha detto che era imbottigliato: succhiamo ancora il manichino prima di andare a letto e mangiare yogurt la sera. Macchie scure apparvero su due denti di quelli anteriori superiori, come se fossero stati dipinti con qualcosa. Siamo andati dal dentista, c'è una stanza speciale per bambini, con disegni alle pareti, giocattoli, un dottore in un cappotto luminoso. E inutilmente. Sasha si precipita immediatamente in un grido, solo la sua bocca è aperta su una sedia. Ho dovuto fare l'anestesia. È molto spiacevole, prima ho dovuto superare specificamente diversi test, in generale, così irrequieti, tutto sembra un'operazione seria. Ma il medico dice che di solito il bambino si sta abituando alla seconda o terza visita e rende possibile fare tutto senza anestesia. Ma in generale, non aver paura di lui, è meglio di sei mesi dopo che i denti marciranno affatto. "
Tatyana, Odintsovo
Nella fase di una macchia bianca o debolmente pigmentata, è spesso possibile ripristinare quasi completamente l'area dello smalto danneggiata utilizzando metodi di terapia rimineralizzante. A casa, i denti vengono regolarmente trattati con gel speciali come R.O.C.S. Medical Minerals o GC Tooth Mousse. Ma non si può decidere il trattamento da soli con il loro aiuto: solo il medico dovrebbe determinare lo stadio di sviluppo della carie e prescrivere un trattamento.

I metodi professionali sono più efficaci nelle prime fasi dello sviluppo della carie in bottiglia, quando il medico tratta la superficie porosa dello smalto danneggiato con speciali infiltranti (sistema ICON). Tale procedura richiede 1-1,5 ore di tempo, è piuttosto laboriosa, richiede l'uso di una tenda di gomma (diga di gomma) e nei bambini piccoli viene eseguita in anestesia generale.
L'argentatura dei denti con la carie in una fase iniziale è molto più semplice da implementare. Può essere eseguito per i bambini più piccoli senza anestesia. Per un breve periodo (circa un mese), uno strato di argento metallico finemente disperso formato dai suoi sali sulla superficie del dente protegge in modo abbastanza affidabile dalla carie.
La foto mostra un esempio di argentatura dei denti da latte:

Gli svantaggi di questo metodo sono la necessità di un costante aggiornamento dello strato argentato e l'aspetto antiestetico dei denti (sembrano quasi neri).In realtà, al fine di sostituire il metodo di argentatura con procedure più estetiche e una tantum, sono stati sviluppati moderni metodi di protezione, ad esempio il suddetto sistema ICON.
nota
Molti dentisti sono negativi riguardo alla tecnica dell'argentatura, basata sul frequente oscuramento dei denti dopo di essa, nonché in relazione alla dubbia efficacia della procedura (specialmente quando la dentina è coinvolta nel processo carioso). Se la clinica ha attrezzature moderne, l'argentatura dovrebbe essere abbandonata solo perché la lotta contro cariati denti neri porterà, nella migliore delle ipotesi, a denti neri e brutti. Ciò può causare un trauma psicologico al bambino nella squadra di bambini che riderà di lui.
Ecco alcune altre foto di denti argentati:


Nelle cliniche d'élite, l'argentatura dei denti non viene eseguita oggi.
Se le aree del dente danneggiate dalla carie sono molto scure, ciò indica spesso un danno alla dentina e la necessità di rimuovere il tessuto interessato con un trapano. In questo caso, viene talvolta utilizzata l'anestesia generale. Dopo la disinfezione, le cavità pulite vengono riempite con materiale di riempimento.
Per la produzione di otturazioni su denti da latte, vengono utilizzati cementi vetroionomerici, compomeri e materiali compositi fotopolimerizzabili. Molto spesso, i dentisti preferiscono trattare la carie in bottiglia profonda nei bambini usando cemento vetroionomerico. Sebbene sia un materiale più vecchio, fornisce un rilascio costante di composti del fluoro nei tessuti dentali demineralizzati che circondano il materiale da otturazione. Inoltre, le otturazioni di cemento sono soggette all'abrasione insieme ai denti decidui stessi e quindi, anche con un'usura prolungata, non sporgono oltre i bordi dei denti e non influenzano il morso del bambino.
Dalla pratica del dentista
La maggior parte dei dentisti ritiene che il trattamento della carie in bottiglia nei bambini di età inferiore ai 2 anni richieda molto spesso l'uso dell'anestesia generale (anestesia), dal momento che un restauro di alta qualità della funzione e dell'efficacia dei denti colpiti, nonché della loro estetica, richiede 2 o più ore. Un bambino in stato di coscienza non ti lascerà mai fare un ottimo lavoro, e spezzarlo in trucchi separati è un trauma psicologico in più. Tuttavia, anche un metodo così efficace come il trattamento dentale in anestesia ha controindicazioni, pertanto, è necessario, insieme al medico, determinare la possibilità del suo uso in un particolare bambino, rischi accettabili e complicanze. Il livello delle attrezzature della clinica e la professionalità dei medici influiscono in modo significativo sull'esito del trattamento imminente.
Le otturazioni colorate oggi utilizzate sono composte da compomeri che rilasciano fluoruri nel tessuto dentale, come i cementi vetroionomerici, ma sono molto stabili ed estetici, come i compositi fotopolimerizzabili. Il loro fascino principale risiede proprio nei colori vivaci del materiale, che affascinano i bambini e rendono l'intera procedura simile a un gioco.

Questo è vero per i bambini di età superiore ai 4-5 anni che possono competere con i coetanei e mostrare le loro otturazioni colorate. Pertanto, il trattamento della carie in bottiglia si trasforma in intrattenimento e il medico ottiene un bambino calmo su una sedia.
nota
Il prezzo di un sigillo colorato non è molto più alto del costo di un semplice compomero. Ciò significa che se la clinica chiama uno o mezzo o due prezzi per un semplice riempimento per una tale gioia d'infanzia, allora questa è una sincera sopravvalutazione.
Come prevenire l'insorgenza e lo sviluppo della malattia: prevenzione dai primi mesi di vita
misure prevenzione della carie in bottiglia nei bambini diversi e sono tutti suddivisi in due tipi: misure di protezione locale contro la carie e misure di prevenzione sistemica.
I primi includono:
- Lavarsi i denti è importante per tutti i bambini che hanno almeno un dente.Per i bambini più piccoli (fino a un anno), usano semplici tamponi di garza imbevuti di acqua, tè o brodo di camomilla, spazzole morbide indossate su una delle dita dei genitori e salviette speciali (Spiffies, Denti). Da un anno e mezzo, a un bambino può già essere insegnato a usare uno spazzolino da denti per bambini.
- L'uso di gel anticariogenici per il trattamento dentale.

La prevenzione sistemica consiste nelle seguenti azioni:
- Rispetto della dieta, rifiuto delle poppate notturne e delle poppate dopo aver lavato i denti.
- Correzione della dieta, diminuzione del numero di dolci, prodotti farinacei, aumento del numero di frutta e verdura fresca, pesce, latticini, verdure.
- Rispetto delle misure igieniche di base: non leccare il cucchiaio con cui mangia il bambino o un manichino che cade sul pavimento. I batteri cariogeni dalla bocca dei genitori potrebbero non essere familiari al bambino.
Dalla pratica del dentista
Molti dentisti e pediatri sono dell'opinione che i succhi dolci siano fatali per i denti decidui, poiché contengono carboidrati facilmente fermentabili, che formano rapidamente la placca. Se il bambino è già abituato ai succhi, non è difficile svezzarlo: il succo deve essere gradualmente diluito con acqua bollita fino a quando non si trasforma in acqua, e può essere somministrato al bambino anche di notte senza il rischio di sviluppare carie in bottiglia.
In generale, il bambino deve essere svezzato il più presto possibile dal capezzolo e in nessun caso deve essere imbrattato con marmellata o sciroppo. Un bambino sano può calmarsi e addormentarsi solo con l'aiuto di un genitore.
E se il bambino è cattivo e piange senza una ragione apparente, questa è un'occasione per mostrarlo al medico. Non aver paura dei dottori: nessuno meglio di loro riconosce la malattia in una fase in cui non è ancora difficile curare. E sii sano!
Video interessante: in dettaglio sulla carie di bottiglie (dice un esperto)
Come prendersi cura dei denti del bambino dalla nascita

Vivo a Bratsk, nella regione di Irkutsk. I nostri medici non sanno nemmeno cosa sia la carie in bottiglia e dicono che non esiste un tale tipo di carie. Mi sono rivolto a Irkutsk - ed ero contento di saperlo, ho accettato di curare. Ora devi percorrere 1000 chilometri, ma la cosa principale è che i denti del bambino sono sani 🙂
Julia, per favore scrivi l'indirizzo della clinica che ha accettato di curare i denti di tuo figlio a Irkutsk. Urgentemente necessario.
Vivo nella città di Brest. I medici di Lode trattano la carie in bottiglia da quando avevamo 14 anni, ma cosa, fino ad allora, un bambino camminerebbe con i denti marci? E così i suoi coetanei ridono di lui. Dimmi, dove nella città di Brest può essere curata una simile carie?
Gli amici sono andati a Minsk. Il bambino ha 2 anni. In anestesia hanno trattato.
Quale bottiglia carie all'età di 14 anni, cosa trattano i denti permanenti a questa età!