
Successivamente imparerai:
- Cosa sono i denti ritardati e quale, in effetti, è l'essenza del problema con loro;
- Per quali ragioni i denti del giudizio spesso non possono scoppiare normalmente e quanto può durare una situazione del genere;
- Se il dente retinato deve essere rimosso, o forse è meglio tenerlo, e il problema in qualche modo "si risolve" da solo;
- I sintomi caratteristici che di solito si osservano con ritenzione del dente;
- Come vengono rimossi i denti del giudizio retinirovannye - la sequenza di azioni di un dentista-chirurgo;
- Cosa puoi aspettarti dopo l'operazione (anche in quei casi in cui la rimozione era difficile);
- E infine, cosa si dovrebbe fare se sorgono improvvisamente gravi complicazioni ...
Un'idea generale di cosa sia un dente trattenuto può essere ottenuta se si tiene conto del fatto che la parola "ritenzione" (retentio) in latino significa "deterrenza", "ritardo" o "ritenzione". Quindi, quando parlano di un dente del giudizio ritardato, si tratta soprattutto di un ritardo nella dentizione o nella violazione del processo di dentizione.
In poche parole, un dente del giudizio retinato è formato da un ottavo dente ma non perforato attraverso l'osso della mascella o della gomma.
Sotto la foto mostra chiaramente che il dente del giudizio ritardato è letteralmente nascosto nella gomma:


nota
Non solo i denti del giudizio possono essere retinizzati. Ad esempio, "zanne superiori" e "premolari inferiori" (piccoli molari) possono "sedersi" nelle ossa o nelle gengive. Ma comunque, sono gli ottavi denti che si rivelano il più delle volte retinati.

Qui è necessario chiarire alcune sfumature. In particolare, tale ritenzione può essere definita un'anomalia di eruzione? Se parliamo di denti del giudizio, la loro non eruzione fino a 25 anni in assenza di corrispondenti problemi in generale non può essere considerata un'anomalia. Più tardi - formalmente è già possibile, poiché otto dopo 25 anni sono normali (per la maggior parte delle persone) scoppiano.
La ritenzione può essere l'eruzione parziale dell'ottavo dente? Quando un dente del giudizio emerge da sotto la gomma con uno o due tubercoli, si ritiene che questo non sia un dente retinato, ma semi-raffinato. Tale semi-protesi ha le sue caratteristiche e talvolta comporta molti più problemi rispetto alla ritenzione stessa - ne parleremo un po 'più tardi.
Se il dente viene retinato, ciò non significa che debba essere rimosso. Ad esempio, ci sono molti esempi in cui l'ottavo dente che "dormiva" per anni divenne improvvisamente attivo e letteralmente nel giro di pochi mesi occupò in modo sicuro il suo giusto posto nella dentatura.
Tuttavia, abbastanza spesso, i denti raffinati pongono ancora seri problemi, che possono influenzare negativamente non solo la dentatura, ma anche in tutto il corpo ...
Perché un dente del giudizio non può tagliare e quanto tempo ci vuole
A volte un dente del giudizio non può tagliare per più di un anno, causando un notevole disagio, mentre ci sono casi di taglio completamente indolore e rapido. Gli esperti discutono ancora sul perché in alcuni casi i denti del giudizio non possano esplodere normalmente.

nota
I denti del giudizio sono considerati formazioni rudimentali (ad esempio, come il coccige, che è il rudimento della coda). Secondo la teoria, quando un uomo primitivo mangiava cibo ruvido, senza un adeguato trattamento termico, ciò richiedeva notevoli sforzi di masticazione da mascelle e denti. Gli ultimi denti (saggezza) hanno scaricato l'estremità della mascella, migliorando significativamente la situazione per quanto riguarda l'efficacia della masticazione.
Oggi, le persone non hanno bisogno di rosicchiare le ossa e mangiare carne cruda da un animale appena ucciso, e quindi si ritiene che l'evoluzione faccia il suo lavoro: se i denti del giudizio non sono quasi più necessari per masticare, allora perché lasciare loro un posto nella mascella? Il punto di vista evolutivo indica che negli ultimi lunghi periodi di tempo, la mascella di una persona si è ridotta in modo significativo, è diventata più compatta e non così spaziosa, il che crea le sue difficoltà quando si tenta di tagliare otto.
Tra i motivi che predispongono alla ritenzione dei denti vi sono i seguenti:
- perdita o rimozione precoce dei denti primari;
- fattore genetico (ereditario);
- denti incompleti;
- povera alimentazione infantile;
- rachitismo e alcune malattie infettive.
... E altri: in alcuni casi, questi fattori possono trasformare un normale germe dentale in un dente retinato.
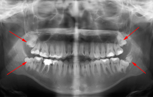
Normalmente, il momento in cui inizia la saggezza della dentizione è di 14-25 anni. Certo, otto possono "arrampicarsi" un po 'prima e molto più tardi, ma la cosa più importante è che questo processo proceda comodamente. Se un dente del giudizio in un adulto continua a esistere per lungo tempo nell'osso, sotto la gengiva, non farà male a controllarne le condizioni (su una radiografia puoi vedere come si trova nella mascella e se in futuro dovrebbero verificarsi problemi).
Il seguente è un esempio di un dente del giudizio orizzontale nella mascella:

Va tenuto presente che alcune persone potrebbero non avere i rudimenti dei denti del giudizio superiori e (o) inferiori (secondo alcuni rapporti, questo è tipico per oltre il 10% degli abitanti del mondo). Di conseguenza, in questo caso, gli otto non scoppieranno mai e non daranno fastidio per tutta la vita.
Feedback di un chirurgo dentale:
“Personalmente, non ho i rudimenti dei 2 denti del giudizio superiori, ma già all'età di 18 anni, i due ottavi inferiori sono scoppiati completamente. L'assenza di saggi superiori è stata scoperta per caso, dopo la tomografia computerizzata associata alla malattia ENT. È stato possibile esaminare l'immagine in dettaglio. Quasi immediatamente, divenne chiaro che non c'erano primordie dei denti superiori della saggezza, il che significa che non dovresti mai aspettare il loro aspetto in superficie.
Svyatoslav, Samara
Quando il rudimento di un dente del giudizio è comunque presente, sorge la domanda abbastanza logica: il settimo non interferirà con la normale eruzione dell'ottavo? Tali paure non sono infondate, poiché sono le sette più spesso che impediscono la comparsa del dente del giudizio, creando i prerequisiti per la sua conservazione.
Diamo un'occhiata a cosa fare con il dente del giudizio retinato: se rimuoverlo subito o puoi in qualche modo aiutarlo a tagliare, nonostante i sette interferenti e altri fattori difficili? ..
Un dente retinato deve essere rimosso o è meglio tenerlo?
È abbastanza comprensibile che poche persone vorranno rimuovere un dente, anche se non riesce a tagliare e per questo la gomma e la mascella fanno costantemente male. E sarebbe bello se il problema nel tempo in qualche modo "risolto" da solo.

È possibile, ed è possibile non fare assolutamente nulla con i problemi di un dente trattenuto senza danneggiare la salute?
Bene, non esiste una risposta universale qui: in ogni caso, la decisione sulla necessità di estrarre i denti deve essere presa individualmente.
Nel caso più semplice - in assenza di lamentele in una persona, nonché con la posizione corretta del dente del giudizio nella mascella (secondo l'immagine) - non ha senso rimuoverlo. Se un dente del giudizio esplode a lungo (non appare dalla gomma), allora questo è il suo "diritto", ed è quasi impossibile accelerare questo processo.
Ora vediamo in quali casi un dente ritardato dovrà ancora essere rimosso con un'alta probabilità. Analizzeremo le situazioni legate solo alla ritenzione del dente del giudizio, senza toccare per ora le semiprotesiche.
Pertanto, ad oggi, si raccomanda la rimozione dei denti del giudizio ritardati per:
- Dolore persistente;
- Fenomeni infiammatori pronunciati;
- La posizione del dente nella cisti follicolare;
- Incapacità di fornire un trattamento ortodontico di qualità;
- Posizionamento errato del dente rispetto alla mascella e (o) al dente adiacente (forte inclinazione verso il 7o dente, parzialmente posizionato sotto di esso, diffusione del dente del giudizio, posizione capovolta, ecc.).
È importante notare che una raccomandazione non implica un'azione obbligatoria.
In pratica, la situazione è di solito tale che nella maggior parte dei casi, il dente retinato dovrà essere rimosso con una cisti follicolare, gravi anomalie della posizione, processi infiammatori purulenti (periostite, ascesso, flemmone, osteomielite, sinusite odontogenica, linfoadenite) e quando il morso è corretto. Tuttavia, l'ultima parola è sempre per il dentista, poiché è lui che è responsabile, come medico, della vita e della salute di ogni paziente.

Feedback di un chirurgo dentale:
"Un folto gruppo di chirurghi maxillo-facciali è contrario agli esperimenti con il tempo che attende il mare: è meglio rimuoverlo prima che uno qualsiasi dei denti trattenuti rovini la vacanza." In generale, questi ragazzi sanno di cosa stanno parlando: ha visto persone così sfortunate al suo ricevimento e ne ha persino operato uno a 55 anni. Mi sono avventurato per le cure di emergenza, ma qualcosa non è cresciuto insieme: per 3 ore di lavoro, le radici non hanno ceduto dopo essere state separate da un trapano o con una serie di ascensori. Di conseguenza, fu mandato in città e lì, invece di tagliare le radici, il paziente fu scavato con uno scalpello per circa un'ora, un professore del Dipartimento di Chirurgia orale e maxillofacciale con gli studenti.
Ma la ragione dell'arrivo di questo paziente complesso (mio buon amico) è che il processo infiammatorio nelle gengive vicino alla proiezione del dente del giudizio è iniziato, sebbene tutti i denti su questo lato siano stati rimossi da tempo. Questo è tutto, ma non tutto: il dente del giudizio in basso a sinistra non è scoppiato fino all'età di 55 anni, e non sarebbe apparso da solo - è solo che questo ottavo, che giace orizzontalmente nella mascella, ha deciso di organizzare il ritiro della paziente "madre di Kuz'kin". Si è scoperto qualcosa di simile alla pericoronite, ma c'era un edema purulento nella gomma con l'aspetto di una fistola, attraverso la quale il pus veniva evacuato quando premuto. Se non ci fosse stato deflusso di pus, allora, forse, la vita gli sarebbe stata salvata molto prima. Va da sé che ha lasciato l'operazione per circa un mese. Cioè, circa 4 settimane dopo l'operazione, ha iniziato a parlare normalmente con il professore, ad aprire la bocca e a mangiare, ma questo non è perché il professore e io abbiamo provato così duramente: ho appena avuto un dente complicato, con la retina, coinvolto in un processo infiammatorio purulento. "
Sintomi di difficile saggezza Dentizione
I denti del giudizio conservati possono rimanere a lungo nella mascella completamente asintomatici. In futuro, tutto dipenderà dai criteri sopra descritti: se un dente non incontra ostacoli sul suo cammino, allora prende un posto normale alla fine della dentatura.

nota
Normalmente, in assenza di fattori complicanti, il dente del giudizio viene tagliato entro 2-3 mesi e, nei casi più gravi, il processo può trascinarsi per 1-2 anni. Inoltre, se qualcosa impedisce l'ottavo, può sospendere la sua "mossa": non è un caso che molte recensioni dei pazienti affermino che il loro dente del giudizio è scoppiato come in diverse fasi.
Spesso, molto prima che la figura otto appaia in superficie, possono verificarsi sintomi spiacevoli che inducono una persona a pensare alla possibile rimozione di un dente ritardato.
Ad esempio, quando le fibre nervose sono vicine al dente del giudizio situato nello spessore dell'osso mascellare, possono essere schiacciate, il che provoca neurite o nevralgia - forti dolori che spesso si irradiano lungo i rami del nervo trigemino.

Inoltre, la ritenzione del dente può causare la comparsa di cisti follicolari attorno ad esso, che, aumentando di dimensioni di anno in anno, possono diventare una fonte di gravi complicazioni (osteomielite, flemmone, ecc.). Nelle forme acute, la temperatura corporea sale a valori elevati e le condizioni del paziente nel suo insieme possono essere molto gravi.
Spesso, sullo sfondo del processo infiammatorio, si osserva un grave edema nell'area del dente retinato.La violazione della simmetria facciale, unita al dolore e alla febbre alta, rende molto chiaro che sta accadendo qualcosa di grave che richiede un intervento urgente da parte di un medico specialista.
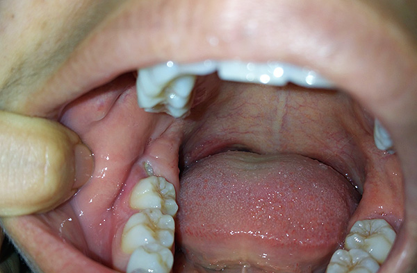
Ora supponiamo che l'ottavo dente abbia attraversato la barriera ossea e che parte della sua corona sia già uscita dalle gengive. A prima vista, può sembrare che il più difficile sia dietro: il dente è quasi tagliato, rimane solo un po '. Tuttavia, in realtà, le cose potrebbero non essere così rosee.
La seguente foto mostra un esempio di un dente del giudizio semi-rinforzato:

Spesso sotto il cappuccio gengivale si accumulano particelle di cibo e batteri, si verifica un processo infiammatorio: la pericoronite. Quando un essudato purulento si forma sotto la gomma, compaiono sintomi che ostacolano la normale vita di una persona: gonfiore nell'area del dente del giudizio, cattive condizioni generali, febbre fino a 38-39 ° C, incapacità di masticare e persino aprire normalmente la bocca, dolore severo, spesso pulsante e irradiante a vari sezioni del viso.
Con tali sintomi, è del tutto possibile comprendere il desiderio di una persona di rimuovere immediatamente un dente semi-dentato e non soffrire ulteriormente. Tuttavia, in una situazione del genere, c'è ancora un modo per aiutare il dente del giudizio a scoppiare senza ricorrere almeno alla rimozione. Si tratta di eccitare il cappuccio gengivale.

nota
Ci sono ancora molti sostenitori del metodo di escissione del cappuccio sul dente del giudizio, che ha parzialmente tagliato. Questa procedura viene spesso eseguita molto più velocemente dell'operazione di rimozione: viene eseguita l'anestesia, una gomma invasa viene asportata con un bisturi, viene inserito un tampone emostatico - circa 10 minuti per l'intera procedura.
Tuttavia, succede anche che questo metodo, specialmente se è impossibile per il dente del giudizio prendere il suo posto nella fila anche dopo aver rimosso il cappuccio, provoca i rischi di ulteriori complicazioni. A volte è necessario asportare il cappuccio ripetutamente. Ecco perché gli oppositori di questo metodo si offrono di rimuovere immediatamente i denti del giudizio con la dentizione difficile.
Come vengono rimossi i denti del giudizio ritardati e quanto tempo può richiedere.
Se l'estrazione del dente retinato è inevitabile (guancia gonfia, forte dolore, trattamento ortodontico), il dentista-chirurgo prende la questione.

Vediamo come tutto ciò accade di solito in pratica e, in particolare, rispondiamo alle seguenti domande scottanti:
- Dovrò sopportare forti dolori?
- Quanto dura di solito una rimozione complicata?
- Tagliano la gomma e tagliano l'osso?
- Saranno suturati o possiamo fare a meno di loro?
Cominciamo con l'anestesia. Molto spesso, la rimozione di un retino e mezzo dente viene eseguita in anestesia locale, cioè una persona è completamente cosciente, ma l'area dell'intervento chirurgico non si sente o quasi non si sente.
Va tenuto presente che alcune persone "si congelano" senza problemi, e qualcuno deve in un modo o nell'altro sperimentare per se stesso che cosa è l'anestesia inefficace. E non importa come le cliniche dentali abbiano elogiato nella pubblicità che tutte le procedure per la rimozione dei denti siano eseguite assolutamente senza dolore, tuttavia, diremo francamente: la rimozione indolore è il risultato di molti fattori, tra cui i seguenti svolgono un ruolo guida:
- La professionalità del medico;
- Qualità anestetica;
- Le condizioni del paziente.

Se il dentista ha abbastanza esperienza, organizza correttamente il suo lavoro e segue la tecnica dell'anestesia, in quasi il 95% dei casi il successo del sollievo dal dolore è garantito. Conoscendo le proprietà degli anestetici e sapendo come lavorare con loro, è persino possibile eseguire un'anestesia di alta qualità con un farmaco domestico economico (un'altra domanda è che questo può essere associato a tempo aggiuntivo e ad un aumentato rischio di reazioni avverse, mentre la scelta dell'anestesia importata adatta per un determinato caso clinico di solito accelera l'inizio del persistente "congelamento").
Le condizioni del paziente svolgono un ruolo altrettanto importante: ad esempio, la presenza di alcol nel sangue e una forte paura possono peggiorare seriamente le condizioni dell'anestesia - questo dovrebbe essere noto a tutti coloro che stanno per fare un'estrazione del dente (non solo una ritenzione).
Rimuovere ("tirare") il dente del giudizio ritardato può richiedere in media 10-15 minuti a 2-3 ore.
Importante da sapere
Oggi puoi trovare pubblicità concentrandoti sulla rimozione molto rapida di denti del giudizio non tagliati o semi-eruttati: dicono, letteralmente nel giro di pochi minuti, il tuo problema sarà risolto.
Quindi, si dovrebbe tenere presente che i chirurghi maxillo-facciali professionisti non inizieranno mai ad affermare in anticipo che la rimozione di un dente del giudizio ritardato sarà semplice e rapida.
Per quanto riguarda il processo di rimozione degli otto pensionati, di solito consiste nei seguenti passaggi:
- Preparazione preliminare (istruzione del paziente, rimozione della placca dentale, trattamento antisettico delle gengive, ecc.);
- Anestesia locale (sebbene in alcune cliniche possano offrire l'anestesia generale, cioè l'anestesia);
- Creazione dell'accesso al dente retinato (incisione della gomma con un bisturi, rimozione del tessuto osseo con taglierine con raffreddamento. In alcune cliniche possono utilizzare un bisturi laser);
- Estrazione di un dente del giudizio da parte degli elevatori o segatura con frese in parti e eliminazione graduale di ogni pezzo. Non aver paura di tagliare un dente dalla mascella, poiché accelera quasi sempre il lavoro 2-3 volte e ti consente di ottenere un risultato positivo in meno tempo. Rispetto alla segatura, è molto più spiacevole scavare un dente retinato con uno scalpello;
- Emostasi (arresto del sanguinamento). Dopo la rimozione, dopo la rimozione possono essere inseriti nel foro preparati a base di osso artificiale (plastica avvolta), una spugna emostatica o turunda con agenti antinfiammatori, analgesici e antisettici.

A volte, affinché la ferita guarisca in modo sicuro, i punti vengono suturati dopo la rimozione del dente del giudizio ritardato. Nella maggior parte dei casi, le suture svolgono un ruolo terapeutico positivo, riducendo il lume della ferita e creando una barriera alla penetrazione del cibo e delle infezioni nel pozzo.
nota
Le suture autoassorbibili sono un piacere più costoso rispetto a quelle convenzionali, ma non è necessario ricontattare il dentista per rimuoverle.

Per quanto riguarda il sanguinamento durante e dopo l'estrazione del dente, di solito è lieve e passa rapidamente. Il fatto è che l'adrenalina viene aggiunta in particolare ai moderni anestetici, che tende a restringere i vasi sanguigni, dopodiché è conveniente per il dentista eseguire una rimozione anche complessa del dente retinato, poiché c'è molto poco sangue perso.
Cosa ti aspetta dopo l'intervento chirurgico, soprattutto se l'estrazione del dente era difficile
Un medico professionista, dopo aver rimosso qualsiasi dente (non solo un dente retinato), fornisce al paziente un memo (il più delle volte scritto) in modo da soddisfare tutte le raccomandazioni necessarie dopo l'operazione.
Di solito, il dentista sottolinea che dopo la rimozione sono possibili:
- Il dolore;
- gonfiore;
- Aumento della temperatura (una reazione protettiva del corpo);
- Disturbo da masticare;
- Apertura della bocca difficile
- Leggero sanguinamento dal buco;
- Disabilità temporanea.
Ecco un esempio di tale promemoria:


Ecco perché l'istruzione per il paziente include un elenco di azioni e farmaci che prevengono le complicanze. Ad esempio, in modo che non ci sia edema postoperatorio, è necessario applicare un impacco freddo secondo uno schema speciale durante il giorno dopo la rimozione. Per eliminare i rischi di complicanze infettive, il medico può prescrivere antibiotici.
Per creare un certo livello di igiene della ferita, è possibile utilizzare spray, gel e unguenti speciali per l'applicazione topica.
La possibilità di assumere antidolorifici è ovvia: per non soffrire di forti dolori per 1-3 giorni dopo l'intervento chirurgico, possono essere necessari analgesici.
Domanda 1. Cosa devo fare se appare un enorme livido sul mio viso dopo la rimozione del dente del giudizio ritardato?
La comparsa di un ematoma sulla pelle nell'area del dente del giudizio rimosso è un fenomeno raro, ma naturale. Molto spesso accade in pazienti che soffrono di ipertensione arteriosa. L'edema post-traumatico si trasforma in un "livido" che, senza ulteriori interventi, diventa giallo e scompare senza lasciare traccia.

Domanda 2. Perché l'intorpidimento del labbro e del mento si è verificato dopo l'intervento chirurgico per rimuovere il dente del giudizio inferiore?
Poiché il dente retinato si trova spesso vicino al nervo mandibolare che passa nello spessore della mascella inferiore, dopo la sua rimozione può verificarsi intorpidimento temporaneo (parestesia), che è spesso associato alla compressione delle fibre nervose e meno spesso con danni ad esse. Il recupero della sensibilità può richiedere da alcune settimane a diversi mesi. La fisioterapia prescritta da un medico può accelerare il processo.
Revisione del paziente:
“6 giorni fa ho rimosso gli otto pensionati dal basso. Un chirurgo femmina con una vasta esperienza rimosso. L'anestesia era normale, è durata a lungo. Gli otto avevano radici storte, quindi doveva essere tagliato. Ho già eliminato gli otto, ma in cima. Come al solito, c'era un leggero gonfiore delle guance. Fino alla notte aspettò che il gelo scomparisse, stanco, si addormentò senza le zampe posteriori. Il mattino seguente, la parte sinistra del mento, metà del labbro, la punta della lingua e la gomma vicino a 5 denti rimasero congelate. Intorpidimento è sentito come pelle d'oca e formicolio sensazioni. Non so cosa fare ora ... "
Oksana, Mosca
Se, dopo l'anestesia locale, il paziente viene più spesso rilasciato dall'ufficio 10-30 minuti dopo l'operazione, quindi dopo l'anestesia devi ancora "sdraiarti". In generale, oggi, la rimozione di un dente del giudizio ritardato in anestesia generale non è rara. Il fatto è che il dentista stesso valuta la complessità della manipolazione imminente e, secondo le indicazioni (o su richiesta del paziente, se non è associato a possibili rischi per la salute), effettua la rimozione in anestesia.
Se sono stati applicati punti (non autoassorbibili), dovranno essere rimossi in seguito. Prima di 6-8 giorni, di solito non vengono rimossi. La rimozione delle suture è quasi sempre indolore: l'anestesia locale è sufficiente.
Per quanto riguarda la velocità di guarigione della ferita, questa è una caratteristica individuale. L'epitelizzazione primaria procede in un periodo da 1 a 3 settimane e la gomma guarisce completamente (levigata) il più delle volte in 5-6 mesi.

La rimozione di un dente del giudizio retinato può rientrare nella categoria che dà a una persona il diritto di "sdraiarsi" a casa, cioè ottenere un congedo per malattia. La tempistica è determinata non solo dal medico chirurgo, spesso anche il dentista è collegato a questa questione nel luogo di residenza.
Commento di un chirurgo dentista praticante:
“Dopo la rimozione del dente del giudizio ritardato dall'insegnante dell'asilo, ha trascorso un paio di giorni nell'ospedale di chirurgia maxillo-facciale con il rilascio di un congedo per malattia per soli 6 giorni. E l'ho esteso di altri 8: spiegherò perché. Poiché l'apertura della bocca era ancora difficile dopo aver rimosso le suture, era necessario estendere, sebbene in generale, la qualità della vita non soffrisse molto. È solo che sarebbe impossibile controllare i bambini con tali disturbi del linguaggio e apertura della bocca compromessa.
Cosa fare in caso di complicazioni
Sfortunatamente, vari tipi di complicazioni dopo l'estrazione di denti retinati non sono così rari e non tutti i pazienti sanno cosa fare in una determinata situazione.

Se analizziamo le recensioni dei pazienti, molto spesso i seguenti 3 punti sono di grande interesse:
- Cosa fare con dolore prolungato?
- Perché dal buco appare un odore sgradevole e come liberarsene?
- I bordi taglienti del foro si dissolveranno da soli?
- E infine, cosa devo fare se è impossibile aprire normalmente la bocca dopo l'estrazione del dente?
Per cominciare, a casa, in termini di trattamento, puoi fare solo ciò che il medico ha prescritto. Se sorgono problemi e il medico praticamente non ha prescritto nulla, allora dovresti correre dal dentista per un consulto o per un aiuto professionale.
Negli appuntamenti del dentista dopo la rimozione di qualsiasi dente, in particolare quello ritardato, appare un analgesico: un anestetico. Tuttavia, alcuni pazienti ritengono che l'assunzione di 3-5 compresse in 1 ora sia normale e non sospettare che ciò possa portare a conseguenze molto più gravi del dolore dopo l'estrazione del dente.

Se il dolore intenso continua e gli antidolorifici non aiutano nel corso prescritto e in dosi regolate, non è necessario aumentare il dosaggio a volte, ma è necessario rivolgersi al medico per un aiuto.
Per quanto riguarda il buco, dal quale può avere un odore sgradevole, quindi, di norma, il problema è risolto da un semplice miglioramento dell'igiene orale:
- Spazzolatura accurata con uno spazzolino morbido (molte persone trascurano questa procedura per il periodo di guarigione della ferita);
- Bagni orali con soluzioni antisettiche (ma non risciacqui attivi, in modo da non lavare il coagulo di sangue dal buco!)
Se c'è un odore sgradevole, ma non c'è dolore, scarico di pus e febbre, allora il 95% possiamo dire che la ferita guarisce normalmente. Se l'odore sgradevole è accompagnato da segni caratteristici di infiammazione, questi sintomi sono più vicini all'alveolite, che viene trattata dal dentista con l'aiuto di un curettage del foro in anestesia locale e l'applicazione (se del caso) di gel o unguenti antinfiammatori.
Dopo una rimozione non accuratamente eseguita del dente trattenuto, i bordi affilati dell'osso alveolico possono essere avvertiti nel foro, che è importante rimuovere nel tempo, cioè levigare i bordi per evitare lesioni gengivali con questi "picchi". Non fare affidamento sul fatto che chiudono rapidamente le gengive o si risolvono da soli. Questa procedura viene eseguita anche da un chirurgo dentale.
Bene, in conclusione, vale la pena notare che a volte dopo aver rimosso un dente del giudizio per diversi giorni può essere difficile aprire completamente la bocca - questa è un'opzione normale, poiché i tessuti coinvolti nell'apertura della bocca sono spesso coinvolti nell'area dell'infiammazione e del gonfiore. Il riposo è necessario per una guarigione confortevole, che alla fine porta alla normale apertura della bocca - il più delle volte entro 2-3 settimane dopo la rimozione complessa.
Sii in salute!
Un video interessante con un esempio della rimozione di un dente del giudizio ritardato inferiore con il taglio preliminare in parti
"Salvezza" della zanna retinata usando le parentesi graffe

Descrizione molto dettagliata e ragionevole. Grazie