
Successivamente imparerai:
- In che modo il alleggerimento meccanico dei denti è diverso dallo sbiancamento chimico;
- Quali sono i principi operativi dei diversi dentifrici sbiancanti e di cosa la pubblicità tace?
- Cosa è importante sapere sui componenti sbiancanti dei dentifrici indicati nella composizione;
- Perché è importante considerare l'indice di abrasività controllato dalla RDA quando si sceglie una pasta?
- Quali specifici dentifrici sbiancanti sono migliori e quali di essi hanno ciascuno caratteristiche e "punti salienti";
- Imparerai anche su importanti regole pratiche per la scelta e l'uso di paste sbiancanti, che consentiranno di non danneggiare troppo i denti se succede qualcosa.
L'elevata popolarità dei dentifrici sbiancanti, dovuta in gran parte alla massiccia pubblicità di oggi, spesso porta al fatto che vengono acquistati da quasi ogni secondo residente nel nostro paese. Inoltre, nel perseguimento di un sorriso bianco come la neve, non tutti tengono conto del potenziale pericolo di pasta sbiancante, soprattutto nel caso di una scelta errata.
Prima di tutto, va tenuto presente che non tutti i dentifrici sbiancanti sono ugualmente efficaci e sicuri da usare. Il principio di funzionamento della maggior parte di essi si basa sull'abrasione abrasiva della placca colorata, mentre lo smalto stesso è quasi sempre in parte abrasivo. A sua volta, questo può portare a vari problemi con i denti, di cui il più evidente è la loro maggiore sensibilità all'azione di vari stimoli (ad esempio, cibi freddi o solidi).

Questo stato di cose è anche confermato dalle recensioni di molte persone che stanno cercando di riportare il loro bianco come la neve al loro sorriso: insieme all'affascinante colore bianco dei denti, la loro elevata sensibilità si verifica molto spesso.
commentare questo programma:
"Quindi non so come gli altri riescano a scegliere da soli la pasta sbiancante, ma ho già provato 8 pezzi di diverse aziende. Ho provato entrambi a lodare la pasta giapponese, sia i presidenti tedeschi che quelli italiani, ma con i miei denti sensibili sono troppo ruvidi o qualcosa del genere. Candeggiano la candeggina, ma allo stesso tempo inizia a rompere i denti direttamente. Inoltre, ho provato alcune paste, come quelle progettate appositamente per i denti sensibili, e dopo 2-3 pulizie da loro non è come le mele - il pane è impossibile ... "
Vadim, San Pietroburgo
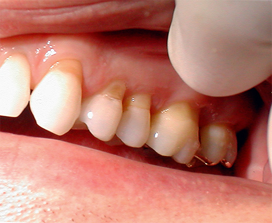
Inoltre, a volte nella regione cervicale compaiono recessi caratteristici: difetti a forma di cuneo (all'inizio possono essere quasi invisibili, ma se una persona sfrega freneticamente lo smalto con pasta sbiancante selezionata in modo improprio per diversi mesi, allora questi "solchi" diventano gradualmente molto profondi).

Nel frattempo, scegliendo il giusto dentifricio sbiancante, in molti casi è davvero possibile schiarire visibilmente il sorriso con rischi minimi per la salute dentale. Quindi quale dentifricio imbianca meglio i denti ed è sicuro da usare? Come scegliere l'opzione migliore per te e a cosa dovresti prestare attenzione - parliamo di questo in modo più dettagliato.
E per rendere la scelta più significativa, è utile dire prima alcune parole su sfumature interessanti riguardanti il principio di azione delle paste sbiancanti ...
Principi di azione delle paste sbiancanti
È importante distinguere tra i concetti di "alleggerimento" e "sbiancamento" dei denti.
Lo schiarimento dei denti si riferisce alla rimozione della placca colorata dalla superficie dello smalto, che si forma dopo aver mangiato, bevuto una tazza di caffè o fumato una sigaretta. Un buon dentifricio sbiancante rimuove efficacemente la placca e il sorriso acquisisce un colore naturale dello smalto. Il punto chiave qui è che lo smalto dovrebbe essere naturalmente abbastanza leggero.

nota
In alcune persone, lo smalto dei denti è naturalmente giallo.Di conseguenza, anche il miglior dentifricio sbiancante non sarà in grado di schiarire i denti in questo caso.
Una storia a parte è quando lo smalto è naturalmente leggero, ma nel tempo è diventato scuro a causa della penetrazione di sostanze coloranti in esso ad una certa profondità dall'esterno. In questo caso, anche ottenere un sorriso bianco come la neve con l'aiuto di paste sbiancanti non funziona, poiché non devi solo schiarire, ma candeggiare un tale smalto.
Lo sbiancamento dentale (al contrario del fulmine) comporta lo scolorimento chimico dei composti colorati situati non solo sulla superficie dello smalto, ma anche nel suo strato superficiale a una certa profondità. Ad esempio, tale sbiancamento può essere effettuato dall'ufficio del dentista - per questo, viene utilizzato un gel speciale che contiene concentrazioni piuttosto elevate di acido e perossido di idrogeno (il foto-sbiancamento dei denti è particolarmente popolare in questo senso oggi).

Alcuni produttori di dentifrici sbiancanti, alla ricerca del consumatore, indicano che il loro prodotto sbianca a causa dell'azione dell '"ossigeno attivo": nella composizione della pasta, si può vedere la presenza di perossido di idrogeno (di solito 1-2%, o anche meno). Quindi, molti dentisti considerano questa tecnica in molti modi una trovata pubblicitaria, poiché la gravità dell'effetto sbiancante del perossido di idrogeno in una concentrazione così bassa è molto dubbia. È impossibile utilizzare una concentrazione più elevata, poiché non sarà già sicuro per la mucosa orale.
E ancora, se lo smalto dei denti è naturalmente scuro (giallo), allora né lo sbiancamento della stanza, né, soprattutto, i dentifrici sbiancanti daranno un effetto significativo.
È interessante
Immagina una cosa del genere: in alcune cliniche affermano immediatamente e onestamente che anche dopo diversi trattamenti con acidi aggressivi in combinazione con perossido di idrogeno anche a una concentrazione del 30% per 20-30 minuti, l'effetto sbiancante potrebbe non essere raggiunto, anche se rompi, un semitono su una scala.
E un'altra cosa: per un certo numero di persone la procedura di sbiancamento “reale” (cabinet) porta a un risultato piuttosto debole (mezzo tono). Ciò suggerisce che è praticamente impossibile incidere i denti smaltati naturalmente dagli strati di smalto.
Un dentifricio sbiancante dà un buon effetto se lo smalto è naturalmente leggero, ma c'è un rivestimento colorato sulla sua superficie.
La rimozione della placca durante la spazzolatura può avvenire in due modi significativamente diversi:
- A causa della semplice cancellazione abrasiva. Questo è simile alla pulizia della padella con un pennello speciale: dentifricio per sbiancare la placca dei “graffi” dei denti dovuta a componenti abrasivi, pulendola gradualmente. Il vantaggio di questo metodo risiede nella sua elevata efficienza: con un'elevata abrasività della pasta, puoi schiarire i denti letteralmente in pochi giorni. Lo svantaggio principale del metodo è il danneggiamento dello smalto stesso da parte di particelle abrasive (in parole povere, anche lo smalto viene cancellato). I dentifrici altamente abrasivi a questo proposito sono i più pericolosi, specialmente con un uso prolungato e improprio, quindi si consiglia di usarli solo in brevi corsi. La foto sotto mostra come lucidare, ad esempio, il vetro di un faro di un'auto con una pasta sbiancante:



- Il secondo modo per rimuovere la placca è dissolverla con enzimi speciali (ad esempio, papaina, bromelina). Tali enzimi non cancellano la placca, ma quelli chimici abbattono la sua base proteica: detriti alimentari, membrane batteriche e i loro prodotti di scarto. Pertanto, la placca può essere rimossa molto delicatamente, senza eccessiva abrasione sullo smalto, che è particolarmente importante per i denti sensibili.
Di norma, la presenza di enzimi nella composizione della pasta porta ad un notevole aumento del suo costo. Inoltre, la presenza di enzimi non preclude l'uso simultaneo nella composizione della pasta di un delicato sistema di lucidatura abrasiva con un basso indice di abrasione RDA, di cui parleremo poco dopo.
nota
I dentifrici possono contenere anche componenti che aiutano a rimuovere il tartaro.In parte, viene rimosso da un sistema di lucidatura abrasiva, ma la presenza di polifosfati nella pasta (ad esempio pirofosfato di sodio o di potassio, tripolifosfato di sodio, ecc.) Accelera significativamente questo processo.
I polifosfati, essendo agenti complessanti efficaci, "estraggono" il calcio dalla matrice tartara, allentandone la struttura e rendendolo più malleabile allo sfregamento meccanico. Allo stesso tempo, è importante tenere presente che allo stesso tempo il calcio verrà parzialmente rimosso dallo smalto dei denti, quindi i polifosfati di solito non vengono aggiunti ai dentifrici destinati ai denti sensibili.
Come notato sopra, la rimozione di pigmenti dagli strati profondi di smalto usando dentifrici sbiancanti è praticamente impossibile da ottenere, anche se nella composizione è presente una piccola quantità di composti di perossido. Anche se in alcune recensioni, gli ottimisti suggeriscono che sembrano dentifrici sbiancati con perossido di idrogeno sui denti per 30 minuti 2-3 volte al giorno - e tuttavia si ottiene un presunto certo effetto sbiancante (il modo in cui la mucosa si comporta da un tale "bullismo" rimane silenzioso) .
nota
A volte cercano di usare carbone attivo per sbiancare i denti, credendo che a causa dell'elevata capacità di adsorbimento, estrarrà i pigmenti dallo smalto e quindi lo schiarirà. In realtà, la pulizia con carbone, incluso il carbone attivo, non è in grado di eliminare le macchie di smalto profondo, ma può solo rimuovere la placca colorata dalla sua superficie.
Esempio di dentifricio in carboncino - Blackwood Splat.

Componenti sbiancanti di paste
I componenti chiave delle paste sbiancanti che sono responsabili dell'effetto bersaglio possono essere divisi in quattro gruppi:
- Componenti abrasivi per lucidatura;
- Enzimi che dissolvono la placca;
- Composti perossido di candeggio;
- Oltre a agenti complessanti che contribuiscono alla rimozione di placca e tartaro.
Dei componenti abrasivi nelle paste sbiancanti, vengono spesso utilizzati:
- Composti del silicio (silice - biossido di silicio, silice idrata - acido silicico; i silicati, ad esempio gli alluminosilicati, sono usati meno comunemente). Il biossido di silicio amorfo e l'acido silicico consentono di rimuovere con precisione la placca, senza danneggiare notevolmente lo smalto. Poiché questi composti sono ottenuti sinteticamente, il grado della loro abrasività può essere impostato in fabbrica. Il vantaggio di questi composti di silicio è la loro inerzia chimica: non reagiscono con altri componenti del dentifricio e di solito non causano reazioni allergiche.
- Carbonato di calcio (carbonato di calcio), molto popolare in precedenza a causa del suo basso costo, ma oggi viene utilizzato molto meno e principalmente solo in paste con elevata abrasività. A causa della speciale forma di particelle cristalline, il carbonato di calcio è molto abrasivo, fornisce un rapido effetto sbiancante nella pasta, ma anche gravi danni allo smalto.
- Biossido di titanio, un abrasivo abbastanza delicato se usato a bassa concentrazione. Inoltre, questa sostanza può essere trovata in quasi tutti i dentifrici, poiché il biossido di titanio "in combinazione" è un pigmento bianco altamente efficace (utilizzato nelle vernici bianche).
È interessante
Forse, tra i componenti abrasivi dei dentifrici, vale la pena menzionare anche il polietilene (polietilene).
In relazione a questo abrasivo, non tutto è così semplice: l'uso delle più piccole dispersioni di particelle di plastica è stato usato per un tempo relativamente lungo nella produzione di dentifrici di alcuni marchi popolari. Tuttavia, ci sono studi che indicano il danno di tali particelle di polietilene. Secondo questi studi, le particelle di plastica più piccole rimangono intrappolate nelle tasche gengivali, tra i denti e, essendo biodegradabili, rimangono qui a lungo, promuovendo l'attrazione della microflora batterica sulla loro superficie. Di conseguenza, ciò crea i rischi di sviluppare parodontite.
In particolare, il produttore Dentifrici Crest ha deciso di escludere il polietilene dalla sua composizione.
Altri esempi di componenti abrasivi: argilla (utilizzata in dentifrici tailandesi), carbone (come menzionato sopra in Splat Blackwood), bicarbonato di sodio (bicarbonato di sodio, ad esempio, nelle paste Parodontax), ecc.
Il grado di abrasività del dentifricio sbiancante dipende non solo da quali composti chimici sono utilizzati come abrasivi in esso, ma anche dal loro metodo di preparazione o produzione (che, a sua volta, determina la dimensione delle particelle della sostanza e la loro forma). Pertanto, anche guardando la composizione della pasta, non è sempre possibile dire chiaramente quanto sarà abrasiva.
Ora qualche parola sugli enzimi usati nei dentifrici:
- La papaina è un enzima naturale dell'albero di melone Carica papaya. Per sua proprietà, la papaina è molto simile al succo gastrico, poiché rompe efficacemente le proteine. Agendo sulla base proteica della placca, la papaina contribuisce alla sua distruzione e alla sua facile rimozione con uno spazzolino da denti.

- Bromelina (Bromelina), ottenuta dal succo di ananas. Proprio come la papaina, aiuta a scomporre le proteine della placca.

Tra i composti sbiancanti del perossido nella composizione dei dentifrici puoi trovare le seguenti sostanze:
- Acqua ossigenata;
- Perossido di urea (un derivato dell'urea e del perossido di idrogeno).
Le concentrazioni di queste sostanze nella composizione dei dentifrici sono così piccole che l'effetto sbiancante dei perossidi è praticamente zero. Tuttavia, l'effetto pubblicitario è molto buono: la promessa di sbiancamento dei denti con ossigeno attivo incoraggia davvero le persone a optare per tali paste. Nel frattempo, le paste stesse possono essere buone, schiarendo lo smalto a causa di componenti abrasivi e (o enzimi).
I seguenti composti contribuiscono alla rimozione del tartaro (e con esso la placca):
- Pirofosfato di potassio o di sodio (pirofosfato di tetrapotassio, pirofosfato di tetrasodio);
- Esametafosfato di sodio;
- Tripolifosfato di sodio;
... e altri polifosfati. Va tenuto presente che, grazie alla loro capacità di legare gli ioni calcio, questi composti possono contribuire alla demineralizzazione dello smalto e allo sviluppo della sensibilità dei denti.
Date queste sottigliezze, oltre a concentrarsi sul feedback dei dentisti e delle persone che hanno provato diversi mezzi, puoi fare una piccola valutazione dei dentifrici sbiancanti: lo prenderemo in considerazione in seguito. Ma prima ancora, tocchiamo brevemente un problema così importante come la valutazione quantitativa dell'abrasività dei dentifrici, espressa dall'indice RDA.
Indice di abrasività controllata del dentifricio RDA
L'abrasività della maggior parte dei dentifrici oggi è controllata e quantificata dall'indice RDA (ad eccezione dei dentifrici esotici, ad esempio, dalla Thailandia, le cui proprietà, a quanto pare, quasi nessuno controlla affatto).
A seconda dell'indice di abrasività controllata, le paste RDA possono essere suddivise nei seguenti tipi:
- Per i denti sensibili: 25 RDA;
- Dentifrici per bambini: di solito da 25 a 50 RDA;
- Per l'uso quotidiano: 70-80 RDA (di solito indicano 75). Con un livello di abrasivo superiore a 80 RDA, la pasta non è più consigliata per l'uso quotidiano, poiché lo smalto può essere eccessivamente abrasivo con un uso prolungato;
- Relativamente parlando, paste sbiancanti relativamente morbide: 100-150 RDA. Utilizzato nella maggior parte dei casi per lo sbiancamento dei denti con sensibilità normale;
- Paste sbiancanti altamente abrasive: RDA superiore a 150 (a volte buono per i fumatori con denti sani e forti, ma gialli).

Elevato grado di dentifricio sbiancante
Le paste di questo gruppo aiuteranno a illuminare il sorriso per le persone con smalto dei denti naturalmente leggero, che si è scurito, ad esempio, a causa del fumo, dell'hobby per il caffè o del tè. Un punto importante in questo caso: i denti non devono essere sensibili alla sensibilità: se lo smalto è inizialmente debole, reagisce dolorosamente a cibi freddi o solidi, l'uso delle seguenti paste sbiancanti aggraverà significativamente tale sensibilità.
PresiDENT White Plus:

- Produzione - Italia;
- RDA - 200;
- Componenti abrasivi: biossido di silicio, carbonato di calcio, diatomite, biossido di titanio;
- Componenti attivi aggiuntivi: glicerofosfato di calcio (favorisce la rimineralizzazione dello smalto);
- Contenuto di fluoro: non contiene F;
- Il prezzo è di circa 300 rubli per tubo per 100 ml.

Questa è la più dura delle paste presentate in questa recensione. Non è una cattiva idea imbiancare (più precisamente, schiarire) i denti e molte recensioni indicano che l'effetto si osserva letteralmente dopo 2-3 applicazioni. Secondo le istruzioni, non è possibile utilizzarlo più di una volta alla settimana a causa della forte abrasione dello smalto.
Commenti aggiuntivi
Gli adolescenti e le persone con abrasione patologica dello smalto dei denti e la sua elevata sensibilità a questo dentifricio dovrebbero stare alla larga.
Vale anche la pena notare la presenza di lauril solfato di sodio nella pasta, attorno alla quale si è formato oggi un background di informazioni molto negative - questa sostanza è attribuita non solo alla capacità in alcuni casi di causare ulcere in bocca (non irragionevolmente), ma anche proprietà cancerogene (molto dubbio).
Anche il conservante, in cui veniva usato il metilparabene, era incluso nella composizione. Questa sostanza può causare una grave reazione allergica.
R.O.C.S. Sbiancamento sensazionale:

- Produzione - Russia;
- RDA - 139;
- Componenti abrasivi: biossido di silicio, biossido di titanio;
- Altri ingredienti attivi: bromelina (rompe la placca), glicerofosfato di calcio (serve per rimineralizzare lo smalto);
- Contenuto di fluoro: non contiene F;
- Il prezzo è di circa 250 rubli per tubo per 74 g.

In generale, la composizione di questo dentifricio sbiancante può essere definita abbastanza "avanzata": oltre agli effetti abrasivi, dissolverà la placca macchiata a causa dell'enzima bromelina. Inoltre, lo smalto danneggiato da particelle abrasive verrà ripristinato in una certa misura a causa della mineralizzazione del glicerofosfato di calcio - questo è un vantaggio significativo, poiché il rischio di sviluppare la sensibilità dello smalto è ridotto.
Un momento piacevole è l'assenza di R.O.C.S. nella pasta. Sbiancamento sensazionale di sodio laurilsolfato, parabeni, nonché componenti antibatterici potenti e tutt'altro che sempre utili (clorexidina, triclosan).
richiamo
“Ho comprato lo sbiancamento Rox Sensational su consiglio di un amico. Prima di allora, ho usato Bionika per molto tempo, ma voglio sbiancare bene i denti, quindi ho deciso di prendere qualcosa di nuovo e più potente. L'ho pulito come al solito, due volte al giorno. Un amico ha detto che questo è il miglior dentifricio, ma non sono ancora d'accordo. Sbianca, ma non direi che è molto lontano, lontano dal bianco perfetto. E voglio ancora più bianco, dovrò cercare qualcosa di più ... "
Olya, Novokuznetsk
Lacalut White:

- Produzione - Germania;
- RDA - circa 120;
- Componenti abrasivi: biossido di silicio, acido silicico, biossido di titanio;
- Componenti attivi aggiuntivi: pirofosfato di sodio, pirofosfato di potassio, trifosfato di sodio (tutti e tre i composti contribuiscono alla distruzione della rimozione del tartaro e della placca), fluoruro di sodio (aiuta la mineralizzazione dello smalto), lattato di alluminio (rinforza le gengive e previene la loro infiammazione);
- Contenuto di fluoro: 1357 ppm;
- Il prezzo è di circa 300 rubli per tubo da 75 ml.

Composizione abbastanza buona, a condizione che i tuoi denti siano davvero forti. Va tenuto presente che la presenza di sali di potassio nella pasta (pirofosfato di potassio - pirofosfato di tetrapotassio) ridurrà la sensibilità dello smalto anche in caso di danni locali, mascherando così i segni allarmanti di eccessiva abrasione.
In generale, la presenza di pirofosfati di sodio e di potassio, nonché di trifosfato di sodio, influenzerà favorevolmente la rimozione del tartaro. La cattura del calcio da parte di questi polifosfati dallo smalto dei denti sarà parzialmente compensata dagli ioni fluoruro che, al contrario, rafforzeranno la struttura dello smalto, contribuendo alla sua mineralizzazione. Quindi la composizione di questo dentifricio sbiancante può essere considerata abbastanza ponderata e più o meno equilibrata.
Ma il prezzo, forse, è troppo alto per una tale composizione, specialmente se si tiene conto della presenza in esso dello stesso lauril solfato di sodio, nonché di conservanti potenzialmente allergenici (metil paraben e propyl paraben).
Blendamed 3D White Luxe Glamour:

- Produzione: Germania;
- RDA - circa 100;
- Componenti abrasivi: acido silicico;
- Componenti attivi aggiuntivi: fluoruro di sodio (contribuisce alla mineralizzazione dello smalto), pirofosfato di sodio (favorisce la rimozione del tartaro);
- Contenuto di fluoro: 1450 ppm;
- Il prezzo è di circa 400 rubli per tubo da 75 ml.

Con una composizione non molto notevole, si potrebbe anche dire piuttosto scarso, il prezzo di questo dentifricio sbiancante è chiaramente troppo caro. Tra i poli vi è forse l'assenza di lauril solfato di sodio nella composizione dei parabeni e del lauril solfato di sodio, che è stato sostituito dal meno aggressivo tensioattivo sodio laureth-2 fosfato.
commentare questo programma:
“Per molto tempo ho cercato quale dentifricio sbianca meglio i denti, ho persino comprato Brilliant una volta. Le ho letteralmente ucciso i denti, quindi non ho potuto mangiare altro che farina d'avena, mi riprendevo da tre mesi fino a quando i dolori non sono passati. Poi ho provato Blendamed 3D White Suite. Questa, ovviamente, è la cosa. Non posso dire che questa sia la pasta sbiancante più bella, ma anche con essa, i miei denti non fanno male. Il suo prezzo, ovviamente, non è il più piccolo, ma è in ogni modo migliore che essere tormentato più tardi. "
Eugene, Mosca
Quindi, parliamo di dentifrici sbiancanti contenenti perossidi (perossido di idrogeno o perossido di carbamide). Sono davvero bravi?
Paste al perossido
Per queste paste, i produttori dichiarano non solo lo sbiancamento (schiarimento) dovuto alla rimozione della placca macchiata dalla superficie dei denti, ma anche allo scolorimento chimico dei composti colorati nella struttura dello smalto dei denti. Questo effetto sbiancante è attribuito all'ossigeno attivo, che può essere rilasciato dai perossidi.
Sbiancamento dell'ossigeno ROCS PRO (posizionato come dentifricio gel sbiancante professionale):

- Produzione - Russia;
- RDA - nessun dato, il produttore indica "un tasso di abrasione molto basso" e avverte anche che la pasta non ha proprietà lucidanti e non è in grado di rimuovere efficacemente i depositi dentali;
- Componenti abrasivi: polietilene (in generale, il polietilene difficilmente può essere chiamato un tipico componente abrasivo e lo sbiancamento all'ossigeno ROCS PRO è più un gel che una pasta);
- Altri ingredienti attivi: perossido di carbamide (il principale ingrediente sbiancante), glicerofosfato di calcio (per la mineralizzazione dello smalto);
- Contenuto di fluoro: non contiene F;
- Prezzo - 400 rubli per tubo del peso di 60 grammi.

Il corso di sbiancamento raccomandato dal produttore è di 4 settimane e l'effetto del candeggio è indicato in media da 2-3 toni (tuttavia, le recensioni non lo confermano sempre).
Cosa devi considerare prima di acquistare questo dentifricio:
- Se hai una placca o un tartaro da fumatore sui denti, lo sbiancamento all'ossigeno ROCS PRO non sarà l'opzione migliore, in quanto semplicemente non sarà in grado di rimuovere i depositi dalla superficie dello smalto. Sbiancare la placca e i depositi, e non lo smalto stesso, è, come si suol dire, soldi buttati giù.
- Per quanto riguarda la possibilità di candeggiare lo smalto con perossido di carbamide a bassa concentrazione, questo è un esercizio molto dubbio che può essere descritto in anticipo come a bassa efficienza. Nel caso, se lo smalto dei denti è scuro (giallo) per natura, non è necessario contare sullo sbiancamento.
Recensioni:
"... Una volta ho già preso questa pasta, ma in qualche modo non l'ho capito - è in qualche modo strano. Di recente ho deciso di darle una seconda possibilità. Utilizzato solo di sera e al mattino Rox applicava un delicato sbiancamento. Bene, cosa posso dire, è stato abbastanza per me per un breve periodo. I denti si ammalarono terribilmente quando si lavavano. Fanno male tutto il tempo mentre pulisci. E sono diventati sensibili, ma in qualche modo non ho notato particolarmente l'effetto sbiancante ".
Dasha, San Pietroburgo
"Per diversi mesi ho masticato questa pasta, ma non mi fermo, perché c'è un effetto! I denti sono diventati un po 'più bianchi, in particolare gli spazi tra loro, che ero un tempo giallastri. Ma la sua aggressività non è fragile, a volte sento che la mascella è già dolorante per l'acqua fredda. "
Catherine, Perm
Splat Extreme White:

- Produzione - Russia;
- RDA - 75;
- Componenti abrasivi: acido silicico;
- Altri ingredienti attivi: granuli di perossido di carbamide (il principale ingrediente sbiancante), fluoruro di sodio (per la mineralizzazione dello smalto), papaina (per dissolvere la base proteica della placca);
- Contenuto di fluoro: 500 ppm;
- Il prezzo è di circa 250 rubli per 75 grammi.

A differenza dello sbiancamento all'ossigeno ROCS PRO, la pasta Splat Extreme White è caratterizzata da un effetto più complesso sui denti: c'è un effetto abrasivo e la dissoluzione della placca dovuta all'enzima papaina e, di fatto, l'esposizione al perossido di carbamide ai composti colorati chimicamente nello strato superficiale dello smalto dei denti . Con tutto ciò, la composizione del prodotto prevede anche una certa mineralizzazione dello smalto dovuta al fluoruro di sodio.
Tra le carenze della pasta, si può notare la presenza di lauril solfato di sodio e il metilparaben conservante nella sua composizione.
Faberlic White Plus:

- Produzione - Russia;
- RDA - nessun dato;
- Componenti abrasivi: acido silicico;
- Componenti attivi aggiuntivi: un complesso di perossido di idrogeno con polivinilpirrolidone (il principale componente sbiancante), papaina (per la dissoluzione della placca);
- Contenuto di fluoro: non contiene fluoro attivo;
- Il prezzo è di circa 200 rubli per 75 grammi.

Questa pasta è inclusa nella recensione solo perché i distributori Faberlic quasi ovunque ne troncano la sua straordinaria efficacia. In effetti, questa pasta non contiene nulla di straordinario, che potrebbe fornire un'efficienza particolarmente elevata nello sbiancamento dei denti.
richiamo
“Faberlik ha imbiancato il dentifricio con un amico distributore. In odontoiatria, ho sempre avuto paura di candeggiare, poiché mi hanno detto che era dannoso per lo smalto e tutto quel jazz. Così ho capito che tutte le mie speranze per i denti bianchi sono contenute da qualche parte in tubi con paste sbiancanti, devi solo trovarne una buona. Ma la pasta di Faberlic non mi ha impressionato. Sembra poco costoso, ha un buon sapore, ma non ho notato l'effetto sbiancante. Hanno promesso alle montagne dorate, ma si è scoperto che non ha imbiancato molto bene. Non so come hanno fatto gli altri, ma le mie gengive hanno iniziato a farmi del male. Consiglia qualsiasi altro dentifricio sbiancante. "
Olga, Mosca
Alla domanda se tutti i denti possono essere sbiancati ...
È importante capire che se la tonalità naturale di smalto dei denti di una persona è tutt'altro che brillante, allora non ci si deve aspettare un miracolo anche dalla pasta sbiancante più costosa ed efficace. Con lo smalto scuro, anche dopo lo sbiancamento dei denti in clinica, il risultato sarà il più minimo.
nota
I fumatori, gli amanti del caffè, del vino rosso, del tè forte e del cioccolato dovrebbero tenere conto del fatto che quando si usano paste sbiancanti, lo smalto diventa particolarmente vulnerabile alla penetrazione di composti colorati. Pertanto, i produttori spesso sconsigliano di assumere coloranti alimentari per diverse ore dopo essersi lavati i denti con una pasta altamente abrasiva.
Se, guardandoti allo specchio, vedi che c'è davvero molto tartaro sui denti, allora è consigliabile consultare un dentista per una procedura di igiene orale professionale (pulizia ad ultrasuoni dei denti, flusso d'aria). E solo allora utilizzare paste sbiancanti per prevenire la riformazione della placca dentale. Altrimenti, specialmente quando si sceglie una pasta a bassa abrasività, ottenere un normale effetto schiarente può essere molto problematico.

Con smalto debole e aumento della sensibilità dei denti, le paste sbiancanti devono essere usate con molta attenzione, in quanto ciò può aggravare significativamente il problema. Ad esempio, i denti inizieranno a ferire ancora di più e nella zona cervicale i cosiddetti difetti a forma di cuneo potrebbero iniziare ad approfondire.
Se hai otturazioni sui denti anteriori, è utile tenere presente che lo sbiancamento profondo dello smalto, ad esempio il perossido di idrogeno, farebbe apparire queste otturazioni come macchie scure nella zona del sorriso. Quindi, in questo caso, la bassa efficienza delle paste con perossidi sarà ancora migliore.
Regole per la selezione e l'uso di paste sbiancanti
In generale, idealmente, un dentifricio sbiancante dovrebbe essere applicato sotto la supervisione di un dentista, tenendo conto delle caratteristiche individuali della cavità orale del paziente e delle dinamiche della pasta stessa. Tuttavia, la situazione è tale che una parte significativa delle persone non solo non si consulterà con il dentista su questo argomento, ma in genere non prevede nemmeno di visitarlo nei prossimi due anni.
Pertanto, ha senso alla fine dare una serie di consigli pratici su come scegliere una pasta sbiancante per te e su come applicarla a te stesso, senza l'aiuto di uno specialista, in modo che in caso di qualcosa non danneggi troppo i denti.

Quindi, queste raccomandazioni semplici ed efficaci:
- Se lo smalto è naturalmente scuro, non dovresti aspettarti un miracolo dalla pasta sbiancante - nella maggior parte dei casi l'effetto sarà minimo;
- Se i denti fanno male anche dall'aria fredda o c'è una sensazione spiacevole dal cibo solido, allora usando una pasta sbiancante le sensazioni dolorose molto probabilmente diventeranno molto più forti;
- Se i tuoi denti sono già abbastanza bianchi, ma non importa quale, vuoi un sorriso "hollywoodiano", allora ha senso sottoporsi a una procedura di sbiancamento fotografico in clinica;
- Se dopo aver applicato la pasta sbiancante i denti hanno iniziato a ferire, quindi non tormentarli ulteriormente - assicurati di fare una pausa di diverse settimane;
- Se i denti sono pieni di tartaro, ha senso rimuoverlo nell'ufficio del dentista, poiché potrebbe non funzionare per rimuoverlo completamente con una pasta sbiancante;
- Le paste sbiancanti altamente abrasive dovrebbero essere usate raramente, senza confonderle con le preparazioni quotidiane (e se le mescoli, i problemi non ci vorranno molto);
- Quando si utilizzano paste sbiancanti, la mineralizzazione dello smalto deve essere curata in anticipo - cercare prodotti con glicerofosfato di calcio, citrato di calcio, fluoruro di sodio o aminofluoruro (possono anche essere scritti "calcio attivo", "fluoro").
- Quando si sceglie, prestare attenzione alla composizione della pasta sbiancante e questo articolo aiuterà a trarre le conclusioni appropriate;
- Bene, e infine - non dare la pasta sbiancante ai bambini. Spesso la stessa pasta viene utilizzata nelle famiglie, ma non vuoi che tuo figlio si lavi i denti da latte con una pasta con RDA 200? ..
Se hai esperienza personale con dentifrici sbiancanti, assicurati di lasciare la tua recensione in fondo a questa pagina. Forse aiuterà qualcuno a fare la scelta giusta.
Interessante video sull'uso sicuro dei dentifrici sbiancanti
Confronto dell'efficacia della pasta sbiancante e dei rimedi popolari per lo smalto dei denti sbiancante








Grazie mille per l'articolo. Ho imparato molte informazioni. Dopo aver letto l'articolo, posso consigliare la pasta Natura Siberica Pearl of Siberia - la sua composizione non è male, ma non conosco l'abrasività.
Grazie mille per un articolo molto utile. Bello da leggere, in quanto non esiste una pubblicità pronunciata di alcun prodotto. Ho imparato molte cose nuove. Uso dentifrici dall'Irlanda del marchio Formula Beverly Hills. Iniziato con una pasta blu con microsfere, un ottimo effetto, smalto assolutamente liscio, brillantezza dei denti e un sorriso bianco come la neve, specialmente sotto lampade alogene. Ora uso il dentifricio per denti sensibili con carbone attivo, idrossiapatite - la stessa marca. Sono felice! Basato sull'acqua minerale dolce dell'Irlanda. In generale, in Gran Bretagna e Irlanda, un boom della pasta contenente carbone. Prova i dentifrici Formula Beverly Hills e scrivi i tuoi commenti.