
Uno dei problemi più comuni che i pazienti devono affrontare dopo l'estrazione del dente è la comparsa di un significativo gonfiore dei tessuti molli in prossimità dell'incavo. Tale edema può verificarsi quando viene rimosso qualsiasi dente, ma molto spesso sono più pronunciati quando si rimuovono i denti da masticare (molari), compresi i denti del giudizio.
Successivamente, parleremo di questo problema in modo più dettagliato e considereremo i problemi più interessanti in questa situazione:
- Vale la pena, in generale, preoccuparsi e se è urgente correre dal medico se, dopo aver rimosso il dente, le gengive vicino al buco o persino l'intera guancia sono molto gonfie;
- Come prevenire lo sviluppo di edema grave che, senza ulteriori interventi, potrebbe complicare significativamente una vita normale;
- Quali sintomi concomitanti dovrebbero essere considerati molto allarmanti, in cui è consigliabile consultare un medico il prima possibile;
- Quanto dura di solito l'edema dopo l'estrazione del dente e quanto la tua situazione si adatta al concetto di norma;
- Quali complicazioni possono sorgere se la situazione non viene adeguatamente valutata e il problema viene lasciato al caso;
- E vedi anche quali esercizi aiuteranno con difficoltà ad aprire la bocca (questo è spesso osservato dopo una complicata rimozione dei denti del giudizio inferiori).
In quali casi dopo l'estrazione del dente, l'edema si verifica più spesso
Al fine di comprendere meglio come e come rimuovere il gonfiore dopo l'estrazione del dente, è importante prima capire la natura dell'aspetto del gonfiore.
È interessante il fatto che molte persone che sono venute dal chirurgo del dentista dimenticano stranamente di essere venute dal medico già con edema, ma si aspettano che scompaiano immediatamente, quasi il primo giorno dopo l'estrazione del dente. Dopotutto, sembrerebbe che il dente problematico sia già stato rimosso, perché allora l'edema non solo non è scomparso, ma sembra anche aumentare?

Una guancia o un labbro gonfio (anche prima dell'estrazione del dente) può essere il risultato dello sviluppo di parodontite (nella fase acuta), periostite o osteomielite odontogena. Molte persone vengono dal medico con una condizione del dente già in esecuzione, che si manifesta con il cosiddetto "flusso". Per sua natura, il flusso è un processo infiammatorio purulento sotto il periostio dell'osso alveolare o del corpo della mascella di origine infettiva, il cui focus è quasi sempre localizzato nella regione radicale di un dente trascurato.
nota
Quando un dente che è stato completamente distrutto dalla carie non è stato trattato per molti anni, continua a "marcire" gradualmente e si verificano processi infiammatori sulle sue radici. Il corpo per qualche tempo limita l'insorgenza dell'infezione e ne limita la diffusione, circondando la capsula a guscio: granuloma o cisti.
La foto sotto mostra il dente estratto con le cisti sulle radici:
Tuttavia, le risorse immunitarie non sono illimitate e l'equilibrio delle forze può essere disturbato in una varietà di circostanze: con carico eccessivo sul dente, malattia concomitante (SARS, ad esempio), stress - tutto ciò può iniziare la diffusione dell'infezione nel tessuto mascellare, che sarà accompagnata dall'accumulo di purulento in esse essudato. Inoltre, in una quantità tale che l'asimmetria del viso dovuta all'edema può essere molto pronunciata.
Di conseguenza, in pratica si scopre che nella maggior parte delle situazioni cliniche, un dentista-chirurgo cerca le persone a rimuovere un dente, almeno con un'infezione che circonda la radice, e con un massimo di processi infiammatori purulenti limitati o diffusi (cioè nella fase acuta). Sebbene il problema principale venga eliminato durante l'estrazione del dente, la messa a fuoco infettiva e l'edema possono essere avvertiti a lungo.
Nel frattempo, vale la pena notare che a volte il sollievo arriva immediatamente dopo l'estrazione del dente: la sensazione di pienezza scompare, il gonfiore si attenua, il dolore si ferma. Dopo aver estratto il dente sfortunato con le cisti alle radici, una persona sembra ricominciare a vivere (secondo i pazienti).
Dalla pratica del dentista
Alcuni dentisti a volte praticano il lavoro senza "tagli" per ridurre il contenuto purulento nella ferita dopo l'estrazione del dente. In questo caso, la simmetria facciale rotta a causa dell'edema viene ripristinata schiacciando il liquido dalle gengive su una palla di garza sterile. Sì, a volte è doloroso, ma è possibile rimuovere il gonfiore molto rapidamente: il paziente può immediatamente vedere allo specchio quanto tutto è migliorato. Una faccia gonfia gonfia (guancia, labbro) diminuirà di volume di un fattore 2-3 entro 5 minuti. "
Non tutte le persone hanno un organismo dopo aver rimosso le radici dei denti con granulomi, cisti o anche senza di loro, affrontano altrettanto rapidamente l'infezione, che per qualche tempo continua a essere nel buco. Nessuna pinzetta può rimuovere milioni di batteri dalla ferita, sia innocui che patogeni.

Dopo l'estrazione del dente, un coagulo di sangue riempie la ferita, il che dovrebbe consentire ai fattori di immunità di affrontare le tracce di infezione e innescare il meccanismo di guarigione efficace del foro. Per molti, questo meccanismo è innescato da una cascata di reazioni infiammatorie - di conseguenza, spesso il 2 ° giorno dopo l'estrazione del dente, il dolore, il gonfiore, la febbre e altri sintomi spiacevoli non solo non scompaiono, ma possono anche aumentare leggermente, causando ansia nel paziente.
Spesso questo può essere osservato dopo la rimozione dei denti del giudizio inferiori: con difficoltà a eruttare, esacerbazione di parodontite cronica, periostite, ecc. Nell'area dei molari della mascella inferiore c'è un grande volume di tessuti friabili, ben forniti e innervati. Ecco perché la reazione infiammatoria qui è spesso accompagnata da edema grave, febbre e dolore, specialmente durante la deglutizione.
Sorge una domanda ragionevole: il gonfiore del viso può svilupparsi se viene rimosso un dente "silenzioso"? Infatti, non solo i denti marci dilapidati vengono dal dentista-chirurgo, ma anche denti abbastanza forti senza infezione alle radici.

E vengono eliminati, ad esempio, per i seguenti motivi:
- A causa di malocclusione o lesioni alla mucosa della guancia;
- A causa di interferenze con il trattamento ortodontico (ad esempio, su apparecchi ortodontici);
- A causa dell'ostruzione di protesi di successo (ad esempio, è necessario rimuovere una radice del dente non necessaria o un dente in movimento);
- O su richiesta personale di pazienti che fondamentalmente si rifiutano di trattare un dente che potrebbe ancora essere salvato.
In tali casi, si verifica anche edema dopo l'estrazione del dente, ma di norma sono notevolmente meno pronunciati rispetto all'estrazione del dente sullo sfondo dell'esacerbazione purulenta. Tuttavia, in questo caso, specialmente con azioni improprie da parte del paziente per curare il buco, la ferita può essere infettata dal successivo sviluppo di edema significativo, comparsa di dolore e respiro putrido. Parleremo di questi sintomi allarmanti un po 'più in basso.
Nel frattempo, vediamo come puoi inizialmente prevenire lo sviluppo di edema grave dopo l'estrazione del dente, rendendo così più confortevole il periodo postoperatorio. E quali errori non dovrebbero essere fatti ...
Come puoi prevenire lo sviluppo di edema grave dopo l'estrazione del dente?
Ci sono molti trucchi per assicurarsi che il gonfiore del viso dopo l'estrazione del dente non appaia affatto - il gonfiore risultante sarà piccolo e influenzerà solo le gengive all'interno della presa.

Esistono tre punti principali che danno un buon effetto nel complesso:
- L'uso del freddo il primo giorno dopo l'estrazione del dente;
- Rifiuto da cibi caldi, duri e piccanti, nonché da attività fisica attiva e riscaldamento (bagno, sauna, bagno turco, solarium, bagno caldo);
- Assunzione di farmaci (farmaci antinfiammatori non steroidei, antistaminici, a volte emostatici).
Per prevenire un forte gonfiore dopo l'estrazione del dente, la maggior parte dei dentisti consiglia di applicare freddo sull'area della guancia dal lato in cui si trova il foro. Ancora una volta, non tutti i dentisti raccomandano questo metodo, poiché sanno bene che i pazienti possono seguire le stesse istruzioni in modi molto diversi. Se il medico dice alla persona in pista: "Affinché la guancia non si gonfia, applica freddo durante il giorno", puoi aspettarti qualsiasi cosa.

Di conseguenza, in inverno, la neve può diventare quel “freddo” salvifico: nella migliore delle ipotesi per 1-2 minuti, nella peggiore per un'ora o più. In estate, a un tale paziente piacerà il congelatore e il congelamento (pollo, bacche, gnocchi) che, come la neve, possono causare un grave congelamento sul viso.
Non tutti i dentisti per un periodo di tempo limitato saranno in grado di comunicare al paziente che si tratta di un impacco freddo. Cioè, non è necessario congelare il viso prima dello sbiancamento, ma è importante che ci sia un leggero effetto di freddo sulla pelle. Se c'è un pacco di gnocchi congelati, dovrebbe essere avvolto in un asciugamano, se l'asciugamano è sottile - in diversi strati. Eccetera Cioè, il buon senso è importante qui.
Una bottiglia di acqua calda è l'opzione migliore. Ancora una volta, se l'acqua è ghiacciata, devi avvolgere un asciugamano con un asciugamano e quando l'acqua si riscalda, rimuovi l'asciugamano o cambia l'acqua. Tempo di ritenzione: 15-20 pieghe ogni 2 ore.

Il freddo, come decongestionante locale, è certamente efficace, ma solo in combinazione con il buon senso e istruzioni dettagliate.
È importante sapere!
L'uso del freddo è rilevante solo nel primo giorno dopo l'estrazione del dente. Alleviare il gonfiore a freddo il secondo giorno sarà un'attività molto meno efficace.
Se il freddo restringe i vasi sanguigni e riduce il flusso sanguigno nell'area della ferita, tutto ciò che riguarda il riscaldamento del corpo contribuisce allo sviluppo di edema grave (cibi e bevande caldi, attività fisica, bagno, ecc.). Le procedure di riscaldamento dei rifiuti dovrebbero essere 3-4 giorni dopo l'estrazione del dente.
nota
È possibile fare una doccia e lavarsi i capelli, ma è necessario regolare l'acqua a una temperatura di circa 36-37 ° C in modo che l'acqua sia calda, non calda.
Cos'altro può prevenire la comparsa di edema dopo l'estrazione del dente?
Quei pazienti che soffrono di malattie del sistema cardiovascolare devono monitorare attentamente la pressione sanguigna e assumere i farmaci raccomandati dal medico per abbassarla. In effetti, in questi casi l'edema e l'ematoma che si verificano dopo l'estrazione del dente sono in gran parte il risultato di sanguinamento fossette a causa della pressione sospesa. La pressione sanguigna stabile è la chiave per confortare nel periodo postoperatorio.

Per quanto riguarda le droghe, ci sono molti fondi che impediscono un forte gonfiore e addirittura li riducono se si sono già formati. Questi farmaci includono antistaminici. Le persone li conoscono, prima di tutto, come farmaci antiallergici, ma possono anche essere chiamati decongestionanti.
Quando si sceglie un farmaco, devono essere prese in considerazione le controindicazioni al suo uso (ad esempio gravidanza, allattamento, infanzia, una serie di malattie, ecc.), Nonché le interazioni farmacologiche con l'uso simultaneo con altri farmaci. Per capire come questo o quel farmaco antistaminico nella tua situazione sarà efficace e sicuro, il medico deve alla reception.
Lo stesso vale per i farmaci antinfiammatori non steroidei, i farmaci emostatici, i glucocorticoidi e altri farmaci, che determinano la comodità del periodo postoperatorio. Tale assistenza medica deve essere effettuata sotto la supervisione di un medico.
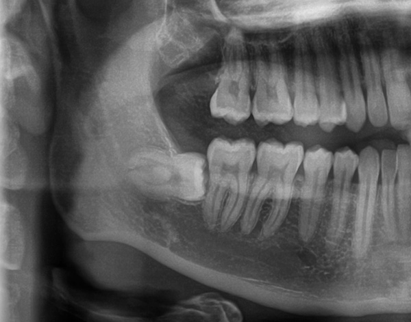
Va notato che, nonostante gli sforzi compiuti per ridurre la gravità dell'edema, può ancora apparire e causare disagio.Ciò è particolarmente frequente dopo la rimozione dei denti del giudizio ritardati sulla mascella inferiore. Il processo infiammatorio post-traumatico in connessione con l'anatomia e le peculiarità della disposizione dei denti del giudizio, nonostante gli sforzi compiuti dal medico e dal paziente, porta spesso alla comparsa di edema sufficientemente pronunciato.
L'immagine sotto mostra un dente del giudizio semi-rinforzato:

Non farti prendere dal panico subito. Di solito, l'edema raggiunge il massimo entro 2-3 giorni dopo la rimozione del dente del giudizio, e qui è importante controllare la condizione nel suo insieme e non solo un sintomo. Se c'è un grave deterioramento della salute (febbre a valori elevati, dolore insopportabile che non può essere fermato nemmeno dagli analgesici, suppurazione o sanguinamento dal buco), è necessario consultare immediatamente un medico.
Ora qualche parola sull'aspetto di un livido sull'intera guancia, collo o mascella dopo l'estrazione del dente.

Non fatevi prendere dal panico quando appare un tale livido, anche se sembra minaccioso. Dopo la rimozione dei molari inferiori, si osserva spesso un esteso ematoma insieme all'edema (specialmente nei pazienti con ipertensione arteriosa) - all'inizio l'ematoma può avere un colore bluastro, dopo 3-5 giorni diventa giallo, quindi scompare completamente senza lasciare traccia. La comparsa di un ematoma dopo l'estrazione del dente non indica complicazioni o errori del dentista, essendo un fenomeno abbastanza ordinario.

È interessante
Un ematoma può verificarsi anche quando una gomma viene forata con un ago durante la somministrazione anestetica. Per prevenire la comparsa di un livido indesiderato dopo l'anestesia prima dell'estrazione del dente, un numero di dentisti ti chiede di stringere a mano il sito di iniezione per 1-2 minuti attraverso la guancia. Alcuni medici ritengono che questa sia una reliquia del passato: le moderne tecniche per lavorare con anestetici importati non hanno quasi alcun rischio di sviluppare ematomi estesi nelle lesioni vascolari. Tuttavia, se esiste il rischio di sviluppare un ematoma a causa delle caratteristiche individuali del paziente, questa tecnica di "pressatura del sito di iniezione" può essere considerata rilevante ai nostri giorni.
Quali sintomi può accompagnare l'edema e quando dovrei correre dal medico il prima possibile
Anche se, grazie ai metodi sopra descritti, sarà possibile rimuovere significativamente l'edema dopo l'estrazione del dente, questa non è ancora una garanzia completa di un corso di successo del periodo postoperatorio.

Le manifestazioni più comuni che accompagnano l'edema sono:
- Aumento della temperatura corporea;
- Peggioramento del benessere;
- L'aspetto del dolore (specialmente durante la deglutizione, la masticazione e persino durante una conversazione);
- Apertura della bocca difficile
- Parestesia.
Un aumento della temperatura corporea si verifica più spesso il primo giorno dopo l'estrazione del dente. Questa è una normale reazione del corpo in risposta all'intervento chirurgico, ma solo in questo contesto: la sera è il più alto possibile (fino a 38,5 ° C) e al mattino è 36,6 o leggermente più alto (non più di 37,5 ° C) ). In questo caso, possiamo dire che il corpo sta combattendo in modo normale, affrontando il processo infiammatorio.
Più denti venivano rimossi alla volta, più forte poteva essere la risposta del corpo.
Nella foto in basso: nuovi fori dopo aver rimosso due denti contemporaneamente:

Pertanto, una temperatura elevata di 1-2 giorni dopo la rimozione non dovrebbe essere considerata come una patologia, ma dovrebbe essere monitorata 2 volte al giorno alla stessa ora (ad esempio, al mattino presto alle 8 e poi a tarda sera alle 20:00). Se la temperatura è superiore a 38,5 ° C o dura più di 2 giorni, con letture mattutine elevate, questa è l'occasione per consultare un medico.
Il grado di deterioramento della salute dopo l'estrazione del dente dipende in gran parte dalle caratteristiche individuali del corpo di ogni persona. Se il corpo è indebolito sullo sfondo di altre malattie, ci sono patologie immunitarie o vecchiaia, quindi il benessere può essere significativamente peggiore e sarà richiesto l'aiuto di un medico. Non si può parlare di disabilità.Solo il medico può valutare la condizione dopo l'esame e, se necessario, verrà rilasciato un congedo per malattia per il numero di giorni prescritto in modo che il paziente possa ripristinare la forza a casa.
nota
Alcune persone sono così "ansiose di combattere" (cioè, rapidamente al lavoro) che non vogliono passare un paio di giorni a casa. Rimuovi rapidamente il gonfiore, ingoia un paio di antidolorifici, se il buco si rompe e vai! Tuttavia, è importante capire che dopo un'operazione chirurgica (e l'estrazione del dente è un'operazione), il corpo deve avere il tempo di recuperare. Altrimenti, la mancata osservanza delle raccomandazioni del medico può portare a una serie di complicazioni gravi progressive.

La comparsa di un forte dolore sullo sfondo dell'edema sviluppato è un fenomeno frequente e forse il più spiacevole, specialmente quando il dolore non viene fermato dagli analgesici. I medici includono quasi sempre antidolorifici nelle loro raccomandazioni per far fronte al periodo doloroso nei primi giorni dopo l'estrazione del dente. Tuttavia, con lo sviluppo del gonfiore dei tessuti, possono verificarsi sia antidolorifici lievi che esplosivi, lacrimanti e non fermanti, che non è possibile alleviare con se stessi.
Con lo sviluppo di dolore acuto per 2-3 e giorni successivi dopo l'estrazione del dente su uno sfondo di febbre, grave gonfiore, respiro putrido e altri sintomi fastidiosi, è necessario consultare urgentemente un medico per un aiuto.
Il gonfiore può essere accompagnato da difficoltà ad aprire la bocca (spesso osservata quando si rimuove il dente del giudizio inferiore). Può essere doloroso aprire la bocca anche di un paio di centimetri. C'è una strana sensazione di dolore durante la deglutizione, come con l'angina, e da un lato. Ciò è dovuto alla posizione anatomica dell'ottavo dente: la diffusione dell'edema cattura i muscoli masticatori della mascella.
Entro 3-4 giorni, di solito arriva un miglioramento: il dolore all'apertura della bocca diminuisce e anche altri sintomi (se presenti) scompaiono gradualmente, cioè vengono determinate le dinamiche positive. Se ciò non accade e la bocca si apre a malapena o peggiora, è necessario consultare un medico.
I problemi di natura neurologica sono molto meno comuni - in particolare, la parestesia, ovvero la perdita di sensibilità nell'area del dente estratto, nonché nell'area delle labbra, delle guance e del mento. Ciò si applica più spesso ai casi di rimozione dei denti del giudizio inferiori (otto), meno spesso - il sesto e il settimo inferiore.
La causa può essere un trauma eccessivo nell'area di intervento con danno al nervo mandibolare, meno spesso la parestesia è una conseguenza dello sviluppo dell'edema, in cui si verifica la compressione del tronco nervoso. In quest'ultimo caso, la perdita di sensibilità viene eliminata indipendentemente man mano che l'edema (ematoma) nell'area del dente estratto diminuisce.

La tempistica del ripristino del tronco nervoso danneggiato è piuttosto ampia: da 2-3 settimane a 1-2 anni, a seconda della gravità delle violazioni. Tuttavia, è possibile accelerare un po 'questo processo: è importante consultare un medico con questo problema in tempo, determinare la causa della parestesia e avviare le procedure di recupero in tempo (fisioterapia).
commentare questo programma:
“Ho rimosso un dente del giudizio 3 mesi fa, che non avrebbe potuto scoppiare dalle gengive. Mi è stato subito detto che dopo una rimozione così difficile ci sarà gonfiore e può essere molto doloroso nei primi giorni. Dopo la rimozione, mi sono stati prescritti antibiotici e bagni orali con un antisettico, nonché levomekol sulla gomma. L'ho rimosso mercoledì e il più grande gonfiore si è gonfiato venerdì, beh, quel fine settimana. Pensavo di non andare al lavoro, ma domenica è scomparso completamente, c'era solo un piccolo livido giallastro sulla sua guancia ... "
Oksana, San Pietroburgo
Quanto dura di solito l'edema dopo l'estrazione del dente?
Se il medico dopo l'estrazione del dente non prestava la dovuta attenzione al paziente e non lo informava delle principali raccomandazioni per la cura del foro (questo si trova spesso nelle cliniche), anche i problemi minori causano una paura di panico in una persona. Ciò è particolarmente vero per la comparsa di edema e forte dolore: a causa dello stress subito dopo una grave estrazione del dente, il paziente ha semplicemente paura di rivedere un medico, non sa se la situazione attuale è pericolosa e cosa dovrebbe fare.

Quindi, in questo caso è utile sapere per quanto tempo dura in media l'edema del campo di estrazione del dente e per quanto tempo si manifestano altri sintomi spiacevoli.
Secondo gli studi, è emerso che l'edema può raggiungere il massimo in 2-3 giorni, e questo non è una deviazione dalla norma, nonché un leggero aumento della temperatura corporea, un leggero deterioramento delle condizioni generali e la comparsa di dolore. Tutte queste sono manifestazioni completamente naturali e regolari del processo infiammatorio post-traumatico.
Tuttavia, spesso i pazienti non possono decidere autonomamente per quanti giorni possono tollerare il gonfiore o il gonfiore del viso mentre si abbassa e quando vale ancora la pena preoccuparsi del dentista. Nel frattempo, numerosi dentisti insistono sul fatto che i pazienti li disturbano anche con piccole deviazioni dalla salute normale (con comparsa di gonfiore, dolore doloroso, febbre fino a 38 ° C).
Quindi cosa fare: andare direttamente dal medico se qualcosa inizia a disturbare dopo l'estrazione del dente o aspettare? La risposta è: non fa mai male giocarlo in sicurezza, e non dovresti aspettare fino a quando il gonfiore si diffonde al collo o occupa la metà del viso (a volte anche gli occhi non possono essere aperti a causa del gonfiore). Se qualcosa ti disturba, ha senso, almeno, chiamare un medico e chiedere un consiglio o fissare un appuntamento per un esame.

Tuttavia, quando c'è una chiara tendenza positiva (l'edema è insignificante e inizia a passare 3-4 giorni, non c'è quasi nessuna temperatura, dolore severo, apertura della bocca compromessa, parestesia, respiro putrefattivo), quindi, ovviamente, non vale la pena andare regolarmente ogni due giorni al medico con domande sul perché la temperatura è 37.2 e le gengive fanno un po 'male.
Il periodo postoperatorio dura in media da 3 a 10 giorni. I sintomi principali (edema, dolore) possono essere molto pronunciati fino a 3-4 giorni. Di solito, tutti i fenomeni spiacevoli scompaiono in una settimana e in casi difficili in due settimane. E la regola principale qui non è l'automedicazione senza il consiglio e la supervisione di un dentista.
Su possibili complicazioni
Ora diamo un'occhiata a situazioni in cui l'edema accompagna possibili complicazioni dopo l'estrazione del dente. In tali casi, l'edema non si attenua fino a quando la malattia di base non viene eliminata.
Cominciamo con la complicazione più comune: l'alveolite. L'alveolite è una conseguenza dell'infezione del buco, cioè, semplicemente, è la sua infiammazione. Il grado di edema può essere più significativo. Spesso durante l'alveolite, si verifica la suppurazione delle gengive attorno al foro del dente estratto, a volte la suppurazione si sviluppa con la pressione.

L'alveolite non deve essere trattata in modo indipendente, è necessario consultare un medico. È importante comprendere le principali cause di questa patologia:
- Frammenti di un dente o della sua radice potrebbero rimanere nel foro;
- C'è un granuloma o una cisti nella parte inferiore del foro;
- Il cosiddetto "buco secco" (cioè senza un coagulo di sangue che lo protegge);
- La caduta nel buco dei resti di cibo e la loro decomposizione lì;
- Grave violazione delle raccomandazioni del medico (tenta di fare un buco con uno stecchino, scaldarlo, ecc.)
Una complicazione più grave è l'osteomielite limitata dell'incavo del dente. In rari casi, con l'alveolite avanzata o il suo trattamento senza successo, si sviluppa un'infiammazione purulenta-necrotica delle pareti ossee del foro: l'osteomielite.
I suoi sintomi sono molto pronunciati: un dolore pulsante può apparire nel buco, estendendosi ai denti vicini, una persona smette di dormire normalmente, mangia, non può lavorare. La temperatura raggiunge valori elevati, si sviluppa un forte edema, passando alla gengiva, al confine con i denti adiacenti, così come ai tessuti molli del viso. Una persona inizia a preoccuparsi dell'alitosi, c'è un aumento dei linfonodi.
In tali casi, di norma, è richiesta assistenza specializzata in condizioni di chirurgia maxillo-facciale.
Tra le possibili complicazioni dopo l'estrazione del dente vale la pena notare anche un ascesso e un flemmone.

Un ascesso è un'infiammazione purulenta limitata e un flemmone viene versato (e può persino minacciare la vita del paziente). Spesso, con complicazioni così gravi, i bambini vengono dai chirurghi operativi.
In un bambino (soprattutto indebolito), dallo sviluppo di edema a ascesso e flemmone possono richiedere alcuni giorni. A differenza degli adulti, nei bambini non si formano sempre i fattori di protezione contro le infezioni fulminanti. Pertanto, i genitori dovrebbero ricordare che la formazione di edema gravemente pronunciato nel bambino dopo l'estrazione del dente (anche il latte) è un'occasione per suonare l'allarme e correre immediatamente dal medico.
Esercizi speciali per difficoltà ad aprire la bocca dopo l'estrazione dei molari
Dopo aver rimosso il dente molare (il più delle volte sulla mascella inferiore, in particolare il dente del giudizio), molte persone iniziano a preoccuparsi seriamente del fatto che la bocca semplicemente non può essere aperta normalmente. Problemi con l'apertura della bocca (trisma) possono essere osservati sia sullo sfondo di edema grave, sia senza di essa. A volte la bocca non può essere aperta nemmeno di 1-2 centimetri, il che crea grossi problemi non solo con la parola, ma soprattutto con l'assunzione di cibo.
Cosa si può fare per avvicinarsi alla norma?
Prima di tutto, è necessario tenere presente che la rimozione dell'edema non garantisce ancora una soluzione efficace al problema dell'apertura della bocca. Se il trisma è "fresco", è necessario sviluppare la mascella, altrimenti potrebbe essere necessario un intervento chirurgico. I termini della scomparsa del trisma sono puramente individuali - da una settimana a 1-2 mesi (molto dipende da quanto sia stata difficile l'estrazione del dente).

Fin dai primi giorni dopo l'estrazione del dente, puoi eseguire autonomamente la ginnastica usando la gomma da masticare o senza di essa. Movimenti di masticazione frequenti e piccoli accelerano lo sviluppo dell'articolazione, anche sullo sfondo del processo infiammatorio nell'area dei muscoli masticatori. È importante esercitare senza fanatismo, fino a quando non si avverte un leggero dolore, altrimenti tali esercizi saranno solo dannosi.
Per quanto riguarda l'insieme più complesso di esercizi, è necessaria una consultazione con un dentista che si occupa delle malattie dell'ATM. Avrai bisogno di terapia fisica - terapia fisica per la regione maxillo-facciale.
Ecco alcuni esempi di esercizi per migliorare l'apertura della bocca:
- Senza tensione muscolare, aprendo con calma la bocca (per quanto possibile) ad un ritmo lento in una posizione con la testa gettata all'indietro;
- Abbassare la mascella e con un piccolo sforzo spingendola in avanti;
- Con la bocca aperta (possibile), miglioramento della voce con la pronuncia del suono "a";
- Abbassa delicatamente la mascella inferiore con entrambe le mani, usando i pollici per afferrare il mento con la testa inclinata all'indietro.
L'alternanza di tensione e rilassamento dei muscoli della regione maxillo-facciale ha un effetto terapeutico significativo con l'implementazione competente e sistematica di ogni esercizio.
In casi particolarmente gravi, specialmente quando Trismus è in circolazione da diversi mesi o più, è necessaria la meccanoterapia: una serie di esercizi che utilizzano dispositivi speciali. Molto spesso, la meccanoterapia viene eseguita in combinazione con procedure fisioterapiche (elettroforesi, irradiazione ultravioletta, bagni termali orali, terapia con paraffina e altri).
Ciò di cui hai bisogno e che non devi fare dopo l'estrazione del dente
Revisione video degli effetti della rimozione di un dente del giudizio (di giorno)


Un articolo interessante e utile, ma le immagini sono disgustose, spaventose .... Bene, quanto è bello guardarlo? E soprattutto per la persona che ha tirato fuori un dente o sta per farlo.