
Successivamente imparerai:
- Quali sono le conseguenze della rimozione dei denti del giudizio?
- Quali situazioni spiacevoli possono sorgere direttamente durante l'estrazione del dente;
- Complicazioni pericolose, a volte insorgenti un po 'più tardi - quando torni già a casa dal dentista;
- Inoltre, è possibile perdere la sensibilità di una parte del viso e del mento quando si perdono i denti, perdere la vista e, in generale, come agire se qualcosa è andato storto.
Sebbene numerose storie sulle possibili spiacevoli conseguenze della rimozione dei denti del giudizio non siano emerse dal nulla, i rischi associati non dovrebbero essere sopravvalutati. Rimuovere i denti (non solo la saggezza, ma in generale) è davvero una procedura piuttosto traumatica, e non sempre durante e dopo tale intervento chirurgico tutto procede senza intoppi. Tuttavia, come dimostra la pratica, è molto più pericoloso non rimuovere un dente del giudizio con le indicazioni appropriate piuttosto che contattare un dentista per un aiuto.

nota
Ad esempio, la non rimozione di denti del giudizio retinati o semi-rinforzati (cioè con l'eruzione di cui ci sono difficoltà) spesso porta a processi infiammatori piuttosto gravi. Sullo sfondo dell'immunità indebolita, tali infiammazioni possono persino costituire una minaccia per la vita di una persona - ci sono casi in cui la mancanza di un intervento chirurgico tempestivo ha portato alla morte.
Di seguito verranno descritte molte diverse conseguenze pericolose e semplicemente spiacevoli della rimozione dei denti del giudizio, che i medici e i loro pazienti devono affrontare più spesso. Tuttavia, le informazioni fornite non hanno lo scopo di spaventare il lettore prima di visitare un chirurgo dentale, ma di comprendere l'intero quadro, mostrando al contempo come comportarsi in caso di una situazione problematica.

Complicazioni che a volte si verificano durante la rimozione di un dente del giudizio, nonché le loro conseguenze
I denti del giudizio superiori e inferiori eruttano più tardi di tutti gli altri denti (secondo le statistiche, di solito a 18-25 anni), quindi nella maggior parte dei casi non c'è semplicemente spazio libero sufficiente per loro. Ecco perché anche un dente del giudizio, che inizialmente aveva una struttura e una posizione normali nella mascella, spesso inizia a deformarsi nel processo di sviluppo ed eruzione.
Questo vale, prima di tutto, per le radici del dente, che possono piegarsi in qualche modo nella mascella, solo per dare alla parte della corona l'opportunità di girare in modo tale da venire ancora in superficie da sotto la gengiva e stare in piedi nella dentatura. Il risultato di tutte queste "prove sulla via della luce" è la flessione delle radici del dente del giudizio, unica per ogni persona, e talvolta la sua posizione assolutamente incredibile nella dentatura (se, ovviamente, taglia la gomma).
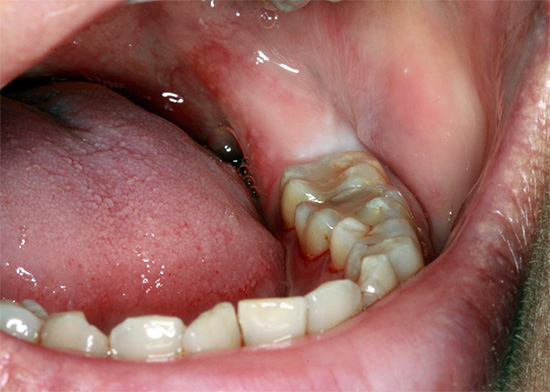
La foto sotto mostra le fasi iniziali della procedura per la rimozione del dente del giudizio retinirovannogo (cioè nascosto sotto la gomma):



Se si tratta di estrazione del dente, il dentista-chirurgo valuta la complessità della procedura imminente. E più ostacoli una data situazione clinica suggerisce per la semplice estrazione di un dente dalla cavità con una pinza, più è probabile che sviluppi uno scenario di rimozione atipica (complessa) di un dente del giudizio, che in alcuni scenari può avere conseguenze spiacevoli per il paziente.
I fattori che complicano la procedura di estrazione del dente del giudizio includono:
- pronunciata inclinazione del dente verso la guancia o nella cavità orale;
- posizione bassa della corona rispetto al settimo dente adiacente;
- radici fortemente curve (a volte anche ad angolo retto - vedi l'esempio nella foto);

- la vicinanza delle radici al seno mascellare o al canale mandibolare;
e alcuni altri
Una parte significativa delle spiacevoli conseguenze della rimozione dei denti del giudizio osservate nello studio dentistico è in gran parte associata a errori medici. E più inesperto il chirurgo dentale, maggiore è il rischio di tali errori.
Ad esempio, durante una procedura di estrazione del dente del giudizio, possono verificarsi le seguenti situazioni:
- Una frattura o dislocazione di un dente adiacente - questo si verifica quando un dente adiacente al sito di estrazione riceve un grande carico, a seguito del quale si rompe o inizia a vacillare (non proprio un medico esperto lo considera come supporto per l'ascensore, che rimuove il dente del giudizio).

Commento del chirurgo
In caso di lesioni accidentali a un dente vicino, il paziente raramente avverte dolore, poiché di solito 2-3 o più denti entrano nella zona di anestesia. Molto spesso, si verifica una frattura della corona in un dente adiacente impiantato, spesso morto, a causa dell'insufficiente resistenza dei suoi tessuti duri al carico (la forza diminuisce a causa dell'assenza del fascio neurovascolare che in precedenza alimentava tale dente).
Nella pratica della maggior parte dei chirurghi dentali con un'esperienza di più di 10 anni, probabilmente c'è stato almeno 1 caso di "aggancio" accidentale di un riempimento sul dente adiacente. Quasi sempre, questo sembra essere un "vecchio" riempimento che ha da tempo bisogno di essere sostituito, ma spiegare a un paziente perché dopo aver dovuto rimuovere un dente deve andare per reinserire il riempimento perso non è facile.
In caso di una frattura significativa della corona del dente, a seconda della situazione clinica, può essere ripristinato utilizzando materiali compositi di fotopolimerizzazione con o senza un perno e devono essere posizionati una linguetta e / o una corona. Ma con un danno significativo alla parte della corona, potrebbe essere necessario rimuovere questo dente (sono possibili ulteriori protesi con ponti o impianti).
- Danni alle gengive e ad altri tessuti molli nella cavità orale. Con una padronanza imprecisa della tecnica di estrazione del dente del giudizio, il tessuto gengivale che lo circonda può semplicemente essere strappato e schiacciato. Durante gli sforzi eccessivi del dentista-chirurgo in caso di scivolamento accidentale della pinza e dell'elevatore, può verificarsi anche un grave taglio o rottura dei tessuti, portando a sanguinamenti prolungati e richiedendo un aiuto urgente sotto forma di sutura.

- Frattura del sito del processo alveolare. Con una presa profonda del dente con una pinza, è possibile rompere la parte dell'osso che in precedenza lo teneva dall'esterno o dall'interno (il paziente a volte rileva i bordi affilati dell'osso al posto del foro del dente). La conseguenza è spesso una guarigione prolungata del buco.
- Una conseguenza inattesa e spiacevole dell'estrazione del dente in generale, in particolare i molari inferiori, è talvolta una frattura o lussazione della mascella inferiore. I chirurghi dentisti professionisti sanno che la rimozione di un dente del giudizio normalmente non richiede l'applicazione di una notevole forza fisica, poiché ci sono molti modi per rimuoverlo, anche se il dente "non va".
- Perforazione del seno mascellare - spingendo la radice del dente del giudizio superiore o addirittura l'intero dente nel seno mascellare. La conseguenza di questa, francamente, spiacevole situazione è che sarà necessario rimuovere questo oggetto molto estraneo dal seno - per questo, viene praticato un buco nell'osso attraverso il quale l'oggetto si estende.

Per quanto riguarda il dolore durante la rimozione dei denti del giudizio: questa procedura può essere eseguita assolutamente senza dolore, ma la cosa principale qui è condurre una buona anestesia. La scarsa anestesia è ancora uno dei momenti più problematici nel lavoro dei chirurghi dentali. Pertanto, la maggior parte delle persone ha paura esattamente del possibile dolore durante l'estrazione del dente e non sanguinamento, ematoma, alveolite, ecc.
Un'alta percentuale del rischio di estrazione dolorosa del dente del giudizio appartiene alle istituzioni mediche di bilancio (policlinici, ospedali), dove, secondo gli standard, sono assegnati solo 15-20 minuti per paziente. Durante questo periodo, nelle normali cliniche private, il medico ha solo il tempo di conoscere la persona e, nell'istituto di bilancio, il dentista-chirurgo deve capire in questi 15 minuti quale dente deve essere rimosso, sottoporsi all'anestesia, attendere la sua azione e dopo che viene quasi immediatamente eseguito.
Naturalmente, quando 10-15 o più persone si accumulano nel corridoio, non si può parlare di anestesia a tutti gli effetti. Non è un caso che i chirurghi facciano una battuta: "togli i denti sotto Cricaine". La cricaina non è una droga, ma un derivato della parola piangere. Ad un ricevimento libero o quasi gratuito, non si verificano raramente urla di pazienti dal dolore, specialmente quando si rimuovono i denti inferiori sesto, settimo e soprattutto ottavo (saggio), poiché non è possibile condurre un'anestesia di alta qualità in fretta.

Nota: “È possibile dopo estrazione del dente del giudizio superiore o la zanna perde di vista? "
Per qualche ragione, la gente ha da tempo un mito secondo cui le zanne sono i cosiddetti denti "ad occhio" e che la loro rimozione può portare a problemi di vista, poiché le loro radici sono presumibilmente vicine al nervo ottico (questo mito si diffonde gradualmente ai denti superiori saggezza). Tuttavia, questa leggenda non ha basi mediche, poiché anche il più lungo di tutti i denti, le radici del cane non raggiungono affatto l'occhio e non danneggiano i nervi ottici durante la rimozione.
Le conseguenze che si presentano dopo la rimozione del dente del giudizio
Dopo che si è scoperto che estrae con successo un dente del giudizio e, a quanto pare, tutto è già alle spalle, una persona potrebbe non essere a conoscenza di possibili ulteriori spiacevoli conseguenze, leggermente ritardate nel tempo. E i problemi possono iniziare già a casa: o immediatamente, o la sera, o in un giorno o due.
Possibili conseguenze immediate nel tempo dopo la rimozione di un dente del giudizio (così come qualsiasi altro, specialmente radicale):
- Un significativo aumento del dolore - con la fine dell'anestetico;
- Sanguinamento prolungato dal buco quando il sangue non vuole fermarsi;
- Aumento della temperatura corporea;
- ematomi;
- Parestesia (perdita prolungata di sensibilità di guancia, mento, labbra, lingua).

Dolore dopo aver rimosso un dente del giudizio
In generale, il dolore è una normale risposta del corpo a una lesione nella cavità orale causata dall'estrazione del dente e dalla rottura di tessuti precedentemente circostanti. Più tessuto è danneggiato, di solito maggiore è l'intensità del dolore.

Il primo giorno di qualsiasi estrazione del dente, si raccomandano farmaci antidolorifici. Il dosaggio e il farmaco specifico sono selezionati individualmente. In questo caso, vengono prese in considerazione le reazioni allergiche, la tolleranza di un particolare farmaco e il suo effetto in passato, la durata dell'azione, l'efficacia del farmaco (forza) e le capacità finanziarie umane.
È interessante
L'anestesia locale (infiltrazione, palatino) sui denti superiori agisce non più di un'ora, ma soggettivamente si può sentire circa 1,5-2 ore. Per i denti del giudizio inferiori, viene eseguita una diversa tecnica di anestesia (mandibolare, torusale), che dura 1-1,5 ore, ma la sensazione di "congelamento" su metà del viso dura fino a 4-8 ore o più. In questo caso, la guancia, metà del labbro, la punta della lingua, ecc. il lato di rimozione non ha una sensibilità normale durante questo periodo. Mentre l'anestesia è in atto, il dolore non si verifica dopo la rimozione.
Sanguinamento prolungato dall'incavo del dente
Il sanguinamento che si verifica immediatamente dopo l'estrazione del dente è un processo naturale necessario per riempire un buco con un coagulo di sangue, che impedisce l'ingresso di infezione nella ferita. Se il buco non sanguina (a volte si osserva effettivamente l'effetto "buco secco"), ciò crea sempre un rischio maggiore di sviluppare alveolite - infiammazione e suppurazione del buco.

Tuttavia, il sanguinamento prolungato dalla buca (più di alcune ore) non è considerato la norma. La conseguenza di tale sanguinamento può essere un articolo di un generale deterioramento del benessere di una persona, in rari casi fino alla perdita di coscienza.
nota
A volte il sanguinamento inizia già a casa, quando termina l'effetto vasocostrittore dell'adrenalina, che di solito fa parte dei farmaci usati per l'anestesia locale.
Di solito, dopo la rimozione del dente del giudizio, il dentista immediatamente o dopo la sutura sui bordi delle gengive attorno al foro mette un tampone di garza sterile e raccomanda al paziente di spingerlo più forte con i denti opposti. La forza di spremere i bordi del foro determina in parte la velocità di arresto dell'emorragia.

A seconda della situazione, nel foro può essere introdotto uno speciale emostatico (spugna emostatica) o altri farmaci per fermare l'emorragia nelle persone a rischio di sanguinamento prolungato (ipertensione, assunzione di fluidificanti del sangue e malattie associate a disturbi della coagulazione).
Tuttavia, l'uso locale di farmaci emostatici non dà sempre l'effetto desiderato, quindi è importante diagnosticare la causa principale dell'emorragia (se presente) in tempo ed eliminarla rapidamente:
- Abbassamento della pressione sanguigna;
- Alcuni giorni prima della rimozione del dente, in accordo con il medico curante (terapista, cardiologo), interrompere l'assunzione di farmaci che violano la coagulazione del sangue;
- Monitorare lo zucchero nel sangue nel diabete, ecc.
se sangue dopo l'estrazione del dente la saggezza non si ferma per molto tempo, è meglio chiamare uno specialista (forse il medico che ha rimosso il dente) e chiederti di consigliarti su ulteriori azioni.

La temperatura è pericolosa dopo aver rimosso un dente del giudizio?
La conseguenza della rimozione di un dente del giudizio, specialmente nel caso di una procedura traumatica, diventa spesso un aumento significativo della temperatura corporea dopo diverse ore, più spesso la sera.
Un aumento della temperatura è il risultato di una reazione infiammatoria del corpo in risposta al trauma (ma non solo). Tuttavia, anche se la temperatura aumenta il primo giorno a 38-39 gradi, ciò non significa seria suppurazione del buco e il pericolo di sviluppare un processo infettivo, ma richiede solo l'osservazione dinamica e la vigilanza da parte di una persona. Le alte temperature (sopra i 38) possono essere abbattute con farmaci adeguati.

commentare questo programma:
“Ieri ho rimosso il dente inferiore della saggezza, la figura otto, tutti mi hanno girato. Tormentarono un'ora, poi misero le cuciture. E la sera tutto è stato molto doloroso, la temperatura è aumentata. Erano già le 39.3 di notte, hanno buttato giù mio marito con pillole e un asciugamano freddo. Ora 37.2, sono seduto su Nurofen, tutta la mia guancia fa male e gonfia ... "
Oksana, Mosca
Come fai a sapere quando una febbre è normale e quando dovrebbe suonare un allarme? Un leggero aumento della temperatura a 37,5 gradi si adatta alla definizione condizionale di "norma", così come un forte aumento a 38,1-38,2, seguito da una diminuzione entro la fine della giornata. Il fatto della scomparsa della sindrome della temperatura il primo giorno (massimo il secondo) dopo l'estrazione del dente è importante.
Se la temperatura continua a salire di nuovo regolarmente (man mano che il farmaco antipiretico cessa), le gengive sono molto doloranti, e specialmente se c'è un odore putrido dalla bocca - in questo caso, dovresti consultare immediatamente un medico.

Perché è importante consultare un medico se si sospetta una temperatura "cattiva"?
Un aumento della temperatura può non solo essere il risultato di un'estrazione complicata e traumatica del dente del giudizio, ma può anche essere un indicatore dello sviluppo di una pericolosa infezione nel foro sullo sfondo degli errori commessi dal dentista:
- radice abbandonata o parte di un dente nella gomma;
- spingendo i tessuti cariati o lasciando cisti e granulomi in profondità nel foro;
- effetto buco secco e sua infiammazione;
- perforazione del seno mascellare, spingendo la radice del dente in esso con lo sviluppo della sinusite;
eccetera
Questo è il motivo per cui è così importante consultare un dentista in tempo per una consultazione in modo che esamini il buco e faccia una radiografia.
Ematoma sul viso dopo la rimozione di un dente del giudizio
Fattori provocatori:
- Danni alla nave durante l'anestesia locale;
- Alta pressione sanguigna;
- Aumento della fragilità dei capillari.

commentare questo programma:
"Ciao! Alla vigilia del mio dente del giudizio fu tirato fuori sulla mascella inferiore e durante il congelamento fu fatta un'iniezione molto dolorosa, io già saltai sulla sedia. Dopo l'estrazione del dente, il primo giorno è cresciuto un livido sotto la mascella. E ad occhio nudo è visibile che la guancia è gonfia. Mi sono rivolto allo stesso medico, mi hanno detto che forse questa è un'allergia (proprio quello che viene chiesto) e Suprastin è stato prescritto. Al momento, il gonfiore era un po 'addormentato, ma il livido rimaneva, così come le preoccupazioni al riguardo. Cosa fare con questo livido sotto la mascella, è normale? ”
Alexander, Pskov
In generale, l'aspetto di un ematoma nella maggior parte dei casi non è così spaventoso come potrebbe sembrare a causa dell'aspetto formidabile di un livido viola. Un tale livido di solito si risolve rapidamente da solo.
L'enfasi principale non dovrebbe essere posta sull'aspetto del livido, ma sul monitoraggio dell'avanzamento della guarigione del buco. Al minimo sospetto di alveolite (suppurazione dal buco, odore sgradevole, coagulo di sangue decomposto o mancante, forte dolore che non muore e febbre alta), non è necessario sedersi a casa e attendere che tutto si risolva da solo - dovresti andare dal dentista per una consultazione il prima possibile.
Parestesia sullo sfondo di un danno al nervo mandibolare
Abbastanza raro, ma piuttosto spiacevole una conseguenza della rimozione di un dente del giudizio nella mascella inferiore ci può essere una perdita temporanea (e talvolta permanente) di sensibilità in alcune aree della guancia, delle labbra, della lingua e del mento - parestesia.
Fattori di rischio per lo sviluppo di parestesia dopo l'estrazione del dente del giudizio inferiore:
- La posizione speciale delle radici e un alto grado di attività del processo infiammatorio sulle radici. Più le radici o i granulomi o le cisti si trovano più vicini al canale mandibolare, dove passa il nervo mandibolare o al nervo linguale, maggiore è il rischio di perdita di sensibilità della zona corrispondente.
- Fattore medico. La diagnosi tempestiva della vicinanza delle radici al canale mandibolare consente di pianificare in anticipo l'intervento chirurgico. L'esperienza del chirurgo e la tecnica utilizzata durante la rimozione di un dente del giudizio determinano la probabilità di sviluppare parestesia a causa del difetto del medico.

La parestesia è un fenomeno in cui si verifica una perdita di dolore, temperatura, gusto, sensibilità sensoriale e propriocettiva, ma non c'è paralisi. Cioè, il viso mantiene il suo aspetto precedente, non è distorto e le sensazioni soggettive del paziente sono paragonabili a un'anestesia che continua all'infinito. Molto spesso, mento, lingua e labbro rimangono intorpiditi.
Di solito la stessa parestesia scompare dopo un paio di settimane, ma a volte il ripristino del tessuto nervoso richiede un aiuto sotto forma di nomina di procedure fisioterapiche e (o) farmaci speciali. In casi molto rari, la perdita di sensibilità può durare per sempre.

Quando vale davvero l'allarme dopo aver rimosso il dente del giudizio
La rimozione dell'ottavo dente può avere gravi conseguenze, che in casi gravi portano ad ascessi, flemmoni, mediastinite e sepsi (avvelenamento del sangue). In poche parole, più intensamente si sviluppa il processo infettivo nell'orbita del dente estratto, più è probabile che si diffondano i microbi e le loro tossine negli spazi profondi della mascella inferiore, della testa e del collo.
La regione maxillo-facciale è ricca di vasi sanguigni grandi e piccoli. Ciò determina i rischi della rapida penetrazione dei microbi negli organi e nelle formazioni vitali, che a volte porta persino alla morte.

I seguenti sono casi in cui, al fine di prevenire gravi conseguenze dopo aver rimosso un dente del giudizio, non dovresti più aspettarti che il disagio passi da solo, ma dovresti consultare un medico:
- Se il sanguinamento dal buco non si ferma per diverse ore;
- Se la temperatura dura 3 o più giorni, e ancora di più se c'è la tendenza ad aumentarla ogni sera a valori sempre più alti;
- In generale, qualsiasi dinamica negativa è un'occasione per consultare un medico. Ad esempio, se il dolore e il gonfiore non diminuiscono, ma, al contrario, progrediscono ogni volta, anche questo è un sintomo allarmante;
- Se ci sono problemi con l'apertura della bocca;
- Se un odore putrido appare dalla bocca, si osserva suppurazione dal buco;
- Se intorpidimento della lingua, mento, labbra, guance persiste per diversi giorni.
E ricorda: il dentista non è il tuo nemico. Alcune persone sono in imbarazzo a "sforzare" i problemi dei loro medici curanti (pensando che il medico abbia le sue preoccupazioni o che sarà offeso da tali "paure sciocche"), ma questo approccio può portare a gravi conseguenze. Un buon dentista, come nessun altro, è interessato a garantire che il paziente stia bene dopo i suoi servizi, quindi è obbligato a fare tutto il possibile per eliminare il problema che preoccupa la persona, o almeno chiarire la situazione e calmarlo.
Un video interessante su alcuni problemi che possono verificarsi dopo l'estrazione del dente
Ed è così che avviene la rimozione del dente del giudizio ritardato




Ottimo articolo, grazie.
I miei denti del giudizio furono rimossi e dopo la rimozione il mio viso era gonfio, la temperatura era alta e marcita, e cosa accadrà adesso? È un medico o un paziente il cui errore?
Ottimo articolo! Grazie! Grazie a te, ho scoperto che ho la parestesia, spero che passi. 3 ° giorno dopo la rimozione di 3 molari inferiori.
Benvenuti! Dimmi, da quanto tempo hai i sintomi della parestesia?
7 ore
Il mio terzo giorno dura già, mi dà fastidio ...
Tutto è dettagliato e chiaramente scritto! Grazie
Grazie Ottimo articolo
Oh, ben descritto. Ho tirato fuori l'ottava tomaia. Qualcuno con escrescenze era, secondo il dottore, "mutante". Si ammalò per un po 'di tempo, poi si fermò, e il 4 ° giorno iniziò a contrarsi nella sua guancia, nell'orecchio, ma non c'era odore. Mi sono preoccupato. Ho letto l'articolo e mi sono calmato. Grazie
Un anno fa hanno rimosso il dente del giudizio inferiore, hanno detto che se fosse in ritardo per una settimana, potrebbe essere in terapia intensiva. Dopo aver rimosso l'orrore che mi stava accadendo, non riesco proprio a descriverlo ... Calore, dolore terribile, non so cosa voglio, fa infuriare mia suocera e suocera. E ora di nuovo lo stesso problema, solo dall'altra parte fa male. Temo lo stesso.
Gli otto inferiori sono stati rimossi per due ore, il dente era difficile. Quindi gli antibiotici, la temperatura è durata due giorni, le gengive sono guarite. Edema, ovviamente, era decente. Non c'era livido, anche se me lo avevano promesso sul pavimento. Quello che ho oggi, un mese dopo: la parestesia è sul lato della rimozione, inoltre, al momento sono in ospedale con una diagnosi di nevralgia del trigemino del secondo e terzo ramo. Il mal di schiena nel tempio iniziò, davanti all'orecchio e dietro l'orecchio, circa due settimane dopo la rimozione - di conseguenza, un mal di testa intollerabile. I trattamenti di iniezione e ultrasuoni presso la clinica locale non hanno aiutato.Ha chiamato l'artiglieria più pesante - un ospedale. Spero per il meglio! Buona fortuna a tutti e buona salute!
Come ti senti adesso? Dopo il nuovo anno, devo rimuovere 2 denti del giudizio, l'ho letto, ora ho paura ...
Non aver paura, tutto è diverso per tutti. Ho cancellato il terzo otto ieri. È tutto fantastico! Se vieni da San Pietroburgo, conosco il chirurgo più bello.
Anastasia, che tipo di chirurgo?
Consiglia il chirurgo più bello.
Ho molta paura di rimuovere la figura orizzontale otto, il dente si è già oscurato, giace con una pendenza e c'è un'infiammazione cronica. Il cibo entra tra l'ottavo e il settimo dente, quindi fa male, devi sciacquare con soda o sale dopo ogni pasto. Vengo dal Kazakistan, la città di Aktobe, ho paura di cancellare, rimando sempre!
Non so come affrontare la paura di rimuovere un dente del giudizio, quanto ho paura. Si è oscurato rapidamente con me, anche se mi sono preso cura, pulito due volte al giorno!
Cara Dina, mi hanno rimosso il dente nell'ottobre 2016. Non avevo paura di andare immediatamente dal dentista. Secondo i sintomi, vale a dire: intorpidimento del lato sinistro del viso, dolore quando si apre la mascella e premendo sulla gomma - Mi sono subito reso conto che era un dente del giudizio ... Sono venuto dal chirurgo, mi hanno mandato per una radiografia, e questo è stato tutto confermato - il dente stava mentendo, ad es. . in posizione orizzontale. Hanno nominato il giorno dell'operazione, sono arrivato quel giorno. Fai diverse iniezioni di anestesia. Dopo che hanno tagliato e visto, me l'hanno tirato fuori in parti. È stato molto difficile (a giudicare dal modo in cui il medico ha sudato e gonfiato). L'operazione è durata circa 2 ore. Punti. Già a casa c'era una grave debolezza e lentamente si manifestava dolore. Mi sono addormentato subito. Naturalmente, non chiuderai subito la mascella. Ho dormito con la bocca aperta per circa 3 ore, dopo di che ho bevuto solo acqua. Mangiato liquido: yogurt, kefir, latte, zuppe. Il secondo giorno, tutto sarà gonfio. Prescrivere antibiotici, antisettici - collutori. Visiterai nuovamente il medico 3 volte, dopo 4-6 giorni. Il 4 ° giorno, l'intero gonfiore si è completamente attenuato. Il 5 ° giorno, i punti sono stati rimossi. Dopodiché, ho iniziato a sciacquare più spesso, ma il cibo è rimasto nel buco, quindi ho visitato il medico altre 3 volte per lavare il buco dal cibo ...
E tutto) Quindi non abbiate paura, siate decisivi. È meglio stancarsi una volta piuttosto che tormentare tutta la tua vita)) E comunque, ho preso immediatamente un congedo per malattia per tre giorni e ti consiglio. Buona fortuna
Ciao Julia, sono molto felice per te che tutto sia dietro di te. Il mio dente non fa male, ma dal momento che cresce in orizzontale, è scomodo lavarsi e ha già iniziato a scurirsi dal basso. Non riesco proprio a decidermi, ho molta paura, dopo la tua storia sono stato un po 'rallegrato! Grazie, io, a quanto pare, non è l'unico così fortunato.
Cara Julia! Puoi scoprire da quale città vieni? È solo che nella nostra città ci sono pochi bravi chirurghi.
Grazie per l'articolo, molto utile e conveniente!
PPC, nel 2007, il giorno di Capodanno, un dente del giudizio è cresciuto e ha iniziato a interferire con la chiusura e l'apertura della mascella. Sono andato alla rimozione. L'8 in alto a destra, rimosso senza conseguenze, è guarito rapidamente. 2008, a Capodanno, dente del giudizio 8 in basso a destra, lo stesso medico. Dopo l'operazione guarì rapidamente, ma con parestesia. Intorpidimento della mascella inferiore (sensazione come se l'anestesia non fosse passata), il lato destro di 1, 2, 3, 4 denti e il mento, un piccolo ma visibile gonfiore. Vivo con questo da 9 anni, sono stato trattato (attuale, sanguisughe, agopuntura) - senza scopo, non potevano aiutarmi con niente. Quindi gente, un buon dottore, un cattivo dottore - tutto questo è spazzatura completa. E ora dobbiamo rimuovere gli otto del lato sinistro, temo ... non ho paura del dolore, ma delle conseguenze.
L'articolo non descrive ancora un'altra conseguenza, quando il nervo facciale è interessato e la metà del viso si affloscia.
La stessa cosa, ho vissuto con intorpidimento delle labbra e del mento per 5 anni. Il dente non interferiva, non era malato, era dentro le gengive. Ma il chirurgo "business" ha deciso di guadagnare soldi extra - ha visto che il dente si trova sul canale mandibolare, ma è ancora salito! Ad esempio, un giorno può ammalarsi ... E avevo 45 anni, e ho vissuto con questo fin dalla mia giovinezza. Vai sempre da diversi dottori! Non ascoltare una cosa, i medici hanno opinioni diverse su tutto! Ci sono grabber, solo per guadagnare soldi, ma ce ne sono di onesti.
Sono d'accordo con te, anche io mi sono imbattuto in inutili "affari" -altern. Hanno anche rimosso un dente del giudizio con cui ho vissuto normalmente per molti anni e il proprietario della clinica, il dottore, hanno convinto che i denti fossero "cattivi", anche se non facevano male (avrebbero vietato loro di insultare legalmente parti del corpo di persone con confondere i pazienti). Ora è scomodo per me senza di essa - costantemente fa male alla mascella inferiore (il chirurgo viene rimosso dalla stessa clinica).
Per qualche motivo, per qualche motivo, il riempimento è stato eseguito in modo inadeguato, ad esempio "hai la carie, è necessario, necessario". Non sul dente, che il proprietario e il dentista hanno deciso di "salvare", ma in seguito (anche se non l'ho chiesto). Ho convinto a rimuovere un dente completamente diverso, che è stato danneggiato da un dente del giudizio, conosco meglio la mia mascella, ma lei ha un "diploma-educazione-il più intelligente", e ho una cattiva salute.
Quindi, come te, ho vissuto tranquillamente con questi denti del giudizio della mia giovinezza, circa 20 anni, mi hanno protetto la mascella. Ora è molto scomodo per me masticare i monconi che mi sono stati fatti in questa clinica: non c'è più un dente inferiore rimasto, una mascella scoppiata, un dente adiacente gravemente bloccato, un dente liscio che non si adatta a masticare + una gomma inferiore che viene costantemente danneggiata dal cibo e dai tocchi della mascella. L'unica cosa di cui sono contento è che il secondo dente (non la saggezza) di un altro chirurgo di questa clinica (soddisfatto del suo lavoro) doveva ancora essere rimosso, non "salvato". Quindi evitò un'altra canapa liscia in bocca.
Grazie per aver scritto Le persone dovrebbero conoscere tutti gli aspetti delle conseguenze della rimozione dei denti del giudizio e che questa non è una procedura obbligatoria se non fanno male.
Per quanto riguarda l'avido nel mio caso, mi sono emozionato, ma "affari eccessivamente" di sicuro. Prenditi cura dei tuoi denti e organi, cittadini. Se alcune persone credono ancora che non abbiamo bisogno dei denti del giudizio a causa del fatto stesso della loro presenza, ciò non significa che dobbiamo rimuoverli e che i medici stessi trattano questa procedura come semplice. Sostengo completamente Irina e Katya. Io, risulta, finora fortunato.
Rimosso il dente del giudizio inferiore. Me l'hanno tirato fuori rapidamente, in 30 minuti ce l'hanno fatta. La ferita è stata a lungo malata, le settimane 2 sono state tormentate dal dolore e l'emorragia è stata di circa 7 giorni, poi, come se tutto fosse guarito. Ci sono altri 3 da rimuovere, ma ora ho ancora più paura di questa procedura. Proprio come ricordo tutti questi dolori postoperatori, la situazione peggiora. Ma non è questo il punto ... sono trascorsi 4 mesi dalla rimozione e ho iniziato ad avere dolori nel sito di rimozione, la mia bocca non si apre, il dolore si manifesta nell'orecchio, è impossibile masticare cibi solidi. Cosa potrebbe essere?
Benvenuti! Ci sono diversi sospetti:
1. Il dentista-chirurgo ha lasciato nel foro la radice del dente, parte di esso, granuloma o cisti;
2. O c'è un processo cariato nascosto vicino al foro, nel settimo dente, che ha attraversato il bordo della polpa e ora ci sono dolori di pulite;
3. O una complicazione dell'alveolite - osteomielite ossea (meno probabile, ma vale la pena controllarla).
Pertanto, prima di eseguire la rimozione di un altro dente del giudizio, vale la pena scoprire la vera causa dei dolori acuti esistenti (ad un appuntamento interno con un dentista) ed eliminare tempestivamente il problema in modo da non lasciare il fuoco all'infezione. Grazie per la domanda
Grazie Sono andato dal medico - in effetti, dopo una radiografia si è scoperto che dopo la rimozione è rimasto un pezzo di radice. Il dentista ha detto che la radice è nel mezzo della ferita e non sarà difficile rimuoverla. E finì lì, presumibilmente a causa del fatto che l'ho spinto lì con la lingua. Oggi sono andato a rimuovere questo "pezzo". E ... il dottore ha frugato a lungo, ha attorcigliato qualcosa lì, ma la radice non è mai stata estratta. La mascella doleva terribilmente e il dolore cominciò a passare all'orecchio. Non ha scelto ulteriormente, spiegando questo per il fatto che poteva danneggiare i suoi nervi, e poi sarebbe solo peggiorato. In generale, ha detto che forse uscirà da sola (non capisco come sia possibile). Ho il sospetto che la bocca non si aprirà normalmente ora ... Ha anche detto qualcosa sull'ospedale. Molto turbato.Questa è stata la mia prima estrazione molare.
Benvenuti! È impossibile "spingere indietro la radice del dente", il medico ti sta ingannando a questo proposito. Il fatto che non sia stata in grado di rimuovere la complessa radice non dà motivo di sperare che esca da solo. La disinformazione per disinformazione ci consente di affermare che è necessario contattare un altro dentista-chirurgo per un aiuto. Altrimenti, possono essere aggiunte una serie di complicazioni: alveolite, trasformazione in osteomielite, ascesso e, come opzione, flemmone. Quindi più velocemente cambi medico, meglio è. Procedere in questa direzione!
Dopo la rimozione del dente del giudizio inferiore, che è stato visto solo ai raggi X, è apparso l'intorpidimento del mento e delle labbra. È passata una settimana, il gonfiore non è ancora passato e il dolore alla mascella persiste. Il medico ha detto che il buco guarisce normalmente. Sto soffrendo. Quanto possono essere lunghi ed è normale?
Benvenuti! Dopo un intervento chirurgico complesso, l'intorpidimento può persistere fino a 1-3 mesi, a volte più a lungo. La fisioterapia spesso accelera il processo di ripristino della sensibilità (molto dipende dal fatto che il nervo mandibolare sia danneggiato, da quanto gravemente sia danneggiato o se viene semplicemente schiacciato a causa dell'edema). L'edema può durare fino a 1-2 settimane, ma la tendenza dovrebbe diminuire ogni giorno. Il dolore diminuisce quando scompaiono i sintomi principali. Se il gonfiore diminuisce, il dolore scomparirà gradualmente. A scopo di prevenzione, dopo un po 'ha senso contattare nuovamente il dentista per valutare le condizioni del foro di guarigione.
Buona sera Un dente del giudizio complesso è stato rimosso, crescendo orizzontalmente in basso a sinistra e appoggiato su un 7 dente. Hanno schiacciato un osso e un dente e l'hanno estratto in parti. Il giorno successivo, la gomma del vicino dente 7 divenne molto infiammata e il dente stesso ferì con la minima pressione. Hanno detto che hai bisogno di un canale radice o eliminalo. Questo dente potrebbe essere stato danneggiato quando il dente del giudizio è stato rimosso, o il dente del giudizio lo ha danneggiato così, spingendolo sempre a destra? La gomma del 7 ° dente è gravemente gonfia e tutto in un coagulo di sangue. Il medico ha detto che tutto va bene, solo questo dente ha bisogno di un canale radicolare o di rimozione. Non so cosa fare, perdere un altro dente importante e avere un buco con un pugno?
Benvenuti! Durante una difficile estrazione del dente della saggezza, quando si appoggia contro i sette, è del tutto possibile danneggiare il settimo dente. Sebbene sia troppo presto per prendere una decisione 1 giorno dopo la rimozione, di solito nei primi 3-7 giorni dopo la procedura, i denti adiacenti al pozzo reagiscono con lo stress. Il “collo” può anche essere aperto dal lato dell'estrazione: sebbene questo sia temporaneo, può essere molto inquietante.
È meglio non affrettarsi alle conclusioni, ma per ottenere consigli dal proprio medico in una settimana (o prima, se c'è una tendenza negativa): controllare di nuovo il settimo dente dall'immagine e solo allora decidere se trattare o meno i canali radicolari o se salvare il dente o meno . Per quanto riguarda la rimozione, è meglio provare a salvare il settimo dente in tutti i modi possibili e lì tutto sarà chiaro nel corso della vita. Buona fortuna
Ciao Ho un dente del giudizio orizzontale, non mi disturba, ma poiché si trova in posizione orizzontale, è scomodo pulirlo e ha iniziato a deteriorarsi un po '. Mentre non c'è dolore! Ho molta paura della cancellazione, non riesco proprio a sintonizzarmi in alcun modo. Il medico dice: fino a quando non fa male, non si preoccupa, non puoi toccarlo, perché è una rimozione difficile. Ho molta paura Vengo dal Kazakistan. Dimmi, chi ha la stessa situazione? E chi ha deciso di eliminare, come è andata?
Benvenuti! Se il dente del giudizio, che, come hai detto, "giace in orizzontale" (e molto probabilmente intendi "per una grande pendenza") e ha già iniziato a deteriorarsi (distrutto dalla carie), allora dovrebbe essere rimosso con urgenza. Con una profonda distruzione, inizierà il dolore, forse questo andrà alla complicazione della carie, Dio proibisce - parodontite o persino periostite. Perché dovresti aspettare l'inizio di una complicanza purulenta? E quindi il dente potrebbe non essere semplice, ma ci sono ulteriori difficoltà per te e il medico.Inoltre, i processi purulenti vicino ai denti del giudizio sulla mascella inferiore spesso portano a formidabili complicazioni, persino alla morte. Pianificato, può essere molto più facile da disinstallare.
Sfortunatamente, non riesco a vedere quanto sia terribile il dente e a valutare l'entità del problema. Conosco molti casi in cui la rimozione di tali denti è avvenuta nel giro di pochi minuti. Una settimana fa, un paziente mi è stato inviato per rimuovere il "difficile", secondo il medico ambulatoriale, il dente del giudizio superiore. Un dentista locale ha detto al paziente che il dente era "molto complicato, sotto la gengiva, avrai quasi bisogno di buttarlo fuori", quindi non l'ha preso, è stato riassicurato. In effetti, ci sono voluti 5-7 minuti per fare questo lavoro. Quindi non aver paura e fidati di un buon dottore!
Ciao, ho rimosso il dente del giudizio ritardato di seguito due giorni fa. Il medico ha detto che tutto è andato bene, prescritto bagni e antibiotici. Il gonfiore è piccolo, ma il secondo giorno la mascella ha iniziato a farmi male, posso solo aprirla un po ', non posso mordere. È normale?
Benvenuti! Il secondo giorno, ciò è possibile a causa del fatto che sullo sfondo del trauma si intensificano i fenomeni infiammatori locali - questo può manifestarsi sotto forma di dolore e gonfiore, che provoca solo una violazione dell'apertura della bocca. Consiglio di consultare il proprio medico per l'esame e la correzione delle raccomandazioni. Potrebbero essere necessari esercizi speciali per sviluppare la mascella. Questo è anche regolato dal medico all'esame di follow-up dopo l'intervento chirurgico.
Per quanto riguarda la difficoltà a mordere il cibo, questo è un evento frequente, poiché un dente adiacente al foro può diventare doloroso quando morde a causa della vicinanza alla ferita.
Buon pomeriggio, il 29 maggio, è stato tagliato il cappuccio di un dente del giudizio. Dopo l'anestesia, è stato doloroso ingoiare e aprire la bocca (ma si è aperto). Oggi deglutire è diventato più facile, ma aprire la bocca è ancora scomodo. Il medico insiste sull'estrazione del dente. Ma il nervo si avvicina molto, vale la pena rimuoverlo? Quali sono le possibili conseguenze dopo tale rimozione (intendo una faccia distorta o intorpidimento)? Le foto non possono essere inserite.
Benvenuti! I motivi per cui il medico insiste sulla rimozione del dente del giudizio sono comprensibili: oggi gli specialisti sono inclini a evitare di rimuovere il cappuccio e rimuovere immediatamente il dente problematico in modo che non ci siano complicazioni.
Per quanto riguarda i rischi associati alla vicinanza del canale mandibolare: purtroppo non vedo questa situazione clinica con i miei occhi, quindi non ho il diritto di insistere su qualsiasi azione o rassicurazione. Solo il medico curante dovrebbe decidere se rimuovere il dente, correlando tutti i pro e i contro.
Se il canale mandibolare con il nervo è interessato, le conseguenze possono essere diverse. Nella maggior parte dei casi, l'intorpidimento scompare entro 1-3 mesi, ma con una grave lesione nervosa - nel corso degli anni (con trattamento fisioterapico - più veloce).
Vi consiglierei di ottenere una consultazione (su una sedia) di 2-3 chirurghi maxillo-facciali, come specialisti ristretti in questa specificità. Dopo aver espresso la loro opinione analizzando la posizione del dente nella bocca e nella foto, correlando con la vicinanza del canale, prenderai una decisione informata.
Dopo la rimozione dell'ottavo dente inferiore, la pressione è salita a 170 e non posso già abbassarla da una settimana. Ingoio le pillole, anche di notte.
Benvenuti! In questo caso, c'è motivo di seria preoccupazione. Il fatto è che normalmente la pressione dovrebbe stabilizzarsi durante il giorno. Le ragioni del suo aumento a lungo termine possono essere sia lo stress della precedente manipolazione, sia i farmaci usati in odontoiatria. Inoltre, l'influenza delle malattie somatiche esistenti non è esclusa - in altre parole, una persona viene già dal dentista con malattie cardiovascolari, che si fanno sentire dopo l'intervento chirurgico. In tali casi, l'estrazione del dente influisce solo indirettamente sull'insorgenza del problema e la vera causa risiede molto più in profondità, richiedendo l'attenzione di un cardiologo e preferibilmente urgente!
Ho rimosso una cisti alla radice nel 2014. Il medico ha deciso di rimuovere contemporaneamente (senza il mio consenso) la zanna ritardata (3). Dopo la rimozione, la sensibilità del labbro superiore è scomparsa.Dopo sei mesi, si rivolse a un neurologo. Il neurologo "rassicurato" - la sensibilità non tornerà mai più. Adesso è il 2017. A volte la punta del naso e il labbro inferiore sono insensibili. Uso unguento con eparina. La sensibilità del naso e del labbro inferiore ritorna. Ma il labbro superiore non sente la temperatura, l'intorpidimento spiacevole è già fastidioso fino al bagliore. È possibile alleggerire questa condizione in qualche modo?
Benvenuti! Nel tuo caso, ha senso consultare un fisioterapista: potresti essere ancora in grado di trovare la manipolazione necessaria per ripristinare la sensibilità delle labbra e del naso (anche nonostante la prognosi pessimistica del neurologo). Ad esempio, in alcuni casi, l'elettroforesi con ioduro di potassio e UHF in combinazione con l'assunzione di farmaci aiuta.
Rimosso il dente del giudizio inferiore 2 mesi fa. La rimozione è stata difficile, 1,5 ore. Sento ancora l'intorpidimento della mia lingua. Il medico dice che possono volerci fino a sei mesi, o forse no. È spaventoso che rimarrà tale. Cosa si può fare?
Benvenuti! Se durante la procedura si è verificato un danno al nervo mandibolare, potrebbe davvero richiedere molto tempo per ripristinare la sensibilità - il dentista non ti ha ingannato. Per accelerare il ripristino delle fibre nervose, vengono spesso prescritte procedure fisioterapiche, il cui elenco è determinato dal chirurgo maxillo-facciale insieme a un fisioterapista.
Di solito, l'intorpidimento tende a diminuire ogni mese. Sono quasi sicuro che entrerai in statistiche positive e ti libererai del problema in pochi mesi.
Hanno rimosso il fondo 7 e 8, ora è il sesto giorno, con periodi di dolore doloroso su tutta la mascella e i denti sembrano prudere. Bevo antidolorifici. Consultato con un dentista ogni due giorni - afferma che la guarigione è normale. Ma il problema è che le guance dentro di me sono diventate molto doloranti, al contrario delle prime 8, che sono uscite normalmente per molto tempo e non si sono mai disturbate. Cosa potrebbe essere?
Benvenuti! Penso che sullo sfondo della lesione vi sia un'irradiazione del dolore nelle aree vicine dai fori dei denti estratti. Inoltre, non escludo che i dolori che si diffondono lungo il nervo trigemino possano essere una conseguenza dell'inizio dell'alveolite e che l'infiammazione del foro procede in una forma lieve, quindi il dolore fa male. Il fatto che consulti regolarmente il medico è meraviglioso: il controllo in questo caso non farà sicuramente male.
Ti consiglio di guardare ancora un po 'di tempo (circa una settimana). Se c'è una tendenza a ridurre i sintomi, non preoccuparti. Se non ci sono miglioramenti, sarà necessario comprendere in dettaglio la situazione con il medico curante e adottare misure.
Rimosso il dente del giudizio superiore. La giornata è stata terribilmente malata, ora non fa male, ma il tumore non è ancora scomparso e la temperatura aumenta periodicamente (il terzo giorno è acceso). Ma la cosa più spiacevole è la congestione nasale della narice destra e preme spiacevolmente nel tempio giusto! Panico o passerà? Grazie!
Benvenuti! Consultare urgentemente il proprio medico o immediatamente a uno specialista altamente specializzato - chirurgo maxillo-facciale per una consultazione. Il fatto è che secondo i tuoi sintomi c'è il rischio di una connessione tra la rimozione del dente del giudizio superiore e l'infiammazione del seno mascellare (mascellare), poiché le radici di questo dente si trovano spesso nelle immediate vicinanze del seno. Potrebbe esserci una complicazione. Se il dentista (è possibile che insieme al medico ORL) escluda il danno sinusale e l'inizio del processo infiammatorio in esso, allora sarà necessario concentrarsi solo sulla guarigione del foro. Altrimenti, è possibile che tu abbia bisogno di pianificare una terapia per la sinusite, a cui sono più propenso secondo la tua descrizione.
Ciao Sono di nuovo io. Grazie per le risposte È un peccato che ho visto così tardi ... Vado ancora con quella stessa "spina dorsale" - Sono già abituato al fatto che la mia bocca non si apre normalmente. Una settimana fa, ho rimosso i primi otto dallo stesso dottore. E ancora, il problema. Il dente era carie e cresceva lateralmente. Lo rimossero rapidamente, il medico non prescrisse né antibiotici né risciacqui e li rimandò a casa. La sera, la ferita ha iniziato a sanguinare, ho dovuto andare di nuovo dal dentista - ha fatto delle compresse per un'ora. C'era meno sangue e fui mandato a casa.
Il giorno successivo, la ferita sanguinava, ma sopportabile. Il terzo giorno (di notte), iniziò un sanguinamento grave. Non c'è stato alcun dolore dopo la rimozione. Non c'era nessun dentista in città, e dovevo decidere urgentemente qualcosa - andai in continuazione ad altri dottori. Hanno pensato a lungo quale fosse il motivo (hanno fatto una radiografia, ma non hanno visto alcun residuo di dente). E coaguli di sangue caddero dalla ferita. I medici hanno deciso che si trattava di una cisti e hanno iniziato a pulire la ferita: hanno raschiato molto. Hanno messo un tampone sulla ferita, prescritto antibiotici, risciacqui e rimandati a casa. Oggi è il secondo giorno senza sangue. E il dentista, in cui ho rimosso il dente senza vedermi, insiste sul fatto che non ci potrebbero essere cisti, perché un dente di pulpite, ed era solo necessario cucire la ferita. Ora ho persino paura di andare a casa sua e immaginare cosa avrebbe fatto se fosse finita in città. In generale, è la colpa di tutte le conseguenze. Come puoi trattare i pazienti così casualmente! Vado da lei e pago soldi, ma ricevo solo nuove piaghe e problemi. Gente, state molto attenti quando scegliete un dentista.
Tutto è scritto correttamente.
Buon pomeriggio Dopo la rimozione del dente del giudizio, le qualità gustative vengono perse. Trascorsero 3 settimane, la ferita guarì, ma un osso uscì dalla gomma. Non sento ancora il sapore del cibo. Cos'è questo?
Benvenuti! Il fatto che un frammento osseo rimanga nella ferita non causa una perdita nel gusto del cibo. Intorpidimento della lingua che non scompare dopo la procedura di rimozione dei molari inferiori (incluso il dente del giudizio inferiore) è direttamente associato al danno al nervo linguale. Molto spesso questo si verifica quando un nervo è danneggiato a causa dell'anestesia, che è stata avvicinata troppo durante l'iniezione.
Ti consiglio di contattare il tuo medico: penso che il problema possa essere risolto prescrivendo farmaci per accelerare il ripristino delle fibre nervose + la nomina di procedure fisioterapiche.
È necessario presentare una causa contro questi spavalderi, fiduciosi nella loro intoccabilità ciarlatani ignoranti! E se non aiuta, lui stesso (nella tromba delle scale, per esempio) dovrebbe avere "perforazione del seno mascellare" (pugno di Makita, per esempio). O una rizotomia dei nervi mandibolari (insieme alla mascella inferiore) con una pala 🙂
Post scriptum E poi sono cresciuti ciarlatani-dentisti.
Ciao È necessario rimuovere il dente del giudizio. Tuttavia, dopo 3-4 settimane, dovrei iniziare un'allergia stagionale (polline). Si manifesta come infiammazione delle mucose del naso e della gola, starnuti. A volte è abbastanza forte e gli antistaminici non alleviano completamente i sintomi. A quel punto il buco avrà tempo di guarire? Ci sono delle complicazioni?
Ciao Victor! Di solito, dopo l'estrazione del dente, la ferita guarisce completamente entro 2 settimane. Le allergie stagionali non interferiranno con la guarigione. Non vale nemmeno la pena temere il successivo uso di antistaminici (in alcuni casi, aiutano anche la rapida guarigione del buco).
Quindi ora puoi pianificare di rimuovere il dente del giudizio e non preoccuparti di possibili complicazioni da un'allergia al polline.
Ciao Due settimane fa, 8 sono stati rimossi sul lato destro della mascella superiore.La gomma in cui veniva praticata l'anestesia era molto dolorosa, anche la ferita non guariva, ma non sanguinava. Ha iniziato a sciacquare il luogo di rimozione con Rotokan immediatamente dopo un giorno - un batuffolo di cotone è caduto dal buco (a quanto ho capito, il medico ha dimenticato di rimuoverlo). La ferita iniziò a guarire, ma le gengive all'interno facevano male. Ma non era gonfia, non c'era nemmeno arrossamento, ma faceva male come se stessi premendo un livido. E il dente successivo, 7 anni, iniziò a far male. Queste potrebbero essere complicazioni?
Ciao Catherine! Sì, queste potrebbero essere complicazioni sorte dopo l'estrazione del dente. Il dolore che descrivi è in parte simile ai sintomi dell'alveolite (sebbene possa sembrare che il dolore sia sorto solo a causa di un trauma alle gengive durante l'iniezione di anestetico). Per quanto riguarda il "vello" dimenticato dal medico, i medici spesso lasciano una spugna di collagene emostatica nel foro del dente rimosso in modo che non vi sia sanguinamento dal foro. Possono sorgere complicazioni a causa del fatto che è possibile lavare il coagulo di sangue dal buco ed è diventato vuoto, a causa di questo spesso si verifica dolore. Per quanto riguarda il dolore al settimo dente, questa potrebbe essere l'irradiazione (diffusione) del dolore dall'orbita dell'ottavo dente.
Poiché il dolore persiste per più di 2 settimane e questo non è normale, ti consiglio di consultare un dentista per un esame.
Buongiorno a tutti! 24/10/2014 Ho rimosso otto in basso a sinistra. Il giorno dopo, sono venuto all'appuntamento del dottore con dolore e gonfiore nell'area della ghiandola sinistra, la mia bocca non si è aperta. Il dottore guardò, lavato superficialmente da una siringa e disse che tutto andava bene (c'era una rimozione difficile). Il giorno dopo, sabato, a causa dell'incapacità di sopportare il dolore e del forte gonfiore nella zona del mento, sono arrivato alla chirurgia maxillo-facciale. Lì ho subito un'autopsia nell'area degli steroidi e la rimozione del pus. In ospedale, ho trascorso 2 settimane dopo l'apertura dei FLEGMONS. Oggi 11/08/2018 non mi sento parte della lingua e la mia bocca non si apre bene. A proposito, il dentista ha tagliato il dente con una macchina durante la rimozione del dente e ha immediatamente rimosso la ferita dopo la rimozione.
Dimmi, per favore, cosa dovrei fare adesso? E di chi è questa colpa?
Ciao Sergey. È quasi impossibile commentare il lavoro di altri medici, soprattutto senza avere le immagini a portata di mano prima e dopo l'estrazione del dente. Non escludo che il nervo ioide sia stato interessato (quindi il recupero sarà lungo). Ti consiglio di contattare un chirurgo maxillo-facciale esperto, che ti aiuterà a capire il problema in modo più dettagliato, fare una prognosi e prescrivere un trattamento.
Cinque giorni fa, rimosso gli otto in basso a destra. Il secondo giorno, un gonfiore della guancia, come dovrebbe essere. Il terzo giorno ho dormito un po ', ma la sera la temperatura era di 37.2, mi fa male aprire la bocca e rinunciare a movimenti improvvisi. Ha iniziato a prendere antibiotici e risciacquare. Il quarto giorno, il tumore si è di nuovo leggermente attenuato, un forte sigillo (doloroso) ha iniziato a farsi sentire sulla guancia dall'esterno, e di nuovo la sera la temperatura era di 37,1. Il quinto giorno sono andato dal dottore. Un ematoma è stato trovato da qualche parte nella zona di rimozione. Abbiamo avuto una dolorosa pulizia. Hanno messo qualcosa nella ferita (simile alla garza) e rimandato a casa, organizzando la visita successiva tra due settimane. Ora (il sesto giorno) non c'è quasi nessun dolore anche senza antidolorifici, la bocca è aperta, il tumore si è notevolmente ridotto, ma il sigillo sulla mascella non è ancora passato. La domanda sorge spontanea: mi allungherò fino alla prossima visita dal medico in questo stato?
Ciao Yuri. La tua condizione è pienamente coerente con la gravità dell'operazione. Una medicina che "sembra una garza" è un antisettico, previene lo sviluppo dell'alveolite. Il sigillo può contenere fino a 1 mese. A giudicare dalla descrizione, ora la tua guarigione sta andando bene e non ci sono visite non pianificate. Tuttavia, gli esami prescritti dal medico curante sono utili e necessari. Sii in salute!
Il 2 febbraio, ha rimosso l'ottavo dente inferiore. La rimozione è durata 2 ore e 30 minuti. L'anestesia è stata aggiunta due volte. La seconda volta ho chiesto (con le lacrime) di aggiungere dalle guance, come si sentiva tutto. Tre volte il dottore è partito per 2-5 minuti per riposare e darmi riposo. Durante la rimozione mi hanno saldato con Corvalol, hanno aperto la finestra (apparentemente vedendo le mie condizioni). Dopo la rimozione, sono stati prescritti risciacquo, antidolorifici e antibiotici. Lunedì ero all'appuntamento del dottore - la mia salute era normale. Ma da martedì ho iniziato a provare un'incredibile debolezza. Saponi spiacevoli su un infarto o una condizione pre-infartuale mi salgono in testa. La temperatura è strana: 36,8 - 36,9, non sale a 37. Vale la pena fare l'allarme? Oggi non sono andato da nessuna parte da casa (per ogni evenienza).
Benvenuti! Non escludo che la tua condizione sia causata da stress ed esperienze emotive. Non è necessario parlare di un significativo processo infiammatorio, altrimenti ci sarebbero forti dolori e febbre alta. Inoltre, prendi antibiotici, il che rende ancora meno probabile la versione dell'infiammazione del foro. Non è necessario pompare troppo te stesso, ma dovresti monitorare le ulteriori dinamiche - se peggiora, devi consultare un medico prima della scadenza designata per l'esame di follow-up. Oppure, se la debolezza è troppo forte, chiama un'ambulanza.
Ciao Dopo aver rimosso il dente del giudizio dal basso (sul lato destro), il labbro e il mento erano intorpiditi. Denti anteriori feriti e forti mal di testa persistono per una settimana. E le labbra sono ancora molto secche. Il mal di testa può essere associato a intorpidimento delle labbra e del mento?
Benvenuti! Dopo un'estrazione complicata di un dente del giudizio, può verificarsi intorpidimento a causa della compressione del tronco nervoso da parte di un ematoma (cioè diffusione del sangue). Molto raramente, una volta rimosso, il medico può danneggiare meccanicamente il fascio di nervi. Penso che questo non sia il tuo caso. Dopo la compressione dell'ematoma, la sensibilità viene di solito ripristinata entro un mese. La cosa più importante qui è la dinamica: dovrebbe essere migliore ogni settimana. Il dolore ai denti anteriori può essere associato all'irradiazione dal foro: è necessario verificarlo per la presenza di alveolite (il medico può anche suggerire di scattare una foto per determinare la pulizia dell'estrazione del dente - se ci sono radici o frammenti rotti nel foro). Assicurati di avere una consultazione a tempo pieno con un medico.
Ciao 21/01/19 Mi hanno rimosso gli 8 inferiori da entrambi i lati. L'operazione era in anestesia generale. I denti crescevano in orizzontale e si trovavano parzialmente nell'osso. Fino ad oggi (18/02/19) c'è un intorpidimento del mento, mal di testa e dolore alla mascella. Sul lato sinistro, l'edema all'interno della cavità orale non è ancora disceso. Mi mordo le guance e per l'ottavo tessuto molle. Bevo costantemente analgesici. Applico l'unguento a base di antibiotici e lidocaina. Un chirurgo maxillo-facciale non vede nulla di sbagliato. C'è qualche dubbio nella sua opinione?
Ciao Olga! Dopo una complessa doppia estrazione dei denti del giudizio, saranno sempre presenti sintomi non molto piacevoli. Risolviamo ogni segno. Quindi, intorpidimento del mento: questo è un risultato frequente della compressione dell'ematoma dei rami del nervo mandibolare. Dal momento che è stata un'operazione profonda e traumatica, questo è del tutto giustificato. Non penso che il chirurgo abbia ferito il tronco stesso del nervo. Questo è molto raro e nella mia memoria non c'erano casi del genere. Ma per quanto riguarda la compressione dell'ematoma (sangue), posso dire che 2-3 mesi sono sufficienti per far passare l'intorpidimento. Di solito questo fenomeno viene a nulla gradualmente - lentamente ma sicuramente l'intorpidimento diminuisce e la sensibilità ritorna.
Mal di testa: questo potrebbe non essere nemmeno il risultato della rimozione stessa, ma il fatto di stress, condizioni generali e benessere compromessi.Sfortunatamente, non so se hai malattie cardiovascolari: potrebbe esserci una connessione tra estrazione dei denti e ipertensione (come opzione per uno stato post-stress).
Per quanto riguarda il dolore alla mascella, le estrazioni traumatiche dei denti sono spesso accompagnate da dolore per diverse settimane. L'unica domanda è la loro intensità. Penso che questo punto dovrebbe essere concordato con il medico, dal momento che il mese di "antidolorifici" è, a mio avviso, un po 'troppo. Per quanto mi morda le guance, è strano per me, dal momento che sono gli ottavi denti che mordono più spesso, e qui sicuramente non ci sono antagonisti, non c'è nulla da mordere. Forse dovresti guardare la posizione di 7 denti. Forse si trovano sul lato della guancia, ed è loro che mordono la guancia.
Per quanto riguarda le prescrizioni del medico, non posso contestarle in contumacia. Ogni medico guida il paziente attraverso un corso individuale di terapia domiciliare. Dubitavo solo di prendere analgesici per quasi un mese e ho controllato il morso delle mie guance. Se gli analgesici sono giustificati, per ridurre il loro effetto negativo sul corpo, puoi scegliere un farmaco che viene assunto 1 volta al giorno (ce ne sono).
Buon pomeriggio Ho tutti e 4 "otto" che hanno iniziato a crescere 11 anni fa. La parte superiore sinistra ha iniziato a fare molto male 10 anni fa, e l'ho rimosso. Tutto è andato alla perfezione, solo quando si è strappato il dente, ma ha ottenuto immediatamente tutto. Circa 1,5 anni fa, l'angolo in alto a destra 8 ha iniziato a farmi male, ho bevuto Ketorol per circa 2 settimane, perché avevo paura di andare per la rimozione. La carie iniziò, le pareti del dente iniziarono a sgretolarsi, il dolore scomparve. Fino a ieri, tutto andava bene.
Ieri mattina, quando ho aperto la bocca e solo un sorriso, ho iniziato a farmi male (in alto a destra 8). Non ho preso niente. Questa mattina il dolore si è intensificato, mentre le pareti dei denti quasi si sbriciolavano (1 mm a sinistra su ciascun lato), nel mezzo la gomma si gonfia, la tocco e fa male. Il dente cresce esattamente con tutti di fila. Mi sono iscritto a un chirurgo dentista, lo raggiungerò solo dopo una settimana, dal momento che tutto è occupato. La guancia è leggermente gonfia, la ghiandola fa male sul lato destro, preme sulla tempia e l'intorpidimento si fa sentire dal viso. È pericoloso? Sarà una settimana o dovrei cercare un altro medico?
Ciao Alexandra! In tale situazione, non dovresti aspettare un'intera settimana in ogni caso, i sintomi da te descritti indicano l'inizio del processo infiammatorio, che in alcuni casi si sviluppa rapidamente. Pertanto, per ridurre il rischio di gravi complicanze, è urgente, ora, consultare un medico.
Abbiamo rimosso la radice degli otto a destra (sulla mascella inferiore) molto rapidamente, in due passaggi. Non c'era quasi sangue. L'anestesia non è passata 9 ore. Sono trascorsi tre giorni: tutto sembra normale, ma l'orecchio destro è bloccato e non sente quasi nulla. È questa la norma e cosa fare in una situazione del genere?
Ciao Natalya! La rimozione dell'ottavo dente sulla mascella inferiore è spesso una procedura piuttosto complicata, durante la quale talvolta l'articolazione temporo-mandibolare viene sovraccaricata - questo può portare a una sensazione di soffocamento nell'orecchio. Se non ci sono dinamiche positive nei prossimi giorni, è meglio consultare un medico per chiarire la situazione.
Buona sera Due otti inferiori sono stati rimossi in anestesia (venerdì). Sul lato destro, è stato necessario rimuovere parte dell'osso. Il medico (chirurgo maxillo-facciale) ha dichiarato di aver praticato il trapano per circa 15 minuti e che per tre giorni è stata in ospedale, decongestionanti e antibiotici gocciolavano e pungevano. Il quarto giorno mi hanno lasciato andare a casa. Il dolore divenne più forte sul lato destro, sul lato sinistro, il gonfiore sulla sinistra dormiva, sulla destra divenne meno. I lividi sono apparsi su entrambi i lati. Dal lato in cui è stato rimosso l'osso, il dolore si è diffuso alle zanne e fa male anche sotto la mascella. Risciacquo con clorexidina.
È normale che faccia più male? Forse il dolore non era così grave in ospedale a causa dei contagocce? Bevo ketalong.
Ciao Svetlana. Suppongo che tu stesso capisca che un aumento significativo del dolore è tutt'altro che normale. Posso dire che le dinamiche negative nel tuo caso richiedono cure mediche immediate, poiché non sono escluse le complicazioni abbastanza pericolose.
Ho rimosso l'8 ku superiore, ho ottenuto una perforazione del seno mascellare. Immediatamente scoperto, ricucito, nessun dolore, guarisce normalmente. Ma teme che il sangue scorra lungo la parte posteriore della gola per tutto questo tempo. Non c'è congestione nasale, il gonfiore è quasi scomparso. Non ci sono praticamente lamentele. Dopo la rimozione, è trascorsa una settimana. È normale che ci sia ancora sangue che scorre nella gola? Cosa fare