Un sito sulle malattie dentali e il loro trattamento

Estrazione del dente

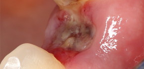
Rimozione di un dente del giudizio situato sulla mascella inferiore
Rimozione di un dente del giudizio situato sulla mascella inferiore

Sfortunatamente, a volte dopo aver rimosso il dente del giudizio sulla mascella inferiore ci sono conseguenze molto spiacevoli: può essere un forte dolore, sanguinamento prolungato e persino una perdita permanente di sensibilità del viso, del mento e della lingua. In molti modi, i rischi di tali complicanze sono dovuti alla struttura speciale degli 8 denti inferiori, nonché alle peculiarità della loro posizione nella mascella. Quindi vale la pena quindi, in generale, rimuoverli e ciò che è necessario essere preparati dopo il lavoro di un chirurgo dentale - scopriamo ...

Aumento della temperatura dopo l'estrazione del dente: è normale?
Aumento della temperatura dopo l'estrazione del dente: è normale?

Spesso dopo l'estrazione del dente, la temperatura nello stesso giorno può salire a valori molto alti, specialmente di sera o di notte. A volte questa è una reazione completamente naturale del corpo all'intervento chirurgico e alla successiva infiammazione, ma in alcuni casi una temperatura elevata può indicare lo sviluppo di complicazioni pericolose. Come in una situazione del genere riconoscere il problema nel tempo e come può essere risolto - ne parleremo ulteriormente e ne parleremo più in dettaglio.

Cosa fare se dopo la procedura di estrazione del dente la guancia è gonfia?
Cosa fare se dopo la procedura di estrazione del dente la guancia è gonfia?

Una guancia gonfia dopo l'estrazione del dente è un evento abbastanza comune che si verifica, di regola, qualche tempo dopo una visita da un dentista-chirurgo. Spesso, un forte gonfiore della guancia provoca il panico delle persone impressionabili, soprattutto nei casi in cui è accompagnato da altri sintomi spiacevoli. In tali situazioni, di solito sorge la domanda: quanto è pericoloso e cosa si dovrebbe fare per risolvere il problema? Successivamente, proveremo a capire in quali casi il problema può essere risolto in modo indipendente, senza uscire di casa, e quando vale davvero la pena rivolgersi immediatamente a uno specialista per un aiuto ...

Estrazione di denti mediante anestesia "generale": vantaggi e svantaggi
Estrazione di denti mediante anestesia

L'anestesia in odontoiatria per la popolazione in generale ha iniziato a essere utilizzata relativamente di recente, consentendo di eseguire in modo indolore qualsiasi manipolazione dentale dopo l'immersione nel sonno profondo, inclusa l'estrazione del dente. Tuttavia, non lusingarti, poiché i vantaggi dell'anestesia generale nascondono anche gravi carenze, che sono utili sapere in anticipo, in modo da non preoccuparti di perdere la salute o i nervi ...

L'alveolite come una complicazione dopo l'estrazione del dente (quando il foro si sta inumidendo)
L'alveolite come una complicazione dopo l'estrazione del dente (quando il foro si sta inumidendo)

1-3 giorni dopo l'estrazione del dente, a volte sorgono problemi: aumento della temperatura, alitosi e forte dolore alle gengive e nel foro al posto del dente estratto, peggio ancora durante la masticazione. È l'infiammazione delle pareti del foro o, in altre parole, l'alveolite che provoca questi sintomi, a volte creando la sensazione in una persona che il dente malato non è stato rimosso affatto, ma continua a disturbare ancora di più, anche se sembrerebbe che il dentista-chirurgo abbia rimosso a lungo tutte le radici. Parleremo ulteriormente delle cause dell'apparizione dell'alveolite, nonché dei metodi per il suo trattamento e prevenzione ...

Come posso fermare il sangue dopo l'estrazione del dente
Come posso fermare il sangue dopo l'estrazione del dente

Dopo l'estrazione del dente, il sangue a volte non si ferma per molto tempo - a volte arriva al punto che il sanguinamento dal foro potrebbe non fermarsi per giorni. Tuttavia, conoscendo un paio di modi semplici, puoi spesso fermare il sangue senza uscire di casa. Tuttavia, ci sono situazioni in cui nessun metodo domestico può aiutare, perché il sanguinamento può essere associato a determinati problemi nel corpo, che devono anche essere conosciuti in anticipo. Successivamente, parleremo delle vere cause delle situazioni in cui il sangue da un buco non può fermarsi per ore, impareremo tre modi per smettere rapidamente di sanguinare a casa e penetreremo anche in alcuni segreti della "cucina" professionale dei chirurghi dentali, i cui metodi di lavoro sono anche molto interessanti.

Per quanto tempo la gomma guarisce dopo la procedura di estrazione del dente ed è possibile accelerarne la guarigione
Per quanto tempo la gomma guarisce dopo la procedura di estrazione del dente ed è possibile accelerarne la guarigione

L'estrazione del dente è una misura estrema, a cui si ricorre solo quando, per determinate ragioni, non può più essere salvata. Quando un chirurgo dentale rimuove un dente cattivo, il paziente può pensare che tutte le sofferenze e le paure passate siano lasciate indietro e non c'è più nulla di cui preoccuparsi. Tuttavia, questo è un errore profondo. Non appena l'euforia dopo un'operazione di successo è passata, si comprende che in bocca, dopo tutto, una ferita sanguinante che spesso sanguina a lungo, non ha fretta di guarire, a volte si infetta ed è molto dolorosa. Per quanto tempo guariranno la gomma e il foro feriti, quali fattori influenzano questo e come può essere accelerato il processo proteggendosi da possibili gravi complicazioni? Scopriamolo ...

Possibili complicazioni dopo la procedura di estrazione del dente
Possibili complicazioni dopo la procedura di estrazione del dente

L'estrazione del dente per molte persone è una procedura spaventosa. Il paziente ha anche paura delle conseguenze che possono derivare da un tale intervento chirurgico, in particolare sanguinamento prolungato, gonfiore delle gengive, suppurazione e altre complicazioni. E c'è davvero motivo per tali preoccupazioni, tuttavia, con manipolazioni eseguite correttamente, i rischi di complicanze dopo l'estrazione del dente sono minimi, specialmente se una persona ha le capacità di prendersi cura del foro dopo la procedura. La capacità di riconoscere questa o quella complicazione nel tempo può effettivamente prevenire le sue conseguenze negative. Questi sono i momenti che continueremo ad esaminare in modo più dettagliato in modo che la guarigione delle ferite avvenga il più rapidamente e comodamente possibile.

 

 

su

© Copyright 2025 stomatology.expertexpro.com/it/ | chinatownteam2016@gmail.com

Politica sulla privacy | Accordo con l'utente

feedback

Mappa del sito

chirurgia

carie

mal di denti