Un sito sulle malattie dentali e il loro trattamento

Trattamento dentale

Come rimuovere un nervo da un dente e quali problemi possono sorgere
Come rimuovere un nervo da un dente e quali problemi possono sorgere

La rimozione di un nervo da un dente è una procedura molto importante, che, purtroppo, non sempre va bene per il paziente. Una preparazione impropria per il lavoro con il "nervo" e gli errori medici possono portare a conseguenze terribili, dal terribile dolore durante e dopo l'estrazione della polpa, al sanguinamento dal dente e uno strumento rotto e dimenticato nel canale. Perché è generalmente necessario rimuovere il nervo dal dente, come ciò accade e quali problemi possono aspettarti lungo il percorso - ne parleremo più in dettaglio in modo più dettagliato ...

Cosa fare quando si verifica mal di denti durante la gravidanza
Cosa fare quando si verifica mal di denti durante la gravidanza

Il mal di denti per molte donne in gravidanza è un vero incubo. Almeno perché le future madri non hanno meno paura di andare dal dentista che bere pillole. Di conseguenza, all'inizio i segni lievi di carie e lieve dolore sono completamente ignorati, quindi il dolore si intensifica, spesso sviluppandosi in un problema serio nel tempo. E spesso al momento del parto, quando è già davvero indesiderabile andare dal dentista, una donna incinta sente un mal di denti di tale forza che il parto non le sembra più così terribile. Come comportarsi correttamente se un dente inizia a ferire durante la gravidanza e come può essere rassicurato senza danneggiare il feto in via di sviluppo? In queste questioni continueremo a cercare di capire più in dettaglio.

Sintomi caratteristici di pulpite purulenta acuta e metodi del suo trattamento
Sintomi caratteristici di pulpite purulenta acuta e metodi del suo trattamento

Le persone che hanno dovuto provare i sintomi della pulpite purulenta su se stesse, di solito non dimenticano mai i sentimenti vissuti. E questo è dovuto al fatto che a causa della reazione infiammatoria all'interno del dente e della compressione del fascio neurovascolare con essudato purulento, si verifica un forte dolore che spesso si irradia a varie parti del viso, mascella superiore o inferiore, nella testa. È la mancanza di una chiara localizzazione del dolore che crea un grave problema nel determinare il dente di pulpite dal dentista in fase di diagnosi. Da qui la massa di casi ridicoli quando i denti sani vengono perforati o rimossi per errore. Parliamo di tutti questi punti, nonché di ciò che il paziente dovrebbe e non dovrebbe fare in tale situazione.

Analgin aiuta con mal di denti ed è pericoloso da usare?
Analgin aiuta con mal di denti ed è pericoloso da usare?

Analgin è stato anche usato per il mal di denti dai nostri genitori e nonni. E oggi, questo strumento rimane uno degli antidolorifici più popolari in Russia, sebbene con l'avvento di sostituti più moderni e più sicuri, la sua ex "gloria" si stia rapidamente esaurendo. Successivamente, proveremo a capire quanto sia efficace e appropriato l'uso di Analgin per alleviare il mal di denti, nonché il motivo per cui viene sempre più abbandonato a favore di altri farmaci ...

Forti cospirazioni dal mal di denti: come funzionano e cosa è importante sapere su di loro
Forti cospirazioni dal mal di denti: come funzionano e cosa è importante sapere su di loro

Quando un dente fa molto male e non c'è possibilità o desiderio di fissare un appuntamento con il dentista, vengono utilizzati una varietà di mezzi: dal tentativo di scegliere il proprio dente con un ago, a tutti i tipi di preghiere e cospirazioni. Se una persona è sicura che una cospirazione da un mal di denti lo aiuterà - beh, forse sarà così. Stranamente, ma in alcuni casi funziona: il dolore diminuisce o scompare completamente. Tuttavia, è importante capire qui che anche se il dolore è scomparso, la malattia stessa non scompare e, inoltre, se non trattata, può diventare cronica con gravi complicazioni. Per motivi di curiosità, proviamo a capire quali cospirazioni dal mal di denti sono più spesso praticate nella medicina alternativa e come il loro potere curativo è giustificato ...

Cosa devo fare se mi fa male il dente? ..
Cosa devo fare se mi fa male il dente? ..

Sfortunatamente, possiamo affrontare il mal di denti in qualsiasi momento e a qualsiasi età.Naturalmente, nessun dentista vieterà l'uso dei metodi domestici per sbarazzarsi del mal di denti, se non contraddicono il buon senso e non hanno un effetto dannoso sul corpo. Tuttavia, come dimostra la pratica, molte persone sono completamente inconsapevoli di cosa fare per alleviare correttamente il mal di denti, a volte iniziano un'attività pericolosa per se stessi e rischiano la salute. Bene, è tempo di conoscere metodi popolari e professionali di aiuto in tali situazioni, oltre a saperne di più sui vari meccanismi di mal di denti.

Polpite gangrenosa cronica e moderni metodi di trattamento
Polpite gangrenosa cronica e moderni metodi di trattamento

La polpite gangrenosa cronica è associata al verificarsi di necrosi della polpa irreversibile all'interno dei canali radicolari del dente e può essere curata solo rimuovendo il tessuto in decomposizione del fascio neurovascolare. La trasformazione del tessuto "vivente" in pus è una tendenza molto spiacevole, poiché esiste un grande rischio che tutto questo contenuto vada verso l'apice della radice e fuoriesca nei tessuti circostanti il ​​dente, dove formerà un passaggio fistoloso attraverso il quale il pus si riverserà nella cavità orale o "flusso" sulla gomma. Pertanto, la pulpite cancrenosa è considerata una forma borderline, quando rimane solo un passo prima della parodontite e dell'infiammazione purulenta diffusa ...

Rimedi popolari per un rapido sollievo dal mal di denti
Rimedi popolari per un rapido sollievo dal mal di denti

In generale, i rimedi popolari per il mal di denti sono molto meno efficaci dei moderni prodotti farmaceutici. Tuttavia, in molti casi, coloro che soffrono di dolore ai denti preferiscono ricette popolari piuttosto che varie pillole. E non c'è nulla di sorprendente in questo: è generalmente accettato che i rimedi popolari sono più sicuri e quindi possono essere utilizzati senza danni alla salute. Ma i rimedi popolari sono sempre sicuri? E chi di loro può davvero calmare efficacemente un mal di denti, e quali non daranno un effetto speciale? Scopriamolo ...

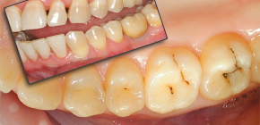
Cosa fare se il dente fa male dopo aver installato le otturazioni (anche dopo aver riempito i canali)
Cosa fare se il dente fa male dopo aver installato le otturazioni (anche dopo aver riempito i canali)

Accade spesso che, a quanto pare, il dente sia già stato curato, sia stato posto un sigillo, ma all'improvviso inizia a far male. Soprattutto spesso il dolore si verifica dopo il trattamento e il riempimento dei canali. È questa la norma e, in tal caso, quanto tempo ci vorrà per sopportare un tale dolore? Perché si verifica questo dolore e può essere pericoloso per eventuali complicazioni? Considereremo ulteriormente le risposte a queste e ad altre domande interessanti ...

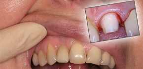
Cosa fare se un dente fa male sotto la corona
Cosa fare se un dente fa male sotto la corona

Sembrerebbe che un dente chiuso con una corona non dovrebbe far male, poiché a causa del trattamento sembra essere murato in una sorta di "sarcofago" che protegge in modo affidabile da influenze esterne. Tuttavia, la vita impone le proprie regole e talvolta ci sono casi di dolore sotto la corona - immediatamente o dopo qualche tempo dopo la sua installazione. Una certa percentuale di dolore passa rapidamente e senza danni a una persona, ma ci sono situazioni in cui un dente sotto una corona o una gomma adiacente ad essa ha bisogno di un serio aiuto per evitare complicazioni come gonfiore delle gengive, fistola con pus, ascessi e osteomielite, che spesso portano all'estrazione del dente . Cosa devi sapere sul dolore sotto la corona, in quali casi puoi alleviare il dolore a casa (e come farlo) e in quali casi è meglio consultare immediatamente un medico, nonché cosa puoi aspettarti in una clinica dentale - tutto questo parleremo più tardi ...

 

 

su

© Copyright 2025 stomatology.expertexpro.com/it/ | chinatownteam2016@gmail.com

Politica sulla privacy | Accordo con l'utente

feedback

Mappa del sito

chirurgia

carie

mal di denti