Um site sobre doenças dentárias e seu tratamento

Cárie

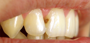
Cárie média
Cárie média

Freqüentemente, uma pessoa começa a pensar em visitar um dentista apenas quando o processo de cárie, após a destruição do esmalte dentário, chega à dentina localizada abaixo dele - na maioria desses casos, estamos falando da chamada cárie média. Simplificando, não é mais inicial, mas também não é muito profundo. No entanto, apesar de sua gravidade moderada, essas cáries podem causar muitos problemas a uma pessoa, e a dor de vários irritantes é apenas uma pequena parte dos possíveis problemas ...

Quanto custa curar a cárie e que fatores afetam o preço
Quanto custa curar a cárie e que fatores afetam o preço

Muitas pessoas têm certeza de que uma visita ao dentista, mesmo com o objetivo de tratar cáries comuns, “custará um centavo bonito”, portanto, elas estão prontas para suportar uma dor de dente até o último momento. Nesse caso, é útil saber que a transformação gradual de um sorriso saudável em uma cerca de piquete acaba por custar uma ordem de magnitude mais cara do que a instalação oportuna de um selo. Em seguida, falaremos sobre quanto custa o tratamento de cárie hoje, como o grau de negligência do processo cariado afeta o preço final e como proteger sua carteira do apetite de dentistas excessivamente ativos (em alguns casos) ...

Métodos de tratamento para cárie inicial na fase de uma mancha branca
Métodos de tratamento para cárie inicial na fase de uma mancha branca

Nos estágios iniciais da desmineralização do esmalte dentário, o processo de cárie geralmente se manifesta como pontos brilhantes característicos na superfície dos dentes - essa é a chamada cárie no estágio do local. Tais alterações patológicas no esmalte são especialmente claramente visíveis no grupo frontal dos dentes. Hoje, as abordagens para o tratamento de cárie no estágio de uma mancha branca podem variar significativamente, e muito disso depende do nível da clínica e do profissionalismo do médico - alguns médicos podem sugerir não tocar o local, outros oferecerão terapia remineralizante com géis especiais e verniz fluoretado aplicados ao esmalte dos dentes. Opções alternativas também são possíveis: tratamento de cárie inicial por infiltração (usando a tecnologia Icon), alargamento convencional de um local com enchimento ou até a fabricação de facetas para corrigir a “fachada” como um todo. Então, o que fazer com o surgimento repentino de pontos leves de cárie nos dentes e o tratamento é realmente necessário nesse caso? Vamos descobrir ...

Cárie de cimento: das manifestações clínicas aos tratamentos modernos
Cárie de cimento: das manifestações clínicas aos tratamentos modernos

A cárie de cimento radicular é um problema sério para muitas pessoas, e isso se deve em grande parte às especificidades da destruição cariosa sob a gengiva, quando a detecção oportuna da patologia é bastante problemática. A maioria das pessoas não consegue perceber de maneira independente e oportuna um defeito radicular, especialmente quando ele se desenvolve sem cáries por cárie na região cervical - no esmalte visível ao olho. O processo de cárie latente geralmente leva a situações difíceis: a ocorrência de complicações da cárie - pulpite e periodontite, até a ruptura da coroa do dente morto e sua remoção. Graças às modernas capacidades de diagnóstico e ao tratamento da cárie de cimento, surgiram métodos para preservar os dentes por um longo tempo. Quais técnicas e materiais são usados, fatores de risco para o desenvolvimento dessa patologia, a escolha de uma clínica confiável para tratamento - falaremos sobre isso e muito mais.

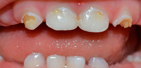
O que fazer se a cárie aparecer nos dentes da frente
O que fazer se a cárie aparecer nos dentes da frente

Muitas pessoas pensam no problema da cárie apenas quando começa a estragar uma vida normal. Muitas vezes, isso nem mesmo está associado à dor de vários estímulos (frio, doce), mas à cárie nos dentes da frente, quando as pessoas ao nosso redor começam a ver por trás dos dentes ruins, não apenas o nível de saúde dental, mas também o padrão geral de vida e cultura de uma pessoa.Se esse for o seu caso, ou você simplesmente entende que os dentes da frente já estão longe de serem perfeitos e você precisa fazer algo com eles - é hora de aprender mais sobre isso ...

Sobre cárie profunda: fotos, sintomas e diagnóstico
Sobre cárie profunda: fotos, sintomas e diagnóstico

Se houver dor no dente e mesmo se for detectada cárie profunda, muitas pessoas não correm para o dentista, mas tomam outra pílula para dor de dente e esperam que ela desapareça sozinha ou, como se costuma dizer, resolverá. No entanto, o aparecimento de dores regulares severas, uma violação da estética (se os dentes da frente são destruídos), uma sensação de halitose constante - tudo isso nos leva, mais cedo ou mais tarde, a pensar no problema e sua solução. Nesse caso, frequentemente não há informações verdadeiras suficientes sobre os sintomas característicos de cárie profunda, manifestações clínicas, métodos de autodiagnóstico e características do tratamento para preservar o dente. Isso e muito mais serão discutidos mais adiante.

Métodos de prevenção de cárie em crianças
Métodos de prevenção de cárie em crianças

A urgência da prevenção de cárie em crianças é confirmada por sua alta frequência de pré-escolares, que hoje atinge quase 70% em bebês de 4 anos na Rússia, 80% em crianças com 5 preguiçosos e quase 90% em crianças de 6 anos. Entre as crianças em idade escolar, a situação não é muito melhor, uma vez que a cárie não tratada antes da escola causa mais e mais problemas na cavidade oral. Para prevenir a cárie já no período pré-escolar, foi desenvolvido um sistema abrangente de prevenção, voltado não apenas para crianças em idade pré-escolar, mas também para crianças em idade escolar. Baseia-se na formação da motivação de uma criança para manter dentes saudáveis, na consolidação de habilidades adquiridas em relação aos cuidados com dentes e gengivas, além de manter um alto nível de saúde bucal ao longo da vida. Por onde começar a profilaxia da cárie em crianças e quais métodos e meios usar para isso - vamos falar sobre isso e conversar ...

Métodos eficazes para a prevenção de cárie dentária
Métodos eficazes para a prevenção de cárie dentária

Para o deleite dos dentistas, hoje mais e mais pessoas estão começando a pensar na prevenção de cáries, a fim de manter os dentes saudáveis ​​pelo maior tempo possível e adiar as próteses pelo maior tempo possível. Infelizmente, porém, o estilo de vida associado à falta de higiene, ao consumo muito frequente de doces, bem como às condições ambientais, genética e outros fatores criam todas as condições necessárias para o desenvolvimento de cárie em um adulto moderno. E se você multiplicar esses fatores predisponentes por uma constante falta de tempo, teremos uma situação em que o atendimento odontológico é frequentemente procurado em caso de emergência. São situações em que se torna simplesmente insuportável suportar a dor: nesses casos, geralmente os dentes não podem mais ser salvos. A cárie permanente e a extração múltipla de dentes resultam em dentaduras removíveis (“mandíbulas falsas”), doenças da articulação temporomandibular (trituração, estalido, dor, incapacidade de abrir a boca), expressão facial senil (rugas associadas à ausência de parte ou de todos os dentes) e etc. Você precisa disso? Portanto, é improvável que examinemos mais de perto os métodos modernos de prevenção de cárie dentária, que são úteis para todos os adultos.

O que é importante saber sobre a cárie de dentes decíduos em crianças pequenas
O que é importante saber sobre a cárie de dentes decíduos em crianças pequenas

A cada ano, o problema da cárie de dentes decíduos está se tornando mais urgente devido ao aumento da prevalência e intensidade do desenvolvimento desta doença em crianças, principalmente na faixa de 2 a 3 anos. Os dentes de leite ainda não são suficientemente mineralizados, nem tão densos quanto permanentes; muitas vezes em pouco tempo, não apenas um, mas também muitos dentes são destruídos. Parece que a cárie bastante inofensiva nos dentes do bebê, se não tratada, pode se transformar em um verdadeiro desastre para a criança e seus pais.O que é importante para os pais saberem sobre a cárie em crianças pequenas e como evitar complicações sérias - vamos falar sobre isso com mais detalhes ...

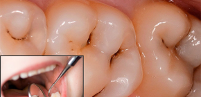
Como a odontologia é tratada hoje em dia na odontologia
Como a odontologia é tratada hoje em dia na odontologia

Tentativas de tratar cárie dentária foram feitas há 8 mil anos: os cientistas descobriram os crânios de pessoas com dentes perfurados usando uma ferramenta manual. E o famoso médico persa Avicenna, por exemplo, na verdade curou lesões de cárie com a ajuda de uma mistura de fumaça de gordura branqueada, de cebola e de cabra. Desde então, a medicina avançou muito e hoje os métodos modernos de tratamento da cárie oferecem várias abordagens, dependendo da natureza do processo cariado, do estágio, da escolha do material de enchimento, do nível da clínica e do profissionalismo do médico. Para uma melhor compreensão das principais etapas do procedimento de tratamento e suas nuances interessantes, vamos considerar este tópico com mais detalhes.

 

 

É lamentável, mas a maioria das pessoas conhece a cárie desde a primeira infância. Além disso, muitos consideram isso a norma: uma criança pequena com dentes cariados não surpreende ninguém. Essa atitude, em muitos aspectos, leva ao fato de que, em um adulto, uma pessoa tem muitos recheios na boca (e um pouco mais tarde - até seus próprios dentes podem não ser um conjunto completo).

É importante entender que você precisa cuidar dos dentes e protegê-los das cáries desde o momento em que o primeiro dente de leite entra em erupção. E se um adulto não puder fazer isso em relação a si mesmo, poderá fazê-lo em relação a seus filhos.

No entanto, para se proteger com segurança contra cáries, não basta escovar os dentes duas vezes por dia. Há um número bastante grande de nuances que são importantes a considerar ao cuidar da cavidade oral. E para lidar efetivamente com a cárie dentária, você precisa primeiro conhecê-lo melhor ...

Nesta seção do site, você pode encontrar não apenas muitas informações interessantes e úteis sobre as causas e métodos modernos de tratamento da cárie, mas também descobrirá várias nuances práticas que realmente protegerão seus dentes da cárie. Fatos interessantes sobre cárie, avaliações de pacientes, dicas e histórias de dentistas profissionais - tudo isso é acompanhado por um grande número de fotos com exemplos reais.

Bem, desejamos a você um agradável conhecimento das informações!

Para cima

© Copyright 2025 stomatology.expertexpro.com/pt/ | chinatownteam2016@gmail.com

Política de privacidade | Contrato do usuário

Comentários

Mapa do site

Cirurgia

Cárie

Dor de dente