
Successivamente imparerai:
- Cos'è una protesi di chiusura e come in genere tali costruzioni di questo tipo si affacciano sulla mascella superiore;
- In quali casi sono consigliate le protesi di chiusura e quando è necessario astenersi da ciò;
- Come esattamente la protesi è fissata sulla mascella e cosa è importante sapere in anticipo sui diversi tipi di attacco;
- E perché, in effetti, installare una chiusura sulla mascella superiore - forse è meglio preferire una protesi acrilica a piastra rimovibile?
- Come viene realizzata la protesi per catenaccio e per quanto tempo dovrete aspettarla dal momento della prima visita in clinica;
- È possibile accelerare la dipendenza dalla protesi e come curarla adeguatamente per liberarsi dei problemi in futuro;
- Quanto costano le protesi di chiusura e quanto il loro costo si confronta con i prezzi di impianto.
... E anche alcune altre sfumature di protesi ad arco che sono interessanti e importanti da un punto di vista pratico.
Quando per un motivo o per l'altro appare un'ammaccatura nella dentatura, uno o più denti mancanti (o anche tutti contemporaneamente) possono essere sostituiti con una protesi. E qui sorge la cosa più interessante: ma come, in effetti, scegliere una dentiera che ti consenta di masticare normalmente e che non interferisca nella tua bocca, e che sia così tecnologicamente avanzato che tutto sembrerebbe come se fosse un dente nativo, ma non una sorta di "mascella falsa".
E poiché stiamo parlando di protesi sulla mascella superiore, è particolarmente importante che la protesi sia trattenuta in modo molto sicuro e non voli sotto il suo stesso peso quando si mangia o, cosa peggio, quando si parla.
Bene, la protesi di chiusura a questo proposito presenta vantaggi abbastanza significativi. Oggi, tali design sono abbastanza popolari con le protesi sia sulla mascella superiore che inferiore.

nota
La base della protesi dell'arco è un arco di plastica o di metallo (la parola bugel è tradotta dal tedesco come "arco") - questo arco garantisce l'integrità e la rigidità dell'intera struttura, svolgendo un ruolo importante nella distribuzione del carico masticatorio. L'arco è attaccato a una base di plastica che imita la gomma e sulla base, a loro volta, sono attaccati denti artificiali.
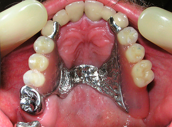
La fotografia sotto mostra un esempio di protesi ad arco sulla mascella superiore:

La foto mostra che la base della protesi è un arco metallico che ripete la forma anatomica individuale della mascella superiore del paziente. L'arco è collegato a due basi su cui sono montati i denti di plastica. Questo esempio mostra chiaramente che per supportare la protesi di chiusura non sono necessarie solo gengive e palato, ma anche una certa quantità dei restanti denti non superiori della mascella.
In generale, tutte le protesi sono divise in non rimovibili (ponti, corone, linguette, ecc.) E rimovibili (ci sono, tuttavia, condizionalmente rimovibili che possono essere rimosse solo da un medico con l'aiuto di strumenti speciali). Come hai già capito, la protesi di chiusura è un esempio di protesi rimovibile, ovvero il proprietario può rimuoverla facilmente da solo.
Quindi, alcuni dentisti ritengono che con la perdita di un gran numero di denti e finanze limitate, e anche con finanze sufficienti in un numero di casi clinici (quando ci sono controindicazioni per gli impianti dentali), le protesi di chiusura possono essere quasi l'unica opzione accettabile per ripristinare l'estetica e la funzione masticatoria .

È davvero così, o tali dichiarazioni sono banali? Ad ogni modo, hai bisogno di una protesi per fibbia o esiste un design più affidabile, conveniente ed economico per le protesi sulla mascella superiore? Scopriamolo ...
Indicazioni e controindicazioni per le protesi dell'arco
Prima di risolvere alcuni problemi con la protesi per fibbia, è utile avere un'idea di quando può essere installata e a suo agio con lui per molti anni e quando tale protesi è controindicata a causa di possibili danni alla salute.
Quindi, per cominciare, notiamo le indicazioni per le protesi di chiusura, ovvero quelle situazioni in cui la "chiusura" è consentita come design ortopedico rimovibile:
- Difetti multipli nella dentatura;
- Difetti finali singoli e bilaterali delle dentature;
- L'assenza di più di 4 denti nella regione anteriore della mascella superiore e (o) inferiore;
- Perdita di oltre 3 denti posteriori;
- Difetti della dentizione associati alla malattia gengivale (parodontite, malattia parodontale).

A queste indicazioni, puoi anche aggiungere alcune sfumature delle protesi dell'arco in generale. In particolare, per la normale installazione della protesi di chiusura, devono essere presenti almeno 5 denti sulla mascella superiore in modo che la pressione durante la masticazione sia distribuita uniformemente. È anche importante considerare che i denti di supporto non dovrebbero avere processi infiammatori sulle radici.
Le peculiarità del morso possono anche influenzare il corso delle future protesi e, in alcuni casi clinici, è possibile installare una protesi di chiusura solo con determinati tipi di attacco (ne parleremo un po 'più avanti).
Ora sulle controindicazioni delle protesi dell'arco. L'installazione delle protesi di chiusura superiore e inferiore è controindicata in:
- Denti di supporto bassi, nonché in assenza dei denti necessari per il fissaggio della chiusura;
- Malattie generali e malattie del cavo orale nella fase acuta;
- Malattie che portano alla perdita ossea
- Morso profondo;
- Gravidanza e allattamento;
- Radioterapia;
- Un breve frenulo della lingua (per una protesi sulla mascella inferiore);
- la tossicodipendenza;
- Disturbi mentali;
- Allergie all'arco di materiali protesici.

nota
In realtà, questo elenco di controindicazioni è molto condizionale, se non altro perché alcuni di essi (ad esempio malattie nella fase acuta, radioterapia, un breve frenulo della lingua, ecc.) Vengono eliminati in un determinato periodo di tempo.
Gravidanza e allattamento non sono sempre considerati dai medici curanti come una ragione per abbandonare la chiusura adatta in questa situazione. Un'allergia ai materiali della protesi ad arco (nel caso della mascella superiore può essere, ad esempio, irritazione del cielo) può essere superata utilizzando altri tipi di leghe o speciali rivestimenti protettivi sullo stesso design.
Come può essere montata una protesi sulla mascella superiore: vantaggi e svantaggi dei diversi tipi di attacco
Come capisci, quando si installa una protesi di chiusura sulla mascella superiore, viene messa in evidenza l'affidabilità del fissaggio e la sua invisibilità agli altri: la protesi non deve scivolare giù sotto il suo peso e, se possibile, i dispositivi di fissaggio non dovrebbero cadere nella zona del sorriso. E se la situazione con l'affidabilità dei fermagli di fissaggio è generalmente buona, allora ci sono alcune sfumature con l'estetica ...


Le chiusure delle protesi con fibbia superiore e inferiore sono suddivise nei seguenti tipi:
- Klammernye;
- Castello.
nota
Esiste anche la fissazione della protesi di chiusura su corone telescopiche, ma viene raramente utilizzata in Russia a causa della maggiore complessità e, di conseguenza, dell'elevato costo. Il principio del metodo è che le corone metalliche sono realizzate e fissate sui denti di supporto (ovvero, questa parte del sistema non è rimovibile). E sulla base di una protesi a fibbia rimovibile, sono fissate corone più larghe in metallo-ceramica, che sono in grado di adattarsi saldamente ai denti di supporto con corone in metallo. Si scopre che la corona viene posizionata sulla corona, motivo per cui questa montatura si chiama telescopica.
La foto sotto mostra un esempio di una protesi di chiusura su corone telescopiche sulla mascella inferiore:
E nelle seguenti foto - un esempio di utilizzo di una protesi di chiusura su corone telescopiche per protesi sulla mascella superiore:
Tali protesi per fibbia sono realizzate in grandi dentisti e costano in media 2-3 volte più costose delle opzioni "classiche" (con supporti per chiusure e chiusure). Tuttavia, se si desidera che la protesi di chiusura sulla mascella superiore sia perfetta in termini di estetica, l'opzione telescopica potrebbe essere la soluzione migliore.
La fissazione di chiusura delle protesi di chiusura è oggi una delle più popolari. Una chiusura è un tipo di gancio che svolge non solo una presa, ma anche una funzione di supporto: circa un terzo del carico masticatorio cade sui denti di supporto con una chiusura e due tre sulla gomma.
Foto della protesi di chiusura con fermagli:

Il principale svantaggio della fissazione a conchiglia non è sempre l'estetica perfetta. In poche parole, con un sorriso e una conversazione, questi stessi ganci (ganci) saranno visibili sui denti. I clammer montati sui denti della mascella superiore situati nella zona del sorriso sono particolarmente evidenti.


Tuttavia, a causa della semplicità e dell'affidabilità del design, sono i fermagli che sono oggi il modo più comune di trattenere le protesi di chiusura superiore e inferiore nella cavità orale. Esistono le seguenti varietà:
- ritenzione;
- supporto;
- Combinato.
Differiscono nella natura della trasmissione del carico masticatorio: sulla mucosa delle gengive e (o) sui denti di supporto.
nota
Potrebbe sorgere una domanda ragionevole: se si desidera installare la protesi di chiusura sui fermagli, è necessario coprire i denti di supporto con corone?
Quindi, la protesi con fibbia di chiusura può essere installata senza ruotare lo smalto dei denti sotto le corone, a condizione che i denti di supporto siano sani (ad esempio, non troppo danneggiati dalla carie). Se una parte significativa del dente viene distrutta, per non rovinare completamente i denti di supporto, è consigliabile installare delle corone su di essi.
Il prossimo tipo di fissaggio delle protesi di chiusura sono le serrature, altrimenti chiamate attacchi. Le protesi con catenaccio presentano numerosi vantaggi rispetto alle protesi con catenaccio e il loro principale vantaggio è un'estetica superiore. In altre parole, per circondare l'attacco della protesi non sarà praticamente evidente.
Il fatto è che le serrature, a differenza dei fermagli, sono “nascoste” all'interno dei denti del moncone: una parte del lucchetto si trova sulla corona, che viene indossata sul moncone, e la seconda parte si trova sulla base della protesi del catenaccio. Quando si installa la protesi, la serratura si blocca semplicemente in posizione.

Di seguito una fotografia della protesi del catenaccio sulle serrature (attacchi) sulla mascella superiore:


nota
Le serrature hanno molti vantaggi in termini funzionali, cioè nella natura della distribuzione della pressione sulla protesi. Gli accessori consentono di adattare e fissare meglio la fibbia per un comodo cibo da masticare, che alla fine determina la comodità di indossare e utilizzare la protesi.
A prima vista, può sembrare che la protesi sulle serrature sarà problematica da rimuovere - in realtà, non è così: la struttura viene facilmente rimossa per la pulizia periodica.
Tuttavia, le protesi per fermaglio presentano notevoli svantaggi:
- La maggiore complessità della produzione determina anche il loro prezzo più elevato rispetto alle protesi di chiusura (in alcuni casi clinici, il prezzo è paragonabile al costo delle protesi su corone telescopiche);
- Inoltre, l'installazione della protesi di chiusura sulle serrature comporta la rotazione di numerosi denti di moncone per installare su di essi una corona in metallo-ceramica.

commentare questo programma:
“... Mio marito si sta preparando adesso. Abbiamo esaminato altre opzioni, ma in nessun altro modo risulta. Abbiamo deciso di fare su fermagli. L'ortopedico ha avvertito che la dipendenza durerà per circa un mese. Il problema è che abbiamo poca scelta, sia per gli impianti che per le protesi di chiusura.E gli impianti sono molto costosi e dovrebbero essere messi molto ".
Irina, San Pietroburgo
Caratteristiche delle protesi dell'arco sulla mascella superiore
Di norma, si ricorre all'installazione della protesi dell'arcata superiore nei casi in cui la mascella superiore non ha molti o la maggior parte dei denti (specialmente il terminale), un palato piatto (di solito negli anziani a causa dell'atrofia dei processi alveolari) e non vi è alcuna possibilità di protesi non rimovibili (ad esempio su impianti ).
Il design delle protesi di chiusura sulla mascella superiore può variare in modo significativo. Ad esempio, l'arco di collegamento della protesi può trovarsi nella parte anteriore, centrale o posteriore del palato e la forma dell'arco dentale può avere la forma di un ferro di cavallo, una striscia o un anello. Pertanto, la protesi di chiusura avrà un aspetto diverso, a seconda delle sfumature di una particolare situazione clinica.
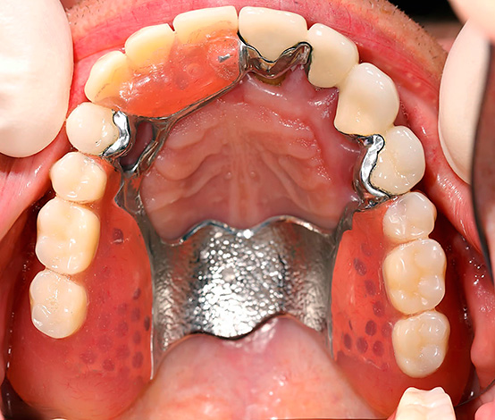
Ecco alcune foto di dentiere a fermaglio sulla mascella superiore:



Per quanto riguarda l'uso della fissazione del clammer o del castello nelle protesi della mascella superiore, ciò è in gran parte determinato non solo dai prerequisiti clinici, ma anche dalle capacità finanziarie del paziente (una protesi sugli attaccamenti costerà molto di più).
Nota: è possibile installare una protesi di chiusura completa sulla mascella superiore?
Come capisci, viene realizzata una protesi completa in assenza di tutti i denti e nel contesto delle protesi ad arco, è necessario che la mascella abbia più denti di moncone contemporaneamente per una ritenzione e un funzionamento adeguati della struttura. Pertanto, in assenza di tutti i denti sulla mascella superiore, la protesi di chiusura non può essere installata.
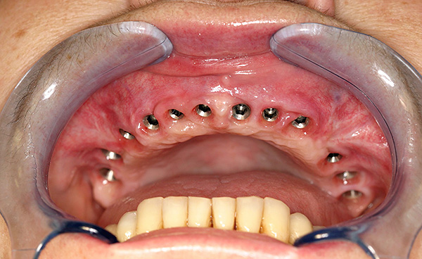
Tuttavia, una tale variante di protesi è possibile: inizialmente l'impianto viene eseguito con l'installazione di almeno 4 impianti, quindi le protesi complete basate sugli impianti installati.
A volte, alla ricerca di economicità quando le protesi sulla mascella superiore, i pazienti sono ancora inclini a installare protesi laminari rimovibili in plastica acrilica. Ciò che è utile tenere presente a questo proposito:
- Le protesi acriliche classiche spesso causano allergie e stomatite protesiche, in contrasto con le strutture ad arco;

- Inoltre, avendo un ampio letto protesico, le protesi acriliche non solo possono sfregare la mucosa, ma anche generalmente non permettere che vengano indossate a causa dell'aumentato riflesso del vomito (di conseguenza, se leggi le recensioni, i pazienti le mettono semplicemente sullo scaffale e non le indossano). L'arco della chiusura è piuttosto stretto e minimizza tali fenomeni spiacevoli.
Potrebbe essere necessaria una colla speciale per un fissaggio più sicuro della protesi di chiusura sulla mascella superiore?
Molte persone anziane sanno in prima persona che le protesi dentarie possono "attaccarsi" al cielo e spesso per la loro ritenzione efficace sono necessari adesivi medici (gel). Pertanto, la chiusura viene mantenuta in bocca secondo un principio diverso - ecco perché i denti del moncone affidabili, a cui verrà fissata la protesi, sono così importanti per questa protesi.
Tuttavia, nonostante gli ovvi svantaggi delle protesi acriliche lamellari, non bisogna dimenticare che il loro prezzo, a differenza dei fermagli, è molto più accessibile alla popolazione generale. E ciò che è importante, in una serie di situazioni cliniche, tali protesi non sono in realtà inferiori a quelle di chiusura, specialmente con un trattamento correttamente pianificato, quando si tiene conto dei pro e dei contro.
richiamo
“Mia madre ha avuto una protesi di chiusura un anno fa invece di una mascella rimovibile, indossata dai suoi vicini di casa in campagna. E lo giuro, non lo toglie nemmeno di notte, lo pulisce costantemente dopo aver mangiato uno splendore con un pennello e un dentifricio. In realtà, la chiusura è in miniatura e non puoi distinguerla dai tuoi denti. I vicini pensavano addirittura che ne avessimo ricavato mezzo milione e messo impianti su mamma. Sembra che nel miglior film di Hollywood ... "
Violetta, 35 anni, Omsk
Fasi di produzione di una protesi ad arco
Il dentista che realizza il piano protesico è un ortopedico.È lui che determina tutte le sfumature del processo, e prima di tutto - quali denti scegliere per supportare la futura protesi ad arco e quali di essi devono essere rimossi a causa del loro stato deplorevole.

nota
I denti in movimento, così come gravemente danneggiati dal processo carioso (molto più basso del livello gengivale) e i denti con grandi cisti, vengono spesso rimossi da un chirurgo dentale. Se è impossibile eseguire, per qualche motivo, un trattamento adeguato dei canali per preparare il dente al supporto, di solito è anche soggetto a rimozione.
In media, la protesi dura circa 1,5-2 mesi, a volte meno.
Considera i passaggi della fabbricazione di una protesi di chiusura sulla mascella superiore come esempio:
- Nella prima fase, il dentista ortopedico prende le impronte ("calchi") della mascella superiore e inferiore del paziente;

È interessante
In precedenza, l'intonaco veniva attivamente utilizzato per rimuovere le impronte dentali. Il problema era che quando il gesso indurito veniva rimosso dalla cavità orale, c'erano rari casi di rimozione di denti mobili. Successivamente, sono apparse masse di impressione molto più perfette, che sono facilmente e senza problemi rimosse, causando un minimo disagio per il paziente.
- Nella seconda fase, l'odontotecnico produce in laboratorio speciali modelli di lavoro della mascella superiore e inferiore, nonché corone temporanee: se la protesi a fibbia futura è con serrature o corone telescopiche, sarà importante coprire i denti di supporto con "capanne temporanee";
- Al terzo stadio, i denti vengono ruotati e quindi coperti con corone temporanee;
- Quindi vengono rimosse le impronte per la chiusura, su cui vengono realizzate corone permanenti;
- Il quinto stadio consiste nel provare lo scheletro fatto della protesi di chiusura nella bocca del paziente;
- Segue quindi la fase finale della fabbricazione della protesi in laboratorio;

- Nell'ultima fase, la protesi viene somministrata al paziente per l'uso e vengono fornite raccomandazioni sull'assistenza.
Come prendersi cura adeguatamente della protesi e quanto tempo ci vorrà per abituarsi
A prima vista, potrebbe sembrare che, poiché la protesi di chiusura è una struttura artificiale, i batteri non hanno paura di lui, il che significa che prendersi cura di lui, a quanto pare, non è così importante, a differenza dei denti e delle gengive locali. In realtà, tutto è esattamente l'opposto: qualsiasi protesi dentaria richiede cure e persino più approfondita rispetto ai denti nativi.
Le regole per la cura delle protesi ad arco non sono così tante: la loro osservanza non solo prolunga la vita della struttura e preserva i suoi parametri estetici originali, ma riduce anche significativamente il rischio di infiammazione dei tessuti adiacenti alla protesi (gengive e palato, se stiamo parlando della protesi su mascella superiore).

I principi della cura della protesi sono i seguenti:
- Si consiglia di sciacquare la protesi con acqua dopo ogni pasto;
- La dentiera Clasp viene pulita allo stesso modo di lavarsi i denti, cioè con uno spazzolino normale e un normale dentifricio (senza l'uso di abrasivi grossolani e prodotti chimici come soda, candeggina, acido citrico o senza l'uso di acqua calda);

- La pulizia dei denti artificiali dalla placca deve essere eseguita almeno 2-3 volte al giorno dopo aver mangiato con uno spazzolino da denti e una pasta. È meglio scegliere la pasta senza un effetto sbiancante. Eventuali opzioni per gli esperimenti sono meglio coordinate con il medico, ad esempio l'uso di soluzioni speciali per la pulizia delle protesi.
nota
La durata della protesi di chiusura di solito non supera i 10 anni, con cura. È inoltre necessario correggere tempestivamente la protesi secondo necessità (la necessità di correzione deve essere determinata dal medico almeno 1 volta all'anno).
Per quanto riguarda l'abituarsi alla protesi - sì, ci sono spesso alcuni problemi. A volte le protesi di aggancio sulla mascella superiore e inferiore possono essere percepite dal paziente come un corpo estraneo nella cavità orale.Inoltre, la gravità di questo problema è determinata non tanto dalla qualità di fabbricazione della struttura quanto dalle caratteristiche individuali di una persona, che sono anche associate allo stato psico-emotivo in un dato momento e persino al temperamento.
Più il paziente è configurato per un esito positivo, più con calma tratta un po 'di disagio, meno problemi ci sono nell'abituarsi alla protesi e viceversa.

Di solito una violazione di dizione, masticazione, inizialmente un po 'di dolore, ecc. - Questi sono tutti problemi temporanei che non sono molto pronunciati dopo le protesi di chiusura e vengono superati in pochi giorni. I dentisti ortopedici sono ben consapevoli di queste sfumature e offrono loro stessi vari metodi di dipendenza accelerata alla protesi.
nota
Ad esempio, se la masticazione è difficile (per abitudine), devi cercare di masticare lentamente e, se possibile, "esercitarti" abbastanza spesso: puoi dividere i pasti in 8 piccole porzioni che mangi durante il giorno. Per problemi con la dizione, si consiglia di cantare e comunicare di più con amici e parenti.
L'allenamento e la pazienza portano al successo nella stragrande maggioranza dei casi ed è estremamente raro regolare la protesi a causa di problemi di dipendenza.
Quale prezzo può costare la protesi di chiusura sulla mascella superiore, e c'è un modo per risparmiare
Prima di tutto, si dovrebbe tenere presente che ogni situazione clinica è individuale e quindi i prezzi per le protesi ad arco possono variare in modo significativo. Diamo un'occhiata a ciò che approssimativamente i prezzi possono essere guidati in media.
Se, ad esempio, vengono ripristinati fino a 5-7 denti sulla mascella superiore con una protesi di chiusura, il costo della protesi sarà in media 50-100 mila rubli (il prezzo, ovviamente, è molto approssimativo e dipenderà anche dal livello della clinica). I fermagli con fissazione a fibbia sono più economici delle protesi a fibbia sulle serrature. A loro volta, le protesi di bloccaggio saranno più economiche di quelle fissate su corone telescopiche.
Anche il numero di attacchi e corone influisce direttamente sul costo finale della protesi di chiusura.
nota
Come già accennato in precedenza, le protesi ad arco sono significativamente più costose delle protesi laminari rimovibili in plastica acrilica (a volte molte volte). Ciò è particolarmente vero per le protesi ad arco Quattro Ti, che ricordano le protesi in nylon rimovibili e sono caratterizzate da estetica migliorata e comfort.

Se i prezzi delle protesi ad arco vengono confrontati con l'impianto dentale, la situazione è la seguente. Le protesi Clasp sono spesso scelte per sostituire un gran numero di denti mancanti, quindi anche se il costo finale della protesi è 100-150 mila rubli, risulterà comunque molto più economico rispetto all'installazione di numerosi impianti sulla mascella superiore o inferiore seguiti da protesi in metallo-ceramica .

commentare questo programma:
“Mi sono messo due protesi. Prima di allora, ho masticato 15 denti, ma qual è il punto, i pezzi sono volati direttamente nello stomaco. I problemi di salute sono iniziati, non vuoi, ma devi metterti i denti. In breve, mi è stato consigliato di una protesi di chiusura, sembra attraente, il prezzo è accettabile. Innanzitutto, il dottore lo mise su una sedia e mi consigliò di mettere 8 impianti con corone nell'ufficio successivo, contò 380 mila per tutto il lavoro, sì, la mia mascella senza denti quasi cadde da quel prezzo. Ho immediatamente rifiutato, poi mi ha offerto una protesi di chiusura per 40. Si è scoperto che il fermo, 40 pezzi è solo una mascella, ma sono stato rassicurato sul fatto che 80 non funzionerà, e il costo sarà a livello di 70. Quindi è risultato approssimativamente ... ".
Maxim, Nizhnekamsk
E in conclusione, va notato un punto importante, che viene spesso dimenticato (per non parlare di molti pazienti che non lo conoscono affatto). Le protesi a gancio, come tutte le protesi laminari rimovibili ("mascelle false"), sono considerate dai dentisti un modo temporaneo per ripristinare l'estetica e la funzione masticatoria.
Il fatto è che nonostante tutti i trucchi tecnologici, nessuna chiusura è in grado di fermare l'atrofia del tessuto osseo della mascella, che non riceverà un adeguato carico di masticazione. Una diminuzione del tessuto osseo, a sua volta, porterà a un graduale cambiamento delle caratteristiche del viso e ad alcuni altri processi indesiderati associati al lavoro dell'intera dentatura.
Ma, come si suol dire, "non c'è niente di più permanente che temporaneo" e in Russia oggi la realtà è che i pazienti usano protesi ad arco come quelle permanenti.
Un video interessante su diversi tipi di protesi ad arco
Quali tipi di protesi rimovibili ci sono e in che modo le protesi corrispondenti differiscono per affidabilità ed estetica









Mi è stata messa una protesi di chiusura sulla mascella superiore già da sei mesi, ma non posso indossarla, mi sento davvero male, è molto secca in bocca e il mio palato è insensibile di sera. Forse hanno fatto qualcosa di sbagliato in me?
Benvenuti! Penso che sia necessaria una correzione della protesi, dal momento che sicuramente non dovrebbe spingere. È strano che il cielo sia insensibile, perché la chiusura non ha un piatto classico, come una protesi a piatto. Contatta il tuo dentista ortopedico, puoi persino contattare qualcuno che hai fatto. Un professionista non rinuncia mai al suo lavoro. La cosa più difficile è determinare la causa di questo problema, tenendo conto delle sfumature della protesi. Tuttavia, vale la pena farlo per riparare ulteriormente la protesi in modo da non pensare a tali problemi per anni. Tutto questo è fatto solo sulla sedia ortopedica. Non fidarti già del tuo medico: puoi cambiare, ma ovviamente sarà più costoso.
Dimmi, per favore, dove a San Pietroburgo è possibile installare la protesi Clotti Quadrotti sulla mascella superiore?
Descrizione molto chiara e dettagliata. Grazie per le preziose informazioni.
Non consiglierei a nessuno di mettere una protesi di chiusura, un disagio terribile, un'intera casa in bocca. Hanno promesso un arco sottile nel cielo, e lì un piatto di dimensioni terribili. In generale, è stata come una settimana e l'ha buttato via.
Rileggo molte informazioni per le protesi ad arco, ma qui sono dettagliate e comprensibili con esempi e foto. Grazie per le informazioni Mi sono fissato una protesi rimovibile con fibbia sulla mascella superiore, tutto come è scritto qui, sui fermagli. Ma la domanda è: impedimento del linguaggio e schiocco, salivazione - dovrebbe essere così? Un altro spazio tra la lastra e il cielo? E la parte inferiore si strofinò immediatamente lo stesso giorno, è impossibile ferire.
Benvenuti! Abituarsi alle protesi rimovibili può richiedere un po 'di tempo (molto più lungo rispetto, ad esempio, ai ponti). Inoltre, ogni paziente - individualmente. Un difetto del linguaggio è del tutto possibile nei primi giorni dopo l'inserimento della protesi (in questi casi, di solito si consiglia di eseguire esercizi di linguaggio). Penso che un certo inconveniente possa essere parzialmente mitigato dal medico curante, che può identificare i difetti della protesi, compresi quelli a causa dei quali strofina la mucosa. In generale, il monitoraggio e la correzione periodici della protesi sono componenti importanti delle protesi dentarie.