
Os dentes da criança podem machucar em qualquer idade, mesmo entre 1,5 e 2 anos, quando, ao que parece, eles mal conseguiram entrar em erupção. A causa mais comum de dor de dente é a cárie dentária, que muitas vezes passa despercebida pelos pais do bebê até que um dia a criança começa a se queixar de dor aguda ou dolorida.
Muitas vezes, esse problema pega os pais de surpresa: às vezes à noite, às vezes no fim de semana, quando não há como ir imediatamente ao dentista. Nesse caso, é importante fornecer os primeiros socorros corretamente à criança, pois é possível anestesiar um dente em casa - é importante abordá-lo corretamente para não agravar a situação.
Dependendo da idade da criança e da causa da dor de dente, os métodos de alívio da dor podem variar significativamente. A maioria dos medicamentos que ajudam bem os adultos não pode ser administrada a crianças menores de 12 anos. Para aliviar a dor de dente em bebês, são usados medicamentos especiais para crianças - um pouco mais tarde, vamos considerá-los com mais detalhes.
Nota
Não subestime o enxaguatório bucal usual - água limpa e quente. Nas cáries profundas, a dor geralmente ocorre devido aos efeitos irritantes dos resíduos alimentares que entram na cavidade cariada. Basta enxaguar bem a boca para aliviar significativamente a dor de dente ou até mesmo eliminá-la completamente (se ainda não tiver atingido a pulpite).
Por que uma criança pode ter dor de dente
É útil ter em mente que, embora a cárie seja a causa mais comum de dor de dente, outras patologias também podem causar dor na cavidade oral da criança:
- Lascamento e destruição do esmalte dos dentes (se o bebê tiver caído recentemente e um ou vários dentes puderem ser danificados);
- Pulpite e periodontite (geralmente acompanhadas de dor espontânea aguda, que não pode ser removida enxaguando a boca);
- Fluxo (processo inflamatório purulento na área do periósteo do dente - visualmente parece um nódulo na gengiva);
- Abscesso (toda a bochecha pode inchar muito);
- Complicações após o preenchimento do dente (se você visitou recentemente o dentista que preparou o dente) ...

Além de dentição, gengivite, estomatite e outros fatores.
Quanto à cárie, causa dor paroxística dolorida ou aguda. Primeiro, ele aparece como uma reação a um resfriado, quente ou doce, e depois de alguns minutos desaparece (por exemplo, o dente de uma criança pode doer logo após comer e depois a dor desaparece por conta própria).
Com um dano profundo no dente, a dor pode aparecer independentemente da ação dos estímulos e não durar muito.
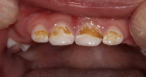
Danos causados por dentes cariados podem ser reconhecidos pelos pontos escuros característicos (amarelo, marrom, preto) nos dentes. Mesmo que o ponto escuro pareça pequeno, é possível que por baixo dele haja uma cavidade cariosa extensa que atinge a câmara pulpar do dente (o “nervo” do dente está nesta câmara), o que causa dor intensa.
A foto abaixo mostra um exemplo de cárie profunda em uma criança:

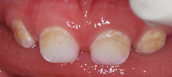
A cárie pode se desenvolver nos dentes do bebê, mesmo em bebês. A chamada cárie de "mamadeira" ocorre em crianças de 0 a 4 anos devido à higiene bucal insuficiente. Começa com manchas brancas na base do dente (nas gengivas) e se espalha rapidamente por todos os dentes.
A foto abaixo mostra como a cárie em garrafa pode parecer no estágio inicial:

E assim os dentes do bebê podem parecer se a situação começar:

Nota
Nos dentes de leite, a cárie geralmente se desenvolve muito mais rapidamente do que nos molares (permanentes). Literalmente em 2-3 meses, a cárie superficial pode se transformar profunda.
A cárie profunda, se não puder ser curada a tempo, pode levar ao desenvolvimento de pulpite - inflamação dos tecidos moles do dente. Se a infecção não for eliminada nesta fase, ela pode ir para a raiz do dente com o desenvolvimento de periodontite. Ambas as doenças são acompanhadas de fortes dores agudas e latejantes, que podem se espalhar por toda a mandíbula, laringe e orelha. Além disso, uma reação a estímulos de temperatura e exacerbação à noite e à noite é característica.

Às vezes, a dor de dente aparece após o tratamento por um dentista. Pode haver várias razões para isso, e a mais comum delas:
- Danos à polpa dentária (por exemplo, superaquecimento durante a preparação, embora isso seja muito raro atualmente);
- Alergia ao material de enchimento.
Em alguns casos, a dor pode desaparecer sozinha em alguns dias ou uma semana; em outros, pode ser necessário reabrir o dente e substituir os recheios. Portanto, se a dinâmica positiva não for observada, é importante mostrar novamente a criança ao médico. Pode ser necessário um raio-x para esclarecer o diagnóstico.
Doenças purulentas - fluxo, abscesso também podem provocar dor de dente grave. Eles são facilmente reconhecíveis pelo inchaço das gengivas e pela formação de inchaços perto do dente doente. Em casos graves, o rosto do bebê pode se tornar assimétrico, a temperatura do corpo aumenta - em uma situação tão perigosa, é importante consultar imediatamente um médico.
Nota
Se a criança tiver uma bochecha inchada, mas nenhum dente estiver doente, isso pode ser um sintoma de gengivite, linfadenite, inflamação do nervo facial ou glândulas salivares, reação alérgica e algumas outras doenças. E aqui também é importante entrar em contato com um pediatra o mais rápido possível.
Sobre o perigo de tais condições
Ao contrário da crença popular, a cárie nos dentes decíduos precisa ser tratada, mesmo que eles caiam em breve. Em primeiro lugar, o processo carioso pode aprofundar-se e atingir o "nervo" - isso levará a fortes dores. Em segundo lugar, uma infecção (com periodontite, por exemplo) pode se espalhar para os rudimentos dos molares que ainda não entraram em erupção e danificá-los permanentemente.
Além disso, a perda prematura de dentes de leite leva a lacunas na dentição e pode provocar a formação de uma mordida incorreta. Não se esqueça dos problemas psicológicos que acompanham, muitas vezes acompanhando crianças com dentes ruins (o bebê fica com vergonha dos dentes “podres”, com medo de sorrir por anos, ele é constantemente provocado pelos colegas).


A maneira mais fácil de curar a cárie dentária no estágio inicial de seu desenvolvimento. Com cárie profunda e, principalmente, pulpite e periodontite, é necessário um tratamento mais complexo.
Com patologias purulentas (fluxo, abscesso, fleuma) sem tratamento, a doença pode se espalhar para os dentes saudáveis vizinhos, levando à sua mobilidade. Em casos difíceis, isso pode levar à perda do dente.
Nota
Se uma dor de dente atormentou a criança por vários dias e depois parou abruptamente, isso não significa que a doença tenha passado. Como regra, o alívio se deve ao fato de a polpa do dente ("nervo") morrer - portanto, a sensibilidade desaparece. É importante entender que a infecção não desapareceu - o feixe neurovascular necrótico dentro da câmara pulpar começa a se decompor com a formação de pus, que formará o foco da inflamação na raiz do dente.
Não menos perigosa é uma doença como a gengivite (doença gengival). Quando seus sintomas aparecem, muitos consideram o problema insignificante e se recusam a visitar um médico, preferindo tratar a criança em casa. Com o tratamento inadequado da gengivite, ela pode se tornar crônica, causando abscessos nas gengivas e ossos da mandíbula. Enquanto isso, com o tratamento adequado, a doença desaparece em 1-2 semanas.
A seguir, situações em que o bebê deve ser mostrado ao médico:
- Cárie dentária explícita com cárie;
- Dor aguda em um dente ou gengiva;
- Dor dolorosa no dente que não desaparece por muito tempo;
- Inchaço das gengivas ou aparecimento de inchaços nela;
- O aparecimento de úlceras na cavidade oral;
- Inchaço da bochecha (mesmo sem dor).
Não adie a visita ao médico, acreditando que você só precisa esperar um pouco - e os dentes de leite cairão eles mesmos. Nas crianças, o esmalte dos dentes é mais fino que nos adultos e, além disso, é menos mineralizado; portanto, a cárie dentária geralmente se desenvolve rapidamente, levando rapidamente a complicações. Portanto, mesmo quando manchas brancas ou pequenas manchas marrons aparecem nos dentes do bebê, é absolutamente necessário consultar um dentista.
A foto abaixo mostra cárie de dentes decíduos no estágio inicial:

A prática mostra que, às vezes, os pais administram um medicamento anestésico a uma criança com a expectativa de que o medicamento alivie a dor e elimine a necessidade de visitar um dentista (porque é muito estressante para a criança). Depois de tomar o medicamento, o bebê pode realmente melhorar, no entanto, analgésicos não curam a doença, mas apenas reduzem temporariamente a gravidade dos sintomas.
Portanto, se os dentes do bebê reagem a calor e frio, ou ele costuma se queixar de dor em um dente, é melhor não ir ao dentista adiar. Nos estágios iniciais da cárie, é muito mais fácil tratar do que com o aparecimento de suas complicações.
Primeiros socorros para uma criança com dor de dente
Em casa, cárie ou pulpite não podem ser curadas, mas é bem possível reduzir a síndrome da dor associada. A escolha dos fundos depende muito da idade da criança - alguns medicamentos são adequados para crianças a partir dos 3 meses, enquanto outros são contra-indicados até os 12 anos.

Vale ressaltar novamente que muitas vezes a dor de dente pode ser removida lavando a boca com água morna e limpa. Quando a criança envelhece e pode enxaguar a boca sozinha, você pode usar soluções especiais.
Ao escolher um anestésico, você precisa estudar cuidadosamente as instruções de uso, prestar atenção às contra-indicações e efeitos colaterais. Se não for possível levar a criança imediatamente a uma consulta, se possível, é melhor consultar um médico pelo menos por telefone.
Portanto, considere os medicamentos que são comumente usados para aliviar a dor de dente em crianças ...
Como ajudar uma criança de 3 meses a 12 anos
Para dor de dente e gengiva em crianças de 3 meses a 12 anos, geralmente são usadas como medida de emergência:
- Preparações à base de paracetamol: Panadol, Efferalgan, Cefecon e alguns outros;
- Preparações à base de ibuprofeno: Nurofen (em calda e supositórios), Ibuprofeno.


O paracetamol fornece efeitos analgésicos, anti-inflamatórios e antipiréticos. Começa a agir em cerca de 20 minutos, e o efeito dura até 6 horas.
Medicamentos à base de ibuprofeno também são populares. Por exemplo, crianças a partir de 3 meses na ausência de contra-indicações podem usar Nurofen em xarope ou supositórios (Nurofen em comprimidos é usado em crianças acima de 12 anos).
É muito importante observar as dosagens recomendadas nas instruções e não excedê-las, mesmo que a dor de dente não desapareça. Além disso, é impossível usar medicamentos diferentes em paralelo com base em uma substância ativa, pois isso pode provocar uma overdose.
Nota
Nas crianças, apenas 20 dentes decíduos crescem. Os primeiros aparecem após 6 meses, e os últimos por 3-4 anos. Eles começam a cambalear e caem aos 5-6 anos de idade. Essa idade é responsável pelo maior número de casos de dor de dente, cárie dentária e visitas a dentistas.
A dentição dolorosa em um bebê também pode trazer muitos problemas. Nesse caso, o seguinte é comumente usado:
- Pomadas e géis dentários à base de lidocaína: Kamistad, Kalgel e outros;
- Geles homeopáticos: Holisal, Traumeel-S, etc;
- Gotas dentárias para crianças: Dantinorm Baby, Fenistil, etc.

Alguns géis e pomadas são adequados para crianças a partir de 3 meses, são usados para aliviar dores durante a dentição. No caso de cárie ou pulpite, são ineficazes, embora, se contenham lidocaína, ajudem a reduzir ligeiramente a dor aguda. - o efeito, por via de regra, persiste por meia hora. Esses géis às vezes são usados para ajudar rapidamente um bebê antes de visitar um dentista.
Para dentição dolorosa, o Kamistad gel é adequado para crianças. Seus principais componentes são a infusão de lidocaína e camomila. É utilizado para doenças da cavidade oral e dentição. Aplique o gel nas gengivas 3 vezes ao dia.
Nas doenças inflamatórias das gengivas em crianças com mais de 3 anos, o gel dental Cholisal é popular, cuja substância ativa é o salicilato de colina. Devido à sua consistência espessa, dura mais tempo nas gengivas, mergulha profundamente no tecido e fornece um efeito analgésico por cerca de 2 horas. Pode ser usado até 3 vezes ao dia. Com dor de dente no fundo de cárie ou pulpite, Holisal é absolutamente ineficaz.
Dantinorm Baby Tooth Drops é um remédio homeopático. Eles são usados para dentição dolorosa em bebês, mas não aliviam a dor durante cáries ou pulpites.
Ao escolher o medicamento ideal, é recomendável consultar um médico.
Alívio da dor de dente em crianças acima de 12 anos
Após 12 anos, as crianças podem tomar muitos medicamentos para adultos, apenas em doses mais baixas. Por exemplo, com dor de dente, eles são geralmente usados: Nurofen (em comprimidos ou cápsulas), Nise (comprimidos), Tempalgin, Ketanov, Ketorol, o mesmo Paracetamol (comprimidos). Ibuprofen et al.


Às vezes, com dor leve, o Analgin ainda é usado, embora em muitos países do mundo seja proibido o uso deste medicamento devido à possibilidade de efeitos colaterais graves. Seja como for, não vale a pena aplicar o comprimido de Analgin a um dente doente, como é recomendado na medicina tradicional, pois o medicamento pode destruir o esmalte (o mesmo se aplica à aspirina).
A aspirina e o Baralgin ajudam na dor de dente leve ou moderada.
O paracetamol é frequentemente usado em crianças, possui menos contra-indicações e também possui efeitos anti-inflamatórios e antipiréticos. No entanto, vale ressaltar que, como anestésico, o paracetamol não é muito eficaz e, por exemplo, com dor de dente aguda em meio à pulpite, o efeito pode ser claramente inadequado.
Os medicamentos à base de ibuprofeno são muito populares hoje em dia: Nurofen, Ibuprofen, Solpafleks e outros. Eles têm um efeito rápido e poderoso, mas têm uma lista bastante ampla de contra-indicações e efeitos colaterais. Em crianças, esses medicamentos e outros medicamentos baseados em anti-inflamatórios não esteróides (AINEs) devem ser usados com muito cuidado.
Medicamentos à base de nimesulida também ajudam a aliviar rápida e efetivamente a dor de dente: Nise, Nimesil, Nimid e outros. Eles são produzidos na forma de comprimidos e saquetas, que são dissolvidos em água. Esses medicamentos proporcionam uma redução significativa de até dores intensas em cerca de meia hora. Permitido para crianças a partir de 12 anos.

O medicamento Ketanov (ou seu análogo Ketorol) também ajuda a se livrar da dor intensa, mas é contra-indicado em crianças com menos de 15 anos de idade. Ketanov começa a agir dentro de 1 hora, e o efeito dura até 6 horas e, em termos de força de ação, excede todas as ferramentas acima. Além do efeito analgésico, também possui efeito anti-inflamatório. A dose recomendada para adultos é de 1 comprimido por dia, com dor intensa, a dose pode ser repetida uma vez 6 horas após o primeiro.
Nota
Deve-se ter em mente que, devido às características individuais do corpo e às especificidades da patologia, às vezes, ao que parece, uma droga forte pode aliviar mal a dor, e uma droga mais fraca, pelo contrário, é mais eficaz.Isso acontece muito raramente, mas se o medicamento obviamente não funcionar, você não deve aumentar sua dose e tentar usá-lo repetidamente - é melhor tentar outro remédio.
Às vezes, géis e pomadas com lidocaína ajudam a aliviar a dor de dente - eles têm um efeito analgésico muito rápido, mas não dura muito (geralmente não mais que 30 minutos). A lidocaína também é liberada na forma de um spray, que é pulverizado em torno de um dente doente ou aplicado a um pedaço de algodão e aplicado na gengiva ou dente (dependendo do que dói). É importante ter em mente que a criança pode ser alérgica à lidocaína; portanto, use esses fundos, principalmente pela primeira vez, o mais cuidadosamente possível.
O que é útil considerar ao usar remédios populares
Existem muitas receitas de medicina tradicional que são usadas para reduzir a dor de dente. Alguns remédios são realmente eficazes, enquanto outros dificilmente valem a espera.
Com dor de dente e um processo inflamatório na cavidade oral, é realmente possível aliviar a condição lavando com decocções de ervas medicinais. Na ausência de alergias, elas podem ser usadas em crianças desde tenra idade. O principal é que o bebê seja capaz de enxaguar a boca e não engolir a solução. As crianças menores podem receber água morna na boca. Como observado acima, isso geralmente ajuda a aliviar a dor.

A solução clássica para enxaguar a boca é preparada com água e sal (menos frequentemente - bicarbonato de sódio). Uma colher de chá de sal deve ser mexida em um copo de água fervida. Com esta ferramenta (a saber, quente), lave a cavidade oral cerca de uma vez a cada meia hora. O sal tem um efeito antimicrobiano, ajuda a reduzir a inflamação e evita a propagação de bactérias.
Na medicina tradicional, casca de sálvia, camomila, carvalho ou álamo tremedor também são usadas. Os médicos permitem remédios à base de plantas em crianças pequenas, se não houver alergia. Antes de preparar esta ou aquela decocção, você precisa se familiarizar com as instruções para usar a coleção de ervas. Também vale a pena considerar que esses medicamentos não aliviam a dor de dente aguda, são frequentemente utilizados em terapia complexa para o tratamento de processos inflamatórios, além de outros medicamentos.

Nota
Pode parecer surpreendente, mas por alguma razão alguns métodos folclóricos duvidosos para aliviar a dor de dente ainda estão desfrutando de alguma popularidade. Por exemplo, é recomendável inserir a raiz da banana na orelha, colocar um pedaço de própolis na cavidade cariosa, colocar um dente de alho no pulso, etc. Escusado será dizer que, na prática, esses métodos não funcionam. E também não espere curar o dente de uma criança com conspirações - uma opção muito mais correta e eficaz seria visitar um dentista.
O que não pode ser feito com dor de dente
Apesar do fato de que na maioria dos casos os dentes doem em crianças devido à cárie, muitas outras doenças também podem causar dor. Determinar com precisão a causa em casa pode ser bastante problemático, e é por isso que um médico deve fazer isso. E a tarefa dos pais é ajudar a criança em casa antes de visitar a clínica odontológica, sem cometer erros grosseiros, que não só podem agravar a dor, mas também podem provocar o desenvolvimento adicional da doença.

Então, com dor de dente:
- Não se deite do lado de um dente doente;
- Não deite na bochecha inchada;
- Não aqueça o local dolorido do lado de fora (enxágües quentes são aceitáveis, mas aplicar uma almofada de aquecimento na bochecha do lado de um dente doente é fortemente desencorajado);
- Não dê ao seu filho alimentos muito quentes ou frios, doces e duros. É melhor alimentar a criança com alimentos macios à temperatura ambiente;
- É proibido dar a crianças pequenas Analgin, Citramon, Ketanov e outros medicamentos contraindicados antes dos 12 anos de idade;
- Você não pode administrar anestesia à criança por muito tempo, esperando que o dente caia em breve;
- Você não pode adiar uma visita ao dentista se a dor de dente aguda da criança tiver diminuído ou mesmo desaparecido. A cárie em si não desaparece e as doenças inflamatórias podem entrar em uma forma crônica.
O que aguarda o bebê na consulta do dentista
Sabe-se que, ao visitar médicos, as crianças costumam se comportar longe do que seus pais gostariam: uma criança pode chorar, gritar, sair, morder ...

Algumas técnicas podem reduzir o nível de estresse no bebê e impedir a formação de trauma psicológico.
Antes de visitar a clínica, o bebê precisa saber que o médico examinará os dentes, os limpará e os tratará, mas é melhor omitir todos os detalhes. Não vale a pena dizer que não vai doer, porque mesmo uma injeção de anestesia pode parecer dolorosa para a criança e ela se sentirá enganada.
É necessário levar a criança precisamente ao dentista pediátrico que sabe como encontrar uma abordagem e tranquilizar o bebê (embora mesmo isso nem sempre funcione). Pode haver muitos brinquedos em seu escritório, e na parede em frente à poltrona há uma tela com desenhos animados. Para dissipar a ansiedade da criança, geralmente a recepção não começa imediatamente com o tratamento. A criança tem a oportunidade de olhar em volta e encontrar um médico.

Importante saber
Se a criança começa a ser caprichosa e não é possível acalmá-la, não é necessário realizar o tratamento à força para que não haja trauma psicológico e que se forma um medo constante. Melhor sair e marcar uma consulta para uma segunda consulta.
Nas clínicas odontológicas de algumas crianças, os psicólogos trabalham para ajudar a criança a se preparar mentalmente para o tratamento odontológico.
Em casos difíceis, quando a criança está muito inquieta ou com um tratamento longo e difícil à frente, ela pode ser realizada sob anestesia geral ou sedação.
A sedação é realizada, por exemplo, usando uma mistura de oxigênio e óxido nitroso, que é inalada através de uma máscara. Com sedação leve, a criança permanece consciente, mas relaxa e se acalma, e com sedação profunda, afunda no sono. A sedação é usada para crianças a partir de três anos.
Se a sedação não for adequada, a criança poderá sofrer anestesia geral, se indicado. Os medicamentos modernos têm muito menos contra-indicações e efeitos colaterais do que aqueles usados anteriormente. O uso de anestesia ou sedação não afeta a saúde física ou psicológica do bebê. Ele recupera a consciência imediatamente após o procedimento.
Para anestesia local, são utilizados anestésicos. Além disso, antes da injeção, o médico pode anestesiar as gengivas da criança com um spray ou gel de novocaína para excluir qualquer dor, mesmo com a introdução de uma agulha.
Nota
Dentes de prata às vezes são usados em dentes de leite. O prateamento não cura a cárie dentária, mas esse procedimento preventivo nos estágios iniciais ajuda a impedir o processo de cárie de se espalhar pela superfície do esmalte ou entre os dentes adjacentes. O dente é tratado com um produto à base de nitrato de prata, pelo qual adquire uma cor cinza ou preta. O procedimento é repetido 3-5 vezes.
O prateamento é indolor e facilmente tolerável pelas crianças; no entanto, com um nível insuficiente de higiene bucal, esse procedimento praticamente não terá efeito - os dentes continuarão a deteriorar-se ativamente.
Prevenção de cárie em crianças
Você precisa cuidar da saúde dos dentes da criança imediatamente após a dentição. Sem os devidos cuidados, a cárie de mamadeira se desenvolve muito rapidamente nos bebês, que progridem ativamente e geralmente se espalham por todos os dentes. Para evitar isso, você precisa limpar os dentes com uma ponta do dedo especial (vendida em uma farmácia).

É muito importante ensinar uma criança a escovar os dentes desde tenra idade. Hoje existem muitas escovas de dentes e pastas para crianças com gostos diferentes, e todo o procedimento pode ser facilmente transformado em um jogo divertido.O bebê deve escovar os dentes duas vezes ao dia e enxaguar a boca com água limpa - após cada refeição.
Segundo muitos pais, foi possível ensinar uma criança a escovar os dentes de forma independente e adotar esse hábito de 2 a 4 anos.

Para limpar os espaços entre os dentes, você precisa de fio dental ou irrigador. Existem fios especiais para crianças que o bebê usará facilmente por conta própria.
Não esqueça também que para a saúde dos dentes é importante não apenas a higiene, mas também a nutrição adequada. Com a falta de vitaminas e minerais, o esmalte dos dentes pode se tornar mais fino, o que leva ao aparecimento e desenvolvimento de cáries.
Como medida preventiva, você precisa visitar um dentista com uma criança a cada 6 meses. Nos estágios iniciais da cárie, é possível notar seu foco apenas no esmalte durante um exame profissional. Portanto, quanto mais cedo a criança visita o dentista, menor o risco de desenvolver patologias graves.
Seja saudável!
Como preparar seu filho para um dentista
Vídeo útil: por que é tão importante tratar os dentes de leite a tempo

